Safety Evaluation of Curcumol by a Repeated Dose 28-Day Oral Exposure Toxicity Study in Rats
Abstract
1. Introduction
2. Materials and Methods
2.1. Test Article and Chemicals
2.2. Experimental Animals
2.3. Dose Formulation Analysis and Pharmacokinetic Assay
2.4. Repeated 28-Day Toxicity Study Design
2.5. Clinical Observation, Body Weight and Food Consumption Recording
2.6. Hematology and Biochemistry Analysis
2.7. Necropsy, Organ Weight and Histopathology
2.8. Hematotoxicity Examination In Vitro
2.9. Statistical Analysis
3. Results
3.1. Dose Formulation Analysis and Pharmacokinetic Assay
3.2. Clinical Observations
3.3. Body Weight and Food Consumption
3.4. Hematology
3.5. Blood Chemistry
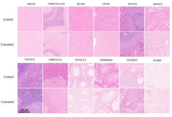
3.6. Necropsy, Organ Weights and Histopathology
3.7. Hematotoxicity Study In Vitro
4. Discussion
5. Conclusions
Author Contributions
Funding
Institutional Review Board Statement
Informed Consent Statement
Data Availability Statement
Conflicts of Interest
References
- Bajracharya, R.; Song, J.G.; Lee, S.H.; Jeong, S.H.; Han, H.K. Enhanced Oral Bioavailability of MT-102, a New Anti-inflammatory Agent, via a Ternary Solid Dispersion Formulation. Pharmaceutics 2022, 14, 1510. [Google Scholar] [CrossRef] [PubMed]
- Chen, Y.; Zhu, Z.; Chen, J.; Zheng, Y.; Limsila, B.; Lu, M.; Gao, T.; Yang, Q.; Fu, C.; Liao, W. Terpenoids from Curcumae Rhizoma: Their anticancer effects and clinical uses on combination and versus drug therapies. Bio. Pharmacother. 2021, 138, 111350. [Google Scholar] [CrossRef] [PubMed]
- Nouri-Vaskeh, M.; Malek Mahdavi, A.; Afshan, H.; Alizadeh, L.; Zarei, M. Effect of curcumin supplementation on disease severity in patients with liver cirrhosis: A randomized controlled trial. Phytother. Res. 2020, 34, 1446–1454. [Google Scholar] [CrossRef] [PubMed]
- Wang, Z.; Xia, Q.; Liu, X.; Liu, W.; Huang, W.; Mei, X.; Luo, J.; Shan, M.; Lin, R.; Zou, D.; et al. Phytochemistry, pharmacology, quality control and future research of Forsythia suspensa (Thunb.) Vahl: A review. J. Ethnopharmacol. 2018, 210, 318–339. [Google Scholar] [CrossRef] [PubMed]
- Ning, L.; Ma, H.; Jiang, Z.; Chen, L.; Li, L.; Chen, Q.; Qi, H. Curcumol Suppresses Breast Cancer Cell Metastasis by Inhibiting MMP-9 Via JNK1/2 and Akt-Dependent NF-κB Signaling Pathways. Integr. Cancer Ther. 2016, 15, 216–225. [Google Scholar] [CrossRef]
