Abstract
Since pre-Hispanic times, chan seeds (Hyptis suaveolens L.) have been used as food and in traditional medicine. However, there is still a lack of knowledge about the antioxidant capacity and cytotoxic effect of their storage proteins on cancer cells. Thus, these were investigated in this study. The total protein content of the seeds was 19.5% (dry base), and its protein fractions were confirmed via Tris-Tricine-SDS-PAGE electrophoresis as 43.1% glutelins, 30.9% albumins, 23% globulins, and 2.9% prolamins. The antioxidant capacity determined by ABTS showed the highest percentage of inhibition for the prolamins fraction of 23.6% (half-maximal inhibitory concentration [IC50]: 1.38 µg protein/mL) and the lowest percentage for the glutelins fraction of 6.3% (IC50: 4.51 µg protein/mL). The cytotoxic activity against the murine lymphoma L5178Y, human cervical (Hela), and colorectal (Caco-2) cell lines revealed that prolamin exerted superior inhibition on the Hela and Caco-2 cancer cells, with IC50 values of 0.49 and 0.44 mg protein/mL, respectively. This study underscores the potential of chan seed proteins as natural antioxidants and anticancer agents.
1. Introduction
Proteins and peptides of plant origin are considered of great importance because of their many applications in the food industry (as protein supplements, emulsifiers, and foamings) [1] and their health benefits as bioactive compounds with antimicrobial, antioxidant, antithrombotic, immunity-modulating, hypocholesterolemic, antihypertensive, and anticancer properties [2]. Although the exact mechanism of action by which proteins and peptides act as antioxidant agents is still unknown [3], some amino acids, such as cysteine, histidine, tryptophan, lysine, arginine, and leucine, have been reported to have antioxidant activity [4]. The antioxidant activity of each protein or its hydrolyzate can be affected by its isolation conditions, degree of hydrolysis, peptide structure, concentration, or molecular weight [3].
On the other hand, plant proteins, as biological agents with cytotoxic effects against various types of the global health disease cancer, are natural alternatives against cervical, colon, or breast cancer [5,6,7,8,9,10,11,12], but without the side effects of conventional treatments such as surgery and chemotherapy, the latter of which is known to damage healthy cells. From this perspective, the lunasin peptide isolated from soybeans, wheat, barley, and amaranth has demonstrated preventive efficacy against skin, colon, breast, and prostate cancer [13].
Other less common sources of vegetable proteins are chan (Hyptis suaveolens L.) seeds, also known as “fat chia” or “Colima chia” in some regions of Mexico [14,15,16,17]. Because of their health benefits, they were among the most important crops for pre-Hispanic Mexican and other Mesoamerican cultures [14,15,16,17,18,19]. Regarding their composition, some studies showed that they contain 13.9% protein, of which 39% is globulins; 36% is glutelins; 24% is albumins; and 1% is prolamins. Chan seed proteins are rich in essential amino acids such as histidine, tryptophan, valine, cysteine, isoleucine, leucine, tyrosine, and lysine [20]. In addition, the reported physicochemical properties of the 11S globulin fraction, such as its high solubility (>94.5%) at a pH of 7.6, heat stability (since it denatures up to 94.1 °C), and gelation capacity between 74.7 and 76 °C [14,21], may be valuable in food systems.
Chan seeds have been the subject of research covering various aspects, including their pharmacological properties and potential medicinal applications. In particular, they have been shown to possess a variety of therapeutic properties, ranging from sedative, anti-inflammatory, antioxidant, and even anticancer effects [22,23]. In addition, these seeds have shown significant antimicrobial activity, highlighting their potency as an antifungal and antimicrobial agent. One of their key compounds, ursolic acid, has been identified as a potent antiviral agent, which reinforces their potential in the development of antiretroviral therapies [22,24,25,26].
Because of these properties, chan seeds represent a promising candidate for the development of therapeutic agents for the treatment of microbial infections, inflammatory disorders, chronic conditions, oxidative stress-related diseases, and serious pathologies such as cancer. These characteristics underscore its importance as a natural resource for applications in modern medicine.
Despite the many benefits of chan seeds, they are still considered underexploited crops. Therefore, this research assessed the isolation and characterization of the antioxidant properties of chan seed protein and its cytotoxic effect on the murine lymphoma L5178Y, human cervical (HeLa), and colorectal (Caco-2) cell lines. While chan seeds have shown promise in various applications, their antioxidant and cytotoxic properties have not been thoroughly explored or well-defined in recent years. This study aims to address these gaps, providing new insights into their bioactive potential and laying the groundwork for future therapeutic applications.
2. Materials and Methods
2.1. Materials and Reagents
Chan seeds 1000 g (Hyptis suaveolens L.) were purchased from a local market in Guadalajara, Jalisco, Mexico. All the chemical reagents obtained from Sigma-Aldrich (St. Louis, MO, USA) and Thermo Fisher Scientific (Waltham, MA, USA) were of analytical grade.
2.2. Flour Seed Preparation
The chan seeds were cleaned of foreign materials and dirt before use. The mucilaginous outer layer of the seeds was removed with distilled water (1:10 w/v) and constant stirring for 1 h, after which the seeds that were free of mucilage were dehydrated via freeze drying (Model ULP-CI-06, CIATEJ A.C., Zapopan, Jalisco, Mexico).
To prepare the flour, the dehydrated seeds were milled using a laboratory grinder, and the obtained powder was sieved with a 60 µm mesh screen.
Before the protein extraction, the flour was defatted with n-hexane (1:10 w/v) for 5 h at 70 °C under reflux with a Soxhlet extractor (model ES-600, Craft Scientific Instruments, Azcapotzalco, CDMX, Mexico). Then, the remaining solvent was evaporated at ambient temperature in a laminar flow chamber. The dry fat-free flour was stored at −20 °C until use.
2.3. Protein Content and Isolation of Protein Fractions
The Kjeldahl method was used to determine the percentage of total crude protein following three steps: digestion of the sample with concentrated sulfuric acid, distillation of the digestion solution with steam, and titration of the distillate with 0.1 N HCl acid. The percentage of nitrogen was measured as described by the Association of Official Agricultural Chemists using the value of 6.25 as the conversion factor of nitrogen to protein.
