Comparative Proteomic Analysis of Secretory Proteins of Mycoplasma bovis and Mycoplasma mycoides subsp. mycoides Investigates Virulence and Discovers Important Diagnostic Biomarkers
Abstract
:Simple Summary
Abstract
1. Introduction
2. Materials & Methods
2.1. Bacterial Strains and Culture
2.2. Enrichment of Proteins from Culture Supernatant of Mycoplasma
2.3. Identification of Soluble Secreted Proteins by LC-MS/MS
2.4. In Silico Comparative and Functional Analysis
2.5. Gene Cloning and Expression of Mmm-Secreted Proteins
2.6. Characterization of the Antigenicity of Mmm-Secreted Proteins
2.7. Statistical Analysis
3. Results
3.1. Soluble Secreted Proteins of M. bovis and Mmm
3.2. Identification of Proteins of M. bovis and Mmm in the Culture Supernatant
3.3. Prediction of Secreted Pathways, Locations, and Functional Analysis
3.4. The Virulence-Related Factors Identified by the VFDB
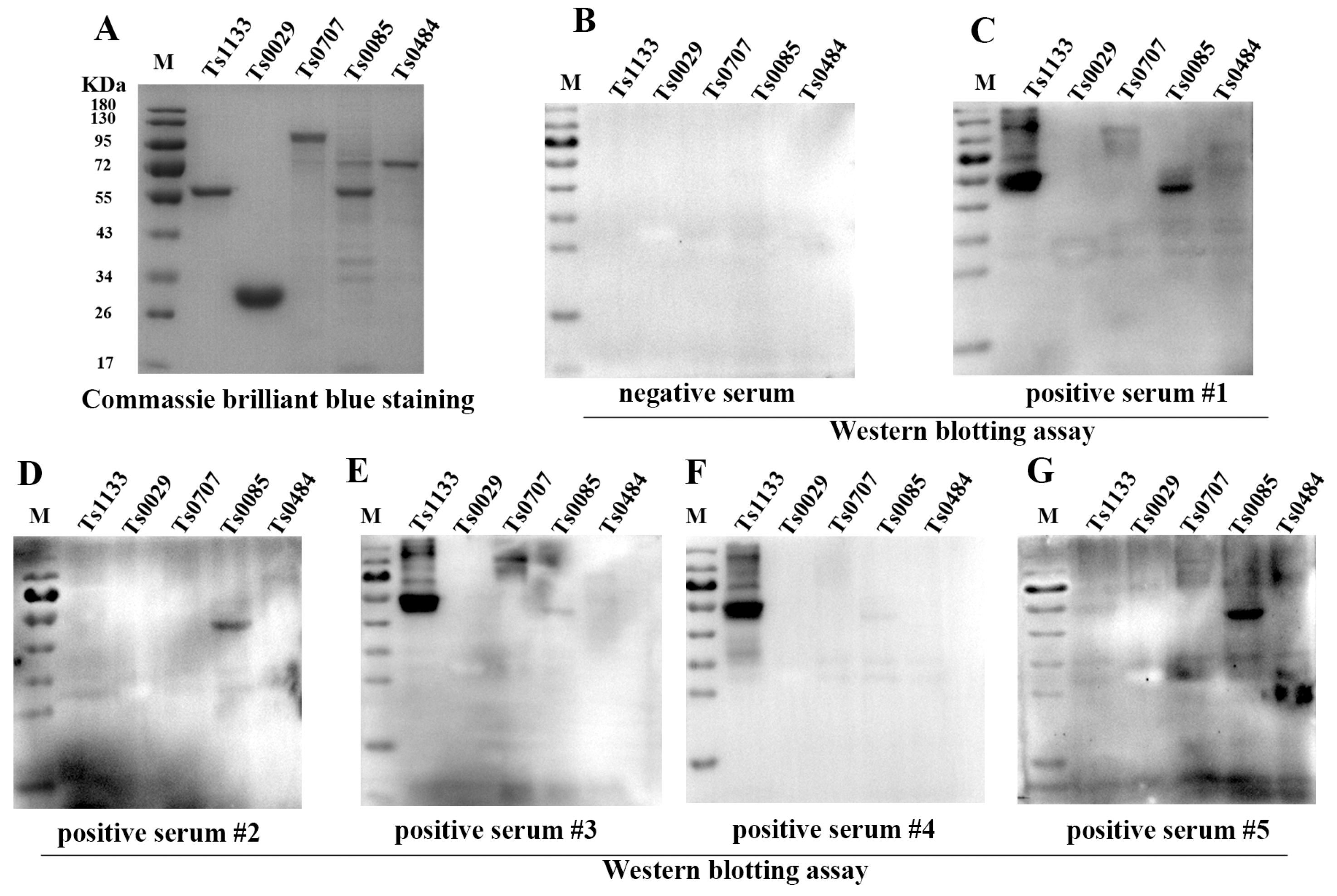
3.5. The Evaluation of Differential Diagnostic Biomarkers
4. Discussion
4.1. M. bovis and Mmm Secretomes Are Greatly Affected by Essential Medium Components
4.2. Identification of Virulence-Associated Secreted Proteins
4.3. Potential Diagnostic Targets for Differentiation of Mmm from M. bovis
5. Conclusions
Supplementary Materials
Author Contributions
Funding
Institutional Review Board Statement
Informed Consent Statement
Data Availability Statement
Conflicts of Interest
References
- Citti, C.; Dordet-Frisoni, E.; Nouvel, L.X.; Kuo, C.H.; Baranowski, E. Horizontal Gene Transfers in Mycoplasmas (Mollicutes). Curr. Issues Mol. Biol. 2018, 29, 3–22. [Google Scholar] [CrossRef]
- Yaya, A.; Manso-Silvan, L.; Blanchard, A.; Thiaucourt, F. Genotyping of Mycoplasma mycoides subsp. mycoides SC by multilocus sequence analysis allows molecular epidemiology of contagious bovine pleuropneumonia. Vet. Res. 2008, 39, 14. [Google Scholar] [CrossRef]
- Nicholas, R.; Ayling, R.; McAuliffe, L. Mycoplasma Diseases of Ruminants, 1st ed.; CABI Publishing: Oxford, UK, 2008. [Google Scholar]
- Newton, L. Contagious Bovine Pleuropneumonia in Australia: Some Historic Highlights From Entry to Eradication. Aust. Vet. J. 1992, 69, 306–317. [Google Scholar] [CrossRef]
- Xin, J.; Li, Y.; Nicholas, R.A.; Chen, C.; Liu, Y.; Zhang, M.-J.; Dong, H. A History of the Prevalence and Control of Contagious Bovine Pleuropneumonia in China. Vet. J. 2012, 191, 166–170. [Google Scholar] [CrossRef]
- Teodoro, D.G.; Marruchella, G.; Provvido, D.A.; D’Angelo, A.R.; Orsini, G.; Giuseppe, D.P.; Sacchini, F.; Scacchia, M. Contagious Bovine Pleuropneumonia: A Comprehensive Overview. Vet. Pathol. 2020, 57, 476–489. [Google Scholar] [CrossRef]
