RETRACTED: Spirulina Unleashed: A Pancreatic Symphony to Restore Glycemic Balance and Improve Hyperlipidemia and Antioxidant Properties by Transcriptional Modulation of Genes in a Rat Model
Abstract
1. Introduction
2. Materials and Methods
2.1. Procurement of Herbal Material
2.2. Proximate Analysis
2.3. Phenolic Acid Profile of Spirulina Powder by Using HPLC
2.4. Experimental Trial and Induction of Hyperlipidemia
2.5. Oxidative Stress Parameters
2.5.1. Total Oxidant Status (TOS)
2.5.2. Total Antioxidant Capacity (TAC)
2.5.3. Malondialdehyde (MDA)
2.5.4. Catalase
2.6. Lipid Profile and Insulin
2.7. Serum Liver Enzymes
2.7.1. Alanine Aminotransferase (ALT)
2.7.2. Aspartate Aminotransferase (AST)
2.8. Histopathology
2.9. Gene Expression
2.10. Statistical Analysis
3. Results
3.1. Proximate Analysis of Spirulina Powder
3.2. Phenolic and Flavonoid Contents Through HPLC
3.3. Body Weight
3.4. Oxidative Stress Parameters
3.5. Lipid Profile
3.6. Serum Insulin
3.7. Serum ALT and AST
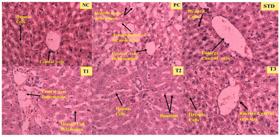
3.8. Histopathology Evaluation of the Liver and Pancreas
3.8.1. Pancreatic Tissues
3.8.2. Liver Tissue
3.9. Gene Expression
4. Discussion
5. Conclusions
Author Contributions
Funding
Institutional Review Board Statement
Informed Consent Statement
Data Availability Statement
Acknowledgments
Conflicts of Interest
References
- Hill, S.A.; Bordoni, S.; Mitchell, J.L. A theory for the Hadley cell descending and ascending edges throughout the annual cycle. J. Atmos. Sci. 2022, 79, 2515–2528. [Google Scholar] [CrossRef]
- Corbett, K.S.; Edwards, D.K.; Leist, S.R.; Abiona, O.M.; Boyoglu-Barnum, S.; Gillespie, R.A.; Himansu, S.; Schäfer, A.; Ziwawo, C.T.; DiPiazza, A.T.; et al. SARS-CoV-2 mRNA vaccine design enabled by prototype pathogen preparedness. Nature 2020, 586, 567–571. [Google Scholar] [CrossRef] [PubMed]
- Feldman, D.; Pamboukian, S.V.; Teuteberg, J.J.; Birks, E.; Lietz, K.; Moore, S.A.; Morgan, J.A.; Arabia, F.; Bauman, M.E.; Buchholz, H.W.; et al. The 2013 International Society for Heart and Lung Transplantation Guidelines for mechanical circulatory support: Executive summary. J. Heart Lung Transplant. 2013, 32, 157–187. [Google Scholar] [CrossRef] [PubMed]
- Deng, R.; Chow, T.J. Hypolipidemic, antioxidant, and antiinflammatory activities of microalgae Spirulina. Cardiovasc. Ther. 2010, 28, e33–e45. [Google Scholar] [CrossRef] [PubMed]
- Sonmez, A.; Ercin, C.N.; Cesur, M.; Dogru, T. Nutraceuticals for non-alcoholic fatty liver disease. In Nutraceuticals and Cardiovascular Disease; Humana: Cham, Switzerland, 2021; pp. 141–165. [Google Scholar]
- Masten Rutar, J.; Jagodic Hudobivnik, M.; Nečemer, M.; Vogel Mikuš, K.; Arčon, I.; Ogrinc, N. Nutritional quality and safety of the spirulina dietary supplements sold on the Slovenian market. Foods 2022, 11, 849. [Google Scholar] [CrossRef]
