Relationship Between Facial Types and Alveolar Crest Cortical Bone Thickness and CT Values Determined by Multidetector Computed Tomography
Abstract
1. Introduction
2. Materials and Methods
2.1. Patients
2.2. Cephalometric Analysis
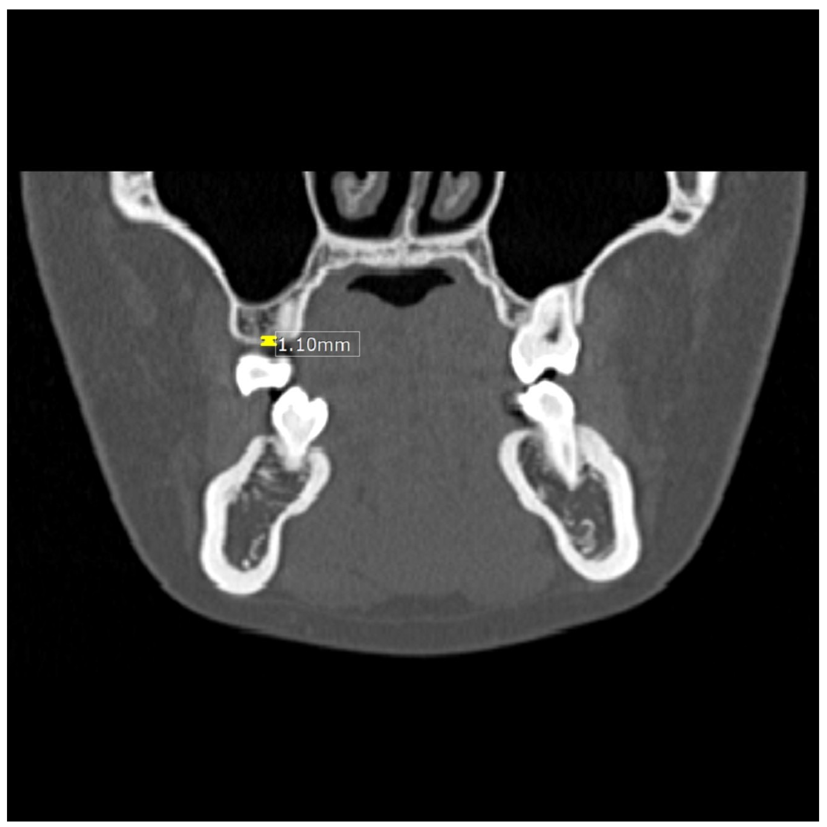
2.3. CT Imaging Analysis
2.4. Statistical Analysis
3. Results
4. Discussion
5. Conclusions
Author Contributions
Funding
Institutional Review Board Statement
Informed Consent Statement
Data Availability Statement
Conflicts of Interest
Abbreviations
| CT | computed tomography |
| MDCT | multidetector computed tomography |
| CBCT | cone-beam computed tomography |
| FMA | Frankfurt mandibular angle |
| Tmax3 | thickness between the maxillary canine and first premolar |
| Tman3 | thickness between the mandibular canine and first premolar |
| Tmax6 | thickness between the maxillary premolar and first molar |
| Tman6 | thickness between the mandibular premolar and first molar |
| Dmax3 | density between the maxillary canine and first premolar |
| Dman3 | density between the mandibular canine and first premolar |
| Dmax6 | density between the maxillary premolar and the first molar |
| Dman6 | density between the mandibular premolar and the first molar |
| SD | standard deviation |
| HU | Hounsfield unit |
References
- Umemori, M.; Sugawara, J.; Mitani, H.; Nagasaka, H.; Kawamura, H. Skeletal anchorage system for open-bite correction. Am. J. Orthod. Dentofac. Orthop. 1999, 115, 166–174. [Google Scholar] [CrossRef]
- Baumgaertel, S.; Razavi, M.R.; Hans, M.G. Mini-implant anchorage for the orthodontic practitioner. Am. J. Orthod. Dentofac. Orthop. 2008, 133, 621–627. [Google Scholar] [CrossRef]
- Park, H.S. The skeletal cortical anchorage using titanium microscrew implants. Korean J. Orthod. 1999, 29, 699–706. [Google Scholar]
- Chen, C.H.; Chang, C.S.; Hsieh, C.H.; Tseng, Y.C.; Shen, Y.S.; Huang, I.Y.; Yang, C.F.; Chen, C.M. The use of microimplants in orthodontic anchorage. J. Oral Maxillofac. Surg. 2006, 64, 1209–1213. [Google Scholar] [CrossRef] [PubMed]
- Satiroğlu, F.; Arun, T.; Işik, F. Comparative data on facial morphology and muscle thickness using ultrasonography. Eur. J. Orthod. 2005, 27, 562–567. [Google Scholar] [CrossRef] [PubMed]
- Arun, T.; Isik, F.; Sayinsu, K. Vertical growth changes after adenoidectomy. Angle Orthod. 2003, 73, 146–150. [Google Scholar] [CrossRef]
- Tsunori, M.; Mashita, M.; Kasai, K. Relationship between facial types and tooth and bone characteristics of the mandible obtained by CT scanning. Angle Orthod. 1998, 68, 557–562. [Google Scholar] [CrossRef]
