Angelica sinensis (Oliv.) Diels: Influence of Value Chain on Quality Criteria and Marker Compounds Ferulic Acid and Z-Ligustilide
Abstract
:1. Introduction
1.1. Angelica sinensis Traditional Use as Medicine in China
1.2. Value Chain and Research Questions
2. Study Sites
2.1. Cultivation of Dang Gui
2.2. Gansu Province
2.3. Yunnan Province
3. Material and Methods
3.1. Fieldwork
3.2. Plant Material
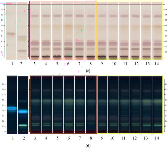
3.3. High Performance Thin Layer Chromatography (HPTLC) Analysis
3.4. Statistical Tools and Tests
3.5. Availability of Data and Materials
4. Results
4.1. Cultivation of Angelica Sinensis
4.2. Trading and Prices
4.3. Quality Notions of Dang Gui
4.4. Medicinal Use of Dang Gui Along the Value Chain
4.5. Regression of Head Size, Root Length and Provincial Origin with Main Active Compounds
4.6. Comparison of Sulfured and Unsulfured Dang Gui
4.7. Comparison of Head, Body and Tail
5. Discussion
5.1. Cultivation and Trading of Dang Gui
5.2. Quality of Dang Dui and Different Root Parts
6. Conclusion
Supplementary Materials
Acknowledgments
Author Contributions
Conflict of Interest
References
- Ai, S.; Fan, X.; Fan, L.; Sun, Q.; Liu, Y.; Tao, X.; Dai, K. Extraction and chemical characterization of Angelica sinensis polysaccharides and its antioxidant activity. Carbohydr. Polym. 2013, 94, 731–736. [Google Scholar] [CrossRef] [PubMed]
- Wei, S.Y.; Xu, C.J.; Mok, D.K.; Cao, H.; Lau, T.Y.; Chau, F.T. Analytical comparison of different parts of Radix Angelicae Sinensis by gas chromatography coupled with mass spectrometry. J. Chromatogr. A 2008, 1187, 232–238. [Google Scholar] [CrossRef] [PubMed]
- The Pharmacopoeia Commission of the Ministry of Health of the People’s Republic of China. Pharmacopoeia of the people’s republic of China; Medical Science and Technology Publishing House: Beijing, China, 2010; Volume 1, pp. 37–38.
- Zhao, Y.; Sun, J.; Yu, L.L.; Chen, P. Chromatographic and mass spectrometric fingerprinting analyses of Angelica sinensis (Oliv.) Diels-derived dietary supplements. Anal. Bioanal. Chem. 2013, 405, 4477–4485. [Google Scholar] [CrossRef] [PubMed]
- Lao, S.C.; Li, S.P.; Kan, K.K.W.; Li, P.; Wan, J.B.; Wang, Y.T.; Dong, T.T.X.; Tsim, K.W.K. Identification and quantification of 13 components in Angelica sinensis (Danggui) by gas chromatography-mass spectrometry coupled with pressurized liquid extraction. Anal. Chim. Acta. 2004, 526, 131–137. [Google Scholar] [CrossRef]
- Zhao, K.J.; Dong, T.T.X.; Tu, P.F.; Song, Z.H.; Lo, C.K.; Tsim, K.W.K. Molecular genetic and chemical assessment of radix Angelica (Danggui) in China. J. Agric. Food Chem. 2003, 51, 2576–2583. [Google Scholar] [CrossRef] [PubMed]
- Yi, L.; Liang, Y.; Wu, H.; Yuan, D. The analysis of Radix Angelicae Sinensis (Danggui). J. Chromatogr. A. 2009, 1216, 1991–2001. [Google Scholar] [CrossRef] [PubMed]
- Wedge, D.E.; Klun, J.A.; Tabanca, N.; Demirci, B.; Ozek, T.; Baser, K.H.C.; Liu, Z.J.; Zhang, S.; Cantrell, C.L.; Zhang, J. Bioactivity-guided fractionation and GC/MS fingerprinting of Angelica sinensis and Angelica archangelica root components for antifungal and mosquito deterrent activity. J. Agric. Food Chem. 2009, 57, 464–470. [Google Scholar] [CrossRef] [PubMed]