The protein fractions were extracted using the method of Osborne [27] with some modifications made by Aguirre, Torres, Mendoza-Hernández, Garcia-Gasca, and Blanco-Labra [20]; this is described as follows. Flour was suspended in distilled water (1:10, w/v) and stirred at 300 rpm on a plate for 2 h at room temperature. Subsequently, the suspension was centrifuged at 1500 rpm for 30 min at 4 °C using a microlitre centrifuge (model Z 216 MK, Hermle Labortechnik GmbH, Wehingen, DE, Germany). The recovered supernatant contained the albumin fraction (A). Then, the pellet was resuspended in 10 mL 50 mM Tris-HCl buffer with a pH of 8, which contained 0.1-M NaCl. This suspension was stirred and re-centrifuged, as mentioned. The resulting supernatant was globulin 0.1 (G0.1). Globulin 0.3 (G0.3) was extracted from the pellet with 10 mL 50 mM Tris-HCl buffer with a pH of 8, which contained 0.3-M NaCl. Again, this suspension was stirred and centrifuged to separate the supernatant. The pellet was resuspended in 10 mL of 70% ethanol and subjected to constant stirring and subsequent centrifugation. The resulting supernatant was prolamin (P). Finally, the pellet was resuspended in 10 mL of a 0.1-M NaOH solution, shaken, and centrifuged. The supernatant was glutelin (Gl), and the pellet was discarded. All the protein fractions (A, G0.1, G0.3, P, and Gl) were stored at 4 °C.
2.4. Dialysis of Protein Fractions
For the dialysis of the protein fractions, a dialysis membrane with a molecular weight cut-off of 3.5 KDa (SnakeSkin Dialysis tubing, 3.5 K MWCO, 22 mm, Catalog number 680325, Thermo Fisher Scientific, Waltham, MA, USA) was used. Each protein fraction was placed on the dialysis membrane and transferred to a beaker that contained phosphate buffer saline (PBS) with a pH of 7.2 ± 0.2. The PBS (phosphate buffer saline) was changed three times every 2 h. Finally, an additional change in the PBS was made, and the proteins were left under constant low agitation overnight at a temperature of 4 ± 2 °C. The dialyzed protein fractions were lyophilized for 18 h and stored at −20 °C until use.
2.5. Quantification of Protein Fractions
The concentration of each protein fraction was quantified following the bicinchoninic acid (BCA) method described by Walker [28]. In this study, the Pierce BCA Protein Assay Kit (Catalog number 23225, Thermo Fisher Scientific, Waltham, MA, USA) was used following the protocol described by the manufacturer for the microplate procedure. Bovine serum albumin (BSA) was used as a standard protein at different concentrations (0, 5, 25, 50, 125, and 250 µg/mL) to generate the standard curve for calculating the protein concentrations for each protein fraction. These assays were performed three times.
2.6. Sodium Dodecyl Sulfate-Polyacrylamide Gel (SDS-PAGE) Electrophoresis
SDS-PAGE electrophoresis was performed following the protocol described by Manns [29]. The 12% gels were run under nonreducing and reducing conditions (β-mercaptoethanol and heat). A Mini-PROTEAN Tetra Cell kit (BioRad, Hercules, CA, USA) was used. The protein samples were prepared by diluting a portion of the protein fraction with 5X Laemmli buffer (1:1, v/v). The samples were heated at 90 °C for 10 min, after which, 12 µL of each protein fraction was loaded into the gel lanes. Electrophoresis was carried out at a constant current of 120 V for 130 min. The gels were stained with Coomassie Brilliant Blue R-250. Their molecular weights were determined using a wide-range 10–200 kDa protein marker (PageRuler Unstained Protein Ladder No. 26614, Thermo Fisher Scientific, Waltham, MA, USA).
2.7. Tricine-SDS-PAGE Electrophoresis
Tricine-SDS-PAGE (sodium dodecyl sulfate-polyacrylamide gel electrophoresis) electrophoresis was performed following the methodology described by Schägger [30]. Electrophoresis of the protein fractions was carried out under reduced (β-mercaptoethanol and heat) and nonreducing conditions with 16% acrylamide gels. The protein samples were treated with a sample buffer (4:1 v/v). Then, the samples were incubated at 37 °C for 15 min and allowed to cool, after which, 12 µL of each sample was loaded in the gel lanes. A Mini-PROTEAN electrophoresis chamber (BioRad, CA, USA) was used. The gels were fixed using acetic acid–methanol–ammonium acetate solution and stained with Coomassie Brilliant Blue G-250. Their molecular weights were determined with a low-range 3.4 to 100-kDa protein marker (PageRuler Unstained Low-Range Protein Ladder No. 26632, Thermo Fisher Scientific, Waltham, MA, USA).
2.8. Antioxidant Activity of Protein Fractions
The antioxidant activity of the protein fractions of the chan seeds was measured using the ABTS method described by Re, Pellegrini, Proteggente, Pannala, Yang, and Rice-Evans [31] and González Garza, Chuc Koyoc, Torres Castillo, García Zambrano, Betancur Ancona, Chel Guerrero, and Sinagawa García [8], with some modifications as follows. The ABTS stock solution (7 mM) and potassium persulfate (2.45 mM) were prepared and mixed. This solution was incubated for 16 h in darkness at 4 °C, and the ABTS radical was diluted with PBS at an absorbance of 0.70 at 750 nm. As a reference standard, a calibration curve was made using Trolox (0.50, 100, 150, 200, 250, 300, and 400 µM). The reactions were prepared with 20 µL of each sample and 280 µL of ABTS radical, and then, the absorbance was determined from 1 to 30 min at 750 nm. The results were expressed in terms of the Trolox Equivalent Antioxidant Capacity (TEAC) as µM Trolox/g protein. In addition, the half-maximal inhibitory concentration (IC50) was determined by regression using the OriginPro version 8.5.0 SR1 b161 software program (OriginLab Corporation, Northampton, MA, USA). The measurements were conducted three times.
2.9. Cytotoxic Effects of the Protein Fractions in Cancer Cell Lines
The cytotoxic effects of the protein fractions from chan seeds were evaluated in the following cell lines: ATCC CRM-CCL-2 cervical cancer cells (Hela), ATTCC HTB-37 colon cancer cells (Caco-2), and L5178Y murine lymphoblasts. The cells were obtained from the thymus of a DBA/2 mouse that shared haplotype H-2d with BALB/c mice. The cells were maintained via intraperitoneal transplantation in the BALB/c mice). All the cells were in the logarithmic growth phase. Hela and L5178Y cells were grown in an RPMI-1640 culture medium (Sigma Aldrich, St. Louis, MO, USA) at pH 7, supplemented with 10% (v:v) of inactivated fetal bovine serum (SFB) and 1% gentamicin as an antibiotic. Caco-2 cells were grown in DEMEM/F12 (Gibco, Life Technologies Corporation, Grand Island, NY, USA) medium at pH 7, and 20% (v:v) SFB and 1% gentamicin were added. The cells were kept at 37 °C in an incubator with 5% CO2 and 95% relative humidity. For the assay, the cells were seeded in 96-well plates at a density of 3.5 × 103 cells/well. The cells were treated with the protein fractions at 0.1, 0.2, 0.4, 0.8, and 1.6 mg/mL for 24 h. The cell viability was evaluated using the MTT technique [32]. The experiments were carried out three times. The results were expressed using a concentration–response curve to determine the cytotoxic effect (the concentration at which the protein fraction kills cancer cells [33]). IC50 was determined using the OriginPro 8.5.0 software.
