Transcriptomic Analysis of Polyhexamethyleneguanidine-Induced Lung Injury in Mice after a Long-Term Recovery
Abstract
1. Introduction
2. Materials and Methods
2.1. Materials
2.2. Animals
2.3. Experimental Design
2.4. RNA Extraction and mRNA Analysis
2.5. Histopathological Examination
2.6. RNA Extraction and Preparation for Illumina Nova-Seq Sequencing
2.7. Genome Mapping of Paired-End Sequences and Differentially Expressed Genes
2.8. Gene Set Enrichment Test
2.9. Sample Clustering and Heatmap
2.10. Data Analysis
3. Results
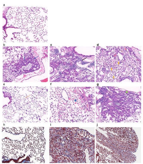
3.1. Histopathological Examination
3.2. Gene Expression Profiles in PHMG-P-Treated and Control Groups
3.3. Gene Set Enrichment Analysis of PHMG-P Treatment
3.4. Network Analysis of Gene Sets in PHMG-P Treated Mice
3.5. Quantitative Real-Time PCR
3.6. Macrophage Polarization in the PHMG-P-Treated Group
4. Discussion
Supplementary Materials
Author Contributions
Funding
Institutional Review Board Statement
Data Availability Statement
Conflicts of Interest
References
- Korea Centers for Disease Control and Prevention. Interim report of epidemiological investigation on lung injury with unknown cause in Korea. Public Health Wkly. Rep. KCDC 2011, 4, 817–832. (In Korean) [Google Scholar]
- Paek, D.; Koh, Y.; Park, D.U.; Cheong, H.K.; Do, K.H.; Lim, C.M.; Hong, S.J.; Kim, Y.H.; Leem, J.H.; Chung, K.H.; et al. Nationwide Study of Humidifier Disinfectant Lung Injury in South Korea, 1994–2011. Incidence and Dose-Response Relationships. Ann. Am. Thorac. Soc. 2015, 12, 1813–1821. [Google Scholar] [CrossRef] [PubMed]
- Cheong, H.-K.; Ha, M.; Lee, J.-H. Unrecognized Bomb Hidden in the Babies’ Room: Fatal Pulmonary Damage Related with Use of Biocide in Humidifiers. Environ. Health Toxicol. 2012, 27. [Google Scholar] [CrossRef]
- Yoon, J.; Cho, H.-J.; Lee, E.; Choi, Y.J.; Kim, Y.-H.; Lee, J.L.; Lee, Y.J.; Hong, S.-J. Rate of humidifier and humidifier disinfectant usage in Korean children: A nationwide epidemiologic study. Environ. Res. 2017, 155, 60–63. [Google Scholar] [CrossRef] [PubMed]
- Jeon, B.-H.; Park, Y.J. Frequency of Humidifier and Humidifier Disinfectant Usage in Gyeonggi Provine. Environ. Health and Toxicol. 2012, 27. [Google Scholar] [CrossRef]
- Kim, K.W.; Ahn, K.; Yang, H.J.; Lee, S.; Park, J.D.; Kim, W.K.; Kim, J.T.; Kim, H.H.; Rha, Y.H.; Park, Y.M.; et al. Humidifier disinfectant-associated children’s interstitial lung disease. Am. J. Respir. Crit. Care Med. 2014, 189, 48–56. [Google Scholar] [CrossRef]
- Ministry of Environment Press Release, December 30, 2020. Available online: http://www.me.go.kr/home/web/board/read.do?pagerOffset=0&maxPageItems=10&maxIndexPages=10&searchKey=&searchValue=&menuId=&orgCd=&boardId=1421620&boardMasterId=1&boardCategoryId=&decorator= (accessed on 10 March 2021).