- Mohammadi, M.; Soltanzadeh, M.; Ebrahimi, A.R.; Hamishehkar, H. Spirulina platensis protein hydrolysates: Techno-functional, nutritional and antioxidant properties. Algal Res. 2022, 65, 102739. [Google Scholar] [CrossRef]
- Kulshreshtha, A.; Jarouliya, U.; Bhadauriya, P.; Prasad, G.; Bisen, P. Spirulina in health care management. Curr. Pharm. Biotechnol. 2008, 9, 400–405. [Google Scholar] [CrossRef]
- Sharoba, A.M. Nutritional value of spirulina and its use in the preparation of some complementary baby food formulas. J. Food Dairy Sci. 2014, 5, 517–538. [Google Scholar] [CrossRef]
- Tang, G.; Suter, P.M. Vitamin A, nutrition, and health values of algae: Spirulina, Chlorella, and Dunaliella. J. Pharm. Nutr. Sci. 2011, 1, 111–118. [Google Scholar] [CrossRef]
- Attia, Y.A.; Hassan, R.A.; Addeo, N.F.; Bovera, F.; Alhotan, R.A.; Al-Qurashi, A.D.; Al-Baadani, H.H.; Al-Banoby, M.A.; Khafaga, A.F.; Eisenreich, W.; et al. Effects of Spirulina platensis and/or Allium sativum on Antioxidant Status, Immune Response, Gut Morphology, and Intestinal Lactobacilli and Coliforms of Heat-Stressed Broiler Chicken. Vet. Sci. 2023, 10, 678. [Google Scholar] [CrossRef]
- AlFadhly, N.K.; Alhelfi, N.; Altemimi, A.B.; Verma, D.K.; Cacciola, F.; Narayanankutty, A. Trends and technological advancements in the possible food applications of Spirulina and their health benefits: A Review. Molecules 2022, 27, 5584. [Google Scholar] [CrossRef] [PubMed]
- Trotta, T.; Porro, C.; Cianciulli, A.; Panaro, M.A. Beneficial effects of spirulina consumption on brain health. Nutrients 2022, 14, 676. [Google Scholar] [CrossRef] [PubMed]
- AOAC. Official Methods of Analysis, 18th ed.; Association of Official Analytical Chemists: Gaithersburgs, MD, USA, 2006. [Google Scholar]
- Soni, R.A.; Sudhakar, K.; Rana, R. Spirulina–From growth to nutritional product: A review. Trends Food Sci. Technol. 2017, 69, 157–171. [Google Scholar] [CrossRef]
- Anwar, H.; Navaid, S.; Muzaffar, H.; Hussain, G.; Faisal, M.N.; Ijaz, M.U.; Riđanović, S. Analyzing cross-talk of EPO and EGF genes along with evaluating therapeutic potential of Cinnamomum verum in cigarette-smoke-induced lung pathophysiology in rat model. Food Sci. Nutr. 2023, 11, 1486–1498. [Google Scholar] [CrossRef] [PubMed]
- Bird, R.P.; Draper, H.H. Comparative studies on different methods of malonaldehyde determination. Method Enzymol. 1984, 105, 299–305. [Google Scholar]
- Hadwan, M.H. Simple spectrophotometric assay for measuring catalase activity in biological tissues. BMC Biochem. 2018, 19, 7. [Google Scholar] [CrossRef]
- Krishna, H.; Avinash, K.; Shivakumar, A.; Al-Tayar, N.G.S.; Shrestha, A.K. A quantitative method for the detection and validation of catalase activity at physiological concentration in human serum, plasma and erythrocytes. Spectrochim. Acta Part A Mol. Biomol. Spectrosc. 2021, 251, 119358. [Google Scholar] [CrossRef]
