Cross-Linking of White Proteins in Soft-Shell Turtle Eggs Using Transglutaminase, Reductant, and Thermal Pretreatment
Abstract
1. Introduction
2. Materials and Methods
2.1. Preparation of Egg White
2.2. Egg White Sample Preparation with/without Reductants, Thermal Treatment, and TGase
2.3. Effects of the Incubation Time on Cross-Linking of Egg White Proteins with/without Reductants, Thermal Treatment, and TGase
2.4. SDS-Polyacrylamide Gel Electrophoresis (SDS–PAGE)
2.5. Analysis of Surface Hydrophobicity (H0)
2.6. Determination of Reactive Sulfhydryl (SH) Groups
2.7. Particle Size Analysis
2.8. Analytical Approach by Transmission Electron Microscopy (TEM)
2.9. Statistical Analysis
3. Results and Discussion
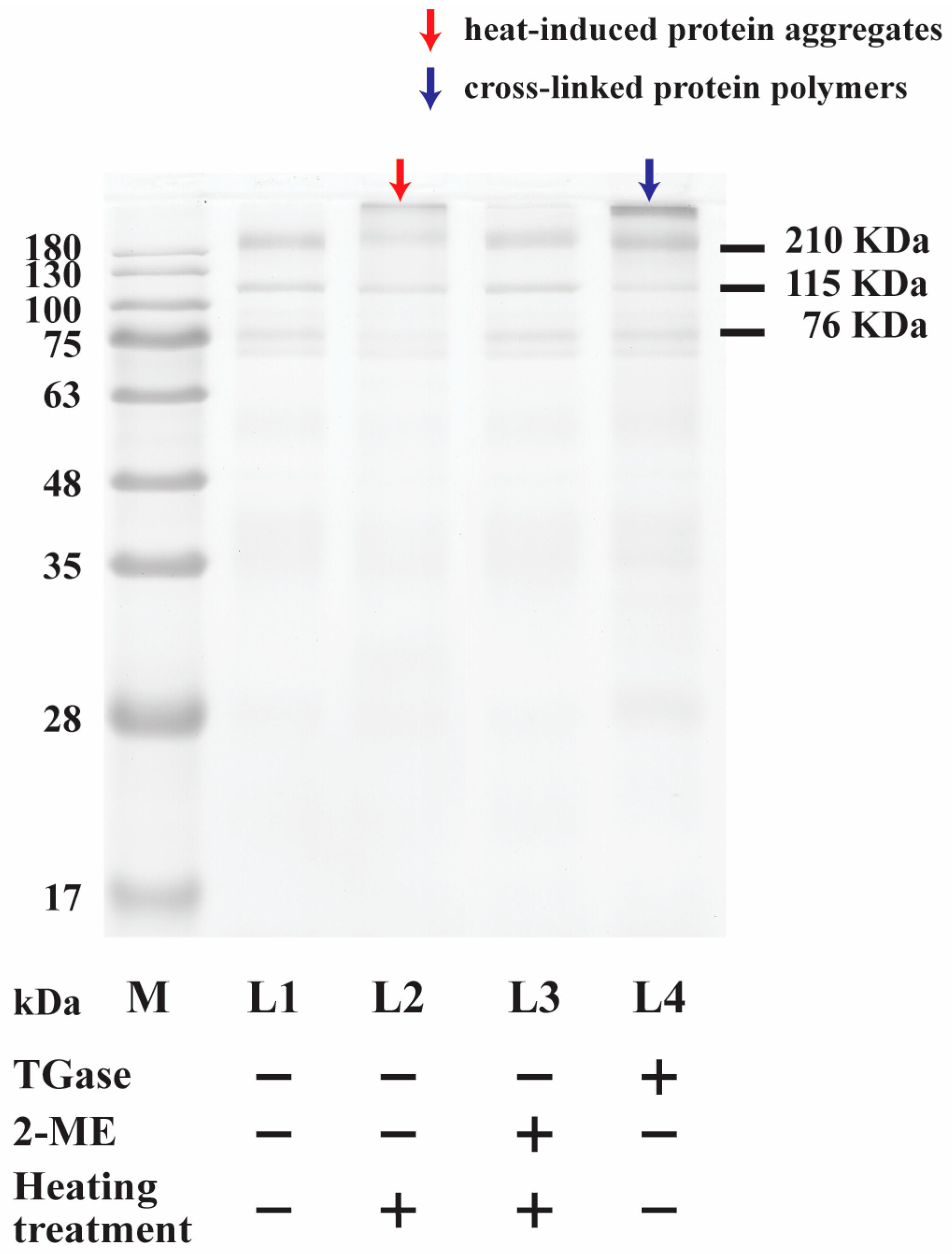
3.1. Influences of Thermal Treatment and TGase on Egg White Proteins
3.2. Influences of Reductants and Thermal Treatment on Egg White Proteins
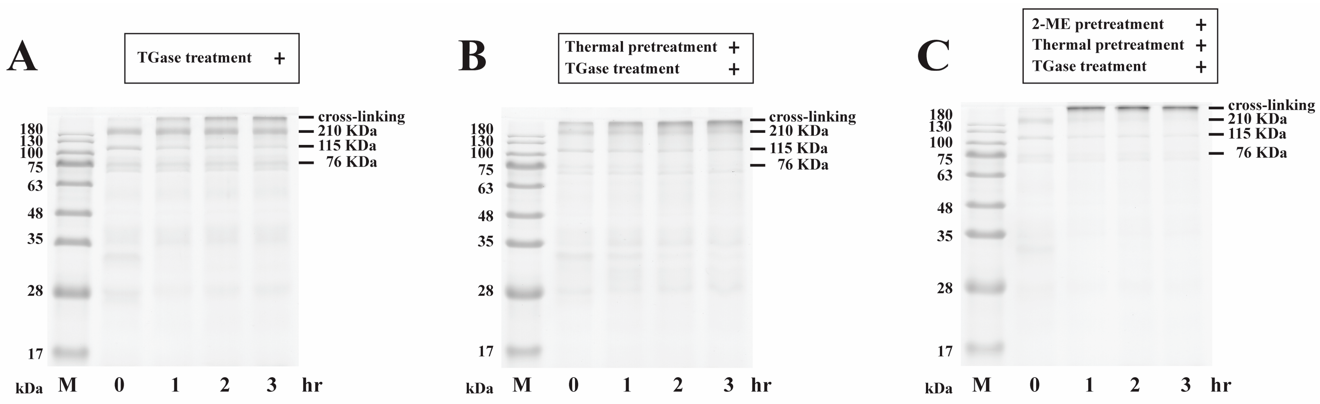
3.3. SDS–PAGE Analysis of TGase on Cross-Linked Egg White Proteins with Reductants and Thermal Pretreatment
3.4. Particle Size and Microstructure Analysis of Egg White Proteins with 2-ME, Thermal Pretreatment, and TGase
3.5. Reaction Scheme for TGase on Cross-Linked Egg White Proteins with 2-ME and Thermal Pretreatment
4. Conclusions
Author Contributions
Funding
Data Availability Statement
Acknowledgments
Conflicts of Interest
References
- Shen, C.T.; Hsu, S.L.; Chang, C.M.J. Co-solvent-modified supercritical carbon dioxide extractions of cholesterol and free amino acids from soft-shell turtle fish egg. Sep. Purif. Technol. 2008, 60, 215–222. [Google Scholar] [CrossRef]
- Nong, N.T.P.; Chen, Y.K.; Shih, W.L.; Hsu, J.L. Characterization of novel dipeptidyl peptidase-IV inhibitory peptides from soft-shelled turtle yolk hydrolysate using orthogonal bioassay-guided fractionations coupled with in vitro and in silico study. Pharmaceuticals 2020, 13, 308. [Google Scholar] [CrossRef]
