Next Issue
Volume 4, 06
Previous Issue
Volume 3, 12
 
 
Germs is published by MDPI from Volume 15 Issue 4 (2025). Previous articles were published by another publisher in Open Access under a CC-BY (or CC-BY-NC-ND) licence, and they are hosted by MDPI on mdpi.com as a courtesy and upon agreement with the former publisher Infection Science Forum.

Germs, Volume 4, Issue 1 (03 2014) – 4 articles

  • Issues are regarded as officially published after their release is announced to the table of contents alert mailing list.
  • You may sign up for e-mail alerts to receive table of contents of newly released issues.
  • PDF is the official format for papers published in both, html and pdf forms. To view the papers in pdf format, click on the "PDF Full-text" link, and use the free Adobe Reader to open them.
Order results
Result details
Select all
Export citation of selected articles as:
1 pages, 109 KB  
Communication
Staphylococcus aureus Colonization in Brazilian Children
by Marcelo J. Mimica and Maria Fernanda Bádue-Pereira
Germs 2014, 4(1), 22; https://doi.org/10.11599/germs.2014.1051 - 3 Mar 2014
Cited by 4 | Viewed by 137
Abstract
We read with interest the paper authored by Preoțescu LL and Streinu-Cercel O, [...] Full article
6 pages, 460 KB  
Article
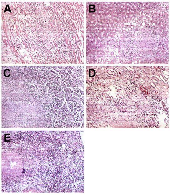
Disseminated Tuberculosis in HIV-Infected Patients from the Regional HIV/AIDS Center Constanța, Romania
by Sorin Rugină, Irina-Magdalena Dumitru, Ghiulendan Resul, Roxana Carmen Cernat and Andra Elena Petcu
Germs 2014, 4(1), 16-21; https://doi.org/10.11599/germs.2014.1050 - 3 Mar 2014
Cited by 10 | Viewed by 264
Abstract
Introduction: The purpose of our study was to evaluate clinical and pathological characteristics as well as treatment outcomes in HIV-infected patients with disseminated tuberculosis from the Regional HIV/AIDS Center Constanța, Romania, and to determine associated risk factors. Methods: We analyzed HIV-infected adults diagnosed [...] Read more.
Introduction: The purpose of our study was to evaluate clinical and pathological characteristics as well as treatment outcomes in HIV-infected patients with disseminated tuberculosis from the Regional HIV/AIDS Center Constanța, Romania, and to determine associated risk factors. Methods: We analyzed HIV-infected adults diagnosed with disseminated tuberculosis (TB) over the past two years, monitored in the Regional HIV/AIDS Center Constanța. Results: Out of a total number of 956 HIV-infected patients, 42 had been diagnosed with tuberculosis over the past two years (2011–2013) (4.39%) and 16 of them developed disseminated TB (38%). At the time of diagnosis, we recorded abnormal chest X-rays in 8 (50%), and positive sputum cultures in 4 (25%) of them. The median CD4 count was 40 cells/μL with a range of 5–85 cells/μL; HIV-RNA was detectable in all cases. Multi-drug-resistant tuberculosis (MDR-TB) was identified in 6 cases. The outcome was unfavorable in 15 patients. Conclusions: In our study, disseminated tuberculosis appeared to be a common pattern of evolution of HIV-TB co-infection (38%). Sputum smear positivity was low and chest X-ray images did not follow a typical pattern. HIV-TB co-infected patients with CD4 lymphocyte cell count <50 cells/μL were more likely to have disseminated TB. The severity of cases, proved by a high mortality rate, requires consideration of this diagnosis early in patients with advanced AIDS, even if laboratory investigations are not suggestive. Full article
Show Figures

Figure 1

7 pages, 265 KB  
Article
Predictors of Loss to Follow-Up After Engagement in Care of HIV-Infected Children Ineligible for Antiretroviral Therapy in an HIV Cohort Study in India
by Gerardo Alvarez-Uria, Praveen Kumar Naik, Manoranjan Midde and Raghavakalyan Pakam
Germs 2014, 4(1), 9-15; https://doi.org/10.11599/germs.2014.1049 - 3 Mar 2014
Cited by 8 | Viewed by 202
Abstract
Introduction: Previous studies performed in low- and middle-income countries have shown that nearly half of HIV-infected adults not eligible for antiretroviral therapy (ART) at the time of enrolment in care are lost to follow-up (LTFU). However, data about the attrition from enrolment in [...] Read more.
Introduction: Previous studies performed in low- and middle-income countries have shown that nearly half of HIV-infected adults not eligible for antiretroviral therapy (ART) at the time of enrolment in care are lost to follow-up (LTFU). However, data about the attrition from enrolment in care to ART eligibility of HIV-infected children are scarce, especially outside sub-Saharan Africa. Methods: This is a retrospective study about the attrition before ART eligibility of 282 children ineligible for ART at enrolment in care in a cohort study in India. Multivariate analysis was performed using competing risk regression. Results: During 5695 child-months of follow-up, three children died, 36 were LTFU and 144 became ART eligible. The cumulative incidence of attrition (mortality and LTFU) was 15.6% (95% confidence interval [CI], 11.3–20.5) at five years, and the attrition rate was higher during the first year after enrolment in care. The cumulative incidence of LTFU and mortality was 14.4% (95% CI, 10.2–19.2) and 1.2% (95% CI, 0.3–3.3) at five years, respectively. Children with a 12-month AIDS risk 4%. Those children whose father had died had a lower risk of LTFU (SHR 0.26, 95% CI 0.09–0.75) than those whose parents were alive and were living in a rented house. Children aged 10–14 had a lower risk of LTFU (SHR 0.12, 95% CI 0.03–0.55) than those aged 5–9 years. Conclusions: In our setting, a substantial proportion of children ineligible for ART are lost to follow-up before ART eligibility, especially those with younger age, less severe immunosuppression or living with parents in poor socio-economic conditions. These findings can be used by HIV programmes to design interventions aimed at reducing the attrition of pre-ART care of HIV-infected children in India. Full article
Show Figures

Figure 1

Editorial
Colistin in the Management of Severe Infections with Multidrug Resistant Gram-Negative Bacilli
by Adrian Streinu-Cercel
Germs 2014, 4(1), 7-8; https://doi.org/10.11599/germs.2014.1048 - 3 Mar 2014
Cited by 2 | Viewed by 171
Abstract
1933—Boivin A, Mesrobeanu I and Mesrobeanu L describe a toxic factor enclosed in the outer membrane of Gram-negative bacteria – nowadays known as endotoxin (C.R. Soc. Biol. Paris 1933;114:307).[...] Full article
Show Figures

Figure 1

Previous Issue
Next Issue
Back to TopTop