- Yashima, Y.; Kaku, M.; Yamamoto, T.; Medina, C.C.; Ono, S.; Takeda, Y.; Tanimoto, K. Camouflage Correction of Skeletal Class III Severe Open Bite with Tooth Ankylosis Treated by Temporary Anchorage Devices: A Case Report. Dent. J. 2023, 11, 107. [Google Scholar] [CrossRef]
- Yong, T.H.; Yang, S.; Lee, S.J.; Park, C.; Kim, J.E.; Huh, K.H.; Lee, S.S.; Heo, M.S.; Yi, W.J. QCBCT-NET for direct measurement of bone mineral density from quantitative cone-beam CT: A human skull phantom study. Sci. Rep. 2021, 11, 15083. [Google Scholar] [CrossRef]
- Park, H.S.; Lee, Y.J.; Jeong, S.H.; Kwon, T.G. Density of the alveolar and basal bones of the maxilla and the mandible. Am. J. Orthod. Dentofac. Orthop. 2008, 133, 30–37. [Google Scholar] [CrossRef]
- Ozdemir, F.; Tozlu, M.; Germec-Cakan, D. Cortical bone thickness of the alveolar process measured with cone-beam computed tomography in patients with different facial types. Am. J. Orthod. Dentofac. Orthop. 2013, 143, 190–196. [Google Scholar] [CrossRef]
- Miyajima, K.; McNamara, J.A., Jr.; Kimura, T.; Murata, S.; Iizuka, T. Craniofacial structure of Japanese and European-American adults with normal occlusions and well-balanced faces. Am. J. Orthod. Dentofac. Orthop. 1996, 110, 431–438. [Google Scholar] [CrossRef]
- Kim, H.Y. Statistical notes for clinical researchers: Evaluation of measurement error 2: Dahlberg’s error, Bland-Altman method, and Kappa coefficient. Restor. Dent. Endod. 2013, 38, 182–185. [Google Scholar] [CrossRef] [PubMed]
- Deguchi, T.; Nasu, M.; Murakami, K.; Yabuuchi, T.; Kamioka, H.; Takano-Yamamoto, T. Quantitative evaluation of cortical bone thickness with computed tomographic scanning for orthodontic implants. Am. J. Orthod. Dentofac. Orthop. 2006, 129, 721.e7–721.e12. [Google Scholar] [CrossRef] [PubMed]
- Pauwels, R.; Jacobs, R.; Singer, S.R.; Mupparapu, M. CBCT-based bone quality assessment: Are Hounsfield units applicable? Dentomaxillofac. Radiol. 2015, 44, 20140238. [Google Scholar] [CrossRef]
- Maki, K.; Okano, T.; Morohashi, T.; Yamada, S.; Shibaski, Y. The application of three-dimensional quantitative computed tomography to the maxillofacial skeleton. Dentomaxillofac. Radiol. 1997, 26, 39–44. [Google Scholar] [CrossRef]
- Norton, M.R.; Gamble, C. Bone classification: An objective scale of bone density using the computerized tomography scan. Clin. Oral Implant. Res. 2001, 12, 79–84. [Google Scholar] [CrossRef]
- Masumoto, T.; Hayashi, I.; Kawamura, A.; Tanaka, K.; Kasai, K. Relationships among facial type, buccolingual molar inclination, and cortical bone thickness of the mandible. Eur. J. Orthod. 2001, 23, 15–23. [Google Scholar] [CrossRef]
- Son, C.H.; An, J.S.; Yi, W.J.; Ahn, S.J. Bone mineral density and anatomic limitations of miniscrew placement at buccal interradicular sites: A quantitative computed tomography study. Am. J. Orthod. Dentofac. Orthop. 2025, 167, 713–724. [Google Scholar] [CrossRef]