- Huh, J.-W.; Hong, S.-B.; Do, K.-H.; Koo, H.J.; Jang, S.J.; Lee, M.-S.; Paek, D.; Park, D.-U.; Lim, C.-M.; Koh, Y. Inhalation Lung Injury Associated with Humidifier Disinfectants in Adults. J. Korean Med. Sci. 2016, 31, 1857–1862. [Google Scholar] [CrossRef]
- Lee, E.; Lee, S.-Y.; Hong, S.-J. The past, present and future of humidifier disinfectant-associated interstitial lung diseases in children. Clin. Exp. Pediatr. 2020, 63, 251–258. [Google Scholar] [CrossRef]
- Kim, W.-Y.; Hong, S.-B. Humidifier Disinfectant-Associated Lung Injury: Six Years after the Tragic Event. Tuberc. Respir. Dis. 2017, 80, 351–357. [Google Scholar] [CrossRef] [PubMed]
- Nagalakshmi, U.; Waern, K.; Snyder, M. RNA-Seq: A Method for Comprehensive Transcriptome Analysis. Curr. Protoc. Mol. Biol. 2010, 89, 4–11. [Google Scholar] [CrossRef] [PubMed]
- Wang, Z.; Gerstein, M.; Snyder, M. RNA-Seq: A revolutionary tool for transcriptomics. Nat. Rev. Genet. 2009, 10, 57–63. [Google Scholar] [CrossRef]
- Bushel, P.R.; Fannin, R.D.; Gerrish, K.; Watkins, P.B.; Paules, R.S. Blood gene expression profiling of an early acetaminophen response. Pharm. J. 2016, 17, 230–236. [Google Scholar] [CrossRef][Green Version]
- Fannin, R.D.; Gerrish, K.; Sieber, S.O.; Bushel, P.R.; Watkins, P.B.; Paules, R.S. Blood transcript immune signatures distinguish a subset of people with elevated serum ALT from others given acetaminophen. Clin. Pharmacol. Ther. 2015, 99, 432–441. [Google Scholar] [CrossRef]
- Fannin, R.D.; Russo, M.; O’Connell, T.M.; Gerrish, K.; Winnike, J.H.; Macdonald, J.; Newton, J.; Malik, S.; Sieber, S.O.; Parker, J.; et al. Acetaminophen dosing of humans results in blood transcriptome and metabolome changes consistent with impaired oxidative phosphorylation. Hepatology 2010, 51, 227–236. [Google Scholar] [CrossRef]
- Umbright, C.; Sellamuthu, R.; Li, S.; Kashon, M.; Luster, M.; Joseph, P. Blood gene expression markers to detect and distinguish target organ toxicity. Mol. Cell. Biochem. 2009, 335, 223–234. [Google Scholar] [CrossRef] [PubMed]
- Alexander, D.J.; Collins, C.J.; Coombs, D.W.; Gilkison, I.S.; Hardy, C.J.; Healey, G.; Karantabias, G.; Johnson, N.; Karlsson, A.; Kilgour, J.D.; et al. Association of Inhalation Toxicologists (AIT) Working Party Recommendation for Standard Delivered Dose Calculation and Expression in Non-Clinical Aerosol Inhalation Toxicology Studies with Pharmaceuticals. Inhal. Toxicol. 2008, 20, 1179–1189. [Google Scholar] [CrossRef] [PubMed]
- Reagan-Shaw, S.; Nihal, M.; Ahmad, N. Dose translation from animal to human studies revisited. FASEB J. 2008, 22, 659–661. [Google Scholar] [CrossRef] [PubMed]
- Song, J.A.; Park, H.-J.; Yang, M.-J.; Jung, K.J.; Yang, H.-S.; Song, C.-W.; Lee, K. Polyhexamethyleneguanidine phosphate induces severe lung inflammation, fibrosis and thymic atrophy. Food Chem. Toxicol. 2014, 69, 267–275. [Google Scholar] [CrossRef]
