Abstract
Hazelnuts are frequently involved in IgE-mediated reactions and are the main cause of nut allergies in Europe. Most food products are processed before human consumption. Food processing can modify the structure, properties, and function of proteins, and as a result, the IgE-binding capacity of allergens can be affected. In this study, we aimed to investigate epitope changes caused by the roasting of hazelnuts using epitope fingerprinting. Rabbit sera were raised against hazelnut proteins, and their epitopes were characterized. Immunoassays using specific polyclonal antibodies from rabbits targeting the main allergens in hazelnuts revealed marked reductions in the levels of Cor a 1 (PR-10), Cor a 11 (7S globulin), and Cor a 14 (2S albumin). However, rabbit antibodies can recognize different epitopes. Using antibodies that are different and characterized could help establish reliable methods for estimating the effects of treatments on the allergenicity of foods. In this work, we provide the first practical application that could lead to sets of peptide epitopes to compare and standardize immune diagnostics, even for complex protein preparations.
1. Introduction
Tree nuts are popular worldwide. They are beneficial food sources because they are rich in unsaturated fats and have comparatively high levels of phenolics, phytosterols, tocopherols, minerals, and fiber [1]. This may explain why the consumption of both raw and processed tree nuts is increasing. In recent years, there has been an increase in tree nut consumption because of its favorable health effects [2]. For example, a diet rich in tree nuts has been shown to positively affect cardiovascular-risk biomarkers [3]. In Europe, tree nuts are among the predominant foods involved in allergic reactions to plants and may cause anaphylaxis [4]. The prevalence of nut allergy in Central and Northern Europe ranges from 1–2% [5], and hazelnuts in particular are one of the most common triggers of food-induced anaphylaxis in children and adults [6]. Most nut allergens are highly resistant to enzymatic degradation and denaturation. Several allergenic proteins of hazelnut have been registered in the WHO-IUS list of allergenic proteins: Cor a 1 (Bet v1 homolog), Cor a 2 (profilin), Cor a 8 (Lipid Transfer Protein LTP), Cor a 9 (11S legumin), Cor a 11 (7S vicilin), Cor a 14 (2S albumin), Cor a 12, Cor a 13, and Cor a 15 (oleosins) [7]. In general, hazelnut allergies can be of two forms: primary allergic sensitization to heat-stable hazelnut proteins or secondary food allergy due to immunological cross-reactivity between the structurally related Bet v 1 (a major birch pollen allergen) and members of the pathogenesis-related protein 10 (PR-10) family [8].
Most food products must be processed before human consumption to improve safety, functionality, and organoleptic properties. Unit operations involving the use of heat, such as pasteurization, sterilization, boiling, frying, roasting, and drying, are among the most common operations in food processing. Food processing can modify the structure, properties, and function of proteins, and as a result, the IgE-binding capacity of allergens can be affected. Some processing methods can effectively reduce the content of specific allergens but do not completely abolish them. As some processing treatments have been shown to decrease the allergenicity of certain foods, food processing may play an important role in the development of hypoallergenic foods and the induction of food tolerance [1,9]. Other processes can also increase the allergenicity of certain foods [9]. Roasting, defined as dry heat treatment, is one of the most important processes that provides the product with the required alterations to become value-added nuts. Hazelnut roasting times of 30–50 min at 142 °C are the industrial standard, commonly referred to as low-temperature–long-time (LTLT) processes. In contrast, modern food processing increasingly employs high-temperature–short-time (HTST) methods to preserve raw material quality, including nutritional properties. HTST roasting systems, such as infrared, fluidized bed, or accelerated drum roasting, achieve roasting times of approximately 10 min. This study contrasts LTLT and HTST roasting processes, ensuring sufficient differences in conditions to observe distinct effects [10,11].
These treatments can induce changes in the chemical properties of proteins or biochemical reactions inside food matrix components [12,13]. Numerous studies have been conducted on the modification of the allergenicity of tree nuts using different heat treatments [12,14,15]. Using oral provocation tests, the heat processing of hazelnuts has been shown to reduce allergenicity [16].
Rabbit serum is used to characterize food allergenicity [17,18,19]. Rabbit serum has been used, amongst others, for the investigation of changes in allergenicity after heat processing [17], cross-reactivity between almond and Prunus mahaleb [18], and cross-reactivity between animal IgG and human IgE antibodies [19]. These examples demonstrate that rabbit serum can probably replace human serum in investigations of food allergenicity; however, previous studies have not characterized immune responses at the epitope level.
Sensitization against antigens is currently determined by IgE measurement of the antigenic protein, although it may be assessed much better at the level of individual allergy-relevant peptide epitopes. In addition, IgE-binding epitopes that are often less than 20 amino acids long are more suitable [20]. Several methods have been reported for mapping IgE-binding epitopes [21]. Arrays of overlapping peptides synthesized on a nitrocellulose membrane (SPOTmembrane) [22] can be used to determine sequential epitopes [23,24]. Overlapping peptides can also be used in an enzyme-linked immunosorbent assay (ELISA) format [25]. However, this approach is more effective and frequently used in microarray formats because many more peptides can be used with less serum [26,27,28]. However, the determination of conformational epitopes requires sophisticated techniques such as peptide derivatives [29], nuclear magnetic resonance, mass spectrometry, mutant generation, and in silico analysis [30,31]. Phage displays can be used for linear or conformational epitope mapping [32,33,34].
In this study, we aimed to investigate epitope changes caused by the roasting of hazelnuts using epitope fingerprinting. Rabbit sera were raised against hazelnut proteins and their epitopes were characterized [33]. Epitopes similar to those previously identified in serum samples from hazelnut-sensitized patients were also identified. These peptide epitopes were confirmed using peptide microarrays with rabbit anti-hazelnut polyclonal antisera. Most epitope peptides were bound to IgG from rabbit sera. Western blot analysis was performed to investigate the cross-reactivity with other proteins from legumes and tree nuts.