- Midgett, R.J.; Shaye, R.; Fruge, J.F., Jr. The effect of altered bone metabolism on orthodontic tooth movement. Am. J. Orthod. 1981, 80, 256–262. [Google Scholar] [CrossRef]
- Kalia, S.; Melsen, B.; Verna, C. Tissue reaction to orthodontic tooth movement in acute and chronic corticosteroid treatment. Orthod. Craniofac. Res. 2004, 7, 26–34. [Google Scholar] [CrossRef] [PubMed]
- Markostamos, K. Déplacement orthodontique face à l’os compact et à l’os spongieux. Différences des réactions tissulaires avec deux forces différentes [Orthodontic movement through compact bone and spongious bone. The difference in tissue reaction with 2 different forces]. Orthod. Fr. 1991, 62 Pt 3, 875–891. (In French) [Google Scholar]
- Tsuboi, A.; Koizumi, S.; Takahashi, M.; Hikita, Y.; Yamaguchi, T. The Role of Mandibular Thickness in Determining Anteroposterior Skeletal Relationships. Dent. J. 2024, 13, 3. [Google Scholar] [CrossRef]
- Jaramillo-Bedoya, D.; Villegas-Giraldo, G.; Agudelo-Suárez, A.A.; Ramírez-Ossa, D.M. A Scoping Review about the Characteristics and Success-Failure Rates of Temporary Anchorage Devices in Orthodontics. Dent. J. 2022, 10, 78. [Google Scholar] [CrossRef]
- Umalkar, S.S.; Jadhav, V.V.; Paul, P.; Reche, A. Modern Anchorage Systems in Orthodontics. Cureus 2022, 14, e31476. [Google Scholar] [CrossRef]
- Zhou, H.; Yuan, X.; Hong, H.; Lai, W.; Long, H. Protraction of Mandibular Second Molar for Substitution of Adjacent Missing First Molar with a Mini-Implant-Anchored Albert Loop Appliance. Cureus 2024, 16, e58397. [Google Scholar] [CrossRef]


| Sample | Sex | Age | FMA | Tmax6 | Dmax6 | Tman6 | Dman6 | Tmax3 | Dmax3 | Tmax3 | Dman3 |
|---|---|---|---|---|---|---|---|---|---|---|---|
| 1 | Female | 32 | 10.0 | 1.01 | 971.76 | 4.06 | 1384.63 | 1.29 | 1231.00 | 1.24 | 1155.78 |
| 2 | Male | 33 | 10.5 | 1.16 | 982.15 | 1.79 | 1067.52 | 1.72 | 912.97 | 1.31 | 769.87 |
| 3 | Female | 19 | 11.5 | 0.98 | 625.90 | 1.18 | 724.50 | 1.18 | 1187.47 | 1.18 | 1148.24 |
| 4 | Female | 22 | 12.0 | 1.07 | 814.62 | 1.15 | 1116.06 | 2.08 | 1038.58 | 1.68 | 1262.38 |
| 5 | Female | 19 | 15.0 | 2.00 | 1114.10 | 1.73 | 957.52 | 1.33 | 1123.86 | 1.47 | 1288.96 |
| 6 | Female | 22 | 15.0 | 0.98 | 1097.40 | 2.00 | 1070.07 | 1.31 | 1168.95 | 1.55 | 1213.24 |
| 7 | Male | 18 | 16.0 | 0.77 | 791.43 | 1.56 | 699.93 | 1.02 | 492.52 | 1.03 | 529.06 |
| 8 | Male | 19 | 16.5 | 1.47 | 840.63 | 1.08 | 680.16 | 1.33 | 1073.26 | 1.58 | 1185.36 |
| 9 | Male | 25 | 17.0 | 1.30 | 772.38 | 1.43 | 735.75 | 0.81 | 1061.57 | 1.25 | 966.00 |