- Bustin, S.A.; Benes, V.; Garson, J.A.; Hellemans, J.; Huggett, J.; Kubista, M.; Mueller, R.; Nolan, T.; Pfaffl, M.W.; Shipley, G.L.; et al. The MIQE Guidelines: Minimum Information for Publication of Quantitative Real-Time PCR Experiments. Clin. Chem. 2009, 55, 611–622. [Google Scholar] [CrossRef] [PubMed]
- Kim, D.; Langmead, B.; Salzberg, S.L. HISAT: A fast spliced aligner with low memory requirements. Nat. Methods 2015, 12, 357–360. [Google Scholar] [CrossRef]
- Pertea, M.; Pertea, G.M.; Antonescu, C.M.; Chang, T.-C.; Mendell, J.T.; Salzberg, S.L. StringTie enables improved reconstruction of a transcriptome from RNA-seq reads. Nat. Biotechnol. 2015, 33, 290–295. [Google Scholar] [CrossRef] [PubMed]
- Zhou, Y.; Zhou, B.; Pache, L.; Chang, M.; Khodabakhshi, A.H.; Tanaseichuk, O.; Benner, C.; Chanda, S.K. Metascape provides a biologist-oriented resource for the analysis of systems-level datasets. Nat. Commun. 2019, 10, 1–10. [Google Scholar] [CrossRef] [PubMed]
- Ashburner, M.; Ball, C.A.; Blake, J.A.; Botstein, D.; Butler, H.; Cherry, J.M.; Davis, A.P.; Dolinski, K.; Dwight, S.S.; Eppig, J.T.; et al. Gene Ontology: Tool for the unification of biology. Nat. Genet. 2000, 25, 25–29. [Google Scholar] [CrossRef] [PubMed]
- Cohen, J. A Coefficient of Agreement for Nominal Scales. Educ. Psychol. Meas. 1960, 20, 37–46. [Google Scholar] [CrossRef]
- Borie, R.; Danel, C.; Debray, M.P.; Taille, C.; Dombret, M.C.; Aubier, M.; Epaud, R.; Crestani, B. Pulmonary alveolar proteinosis. Eur. Respir. Rev. 2011, 20, 98–107. [Google Scholar] [CrossRef]
- Corrin, B.; Soliman, S.S. Cholesterol in the lungs of heavy cigarette smokers. Thorax 1978, 33, 565–568. [Google Scholar] [CrossRef] [PubMed]
- Zhang, M.; Tie, H.-T.; Wang, C.-L.; Wu, Q.-C. Pulmonary interstitial cholesterol crystals associated with diffuse lung cysts in adult: A case report and literature review. J. Cardiothorac. Surg. 2016, 11, 11. [Google Scholar] [CrossRef]
- Kruzel, M.L.; Zimecki, M.; Actor, J.K. Lactoferrin in a Context of Inflammation-Induced Pathology. Front. Immunol. 2017, 8, 1438. [Google Scholar] [CrossRef]
- Churg, A.; Wang, R.D.; Tai, H.; Wang, X.; Xie, C.; Dai, J.; Shapiro, S.D.; Wright, J.L. Macrophage Metalloelastase Mediates Acute Cigarette Smoke–induced Inflammation via Tumor Necrosis Factor-α Release. Am. J. Respir. Crit. Care Med. 2003, 167, 1083–1089. [Google Scholar] [CrossRef]
- Ather, J.; Ckless, K.; Martin, R.; Foley, K.L.; Suratt, B.T.; Boyson, J.E.; Fitzgerald, K.; Flavell, R.A.; Eisenbarth, S.C.; Poynter, M.E. Serum Amyloid a Activates the NLRP3 Inflammasome and Promotes Th17 Allergic Asthma in Mice. J. Immunol. 2011, 187, 64–73. [Google Scholar] [CrossRef]
- Chen, E.Y.; Tan, C.M.; Kou, Y.; Duan, Q.; Wang, Z.; Meirelles, G.V.; Clark, N.R.; Ma’Ayan, A. Enrichr: Interactive and collaborative HTML5 gene list enrichment analysis tool. BMC Bioinform. 2013, 14, 128. [Google Scholar] [CrossRef]
- Wynn, T.A. Cellular and molecular mechanisms of fibrosis. J. Pathol. 2007, 214, 199–210. [Google Scholar] [CrossRef] [PubMed]