2.10. Statistical Analysis
The data on the antioxidant activity of the proteins were statistically analyzed through an analysis of variance (ANOVA) at a significance level of 95%, and the differences between the means were determined via the least significant difference (LSD) test (p < 0.05) using the Statgraphics Centurion XV software version 15.2.06 (Statgraphics Technologies, Inc., The Plains, VA, USA).
Additionally, the IC50 values were statistically analyzed using the Kruskal–Wallis test to evaluate differences between protein fractions and across cell lines.
3. Results
3.1. Protein Content of Chan Seeds
The total protein content of the defatted flour obtained from the chan seeds was 19.6% using the bicinchoninic acid (BCA) protein assay. After the fractioning by solubility, the percentages of the storage proteins were 43.1% glutelins, 30.9% albumins, 23% globulins (containing 18% and 5% globulins G0.1 and G0.3, respectively), and 2.9% prolamins (Table 1). Thus, glutelins and globulins are the most abundant storage proteins found in chan seeds. Regarding the concentrations of the protein fractions, the main fraction contained 215.1 mg of glutelin per g of flour in dry weight (Table 1).
Table 1.
Protein content isolated from chan seeds (Hyptis suaveolens L.).
3.2. Electrophoretic Identification of Protein Fractions
3.2.1. SDS-PAGE Electrophoresis
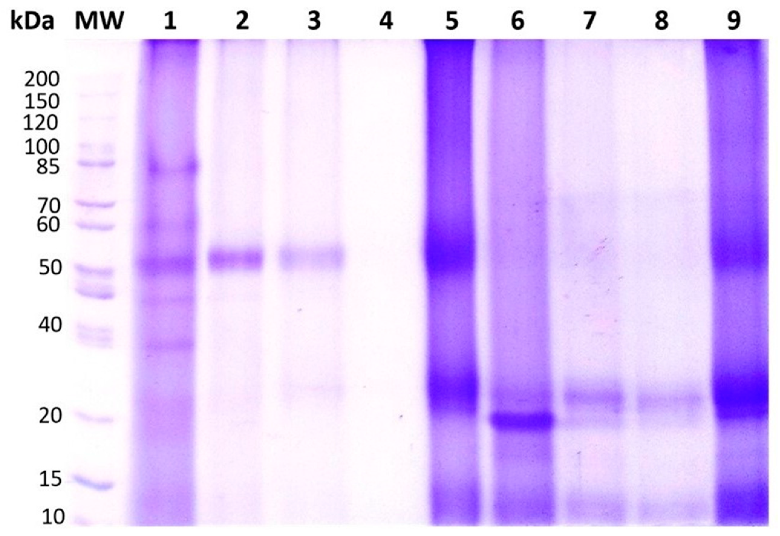
The electrophoretic patterns of the chan seed storage proteins showed the presence of albumins, globulins G0.1 and G0.3, and glutelins (Figure 1). Under nonreducing conditions (Lanes 1–5), without β-mercaptoethanol, the albumins fraction showed bands at 37, 45, 50, 60, and 85 kDa (Lane 1). Globulins G0.1 and G0.3 (Lines 2 and 3) presented similarities at the 50 kDa band, with G0.1 exhibiting the highest intensity, whereas G0.3 exhibited lower intensity at the 23 kDa band. Glutelins (Line 5) showed three bands at 10–15, 20–30, and 50–60 kDa, whereas no band was detected for prolamin (Line 4) under such conditions.
Figure 1.
SDS-PAGE electrophoretic pattern of chan seed storage proteins. MW, molecular weight marker (kDa). Lanes 1–5 correspond to albumin, globulin 0.1, globulin 0.3, prolamin, and glutelin under non-reducing conditions. Lanes 6–9 are proteins under reducing conditions. Lane 6: albumin, lane 7: globulin 0.1, line 8: globulin 0.3, and line 9: glutelin.
On the other hand, under reducing conditions with β-ME (Lanes 6–9), albumins (Lane 6) showed two bands: one band at 12.5 kDa, and another more intense and well-defined band at 20 kDa. Globulins G0.1 and G0.3 exhibited bands at 12, 20, and 22 kDa (Lanes 7 and 8), along with other bands that showed less defined bands at 50 and 70 kDa. These results are consistent with others reported elsewhere for albumin and globulins G0.1 and G0.3 [20]. Based on the characteristic bands of the globulin fraction, there is a strong indication of the presence of globulins 7S and 11S [14,34,35]. For glutelin (Line 9), the same three bands detected under nonreducing conditions were also identified here, but the band between 10 and 15 kDa showed a major intensity under reducing conditions. Therefore, under such conditions, superior detection of albumins from the total chan seed proteins was promoted, with the 50 kDa band exhibiting the highest intensity. Moreover, glutelins represented the primary protein fraction not only due to the high intensity of their bands but also due to their high concentration.
3.2.2. Tricine-SDS-PAGE Electrophoresis Analysis
The electrophoretic profile of Tricine-SDS-PAGE under nonreducing and reducing conditions of the protein fractions obtained from chan seeds shows the presence of low molecular weight proteins (albumins, G0.1, G0.3, prolamins, and glutelins).
Under nonreducing conditions (Figure 2a), albumin (Lane 1) presented a very intense band at 6.7 kDa and another band with less intensity at 15 kDa. For globulins, G0.1 (Lane 2) showed two poorly defined bands at 6.7 kDa and 100 kDa, whereas G0.3 (Lane 3) showed no band below 100 kDa. For prolamins (Lane 4), a well-defined band was observed at 25 kDa, whereas glutelin showed an intense band at 81 kDa. Additionally, all the protein fractions showed bands above 100 kDa.
Figure 2.
