Giant Folliculosebaceous Cystic Hamartoma of the Face
Abstract
1. Introduction
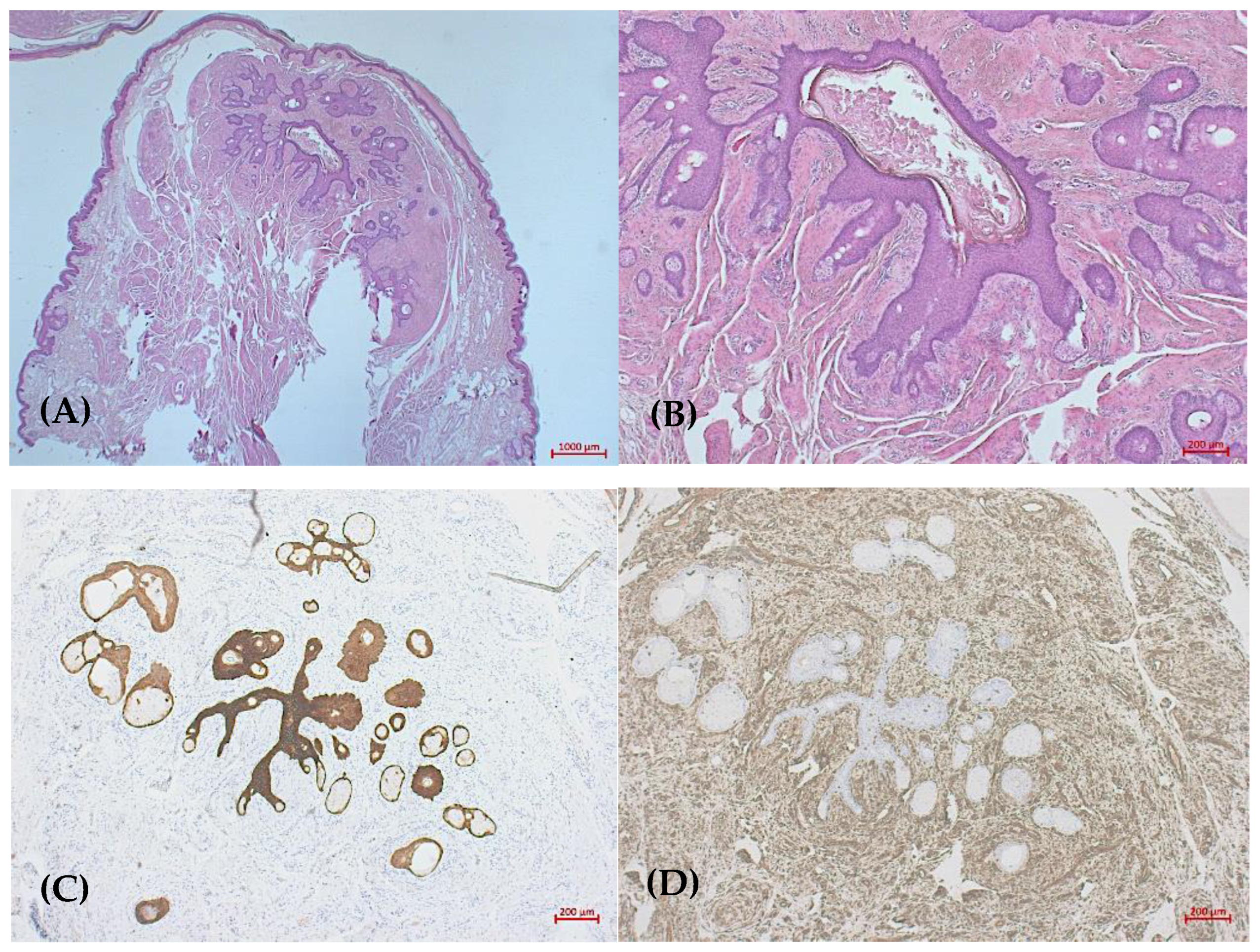
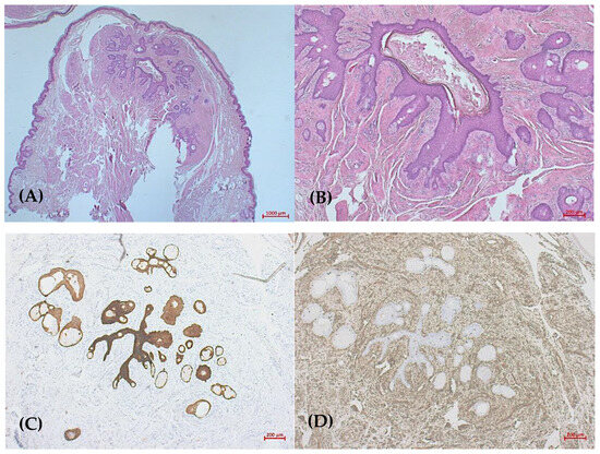
2. Report of a Case
3. Discussion
Author Contributions
Funding
Institutional Review Board Statement
Informed Consent Statement
Data Availability Statement
Conflicts of Interest
References
- Tjarks, B.J.; Gardner, J.M.; Riddle, N.D. Hamartomas of skin and soft tissue. Semin. Diagn. Pathol. 2019, 36, 48–61. [Google Scholar] [CrossRef]
- Kimura, T.; Miyazawa, H.; Aoyagi, T.; Ackerman, A.B. Folliculosebaceous cystic hamartoma. A distinctive malformation of the skin. Am. J. Dermatopathol. 1991, 13, 213–220. [Google Scholar] [CrossRef] [PubMed]
- Bobde, V.M.; Helwatkar, S.B.; Sathawane, P.R.; Raut, W.K. Congenital Giant Folliculosebaceous Cystic Hamartoma of Thigh: A Rare Case. Indian J. Dermatol. 2019, 64, 490–492. [Google Scholar] [CrossRef] [PubMed]
- Cole, P.; Kaufman, Y.; Dishop, M.; Hatef, D.A.; Hollier, L. Giant, congenital folliculosebaceous cystic hamartoma: A case against a pathogenetic relationship with trichofolliculoma. Am. J. Dermatopathol. 2008, 30, 500–503. [Google Scholar] [CrossRef] [PubMed]
- El-Darouty, M.A.; Marzouk, S.A.; Abdel-Halim, M.R.; El-Komy, M.H.; Mashaly, H.M. Folliculo-sebaceous cystic hamartoma. Int. J. Dermatol. 2001, 40, 454–457. [Google Scholar] [CrossRef] [PubMed]
- Ramdial, P.; Chrystal, V.; Madaree, A. Folliculosebaceous cystic hamartoma. Pathology 1998, 30, 212–214. [Google Scholar] [CrossRef] [PubMed]
- Templeton, S.F. Folliculosebaceous cystic hamartoma: A clinical pathologic study. J. Am. Acad. Dermatol. 1996, 34, 77–81. [Google Scholar] [CrossRef]
- Ansai, S.; Kimura, T.; Kawana, S. A clinicopathologic study of folliculosebaceous cystic hamartoma. Am. J. Dermatopathol. 2010, 32, 815–820. [Google Scholar] [CrossRef]
- Suarez-Peñaranda, J.M.; Vieites, B.; Ramírez-Santos, A.; Fernández-Redondo, V.; Toribio, J.; Del Rio, E.; Forteza-Vila, J. Clinicopathological and immnuohistochemical findings in a series of folliculosebaceous cystic hamartoma. J. Cutan. Pathol. 2009, 36, 251–256. [Google Scholar] [CrossRef]
- Brücher, J.J.; Franke, I.; Ulrich, J.; Gollnick, H.; Leverkus, M. Giant genital variant of folliculosebaceous cystic hamartoma: Successful management by CO2 laser and acitretin therapy. Br. J. Dermatol. 2007, 157, 833–835. [Google Scholar] [CrossRef]
