Clinical Assessment of Thermotherapy Applications during Hepatectomy and Laparotomy in Sturgeon (Acipenser ruthenus): Impact on Bioparameter Variations Based on Liver Condition
Abstract
:Simple Summary
Abstract
1. Introduction
2. Materials and Methods
2.1. Fish
2.2. Anesthesia and Euthanasia
2.3. Hepatectomy
2.4. Hematological Analysis
2.5. Histological Analysis
2.6. Image and Statistics Analysis
2.7. Data Curation with Liver Condition
3. Results
3.1. Condition Factors and Hepatosomatic Index
3.1.1. Condition Factor (CF)
3.1.2. Hepatosomatic Index (HSI)
3.2. Anesthesia and Recovery Time
3.3. Hematological Analysis
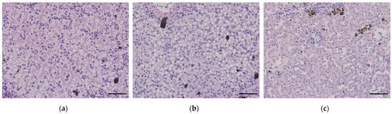
3.4. Histological Analysis
3.5. Image Analysis
4. Discussion
5. Conclusions
Supplementary Materials
Author Contributions
Funding
Institutional Review Board Statement
Informed Consent Statement
Data Availability Statement
Conflicts of Interest
References
- Franks, B.; Ewell, C.; Jacquet, J. Animal welfare risks of global aquaculture. Sci. Adv. 2021, 7, eabg0677. [Google Scholar] [CrossRef] [PubMed]
- Murray, M.J. Fish surgery. In Seminars in Avian and Exotic Pet Medicine; Elsevier: Amsterdam, The Netherlands, 2002. [Google Scholar]
- Nasr-Eldahan, S.; Nabil-Adam, A.; Shreadah, M.A.; Maher, A.M.; Ali, T.E.-S. A review article on nanotechnology in aquaculture sustainability as a novel tool in fish disease control. Aquac. Int. 2021, 29, 1459–1480. [Google Scholar] [CrossRef] [PubMed]
- Neiffer, D.L.; Stamper, M.A. Fish Sedation, Anesthesia, Analgesia, and Euthanasia: Considerations, Methods, and Types of Drugs. ILAR J. 2009, 50, 343–360. [Google Scholar] [CrossRef] [PubMed]
- Mikryakov, D.V.; Mikryakov, V.R.; Silkina, N.I. Effect of dexamethasone on oxidative processes in the immunocompetent organs of sterlet Acipenser ruthenus L. Inland Water Biol. 2014, 7, 397–400. [Google Scholar] [CrossRef]
- Sladky, K.K.; Clarke, E.O. Fish surgery: Presurgical preparation and common surgical procedures. Vet. Clin. Exot. Anim. Pract. 2016, 19, 55–76. [Google Scholar] [CrossRef] [PubMed]
- Harms, C.A. Surgery in Fish Research: Common Procedures and Postoperative Care. Lab Anim. 2005, 34, 28–34. [Google Scholar] [CrossRef] [PubMed]
- Brown, R.S.; Cooke, S.J.; Wagner, G.N.; Eppard, M.B. Methods for Surgical Implantation of Acoustic Transmitters in Juvenile Salmonids; Prepared for the US Army Corps of Engineers, Portland District. Contract DE-AC25e76RL01830; Department of Energy: Washington, DC, USA, 2010. [Google Scholar]