2. Materials and Methods
2.1. Hazelnut
Forty-eight raw and undamaged hazelnuts with a diameter of 11–13 mm were roasted in a convection oven with a Pyrotherm EEBP 6400.8 MX from Küppersbusch, Gelsenkirchen, Germany, under the following four conditions: 142 °C for 30 min, 142 °C for 50 min, 200 °C for 8 min, and 200 °C for 10 min.
To ensure that the roasts were comparable, the nuts were roasted at the same roasting temperature in the same oven and height. The roasted hazelnuts were ground using a food processor (Moulinette DPA1X; Tefal, 73312 Geislingen/Steige, Germany) to obtain a fine powder.
Roasting conditions were selected as two typical ways to achieve the same roasting color: low-temperature–long-time vs. high-temperature–short-time. Shorter times at low temperatures and longer times at high temperatures were assumed to cause less or more damage to the nuts, respectively.
2.2. Animal Sera
Immunization of rabbits and preparation of sera were carried out by Seramun Diagnostica GmbH (Spreenhagener Str. 1, 15754 Heidesee, Germany; permit 2347-15-2023-20-E, LAVG Brandenburg). Rabbits were immunized with de-oiled hazelnut flour and complete Freund’s adjuvant. A boost immunization with incomplete Freund’s adjuvant was performed on day 21. Rabbits were bled after 28 days, and sera were used for phage display and array experiments.
2.3. Patient Sera
The human blood samples from patients allergic to tree nuts used in this study were provided by Charité-Universitätsmedizin Berlin (Department of Dermatology, Venerology, and Allergy) and Universitätsklinikum Leipzig (Department of Dermatology, Venerology, and Allergy). The use of samples for this study was authorized by the responsible ethics committee (Ethics Committee of the Medical Faculty of Leipzig University (AZ202/16-ek) and Charité’s Ethics Committee (EA01/022/20). Donors were informed that the blood samples would only be used for research purposes. Each donor signed a statement regarding the informed consent.
2.4. Peptide Phage Display Experiments
A special naïve peptide phage display was used in the selection experiments [32], and only two selection rounds were performed, as previously described [32,33]. Briefly, a selection from the ENTE-1 peptide phage display library was performed using Dynabeads Protein A (Thermo Fisher Scientific, Waltham, MA, USA). Two rounds of selections were performed. Pooled DNA of the recovered phagemids from the first and second rounds of selection was subjected to next-generation sequencing (NGS) on an Illumina MiSeq, as previously described. The back and forward runs were combined using PEAR (Version 0.9.6 [35])and processed using Trimmomatic (Version 0.33 [36])). Finally, datasets from each sequencing run were cured of sequencing errors and other artifacts, as described in the latest version of LibDB software (Version 1.34, Epitopic GmbH, Leipzig, Germany). Any sequences deviating from the library codon structure were sorted using this procedure because they potentially contained additional reading errors from the sequencer.
Identification of Epitopes by Motifs
Sequences statistically enriched by binding to serum antibodies and sharing motifs resembling antigen sequences were selected from NGS datasets, as previously described [32,37]. Sequences with motifs matching the antigens were retrieved from sequence pools obtained after the first or second round of selection. The alignment of sequences identified longer stretches of similarity to the antigen as well as structural features such as Cys-constrained peptides in a few hundred sequences. Using a naïve library allows for the search for epitopes that match multiple antigens in the dataset of a single selection experiment.
2.5. IgG-Binding Measurements Using Peptide Microarrays
2.5.1. Selection of Peptide Epitopes/Mimotopes for Spotting on Microarray Slides
Peptides were derived from either native hazelnut antigen sequences (epitopes) or mimotopes obtained from phage-displayed sequences in selection experiments. Selected peptides and their origins are listed in Supplementary Information.
2.5.2. Peptide Microarrays
The peptides were purchased from Peptides & Elephants GmbH (Hennigsdorf, Germany). All peptides had a C-terminal ebes-ϵ-azido-Lys linker; therefore, they were printed and immobilized in triplicate on DBCO-coated glass slides using click chemistry, as previously described [32,37].
The slides contained two clusters of 287 peptide epitopes, spotted in a quadruple. We measured the binding of IgG to peptide epitopes.
Each slide was blocked for 1 h at 4 °C in array buffer (PBS containing 0.1% v/v Tween® 20 and 1% w/v casein, pH 7.4). The slides were incubated for 1 h at RT with rabbit anti-hazelnut polyclonal antiserum diluted 1:3000 in array buffer, washed twice (PBS containing 0.1% v/v Tween® 20, pH 7.4), and incubated for 1 h at RT in a solution of Cy5-labeled goat anti-mouse antibody diluted 1:5000 in array buffer (ThermoFisher Scientific, Waltham, MA, USA). Finally, the slides were washed twice, and fluorescence was measured in a microarray reader at 10 μm resolution using a laser at 532 nm with 25% power/PMT Gain 600 and 635 nm with 25% power/PMT Gain 600 (Genepix 4300; Molecular Devices, San Jose, CA, USA).
2.5.3. Determination of Spot Intensities
This method has been described previously [32,37]. The first step is the detection of the a priori known grid (GAL file) in the image, as the grid may be rotated or shifted. Using the known position of each spot, we used a segmentation approach that combines a seeding threshold and masking threshold with geodesic dilation to distinguish between the foreground and background signals. In the last step of image analysis, we extracted information regarding the fluorescence intensity and shape of the segmentation. As a reliable and robust method to decide on a positive or negative spot result, we used the total count of all pixels in the spot after subtracting the background per pixel, summarizing all intensities in a spot segment, and subtracting the median of the block background for every pixel.
The raw total fluorescence signal intensities of the quadruples were used to calculate the upper and lower quartiles. The difference between the upper and lower quartiles was multiplied by 1.5. This number was added to the upper quartile and subtracted from that of the lower quartile. All raw fluorescence signal intensities that were not within the calculated range were excluded. The adjusted raw fluorescence signal intensity was calculated as a multiple of the background (water) signal.