- Vaykole, A.M.; Nirmal, S.A.; Jadhav, R.S.; Pattan, S.R. Development and Validation of HPTLC Method To Detect Curcumin, Piperine, and Boswellic Acid in Polyherbal Transdermal Patch. J. Liq. Chromatogr. Relat. Technol. 2013, 37, 367–378. [Google Scholar] [CrossRef]
- Booker, A.; Frommenwiler, D.; Johnston, D.; Umealajekwu, C.; Reich, E.; Heinrich, M. Chemical variability along the value chains of turmeric (Curcuma longa): A comparison of nuclear magnetic resonance spectroscopy and high performance thin layer chromatography. J. Ethnopharmacol. 2014, 152, 292–301. [Google Scholar] [CrossRef] [PubMed]
- Ou, S.; Kwok, K.C. Ferulic acid: Pharmaceutical functions, preparation and applications in foods. J. Sci. Food Agric. 2004, 84, 1261–1269. [Google Scholar] [CrossRef]
- Wu, Y.; Hsieh, C. Pharmacological effects of Radix Angelica sinensis ( Danggui ) on cerebral infarction. Chin. Med. 2011. [Google Scholar] [CrossRef] [PubMed]
- Zhang, L.; Du, J.R.; Wang, J.; Yu, D.K.; Chen, Y.S.; He, Y.; Wang, C.Y. Z-ligustilide extracted from Radix Angelica sinensis decreased platelet aggregation induced by ADP ex vivo and arterio-venous shunt thrombosis in vivo in rats. Yakugaku Zasshi. 2009, 129, 855–859. [Google Scholar] [CrossRef] [PubMed]
- Hou, Y.Z.; Zhao, G.R.; Yang, J.; Yuan, Y.J.; Zhu, G.G.; Hiltunen, R. Protective effect of Ligusticum chuanxiong and Angelica sinensis on endothelial cell damage induced by hydrogen peroxide. Life Sci. 2004, 75, 1775–1786. [Google Scholar] [CrossRef] [PubMed]
- Shang, P.; Qian, A.; Yang, T.; Jia, M.; Mei, Q.; Cho, C.; Zhao, W.; Chen, Z. Experimental study of anti-tumor effects of polysaccharides from Angelica sinensis. World J. Gastroenterol. 2003, 9, 3–10. [Google Scholar] [CrossRef]
- Zhang, Y.; Zhou, T.; Wang, H.; Cui, Z.; Cheng, F.; Wang, K. Structural characterization and in vitro antitumor activity of an acidic polysaccharide from Angelica sinensis (Oliv.) Diels. Carbohydr. Polym. 2016, 147, 401–408. [Google Scholar] [CrossRef] [PubMed]
- Saw, C.L.; Wu, Q.; Su, Z.Y.; Wang, H.; Yang, Y.; Xu, X.; Huang, Y.; Khor, T.O.; Kong, A.N. Effects of natural phytochemicals in Angelica sinensis ( Danggui ) on Nrf2-mediated gene expression of phase II drug metabolizing enzymes and anti-inflammation. Biopharm Drug Dispos. 2013, 311, 303–311. [Google Scholar] [CrossRef] [PubMed]
- Zhuang, C.; Xu, N.; Gao, G.; Ni, S.; Miao, K.; Li, C.; Wang, L.; Xie, H. Polysaccharide from Angelica sinensis protects chondrocytes from H2O2-induced apoptosis through its antioxidant effects in vitro. Int. J. Biol. Macromol. 2016, 8, 322–328. [Google Scholar] [CrossRef] [PubMed]
- Wang, H.; Li, W.; Li, J.; Rendon, M.B.; Ochani, M.; Ashok, M.; Yang, L.; Yang, H.; Tracey, K.J.; Wang, P.; et al. The aqueous extract of a popular herbal nutrient supplement, Angelica sinensis, protects mice against lethal endotoxemia and sepsis. J. Nutr. 2006, 136, 360–365. [Google Scholar] [CrossRef] [PubMed]
- Zhang, Y.W.; Xie, D.; Chen, Y.X.; Zhang, H.Y.; Xia, Z.X. Protective effect of Gui Qi mixture on the progression of diabetic nephropathy in rats. Exp. Clin. Endocrinol. Diabetes. 2006, 114, 563–568. [Google Scholar] [CrossRef] [PubMed]