- Qi, J.; Guo, A.; Cui, P.; Chen, Y.; Mustafa, R.; Ba, X.; Hu, C.; Bai, Z.; Chen, X.; Shi, L.; et al. Comparative geno-plasticity analysis of Mycoplasma bovis HB0801 (Chinese isolate). PLoS ONE 2012, 7, e38239. [Google Scholar] [CrossRef]
- Dawood, A.; Algharib, S.A.; Zhao, G.; Zhu, T.; Qi, M.; Delai, K.; Hao, Z.; Marawan, M.A.; Shirani, I.; Guo, A. Mycoplasmas as Host Pantropic and Specific Pathogens: Clinical Implications, Gene Transfer, Virulence Factors, and Future Perspectives. Front. Cell. Infect. Microbiol. 2022, 12, 855731. [Google Scholar] [CrossRef]
- Kim, J.H.; Lee, J.; Park, J.; Gho, Y.S. Gram-negative and Gram-positive bacterial extracellular vesicles. Semin. Cell Dev. Biol. 2015, 40, 97–104. [Google Scholar] [CrossRef] [PubMed]
- Djordjevic, S.P.; Cordwell, S.J.; Djordjevic, M.A.; Wilton, J.; Minion, F.C. Proteolytic processing of the Mycoplasma hyopneumoniae cilium adhesin. Infect. Immun. 2004, 72, 2791–2802. [Google Scholar] [CrossRef] [PubMed]
- Kannan, T.R.; Krishnan, M.; Ramasamy, K.; Becker, A.; Pakhomova, O.N.; Hart, P.J.; Baseman, J.B. Functional mapping of community-acquired respiratory distress syndrome (CARDS) toxin of Mycoplasma pneumoniae defines regions with ADP-ribosyltransferase, vacuolating and receptor-binding activities. Mol. Microbiol. 2014, 93, 568–581. [Google Scholar] [CrossRef] [PubMed]
- Yamamoto, T.; Kida, Y.; Sakamoto, Y.; Kuwano, K. Mpn491, a secreted nuclease of Mycoplasma pneumoniae, plays a critical role in evading killing by neutrophil extracellular traps. Cell. Microbiol. 2017, 19, e12666. [Google Scholar] [CrossRef] [PubMed]
- Zhang, H.; Zhao, G.; Guo, Y.; Menghwar, H.; Chen, Y.; Chen, H.; Guo, A. Mycoplasma bovis MBOV_RS02825 Encodes a Secretory Nuclease Associated with Cytotoxicity. Int. J. Mol. Sci. 2016, 17, 628. [Google Scholar] [CrossRef] [PubMed]
- Zhao, G.; Zhu, X.; Zhang, H.; Chen, Y.; Schieck, E.; Hu, C.; Chen, H.; Guo, A. Novel Secreted Protein of Mycoplasma bovis MbovP280 Induces Macrophage Apoptosis Through CRYAB. Front. Immunol. 2021, 12, 619362. [Google Scholar] [CrossRef] [PubMed]
- Sun, Z.; Fu, P.; Wei, K.; Zhang, H.; Zhang, Y.; Xu, J.; Jiang, F.; Liu, X.; Xu, W.; Wu, W. Identification of novel immunogenic proteins from Mycoplasma bovis and establishment of an indirect ELISA based on recombinant E1 beta subunit of the pyruvate dehydrogenase complex. PLoS ONE 2014, 9, e88328. [Google Scholar] [CrossRef]
- Jores, J.; Meens, J.; Buettner, F.F.; Linz, B.; Naessens, J.; Gerlach, G.F. Analysis of the immunoproteome of Mycoplasma mycoides subsp. mycoides small colony type reveals immunogenic homologues to other known virulence traits in related Mycoplasma species. Vet. Immunol. Immunopathol. 2009, 131, 238–245. [Google Scholar] [CrossRef]