- Gundra, U.M.; Girgis, N.M.; Ruckerl, D.; Jenkins, S.; Ward, L.N.; Kurtz, Z.D.; Wiens, K.E.; Tang, M.S.; Basu-Roy, U.; Mansukhani, A.; et al. Alternatively activated macrophages derived from monocytes and tissue macrophages are phenotypically and functionally distinct. Blood 2014, 123, e110–e122. [Google Scholar] [CrossRef] [PubMed]
- Mould, K.J.; Barthel, L.; Mohning, M.P.; Thomas, S.M.; McCubbrey, A.L.; Danhorn, T.; Leach, S.M.; Fingerlin, T.E.; O’Connor, B.P.; Reisz, J.A.; et al. Cell Origin Dictates Programming of Resident versus Recruited Macrophages during Acute Lung Injury. Am. J. Respir. Cell Mol. Biol. 2017, 57, 294–306. [Google Scholar] [CrossRef] [PubMed]
- Mould, K.J.; Jackson, N.D.; Henson, P.M.; Seibold, M.; Janssen, W.J. Single cell RNA sequencing identifies unique inflammatory airspace macrophage subsets. JCI Insight 2019, 4. [Google Scholar] [CrossRef]
- Honold, L.; Nahrendorf, M. Resident and Monocyte-Derived Macrophages in Cardiovascular Disease. Circ. Res. 2018, 122, 113–127. [Google Scholar] [CrossRef]
- Shim, H.E.; Lee, J.Y.; Lee, C.H.; Mushtaq, S.; Song, H.Y.; Song, L.; Choi, S.-J.; Lee, K.; Jeon, J. Quantification of inhaled aerosol particles composed of toxic household disinfectant using radioanalytical method. Chemosphere 2018, 207, 649–654. [Google Scholar] [CrossRef]
- Dutta, S.; Sengupta, P. Men and mice: Relating their ages. Life Sci. 2016, 152, 244–248. [Google Scholar] [CrossRef]
- Wang, S.; Lai, X.; Deng, Y.; Song, Y. Correlation between mouse age and human age in anti-tumor research: Significance and method establishment. Life Sci. 2020, 242, 117242. [Google Scholar] [CrossRef]
- Kim, H.R.; Lee, K.; Park, C.W.; Song, J.A.; Shin, D.Y.; Park, Y.J.; Chung, K.H. Polyhexamethylene guanidine phosphate aerosol particles induce pulmonary inflammatory and fibrotic responses. Arch Toxicol. 2016, 90, 617–632. [Google Scholar] [CrossRef]
- Song, J.; Kim, W.; Kim, Y.B.; Kim, B.; Lee, K. Time course of polyhexamethyleneguanidine phosphate-induced lung in-flammation and fibrosis in mice. Toxicol. Appl. Pharmacol. 2018, 345, 94–102. [Google Scholar] [CrossRef]
- Janssen, W.J.; Barthel, L.; Muldrow, A.; Oberley-Deegan, R.; Kearns, M.T.; Jakubzick, C.; Henson, P.M. Fas Determines Differential Fates of Resident and Recruited Macrophages during Resolution of Acute Lung Injury. Am. J. Respir. Crit. Care Med. 2011, 184, 547–560. [Google Scholar] [CrossRef]
- Kearns, M.T.; Barthel, L.; Bednarek, J.M.; Yunt, Z.X.; Henson, P.M.; Janssen, W.J. Fas ligand-expressing lymphocytes enhance alveolar macrophage apoptosis in the resolution of acute pulmonary inflammation. Am. J. Physiol. Cell. Mol. Physiol. 2014, 307, L62–L70. [Google Scholar] [CrossRef]
- Davies, L.; Rosas, M.; Jenkins, S.; Liao, C.-T.; Scurr, M.; Brombacher, F.; Fraser, D.; Allen, J.; Jones, S.A.; Taylor, P.R. Distinct bone marrow-derived and tissue-resident macrophage lineages proliferate at key stages during inflammation. Nat. Commun. 2013, 4, 1–10. [Google Scholar] [CrossRef]
- Murray, P.J.; Wynn, T.A. Protective and pathogenic functions of macrophage subsets. Nat. Rev. Immunol. 2011, 11, 723–737. [Google Scholar] [CrossRef] [PubMed]
