You are currently viewing a new version of our website. To view the old version click .
Processes
  • Correction
  • Open Access

24 February 2025

Correction: Mateo-Fernández et al. Toxicological and Nutraceutical Screening Assays of Some Artificial Sweeteners. Processes 2022, 10, 410

,
,
,
,
and
1
Department of Genetics, University of Córdoba, 14071 Córdoba, Spain
2
Agri-Food Laboratory, CAGPDS, Avd. Menéndez Pidal, s/n, 14080 Córdoba, Spain
*
Author to whom correspondence should be addressed.
This article belongs to the Special Issue Advances of Food Safety and Toxicology in Food Processes and Engineering

Error in Figure

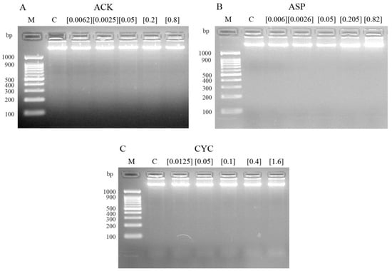
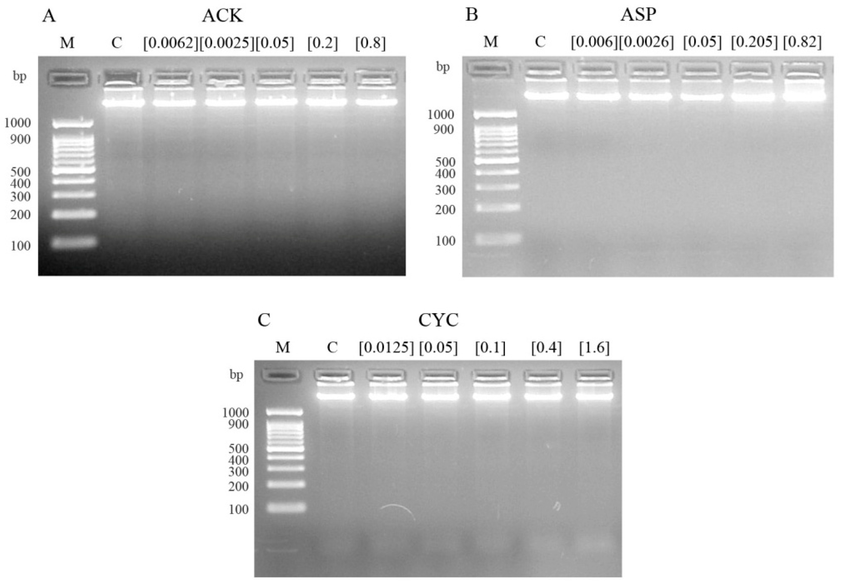
In the original publication [], there was a mistake in Figure 3 as published. The authors made the following error in the published figure: the aspartame and cyclamate electrophoresis gels were the same. The corrected Figure 3 appears below. Moreover, the size of the DNA ladder has been added. The authors state that the scientific conclusions are unaffected. This correction was approved by the Academic Editor. The original publication has also been updated.
Figure 3. Internucleosomal DNA fragmentation after 5 h of treatment with ACK (A), ASP (B) and CYC (C). Letters M and C mean weight size marker and negative control, respectively. Moreover, the different concentrations tested for the three compounds are indicated in each sample well.

Reference

  1. Mateo-Fernández, M.; González-Jiménez, M.J.; Celestino, M.D.R.; Font, R.; Alonso-Moraga, Á.; Merinas-Amo, T. Toxicological and Nutraceutical Screening Assays of Some Artificial Sweeteners. Processes 2022, 10, 410. [Google Scholar] [CrossRef]
Disclaimer/Publisher’s Note: The statements, opinions and data contained in all publications are solely those of the individual author(s) and contributor(s) and not of MDPI and/or the editor(s). MDPI and/or the editor(s) disclaim responsibility for any injury to people or property resulting from any ideas, methods, instructions or products referred to in the content.

Article Metrics

Citations

Article Access Statistics

Multiple requests from the same IP address are counted as one view.