Tricine-SDS-PAGE electrophoresis pattern of chan seed storage proteins. MW, molecular weight marker (kDa). (a) Lanes 1–5 correspond to albumin, globulin 0.1, globulin 0.3, prolamin, and glutelin under non-reducing conditions; (b) Lanes 1–5 follow the same protein enumeration and arrangement but under reducing conditions.
Under reducing conditions (Figure 2b), all the fractions showed bands below 100 kDa. Albumin (Lane 1) exhibited bands at 15, 44, and 100 kDa. Globulin G0.1 (Lane 2) presented bands at 10, 15, and 44 (very intense); 81 kDa. Globulin G0.3 (Lane 3) reveled well-defined bands at 15 and 81 kDa. A low concentration of prolamin was found in the chan seeds, and according to its electrophoretic profile, it showed a band only at 5 kDa (Lane 4). Although prolamins were not observed via SDS-PAGE gel, Tricine-SDS-PAGE gel demonstrates the presence of faint (low concentration) but well-defined bands for this protein fraction. Glutelins showed intense bands at 15 and 81 kDa (Lane 5) and additional bands above 100 kDa. Thus, according to Sarmadi and Ismail [3], the results indicate that the storage proteins of chan seeds contain peptides between 5 and 44 kDa.
3.3. Antioxidant Activity
Antioxidant activity was measured in the kinetic mode, and the IC50 for the protein fraction was subsequently calculated. According to Re et al. [31], the most appropriate time to report the percentage of inhibition by radical ABTS is 4 min; however, Sellappan, Akoh, and Krewer [36] suggested 6 min for standard references and 7 min for pure compounds and plant or food extracts. Therefore, 7 min was selected in this study as the time within which to calculate the percentage of inhibition by ABTS radicals and the antioxidant capacity of the chan seed storage proteins. Based on this criterion, prolamin presented the highest inhibition at 23.6%, followed by globulin G0.3, albumin, globulin G0.1, and glutelin at 17.0%, 9.1%, 8.5%, and 6.3%, respectively (Table 2).
Table 2.
Antioxidant activity of protein fractions from chan seeds (Hyptis suaveolens L.).
Regarding the antioxidant activity of TEAC, prolamins showed higher values with 708.1 µM Trolox/g of protein. At the same time, the other fractions accounted for 431.3, 140.4, 104.3, and 73.5 µM Trolox/g of protein for globulins G0.3 and G0.1, albumin, and glutelin, respectively (Table 2). Similarly, prolamin showed the highest IC50 value of antioxidant activity at 1.38 µg/mL, whereas globulin G0.3, albumin, glutelin, and globulin G0.1 obtained IC50 values of antioxidant activity of 3.76–8.56 µg/mL (Table 2). Although prolamin demonstrated better results, this fraction had the lowest percentage of all fractions in terms of yield.
3.4. Cytotoxic Activity Against Cancer Cells
3.4.1. Murine L5178Y Lymphoma Cells
On the biological activity of the chan seed storage proteins on murine L5178Y lymphoma cells, the albumin fraction did not show a cytotoxic effect against this carcinogenic line (Table 3). Concentrations evaluated of albumin have similar behavior to the treatment control group (without protein). Therefore, it was not possible to calculate the albumin IC50. Conversely, globulins G0.1 and G0.3, prolamin, and glutelin showed cytotoxic effects against this line of cells, which allowed the determination of the concentration–response curve for calculating the IC50. At concentrations up to 0.8 mg/mL, G0.1 showed a cytotoxic effect with a 30.2% cell inhibition and an IC50 of 1.52 mg/mL. Globulin G0.3 had a cytotoxic effect at concentrations of 0.4–1.6 mg/mL, achieving a cellular inhibition of 46.0–88.9% and an IC50 of 0.56 mg/mL. On the other hand, prolamin exhibited a cytotoxic effect at concentrations of 0.8–1.6 mg/mL, with a cellular inhibition of 45.9% and 82.5%, respectively, and an IC50 of 0.81 mg/mL. Finally, glutelin showed cytotoxic effects in the same concentration range as prolamins but with lower cell inhibition (28.1–44.1%) and IC50 (1.82 mg/mL) values. According to these results, globulin G0.3 showed the best IC50, followed by prolamin, globulin G0.1, and glutelin (Table 3).
Table 3.
Cytotoxic effect of protein fractions of chan seeds in cancer cell lines of murine lymphoma L5178Y cell line, human cervical cancer cell line (HeLa), and human colorectal cancer cell line (Caco-2).
3.4.2. HeLa Cells
For Hela cells (Table 3), albumin showed a cytotoxic effect at a 0.4 mg/mL concentration, with a cell inhibition of 24.7%. This behavior was maintained at concentrations of 0.8 and 1.6 mg/mL, which resulted in an IC50 value of 3.65 mg/mL at the highest concentration. Globulin G0.1 did not show a cytotoxic effect, and all the concentrations tested gave values similar to those of the control. Thus, the IC50 could not be calculated. Globulin G0.3 showed a cytotoxic effect at 1.6 mg/mL, with an inhibition of 44.9% and an IC50 of 1.76 mg/mL. Prolamin had an insignificant cytotoxic effect at 0.4 mg/mL. However, prolamin concentrations of 0.8 and 1.6 mg/mL had a significant cytotoxic effect (p < 0.05), with inhibitions of 82.2% and 99.4%, respectively, and an IC50 of 0.49 mg/mL. Regarding glutelin, concentrations of 0.4–1.6 mg/mL showed a cytotoxic effect, with a cellular inhibition of up to 55.4% and an IC50 of 0.94 mg/mL.
3.4.3. Caco-2 Cells
Albumins did not show a cytotoxic effect against Caco-2 cells. In comparison, globulins G0.1 and G0.3, prolamins, and glutelins showed cytotoxic effects at different protein concentrations. Globulin G0.1 had a cytotoxic effect, with a cellular inhibition of 27.0% and an IC50 of 9.96 mg/mL. Globulin G0.3 showed a cytotoxic effect concentration of 1.6 mg/mL, with inhibitions of 54.8%. These proteins presented an IC50 of 1.50 mg/mL. Prolamins had a cytotoxic effect at 0.8 and 1.6 mg/mL, with 85% and 100% inhibition at the highest concentrations, respectively, and an IC50 for prolamin of 0.44 mg/mL. Glutelins exhibited a cytotoxic effect at concentrations of 0.8 and 1.6 mg/mL, with 50.6% and 51.4% inhibitions, respectively, and an IC50 of 1.14 mg/mL. Thus, prolamin showed a better IC50, followed by glutelin, G0.3, and G0.1 (Table 3).