- Mustafa, I.; Anwar, H.; Irfan, S.; Muzaffar, H.; Ijaz, M.U. Attenuation of carbohydrate metabolism and lipid profile by methanolic extract of Euphorbia helioscopia and improvement of beta cell function in a type 2 diabetic rat model. BMC Complement. Med. Ther. 2022, 22, 23. [Google Scholar] [CrossRef]
- Yano, Y.; Irie, N.; Homma, Y.; Tsushima, M.; Takeuchi, I.; Nakaya, N.; Goto, Y. High density lipoprotein cholesterol levels in the Japanese. Atherosclerosis 1980, 36, 173–181. [Google Scholar] [CrossRef]
- Hoffmann, G.; Hiefinger, R.; Weiss, L.; Poppe, W. Five methods for measuring low-density lipoprotein cholesterol concentration in serum compared. Clin. Chem. 1985, 31, 1729–1730. [Google Scholar] [CrossRef]
- Albadawy, R.; Agwa, S.H.; Khairy, E.; Saad, M.; El Touchy, N.; Othman, M.; Matboli, M.J.B. Clinical Significance of HSPD1/MMP14/ITGB1/miR-6881-5P/Lnc-SPARCL1-1: 2 RNA Panel in NAFLD/NASH Diagnosis: Egyptian Pilot Study. Biomedicines 2021, 9, 1248. [Google Scholar] [CrossRef] [PubMed]
- Liu, Z.; Que, S.; Xu, J.; Peng, T. Alanine aminotransferase-old biomarker and new concept: A review. Int. J. Med. Sci. 2014, 11, 925. [Google Scholar] [CrossRef] [PubMed]
- Schemitt, E.G.; Colares, J.R.; Hartmann, R.M.; Morgan-Martins, M.I.; Marroni, C.A.; Tuñón, M.J.; Marroni, N.P. Effect of glutamine on oxidative stress and inflammation in a rat model of fulminant hepatic failure. Nutr. Hosp. 2016, 33, 210–219. [Google Scholar]
- Singh, G.; Senapati, S.; Satpathi, S.; Behera, P.K.; Das, B.; Nayak, B. Establishment of decellularized extracellular matrix scaffold derived from caprine pancreas as a novel alternative template over porcine pancreatic scaffold for prospective biomedical application. FASEB J. 2022, 36, e22574. [Google Scholar] [CrossRef] [PubMed]
- Sultan, M.; Amstislavskiy, V.; Risch, T.; Schuette, M.; Dökel, S.; Ralser, M.; Balzereit, D.; Lehrach, H.; Yaspo, M.-L. Influence of RNA extraction methods and library selection schemes on RNA-seq data. BMC Genom. 2014, 15, 675. [Google Scholar] [CrossRef]
- Farooq, A.; Rhee, G.H.; Shim, H.; Valizadeh, B.; Lee, J.; Khan, M.; Jeon, B.-H.; Jang, S.-H.; Choi, Y.J.; Park, Y.-K. Enhanced mono-aromatics production by the CH4-assisted pyrolysis of microalgae using Zn-based HZSM-5 catalysts. Chemosphere 2024, 351, 141251. [Google Scholar] [CrossRef]
- Pandey, V.K.; Singh, P.; Srivastava, S.; Zanwar, S.; Dar, A.H.; Singh, R.; Lal, A. Box–Behnken design based statistical modelling to study the effects of spirulina (Arthrospira platensis) incorporation on nutritional standards of vegan snack product. J. Agric. Food Res. 2023, 14, 100700. [Google Scholar] [CrossRef]
- Sibiya, T.; Ghazi, T.; Mohan, J.; Nagiah, S.; Chuturgoon, A.A. Spirulina platensis ameliorates oxidative stress associated with antiretroviral drugs in hepg2 cells. Plants 2022, 11, 3143. [Google Scholar] [CrossRef]