- Hamada, M.; Kiryu, H.; Satoh, E.; Moroi, Y.; Urabe, K.; Furue, M. A case of genital folliculosebaceous cystic hamartoma with an unique aggregated manifestation. J. Dermatol. 2006, 33, 191–195. [Google Scholar] [CrossRef] [PubMed]
- Haw, S.; Lee, M.H. A case of giant folliculosebaceous cystic hamartoma. Ann. Dermatol. 2009, 21, 63–65. [Google Scholar] [CrossRef] [PubMed]
- Sturtz, D.E.; Smith, D.J.; Calderon, M.S.; Fullen, D.R. Giant folliculosebaceous cystic hamartoma of the upper extremity. J. Cutan. Pathol. 2004, 31, 287–290. [Google Scholar] [CrossRef] [PubMed]
- Yamamoto, O.; Suenaga, Y.; Bhawan, J. Giant folliculosebaceous cystic hamartoma. J. Cutan. Pathol. 1994, 21, 170–172. [Google Scholar] [CrossRef]
- Khan, A.; Gowda, C.; Vasudevan, G.; Rodrigues, G. Giant folliculosebaceous cystic hamartoma of the vulva: A rare occurrence. Int. J. Gynecol. Obstet. 2020, 150, 423–424. [Google Scholar] [CrossRef] [PubMed]
- Merklen-Djafri, C.; Batard, M.; Guillaume, J.; Kleinclauss, I.; Cribier, B. Folliculosebaceous cystic hamartoma: Anatomo-clinical study. Ann. Dermatol. Venereol. 2011, 139, 23–30. [Google Scholar] [CrossRef]
- Wu, Y.H. Folliculosebaceous cystic hamartoma or trichofolliculoma? A spectrum of hamartomatous changes inducted by perifollicular stroma in the follicular epithelium. J. Cutan. Pathol. 2008, 35, 843–848. [Google Scholar] [CrossRef]
- Albrecht, E. Ueber hamartoma. Dtsch. Pathol. Ges. 1904, 7, 153–157. [Google Scholar]
- Batsakis, J.G. Pathology consultation. Nomenclature of developmental tumors. Ann. Otol. Rhinol. Laryngol. 1984, 93 Pt. 1, 98–99. [Google Scholar] [CrossRef]
- Misago, N.; Ansai, S.I.; Fukumoto, T.; Anan, T.; Kimura, T.; Nakao, T. Chronological changes in trichofolliculoma: Folliculosebaceous cystic hamartoma is not a very-late-stage trichofolliculoma. J. Dermatol. 2017, 44, 1050–1054. [Google Scholar] [CrossRef]
- Morse, D.C.; Tschen, J. A case of folliculosebaceous cystic hamartoma: A rare and clinically indistinct lesion. Dermatol. Online J. 2018, 24, 16. [Google Scholar] [CrossRef]
- Zheng, L.-Q.; Han, X.-C. Giant folliculosebaceous cystic hamartoma on the right forearm. J. Dermatol. 2011, 38, E75–E77. [Google Scholar] [CrossRef] [PubMed]
- Geiger, J.M. Retinoids and sebaceous gland activity. Dermatology 1995, 191, 305–310. [Google Scholar] [CrossRef] [PubMed]
- Carneiro, F.P.; de Souza Vianna, L.M.; dos Santos, A.M.; Raymundo, I.T.; de Azevedo, A.E.B. Folliculosebaceous cystic hamartoma of the external auditory canal in an adult. Ear Nose Throat J. 2012, 91, E12–E14. [Google Scholar] [CrossRef] [PubMed]