4. Discussion
Chan seeds have a protein content similar to that of other seeds, such as corn (10%), wheat (12.2%), rice (8.5%), oats (15.3%), barley (10.5%), and amaranth (16%) [37,38,39,40,41]. However, the results of this study were superior to those reported elsewhere [20]. The pretreatment of the seeds, as performed in this study, both with the removal of the superficial mucilage and the defatting of the seed flour, influenced the extraction of the reserve proteins and allowed more effective separation of the protein located in the endosperm of the seeds. Nonetheless, the variation in the protein content of the seeds was also related to factors such as their botanical source, growth and nutrition during seed development, and harvest time, as well as the preparation of flours and the extraction method used to isolate the fractions [38,42,43,44,45,46,47,48]. Moreover, most of the plant seeds contained, to a greater or lesser extent and independently of the mentioned factors, the four main types of proteins (albumin, globulin, prolamin, and glutelin).
Either in the presence or absence of β-ME, seed proteins contain cysteines that form disulfide bridges, which provide structure and stability to the functional state of proteins [39]. For chan seeds, the highest intensity was detected at 50 kDa in this study, but other studies reported a high-intensity band of 13 kDa for albumins under reducing conditions [20].
Based on the amino acid composition of the protein fractions from chan seeds presented by Aguirre et al. [20] and the electrophoretic profile presented in this study, the storage proteins of chan seeds extracted using the Osborn method include low-molecular-weight proteins or peptides rich in amino acids such as arginine (5.7%), histidine (1.7%), lysine (4.2%), and phenylalanine + tyrosine (5.6%).
Oxidative damage has been related to the development of certain diseases and cell aging. Proteins and peptides of low molecular weight can protect cells from the damage caused by free radicals, since such molecules may act as metal chelators, hydroxyl radical scavengers, and reactive oxygen species [39]. Thus, peptides with antioxidant activity may improve or help prevent different types of cancer [40,49]
Prolamins, G0.3 globulins, and albumins of chan seeds may contain sulfur amino acids such as methionine and cysteine; aromatic amino acids such as tryptophan, tyrosine, and phenylalanine; or imidazole rings such as histidine [3], since these amino acids easily react with free radicals and confer to them greater antioxidant capacity [39]. Antioxidant peptides (3–16 amino acids) have been found in soybeans that contain valine or leucine in the terminal position and proline, histidine, or tyrosine in their sequence [50]. Therefore, the reserve proteins of chan seeds are good sources of antioxidant compounds comparable to some phenolic compounds of plant origin and peptides of animal origin.
From all the isolated fractions, prolamins of chan seeds may be compared with other significant sources of antioxidants such as coffee and its melanoidins that deliver TEAC values of 616–1195 and 137–978 µM Trolox/g of protein, respectively [51], or peptide fractions of cocoa (Theobroma cacao L.) that exhibit TEAC values of 150, 120, 70, and 280 µM Trolox/g, for albumin, globulin, prolamin, and glutelin, respectively [52]. In contrast, peptides hydrolyzed from bovine plasma provide TEAC values of up to 1389 µM Trolox/g of protein [51]. Meanwhile, the antioxidant activity of albumin purified from Ginkgo biloba seeds is attributed to the presence of sulfur and aromatic amino acids, amino acid residues or their antioxidant-activity-inhibiting enzyme systems such as superoxide dismutase, catalase, peroxidase, and phospholipid hydroperoxide glutathione peroxidase [53]. Although the exact mechanism of how proteins act as antioxidants is still unknown, the above facts demonstrate that the proteins contained in the seeds can act as antioxidant agents.
Depending on the concentration and the protein fraction, chan seed proteins exhibited the potential to inhibit murine L5178Y lymphoma, Hela, and Caco-2 tumor cells. G0.3 globulins effectively inhibited murine L5178Y lymphoma and prolamins in Hela and Caco-2 cells. It is important to note that Hela cells are considered refractory to traditional treatments; thus, the search for new and efficient antitumor treatments is important.
Currently, no evidence has been found of the cytotoxic effect of prolamins isolated from chan seeds on tumor cells. However, prolamin fractions (3–5 kDa and 1–3 kDa) from corn and wheat tested on Caco-2 cells stimulated the production of IL-8, p38 MAPK, and COX2 and released ZO-1, as well as increasing the permeability of cell monolayers [54]. Although this study was not able to determine the amino acid composition of chan seed proteins, other studies have indicated that prolamins isolated from these seeds contain Ala (3.51%), Val (4.52%), Met + Cys (2.38%), Ile (3.33%), Leu (7.94%), Phe+Tyr (3.37%), and Lys (5.18%) [20]. In addition, prolamins are rich in sulfur, with monomers α, β, and ϒ; an N-terminal domain repetitive up to the middle of the molecule; and a C-terminal domain rich in cysteine [38]. Therefore, the amino acid profile and the protein size (with a molecular weight of 25 KDa; Figura 2a) could have contributed to the cytotoxic effect of prolamins on the studied cancer cells.
The results of this study concerning both the cytotoxic effect and the antioxidant activity exhibited by prolamins isolated from chan seeds suggest that compounds obtained from these seeds could improve the life expectancy and quality of cancer patients, but this must still be tested. Since this study is one of the few that have been conducted on the biological activity of storage proteins obtained from an endemic plant, more studies are expected on the mechanisms of action by which prolamins inhibit cancer cells and their behavior in live systems.
This study has some limitations. The use of three cell lines may not fully capture the diversity of cancer cell types. Additionally, the in vitro nature of the experiments may not entirely reflect the complexities of cancer progression in vivo. Further research with a broader range of cell lines and in vivo models is needed to validate and expand upon these findings.
5. Conclusions
This work isolated and characterized storage proteins of chan seeds, obtaining glutelins (43.1%), albumins (30.9%), globulins 0.1 (18%), globulins 0.3 (5%), and prolamins (2.9%). Protein fractions were confirmed via Tris-Tricine-SDS-PAGE electrophoresis. The antioxidant capacity of each protein fraction showed that prolamins had a 23.6% inhibition of the ABTS radical, TEAC of 708.1 μmol Trolox/g protein, and IC50 of 1.38 µg protein/mL, while globulin G0.3 revealed a 17% inhibition of ABTS radical, TEAC of 431.3 µM Trolox/g protein, and IC50 of 2.70 µg protein/mL. The cytotoxic activity in cancer cell lines showed that prolamins had the highest cytotoxic effect on human Hela (IC50 of 0.49 mg/mL) and Caco-2 (IC50 of 0.44 mg/mL) cells. Globulin G0.3 exhibited an IC50 of 0.56 mg protein/mL against L5178Y cells, and was followed by prolamins, demonstrating an IC50 of 0.81 mg/mL. We can deduce an association between antioxidant activity and cytotoxic effect since prolamins were the best in both cases. Finally, this is the first research on the biological activity of protein fraction from chan seeds. We continue to study the action mechanism of each hydrolyzed protein fraction to search for functional peptides with cytotoxic potential and, probably, antitumoral activity.
