Erosive Pustular Dermatosis of the Scalp: A Clinicopathologic Study of Fifty Cases
Abstract
1. Introduction
2. Materials and Methods
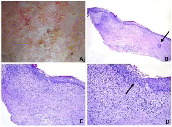
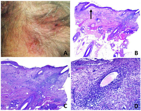
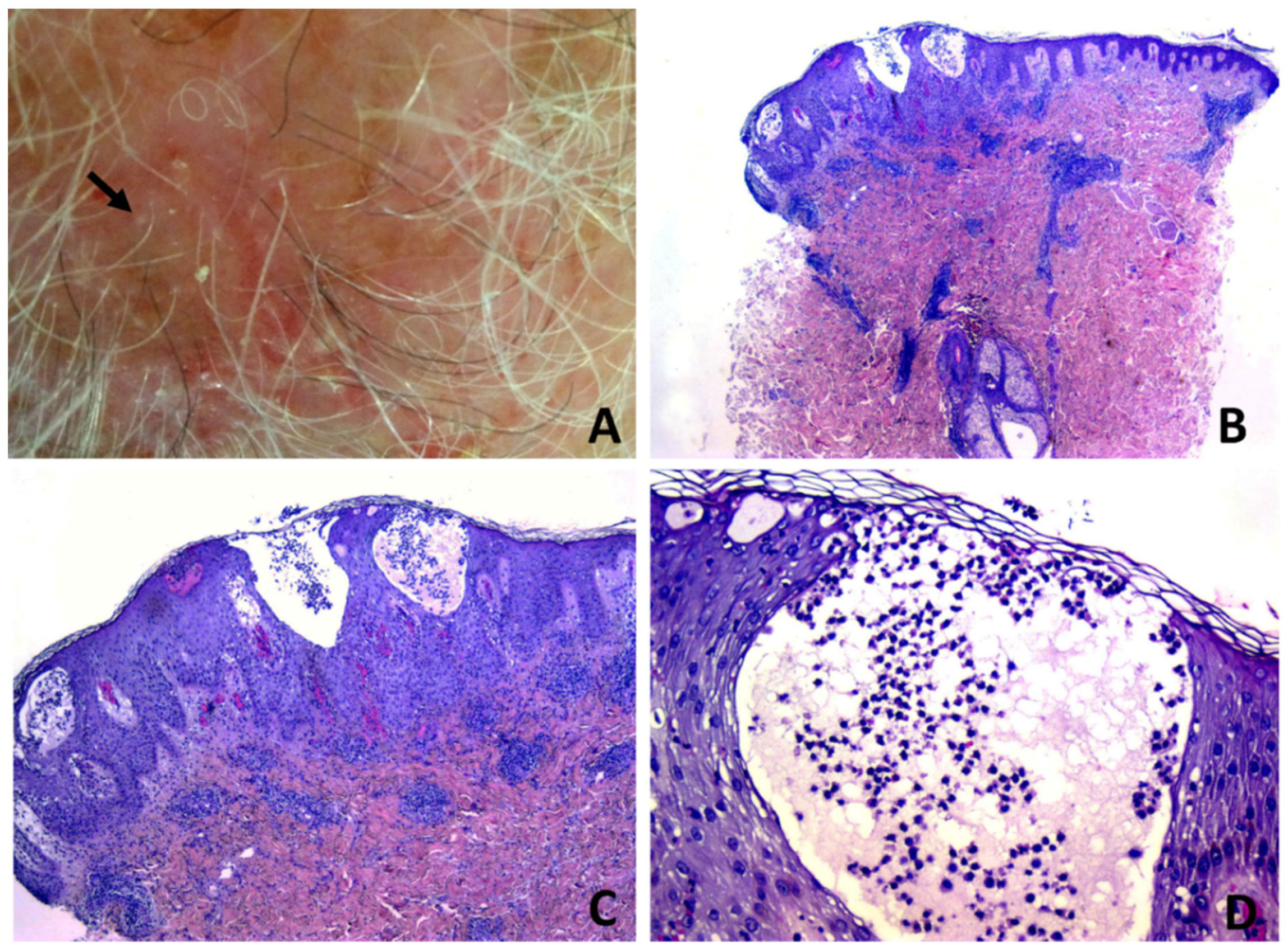
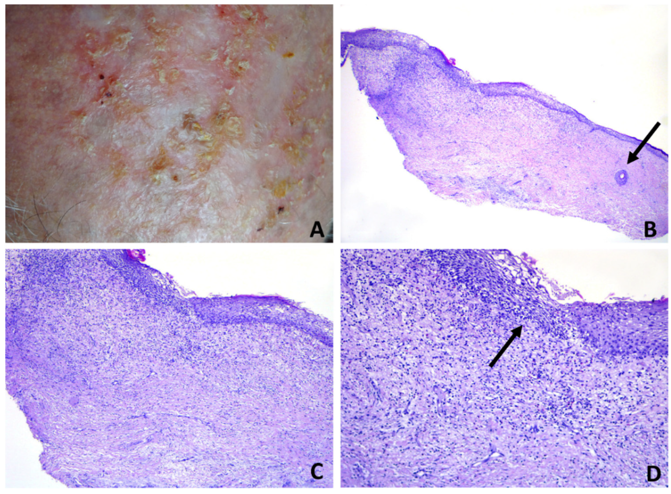
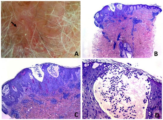
3. Results
4. Discussion
5. Conclusions
Author Contributions
Funding
Institutional Review Board Statement
Informed Consent Statement
Data Availability Statement
Acknowledgments
Conflicts of Interest
References
- Pye, R.J.; Peachey, R.D.; Burton, J.L. Erosive pustular dermatosis of the scalp. Br. J. Dermatol. 1979, 100, 559–566. [Google Scholar] [CrossRef]
- LaCour, M.; Allen, T.; Wilkerson, M.; Nguyen, A.V.; Gibson, B.R. A case of erosive pustular dermatosis of the scalp in a pediatric patient. JAAD Case Rep. 2019, 5, 118–120. [Google Scholar] [CrossRef][Green Version]
- Siegel, D.H.; Holland, K.; Phillips, R.J.; Drolet, B.A.; Esterly, N.B.; Frieden, I.J. Erosive pustular dermatosis of the scalp after perinatal scalp injury. Pediatr. Dermatol. 2006, 23, 533–536. [Google Scholar] [CrossRef]
- Patton, D.; Lynch, P.J.; Fung, M.A.; Fazel, N. Chronic atrophic erosive dermatosis of the scalp and extremities: A recharacterization of erosive pustular dermatosis. J. Am. Acad. Dermatol. 2007, 57, 421–427. [Google Scholar] [CrossRef]
- Van Exel, C.E.; English, J.C. Erosive pustular dermatosis of the scalp and nonscalp. J. Am. Acad. Dermatol. 2007, 57, S11–S14. [Google Scholar] [CrossRef]
- Mervak, J.E.; Gan, S.D.; Smith, E.H.; Wang, F. Facial Erosive Pustular Dermatosis after Cosmetic Resurfacing. JAMA Dermatol. 2017, 153, 1021–1025. [Google Scholar] [CrossRef]
- Brouard, M.C.; Prins, C.; Chavaz, P.; Saurat, J.H.; Borradori, L. Erosive pustular dermatosis of the leg: Report of three cases. Br. J. Dermatol. 2002, 147, 765–769. [Google Scholar] [CrossRef]
- Tomasini, C.; Michelerio, A. Erosive pustular dermatosis of the scalp: A neutrophilic folliculitis within the spectrum of neutrophilic dermatoses: A clinicopathologic study of 30 cases. J. Am. Acad. Dermatol. 2019, 81, 527–533. [Google Scholar] [CrossRef]
- Starace, M.; Iorizzo, M.; Trüeb, R.M.; Piccolo, V.; Argenziano, G.; Camacho, F.M.; Gallyamova, Y.; Rudnicka, L.; Umbert, I.; Lyakhovitsky, A.; et al. Erosive pustular dermatosis of the scalp: A multicentre study. J. Eur. Acad. Dermatol. Venereol. 2020, 34, 1348–1354. [Google Scholar] [CrossRef]