- Chen, X.P.; Li, W.; Xiao, X.F.; Zhang, L.L.; Liu, C.X. Phytochemical and pharmacological studies on Radix Angelica Sinensis. Chin. J. Nat. Med. 2013, 11, 577–587. [Google Scholar] [CrossRef] [PubMed]
- Cheng, L.L.; Chen, X.N.; Wang, Y.; Yu, L.; Kuang, X.; Wang, L.L.; Yang, W.; Du, J.R. Z-ligustilide isolated from Radix Angelicae Sinensis ameliorates the memory impairment induced by scopolamine in mice. Fitoterapia 2011, 82, 1128–1132. [Google Scholar] [CrossRef] [PubMed]
- Kuang, X.; Chen, Y.; Wang, L.; Li, Y.; Liu, K.; Zhang, M.; Li, L.; Chen, C.; He, Q.; Wang, Y.; et al. Neurobiology of Aging Klotho upregulation contributes to the neuroprotection of ligustilide in an Alzheimer’s disease mouse model. Neurobiol. Aging 2014, 35, 169–178. [Google Scholar] [CrossRef] [PubMed]
- Liu, J.; Wang, W.; Yang, Y.; Yan, Y.; Wang, W.; Wu, H.; Ren, Z. A rapid discrimination of authentic and unauthentic Radix Angelicae Sinensis growth regions by electronic nose coupled with Multivariate Statistical Analyses. Sensors 2014, 14, 20134–20148. [Google Scholar] [CrossRef] [PubMed]
- Upton, R.; American Herbal Pharmacopoeia. American Herbal Pharmacopoeia and Therapeutic Compendium—Dang Gui Root; Upton, R., Ed.; American Herbal Pharmacopoeia: Scotts Valley, CA, USA, 2003.
- Collection of online floras. Available online: http://www.eFloras.org (accessed on 12 July 2015).
- Zhao, Z.; Guo, P.; Brand, E. The formation of daodi medicinal materials. J. Ethnopharmacol. 2012, 140, 476–481. [Google Scholar] [CrossRef] [PubMed]
- Wu, Y.H.; Zhao, R.; Li, C.G. Danggui. In The identification and use of special medicinal materials in Yunnan; Yunnan Science and Technology Press: Kunming, China, 2012. [Google Scholar]
- Yunnan famous medicinal herbs planting technology series editorial board. Yun Danggui. In Yunnan famous medicinal herbs planting technology series; Yunnan Science and Technology Press: Kunming, China, 2013. [Google Scholar]
- Lin, H.M.; Qin, D.Y. Standardized production technology of Danggui; Shield press: Beijing, China, 2009. [Google Scholar]
- Sun, W.; Pan, Q.; Liu, Z.; Meng, Y.; Zhang, T.; Wang, H.; Zeng, X. Genetic resources of oilseed Brassica and related species in Gansu Province, China. Plant Genet. Resour. Charact. Util. 2004, 2, 167–173. [Google Scholar] [CrossRef]
- Zhang, C.; McBean, E. Adaptation Investigations to Respond to Climate Change Projections in Gansu Province, Northern China. Water Resour. Manag. 2014, 28, 1531–1544. [Google Scholar] [CrossRef]
- Xu, J.; Wilkes, A. Biodiversity impact analysis in Northwest Yunnan, Southwest China. Biodivers. Conserv. 2004, 13, 959–983. [Google Scholar] [CrossRef]
- Staub, P.O.; Geck, M.S.; Weckerle, C.S. Incense and ritual plant use in Southwest China: A case study among the Bai in Shaxi. J. Ethnobiol. Ethnomed. 2011. [Google Scholar] [CrossRef] [PubMed]
- Bernard, H.R. Research Methods in Anthropology–Qualitative and Quantitative Approaches; AltaMira Press: Lanham, MD, USA, 2011. [Google Scholar]
- The Convention on Biological Diversity. Available online: https://www.cbd.int/convention (accessed on 8 May 2015).