- Wang, J.; Huang, F.; Bai, Z.; Chi, B.; Wu, J.; Chen, X. Curcumol Inhibits Growth and Induces Apoptosis of Colorectal Cancer LoVo Cell Line via IGF-1R and p38 MAPK Pathway. Int. J. Mol. Sci. 2015, 16, 19851–19867. [Google Scholar] [CrossRef]
- Zheng, Y.; Wang, J.; Wang, J.; Xie, H.; Zhao, T. Effect of Curcumol on the Fenestrae of Liver Sinusoidal Endothelial Cells Based on NF-κB Signaling Pathway. Evid.-Based Complement. Altern. Med. Ecam. 2020, 2020, 8590638. [Google Scholar] [CrossRef]
- Sun, S.; Huan, S.; Li, Z.; Yao, Y.; Su, Y.; Xia, S.; Wang, S.; Xu, X.; Shao, J.; Zhang, Z.; et al. Curcumol alleviates liver fibrosis by inducing endoplasmic reticulum stress-mediated necroptosis of hepatic stellate cells through Sirt1/NICD pathway. PeerJ 2022, 10, e13376. [Google Scholar] [CrossRef]
- Wang, Y.; Nie, X.B.; Liu, S.J.; Liu, J.; Bian, W.H. Curcumol Attenuates Endometriosis by Inhibiting the JAK2/STAT3 Signaling Pathway. Med. Sci. Monit. 2022, 28, e934914. [Google Scholar] [CrossRef]
- Zheng, J.; Xu, Y.; Khan, A.; Sun, P.; Sun, Y.; Fan, K.; Yin, W.; Wang, S.; Li, H.; Sun, N. Curcumol inhibits encephalomyocarditis virus by promoting IFN-β secretion. BMC Vet. Res. 2021, 17, 318. [Google Scholar] [CrossRef]
- Doan, C.C.; Le, T.L.; Ho, N.Q.C.; La, T.H.L.; Nguyen, V.C.; Le, V.D.; Nguyen, T.P.T.; Hoang, N.S. Bioactive chemical constituents, in vitro anti-proliferative activity and in vivo toxicity of the extract of Curcuma singularis Gagnep rhizomes. J. Ethnopharmacol. 2022, 284, 114803. [Google Scholar] [CrossRef]
- Murugan, S.; Solanki, H.; Purusothaman, D.; Bethapudi, B.; Ravalji, M.; Mundkinajeddu, D. Safety Evaluation of Standardized Extract of <i>Curcuma longa</i> (NR-INF-02): A 90-Day Subchronic Oral Toxicity Study in Rats. BioMed Res. Int. 2021, 2021, 6671853. [Google Scholar] [CrossRef]
- Li, J.; Mao, C.; Li, L.; Ji, D.; Yin, F.; Lang, Y.; Lu, T.; Xiao, Y.; Li, L. Pharmacokinetics and liver distribution study of unbound curdione and curcumol in rats by microdialysis coupled with rapid resolution liquid chromatography (RRLC) and tandem mass spectrometry. J. Pharm. Biomed. Anal. 2014, 95, 146–150. [Google Scholar] [CrossRef]
- Gupta, L.; Sood, P.K.; Nehru, B.; Sharma, S. Ameliorative Effect of Palm Oil in Aluminum Lactate Induced Biochemical and Histological Implications in Rat Brain. Biol. Trace Elem. Res. [CrossRef]