- Gaurivaud, P.; Ganter, S.; Villard, A.; Manso-Silvan, L.; Chevret, D.; Boule, C.; Monnet, V.; Tardy, F. Mycoplasmas are no exception to extracellular vesicles release: Revisiting old concepts. PLoS ONE 2018, 13, e0208160. [Google Scholar] [CrossRef]
- Rebollo Couto, M.S.; Klein, C.S.; Voss-Rech, D.; Terenzi, H. Extracellular Proteins of Mycoplasma synoviae. ISRN Vet. Sci. 2012, 2012, 802308. [Google Scholar] [CrossRef]
- Paes, J.A.; Lorenzatto, K.R.; de Moraes, S.N.; Moura, H.; Barr, J.R.; Ferreira, H.B. Secretomes of Mycoplasma hyopneumoniae and Mycoplasma flocculare reveal differences associated to pathogenesis. J. Proteom. 2017, 154, 69–77. [Google Scholar] [CrossRef]
- Zubair, M.; Muhamed, S.A.; Khan, F.A.; Zhao, G.; Menghwar, H.; Faisal, M.; Zhang, H.; Zhu, X.; Rasheed, M.A.; Chen, Y.; et al. Identification of 60 secreted proteins for Mycoplasma bovis with secretome assay. Microb. Pathog. 2020, 143, 104135. [Google Scholar] [CrossRef]
- Paes, J.A.; Machado, L.; Dos Anjos Leal, F.M.; De Moraes, S.N.; Moura, H.; Barr, J.R.; Ferreira, H.B. Comparative proteomics of two Mycoplasma hyopneumoniae strains and Mycoplasma flocculare identified potential porcine enzootic pneumonia determinants. Virulence 2018, 9, 1230–1246. [Google Scholar] [CrossRef]
- Li, S.; Fang, L.; Liu, W.; Song, T.; Zhao, F.; Zhang, R.; Wang, D.; Xiao, S. Quantitative Proteomic Analyses of a Pathogenic Strain and Its Highly Passaged Attenuated Strain of Mycoplasma hyopneumoniae. BioMed Res. Int. 2019, 4165735. [Google Scholar]
- Thorns, C.J.; Boughton, E. Studies on the effect of growth medium composition on the antigenicity of Mycoplasma bovis. J. Hyg. 1980, 85, 29–36. [Google Scholar] [CrossRef]
- Ramirez, A.S.; Fleitas, J.L.; Rosales, R.S.; Poveda, C.; de la Fe, C.; Andrada, M.; Castro, A.; Poveda, J.B. A semi-defined medium without serum for small ruminant mycoplasmas. Vet. J. 2008, 178, 149–152. [Google Scholar] [CrossRef] [PubMed]
- Hao, W.; Li, Y.; Zhou, X.; Wang, X.; Xin, J. Establishment of Indirect ELISA for Detecting Antibody to contagious Bovine Pleuropneumonia. BMC Vet. Res. 2020, 51, 329–336. [Google Scholar]
- Zhang, A.; Xie, C.; Chen, H.; Jin, M. Identification of immunogenic cell wall-associated proteins of Streptococcus suis serotype 2. Proteomics 2008, 8, 3506–3515. [Google Scholar] [CrossRef] [PubMed]
- Zhang, R.; Han, X.; Chen, Y.; Mustafa, R.; Qi, J.; Chen, X.; Hu, C.; Chen, H.; Guo, A. Attenuated Mycoplasma bovis strains provide protection against virulent infection in calves. Vaccine 2014, 32, 3107–3114. [Google Scholar] [CrossRef]