2.6. SDS-PAGE and Western Blot
2.6.1. Sample Extraction and SDS-PAGE
The extraction protocol was performed as described by Dooper et al. [38], and ground hazelnut (50 mg) was suspended in 5 mL 0.05 M Tris-HCl buffer (pH 7.5) by vortexing for 5 min at room temperature Then, it was left at room temperature overnight, yielding three layers the next day: the fat, water, and ground nut layers. Only water layers were collected. The remaining extract was discarded.
Then, 21 μL of the sample was mixed with 7 μL SDS sample buffer. The mixture was heated for 5 min at 99 °C. The treated mixture (20 μL) was loaded onto 10% SDS gel. The gel system was applied using Schägger and Tricine SDS-PAGE [39]. The gel was run at 90 V for stacking, followed by 120 V for 40 min to separate the gel.
After protein separation, the gel was briefly rinsed with tap water. It was then fixed in fixing buffer (50% methanol, 10% acetic acid, and 100 mM ammonium acetate) for 15–30 min at room temperature. After 2–3 times washing with tap water, the gel was stained with Coomassie for 30 min. It was then washed thrice with tap water and destained in a destaining solution (10% acetic acid) until the background was clear.
2.6.2. Sample Transfer and Blotting
For Western blotting, the gel was cast after protein separation without staining with Coomassie dye in an electrophoretic transfer cell (Mini Trans-Blot® Cell, Bio-Rad Laboratories, Hercules, CA, USA). This procedure was performed following the manufacturer’s instructions. The sample was transferred to nitrocellulose blotting paper (Mini Trans-Blot® Cell, Bio-Rad Laboratories, Hercules, CA, USA) in Towbin buffer [40] by applying 40 mA overnight at 4 °C.
The following day, the free surface on the blotting paper was blocked by incubation with 5% bovine serum albumin (BSA) in PBS for 1 h at room temperature with agitation. It was then washed once with washing buffer and incubated with serum diluted in blocking buffer (1:2000) for 1 h at 4 °C. After washing with washing buffer, the blotting paper was incubated with a diluted secondary antibody (mouse monoclonal anti-rabbit IgG (γ-chain specific)-peroxidase) (1:5000 Abcam) for 1 h at 4 °C. The sections were then washed three times with PBS and incubated with 3,3′-diaminobenzidine (DAB) peroxidase substrate solution for 5 min at room temperature with agitation. The reaction was stopped using 2N sulfuric acid. Finally, the blot paper was dried and photographed.
2.7. Protein Structure Comparison
The Protean 3D® software of the DNAStar (Version 17.4.3. DNASTAR, Inc., Madison, WI, USA.) was used to align and compare the protein structures cited in the results section. The structures were aligned using an automated algorithm applied to the entire structures and the RMSD values were calculated with the software’s routines.
3. Results
3.1. Epitope Fingerprinting (In Vitro)
Data from selection experiments using a random peptide library with five rabbit samples immunized with hazelnut powder were matched to known allergenic hazelnut proteins. Epitopes were identified using a previously described statistical peptide phage-display method [33]. Seventy-five potential epitopes were identified using rabbit anti-hazelnut polyclonal antisera. Overall, most epitopes were recognized by antibodies from at least two rabbits. Seventeen epitopes were detected using antibodies from both rabbits. Antibodies from rabbit sera recognized motifs for epitopes of 11 allergenic hazelnut proteins (Table 1). Comparing the results from different sera allowed for the selection of peptides with a minimal size recognized by different sera.
Table 1.
Overview of the recognition patterns of different hazelnut proteins and identified epitopes using rabbit serum (R1 and R2), Western blotting (WB), and peptide phage display with next-generation sequencing (NGS). Peptides based on the epitopes were also tested using sera from individuals sensitized with hazelnuts and/or peanuts. Numbers before “/” mean positive-tested and total numbers of tested patients. The peptide sequences are not listed in the table. Unroasted (UR) samples are shown for Western blot. See supplement for signal intensities and peptide codes.
3.2. Results from Array Measurements
Hazelnut peptide epitopes were synthesized and spotted as microarrays on glass slides [33]. Sera from three immunized rabbits were used for the analysis (Table 1). Rabbit IgGs bound to several epitopes that were previously identified in human serum samples. In the array experiments, at least 50% of these were found in all three rabbits, and 80% were found in at least one. Seven of these peptides showed a high signal intensity (Table 1). All peptides recognized by the rabbit serum samples were identified as IgE and/or IgG in human samples.
3.3. Changing the Thermal Processing to Roasting
The hazelnuts were roasted under different conditions to simulate low-temperature–long-time (LTLT) and high-temperature–short-time (HTST) processes. Two trials involved moderately long roasting times (30 and 50 min) at 142 °C, while the other two involved fast roasting (8 and 10 min) at 200 °C.
Table 2 shows whether heat treatment of a hazelnut allergen resulted in a change in the protein (heat labile) or not (heat stable).
Table 2.
Hazelnut allergens and their behavior to heat treatment are described in the literature and Western blot (R1 = rabbit 1 and R2 = rabbit2).
Coomassie-stained SDS-PAGE (Figure 1A) showed no significant alterations in protein patterns after different treatments. All major hazelnut proteins could still be found in different amounts in the soluble form of the roasted hazelnuts.

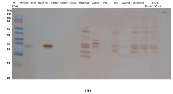
Figure 1.
Extracts from hazelnut roasted under different conditions: Coomassie-stained SDS-PAGE (A) and Western blot with sera from two rabbits (B,C). (B) serum from rabbit 1 after immunization (diluted 1:2000); (C) serum from rabbit 2 after immunization (diluted 1:2000).