- Zech, J.; Gold, D.; Salaymeh, N.; Sasson, N.C.; Rabinowitch, I.; Golenser, J.; Mäder, K. Oral Administration of Artemisone for the Treatment of Schistosomiasis: Formulation Challenges and In Vivo Efficacy. Pharmaceutics 2020, 12, 509. [Google Scholar] [CrossRef]
- Zuo, H.X.; Jin, Y.; Wang, Z.; Li, M.Y.; Zhang, Z.H.; Wang, J.Y.; Xing, Y.; Ri, M.H.; Jin, C.H.; Xu, G.H.; et al. Curcumol inhibits the expression of programmed cell death-ligand 1 through crosstalk between hypoxia-inducible factor-1α and STAT3 (T705) signaling pathways in hepatic cancer. J. Ethnopharmacol. 2020, 257, 112835. [Google Scholar] [CrossRef]
- Delwatta, S.L.; Gunatilake, M.; Baumans, V.; Seneviratne, M.D.; Dissanayaka, M.L.B.; Batagoda, S.S.; Udagedara, A.H.; Walpola, P.B. Reference values for selected hematological, biochemical and physiological parameters of Sprague-Dawley rats at the Animal House, Faculty of Medicine, University of Colombo, Sri Lanka. Anim. Model. Exp. Med. 2018, 1, 250–254. [Google Scholar] [CrossRef]
- Li, G.; Yang, M.; Hao, X.; Li, C.; Gao, Y.; Tao, J. Acute toxicity of sodium formononetin-3′-sulphonate (Sul-F) in Sprague-Dawley rats and Beagle dogs. Regul. Toxicol. Pharm. 2015, 73, 629–633. [Google Scholar] [CrossRef]
- Qi, X.; Zheng, S.; Ma, M.; Lian, N.; Wang, H.; Chen, L.; Song, A.; Lu, C.; Zheng, S.; Jin, H. Curcumol Suppresses CCF-Mediated Hepatocyte Senescence Through Blocking LC3B-Lamin B1 Interaction in Alcoholic Fatty Liver Disease. Front. Pharmacol. 2022, 13, 912825. [Google Scholar] [CrossRef]
- Yang, Z.; Sun, Q.; Wang, S.; Tang, B.; Yuan, C.; Wu, Y.; Dai, J.; Yang, C.; Wang, L.; Zhou, Q.; et al. Pharmacokinetics, tissue distribution, and plasma protein binding rate of curcumol in rats using liquid chromatography tandem mass spectrometry. Front. Pharmacol. 2022, 13, 1036732. [Google Scholar] [CrossRef]
- Benbrook, D.M.; Janakiram, N.B.; Chandra, V.; Pathuri, G.; Madka, V.; Stratton, N.C.; Masamha, C.P.; Farnsworth, C.N.; Garcia-Contreras, L.; Hatipoglu, M.K.; et al. Development of a dietary formulation of the SHetA2 chemoprevention drug for mice. Investig. New Drugs 2018, 36, 561–570. [Google Scholar] [CrossRef] [PubMed]
- Yuan, W.; Sun, H.; Yu, L.; Wang, J. Curcumol inhibits keloid fibroblast proliferation and collagen synthesis through the ERK signaling pathway. Nan Fang Yi Ke Da Xue Xue Bao J. South. Med. Univ. 2021, 41, 687–693. [Google Scholar] [CrossRef]