- Cannizzo, S.A.; Roe, S.C.; Harms, C.A.; Stoskopf, M.K. Effect of water temperature on the hydrolysis of two absorbable sutures used in fish surgery. Facets 2016, 1, 44–54. [Google Scholar] [CrossRef]
- Bai, Y.Z.; Chen, H.; Wang, W.L. A special type of postoperative intussusception: Ileoileal intussusception after surgical reduction of ileocolic intussusception in infants and children. J. Pediatr. Surg. 2009, 44, 755–758. [Google Scholar] [CrossRef]
- Lee, C.W.; Sarosi, G.A. Emergency ulcer surgery. Surg. Clin. 2011, 91, 1001–1013. [Google Scholar] [CrossRef]
- Campanella, F.; Fabbro, F.; Ius, T.; Shallice, T.; Skrap, M. Acute effects of surgery on emotion and personality of brain tumor patients: Surgery impact, histological aspects, and recovery. Neuro-Oncol. 2015, 17, 1121–1131. [Google Scholar] [CrossRef]
- Harms, C.A.; Lewbart, G.A.; Swanson, C.R.; Kishimori, J.M.; Boylan, S.M. Behavioral and clinical pathology changes in koi carp (Cyprinus carpio) subjected to anesthesia and surgery with and without intra-operative analgesics. Comp. Med. 2005, 55, 221–226. [Google Scholar] [PubMed]
- Rizzo, A.L.; Wooster, G.A.; Guanzini, L.E.; Peterson, C.M.; Fenderson, K.; Erb, H.N.; Bowser, P.R.; Martin, M.E. Biochemical, histopathologic, physiologic, and behavioral effects of nonsteroidal antiinflammatory drugs in rainbow trout (Oncorhynchus mykiss). Comp. Med. 2017, 67, 106–111. [Google Scholar] [PubMed]
- Matsche, M. Relative physiological effects of laparoscopic surgery and anesthesia with tricaine methanesulfonate (MS-222) in Atlantic sturgeon Acipenser oxyrinchus oxyrinchus. J. Appl. Ichthyol. 2013, 29, 510–519. [Google Scholar] [CrossRef]
- Falahatkar, B.; Gilani, M.H.T.; Falahatkar, S.; Abbasalizadeh, A. Laparoscopy, a minimally-invasive technique for sex identification in cultured great sturgeon Huso huso. Aquaculture 2011, 321, 273–279. [Google Scholar] [CrossRef]
- Muscalu-Nagy, C.; Muscalu-Nagy, R.; Bănăţean-Dunea, I.; Bura, M. Obtained Results after Applying Thermal Shocks and Pituitary Extract Injection in Order to Artificially Breed the Sterlet (Acipenser Ruthenus). Sci. Pap. Anim. Sci. Biotechnol. 2007, 40, 37–42. [Google Scholar]
- Hoseinifar, S.H.; Ringø, E.; Masouleh, A.S.; Esteban, M. Probiotic, prebiotic and synbiotic supplements in sturgeon aquaculture: A review. Rev. Aquac. 2016, 8, 89–102. [Google Scholar] [CrossRef]
- Chapman, F.A.; Park, C. Comparison of sutures used for wound closure in sturgeon following a gonad biopsy. N. Am. J. Aquac. 2005, 67, 98–101. [Google Scholar] [CrossRef]