Rabbit IgG binding to extracts from roasted ground hazelnuts was further investigated using Western blotting. A band at 22 kDa was observed in all hazelnut extracts tested with the sera before immunization from both rabbits as well as when no serum was introduced into the test (see Supplementary Materials). This indicates that the secondary antibody may also bind to a hazelnut protein because the intensity of this protein band decreases upon heat treatment. Before immunization, no further bands were observed, indicating no binding to the hazelnut protein. Rabbit IgG showed strong binding to hazelnut proteins with molecular weights of 65 and 55 kDa (Cor a 11) and 22 kDa (Cor a 9) (Figure 1B,C). Faint bands were visible at 17 and 15 kDa (Cor a 1, Cor a 2, and/or Cor a 12). IgG binding to the 40 kDa (Cor a 9) hazelnut protein can be observed by immunoblotting with the serum from rabbit 2. Roasting at 140 °C for 50 min slightly decreased the amount of protein detected in the Western blot for rabbit 1, which may be due to the denaturation of epitopes or entire proteins.
3.4. Cross-Reactivity with Different Plant Extracts
Western blotting of different plant extracts used in the skin-prick test was performed to study cross-reactivity with other plant proteins. Antibodies from both rabbit sera recognized the same proteins but with different signal intensities, and both rabbit sera showed binding not only to several hazelnut proteins but also to one Brazil nut and almond 22 kDa protein (11S seed storage globulin). Rabbit 1 serum strongly recognized the three lupin proteins, whereas rabbit 2 serum strongly recognized a distinct lupin protein of approximately 30 kDa. Moreover, rabbit 1 serum antibodies bound to several soy proteins, and a slight 22 kDa (walnut protein) band was observed. Rabbit 2 serum weakly recognizes these proteins (Figure 2).

Figure 2.
Western blots with plant extracts used in skin-prick tests of the FoodAllergen project with two rabbit sera after immunization. (A) Serum from rabbit 1; (B) serum from rabbit 2.
The cross-reactivity observed in the Western blot was verified by the alignment of the Cor a 9 protein (band 22 kDa). Epitope 63-DHNDQQFQCA and 183-NNYANQLDENPR shared high sequence similarities among the different plant species (Figure 3A). The structural similarities between the proteins of different plant species are shown in Figure 3B–F and their RMDS values in Table 3.

Figure 3.
Alignment (A) of epitope 63-DHNDQQFQCA and 183-NNYANQLDENPR of the Cor a 9 protein with different plant species. Species detected by rabbit antibodies are marked in boxes. Structure of 11S globulins of different species soybean Gly m 6 2D5H ((B), green [48]), almond 3EHK ((C), pink [49]), pea 3KSC ((D), light blue [48]), peanut Ara h 3 3C3V ((E), orange [50]), and Brazil nut 6B4S ((F), dark green [51]). Identified epitopes are colored in black.
Table 3.
RMSD values of structure alignments.
4. Discussion
Heat treatment or other methods to reduce the allergenicity of food by modifying allergens cannot be measured or quantified using uncharacterized polyclonal antibody mixtures. A large number of individual mAbs cannot cover the variety of individual immune responses. Basophile activation tests require patient material and provide only patient-specific information [52,53,54]. In a recent study, polyclonal rabbit serum was used for the characterization of the immune response to processed pea proteins [55]. Here, we compared the immune responses of allergic patients with those of rabbits at the epitope level. The similarity of the epitopes could be used to develop more reliable methods, perhaps even standards, to better understand the beneficial effects of food processing on allergenicity reduction.
Our data highlight the advantages of short, highly specific peptide epitopes for detailed analysis of immune responses. This enabled the characterization and comparison of antibodies against hazelnut proteins in humans and immunized animals. Several epitopes in different hazelnut allergens can be identified using rabbit anti-hazelnut polyclonal antisera. Overall, the microarray with peptides based on epitopes identified using human sera revealed that the immune system of vaccinated rabbits recognizes the same epitopes as antibodies present in the serum of individuals. Immunized rabbits have been used several times to detect the immunogenicity of food allergies [17,18,19]. Those studies showed that epitopes recognized by antibodies from human serum were also recognized by antibodies from rabbit serum. The data presented herein demonstrated that rabbit serum can be used as a surrogate for human serum. Rabbit serum offers several advantages. The B-cell response is better controlled in humans, where cross-reactivity with other plant proteins may obscure the results. It is known what rabbits have been fed on and the resulting potential food-induced immune responses. Proteins from other species detected by antibodies resulting from immunization with a given antigen were most likely due to cross-reactivity (Figure 2). The animals were unintentionally exposed to antigens.
In this study, we investigated the influence of thermal treatment on the in vitro allergenic reactivity of hazelnut proteins at the epitope level. Roasting at temperatures above 180 °C significantly changes the secondary structure. The α-helix content increases with increasing temperature, whereas the β-sheet content decreases [56]. Different heat treatment procedures result in different protein degradation products. The results of this study are in agreement with previous findings that thermal treatment reduces the IgE immunoreactivity of hazelnut proteins [13,57]. Reduced signal intensity for Cor a 1 (PR10) and Cor a 14 (2S albumin) after roasting was reported by Pastorello et al. and Lopez et al. [41,44]. Compared to Lamberti et al., discrepancies were observed for Cor a 11 (7S globulin) and Cor a 14. Lamberti et al. showed that the immune reactivity of Cor a 11 and Cor a 14 was stable after roasting at 140 °C but was reduced after roasting at 170 °C [43]. Denaturation of 2S albumins was observed at temperatures above 120 °C [58]. However, the epitopes in 2S albumins are highly resistant to severe heat treatment [59]. The immunogenicity of other 2S albumins could also be increased [60]. 7S globulin forms aggregates after heating [61], which might lead to an increase in immunoreactivity. The application of different batches of polyclonal sera characterized for recognizing different epitopes, such as R1 and R2 sera in this study, can help monitor different epitopes in the analysis of specific proteins and individual heat-labile epitopes, for example, Cor a 14.
The observed cross-reactivity in the Western blot could be well explained by the sequence alignment (Figure 3) and the highly conserved structure (Figure 3B,C). Surprisingly, denatured pea protein was not detected by Western blotting, although the structure and sequence of pea 7S globulin are very similar to those of hazelnut 7S globulin. Minor changes in the pea protein sequence are sufficient for rabbit antibodies to not detect the pea protein in the Western blot.