Author Contributions
Conceptualization, E.T.-N. and A.M.P.-P.; methodology, E.T.-N., A.M.P.-P. and Y.E.-G.; validation, A.M.P.-P., Y.E.-G., G.V.-J., J.I.D.-S., P.B.C.-G., M.P.G.-A., A.F.G.-R. and F.R.-A.; formal analysis, E.T.-N.; investigation, E.T.-N.; resources, A.M.P.-P.; data curation, E.T.-N.; writing—original draft preparation, E.T.-N.; writing—review and editing, Y.E.-G., J.L.-M. and A.M.P.-P.; visualization, E.T.-N.; supervision, A.M.P.-P.; project administration, A.M.P.-P. All authors have read and agreed to the published version of the manuscript.
Funding
This research received no external funding.
Data Availability Statement
Data and materials are available in the article.
Acknowledgments
Author E. Toribio-Nava, A.F Garibaldi-Ríos and F. Rodríguez-Arevalo thanks the Consejo Nacional de Humanidades, Ciencias y Tecnologías (CONAHCyT) for its scholarship grant for their doctoral studies.
Conflicts of Interest
The authors declare no conflicts of interest.
References
- Nikbakht Nasrabadi, M.; Sedaghat Doost, A.; Mezzenga, R. Modification Approaches of Plant-Based Proteins to Improve Their Techno-Functionality and Use in Food Products. Food Hydrocoll. 2021, 118, 106789. [Google Scholar] [CrossRef]
- Mulero Cánovas, J.; Zafrilla Rentero, P.; Martínez-Cachá Martínez, A.; Leal Hernández, M.; Abellán Alemán, J. Péptidos bioactivos. Clin. Investig. Arter. Arterioscler. 2011, 23, 219–227. [Google Scholar] [CrossRef]
- Sarmadi, B.H.; Ismail, A. Antioxidative Peptides from Food Proteins: A Review. Peptides 2010, 31, 1949–1956. [Google Scholar] [CrossRef] [PubMed]
- Xie, Z.; Huang, J.; Xu, X.; Jin, Z. Antioxidant Activity of Peptides Isolated from Alfalfa Leaf Protein Hydrolysate. Food Chem. 2008, 111, 370–376. [Google Scholar] [CrossRef]
- Taniya, M.S.; Mv, R.; Ps, S.; Krishnan, G.; S, P. Bioactive Peptides from Amaranth Seed Protein Hydrolysates Induced Apoptosis and Antimigratory Effects in Breast Cancer Cells. Food Biosci. 2020, 35, 100588. [Google Scholar] [CrossRef]
- Rupachandra, S.; Sarada, D.V.L. Induction of Apoptotic Effects of Antiproliferative Protein from the Seeds of Borreria Hispida on Lung Cancer (A549) and Cervical Cancer (HeLa) Cell Lines. Biomed. Res. Int. 2014, 2014, 179836. [Google Scholar] [CrossRef]
- De Mejia, E.G.; Dia, V.P. The Role of Nutraceutical Proteins and Peptides in Apoptosis, Angiogenesis, and Metastasis of Cancer Cells. Cancer Metastasis Rev. 2010, 29, 511–528. [Google Scholar] [CrossRef]
- González Garza, N.G.; Chuc Koyoc, J.A.; Torres Castillo, J.A.; García Zambrano, E.A.; Betancur Ancona, D.; Chel Guerrero, L.; Sinagawa García, S.R. Biofunctional Properties of Bioactive Peptide Fractions from Protein Isolates of Moringa Seed (Moringa oleifera). J. Food Sci. Technol. 2017, 54, 4268–4276. [Google Scholar] [CrossRef] [PubMed]
- Chandra, S.; Rupachandra, S.; Porkodi, S.; Joann Davina, M.; Jagadeeshwari, S. Antiproliferative Activity of Two Protein Fractions from the Seeds of Momordica dioica (Cucurbitaceae Family). J. Biol. Act. Prod. Nat. 2019, 9, 311–319. [Google Scholar] [CrossRef]
- Khurshid, Y.; Syed, B.; Simjee, S.U.; Beg, O.; Ahmed, A. Antiproliferative and Apoptotic Effects of Proteins from Black Seeds (Nigella sativa) on Human Breast MCF-7 Cancer Cell Line. BMC Complement. Med. Ther. 2020, 20, 5. [Google Scholar] [CrossRef] [PubMed]
- Sabbione, A.C.; Ogutu, F.O.; Scilingo, A.; Zhang, M.; Añón, M.C.; Mu, T.-H. Antiproliferative Effect of Amaranth Proteins and Peptides on HT-29 Human Colon Tumor Cell Line. Plant Foods Hum. Nutr. 2019, 74, 107–114. [Google Scholar] [CrossRef] [PubMed]
- Thubthed, S.; Jiratchariyakul, W.; Kummalue, T.; Sinchaipanid, N. Antiproliferative Effect on Breast Cancer Cells of Seed Proteins from Momordica charantia L. Mahidol Univ. J. Pharm. Sci. 2016, 43, 4. [Google Scholar] [CrossRef]
- Hernández-Ledesma, B.; Hsieh, C.-C.; de Lumen, B.O. Lunasin, a Novel Seed Peptide for Cancer Prevention. Peptides 2009, 30, 426–430. [Google Scholar] [CrossRef]
- Bojórquez-Velázquez, E.; Lino-López, G.J.; Huerta-Ocampo, J.A.; Barrera-Pacheco, A.; Barba de la Rosa, A.P.; Moreno, A.; Mancilla-Margalli, N.A.; Osuna-Castro, J.A. Purification and Biochemical Characterization of 11S Globulin from Chan (Hyptis suaveolens L. Poit) Seeds. Food Chem. 2016, 192, 203–211. [Google Scholar] [CrossRef]
- Priya, M.D. A Review on the Pharmacology and Phytochemistry of Folklore Medicinal Plant Hyptis suaveolens (L.) Poit. Int. J. Basic. Appl. Innov. Res. 2015, 4, 108–117. [Google Scholar]
- Ngozi, L.U.; Ugochukwu, N.; Ifeoma, P.U.; Charity, E.A.; Chinyelu, I.E. The Efficacy of Hyptis suaveolens: A Review of Its Nutritional and Medicinal Applications. Eur. J. Med. Plants 2014, 661–674. [Google Scholar] [CrossRef]