- Lv, M.; Shao, J.; Jiang, F.; Liu, J. Curcumol may alleviate psoriasis-like inflammation by inhibiting keratinocyte proliferation and inflammatory gene expression via JAK1/STAT3 signaling. Aging 2021, 13, 18392–18403. [Google Scholar] [CrossRef] [PubMed]
- Yang, L.; Xiong, H.; Li, X.; Li, Y.; Zhou, H.; Lin, X.; Chan, T.F.; Li, R.; Lai, K.P.; Chen, X. Network Pharmacology and Comparative Transcriptome Reveals Biotargets and Mechanisms of Curcumol Treating Lung Adenocarcinoma Patients With COVID-19. Front. Nutr. 2022, 9, 870370. [Google Scholar] [CrossRef]
- Chen, G.; Tan, C.; Liu, X.; Chen, Y. Association Between the Neutrophil-To-Lymphocyte Ratio and Diabetes Secondary to Exocrine Pancreatic Disorders. Front. Endocrinol. 2022, 13, 957129. [Google Scholar] [CrossRef]
- Zhang, R.; Zhong, L.; Sun, K.; Liu, J.; Wang, Q.; Mao, D.; Fang, G.; Long, F. A Study on Curcumol Influencing Proliferation and Apoptosis of Hepatocellular Carcinoma Cells through DJ-1/PTEN/PI3K/AKT Pathway. Biomed. Res. Int. 2022, 2022, 9912776. [Google Scholar] [CrossRef]
- Yang, X.; Wang, Z.; Kai, J.; Wang, F.; Jia, Y.; Wang, S.; Tan, S.; Shen, X.; Chen, A.; Shao, J.; et al. Curcumol attenuates liver sinusoidal endothelial cell angiogenesis via regulating Glis-PROX1-HIF-1α in liver fibrosis. Cell Prolif. 2020, 53, e12762. [Google Scholar] [CrossRef]



| Formulation | 50% Aqueous Olive Oil | 50% Aqueous 1,2-Propylene Glycol | Deionized Water with 10% Ethanol and 10% Kolliphor HS15 | Deionized Water with 10% Ethanol and 10% 1,2-Propylene Glycol |
|---|---|---|---|---|
| No. of rats | 2 | 2 | 2 | 2 |
| Dose (mg/kg) | 1000 | 1000 | 1000 | 1000 |
| Tmax (h) | 7 | 1.3 | 2.1 | 0.625 |
| Cmax (ng/mL) | 2715 | 652.5 | 1915 | 1025.5 |
| AUC0-t (ug/L·h) | 18,637.1 | 3616.8 | 10,321.8 | 4967.1 |
| AUC0-∞ (ug/L·h) | 18,699.7 | 3616.8 | 10,321.8 | 4977.5 |
| t1/2 (h) | 2 | 1 | 0.8 | 1.7 |
| CL (L/h/kg) | 58.1 | 322.5 | 101 | 206.5 |
| VZ (L/kg) | 198.4 | 451.1 | 121.7 | 478.1 |
| Male | Female | |||||||
|---|---|---|---|---|---|---|---|---|
| No. of Rats | 5 | 5 | 5 | 5 | 5 | 5 | 5 | 5 |
| Dose (mg/kg) | 0 | 250 | 500 | 1000 | 0 | 250 | 500 | 1000 |
| WBC (109/L) | 7.07 ± 0.38 | 6.9 ± 0.51 | 6.34 ± 1.87 | 5.65 ± 0.92 * | 3.03 ± 0.68 | 5.42 ± 2.4 | 3.67 ± 0.62 | 2.85 ± 1.23 |