5. Conclusions
The allergenicity of food is usually assessed by measuring the total amount of allergenic proteins using monoclonal or polyclonal antibodies. Changes in immunogenicity are regarded as an increase or decrease in the allergenicity of a protein upon treatment. However, allergenic proteins contain multiple epitopes. Variations in individual patients’ antibodies can be of individual relevance to the allergenicity of a protein, even when not taking into account cross-reactive antibodies or remaining protein fragments. Overall, the reproducibility of the experiments depends on the antibodies used. This explains the different published results in Table 1. Using polyclonal antibodies that are well characterized at the epitope level could help establish reliable methods. Each of the sera used in this study would lead to different outcomes on the allergenicity of foods after treatments. In this work, we show that a combination of different sera characterized by peptide epitopes (Table 2) should help to compare and standardize immune diagnostics. We show that this is even possible for complex protein preparations. Being able to predict potential cross-reactivity, these analytes could even be mixtures from multiple allergen sources (Figure 2).
Supplementary Materials
The following supporting information can be downloaded at https://www.mdpi.com/article/10.3390/foods13233932/s1: Table S1 showing the measured intensities with a peptide microarray covering the epitopes (Table S1) for different rabbit sera; Table S2 shows a complete version of Table 2. Figure S1 shows the extracts from hazelnut roasted under different conditions at timepoint T0.
Author Contributions
Conceptualization, I.R. and M.S.; methodology, K.K., S.S.-A., N.D. and M.S.; software, K.K. and M.S.; validation, K.K.; formal analysis, K.K.; investigation, K.K., S.S.-A., N.D. and I.R.; resources, N.D., S.D.-B., R.T., E.E.-F., I.R. and M.S.; data curation, K.K. and S.D.-B.; writing—original draft preparation, K.K., R.T. and M.S.; writing—review and editing, K.K., S.S.-A., N.D., S.D.-B., R.T., E.E.-F., I.R., M.W. and M.S.; visualization, K.K. and M.S.; supervision, I.R. and M.S.; project administration, M.S.; funding acquisition, N.D., S.D.-B. and M.S. All authors have read and agreed to the published version of the manuscript.
Funding
This work involved allergen epitopes and peptides from the project “FoodAllergen”, funded by Fraunhofer Zukunftsstiftung and the POC4allergies project (Grant Agreement No. 768686), which was funded by ERA PerMed ERA-NET. The contributions of M.W. and S.D.-B. were funded by the German Federal Ministry of Education and Research (01KU2005).
Institutional Review Board Statement
The study was conducted in accordance with the Declaration of Helsinki, and approved by the Institutional Review Board of the Medical Faculty of Leipzig University (AZ202/16-ek 05072016 and 2016/07/05) and Charité (EA01/022/20).
Informed Consent Statement
Not applicable.
Data Availability Statement
The original contributions presented in the study are included in the article and Supplementary Materials, further inquiries can be directed to the corresponding author.
Acknowledgments
The authors thank Lisbeth Ramirez-Caballero for support in the experiment and reading earlier texts and Dorothee Wehrmann for help with epitope identification in human sera.
Conflicts of Interest
M.S. is managing the director and shareholder of Epitopic GmbH (Leipzig, Germany), the company providing the software LibDB used in this manuscript. M.S. and N.D. are inventors of the patented library used in this study. The remaining authors declare no conflicts of interest.
References
- Verhoeckx, K.C.; Vissers, Y.M.; Baumert, J.L.; Faludi, R.; Feys, M.; Flanagan, S.; Herouet-Guicheney, C.; Holzhauser, T.; Shimojo, R.; van der Bolt, N.; et al. Food processing and allergenicity. Food Chem. Toxicol. 2015, 80, 223–240. [Google Scholar] [CrossRef] [PubMed]
- Liu, X.; Li, Y.; Guasch-Ferré, M.; Willett, W.C.; Drouin-Chartier, J.-P.; Bhupathiraju, S.N.; Tobias, D.K. Changes in nut consumption influence long-term weight change in US men and women. BMJ Nutr. Prev. Health 2019, 2, 90–99. [Google Scholar] [CrossRef] [PubMed]
- Kendall, C.W.C.; Josse, A.R.; Esfahani, A.; Jenkins, D.J.A. Nuts, metabolic syndrome and Diabetes. Br. J. Nutr. 2010, 104, 465–473. [Google Scholar] [CrossRef] [PubMed]
- Spolidoro, G.C.I.; Lisik, D.; Nyassi, S.; Ioannidou, A.; Ali, M.M.; Amera, Y.T.; Rovner, G.; Khaleva, E.; Venter, C.; van Ree, R.; et al. Prevalence of tree nut allergy in Europe: A systematic review and meta-analysis. Allergy 2024, 79, 302–323. [Google Scholar] [CrossRef]
- Lyons, S.A.; Clausen, M.; Knulst, A.C.; Ballmer-Weber, B.K.; Fernandez-Rivas, M.; Barreales, L.; Bieli, C.; Dubakiene, R.; Fernandez-Perez, C.; Jedrzejczak-Czechowicz, M.; et al. Prevalence of Food Sensitization and Food Allergy in Children Across Europe. J. Allergy Clin. Immunol. Pract. 2020, 8, 2736–2746.e9. [Google Scholar] [CrossRef]
- Dölle-Bierke, S.; Höfer, V.; Francuzik, W.; Näher, A.-F.; Bilo, M.B.; Cichocka-Jarosz, E.; de Oliveira, L.C.L.; Fernandez-Rivas, M.; García, B.E.; Hartmann, K.; et al. Food-Induced Anaphylaxis: Data From the European Anaphylaxis Registry. J. Allergy Clin. Immunology. Pract. 2023, 11, 2069–2079.e7. [Google Scholar] [CrossRef]