- Desvaux, M.; Hébraud, M.; Talon, R.; Henderson, I.R. Secretion and subcellular localizations of bacterial proteins: A semantic awareness issue. Trends Microbiol. 2009, 17, 139–145. [Google Scholar] [CrossRef]
- Alonso, J.M.; Prieto, M.; Parra, F. Genetic and antigenic characterisation of elongation factor Tu from Mycoplasma mycoides subsp. mycoides SC. Vet Microbiol. 2002, 89, 277–289. [Google Scholar] [CrossRef]
- Weng, Y.; Sui, Z.; Shan, Y.; Jiang, H.; Zhou, Y.; Zhu, X.; Liang, Z.; Zhang, L.; Zhang, Y. In-Depth Proteomic Quantification of Cell Secretome in Serum-Containing Conditioned Medium. Anal. Chem. 2016, 88, 4971–4978. [Google Scholar] [CrossRef]
- Gaurivaud, P.; Tardy, F. The Mycoplasma spp. ‘Releasome’: A New Concept for a Long-Known Phenomenon. Front Microbiol. 2022, 13, 853440. [Google Scholar] [CrossRef]
- Adler, J.J.; Johnson, D.E.; Heller, B.L.; Bringman, L.R.; Ranahan, W.P.; Conwell, M.D.; Sun, Y.; Hudmon, A.; Wells, C.D. Serum deprivation inhibits the transcriptional co-activator YAP and cell growth via phosphorylation of the 130-kDa isoform of Angiomotin by the LATS1/2 protein kinases. Proc. Natl. Acad. Sci. USA 2013, 110, 17368–17373. [Google Scholar] [CrossRef] [PubMed]
- Dwivedi, P.; Alam, S.I.; Tomar, R.S. Secretome, surfome and immunome: Emerging approaches for the discovery of new vaccine candidates against bacterial infections. World J. Microbiol. Biotechnol. 2016, 32, 155. [Google Scholar] [CrossRef] [PubMed]
- Askar, H.; Chen, S.; Hao, H.; Yan, X.; Ma, L.; Liu, Y.; Chu, Y. Immune Evasion of Mycoplasma bovis. Pathogens 2021, 10, 297. [Google Scholar] [CrossRef] [PubMed]
- Wu, X.; Zhang, S.; Long, C.; An, Z.; Xing, X.; Wen, F.; Bao, S. Mycoplasmas bovis P48 induces apoptosis in EBL cells via an endoplasmic reticulum stress-dependent signaling pathway. Vet. Microbiol. 2021, 255, 109013. [Google Scholar] [CrossRef] [PubMed]
- Vanden Bush, T.J.; Rosenbusch, R.F. Characterization of a lympho-inhibitory peptide produced by Mycoplasma bovis. Biochem. Biophys. Res. Commun. 2004, 315, 336–341. [Google Scholar] [CrossRef] [PubMed]
- Yu, Y.; Wang, H.; Wang, J.; Feng, Z.; Wu, M.; Liu, B.; Xin, J.; Xiong, Q.; Liu, M.; Shao, G. Elongation Factor Thermo Unstable (EF-Tu) Moonlights as an Adhesin on the Surface of Mycoplasma hyopneumoniae by Binding to Fibronectin. Front. Microbiol. 2018, 9, 974. [Google Scholar] [CrossRef] [PubMed]
- Shirani, I.; Zhang, H.; Zhao, G.; Lu, S.; Marawan, M.A.; Dawood, A.; Chen, Y.; Chen, X.; Chen, J.; Hu, C.; et al. In Silico Identification of Novel Immunogenic Secreted Proteins of Mycoplasma bovis from Secretome Data and Experimental Verification. Pathogens 2020, 9, 770. [Google Scholar] [CrossRef] [PubMed]