- The Plant List. Available online: http://www.theplantlist.org/ (accessed on 21 June 2015).
- Flora of China. Available online: http://flora.huh.harvard.edu/china/ (accessed on 21 June 2015).
- European Directorate for the Quality of Medicines & HealthCare. European Pharmacopoeia, 8th ed.; Deutscher Apotheker Verlag: Stuttgart, Germany, 2014; pp. 1753–1755. [Google Scholar]
- Zhang, H.Y.; Bi, W.G.; Yu, Y.; Liao, W.B. Angelica sinensis (Oliv.) Diels in China: Distribution, cultivation, utilization and variation. Genet. Resour. Crop Evol. 2012, 59, 607–613. [Google Scholar] [CrossRef]
- Huber, F.K.; Ineichen, R.; Yang, Y.; Weckerle, C.S. Livelihood and Conservation Aspects of Non-wood Forest Product Collection in the Shaxi Valley, Southwest China. Econ. Bot. 2010, 64, 189–204. [Google Scholar] [CrossRef]
- Sher, H.; Aldosari, A.; Ali, A.; de Boer, H.J. Economic benefits of high value medicinal plants to Pakistani communities: an analysis of current practice and potential. J. Ethnobiol. Ethnomed. 2014. [Google Scholar] [CrossRef] [PubMed]
- Bensky, D.; Clavey, S.; Stöger, E.; Gamble, A. Materia Medica, 3rd ed.; Eastland Press Inc.: Seattle, WA, USA, 2004. [Google Scholar]
- Lou, Y.; Cai, H.; Liu, X.; Cao, G.; Tu, S.; Li, S.; Ma, X.; Qin, K.; Cai, B. Multi-component analysis in sun-dried and sulfur-fumigated Angelicae Sinensis Radix by single marker quantitation and chemometric discrimination. Pharmacogn. Mag. 2014, 10, 189–197. [Google Scholar] [CrossRef] [PubMed]
- Song, X.Y.; Jin, L.; Shi, Y.P.; Li, Y.D.; Chen, J. Multivariate statistical analysis based on a chromatographic fingerprint for the evaluation of important environmental factors that affect the quality of Angelica sinensis. Anal. Methods 2014, 6, 8268–8276. [Google Scholar] [CrossRef]
- Lin, H.; Zhuang, Q.; Fu, H. Habitat niche-fitness and radix yield prediction models for Angelica sinensis cultivated in the alpine area of the southeastern region of Gansu Province, China. Plant Prod. Sci. 2008, 11, 42–58. [Google Scholar] [CrossRef]
- Wei, W.L.; Zeng, R.; Gu, C.M.; Qu, Y.; Huang, L.F. Angelica sinensis in China-A review of botanical profile, ethnopharmacology, phytochemistry and chemical analysis. J. Ethnopharmacol. 2016, 190, 116–141. [Google Scholar] [CrossRef] [PubMed]






| Use Categories | Chinese Medicine 1 | Pharmacological Studies | Main Active Compounds |
|---|---|---|---|
| Tonic | Strengthens and invigorates the blood, tonifies the blood | ||
| Gynecological | Regulates the menses; Menstrual disorders like irregular menstruation, amenorrhea and dysmenorrhea | ||
| Cardiovascular | Activates blood circulation; Blood deficiency with symptoms such as dizziness and palpitations | Improves blood fluidity and inhibits platelet aggregation [11,12,13] Cardiovascular and cerebrovascular diseases [12,14] | Ferulic acid, Z-Ligustilide, A. sinensis extract Z-Ligustilide |