- Nomura, M.; Hata, S. Sebaceous trichofolliculoma on scrotum and penis. Dermatologica 1990, 181, 68–70. [Google Scholar] [CrossRef] [PubMed]
- Schulz, T.; Hartschuh, W. The trichofolliculoma undergoes changes corresponding to the regressing normal hair follicle in its cycle. J. Cutan. Pathol. 1998, 25, 341–353. [Google Scholar] [CrossRef]
- Senba, Y.; Kurokawa, I.; Kitagawa, H.; Omoto, Y.; Yamanaka, K.; Isoda, K.; Tsubura, A.; Mizutani, H. Folliculosebaceous cystic hamartoma differentiates toward the infundibulum, sebaceous duct and sebaceous cells: Immunohistochemical study of keratins and filaggrin. Br. J. Dermatol. 2009, 160, 454–456. [Google Scholar] [CrossRef]
- Plewig, G. Sebaceous trichofolliculoma. J. Cutan. Pathol. 1980, 7, 394–403. [Google Scholar] [CrossRef]
- Misago, N.; Kimura, T.; Toda, S.; Mori, T.; Narisawa, Y. A revaluation of folliculosebaceous cystic hamartoma: The histopathological and immunohistochemical features. Am. J. Dermatopathol. 2010, 32, 154–161. [Google Scholar] [CrossRef]
- Lena, C.P.; Kondo, R.N.; Nicolacópulos, T. Do you know this syndrome? Schimmelpenning-Feuerstein-Mims syndrome. Bras. Dermatol. 2019, 94, 227–229. [Google Scholar] [CrossRef]
- Karanfilian, K.M.; Valentin, M.N.; Kapila, R.; Bhate, C.; Fatahzadeh, M.; Micali, G.; Schwartz, R.A. Cervicofacial actinomycosis. Int. J. Dermatol. 2020, 59, 1185–1190. [Google Scholar] [CrossRef] [PubMed]
- Steffen, C.; Ackerman, A.B. Neoplasms with Sebaceous Differentiation; Lea & Febiger: Philadelphia, PA, USA, 1994; pp. 183–202. [Google Scholar]
- Aloi, F.; Tomasini, C.; Pippione, M. Folliculosebaceous cystic hamartoma with perifollicular mucinosis. Am. J. Dermatopathol. 1996, 18, 58–62. [Google Scholar] [CrossRef] [PubMed]
- Osipov, V.O.; Vincent, P.; Packer, A.M.; Oliver, G.F. Folliculosebaceous cystic hamartoma of the ear and periauricular skin. Australas. J. Dermatol. 2012, 53, e8–e9. [Google Scholar] [CrossRef] [PubMed]
- Tanimura, S.; Arita, K.; Iwao, F.; Kasai, M.; Fujita, Y.; Kawasaki, H.; Abe, R.; Sawamura, D.; Kimura, T.; Shimizu, H. Two cases of folliculosebaceous cystic hamartoma. Clin. Exp. Dermatol. Clin. Dermatol. 2006, 31, 68–70. [Google Scholar] [CrossRef] [PubMed]
- Emsen, I.M.; Livaoglu, A. An uncommon folliculosebaceous cystic hamartoma on the lower extremity. Can. J. Plast. Surg. 2007, 15, 231–233. [Google Scholar] [CrossRef] [PubMed]