- Boyer, T.D.; Lindor, K.D. Zakim and Boyer’s Hepatology: A Textbook of Liver Disease E-Book; Elsevier Health Sciences: Amsterdam, The Netherlands, 2016. [Google Scholar]
- Portela, A.; Vasconcelos, M.; Branco, R.; Gartner, F.; Faria, M.; Cavalheiro, J. An in vitro and in vivo investigation of the biological behavior of a ferrimagnetic cement for highly focalized thermotherapy. J. Mater. Sci. Mater. Med. 2010, 21, 2413–2423. [Google Scholar] [CrossRef]
- Baxter, A. Condition Factor, K, for Salmonid Fish; Department of Primary Industries: Gosford, Australia, 1998. [Google Scholar]
- Kang, G.; Choi, K.M.; Cho, D.H.; Joo, M.S.; Heo, M.J.; Woo, W.S.; Park, C.I. The First Detection of Kudoa hexapunctata in Farmed Pacific Bluefin Tuna in South Korea, Thunnus orientalis (Temminck and Schlegel, 1844). Animals 2020, 10, 1705. [Google Scholar] [CrossRef]
- Kumar, P.; Behera, P.; Biswas, G.; Ghoshal, T.K. Oocyte growth, gonadosomatic index, hepatosomatic index and levels of reproductive hormones in goldspot mullet Planiliza parsia (Hamilton, 1822) reared in captivity. Indian J. Fish. 2022, 69, 84–96. [Google Scholar] [CrossRef]
- Nayak, S.; Portugal, I.; Zilberg, D. Analyzing complement activity in the serum and body homogenates of different fish species, using rabbit and sheep red blood cells. Vet. Immunol. Immunopathol. 2018, 199, 39–42. [Google Scholar] [CrossRef] [PubMed]
- Parry, R.M., Jr.; Chandan, R.C.; Shahani, K.M. A rapid and sensitive assay of muramidase. Proc. Soc. Exp. Biol. Med. 1965, 119, 384–386. [Google Scholar] [CrossRef] [PubMed]
- Pridgeon, J.W.; Klesius, P.H.; Dominowski, P.J.; Yancey, R.J.; Kievit, M.S. Chicken-type lysozyme in channel catfish: Expression analysis, lysozyme activity, and efficacy as immunostimulant against Aeromonas hydrophila infection. Fish Shellfish Immunol. 2013, 35, 680–688. [Google Scholar] [CrossRef] [PubMed]
- Liu, Y.; Xiao, Q.; Yang, S.; Zhao, L.; Fu, H.; Du, J.; Du, Z.; Yan, T.; Wu, H. Characterization of hematopoiesis in Dabry’ sturgeon (Acipenser dabryanus). Aquac. Fish. 2017, 2, 262–268. [Google Scholar] [CrossRef]
- Boni, R. Heat stress, a serious threat to reproductive function in animals and humans. Mol. Reprod. Dev. 2019, 86, 1307–1323. [Google Scholar] [CrossRef] [PubMed]
- Toro-Córdova, A.; Llaguno-Munive, M.; Jurado, R.; Garcia-Lopez, P. The Therapeutic Potential of Chemo/Thermotherapy with Magnetoliposomes for Cancer Treatment. Pharmaceutics 2022, 14, 2443. [Google Scholar] [CrossRef] [PubMed]