- Velóz, R.A.; Cardoso-Taketa, A.; Villarreal, M.L. Production of Podophyllotoxin from Roots and Plantlets of Hyptis suaveolens Cultivated in Vitro. Pharmacogn. Res. 2013, 5, 93–102. [Google Scholar] [CrossRef]
- Lira, R.; Casas, A.; Blancas, J. (Eds.) Ethnobotany of Mexico: Interactions of People and Plants in Mesoamerica; Ethnobiology; Springer: New York, NY, USA, 2016; ISBN 978-1-4614-6668-0. [Google Scholar]
- Zizumbo-Villarreal, D.; Flores-Silva, A.; Colunga-García Marín, P. The Archaic Diet in Mesoamerica: Incentive for Milpa Development and Species Domestication. Econ. Bot. 2012, 66, 328–343. [Google Scholar] [CrossRef]
- Aguirre, C.; Torres, I.; Mendoza-Hernández, G.; Garcia-Gasca, T.; Blanco-Labra, A. Analysis of Protein Fractions and Some Minerals Present in Chan (Hyptis suaveolens L.) Seeds. J. Food Sci. 2012, 77, C15–C19. [Google Scholar] [CrossRef] [PubMed]
- De la Cruz-Torres, L.F.; Pérez-Martínez, J.D.; Sánchez-Becerril, M.; Toro-Vázquez, J.F.; Mancilla-Margalli, N.A.; Osuna-Castro, J.A.; VillaVelázquez-Mendoza, C.I. Physicochemical and Functional Properties of 11S Globulin from Chan (Hyptis suaveolens L. Poit) Seeds. J. Cereal Sci. 2017, 77, 66–72. [Google Scholar] [CrossRef]
- Mishra, P.; Sohrab, S.; Mishra, S.K. A Review on the Phytochemical and Pharmacological Properties of Hyptis suaveolens (L.) Poit. Futur. J. Pharm. Sci. 2021, 7, 65. [Google Scholar] [CrossRef] [PubMed]
- Mabberley, D.J. The Plant-Book: A Portable Dictionary of the Vascular Plants; Cambridge University Press: Cambridge, UK, 1997; ISBN 978-0-521-41421-0. [Google Scholar]
- Pandey, D.K.; Tripathi, N.N.; Tripathi, R.D.; Dixit, S.N. Fungitoxic and Phytotoxic Properties of the Essential Oil of Hyptis Suaveolens/Fungitoxische Und Phytotoxische Eigenschaften Des Ätherischen Öis von Hyptis Suaveolens. Z. Für Pflanzenkrankh. Und Pflanzenschutz/J. Plant Dis. Prot. 1982, 89, 344–349. [Google Scholar]
- Asekun, O.T.; Ekundayo, O. Essential Oil Constituents of Hyptis suaveolens (L.) Poit. (Bush Tea) Leaves from Nigeria. J. Essent. OilRes. 2000, 12, 227–230. [Google Scholar]
- Tohmé, M.J.; Giménez, M.C.; Peralta, A.; Colombo, M.I.; Delgui, L.R. Ursolic Acid: A Novel Antiviral Compound Inhibiting Rotavirus Infection in Vitro. Int. J. Antimicrob. Agents 2019, 54, 601–609. [Google Scholar] [CrossRef]
- Osborne, T.B.; Osborne, T.B. The Vegetable Proteins; Longmans: London, UK, 1909; pp. 1–152. [Google Scholar]
- Walker, J.M. The Bicinchoninic Acid (BCA) Assay for Protein Quantitation. In The Protein Protocols Handbook; Walker, J.M., Ed.; Humana Press: Totowa, NJ, USA, 2009; pp. 11–15. ISBN 978-1-59745-198-7. [Google Scholar]
- Manns, J.M. SDS-Polyacrylamide Gel Electrophoresis (SDS-PAGE) of Proteins. Curr. Protoc. Microbiol. 2011, 22, A.3M.1–A.3M.13. [Google Scholar] [CrossRef]
- Schägger, H. Tricine-SDS-PAGE. Nat. Protoc. 2006, 1, 16–22. [Google Scholar] [CrossRef] [PubMed]
- Re, R.; Pellegrini, N.; Proteggente, A.; Pannala, A.; Yang, M.; Rice-Evans, C. Antioxidant Activity Applying an Improved ABTS Radical Cation Decolorization Assay. Free Radic. Biol. Med. 1999, 26, 1231–1237. [Google Scholar] [CrossRef]
- Mammalian Cell Viability: Methods and Protocols; Stoddart, M.J., Ed.; Methods in Molecular Biology; Humana Press: Totowa, NJ, USA, 2011; Volume 740, ISBN 978-1-61779-107-9. [Google Scholar]
- Anttila, J.V.; Shubin, M.; Cairns, J.; Borse, F.; Guo, Q.; Mononen, T.; Vázquez-García, I.; Pulkkinen, O.; Mustonen, V. Contrasting the Impact of Cytotoxic and Cytostatic Drug Therapies on Tumour Progression. PLoS Comput. Biol. 2019, 15, e1007493. [Google Scholar] [CrossRef]
- Amigo-Benavent, M.; Villamiel, M.; del Castillo, M.D. Structure and Antigenicity Changes in 7S Soyabean Allergen by Enzymic Deglycosylation. Proc. Nutr. Soc. 2008, 67, E24. [Google Scholar] [CrossRef]
- Kriz, A.L. 7S Globulins of Cereals. In Seed Proteins; Shewry, P.R., Casey, R., Eds.; Springer: Dordrecht, The Netherlands, 1999; pp. 477–498. ISBN 978-94-011-4431-5. [Google Scholar]
- Sellappan, S.; Akoh, C.C.; Krewer, G. Phenolic Compounds and Antioxidant Capacity of Georgia-Grown Blueberries and Blackberries. J. Agric. Food Chem. 2002, 50, 2432–2438. [Google Scholar] [CrossRef]
- Nuss, E.T.; Tanumihardjo, S.A. Maize: A Paramount Staple Crop in the Context of Global Nutrition. Compr. Rev. Food Sci. Food Saf. 2010, 9, 417–436. [Google Scholar] [CrossRef] [PubMed]
- Mickowska, B.; Socha, P.; Urminská, D.; Cieslik, E. The comparison of prolamins extracted from different varieties of wheat, barley, rye and triticale species: Amino acid composition, electrophoresis and immunodetection. J. Microbiol. Biotechnol. Food Sci. 2012, 1, 742–752. [Google Scholar]