- Bolognia, J.; Longley, B. Genital variant of folliculosebaceous cystic hamartoma. Dermatology 1998, 197, 258–260. [Google Scholar] [CrossRef] [PubMed]
- Daruish, M.; Ibrahim, M.A.-H. Genital Folliculosebaceous Cystic Hamartoma: A Case Report and Concise Review of the Literature. Dermatopathology 2022, 9, 277–281. [Google Scholar] [CrossRef]
- Badr, A.; Lakshmiah, G.R. Folliculosebaceous cystic hamartoma of the nipple: A case report. J. Cutan. Pathol. 2009, 36, 597–600. [Google Scholar] [CrossRef]
- Lee, S.Y.; Lee, D.R.; You, C.E.; Park, M.Y.; Son, S.J. Folliculosebaceous cystic hamartoma on the nipple. Am. J. Dermatopathol. 2006, 28, 205–207. [Google Scholar] [CrossRef]
- Islam, M.N.; Cohen, D.M.; Bhattacharyya, I. Folliculosebaceous cystic hamartoma of the upper lip and labial mucosa. Quintessence Int. 2011, 42, e75–e77. [Google Scholar]
- Choe, S.H.; Park, H.J.; Kim, Y.C.; Cinn, Y.W. A Case of Folliculosebaceous Cystic Hamartoma on the Upper Back. Ann. Dermatol. 2001, 13, 254–257. [Google Scholar] [CrossRef][Green Version]


Disclaimer/Publisher’s Note: The statements, opinions and data contained in all publications are solely those of the individual author(s) and contributor(s) and not of MDPI and/or the editor(s). MDPI and/or the editor(s) disclaim responsibility for any injury to people or property resulting from any ideas, methods, instructions or products referred to in the content. |
© 2023 by the authors. Licensee MDPI, Basel, Switzerland. This article is an open access article distributed under the terms and conditions of the Creative Commons Attribution (CC BY) license (https://creativecommons.org/licenses/by/4.0/).
Share and Cite
Tasar, R.; Peckruhn, M.; Tittelbach, J. Giant Folliculosebaceous Cystic Hamartoma of the Face. Dermatopathology 2024, 11, 19-25. https://doi.org/10.3390/dermatopathology11010004
Tasar R, Peckruhn M, Tittelbach J. Giant Folliculosebaceous Cystic Hamartoma of the Face. Dermatopathology. 2024; 11(1):19-25. https://doi.org/10.3390/dermatopathology11010004
Chicago/Turabian StyleTasar, Ramona, Melanie Peckruhn, and Jörg Tittelbach. 2024. "Giant Folliculosebaceous Cystic Hamartoma of the Face" Dermatopathology 11, no. 1: 19-25. https://doi.org/10.3390/dermatopathology11010004
APA StyleTasar, R., Peckruhn, M., & Tittelbach, J. (2024). Giant Folliculosebaceous Cystic Hamartoma of the Face. Dermatopathology, 11(1), 19-25. https://doi.org/10.3390/dermatopathology11010004