- Souza, C.d.F.; Baldissera, M.D.; Baldisserotto, B.; Heinzmann, B.M.; Martos-Sitcha, J.A.; Mancera, J.M. Essential Oils as Stress-Reducing Agents for Fish Aquaculture: A Review. Front. Physiol. 2019, 10, 785. [Google Scholar] [CrossRef]
- Broom, D.M. Animal welfare complementing or conflicting with other sustainability issues. Appl. Anim. Behav. Sci. 2019, 219, 104829. [Google Scholar] [CrossRef]
- Keeling, L.; Tunón, H.; Antillón, G.O.; Berg, C.; Jones, M.; Stuardo, L.; Swanson, J.; Wallenbeck, A.; Winckler, C.; Blokhuis, H. Animal welfare and the United Nations sustainable development goals. Front. Veter. Sci. 2019, 6, 336. [Google Scholar] [CrossRef]






| Conditions | Status 1 | Negative Control I (18 °C) | Negative Control II (28 °C) | Control I (18 °C) | Control II (28 °C) | Hepatectomy I (18 °C) | Hepatectomy II (28 °C) | Laparotomy I (18 °C) | Laparotomy II (28 °C) | |
|---|---|---|---|---|---|---|---|---|---|---|
| Mass (g) | Pre | 154.2 ± 34.7 | 156.6 ± 39.3 | 151.3 ± 28.0 | 160.4 ± 33.7 | 145.0 ± 41.6 | 153.7 ± 31.6 | 152.6 ± 37.5 | 145.1 ± 49.3 | |
| End | 151.4 ± 33.7 | 153.9 ± 38.1 | 146.8 ± 25.6 | 156.9 ± 32.8 | 136.0 ± 43.8 | 137.7 ± 28.4 | 146.3 ± 38.6 | 131.3 ± 44.5 | ||
| Length (cm) | Pre | 27.7 ± 2.7 | 27.4 ± 3.3 | 28.6 ± 2.8 | 27.9 ± 2.6 | 27.9 ± 2.4 | 28.7 ± 1.9 | 28.7 ± 2.2 | 27.6 ± 3.3 | |
| End | 27.6 ± 2.7 | 27.3 ± 3.3 | 28.6 ± 2.8 | 27.9 ± 2.6 | 28.4 ± 2.3 | 28.7 ± 1.9 | 28.9 ± 2.4 | 27.8 ± 3.5 | ||
| Condition Factor | Pre | 0.72 ± 0.05 | 0.76 ± 0.11 | 0.64 ± 0.05 | 0.73 ± 0.06 | 0.65 ± 0.04 | 0.64 ± 0.01 | 0.63 ± 0.04 | 0.67 ± 0.04 | |
| End | 0.72 ± 0.06 | 0.76 ± 0.11 | 0.59 ± 0.04 | 0.72 ± 0.06 | 0.58 ± 0.05 | 0.58 ± 0.03 | 0.59 ± 0.05 | 0.59 ± 0.05 | ||
| Hepatosomatic index (%) | End | 1.03 ± 0.08 | 0.86 ± 0.21 | 1.11 ± 0.20 | 0.97 ± 0.15 | 0.97 ± 0.20 | 0.70 ± 0.15 | 0.97 ± 020 | 0.70 ± 0.11 | |
| Temperature (°C) | - | 18 ± 0.5 | 28 ± 0.7 | 18 ± 0.5 | 28 ± 0.7 | 18 ± 0.5 | 28 ± 0.7 | 18 ± 0.5 | 28 ± 0.7 | |
| DO * (mg/L) | - | 9 ± 0.1 | 7.6 ± 0.1 | 9 ± 0.1 | 7.6 ± 0.1 | 9 ± 0.1 | 7.6 ± 0.1 | 9 ± 0.1 | 7.6 ± 0.1 | |
| pH | - | 6.5 ± 0.1 | 6.5 ± 0.1 | 6.5 ± 0.1 | 6.5 ± 0.1 | 6.5 ± 0.1 | 6.5 ± 0.1 | 6.5 ± 0.1 | 6.5 ± 0.1 | |
| Time (seconds) | Anesthesia | Pre | - | - | 785.2 ± 113.8 | 808.5 ± 62.1 | 731.5 ± 204.1 | 777.3 ± 217.7 | 941.2 ± 264.8 | 690.0 ± 153.7 |
| End | - | - | 436.0 ± 41.2 | 445.3 ± 36.0 | 481.7 ± 121.4 | 749.7 ± 323.5 | 560.0 ± 138.3 | 795.8 ± 277.4 | ||
| Handling | Pre | 306.7 ± 26.4 | 297.8 ± 26.9 | 305.5 ± 39.6 | 300.3 ± 14.6 | 621.5 ± 51.5 | 543.5 ± 17.6 | 492.5 ± 20.5 | 479.5 ± 23.8 | |