- Rosseau, S.; Hammerl, P.; Maus, U.; Walmrath, H.D.; Schutte, H.; Grimminger, F.; Seeger, W.; Lohmeyer, J. Phenotypic charac-terization of alveolar monocyte recruitment in acute respiratory distress syndrome. Am. J. Physiol. Lung Cell Mol. Physiol. 2000, 279, L25–L35. [Google Scholar] [CrossRef] [PubMed]
- Stroncek, D.F.; Caruccio, L.; Bettinotti, M. CD177: A member of the Ly-6 gene superfamily involved with neutrophil pro-liferation and polycythemia vera. J. Transl. Med. 2004, 2, 8. [Google Scholar] [CrossRef] [PubMed]
- Chen, G.Y.; Nuñez, G. Sterile inflammation: Sensing and reacting to damage. Nat. Rev. Immunol. 2010, 10, 826–837. [Google Scholar] [CrossRef]
- Feldman, N.; Rotter-Maskowitz, A.; Okun, E. DAMPs as mediators of sterile inflammation in aging-related pathologies. Ageing Res. Rev. 2015, 24, 29–39. [Google Scholar] [CrossRef]
- Duewell, P.; Kono, H.; Rayner, K.; Sirois, C.M.; Vladimer, G.; Bauernfeind, F.G.; Abela, G.S.; Franchi, L.; Nuñez, G.; Schnurr, M.; et al. NLRP3 inflammasomes are required for atherogenesis and activated by cholesterol crystals. Nat. Cell Biol. 2010, 464, 1357–1361. [Google Scholar] [CrossRef]
- Rajamäki, K.; Lappalainen, J.; Öörni, K.; Välimäki, E.; Matikainen, S.; Kovanen, P.T.; Eklund, K.K. Cholesterol Crystals Activate the NLRP3 Inflammasome in Human Macrophages: A Novel Link between Cholesterol Metabolism and Inflammation. PLoS ONE 2010, 5, e11765. [Google Scholar] [CrossRef] [PubMed]
- Deryugina, E.I.; Quigley, J.P. Cell Surface Remodeling by Plasmin: A New Function for an Old Enzyme. J. Biomed. Biotechnol. 2012, 2012, 1–21. [Google Scholar] [CrossRef] [PubMed]
- Schuliga, M.; Jaffar, J.; Harris, T.; Knight, D.; Westall, G.; Stewart, A.G. The fibrogenic actions of lung fibroblast-derived urokinase: A potential drug target in IPF. Sci. Rep. 2017, 7, 41770. [Google Scholar] [CrossRef] [PubMed]
- Endo, M.; Oyadomari, S.; Terasaki, Y.; Takeya, M.; Suga, M.; Mori, M.; Gotoh, T. Induction of arginase I and II in bleomy-cin-induced fibrosis of mouse lung. Am. J. Physiol. Lung Cell Mol. Physiol. 2003, 285, L313–L321. [Google Scholar] [CrossRef] [PubMed]
- Chang, C.-I.; Liao, J.C.; Kuo, L. Arginase modulates nitric oxide production in activated macrophages. Am. J. Physiol. Circ. Physiol. 1998, 274, H342–H348. [Google Scholar] [CrossRef] [PubMed]
- Dupuy, P.M.; Shore, S.; Drazen, J.M.; Frostell, C.; Hill, W.; Zapol, W.M. Bronchodilator action of inhaled nitric oxide in guinea pigs. J. Clin. Investig. 1992, 90, 421–428. [Google Scholar] [CrossRef]
- Sharpless, N.; Sherr, C.J. Forging a signature of in vivo senescence. Nat. Rev. Cancer 2015, 15, 397–408. [Google Scholar] [CrossRef]
- Aoshiba, K.; Tsuji, T.; Nagai, A. Bleomycin induces cellular senescence in alveolar epithelial cells. Eur. Respir. J. 2003, 22, 436–443. [Google Scholar] [CrossRef]