- Palmegiano, G.B.; Agradi, E.; Forneris, G.; Gai, F.; Gasco, L.; Rigamonti, E.; Sicuro, B.; Zoccarato, I. Spirulina as a nutrient source in diets for growing sturgeon (Acipenser baeri). Aquac. Res. 2005, 36, 188–195. [Google Scholar] [CrossRef]
- Zheng, J.; Inoguchi, T.; Sasaki, S.; Maeda, Y.; McCarty, M.F.; Fujii, M.; Ikeda, N.; Kobayashi, K.; Sonoda, N.; Takayanagi, R. Phycocyanin and phycocyanobilin from Spirulina platensis protect against diabetic nephropathy by inhibiting oxidative stress. Am. J. Physiol. Regul. Integr. Comp. Physiol. 2013, 304, R110–R120. [Google Scholar] [CrossRef]
- Li, K.; Duan, X.; Zhou, L.; Hill, D.R.; Martin, G.J.; Suleria, H.A. Bioaccessibility and bioactivities of phenolic compounds from microalgae during in vitro digestion and colonic fermentation. Food Funct. 2023, 14, 899–910. [Google Scholar] [CrossRef] [PubMed]
- Bitam, A.; Aissaoui, O. Spirulina Platensis, Oxidative Stress, and Diabetes; Elsevier: Amsterdam, The Netherlands, 2020; pp. 325–331. [Google Scholar]
- Damessa, F. Nutritional and Functional Values of Microalgae (Spirulina) Naturally Found in East Africa. Ph.D. Thesis, NM-AIST, Arusha, Tanzanian, 2021. [Google Scholar]
- Nagaoka, S.; Shimizu, K.; Kaneko, H.; Shibayama, F.; Morikawa, K.; Kanamaru, Y.; Otsuka, A.; Hirahashi, T.; Kato, T. A novel protein C-phycocyanin plays a crucial role in the hypocholesterolemic action of Spirulina platensis concentrate in rats. J. Nutr. 2005, 135, 2425–2430. [Google Scholar] [CrossRef] [PubMed]
- Ohmori, M.; Ehira, S. Spirulina: An example of cyanobacteria as nutraceuticals. In Cyanobacteria: An Economic Perspective; John Wiley & Sons, Ltd.: Chichester, UK, 2014; pp. 103–118. [Google Scholar]
- Coué, M.; Tesse, A.; Falewée, J.; Aguesse, A.; Croyal, M.; Fizanne, L.; Chaigneau, J.; Boursier, J.; Ouguerram, K. Spirulina liquid extract protects against fibrosis related to non-alcoholic steatohepatitis and increases ursodeoxycholic acid. Nutrients 2019, 11, 194. [Google Scholar] [CrossRef] [PubMed]
- Rajak, U.; Nashine, P.; Verma, T.N.; Pugazhendhi, A. Performance and emission analysis of a diesel engine using hydrogen enriched n-butanol, diethyl ester and Spirulina microalgae biodiesel. Fuel 2020, 271, 117645. [Google Scholar] [CrossRef]
- Guldas, M.; Ziyanok-Demirtas, S.; Sahan, Y.; Yildiz, E.; Gurbuz, O. Antioxidant and anti-diabetic properties of Spirulina platensis produced in Turkey. Food Sci. Technol. 2020, 41, 615–625. [Google Scholar] [CrossRef]
- Reynolds, E. Natural Product Therapeutics and COVID-19: The Case for Clinical Development of Spirulina Extracts; Back of the Yards Algae Sciences Inc.: Chicago, IL, USA, 2020; Available online: https://www.algaesciences.com/post/natural-product-therapeutics-and-covid-19-the-case-for-clinical-development-of-spirulina-extracts (accessed on 27 October 2024).