- Starace, M.; Loi, C.; Bruni, F.; Alessandrini, A.; Misciali, C.; Patrizi, A.; Piraccini, B.M. Erosive pustular dermatosis of the scalp: Clinical, trichoscopic, and histopathologic features of 20 cases. J. Am. Acad. Dermatol. 2017, 76, 1109–1114.e2. [Google Scholar] [CrossRef]
- Di Lernia, V.; Ricci, C. Familial erosive pustular dermatosis of the scalp and legs successfully treated with ciclosporin. Clin. Exp. Dermatol. 2016, 41, 334–335. [Google Scholar] [CrossRef]
- Siskou, S.; Lallas, A.; Theodoropoulos, K.; Sgouros, D.; Trakatelli, M.; Patsatsi, A.; Trigoni, A.; Manoli, M.; Papageorgiou, C.; Liopyris, K.; et al. Diagnostic and management challenges of erosive pustular dermatosis of the scalp: A retrospective study in Greek population. J. Eur. Acad. Dermatol. Venereol. 2021. [Google Scholar] [CrossRef]
- Yamamoto, T.; Furuse, Y. Erosive pustular dermatosis of the scalp in association with rheumatoid arthritis. Int. J. Dermatol. 1995, 34, 148. [Google Scholar] [CrossRef]
- Watanabe, S.; Takizawa, K.; Hashimoto, N.; Ishibashi, Y. Pustular dermatosis of the scalp associated with autoimmune diseases. J. Dermatol. 1989, 16, 383–387. [Google Scholar] [CrossRef]
- Yu, X.; Liu, Y.; Ozukum, M.; Song, Z. Erosive pustular dermatosis of the scalp associated with myelodysplastic syndrome. J. Eur. Acad. Dermatol. Venereol. 2016, 30, 380–381. [Google Scholar] [CrossRef]
- Marzano, A.V.; Ortega-Loayza, A.G.; Heath, M.; Morse, D.; Genovese, G.; Cugno, M. Mechanisms of Inflammation in Neutrophil-Mediated Skin Diseases. Front. Immunol. 2019, 10, 1059. [Google Scholar] [CrossRef]
- Cotterill, J.A.; Lanigan, S.W. Erosive pustular dermatosis of the leg--a definition. Br. J. Dermatol. 1990, 123, 548. [Google Scholar] [CrossRef]
- Seckin, D.; Gurbuz, O.; Demirkesen, C. Erosive pustular dermatosis of the leg: An overlooked entity? J. Cutan. Med. Surg. 2009, 13, 160–163. [Google Scholar] [CrossRef] [PubMed]
- Nicol, P.; Perceau, G.; Barbe, C.; Bernard, P.; Members of GAD. Erosive pustular dermatosis of the leg: A prospective, multicentre, observational study of 36 cases. Ann. Dermatol. Venereol. 2017, 144, 582–588. [Google Scholar] [CrossRef]
- Pileri, A.; Misciali, C.; Baraldi, C.; Sechi, A.; Faenza, M.; Fanti, P.A.; Stella, A.; Patrizi, A. Erosive pustular dermatosis of the leg: An uncommon entity? G Ital. Dermatol. Venereol. 2017, 152, 675–678. [Google Scholar] [CrossRef]
- Jourdan, M.; Chaby, G.; Meziane, L.; Arnault, J.P.; Chatelain, D.; Lok, C. A case associating an erosive pustular dermatosis of the legs and scalp. Case Rep. Dermatol. 2012, 4, 186–191. [Google Scholar] [CrossRef]