- Lutta, H.O.; Odongo, D.; Mather, A.; Perez-Casal, J.; Potter, A.; Gerdts, V.; Berberov, E.M.; Prysliak, T.; Kyallo, M.; Kipronoh, A.; et al. Baseline analysis of Mycoplasma mycoides subsp. mycoides antigens as targets for a DIVA assay for use with a subunit vaccine for contagious bovine pleuropneumonia. BMC Vet. Res. 2020, 16, 236. [Google Scholar]
- Heller, M.; Gicheru, N.; Tjipura-Zaire, G.; Muriuki, C.; Yu, M.; Botelho, A.; Naessens, J.; Jores, J.; Liljander, A. Development of a Novel Cocktail Enzyme-Linked Immunosorbent Assay and a Field-Applicable Lateral-Flow Rapid Test for Diagnosis of Contagious Bovine Pleuropneumonia. J. Clin. Microbiol. 2016, 54, 1557–1565. [Google Scholar] [CrossRef]
- Naseem, S.; Meens, J.; Jores, J.; Heller, M.; Dubel, S.; Hust, M.; Gerlach, G.F. Phage display-based identification and potential diagnostic application of novel antigens from Mycoplasma mycoides subsp. mycoides small colony type. Vet. Microbiol. 2010, 142, 285–292. [Google Scholar] [CrossRef]




| Gene ID | VFDB Hits | Scores | E-Values | 
|---|---|---|---|
| Mbov_0016 | (p48) P48, predicted lipoprotein [Monocytic differentiation/activation factor] [Mycoplasma agalactiae PG2] | 743 | 0 | 
| Mbov_0482 | (eno) phosphopyruvate hydratase [Streptococcal enolase] [Streptococcus agalactiae A909] | 443 | 1 × 10−124 | 
| Mbov_0302 | (sigA/rpoV) RNA polymerase, sigma 70 subunit, RpoD family [Sigma A] [Mycobacterium gilvum PYR-GCK] | 236 | 4 × 10−62 | 
| Mbov_0693 | (p65) P65 lipoprotein-like protein [P65] [Mycoplasma mobile 163K] | 201 | 8 × 10−51 | 
| Mbov_0675 | (SAB0023) 5′ nucleotidase [AdsA] [Staphylococcus aureus RF122] | 184 | 2 × 10−46 | 
| Mbov_0674 | (nuc) MEMBRANE NUCLEASE [Nuclease] [Mycoplasma pulmonis UAB CTIP] | 173 | 2 × 10−43 | 
| Mbov_0796 | (vamp) Variable surface lipoprotein W (VpmaWprecursor) [Vpma] [Mycoplasma agalactiae PG2] | 168 | 3 × 10−42 | 
| Mbov_0798 | (vamp) Variable surface lipoprotein V (VpmaVprecursor) [Vpma] [Mycoplasma agalactiae PG2] | 160 | 8 × 10−40 | 
| Mbov_0688 | (msbA) Fused lipid transporter subunits of ABC superfamily: membrane component/ATP-binding component [LOS] [Haemophilus influenzae PittEE] | 159 | 4 × 10−39 | 
| Mbov_0341 | (p65) P65 lipoprotein-like protein [P65] [Mycoplasma mobile 163K] | 154 | 9 × 10−37 | 
| Mbov_0440 | (DVUA0119) Type III secretion system ATPase [T3SS] [Desulfovibrio vulgaris str. Hildenborough] | 153 | 3 × 10−37 | 
| Mbov_0038 | (hmw2) Predicted cytoskeletal protein [Cytadherence organella] [Mycoplasma penetrans HF-2] | 124 | 1 × 10−27 | 
| Mbov_0134 | (sugC) Maltodextrin import ATP-binding protein MsmX [Trehalose-recycling ABC transporter] [Mycobacterium abscessus subsp. bolletii str. GO 06] | 122 | 4 × 10−28 | 
| Mbov_0168 | (tig/ropA) trigger factor [Trigger factor] [Streptococcus mutans UA159] | 120 | 2 × 10−27 | 
