Eccrine Nevus in the Forearm of a 16-Year-Old Presenting as Unilateral Hyperhidrosis: A Clinicopathological Correlation Paradigm
Abstract
:1. Introduction
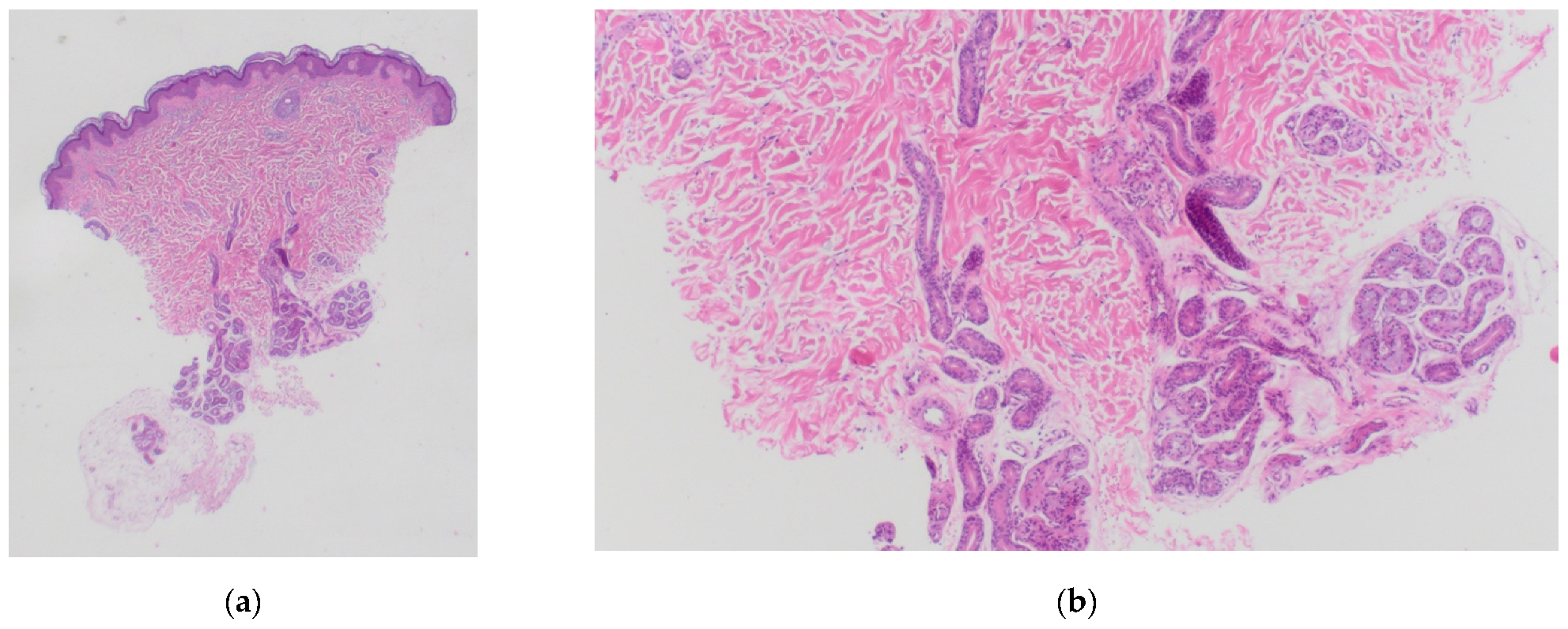
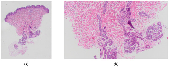
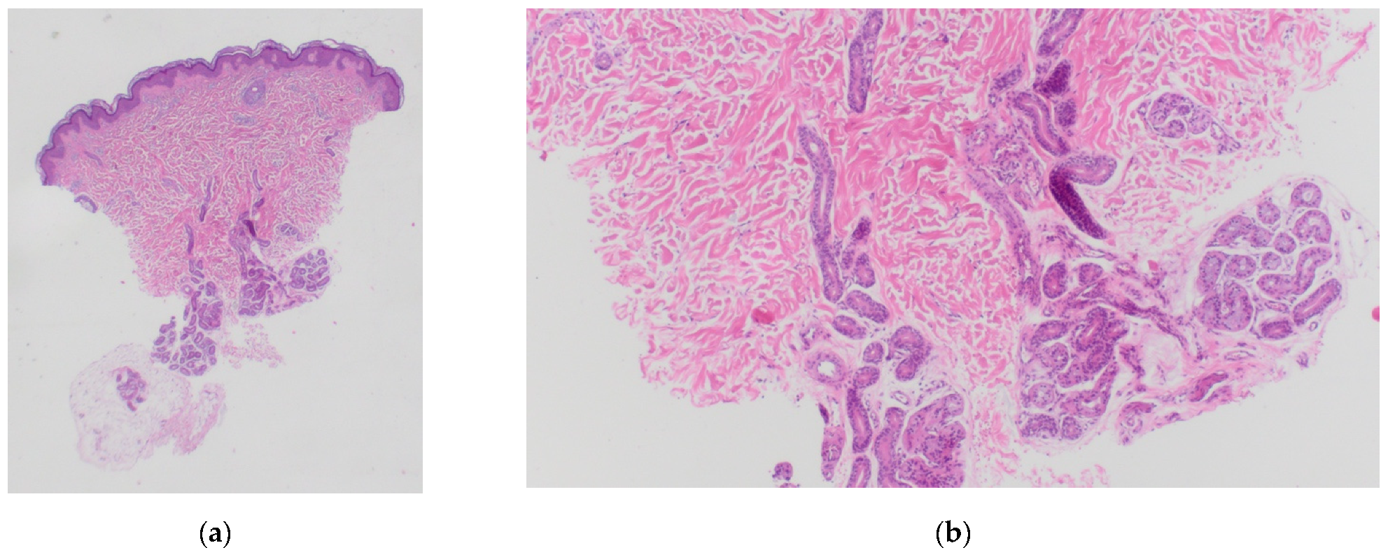
2. Case Presentation
3. Discussion
4. Conclusions
Author Contributions
Funding
Institutional Review Board Statement
Informed Consent Statement
Conflicts of Interest
References
- Lear, W.; Kessler, E.; Solish, N.; Glaser, D.A. An epidemiological study of hyperhidrosis. Dermatol. Surg. 2007, 33, S69–S75. [Google Scholar] [CrossRef] [PubMed]
- Dua, J.; Grabczynska, S. Eccrine nevus affecting the forearm of an 11-year-old girl successfully controlled with topical glycopyrrolate. Pediatric Dermatol. 2014, 31, 611–612. [Google Scholar] [CrossRef] [PubMed]
- Kopera, D.; Soyer, H.P.; Kerl, H. Human eccrine hamartoma of the forearm-antebrachial organ of the ringtailed lemur (Lemur catta). A possible phylogenetic relationship? Am. J. Dermatopathol. 1994, 16, 275–279. [Google Scholar] [CrossRef] [PubMed]
- Kawaoka, J.C.; Gray, J.; Schappell, D.; Robinson-Bostom, L. Eccrine nevus. J. Am. Acad. Dermatol. 2004, 51, 301–304. [Google Scholar] [CrossRef] [PubMed]
- Lera, M.; España, A.; Idoate, M. Focal hyperhidrosis secondary to eccrine naevus successfully treated with botulinum toxin type A. Clin. Exp. Dermatol. 2015, 40, 640–643. [Google Scholar] [CrossRef] [PubMed]