- Melikoglu, M.; Uysal, S.; Krueger, J.G.; Kaplan, G.; Gogus, F.; Yazici, H.; Oliver, S. Characterization of the divergent wound-healing responses occurring in the pathergy reaction and normal healthy volunteers. J. Immunol. 2006, 177, 6415–6421. [Google Scholar] [CrossRef]
- Gupta, A.S.; Nunley, J.R.; Feldman, M.J.; Ortega-Loayza, A.G. Pyoderma Gangrenosum of the Scalp: A Rare Clinical Variant. Wounds 2018, 30, E16–E20. [Google Scholar]
- Dawn, G.; Loney, M.; Zamiri, M.; Shaffrali, F.; Urcelay, M.; Patel, M.; Howatson, S.R.; Douglas, W.S. Erosive pustular dermatosis of the leg associated with compression bandaging and fungal infection. Br. J. Dermatol. 2003, 148, 489–592. [Google Scholar] [CrossRef] [PubMed]
- Vañó-Galván, S.; Molina-Ruiz, A.M.; Fernández-Crehuet, P.; Rodrigues-Barata, A.R.; Arias-Santiago, S.; Serrano-Falcón, C.; Martorell-Calatayud, A.; Barco, D.; Pérez, B.; Serrano, S.; et al. Folliculitis decalvans: A multicentre review of 82 patients. J. Eur. Acad. Dermatol. Venereol. 2015, 29, 1750–1757. [Google Scholar] [CrossRef]
- Uchiyama, M.; Harada, K.; Tobita, R.; Irisawa, R.; Tsuboi, R. Histopathologic and dermoscopic features of 42 cases of folliculitis decalvans: A case series. J. Am. Acad. Dermatol. 2020, 6. [Google Scholar] [CrossRef]
- Grattan, C.E.; Peachey, R.D.; Boon, A. Evidence for a role of local trauma in the pathogenesis of erosive pustular dermatosis of the scalp. Clin. Exp. Dermatol. 1988, 13, 7–10. [Google Scholar] [CrossRef]
- Heymann, W.R. The need to comprehend erosive pustular dermatosis of the scalp is coming to a head. J. Am. Acad. Dermatol. 2019, 81, 340–341. [Google Scholar] [CrossRef]








| Case | Sex | Age (y) | Disease Duration (months) | Clinical Diagnosis | Location | Main Clinical Presentation | Aga | Actinic Damage | Traumatic Trigger | Comorbidities/Autoimmune Disorders | Associated Local Skin Condition | Follow-Up (y) |
|---|---|---|---|---|---|---|---|---|---|---|---|---|
| 1 * | M | 78 | 10 | EPDS | parietal | multiple erythematous, crusted and pustular patches | yes | yes | accidental trauma 16 months earlier | hypothyroidism | / | 2 |
| 2 * | M | 72 | 12 | Langerhans’ cell histiocytosis | vertex | multiple erythematous, crusted and pustular patches | / | / | / | pulmonary Langerhans’ cell histiocytosis | / | 5 |
| 3 * | M | 89 | 24 | AK | diffuse | multiple erythematous, crusted and pustular patches | / | / | accidental trauma 18 years earlier | colon cancer | / | 1 |
| 4 * | M | 66 | 8 | AK | parietal | crusts and erosions | yes | / | / | / | / | 2 |
| 5 * | M | 89 | 3 | AK | diffuse | crusts and erosions | yes | yes | accidental trauma 33 months earlier | / | / | 3 |