| Mbov_0509 | (hrcN) HrcN [T3SS] [Pantoea stewartii subsp. stewartii str. SS104] | 106 | 4 × 10−23 | 
| Mbov_0121 | (cylB) ABC-type transporter [Cytolysin] [Enterococcus faecalis str. MMH594] | 89 | 1 × 10−17 | 
| Mbov_0375 | (sadH) Putative short-chain type dehydrogenase/reductase [MymA operon] [Mycobacterium canettii CIPT 140070010] | 89 | 3 × 10−18 | 
| Mbov_0797 | (vamp) Variable surface lipoprotein W (VpmaWprecursor) [Vpma] [Mycoplasma agalactiae PG2] | 82 | 6 × 10−16 | 
| Mbov_0307 | (pvuE) Iron-dicitrate transporter ATP-binding subunit [vibrioferrin] [Vibrio parahaemolyticus RIMD 2210633] | 80 | 1 × 10−15 | 
| Gene ID. | VFDB Hits | Scores | E-Values | 
|---|---|---|---|
| TS60_0188 | (tuf) Translation elongation factor Tu [EF-Tu] [Mycoplasma mycoides subsp. mycoides SC str. PG1] | 789 | 0 | 
| TS60_0693 | (KOX_00005) Protein disaggregation chaperone [T6SS-II] [Klebsiella oxytoca KCTC 1686] | 707 | 0 | 
| TS60_0792 | (argK) Phaseolotoxin-insensitive ornithine carbamoyltransferase [Phytotoxin Phaseolotoxin] [Pseudomonas syringae pv. phaseolicola 1448A] | 147 | 1 × 10−35 | 
| TS60_0995 | (pscN) Type III secretion system ATPase [P. aeruginosa TTSS] [Pseudomonas aeruginosa LESB58] | 147 | 2 × 10−35 | 
| Mmm (ORF) a | Proteins | Types of Secretion | 
|---|---|---|
| TS60_0029 | FMN-dependent NADH-azoreductase | Undefined | 
| TS60_0085 | Phosphonate ABC transporter Phosphonate-binding protein | Classical | 
| TS60_0188 | Elongation factor Tu | Undefined | 
| TS60_0484 | Hypothetical protein | Classical | 
| TS60_0707 | Hypothetical protein | Classical | 
| TS60_0835 | 50S ribosomal protein L4 | No-classical | 
| TS60_0868 | Hypothetical protein | Classical | 
| TS60_1133 | BspA family leucine-rich repeat Surface protein | Classical | 
| M. bovis (ORF) a | Proteins | Types of Secretion | 
|---|---|---|
| Mbov_0016 | P48-like surface lipoprotein | Classical | 
| Mbov_0038 | Putative transmembrane protein | No-classical | 
| Mbov_0049 | Putative lipoprotein | Classical | 
| Mbov_0106 | pdhD dihydrolipoamide dehydrogenase | Undefined | 
| Mbov_0111 | Putative lipoprotein | Classical | 
| Mbov_0154 | Putative transmembrane protein | Non-Classical | 
| Mbov_0274 | Putative lipoprotein | Classical | 
| Mbov_0290 | Putative lipoprotein | Classical | 
| Mbov_0292 | vpma-like lipoprotein | Classical | 
| Mbov_0296 | Putative lipoprotein | Classical | 
| Mbov_0341 | Putative transmembrane protein | Classical | 
| Mbov_0411 | uvrA ecinuclease ABC subunit A | Non-classical | 
| Mbov_0579 | Membrane lipoprotein P81 | Classical | 
| Mbov_0674 | Putative lipoprotein | Classical | 
| Mbov_0675 | cpdB 5′nucleotidase | Classical | 