- Salama, E.-S.; Kurade, M.B.; Abou-Shanab, R.A.; El-Dalatony, M.M.; Yang, I.-S.; Min, B.; Jeon, B.-H. Recent progress in microalgal biomass production coupled with wastewater treatment for biofuel generation. Renew. Sustain. Energy Rev. 2017, 79, 1189–1211. [Google Scholar] [CrossRef]








| Genes | Sequence | |
|---|---|---|
| INS-1 | Forward | AGGCTCTGTACCTGGTGTGTG |
| Reverse | CGGGTCCTCCACTTCACGAC | |
| PDX-1 | Forward | TCCCGAATGGAACCGAGACT |
| Reverse | TTCATCCACGGGAAAGGGAG | |
| IGF-1 | Forward | ACCCGGGACGTACCAAAATG |
| Reverse | CCGAGCTGGTAAAGGTGAGC | |
| GLUT-2 | Forward | GGCATGTTTTTCTGTGCCGT |
| Reverse | AAGAACACGTAAGGCCCGAG | |
| Parameters | Result (%) |
|---|---|
| Moisture | 7.56 ± 0.3 |
| Ash | 15.69 ± 0.7 |
| Crude fat | 5.67 ± 0.2 |
| Protein (N*6.25) | 16.45 ± 0.8 |
| Carbohydrates | 38.17 ± 1.7 |
| Crude fiber | 16.46 ± 0.8 |
| K-Calories/100 g | 269.51 |
| No. | Compound | Peak Area (mAU/min) | K Factor | Conc. (μg/g) |
|---|---|---|---|---|
| 1 | Chlorogenic acid | 21,331,085.5 | 0.00019 | 4052.906 |
| 2 | P-Coumaric acid | 1,941,105.9 | 0.0003 | 582.3318 |
| 3 | Gallic Acid | 3,514,736.1 | 0.000079 | 277.6642 |
| 4 | Hydroxybenzoic acid-acid | 1,507,741.8 | - | - |
| 5 | Vinallic acid | 3,237,237.3 | 0.00044 | 1424.384 |
| 6 | Sinapic acid | 2,798,676.8 | 0.00005 | 139.9338 |
| 7 | Salicylic acid | 2,730,988.6 | 0.000377 | 1029.583 |
| 8 | Querctin | 1,127,940.7 | 0.000095 | 107.1544 |
| 9 | Rutin | 31,310.1 | - | - |
| Group | 0 Day | 4 Weeks | 8 Weeks | 12 Weeks | BWG (%) |
|---|---|---|---|---|---|
| NC | 154 ± 2.79 d | 172 ± 2.54 c | 196 ± 3.95 b | 204 ± 1.89 a | 33.0 |
| PC | 236 ± 3.21 d | 278 ± 5.55 c | 312 ± 7.91 b | 348 ± 8.31 a | 47.6 |
| STD | 235 ± 3.19 d | 254 ± 4.14 c | 273 ± 5.53 b | 284 ± 6.49 a | 20.7 |
| T1 | 236 ± 3.21 d | 254 ± 4.14 c | 266 ± 4.52 b | 309 ± 6.95 a | 30.9 |
| T2 | 234 ± 3.18 d | 254 ± 4.14 c | 266 ± 4.53 b | 291 ± 5.92 a | 24.1 |
| T3 | 235 ± 3.19 d | 256 ± 4.19 c | 261 ± 4.48 b | 288 ± 6.51 a | 22.5 |
| Groups | Alanine Transaminase (U/L) | Aspartate Aminotransferase (U/L) | ||||||||
|---|---|---|---|---|---|---|---|---|---|---|
| 0 Day | 4 Weeks | 8 Weeks | 12 Weeks | Mean ± SEM | 0 Day | 4 Weeks | 8 Weeks | 12 Weeks | Mean ± SEM | |
| NC | 35.1 ± 0.5 | 35.2 ± 1.2 | 37.9 ± 0.3 | 35.9 ± 0.7 | 36.02 ± 0.7 | 95.1 ± 0.8 | 93.9 ± 0.7 | 94.5 ± 0.87 | 94.2 ± 0.75 | 94.42 ± 0.79 |
| PC | 84.1 ± 1.0 | 87.5 ± 1.6 | 91.7 ± 1.6 | 92.2 ± 1.5 | 88.87 ± 1.4 | 178.7 ± 0.5 | 177.9 ± 0.4 | 178.2 ± 0.4 | 180.8 ± 0.79 | 178.9 ± 0.54 |