- Costa, J.; Mafra, I.; Carrapatoso, I.; Oliveira, M.B.P.P. Hazelnut Allergens: Molecular Characterization, Detection, and Clinical Relevance. Crit. Rev. Food Sci. Nutr. 2016, 56, 2579–2605. [Google Scholar] [CrossRef]
- Geroldinger-Simic, M.; Zelniker, T.; Aberer, W.; Ebner, C.; Egger, C.; Greiderer, A.; Nicole, P.; Lidholm, J.; Ballmer-Weber, B.K.; Vieths, S.; et al. Birch pollen-related food allergy: Clinical aspects and the role of allergen-specific IgE and IgG4 Antibodies. J. Allergy Clin. Immunol. 2011, 127, 616–622.e1. [Google Scholar] [CrossRef]
- Cabanillas, B.; Novak, N. Effects of daily food processing on allergenicity. Crit. Rev. Food Sci. Nutr. 2019, 59, 31–42. [Google Scholar] [CrossRef]
- Demir, A.D.; Celayeta, J.M.F.; Cronin, K.; Abodayeh, K. Modelling of the kinetics of colour change in hazelnuts during air roasting. J. Food Eng. 2002, 55, 283–292. [Google Scholar] [CrossRef]
- Sruthi, N.; Premjit, Y.; Pandiselvam, R.; Kothakota, A.; Ramesh, S. An overview of conventional and emerging techniques of roasting: Effect on food bioactive Signatures. Food Chem. 2021, 348, 129088. [Google Scholar] [CrossRef] [PubMed]
- Masthoff, L.J.; Hoff, R.; Verhoeckx, K.C.M.; van Os-Medendorp, H.; Michelsen-Huisman, A.; Baumert, J.L.; Pasmans, S.G.; Meijer, Y.; Knulst, A.C. A systematic review of the effect of thermal processing on the allergenicity of tree nuts. Allergy 2013, 68, 983–993. [Google Scholar] [CrossRef] [PubMed]
- Cuadrado, C.; Sanchiz, A.; Vicente, F.; Ballesteros, I.; Linacero, R. Changes Induced by Pressure Processing on Immunoreactive Proteins of Tree Nut. Molecules 2020, 25, 954. [Google Scholar] [CrossRef] [PubMed]
- Hansen, K.S.; Ballmer-Weber, B.K.; Lüttkopf, D.; Skov, P.S.; Wüthrich, B.; Bindslev-Jensen, C.; Vieths, S.; Poulsen, L.K. Roasted hazelnuts—Allergenic activity evaluated by double-blind, placebo-controlled food challenge. Allergy 2003, 58, 132–138. [Google Scholar] [CrossRef]
- Mondoulet, L.; Paty, E.; Drumare, M.F.; Ah-Leung, S.; Scheinmann, P.; Willemot, R.M.; Wal, J.M.; Bernard, H. Influence of thermal processing on the allergenicity of peanut Proteins. J. Agric. Food Chem. 2005, 53, 4547–4553. [Google Scholar] [CrossRef]
- Worm, M.; Hompes, S.; Fiedler, E.; Illner, A.; Zuberbier, T.; Vieths, S. Impact of native, heat-processed and encapsulated hazelnuts on the allergic response in hazelnut-allergic Patients. Clin. Exp. Allergy 2009, 39, 159–166. [Google Scholar] [CrossRef]
- Mattison, C.P.; Bren-Mattison, Y.; Vant-Hull, B.; Vargas, A.M.; Wasserman, R.L.; Grimm, C.C. Heat-induced alterations in cashew allergen solubility and IgE binding. Toxicol. Rep. 2016, 3, 244–251. [Google Scholar] [CrossRef] [PubMed]
- Noble, K.A.; Liu, C.; Sathe, S.K.; Roux, K.H. A Cherry Seed-Derived Spice, Mahleb, is Recognized by Anti-Almond Antibodies Including Almond-Allergic Patient IgE. J. Food Sci. 2017, 82, 1786–1791. [Google Scholar] [CrossRef]
- Hofer, H.; Asam, C.; Hauser, M.; Nagl, B.; Laimer, J.; Himly, M.; Briza, P.; Ebner, C.; Lang, R.; Hawranek, T.; et al. Tackling Bet v 1 and associated food allergies with a single hybrid protein. J. Allergy Clin. Immunol. 2017, 140, 525–533.e10. [Google Scholar] [CrossRef]
- Matsuo, H.; Yokooji, T.; Taogoshi, T. Common food allergens and their IgE-binding epitopes. Allergol. Int. 2015, 64, 332–343. [Google Scholar] [CrossRef]
- Hensen, S.M.M.; Derksen, M.; Pruijn, G.J.M. Multiplex peptide-based B cell epitope mapping. Methods Mol. Biol. 2014, 1184, 295–308. [Google Scholar] [CrossRef] [PubMed]
- Frank, R. The SPOT-synthesis technique. Synthetic peptide arrays on membrane supports—Principles and applications. J. Immunol. Methods 2002, 267, 13–26. [Google Scholar] [CrossRef] [PubMed]
- Matsuo, H.; Morita, E.; Tatham, A.S.; Morimoto, K.; Horikawa, T.; Osuna, H.; Ikezawa, Z.; Kaneko, S.; Kohno, K.; Dekio, S. Identification of the IgE-binding epitope in omega-5 gliadin, a major allergen in wheat-dependent exercise-induced anaphylaxis. J. Biol. Chem. 2004, 279, 12135–12140. [Google Scholar] [CrossRef]
- Chatchatee, P.; Järvinen, K.M.; Bardina, L.; Vila, L.; Beyer, K.; Sampson, H.A. Identification of IgE and IgG binding epitopes on beta- and kappa-casein in cow’s milk allergic patients. Clin. Exp. Allergy 2001, 31, 1256–1262. [Google Scholar] [CrossRef]
- Li, Y.; Gao, Y.; Wang, Y.; Duan, Y.; Fu, Y.; Yang, H.; Xi, J. Localization of an IgE epitope of glycinin A2 peptide chain. J. Sci. Food Agric. 2024, 104, 3697–3704. [Google Scholar] [CrossRef]
- Perez-Gordo, M.; Lin, J.; Bardina, L.; Pastor-Vargas, C.; Cases, B.; Vivanco, F.; Cuesta-Herranz, J.; Sampson, H.A. Epitope mapping of Atlantic salmon major allergen by peptide microarray immunoassay. Int. Arch. Allergy Immunol. 2012, 157, 31–40. [Google Scholar] [CrossRef]
- Desmet, C.; Coelho-Cruz, B.; Mehn, D.; Colpo, P.; Ruiz-Moreno, A. ASFV epitope mapping by high density peptides microarrays. Virus Res. 2024, 339, 199287. [Google Scholar] [CrossRef] [PubMed]