- Parslew, R.; Lewis-Jones, M.S. Localized unilateral hyperhidrosis secondary to an eccrine naevus. Clin. Exp. Dermatol. 1997, 22, 246–247. [Google Scholar] [CrossRef] [PubMed]
- Hong, C.E.; Lee, S.H. Multiple eccrine nevus with depressed patches. Yonsei Med. J. 1997, 38, 60–62. [Google Scholar] [CrossRef] [PubMed]
- Kang, M.J.; Yu, D.S.; Kim, J.W. A case of eccrine nevus. Ann. Dermatol. 2008, 20, 29–31. [Google Scholar] [CrossRef] [PubMed] [Green Version]
- Mahdavy, M.; Smoller, B.R. Eccrine nevus presenting as a perianal skin tag: A case report and review of the literature. Am. J. Dermatopathol. 2002, 24, 361–363. [Google Scholar] [CrossRef] [PubMed]
- Ruiz de Erenchun, F.; Vázquez-Doval, F.J.; Contreras Mejuto, F.; Quintanilla, E. Localized unilateral hyperhidrosis: Eccrine nevus. J. Am. Acad. Dermatol. 1992, 27, 115–116. [Google Scholar] [CrossRef]
- Tempark, T.; Shwayder, T. Mucinous eccrine naevus: Case report and review of the literature. Clin. Exp. Dermatol. 2013, 38, 1–4. [Google Scholar] [CrossRef] [PubMed]
- Rodríguez-Villa Lario, A.; Gómez-Zubiaur, A.; Trasobares-Marugán, L.; Medina-Montalvo, S.; Quesada-Cortés, A.; Medina-Expósito, I. Eccrine mucinous nevus: Clinical and histopathological description in an adult. Dermatol. Online J. 2020, 26. [Google Scholar] [CrossRef]
- Ventéjou, S.; Hohl, D.; Bogiatzi, S.; Christen-Zaech, S.; Morren, M.A. Eccrine naevus: Case report with dermoscopic findings. Ann. Dermatol. Venereol. 2021, 148, 66–68. [Google Scholar] [CrossRef] [PubMed]


Publisher’s Note: MDPI stays neutral with regard to jurisdictional claims in published maps and institutional affiliations. |