| NEUT (%) | 11.16 ± 2.14 | 16.74 ± 3.08 * | 20.32 ± 3.33 ** | 19.9 ± 2.18 ** | 11.48 ± 3.65 | 12.4 ± 3.69 | 15.6 ± 4.2 | 14.58 ± 2.87 |
| LYMPH (%) | 85.68 ± 2.49 | 80.08 ± 3.33 * | 76.58 ± 3.96 ** | 77.94 ± 2.17 * | 86.38 ± 4.02 | 84.04 ± 4.87 | 80.88 ± 4.76 | 82.1 ± 4.46 |
| MONO (%) | 2.32 ± 0.19 | 2.26 ± 0.89 | 2.18 ± 0.97 | 1.58 ± 0.64 | 1.42 ± 0.61 | 2.46 ± 1.95 | 2.22 ± 1.4 | 1.48 ± 0.41 |
| EO (%) | 0.84 ± 0.46 | 0.92 ± 0.27 | 0.92 ± 0.2 | 0.58 ± 0.26 | 0.72 ± 0.24 | 1.1 ± 0.39 | 1.3 ± 0.63 | 1.84 ± 1.33 |
| RBC (1012/L) | 7.39 ± 0.18 | 7 ± 0.4 | 6.83 ± 0.18 ** | 6.83 ± 0.28 ** | 6.96 ± 0.35 | 6.89 ± 0.31 | 6.85 ± 0.34 | 6.89 ± 0.36 |
| HGB (g/dL) | 14.6 ± 0.56 | 13.92 ± 1.16 | 13.34 ± 0.52 ** | 13.42 ± 0.54 * | 13.7 ± 0.54 | 13.5 ± 0.41 | 13.18 ± 0.47 | 13.12 ± 0.44 |
| HCT (%) | 40.62 ± 1.73 | 38.78 ± 2.57 | 37.44 ± 1.02 | 38.1 ± 1 * | 37.74 ± 1.35 | 37.8 ± 1.12 | 36.86 ± 1.17 | 37.12 ± 1.57 |
| MCV (fL) | 54.96 ± 1.68 | 55.42 ± 2.18 | 54.88 ± 0.68 | 55.8 ± 1.8 | 54.26 ± 2.22 | 54.88 ± 1.86 | 53.9 ± 2.11 | 53.9 ± 1.85 |
| MCH (pg) | 19.74 ± 0.67 | 19.88 ± 0.89 | 19.54 ± 0.3 | 19.64 ± 0.51 | 19.68 ± 0.76 | 19.6 ± 0.45 | 19.28 ± 0.63 | 19.04 ± 0.48 |
| MCHC (g/dL) | 35.94 ± 0.51 | 35.88 ± 0.73 | 35.62 ± 0.5 | 35.22 ± 0.52 | 36.3 ± 0.21 | 35.7 ± 0.44 * | 35.74 ± 0.3 * | 35.36 ± 0.78 * |
| PLT (109/L) | 1004.8 ± 91.75 | 963.4 ± 117.44 | 955.6 ± 95.54 | 906.6 ± 20.82 * | 1103 ± 69.02 | 1042.2 ± 135.06 | 974.6 ± 102.66 * | 1052.8 ± 132.87 |
| Male | Female | |||||||
|---|---|---|---|---|---|---|---|---|
| No. of Rats | 5 | 5 | 5 | 5 | 5 | 5 | 5 | 5 |
| Dose (mg/kg) | 0 | 250 | 500 | 1000 | 0 | 250 | 500 | 1000 |
| TP (g/L) | 56.06 ± 2.48 | 55.18 ± 2.89 | 53.86 ± 2.08 | 55.9 ± 2.51 | 61.7 ± 3.16 | 59.6 ± 2.78 | 62.46 ± 6.19 | 64.98 ± 5.12 |
| ALB (g/L) | 39.58 ± 1.77 | 41.24 ± 2.54 | 39.68 ± 2.14 | 41 ± 2.12 | 47.46 ± 2.17 | 44.74 ± 2.51 | 47.84 ± 5.31 | 50.14 ± 4 |
| ALT (U/L) | 38.88 ± 3.77 | 42.16 ± 6.75 | 39.68 ± 4.39 | 44.76 ± 2.09 * | 34.7 ± 6.01 | 35.22 ± 6.92 | 34.28 ± 3.7 | 30.98 ± 6.28 |
| AST (U/L) | 121.12 ± 14.54 | 159.48 ± 21.82 * | 140.58 ± 11.93 * | 125 ± 18.83 | 114.66 ± 13.75 | 130.1 ± 15.97 | 122.1 ± 31.88 | 98.8 ± 6.81 |
| TB (μmol/L) | 1.24 ± 0.27 | 2.3 ± 0.62 ** | 3.06 ± 0.69 ** | 2.58 ± 0.78 ** | 1.24 ± 0.27 | 1.56 ± 0.46 | 1.66 ± 0.34 | 1.72 ± 0.28 * |