| 6 * | M | 75 | 3 | SCC | diffuse | erosions | yes | yes | accidental trauma 57 months earlier | / | AK | 2 |
| 7 * | F | 77 | 10 | SCC | vertex | localized hyperkeratotic nodule | / | / | / | / | / | 2 |
| 8 * | M | 70 | 20 | SCC | vertex | erosions | yes | / | / | / | / | 1 |
| 9 * | M | 75 | 18 | Autoimmune bullous disease | diffuse | scale-crusted lesions | / | / | accidental trauma 6 months earlier | Parkinson’s disease | / | 5 |
| 10 * | F | 69 | 6 | / | parietal | crusts and pustular lesions | yes | yes | accidental trauma 30 months earlier | / | / | 2 |
| 11 * | M | 73 | 16 | SCC | vertex | hyperkeratotic crusted lesions | / | / | multiple accidental traumas | collagenous colitis, prostate cancer, myocardial infarction | / | 4 |
| 12 * | M | 79 | 20 | EPDS | diffuse | crusted lesions | yes | yes | / | prostate cancer | AK and chronic discoid lupus erythematosus | 1 |
| 13 * | F | 78 | 6 | Autoimmune bullous disease | vertex | pustules, crusts and erosions | yes | yes | accidental trauma and previous curettages for NMSC | / | / | 2 |
| 14 * | F | 90 | 12 | SCC | temporal | erythematous crusted nodules and erosions | yes | yes | herpes zoster 12 months earlier | / | / | 2 |
| 15 * | F | 89 | 24 | / | vertex and occipital | crusted lesions | yes | yes | surgery for BCC 24 months earlier | vascular collagen disease | / | 4 |
| 16 * | M | 69 | 20 | BCC | vertex | erosions | yes | yes | skin graft for BCC 4 months earlier | laryngeal cancer | BCC, AK | 4 |
| 17 * | F | 89 | 20 | SCC | occipital | crusted lesions | / | yes | surgery for SCC and AK 16 months earlier | / | AK | 5 |
| 18 * | M | 75 | 12 | AK | vertex | crusted lesions | yes | yes | / | / | / | 1 |
| 19 * | M | 83 | 4 | AK | vertex | crusted lesions | / | yes | / | / | AK | 2 |
| 20 * | M | 82 | 10 | SCC | vertex | erosions | yes | yes | / | / | / | 2 |
| 21 * | M | 84 | 36 | SCC | vertex | crusted lesions | yes | yes | / | prostate cancer, parotid cancer | SCC | 5 |
| 22 * | M | 72 | 3 | EPDS, autoimmune bullous disease | vertex | crusted lesions | yes | yes | / | psoriasis | / | 6 |
| 23 * | M | 63 | 12 | SCC | vertex | erosions | / | / | electrosurgery for NMSC 12 months earlier | dilated cardiomyopathy | BCC | 5 |
| 24 * | M | 80 | 6 | SCC | vertex | crusted lesions | / | / | accidental trauma 30 months years earlier | / | / | 4 |
| 25 * | F | 79 | 12 | BCC | diffuse | erosions | / | / | / | / | / | 1 |
| 26 * | M | 73 | 12 | SCC | parietal | nodular crusted lesion | yes | yes | / | / | / | 8 |