| 10 | Female | 23 | 17.0 | 1.34 | 896.17 | 1.62 | 1072.45 | 1.41 | 1186.56 | 1.22 | 1323.65 |
| 11 | Female | 16 | 17.0 | 1.02 | 766.59 | 1.53 | 815.00 | 1.46 | 1099.08 | 1.96 | 1022.00 |
| 12 | Female | 20 | 18.0 | 1.20 | 1118.21 | 1.36 | 1304.42 | 1.29 | 1163.09 | 1.39 | 1349.67 |
| 13 | Female | 13 | 18.0 | 1.60 | 939.29 | 1.10 | 763.08 | 1.22 | 888.29 | 1.12 | 734.21 |
| 14 | Male | 20 | 18.0 | 1.29 | 992.75 | 1.15 | 869.88 | 1.41 | 1017.67 | 1.88 | 1041.89 |
| 15 | Male | 16 | 19.0 | 1.21 | 889.43 | 0.87 | 608.10 | 1.35 | 926.73 | 1.24 | 849.50 |
| 16 | Female | 18 | 21.0 | 1.28 | 1385.71 | 1.79 | 1313.37 | 1.22 | 1108.55 | 1.46 | 1405.83 |
| 17 | Female | 19 | 21.0 | 1.24 | 1091.46 | 0.98 | 1146.95 | 1.09 | 1021.50 | 1.00 | 1179.28 |
| 18 | Male | 21 | 21.5 | 1.44 | 1018.85 | 1.12 | 897.22 | 1.01 | 1153.06 | 1.13 | 1157.10 |
| 19 | Female | 21 | 22.5 | 1.64 | 850.85 | 0.98 | 906.15 | 1.34 | 896.45 | 1.20 | 919.39 |
| 20 | Female | 24 | 24.0 | 1.03 | 1022.15 | 1.03 | 833.80 | 1.35 | 944.16 | 1.28 | 1087.81 |
| 21 | Female | 22 | 24.5 | 1.25 | 988.40 | 1.22 | 1194.54 | 1.34 | 1004.67 | 1.36 | 1029.54 |
| 22 | Female | 15 | 26.5 | 1.06 | 899.64 | 1.14 | 580.15 | 0.89 | 801.67 | 1.11 | 874.00 |
| 23 | Female | 44 | 26.5 | 1.41 | 1100.33 | 1.41 | 1495.83 | 1.41 | 847.64 | 1.16 | 1127.33 |
| 24 | Female | 12 | 26.5 | 1.11 | 623.47 | 1.26 | 972.31 | 1.00 | 1040.83 | 1.38 | 955.00 |
| 25 | Male | 22 | 26.5 | 1.16 | 1215.11 | 1.48 | 1293.94 | 1.52 | 1057.77 | 1.10 | 1179.88 |
| 26 | Male | 19 | 27.0 | 0.94 | 806.34 | 1.10 | 1070.22 | 1.12 | 1108.55 | 1.47 | 1015.52 |
| 27 | Female | 24 | 28.0 | 1.46 | 1066.00 | 1.04 | 992.13 | 2.14 | 985.71 | 1.40 | 877.76 |
| 28 | Male | 14 | 28.0 | 1.39 | 828.71 | 0.93 | 779.42 | 1.25 | 1072.93 | 1.10 | 998.67 |
| 29 | Male | 23 | 28.0 | 1.10 | 512.27 | 0.74 | 744.91 | 1.12 | 901.33 | 1.23 | 1042.15 |
| 30 | Female | 20 | 29.0 | 1.51 | 1281.00 | 0.84 | 1154.29 | 1.25 | 1031.63 | 1.59 | 1214.85 |
| 31 | Male | 22 | 31.5 | 0.96 | 798.13 | 1.15 | 980.12 | 1.03 | 910.09 | 1.34 | 982.29 |
| 32 | Female | 20 | 32.0 | 1.48 | 1088.23 | 1.03 | 1081.63 | 1.19 | 1053.59 | 1.15 | 1037.00 |
| 33 | Female | 18 | 32.5 | 1.22 | 803.04 | 1.09 | 425.12 | 0.99 | 786.60 | 1.25 | 1072.25 |
| 34 | Female | 13 | 32.5 | 1.07 | 919.09 | 0.89 | 643.00 | 1.19 | 839.79 | 1.56 | 924.44 |
| 35 | Female | 22 | 33.0 | 1.49 | 856.38 | 1.15 | 1048.76 | 1.27 | 980.37 | 1.23 | 1000.20 |
| 36 | Female | 18 | 33.0 | 1.05 | 841.43 | 1.20 | 677.97 | 0.95 | 982.00 | 1.14 | 1452.00 |
| 37 | Female | 19 | 34.5 | 1.03 | 877.65 | 0.91 | 732.68 | 0.86 | 1025.44 | 1.44 | 1128.17 |
| 38 | Female | 20 | 35.0 | 0.75 | 891.42 | 0.75 | 911.53 | 1.21 | 941.07 | 1.29 | 1307.00 |