- Rawendra, R.D.; Chang, C.I.; Chen, H.H.; Huang, T.C.; Hsu, J.L. A novel angiotensin converting enzyme inhibitory peptide derived from proteolytic digest of Chinese soft-shelled turtle egg white proteins. J. Proteom. 2013, 94, 359–369. [Google Scholar] [CrossRef] [PubMed]
- Chen, S.Y.; Kuo, M.I. Physicochemical and functional properties of Chinese soft-shell turtle (Pelodiscus sinensis) egg. Food Res. Int. 2016, 85, 36–43. [Google Scholar] [CrossRef]
- Alavi, F.; Emam-Djomeh, Z.; Chen, L. Acid-induced gelation of thermal co-aggregates from egg white and hempseed protein: Impact of microbial transglutaminase on mechanical and microstructural properties of gels. Food Hydrocoll. 2020, 107, 105960. [Google Scholar] [CrossRef]
- Ma, X.; Lozano-Ojalvo, D.; Chen, H.; Lopez-Fandiño, R.; Molina, E. Effect of high pressure-assisted crosslinking of ovalbumin and egg white by transglutaminase on their potential allergenicity. Innov. Food Sci. Emerg. Technol. 2015, 29, 143–150. [Google Scholar] [CrossRef]
- Miwa, N. Innovation in the food industry using microbial transglutaminase: Keys to success and future prospects. Anal. Biochem. 2020, 597, 113638. [Google Scholar] [CrossRef]
- Djoullah, A.; Husson, F.; Saurel, R. Gelation behaviors of denaturated pea albumin and globulin fractions during transglutaminase treatment. Food Hydrocoll. 2018, 77, 636–645. [Google Scholar] [CrossRef]
- Hsiao, Y.H.; Lu, C.P.; Kuo, M.I.; Hsieh, J.F. Coacervation of β-conglycinin, glycinin and isoflavones induced by propylene glycol alginate in heated soymilk. Food Chem. 2016, 200, 55–61. [Google Scholar] [CrossRef]
- Chen, C.C.; Kao, M.C.; Chen, C.J.; Jao, C.H.; Hsieh, J.F. Improvement of enzymatic cross-linking of ovalbumin and ovotransferrin induced by transglutaminase with heat and reducing agent pretreatment. Food Chem. 2023, 409, 135281. [Google Scholar] [CrossRef]
- Gaspar, A.L.C.; de Góes-Favoni, S.P. Action of microbial transglutaminase (MTGase) in the modification of food proteins: A review. Food Chem. 2015, 171, 315–322. [Google Scholar] [CrossRef]