| 27 * | M | 72 | 36 | BCC | diffuse | erosions | yes | / | / | prostate cancer | / | 4 |
| 28 * | M | 76 | 13 | / | diffuse | erosions | yes | / | multiple accidental traumas | / | / | 3 |
| 29 * | M | 77 | 15 | SCC | diffuse | erosions | yes | yes | / | diabetes, chronic obstructive pulmonary disease, | AK | 4 |
| 30 * | F | 80 | 20 | SCC | diffuse | erosions | no | no | / | / | / | 5 |
| 31 | M | 70 | 3 | AK, EPDS | diffuse | hyperkeratotic crusted lesions, pustules, erosions | yes | yes | multiple accidental traumas | / | / | 1 |
| 32 | F | 94 | 36 | BCC | temporal and face | crusted lesions, erosions, scarring alopecia | no | yes | / | / | AK | 2 |
| 33 | M | 72 | 3 | EPDS | diffuse | crusted lesions, erosions | yes | yes | multiple accidental traumas | psoriasis | AK | 1 |
| 34 | M | 65 | 30 | frontal fibrosing alopecia | vertex | erosions | yes | yes | / | diabetes, hepatic cirrhosis | SCC | 1 |
| 35 | F | 82 | 14 | SCC, EPDS | vertex | crusted lesions, erosions | no | no | / | / | / | 2 |
| 36 | M | 81 | 24 | EPDS, AK | vertex | crusted lesions, erosions | yes | yes | / | / | AK | 2 |
| 37 | F | 71 | 7 | EPDS | diffuse | crusted lesions | no | no | / | myelodysplastic syndrome | Cutaneous GVHD | 1 |
| 38 | M | 66 | 3 | EPSD | vertex | crusted lesions, erosions | yes | yes | scalp skin graft, skull trauma 7 years earlier | / | SCC | 1 |
| 39 | M | 77 | 10 | EPDS | vertex | erosions, pustular at periphery | yes | yes | / | prostatic carcinoma | / | 2 |
| 40 | M | 84 | 6 | EPDS | diffuse | pustular and pus lakes, crusts | yes | yes | LMM excision 6 months earlier | HCV, hepatic disease, prostatic hypertrophy, secondary platelet deficiency | AK | 1 |
| 41 | M | 57 | 12 | EPDS | vertex | crusts, erosions, pustules | yes | yes | sunburns, skull trauma 3 years earlier | AK | 4 | |
| 42 | F | 23 | 1 | lupus, lichen planus pilaris, folliculitis decalvans | vertex, right leg involved after trauma | Scalp: tufted hairs, intracorneal pustules and crusts. Right leg: intracorneal pustules | no | no | skull trauma one month earlier | / | / | 2 |
| 43 | M | 81 | 6 | SCC, EPDS | vertex | multiple crusts | yes | yes | / | / | infiltrating SCC | 1 |
| 44 | M | 77 | 6 | SCC, EPDS | vertex | crusts, follicular pustules | yes | yes | / | epilepsy, valvopathy | / | 2 |
| 45 | M | 40 | 240 | lichen | temporal, vertex | cicatricial alopecia, crusts, follicular pustules | yes | / | / | / | / | 2 |
| 46 | F | 16 | 36 | / | parietal, occipital | crusts, erosions, cicatricial alopecia, tufting | / | / | / | / | / | 3 |