- Schafer, M.J.; White, T.A.; Iijima, K.; Haak, A.J.; Ligresti, G.; Atkinson, E.J.; Oberg, A.L.; Birch, J.; Salmonowicz, H.; Zhu, Y.; et al. Cellular senescence mediates fibrotic pulmonary disease. Nat. Commun. 2017, 8, 14532. [Google Scholar] [CrossRef]
- Maremanda, K.P.; Sundar, I.K.; Li, D.; Rahman, I. Age-Dependent Assessment of Genes Involved in Cellular Senescence, Telomere and Mitochondrial Pathways in Human Lung Tissue of Smokers, COPD and IPF: Associations with SARS-CoV-2 COVID-19 ACE2-TMPRSS2-Furin-DPP4 Axis. Front Pharmacol. 2020, 9, 584637. [Google Scholar] [CrossRef]
- Kropski, J.A.; Richmond, B.W.; Gaskill, C.F.; Foronjy, R.F.; Majka, S.M. Deregulated angiogenesis in chronic lung diseases: A possible role for lung mesenchymal progenitor cells (2017 Grover Conference Series). Pulm. Circ. 2018, 8. [Google Scholar] [CrossRef]
- Murray, L.A.; Habiel, D.M.; Hohmann, M.; Camelo, A.; Shang, H.; Zhou, Y.; Coelho, A.L.; Peng, X.; Gulati, M.; Crestani, B.; et al. Antifibrotic role of vascular endothelial growth factor in pulmonary fibrosis. JCI Insight 2017, 2. [Google Scholar] [CrossRef]
- Keane, M.P. Angiogenesis and pulmonary fibrosis: Feast or famine? Am. J. Respir. Crit. Care Med. 2004, 170, 207–209. [Google Scholar] [CrossRef] [PubMed]
- Baguma-Nibasheka, M.; Gugic, D.; Saraga-Babic, M.; Kablar, B. Role of skeletal muscle in lung development. Histol. Histopathol. 2012, 27, 817–826. [Google Scholar] [PubMed]
- Lyle, M.A.; Davis, J.P.; Brozovich, F.V. Regulation of Pulmonary Vascular Smooth Muscle Contractility in Pulmonary Ar-terial Hypertension: Implications for Therapy. Front Physiol. 2017, 8, 614. [Google Scholar] [CrossRef] [PubMed]
- Mitzner, W. Airway smooth muscle: The appendix of the lung. Am. J. Respir. Crit. Care Med. 2004, 169, 787–790. [Google Scholar] [CrossRef]
- Halayko, A.J.; Tran, T.; Gosens, R. Phenotype and Functional Plasticity of Airway Smooth Muscle: Role of Caveolae and Caveolins. Proc. Am. Thorac. Soc. 2008, 5, 80–88. [Google Scholar] [CrossRef]
- Gosens, R.; Stelmack, G.L.; Dueck, G.; McNeill, K.D.; Yamasaki, A.; Gerthoffer, W.; Unruh, H.; Gounni, A.S.; Zaagsma, J.; Halayko, A.J. Role of caveolin-1 in p42/p44 MAP kinase activation and proliferation of human airway smooth muscle. Am. J. Physiol. Cell. Mol. Physiol. 2006, 291, L523–L534. [Google Scholar] [CrossRef]
- Wang, X.M.; Zhang, Y.; Kim, H.P.; Zhou, Z.; Feghali-Bostwick, C.A.; Liu, F.; Ifedigbo, E.; Xu, X.; Oury, T.D.; Kaminski, N.; et al. Caveolin-1: A critical regulator of lung fibrosis in idiopathic pulmonary fibrosis. J. Exp. Med. 2006, 203, 2895–2906. [Google Scholar] [CrossRef]
- Jin, Y.; Lee, S.-J.; Minshall, R.D.; Choi, A.M.K. Caveolin-1: A critical regulator of lung injury. Am. J. Physiol. Cell. Mol. Physiol. 2011, 300, L151–L160. [Google Scholar] [CrossRef] [PubMed]
- Distler, J.H.W.; Györfi, A.-H.; Ramanujam, M.; Whitfield, M.L.; Königshoff, M.; Lafyatis, R. Shared and distinct mechanisms of fibrosis. Nat. Rev. Rheumatol. 2019, 15, 705–730. [Google Scholar] [CrossRef]