| Recovery | Pre | - | - | 1034.2 ± 295.3 | 828.3 ± 139.6 | 762.0 ± 335.6 | 229.5 ± 58.0 | 449.5 ± 182.7 | 263.3 ± 126.1 | |
| Parameters | Status 1 | Negative Control I (18 °C) | Negative Control II (28 °C) | Control I (18 °C) | Control II (28 °C) | Hepatectomy I (18 °C) | Hepatectomy II (28 °C) | Laparotomy I (18 °C) | Laparotomy II (28 °C) |
|---|---|---|---|---|---|---|---|---|---|
| Hematocrits (%) | Pre | 28.8 ± 3.0 | 30.0 ± 1.5 | 28.5 ± 4.4 | 28.2 ± 1.3 | 26.7 ± 2.8 | 29.8 ± 1.2 | 29.7 ± 5.8 | 27.2 ±3.9 |
| End | 12.0 ± 1.4 | 19.0 ± 2.5 | 12.5 ± 1.6 | 19.2 ± 2.3 | 9.2 ± 4.2 | 18.2 ± 1.6 | 15.2 ± 2.8 | 19.2 ± 3.2 | |
| Hemoglobin (g/dL) | Pre | 8.53 ± 1.28 | 8.43 ± 0.37 | 6.86 ± 0.45 | 8.39 ± 0.71 | 6.49 ± 0.81 | 8.44 ± 0.88 | 7.59 ± 0.69 | 8.04 ± 0.93 |
| End | 4.07 ± 0.39 | 5.88 ± 0.73 | 4.07 ± 0.44 | 5.89 ± 1.14 | 3.84 ± 0.86 | 5.33 ± 0.58 | 4.91 ± 0.99 | 5.62 ± 0.67 | |
| Cortisol (ng/mL) | Pre | 5.82 ± 1.42 | 5.52 ± 1.85 | 14.51 ± 3.29 | 15.78 ± 5.75 | 13.06 ± 5.93 | 15.36 ± 4.97 | 18.82 ± 9.50 | 14.41 ± 5.12 |
| End | 6.06 ± 1.60 | 5.28 ± 1.64 | 18.54 ± 4.11 | 18.24 ± 5.13 | 13.67 ± 4.71 | 18.06 ± 6.76 | 14.53 ± 3.89 | 16.31 ± 6.32 | |
| ALP (U/L) | Pre | 17.89 ± 1.81 | 18.05 ± 2.04 | 18.10 ± 1.75 | 18.21 ± 2.15 | 13.42 ± 2.42 | 13.95 ± 3.84 | 12.96 ± 0.98 | 15.24 ± 5.56 |
| End | 10.53 ± 2.41 | 10.44 ± 2.06 | 10.67 ± 2.25 | 10.42 ± 2.15 | 9.49 ± 1.55 | 9.45 ± 1.36 | 8.36 ± 1.56 | 10.51 ± 2.28 | |
| Complement activity (%) | Pre | 3.59 ± 1.05 | 3.74 ± 0.72 | 3.67 ± 1.07 | 3.58 ± 1.27 | 2.98 ± 0.47 | 3.00 ± 1.01 | 2.89 ± 1.00 | 5.08 ± 2.96 |
| End | 5.57 ± 1.68 | 5.61 ± 1.58 | 5.75 ± 1.46 | 4.74 ± 0.74 | 4.83 ± 1.61 | 5.06 ± 2.06 | 5.02 ± 2.13 | 5.69 ± 2.51 | |
| GOT (U/L) | Pre | 224.77 ± 18.50 | 224.74 ± 18.06 | 224.92 ± 18.20 | 224.75 ± 18.06 | 224.83 ± 39.73 | 217.36 ± 18.82 | 219.79 ± 34.45 | 206.51 ± 11.33 |
| End | 191.42 ± 29.13 | 191.40 ± 28.86 | 191.24 ± 29.05 | 191.33 ± 28.95 | 182.40 ± 35.91 | 165.10 ± 20.05 | 171.91 ± 40.29 | 185.17 ± 37.58 | |
| GPT (U/L) | Pre | 51.37 ± 14.71 | 51.20 ± 14.45 | 51.41 ± 14.59 | 51.12 ± 14.61 | 42.43 ± 14.11 | 31.05 ± 7.70 | 47.62 ± 26.18 | 36.21 ± 10.07 |
| End | 20.42 ± 8.22 | 20.36 ± 8.18 | 20.46 ± 7.99 | 20.15 ± 8.27 | 21.85 ± 9.22 | 20.18 ± 4.50 | 22.16 ± 14.63 | 21.07 ± 5.20 | |
| Lysozyme Activity (units/mL) | Pre | 2.19 ± 1.04 | 5.78 ± 3.12 | 3.64 ± 2.97 | 5.09 ± 3.42 | 3.29 ± 1.57 | 3.75 ± 1.84 | 2.87 ± 1.21 | 4.44 ± 1.58 |