| 47 | F | 15 | 24 | impetigo/folliculitis | vertex | crusts | / | / | / | / | / | 1 |
| 48 | M | 52 | 12 | seborrheic pemphigus, lichen planopilaris | vertex, frontal | crusts, erosions, pustules, cicatricial alopecia | yes | / | / | / | / | 1 |
| 49 | M | 91 | 18 | SCC | vertex | Crusts, granulation tissue | yes | yes | / | / | / | 1 |
| 50 | M | 28 | 48 | impetigo/folliculitis | Vertex | Crusts, erosions | / | / | / | / | / | 1 |
| n (%) | ||
|---|---|---|
| Age group | ||
| 15–31 years old | 4 (8) | |
| 32–48 years old | 1 (2) | |
| 49–65 years old | 6 (12) | |
| 66–82 years old | 30 (60) | |
| 83–100 years old | 9 (18) | |
| Gender (M/F) | 36 (72)/14 (28) | |
| Average disease duration at diagnosis (months) | 19 | |
| Involved scalp site | ||
| Diffuse | 14 (28) | |
| Vertex | 27 (54) | |
| Parietal | 5 (10) | |
| Temporal and occipital | 3 (6) | |
| Frontal | 1 (2) | |
| Androgenetic alopecia (M/F) | 28 (56)/4 (8) | |
| Actinic damage | 29 (58) | |
| Clinical diagnosis | ||
| Squamous cell carcinoma | 17 (34) | |
| EPDS | 14 (28) | |
| Actinic keratosis | 7 (14) | |
| Basal cell carcinoma | 4 (8) | |
| Autoimmune bullous disease | 4 (8) | |
| Other * | 7 (14) | |
| Average follow-up (years) | 2.5 | |
Publisher’s Note: MDPI stays neutral with regard to jurisdictional claims in published maps and institutional affiliations. |
© 2021 by the authors. Licensee MDPI, Basel, Switzerland. This article is an open access article distributed under the terms and conditions of the Creative Commons Attribution (CC BY) license (https://creativecommons.org/licenses/by/4.0/).
Share and Cite
Michelerio, A.; Vassallo, C.; Fiandrino, G.; Tomasini, C.F. Erosive Pustular Dermatosis of the Scalp: A Clinicopathologic Study of Fifty Cases. Dermatopathology 2021, 8, 450-462. https://doi.org/10.3390/dermatopathology8040048
Michelerio A, Vassallo C, Fiandrino G, Tomasini CF. Erosive Pustular Dermatosis of the Scalp: A Clinicopathologic Study of Fifty Cases. Dermatopathology. 2021; 8(4):450-462. https://doi.org/10.3390/dermatopathology8040048
Chicago/Turabian StyleMichelerio, Andrea, Camilla Vassallo, Giacomo Fiandrino, and Carlo Francesco Tomasini. 2021. "Erosive Pustular Dermatosis of the Scalp: A Clinicopathologic Study of Fifty Cases" Dermatopathology 8, no. 4: 450-462. https://doi.org/10.3390/dermatopathology8040048
APA StyleMichelerio, A., Vassallo, C., Fiandrino, G., & Tomasini, C. F. (2021). Erosive Pustular Dermatosis of the Scalp: A Clinicopathologic Study of Fifty Cases. Dermatopathology, 8(4), 450-462. https://doi.org/10.3390/dermatopathology8040048