| ALP (U/L) | 163.6 ± 20.48 | 160.2 ± 43.49 | 133.4 ± 19.54 * | 159 ± 34.9 | 91.6 ± 11.74 | 75.4 ± 8.53 * | 74.4 ± 22.6 | 64.4 ± 10.5 ** |
| BUN (mmol/L) | 5.38 ± 0.62 | 5.14 ± 0.19 | 4.62 ± 0.23 * | 5.42 ± 0.61 | 9.38 ± 1.61 | 6.84 ± 1.33 * | 6.1 ± 0.75 ** | 6.08 ± 0.7 ** |
| GLU (mmol/L) | 8.13 ± 0.8 | 6.04 ± 0.26 ** | 6.04 ± 0.36 ** | 6.24 ± 0.35 ** | 7.5 ± 0.88 | 6.48 ± 0.43 | 7.11 ± 0.28 | 7.29 ± 0.75 |
| TG (mmol/L) | 0.58 ± 0.1 | 0.66 ± 0.34 | 0.45 ± 0.2 | 0.42 ± 0.13 | 0.4 ± 0.07 | 0.38 ± 0.09 | 0.79 ± 0.43 | 0.3 ± 0.08 |
| TC (mmol/L) | 1.44 ± 0.11 | 1.23 ± 0.22 | 1.05 ± 0.29 * | 1.27 ± 0.28 | 1.68 ± 0.17 | 1.57 ± 0.21 | 1.61 ± 0.16 | 1.44 ± 0.46 |
| CK (U/L) | 953.4 ± 240.91 | 1159 ± 314.82 | 1019.6 ± 152.04 | 773.8 ± 312.7 | 839.6 ± 278.57 | 993.6 ± 166.68 | 1021 ± 393.34 | 606.2 ± 113.79 |
| K (mmol/L) | 4.31 ± 0.21 | 4.22 ± 0.09 | 4.43 ± 0.21 | 4.41 ± 0.13 | 4.21 ± 0.27 | 4.18 ± 0.21 | 4.27 ± 0.32 | 4.36 ± 0.21 |
| Na (mmol/L) | 142.4 ± 0.89 | 144.8 ± 0.45 ** | 146.2 ± 1.64 ** | 147 ± 1.87 ** | 142.4 ± 0.89 | 143.8 ± 1.48 | 144.8 ± 1.48 | 147.6 ± 1.67 ** |
| Cl (mmol/L) | 102.66 ± 0.93 | 103.42 ± 1.06 ** | 106.48 ± 1.72 ** | 106.44 ± 1.19 ** | 104.32 ± 2.19 | 104.92 ± 1.05 | 105.38 ± 2.12 | 107.58 ± 1.39 * |
| Male | Female | |||||||
|---|---|---|---|---|---|---|---|---|
| No. of Rats | 5 | 5 | 5 | 5 | 5 | 5 | 5 | 5 |
| Dose (mg/kg) | 0 | 250 | 500 | 1000 | 0 | 250 | 500 | 1000 |
| BRAIN (g) | 1.99 ± 0.07 | 1.87 ± 0.11 | 2.01 ± 0.14 | 2.02 ± 0.06 | 1.85 ± 0.09 | 1.84 ± 0.09 | 1.85 ± 0.12 | 1.91 ± 0.17 |
| HEART (g) | 1.44 ± 0.17 | 1.22 ± 0.16 | 1.31 ± 0.15 | 1.29 ± 0.09 | 0.99 ± 0.21 | 0.88 ± 0.16 | 0.89 ± 0.07 | 0.87 ± 0.04 |
| LIVER (g) | 12.72 ± 0.77 | 11.24 ± 0.88 * | 11.11 ± 0.90 * | 12.05 ± 1.02 | 7.51 ± 0.65 | 8.20 ± 0.70 | 8.26 ± 0.98 | 7.64 ± 0.51 |
| SPLEEN (g) | 0.91 ± 0.08 | 0.87 ± 0.08 | 0.88 ± 0.08 | 1.04 ± 0.16 | 0.52 ± 0.05 | 0.61 ± 0.1 | 0.66 ± 0.07 * | 0.70 ± 0.09 ** |
| KIDNEY (g) | 3.02 ± 0.28 | 2.8 ± 0.21 | 2.96 ± 0.22 | 2.89 ± 0.19 | 1.80 ± 0.21 | 1.92 ± 0.51 | 1.75 ± 0.09 | 1.67 ± 0.13 |
| THYMUS (g) | 0.56 ± 0.19 | 0.51 ± 0.11 | 0.41 ± 0.09 | 0.48 ± 0.14 | 0.41 ± 0.08 | 0.5 ± 0.12 | 0.41 ± 0.04 | 0.39 ± 0.10 |
| ADRENALS (g) | 0.04 ± 0.01 | 0.05 ± 0.01 | 0.04 ± 0.01 | 0.05 ± 0.01 | 0.06 ± 0.01 | 0.06 ± 0.0 | 0.06 ± 0.01 | 0.06 ± 0.01 |
| TESTICLE (g) | 3.09 ± 0.36 | 3.11 ± 0.41 | 3.20 ± 0.37 | 3.41 ± 0.25 | / | / | / | / |