- Glynos, C.; Dupont, L.L.; Vassilakopoulos, T.; Papapetropoulos, A.; Brouckaert, P.; Giannis, A.; Joos, G.F.; Bracke, K.; Brusselle, G. The Role of Soluble Guanylyl Cyclase in Chronic Obstructive Pulmonary Disease. Am. J. Respir. Crit. Care Med. 2013, 188, 789–799. [Google Scholar] [CrossRef]
- Papapetropoulos, A.; Simoes, D.C.M.; Xanthou, G.; Roussos, C.; Gratziou, C. Soluble guanylyl cyclase expression is reduced in allergic asthma. Am. J. Physiol. Cell. Mol. Physiol. 2006, 290, L179–L184. [Google Scholar] [CrossRef][Green Version]
- Sandner, P.; Stasch, J.P. Anti-fibrotic effects of soluble guanylate cyclase stimulators and activators: A review of the pre-clinical evidence. Respir. Med. 2017, 122 (Suppl. S1), S1–S9. [Google Scholar] [CrossRef]
- Hall, K.C.; Bernier, S.G.; Jacobson, S.; Liu, G.; Zhang, P.Y.; Sarno, R.; Catanzano, V.; Currie, M.G.; Masferrer, J.L. sGC stimulator praliciguat suppresses stellate cell fibrotic transformation and inhibits fibrosis and inflammation in models of NASH. Proc. Natl. Acad. Sci. USA 2019, 116, 11057–11062. [Google Scholar] [CrossRef]
- Bachiller, P.R.; Cornog, K.H.; Kato, R.; Buys, E.S.; Roberts, J.D. Soluble guanylate cyclase modulates alveolarization in the newborn lung. Am. J. Physiol. Cell. Mol. Physiol. 2013, 305, L569–L581. [Google Scholar] [CrossRef]
- Coulombe, P.A.; Tong, X.; Mazzalupo, S.; Wang, Z.; Wong, P. Great promises yet to be fulfilled: Defining keratin intermediate filament function in vivo. Eur. J. Cell Biol. 2004, 83, 735–746. [Google Scholar] [CrossRef]
- Hegab, A.E.; Ha, V.L.; Gilbert, J.L.; Zhang, K.X.; Malkoski, S.P.; Chon, A.T.; Darmawan, D.O.; Bisht, B.; Ooi, A.T.; Pellegrini, M.; et al. Novel Stem/Progenitor Cell Population from Murine Tracheal Submucosal Gland Ducts with Multipotent Regenerative Potential. Stem Cells 2011, 29, 1283–1293. [Google Scholar] [CrossRef] [PubMed]
- Smirnova, N.F.; Schamberger, A.C.; Nayakanti, S.; Hatz, R.; Behr, J.; Eickelberg, O. Detection and quantification of epithelial progenitor cell populations in human healthy and IPF lungs. Respir. Res. 2016, 17, 1–11. [Google Scholar] [CrossRef] [PubMed]
- Ficial, M.; Antonaglia, C.; Chilosi, M.; Santagiuliana, M.; Tahseen, A.-O.; Confalonieri, D.; Zandonà, L.; Bussani, R.; Confalonieri, M. Keratin-14 Expression in Pneumocytes as a Marker of Lung Regeneration/Repair during Diffuse Alveolar Damage. Am. J. Respir. Crit. Care Med. 2014, 189, 1142–1145. [Google Scholar] [CrossRef] [PubMed]
- Dakir, E.H.; Feigenbaum, L.; Linnoila, R.I. Constitutive expression of human keratin 14 gene in mouse lung induces premalignant lesions and squamous differentiation. Carcinogenesis 2008, 29, 2377–2384. [Google Scholar] [CrossRef]






| Histopathological Findings | Control | PHMG-P |
|---|---|---|
| Foamy macrophage aggregation | 0.00 ± 0.00 | 1.25 ± 0.96 |
| Brochiolo–alveolar hyperplasia | 0.00 ± 0.00 | 2.50 ± 0.58 |
| Interstitial fibrosis | 0.00 ± 0.00 | 1.75 ± 0.96 |
| Alveolar/foamy/pigmented, diffuse macrophage | 0.00 ± 0.00 | 2.25 ± 1.26 |
| Cholesterol cleft | 0.00 ± 0.00 | 2.00 ± 0.00 |
| Alveolar proteinaceous substance | 0.00 ± 0.00 | 1.75 ± 1.26 |