| End | 3.71 ± 1.09 | 3.73 ± 2.53 | 4.54 ± 2.24 | 3.88 ± 1.46 | 6.33 ± 5.09 | 3.54 ± 2.70 | 5.78 ± 3.68 | 2.94 ± 1.60 | |
| TP (g/dL) | Pre | 0.80 ± 0.20 | 0.80 ± 0.19 | 0.79 ± 0.21 | 0.78 ± 0.20 | 0.84 ± 0.29 | 1.09 ± 0.23 | 0.93 ± 0.28 | 1.13 ± 0.45 |
| End | 0.51 ± 0.09 | 0.52 ± 0.09 | 0.52 ± 0.09 | 0.52 ± 0.09 | 0.61 ± 0.25 | 0.47 ± 0.17 | 0.54 ± 0.31 | 0.36 ± 0.12 |
Disclaimer/Publisher’s Note: The statements, opinions and data contained in all publications are solely those of the individual author(s) and contributor(s) and not of MDPI and/or the editor(s). MDPI and/or the editor(s) disclaim responsibility for any injury to people or property resulting from any ideas, methods, instructions or products referred to in the content. |
© 2023 by the authors. Licensee MDPI, Basel, Switzerland. This article is an open access article distributed under the terms and conditions of the Creative Commons Attribution (CC BY) license (https://creativecommons.org/licenses/by/4.0/).
Share and Cite
Kang, G.; Woo, W.-S.; Kim, K.-H.; Son, H.-J.; Sohn, M.-Y.; Kong, H.J.; Kim, Y.-O.; Kim, D.-G.; Kim, E.M.; Noh, E.S.; et al. Clinical Assessment of Thermotherapy Applications during Hepatectomy and Laparotomy in Sturgeon (Acipenser ruthenus): Impact on Bioparameter Variations Based on Liver Condition. Vet. Sci. 2023, 10, 682. https://doi.org/10.3390/vetsci10120682
Kang G, Woo W-S, Kim K-H, Son H-J, Sohn M-Y, Kong HJ, Kim Y-O, Kim D-G, Kim EM, Noh ES, et al. Clinical Assessment of Thermotherapy Applications during Hepatectomy and Laparotomy in Sturgeon (Acipenser ruthenus): Impact on Bioparameter Variations Based on Liver Condition. Veterinary Sciences. 2023; 10(12):682. https://doi.org/10.3390/vetsci10120682
Chicago/Turabian StyleKang, Gyoungsik, Won-Sik Woo, Kyung-Ho Kim, Ha-Jeong Son, Min-Young Sohn, Hee Jeong Kong, Young-Ok Kim, Dong-Gyun Kim, Eun Mi Kim, Eun Soo Noh, and et al. 2023. "Clinical Assessment of Thermotherapy Applications during Hepatectomy and Laparotomy in Sturgeon (Acipenser ruthenus): Impact on Bioparameter Variations Based on Liver Condition" Veterinary Sciences 10, no. 12: 682. https://doi.org/10.3390/vetsci10120682
APA StyleKang, G., Woo, W.-S., Kim, K.-H., Son, H.-J., Sohn, M.-Y., Kong, H. J., Kim, Y.-O., Kim, D.-G., Kim, E. M., Noh, E. S., & Park, C.-I. (2023). Clinical Assessment of Thermotherapy Applications during Hepatectomy and Laparotomy in Sturgeon (Acipenser ruthenus): Impact on Bioparameter Variations Based on Liver Condition. Veterinary Sciences, 10(12), 682. https://doi.org/10.3390/vetsci10120682