| STD | 87.2 ± 1.5 | 82.9 ± 1.6 | 73.9 ± 1.9 | 66 ± 1.88 | 77.5 ± 1.7 | 178.7 ± 0.5 | 166.4 ± 0.9 | 153.2 ± 1.5 | 141 ± 1.11 | 159.82 ± 1.0 |
| T1 | 85 ± 1.87 | 78.5 ± 1.2 | 72.9 ± 1.4 | 68.9 ± 1.3 | 76.32 ± 1.4 | 177.9 ± 0.4 | 159.6 ± 1.5 | 129.8 ± 1.1 | 111.7 ± 1.80 | 144 ± 1.22 |
| T2 | 86.4 ± 0.8 | 76.7 ± 0.8 | 65.3 ± 0.9 | 59.7 ± 0.8 | 72.02 ± 0.8 | 178.2 ± 1.4 | 159.3 ± 1.3 | 134.7 ± 1.7 | 106.2 ± 0.70 | 144.6 ± 1.31 |
| T3 | 85.8 ± 1.2 | 78.5 ± 1.2 | 67 ± 1.40 | 37.9 ± 1.7 | 67.3 ± 1.4 | 180.8 ± 0.7 | 149.7 ± 2.9 | 118.9 ± 1.8 | 94.1 ± 0.74 | 94.42 ± 0.8 |
Disclaimer/Publisher’s Note: The statements, opinions and data contained in all publications are solely those of the individual author(s) and contributor(s) and not of MDPI and/or the editor(s). MDPI and/or the editor(s) disclaim responsibility for any injury to people or property resulting from any ideas, methods, instructions or products referred to in the content. |
© 2024 by the authors. Licensee MDPI, Basel, Switzerland. This article is an open access article distributed under the terms and conditions of the Creative Commons Attribution (CC BY) license (https://creativecommons.org/licenses/by/4.0/).
Share and Cite
Nazir, A.; Nisa, M.u.; Rahim, M.A.; Mohamed Ahmed, I.A.; Aljobair, M.O. RETRACTED: Spirulina Unleashed: A Pancreatic Symphony to Restore Glycemic Balance and Improve Hyperlipidemia and Antioxidant Properties by Transcriptional Modulation of Genes in a Rat Model. Foods 2024, 13, 3512. https://doi.org/10.3390/foods13213512
Nazir A, Nisa Mu, Rahim MA, Mohamed Ahmed IA, Aljobair MO. RETRACTED: Spirulina Unleashed: A Pancreatic Symphony to Restore Glycemic Balance and Improve Hyperlipidemia and Antioxidant Properties by Transcriptional Modulation of Genes in a Rat Model. Foods. 2024; 13(21):3512. https://doi.org/10.3390/foods13213512
Chicago/Turabian StyleNazir, Anum, Mahr un Nisa, Muhammad Abdul Rahim, Isam A. Mohamed Ahmed, and Moneera O. Aljobair. 2024. "RETRACTED: Spirulina Unleashed: A Pancreatic Symphony to Restore Glycemic Balance and Improve Hyperlipidemia and Antioxidant Properties by Transcriptional Modulation of Genes in a Rat Model" Foods 13, no. 21: 3512. https://doi.org/10.3390/foods13213512
APA StyleNazir, A., Nisa, M. u., Rahim, M. A., Mohamed Ahmed, I. A., & Aljobair, M. O. (2024). RETRACTED: Spirulina Unleashed: A Pancreatic Symphony to Restore Glycemic Balance and Improve Hyperlipidemia and Antioxidant Properties by Transcriptional Modulation of Genes in a Rat Model. Foods, 13(21), 3512. https://doi.org/10.3390/foods13213512