| Lymphocytes infiltration | 0.00 ± 0.00 | 1.75 ± 0.50 |
| Genes | Description | Fold Change | Volume | p-Value |
|---|---|---|---|---|
| Ltf | Lactotransferrin | 275.95 | 5.57 | 1 × 10−4 |
| Gp2 | Glycoprotein 2 (zymogen granule membrane) | 32.01 | 1.99 | 5 × 10−4 |
| Krt14 | Keratin 14 | 24.72 | 0.75 | 2 × 10−3 |
| Gpnmb | Glycoprotein (transmembrane) nmb | 24.70 | 4.33 | 4 × 10−5 |
| Mmp12 | Matrix metallopeptidase 12 | 20.84 | 3.23 | 1 × 10−4 |
| Bpifa1 | BPI fold containing family A, member 1 | 16.73 | 9.25 | 2 × 10−3 |
| Saa3 | Serum amyloid A 3 | 16.33 | 2.88 | 5 × 10−4 |
| Retnla | Resistin-like alpha | 16.30 | 7.13 | 1 × 10−4 |
| Jchain | Immunoglobulin joining chain | 14.74 | 6.88 | 8 × 10−3 |
| Cd177 | CD177 antigen | 14.30 | 3.75 | 5 × 10−3 |
| Genes | Description | Fold Change | Volume | p-Value |
|---|---|---|---|---|
| Car3 | Carbonic anhydrase 3 | −26.88 | 1.42 | 1 × 10−2 |
| Cfd | Complement factor D (adipsin) | −22.98 | 1.76 | 1 × 10−2 |
| Bex4 | Nerve growth factor receptor-associated protein 3, Brain expressed X-linked 4 | −9.38 | 2.11 | 5 × 10−3 |
| Bex2 | Brain expressed X-linked 2 | −9.05 | 3.08 | 7 × 10−5 |
| Hist1h2br | Histone cluster 1 H2br | −7.15 | 0.41 | 1 × 10−2 |
| Fabp1 | Fatty acid binding protein 1, liver | −6.24 | 3.16 | 3 × 10−4 |
| Igfbp3 | Insulin-like growth factor binding protein 3 | −5.71 | 3.76 | 7 × 10−3 |
| Slc7a10 | Solute carrier family 7, member 10 | −5.57 | 2.38 | 8 × 10−4 |
| Glp1r | Glucagon-like peptide 1 receptor | −5.46 | 3.94 | 2 × 10−3 |
| Cidec | Cell death-inducing DFFA-like effector c | −5.21 | 1.98 | 3 × 10−3 |
Publisher’s Note: MDPI stays neutral with regard to jurisdictional claims in published maps and institutional affiliations. |
© 2021 by the authors. Licensee MDPI, Basel, Switzerland. This article is an open access article distributed under the terms and conditions of the Creative Commons Attribution (CC BY) license (https://creativecommons.org/licenses/by/4.0/).
Share and Cite
Song, J.; Jung, K.-J.; Cho, J.-W.; Park, T.; Han, S.-C.; Park, D. Transcriptomic Analysis of Polyhexamethyleneguanidine-Induced Lung Injury in Mice after a Long-Term Recovery. Toxics 2021, 9, 253. https://doi.org/10.3390/toxics9100253
Song J, Jung K-J, Cho J-W, Park T, Han S-C, Park D. Transcriptomic Analysis of Polyhexamethyleneguanidine-Induced Lung Injury in Mice after a Long-Term Recovery. Toxics. 2021; 9(10):253. https://doi.org/10.3390/toxics9100253
Chicago/Turabian StyleSong, Jeongah, Kyung-Jin Jung, Jae-Woo Cho, Tamina Park, Su-Cheol Han, and Daeui Park. 2021. "Transcriptomic Analysis of Polyhexamethyleneguanidine-Induced Lung Injury in Mice after a Long-Term Recovery" Toxics 9, no. 10: 253. https://doi.org/10.3390/toxics9100253
APA StyleSong, J., Jung, K.-J., Cho, J.-W., Park, T., Han, S.-C., & Park, D. (2021). Transcriptomic Analysis of Polyhexamethyleneguanidine-Induced Lung Injury in Mice after a Long-Term Recovery. Toxics, 9(10), 253. https://doi.org/10.3390/toxics9100253