| EPIDIDIMS (g) | 0.95 ± 0.13 | 0.94 ± 0.06 | 1.11 ± 0.18 | 0.96 ± 0.09 | / | / | / | / |
| OVARIES (g) | / | / | / | / | 0.13 ± 0.02 | 0.14 ± 0 | 0.15 ± 0.04 | 0.16 ± 0.01 * |
| WOMB (g) | / | / | / | / | 0.49 ± 0.08 | 0.64 ± 0.23 | 0.61 ± 0.17 | 0.65 ± 0.16 |
| Male | Female | |||||||
|---|---|---|---|---|---|---|---|---|
| No. of Rats | 5 | 5 | 5 | 5 | 5 | 5 | 5 | 5 |
| Dose (mg/kg) | 0 | 250 | 500 | 1000 | 0 | 250 | 500 | 1000 |
| HEART (%) | 72.3 ± 8.4 | 65.5 ± 10.3 | 65.0 ± 5.6 | 64.1 ± 3.5 | 53.8 ± 11.8 | 47.4 ± 7.0 | 48.4 ± 5.3 | 46 ± 5.3 |
| LIVER (%) | 638.5 ± 40.2 | 604.3 ± 72.4 | 553.9 ± 49.1 * | 597.2 ± 38.0 | 404.7 ± 24.3 | 444.8 ± 36.2 | 444.4 ± 30.9 | 403.8 ± 48.5 |
| SPLEEN (%) | 45.6 ± 3.1 | 46.9 ± 5.6 | 43.8 ± 4.8 | 51.3 ± 7.1 | 28.2 ± 3.2 | 32.9 ± 4.8 | 35.6 ± 3.5 ** | 37.2 ± 7.6 * |
| KIDNEY (%) | 151.6 ± 12.4 | 150.7 ± 17.5 | 147.6 ± 8.3 | 143.6 ± 7.4 | 97.1 ± 9.3 | 103.5 ± 22.4 | 94.6 ± 6 | 88.1 ± 7.8 |
| THYMUS (%) | 27.8 ± 8.9 | 27.2 ± 5.4 | 20.3 ± 5.2 | 23.8 ± 6.7 | 21.8 ± 3.9 | 27.1 ± 5.5 | 22.3 ± 3.3 | 20.8 ± 6.6 |
| ADRENALS (%) | 2.1 ± 0.7 | 2.5 ± 0.6 | 2.1 ± 0.3 | 2.7 ± 0.5 | 3.4 ± 0.3 | 3.5 ± 0.2 | 3.2 ± 0.5 | 3.3 ± 0.6 |
| TESTICLE (%) | 155.4 ± 22.5 | 166.6 ± 23.2 | 159.4 ± 18.4 | 169.4 ± 13.1 | / | / | / | / |
| EPIDIDIMS (%) | 47.7 ± 7.4 | 50.6 ± 4.0 | 55.1 ± 8.1 | 47.7 ± 4.9 | / | / | / | / |
| OVARIES (%) | / | / | / | / | 7 ± 1.1 | 7.4 ± 0.4 | 7.8 ± 1.8 | 8.3 ± 1.4 |
| WOMB (%) | / | / | / | / | 26.4 ± 4.2 | 34.4 ± 10.6 | 33 ± 10.1 | 34.5 ± 11.1 |
| Male | Female | |||||||
|---|---|---|---|---|---|---|---|---|
| No. of Rats | 5 | 5 | 5 | 5 | 5 | 5 | 5 | 5 |
| Dose (mg/kg) | 0 | 250 | 500 | 1000 | 0 | 250 | 500 | 1000 |
| BRAIN (%) | 0.44 ± 0.02 | 0.46 ± 0.08 | 0.47 ± 0.03 | 0.48 ± 0.02 | 0.66 ± 0.01 | 0.67 ± 0.06 | 0.69 ± 0.04 | 0.75 ± 0.06 |
| HEART (%) | 0.32 ± 0.03 | 0.29 ± 0.01 | 0.31 ± 0.04 | 0.31 ± 0.02 | 0.39 ± 0.09 | 0.32 ± 0.03 | 0.33 ± 0.02 | 0.34 ± 0.03 |
| LIVER (%) | 2.88 ± 0.15 | 2.8 ± 0.09 | 2.72 ± 0.04 | 2.94 ± 0.04 | 2.71 ± 0.11 | 3.1 ± 0.07 | 3.01 ± 0.23 * | 2.96 ± 0.25 |
| SPLEEN (%) | 0.20 ± 0.02 | 0.22 ± 0.03 | 0.21 ± 0.01 | 0.26 ± 0.03 * | 0.2 ± 0.02 | 0.2 ± 0.03 | 0.24 ± 0.03 ** | 0.27 ± 0.03 ** |
| KIDNEY (%) | 0.69 ± 0.06 | 0.7 ± 0.03 | 0.71 ± 0.02 | 0.69 ± 0.05 | 0.66 ± 0.04 | 0.65 ± 0.07 | 0.66 ± 0.03 | 0.66 ± 0.05 |