© 2021 by the authors. Licensee MDPI, Basel, Switzerland. This article is an open access article distributed under the terms and conditions of the Creative Commons Attribution (CC BY) license (https://creativecommons.org/licenses/by/4.0/).
Share and Cite
Martin-Gorgojo, A.; Sanchez-Carpintero, I.; Ruiz-Rodriguez, R.; Enguita-Valls, A.-B. Eccrine Nevus in the Forearm of a 16-Year-Old Presenting as Unilateral Hyperhidrosis: A Clinicopathological Correlation Paradigm. Dermatopathology 2021, 8, 446-449. https://doi.org/10.3390/dermatopathology8030047
Martin-Gorgojo A, Sanchez-Carpintero I, Ruiz-Rodriguez R, Enguita-Valls A-B. Eccrine Nevus in the Forearm of a 16-Year-Old Presenting as Unilateral Hyperhidrosis: A Clinicopathological Correlation Paradigm. Dermatopathology. 2021; 8(3):446-449. https://doi.org/10.3390/dermatopathology8030047
Chicago/Turabian StyleMartin-Gorgojo, Alejandro, Ignacio Sanchez-Carpintero, Ricardo Ruiz-Rodriguez, and Ana-Belen Enguita-Valls. 2021. "Eccrine Nevus in the Forearm of a 16-Year-Old Presenting as Unilateral Hyperhidrosis: A Clinicopathological Correlation Paradigm" Dermatopathology 8, no. 3: 446-449. https://doi.org/10.3390/dermatopathology8030047
APA StyleMartin-Gorgojo, A., Sanchez-Carpintero, I., Ruiz-Rodriguez, R., & Enguita-Valls, A.-B. (2021). Eccrine Nevus in the Forearm of a 16-Year-Old Presenting as Unilateral Hyperhidrosis: A Clinicopathological Correlation Paradigm. Dermatopathology, 8(3), 446-449. https://doi.org/10.3390/dermatopathology8030047