| Respiratory | Disperses cold; Chronic bronchitis | ||
| Gastrointestinal | Moistens (unblock) the intestines and relaxes the bowels; Constipation, abdominal pain | ||
| Nervous system | Alleviates pain | ||
| Other | Rheumatism; Sores, abscesses | Anticancer activities [15,16] Antioxidant activities [14,17,18] Anti-inflammatory effects [17,18,19] Potential treatment of diabetes mellitus [1,20] Alzheimer’s disease [18,21,22,23] | Polysaccharides Z-Lugustilide, A. sinensis extract, Polysaccharides Polysaccharides, A. sinensis extract Ferulic acid, Z-Ligustilide Polysaccharides, ferulic acid |
| Province | Location | Prefecture Level | Inter-Views |
|---|---|---|---|
| Gansu | Huichuan Town (Huìchuānzhèn) | Dingxi City (Dìngxī Shì) | 4 |
| Fuzishan Village (Fǔzǐshāncūn) | Dingxi (Dìngxī) | 1 | |
| Yunnan | Machang (Mǎchǎng) | Dali Bai Autonomous Prefecture (Dàlǐ Báizú Zìzhìzhōu) | 5 |
| Lameirong (Lāměiróng) | Lijiang City (Lìjiāng Shì) | 1 | |
| Labadi (Làbādǐ) | Diqing Tibetan Autonomous Prefecture (Díqìng Zàngzú Zìzhìzhōu) | 3 | |
| Tacheng (Tǎchéng) | Lijiang City (Lìjiāng Shì) | 1 | |
| Bole (Bōlè) | Qujing City (Qǔjìng Shì) | 2 | |
| Yanfang (Yánfāng) | Qujing City (Qǔjìng Shì) | 2 | |
| Lingjiao (Língjiǎo) | Qujing City (Qǔjìng Shì) | 2 | |
| Baishui (Báishuǐ) | Qujing City (Qǔjìng Shì) | 1 | |
| Kunming (Kūnmíng) | Kunming City (Kūnmíng Shì) | 96 |
© 2017 by the authors. Licensee MDPI, Basel, Switzerland. This article is an open access article distributed under the terms and conditions of the Creative Commons Attribution (CC BY) license ( http://creativecommons.org/licenses/by/4.0/).
Share and Cite
Giacomelli, N.; Yongping, Y.; Huber, F.K.; Ankli, A.; Weckerle, C.S. Angelica sinensis (Oliv.) Diels: Influence of Value Chain on Quality Criteria and Marker Compounds Ferulic Acid and Z-Ligustilide. Medicines 2017, 4, 14. https://doi.org/10.3390/medicines4010014
Giacomelli N, Yongping Y, Huber FK, Ankli A, Weckerle CS. Angelica sinensis (Oliv.) Diels: Influence of Value Chain on Quality Criteria and Marker Compounds Ferulic Acid and Z-Ligustilide. Medicines. 2017; 4(1):14. https://doi.org/10.3390/medicines4010014
Chicago/Turabian StyleGiacomelli, Nino, Yang Yongping, Franz K. Huber, Anita Ankli, and Caroline S. Weckerle. 2017. "Angelica sinensis (Oliv.) Diels: Influence of Value Chain on Quality Criteria and Marker Compounds Ferulic Acid and Z-Ligustilide" Medicines 4, no. 1: 14. https://doi.org/10.3390/medicines4010014
APA StyleGiacomelli, N., Yongping, Y., Huber, F. K., Ankli, A., & Weckerle, C. S. (2017). Angelica sinensis (Oliv.) Diels: Influence of Value Chain on Quality Criteria and Marker Compounds Ferulic Acid and Z-Ligustilide. Medicines, 4(1), 14. https://doi.org/10.3390/medicines4010014