| 39 | Female | 22 | 45.5 | 0.64 | 1128.00 | 1.02 | 1120.67 | 1.28 | 954.35 | 1.10 | 1295.86 |
| High Angle (n = 13) | Average Angle (n = 13) | Low Angle (n = 13) | p Value | |
|---|---|---|---|---|
| Alveolar crest thickness (mm) | ||||
| Tmax6 ± SD | 1.10 ± 0.26 | 1.30 ± 0.18 | 1.22 ± 0.32 | 0.102 |
| Tman6 ± SD | 1.03 ± 0.20 | 1.14 ± 0.25 | 1.66 ± 0.78 | 0.001 * |
| CT value (HU) | ||||
| Dmax6 ± SD | 889.68 ± 176.91 | 1016.16 ± 190.28 | 902.36 ± 152.10 | 0.120 |
| Dman6 ± SD | 885.38 ± 241.38 | 997.29 ± 261.70 | 953.16 ± 236.38 | 0.587 |
| High Angle (n = 13) | Average Angle (n = 13) | Low Angle (n = 13) | p Value | |
|---|---|---|---|---|
| Alveolar crest thickness (mm) | ||||
| Tmax3 ± SD | 1.15 ± 0.17 | 1.29 ± 0.31 | 1.34 ± 0.31 | 0.085 |
| Tman3 ± SD | 1.26 ± 0.15 | 1.32 ± 0.23 | 1.38 ± 0.26 | 0.430 |
| CT value (HU) | ||||
| Dmax3 ± SD | 970.30 ± 94.77 | 983.10 ± 98.71 | 1048.25 ± 196.13 | 0.043 * |
| Dman3 ± SD | 1110.42 ± 155.73 | 1055.33 ± 162.38 | 1072.96 ± 255.48 | 0.669 |
Disclaimer/Publisher’s Note: The statements, opinions and data contained in all publications are solely those of the individual author(s) and contributor(s) and not of MDPI and/or the editor(s). MDPI and/or the editor(s) disclaim responsibility for any injury to people or property resulting from any ideas, methods, instructions or products referred to in the content. |
© 2025 by the authors. Licensee MDPI, Basel, Switzerland. This article is an open access article distributed under the terms and conditions of the Creative Commons Attribution (CC BY) license (https://creativecommons.org/licenses/by/4.0/).
Share and Cite
Kitano, M.; Ota, S.; Iijima, S.; Ogura, I. Relationship Between Facial Types and Alveolar Crest Cortical Bone Thickness and CT Values Determined by Multidetector Computed Tomography. Dent. J. 2025, 13, 437. https://doi.org/10.3390/dj13090437
Kitano M, Ota S, Iijima S, Ogura I. Relationship Between Facial Types and Alveolar Crest Cortical Bone Thickness and CT Values Determined by Multidetector Computed Tomography. Dentistry Journal. 2025; 13(9):437. https://doi.org/10.3390/dj13090437
Chicago/Turabian StyleKitano, Masahiro, Shin Ota, Shigeki Iijima, and Ichiro Ogura. 2025. "Relationship Between Facial Types and Alveolar Crest Cortical Bone Thickness and CT Values Determined by Multidetector Computed Tomography" Dentistry Journal 13, no. 9: 437. https://doi.org/10.3390/dj13090437
APA StyleKitano, M., Ota, S., Iijima, S., & Ogura, I. (2025). Relationship Between Facial Types and Alveolar Crest Cortical Bone Thickness and CT Values Determined by Multidetector Computed Tomography. Dentistry Journal, 13(9), 437. https://doi.org/10.3390/dj13090437