- Havenith, H.; Kern, K.; Rautenberger, P.; Spiegel, H.; Szardenings, M.; Ueberham, E.; Lehmann, J.; Buntru, M.; Vogel, S.; Treudler, R.; et al. Combination of two epitope identification techniques enables the rational design of soy allergen Gly m 4 mutants. Biotechnol. J. 2017, 12. [Google Scholar] [CrossRef]
- Heidarinia, H.; Tajbakhsh, E.; Rostamian, M.; Momtaz, H. Epitope mapping of Acinetobacter baumannii outer membrane protein W (OmpW) and laboratory study of an OmpW-derivative peptide. Heliyon 2023, 9, e18614. [Google Scholar] [CrossRef]
- Pomés, A. Relevant B cell epitopes in allergic disease. Int. Arch. Allergy Immunol. 2010, 152, 1–11. [Google Scholar] [CrossRef]
- Sharma, P.; Gaur, S.N.; Arora, N. In silico identification of IgE-binding epitopes of osmotin protein. PLoS ONE 2013, 8, e54755. [Google Scholar] [CrossRef] [PubMed]
- Szardenings, M.; Delaroque, N.; Kern, K.; Ramirez-Caballero, L.; Puder, M.; Ehrentreich-Förster, E.; Beige, J.; Zürner, S.; Popp, G.; Wolf, J.; et al. Detection of Antibodies against Endemic and SARS-CoV-2 Coronaviruses with Short Peptide Epitopes. Vaccines 2023, 11, 1403. [Google Scholar] [CrossRef] [PubMed]
- Kern, K.; Havenith, H.; Delaroque, N.; Rautenberger, P.; Lehmann, J.; Fischer, M.; Spiegel, H.; Schillberg, S.; Ehrentreich-Foerster, E.; Aurich, S.; et al. The immunome of soy bean allergy: Comprehensive identification and characterization of epitope. Clin. Exp. Allergy. 2019, 49, 239–251. [Google Scholar] [CrossRef]
- Cariccio, V.L.; Domina, M.; Benfatto, S.; Venza, M.; Venza, I.; Faleri, A.; Bruttini, M.; Bartolini, E.; Giuliani, M.M.; Santini, L.; et al. Phage display revisited: Epitope mapping of a monoclonal antibody directed against Neisseria meningitidis adhesin A using the PROFILER technology. mAbs 2016, 8, 741–750. [Google Scholar] [CrossRef]
- Comeau, A.M.; Douglas, G.M.; Langille, M.G.I. Microbiome Helper: A Custom and Streamlined Workflow for Microbiome Research. mSystems 2017, 2. [Google Scholar] [CrossRef] [PubMed]
- Bolger, A.M.; Lohse, M.; Usadel, B. Trimmomatic: A flexible trimmer for Illumina sequence data. Bioinformatics 2014, 30, 2114–2120. [Google Scholar] [CrossRef]
- Kern, K.; Delaroque, N.; Boysen, A.; Puder, M.; Wendt, R.; Kölsch, A.; Ehrentreich-Förster, E.; Stærk, K.; Andersen, T.E.; Andersen, K.; et al. Glycosylation of bacterial antigens changes epitope pattern. Front. Immunol. 2023, 14, 1258136. [Google Scholar] [CrossRef]
- Dooper, M.M.; Plassen, C.; Holden, L.; Moen, L.H.; Namork, E.; Egaas, E. Antibody binding to hazelnut (Corylus avellana) proteins: The effects of extraction procedure and hazelnut source. Food Agric. Immunol. 2008, 19, 229–240. [Google Scholar] [CrossRef]
- Schägger, H. Tricine–SDS-PAGE. Nat. Protoc. 2006, 1, 16–22. [Google Scholar] [CrossRef]
- Towbin, H.; Staehelin, T.; Gordon, J. Electrophoretic transfer of proteins from polyacrylamide gels to nitrocellulose sheets: Procedure and some applications. Proc. Natl. Acad. Sci. USA 1979, 76, 4350–4354. [Google Scholar] [CrossRef]
- Pastorello, E.A.; Vieths, S.; Pravettoni, V.; Farioli, L.; Trambaioli, C.; Fortunato, D.; Lüttkopf, D.; Calamari, M.; Ansaloni, R.; Scibilia, J.; et al. Identification of hazelnut major allergens in sensitive patients with positive double-blind, placebo-controlled food challenge Results. J. Allergy Clin. Immunol. 2002, 109, 563–570. [Google Scholar] [CrossRef] [PubMed]
- Wigotzki, M.; Steinhart, H.; Paschke, A. Influence of Varieties, Storage and Heat Treatment on IgE-Binding Proteins in Hazelnuts (Corylus avellana). Food Agric. Immunol. 2000, 12, 217–229. [Google Scholar] [CrossRef]
- Lamberti, C.; Nebbia, S.; Antoniazzi, S.; Cirrincione, S.; Marengo, E.; Manfredi, M.; Smorgon, D.; Monti, G.; Faccio, A.; Giuffrida, M.G.; et al. Effect of hot air and infrared roasting on hazelnut allergenicity. Food Chem. 2021, 342, 128174. [Google Scholar] [CrossRef] [PubMed]
- López, E.; Cuadrado, C.; Burbano, C.; Jiménez, M.A.; Rodríguez, J.; Crespo, J.F. Effects of autoclaving and high pressure on allergenicity of hazelnut Proteins. J. Clin. Bioinform. 2012, 2, 12. [Google Scholar] [CrossRef]
- Fu, L.; He, Z.; Zeng, M.; Qin, F.; Chen, J. Effects of preheat treatments on the composition, rheological properties, and physical stability of soybean oil Bodies. J. Food Sci. 2020, 85, 3150–3159. [Google Scholar] [CrossRef]
- Barazorda-Ccahuana, H.L.; Theiss-De-Rosso, V.; Valencia, D.E.; Gómez, B. Heat-Stable. Hazelnut Profilin: Molecular Dynamics Simulations and Immunoinformatics Analysis. Polymers 2020, 12, 1742. [Google Scholar] [CrossRef]
- Müller, U.; Lüttkopf, D.; Hoffmann, A.; Petersen, A.; Becker, W.M.; Schocker, F.; Niggemann, B.; Altmann, F.; Kolarich, D.; Haustein, D.; et al. Allergens in raw and roasted hazelnuts (Corylus avellana) and their cross-reactivity to pollen. Eur. Food Res. Technol. 2000, 212, 2–12. [Google Scholar] [CrossRef]
- Tandang-Silvas, M.R.G.; Fukuda, T.; Fukuda, C.; Prak, K.; Cabanos, C.; Kimura, A.; Itoh, T.; Mikami, B.; Utsumi, S.; Maruyama, N. Conservation and divergence on plant seed 11S globulins based on crystal structures. Biochim. Biophys. Acta 2010, 1804, 1432–1442. [Google Scholar] [CrossRef]
- Gaur, V.; Salunke, D.M. 3EHK: Crystal Structure of Pru du Amandin, an Allergenic Protein from Prunus Dulcis. 2009. Available online: www.rcsb.org (accessed on 27 November 2024).