| Mbov_0678 | 30S ribosomal protein | Non-classical | 
| Mbov_0688 | ATP-binding cassette subfamily B | Non-classical | 
| Mbov_0693 | Putative transmembrane protein | Classical | 
| Mbov_0760 | Putative transmembrane protein | Non-classical | 
| Mbov_0781 | cdsA phosphatidate cytidylyltransferase | Non-classical | 
| Mbov_0795 | VSP | Classical | 
| Mbov_0796 | VSP | Classical | 
| Mbov_0797 | VSP | Classical | 
| Mbov_0798 | VSP | Classical | 
| Mbov_0838 | Putative lipoprotein | Classical | 
| Disclaimer/Publisher’s Note: The statements, opinions and data contained in all publications are solely those of the individual author(s) and contributor(s) and not of MDPI and/or the editor(s). MDPI and/or the editor(s) disclaim responsibility for any injury to people or property resulting from any ideas, methods, instructions or products referred to in the content. | 
© 2023 by the authors. Licensee MDPI, Basel, Switzerland. This article is an open access article distributed under the terms and conditions of the Creative Commons Attribution (CC BY) license (https://creativecommons.org/licenses/by/4.0/).
Share and Cite
Dawood, A.S.; Zhao, G.; He, Y.; Lu, D.; Wang, S.; Zhang, H.; Chen, Y.; Hu, C.; Chen, H.; Schieck, E.; et al. Comparative Proteomic Analysis of Secretory Proteins of Mycoplasma bovis and Mycoplasma mycoides subsp. mycoides Investigates Virulence and Discovers Important Diagnostic Biomarkers. Vet. Sci. 2023, 10, 685. https://doi.org/10.3390/vetsci10120685
Dawood AS, Zhao G, He Y, Lu D, Wang S, Zhang H, Chen Y, Hu C, Chen H, Schieck E, et al. Comparative Proteomic Analysis of Secretory Proteins of Mycoplasma bovis and Mycoplasma mycoides subsp. mycoides Investigates Virulence and Discovers Important Diagnostic Biomarkers. Veterinary Sciences. 2023; 10(12):685. https://doi.org/10.3390/vetsci10120685
Chicago/Turabian StyleDawood, Ali Sobhy, Gang Zhao, Yujia He, Doukun Lu, Shujuan Wang, Hui Zhang, Yingyu Chen, Changmin Hu, Huanchun Chen, Elise Schieck, and et al. 2023. "Comparative Proteomic Analysis of Secretory Proteins of Mycoplasma bovis and Mycoplasma mycoides subsp. mycoides Investigates Virulence and Discovers Important Diagnostic Biomarkers" Veterinary Sciences 10, no. 12: 685. https://doi.org/10.3390/vetsci10120685
APA StyleDawood, A. S., Zhao, G., He, Y., Lu, D., Wang, S., Zhang, H., Chen, Y., Hu, C., Chen, H., Schieck, E., & Guo, A. (2023). Comparative Proteomic Analysis of Secretory Proteins of Mycoplasma bovis and Mycoplasma mycoides subsp. mycoides Investigates Virulence and Discovers Important Diagnostic Biomarkers. Veterinary Sciences, 10(12), 685. https://doi.org/10.3390/vetsci10120685
 
        




 
       