| THYMUS (%) | 0.14 ± 0.05 | 0.11 ± 0.02 | 0.11 ± 0.02 | 0.12 ± 0.04 | 0.15 ± 0.02 | 0.16 ± 0.03 * | 0.15 ± 0.0 | 0.15 ± 0.03 |
| ADRENALS (%) | 0.01 ± 0.0 | 0.01 ± 0.0 | 0.01 ± 0.0 | 0.01 ± 0.0 | 0.02 ± 0.0 | 0.02 ± 0.0 | 0.02 ± 0.0 | 0.03 ± 0.0 |
| TESTICLE (%) | 0.72 ± 0.07 | 0.77 ± 0.02 | 0.8 ± 0.05 * | 0.81 ± 0.04 ** | / | / | / | / |
| EPIDIDIMS (%) | 0.23 ± 0.02 | 0.24 ± 0.02 | 0.27 ± 0.05 * | 0.22 ± 0.02 | / | / | / | / |
| OVARIES (%) | / | / | / | / | 0.05 ± 0.01 | 0.05 ± 0 | 0.06 ± 0.01 | 0.06 ± 0.0 * |
| WOMB (%) | / | / | / | / | 0.17 ± 0.04 | 0.19 ± 0.03 | 0.23 ± 0.06 | 0.25 ± 0.03 |
Disclaimer/Publisher’s Note: The statements, opinions and data contained in all publications are solely those of the individual author(s) and contributor(s) and not of MDPI and/or the editor(s). MDPI and/or the editor(s) disclaim responsibility for any injury to people or property resulting from any ideas, methods, instructions or products referred to in the content. |
© 2023 by the authors. Licensee MDPI, Basel, Switzerland. This article is an open access article distributed under the terms and conditions of the Creative Commons Attribution (CC BY) license (https://creativecommons.org/licenses/by/4.0/).
Share and Cite
Yang, Z.; Wang, S.; Hong, Y.; Gai, R.; Hong, W.; Tang, B.; Lin, C.; Wang, X.; Wang, Q.; Chen, C.; et al. Safety Evaluation of Curcumol by a Repeated Dose 28-Day Oral Exposure Toxicity Study in Rats. Toxics 2023, 11, 114. https://doi.org/10.3390/toxics11020114
Yang Z, Wang S, Hong Y, Gai R, Hong W, Tang B, Lin C, Wang X, Wang Q, Chen C, et al. Safety Evaluation of Curcumol by a Repeated Dose 28-Day Oral Exposure Toxicity Study in Rats. Toxics. 2023; 11(2):114. https://doi.org/10.3390/toxics11020114
Chicago/Turabian StyleYang, Zhaoxu, Sheng Wang, Yawen Hong, Renhua Gai, Wenxiang Hong, Bingbing Tang, Chunqin Lin, Xiaomeng Wang, Qiaojing Wang, Chao Chen, and et al. 2023. "Safety Evaluation of Curcumol by a Repeated Dose 28-Day Oral Exposure Toxicity Study in Rats" Toxics 11, no. 2: 114. https://doi.org/10.3390/toxics11020114
APA StyleYang, Z., Wang, S., Hong, Y., Gai, R., Hong, W., Tang, B., Lin, C., Wang, X., Wang, Q., Chen, C., Wang, J., & Weng, Q. (2023). Safety Evaluation of Curcumol by a Repeated Dose 28-Day Oral Exposure Toxicity Study in Rats. Toxics, 11(2), 114. https://doi.org/10.3390/toxics11020114