- Jin, T.; Guo, F.; Chen, Y.-W.; Howard, A.; Zhang, Y.-Z. Crystal structure of Ara h 3, a major allergen in peanut. Mol. Immunol. 2009, 46, 1796–1804. [Google Scholar] [CrossRef]
- Zhang, Y.Z.; Guo, F. 6B4S: Crystal Structure of Brazil nut (Bertholletia excelsa) Allergen Ber e 2. 2018. Available online: www.rcsb.org (accessed on 27 November 2024).
- Fernández-Lozano, C.; Rita, C.G.; Barra-Castro, A.; Caballer, L.H.; Roldán, E.; López, C.P.; Martinez-Botas, J.; Berges-Gimeno, M.P. Specific IgE and Basophil Activation Test by Microarray: A Promising Tool for Diagnosis of Platinum Compound Hypersensitivity Reaction. Int. J. Mol. Sci. 2024, 25, 3890. [Google Scholar] [CrossRef]
- Briceno Noriega, D.; Teodorowicz, M.; Savelkoul, H.; Ruinemans-Koerts, J. The Basophil Activation Test for Clinical Management of Food Allergies: Recent Advances and Future Directions. J. Asthma Allergy 2021, 14, 1335–1348. [Google Scholar] [CrossRef] [PubMed]
- Santos, A.F.; Alpan, O.; Hoffmann, H. Basophil activation test: Mechanisms and considerations for use in clinical trials and clinical practice. Allergy 2021, 76, 2420–2432. [Google Scholar] [CrossRef] [PubMed]
- García Arteaga, V.; Demand, V.; Kern, K.; Strube, A.; Szardenings, M.; Muranyi, I.; Eisner, P.; Schweiggert-Weisz, U. Enzymatic Hydrolysis and Fermentation of Pea Protein Isolate and Its Effects on Antigenic Proteins, Functional Properties, and Sensory Profile. Foods 2022, 11, 118. [Google Scholar] [CrossRef]
- Ma, X.; Li, H.; Zhang, J.; Ge, Y.; He, L.; Kang, W.; Huang, W.; Sun, J.-L.; Chen, Y. Effect of Roasting on the Conformational Structure and IgE Binding of Sesame Allergens. J. Agric. Food Chem. 2022, 70, 9442–9450. [Google Scholar] [CrossRef]
- Cuadrado, C.; Arribas, C.; Sanchiz, A.; Pedrosa, M.M.; Gamboa, P.; Betancor, D.; Blanco, C.; Cabanillas, B.; Linacero, R. Effects of enzymatic hydrolysis combined with pressured heating on tree nut allergenicity. Food Chem. 2024, 451, 139433. [Google Scholar] [CrossRef] [PubMed]
- Moreno, F.J.; Clemente, A. 2S Albumin Storage Proteins: What Makes them Food Allergens? Open Biochem. J. 2008, 2, 16–28. [Google Scholar] [CrossRef]
- Clemente, A.; Chambers, S.J.; Lodi, F.; Nicoletti, C.; Brett, G.M. Use of the indirect competitive ELISA for the detection of Brazil nut in food products. Food Control 2004, 15, 65–69. [Google Scholar] [CrossRef]
- Starkl, P.; Krishnamurthy, D.; Szalai, K.; Felix, F.; Lukschal, A.; Oberthuer, D.; Sampson, H.A.; Swoboda, I.; Betzel, C.; Untersmayr, E.; et al. Heating Affects Structure, Enterocyte Adsorption and Signalling, As Well as Immunogenicity of the Peanut Allergen Ara h 2. Open Allergy J. 2011, 4, 24–34. [Google Scholar] [CrossRef]
- Chihi, M.-L.; Mession, J.-L.; Sok, N.; Saurel, R. Heat-Induced Soluble Protein Aggregates from Mixed Pea Globulins and β-Lactoglobulin. J. Agric. Food Chem. 2016, 64, 2780–2791. [Google Scholar] [CrossRef]
Disclaimer/Publisher’s Note: The statements, opinions and data contained in all publications are solely those of the individual author(s) and contributor(s) and not of MDPI and/or the editor(s). MDPI and/or the editor(s) disclaim responsibility for any injury to people or property resulting from any ideas, methods, instructions or products referred to in the content. |
© 2024 by the authors. Licensee MDPI, Basel, Switzerland. This article is an open access article distributed under the terms and conditions of the Creative Commons Attribution (CC BY) license (https://creativecommons.org/licenses/by/4.0/).