- Tintoré, S.G.; Guerrero, L.C.; Ríos, L.J.C.; Ayala, A.L.M. Péptidos Con Actividad Antioxidante de Proteínas Vegetales. In Bioactividad de Péptidos Derivados de Proteínas Alimentarias; OmniaScience: Barcelona, Spain, 2013; pp. 111–122. [Google Scholar]
- Ortiz-Martinez, M.; Winkler, R.; García-Lara, S. Preventive and Therapeutic Potential of Peptides from Cereals against Cancer. J. Proteom. 2014, 111, 165–183. [Google Scholar] [CrossRef]
- Häkkinen, S.T.; Nuutila, A.M.; Ritala, A. 16—Modifying Seeds to Produce Proteins. In Proteins in Food Processing (Second Edition); Yada, R.Y., Ed.; Woodhead Publishing Series in Food Science, Technology and Nutrition; Woodhead Publishing: Cambridge, UK, 2018; pp. 413–441. ISBN 978-0-08-100722-8. [Google Scholar]
- Baca-Bocanegra, B.; Nogales-Bueno, J.; Hernández-Hierro, J.M.; Heredia, F.J. Optimization of Protein Extraction of Oenological Interest from Grape Seed Meal Using Design of Experiments and Response Surface Methodology. Foods 2021, 10, 79. [Google Scholar] [CrossRef]
- Teh, S.-S.; Bekhit, A.E.-D.; Carne, A.; Birch, J. Effect of the Defatting Process, Acid and Alkali Extraction on the Physicochemical and Functional Properties of Hemp, Flax and Canola Seed Cake Protein Isolates. Food Meas. 2014, 8, 92–104. [Google Scholar] [CrossRef]
- Hadnađev, M.; Dapčević-Hadnađev, T.; Lazaridou, A.; Moschakis, T.; Michaelidou, A.-M.; Popović, S.; Biliaderis, C.G. Hempseed Meal Protein Isolates Prepared by Different Isolation Techniques. Part I. Physicochemical Properties. Food Hydrocoll. 2018, 79, 526–533. [Google Scholar] [CrossRef]
- Saxena, K.B.; Faris, D.G.; Singh, U.; Kumar, R.V. Relationship between Seed Size and Protein Content in Newly Developed High Protein Lines of Pigeonpea. Plant Food Hum. Nutr. 1987, 36, 335–340. [Google Scholar] [CrossRef]
- Weng, Y.; Shi, A.; Ravelombola, W.S.; Yang, W.; Qin, J.; Motes, D.; Moseley, D.O.; Chen, P. A Rapid Method for Measuring Seed Protein Content in Cowpea (Vigna unguiculata (L.) Walp). AJPS 2017, 8, 2387–2396. [Google Scholar] [CrossRef]
- Adu, M.O.; Cobbinah, T.; Asare, P.A.; Yawson, D.O.; Taah, K.J. Demucilaging Freshly Stored Seeds of Cocoa (Theobroma cacao L.) Improves Seedling Emergence and Growth. J. Bot. 2017, 2017, 1938359. [Google Scholar] [CrossRef]
- Orifici, S.C.; Capitani, M.I.; Tomás, M.C.; Nolasco, S.M. Efecto del método de secado del mucílago de chía (Salvia hispanica L.) sobre sus propiedades fisicoquímicas y funcionales. In Análisis Físico-Químicos y Sensoriales de los Alimentos: Trabajos Completos. VI Congreso Internacional de Ciencia y Tecnología de los Alimentos 2016; Centro de Investigación y Desarrollo en Criotecnología de Alimentos: La Plata, Argentina, 2016. [Google Scholar]
- Samaranayaka, A.G.P.; Li-Chan, E.C.Y. Food-Derived Peptidic Antioxidants: A Review of Their Production, Assessment, and Potential Applications. J. Funct. Foods 2011, 3, 229–254. [Google Scholar] [CrossRef]
- De Mejia, E.; De Lumen, B.O. Soybean Bioactive Peptides: A New Horizon in Preventing Chronic Diseases. Sex. Reprod. Menopause 2006, 4, 91–95. [Google Scholar] [CrossRef]
- Gómez-Sampedro, L.J.; Zapata-Montoya, J.E.; Gómez-Sampedro, L.J.; Zapata-Montoya, J.E. Obtaining of Antioxidant Peptide from Bovine Plasma Hydrolysates and Effect of the Degree of Hydrolysis on Antioxidant Capacity. Rev. Mex. Ing. Química 2016, 15, 101–109. [Google Scholar]
- Tovar-Pérez, E.G.; Guerrero-Becerra, L.; Lugo-Cervantes, E. Antioxidant Activity of Hydrolysates and Peptide Fractions of Glutelin from Cocoa (Theobroma cacao L.) Seed. CyTA J. Food 2017, 15, 489–496. [Google Scholar] [CrossRef]
- Huang, W.; Deng, Q.; Xie, B.; Shi, J.; Huang, F.; Tian, B.; Huang, Q.; Xue, S. Purification and Characterization of an Antioxidant Protein from Ginkgo biloba Seeds. Food Res. Int. 2010, 43, 86–94. [Google Scholar] [CrossRef]
- Ortiz Sánchez, J.P.; Mata Haro, V.; Cabrera Chávez, F.; Calderón De La Barca, A.M. Prolamins of Maize and Wheat Differentially Affect Intestinal Cells Both in Biopsies of Celiac Patients and CACO-2 Cell Line. Food Agric. Immunol. 2016, 27, 259–272. [Google Scholar] [CrossRef][Green Version]
Disclaimer/Publisher’s Note: The statements, opinions and data contained in all publications are solely those of the individual author(s) and contributor(s) and not of MDPI and/or the editor(s). MDPI and/or the editor(s) disclaim responsibility for any injury to people or property resulting from any ideas, methods, instructions or products referred to in the content. |
© 2024 by the authors. Licensee MDPI, Basel, Switzerland. This article is an open access article distributed under the terms and conditions of the Creative Commons Attribution (CC BY) license (https://creativecommons.org/licenses/by/4.0/).