- Eissa, A.S.; Khan, S.A. Modulation of hydrophobic interactions in denatured whey proteins by transglutaminase enzyme. Food Hydrocoll. 2006, 20, 543–547. [Google Scholar] [CrossRef]
- Das, S.; Ghosh, A.; Kundu, S.; Saha, S.; Sarkar, H.S.; Sahoo, P. Development of a new fluorescent probe for cysteine detection in processed food samples. Anal. Bioanal. Chem. 2019, 411, 6203–6212. [Google Scholar] [CrossRef] [PubMed]
- Müller, T.; Winter, D. Systematic evaluation of protein reduction and alkylation reveals massive unspecific side effects by iodine-containing reagents. Mol. Cell. Proteom. 2017, 16, 1173–1187. [Google Scholar] [CrossRef] [PubMed]
- Chen, C.C.; Chen, L.Y.; Li, W.T.; Chang, K.L.; Tseng, H.W.; Chen, B.Y.; Chen, C.J.; Hsieh, J.F. Ultrasound-assisted transglutaminase catalysis of the cross-linking and microstructure of αs-casein, β-casein and κ-casein. Processes 2021, 9, 1630. [Google Scholar] [CrossRef]
- Stefanović, A.B.; Jovanović, J.R.; Dojčinović, M.B.; Lević, S.M.; Nedović, V.A.; Bugarski, M.B.; Knežević-Jugović, Z.D. Effect of the controlled high-intensity ultrasound on improving functionality and structural changes of egg white proteins. Food Bioprocess Technol. 2017, 10, 1224–1239. [Google Scholar] [CrossRef]
- Gharbi, N.; Labbafi, M. Effect of processing on aggregation mechanism of egg white proteins. Food Chem. 2018, 252, 126–133. [Google Scholar] [CrossRef]
- Zhang, M.; Yang, Y.; Acevedo, N.C. Effects of pre-heating soybean protein isolate and transglutaminase treatments on the properties of egg-soybean protein isolate composite gels. Food Chem. 2020, 318, 126421. [Google Scholar] [CrossRef] [PubMed]
- Matsudomi, N.; Kanda, Y.; Yoshika, Y.; Moriwaki, H. Ability of αs-casein to suppress the heat aggregation of ovotransferrin. J. Agric. Food Chem. 2004, 52, 4882–4886. [Google Scholar] [CrossRef]
- Marcet, I.; Sáez, S.; Rendueles, M.; Díaz, M. Edible films from residual delipidated egg yolk proteins. J. Food Sci. Technol. 2017, 54, 3969–3978. [Google Scholar] [CrossRef]
- Porta, R.; Giosafatto, C.V.L.; di Pierro, P.; Sorrentino, A.; Mariniello, L. Transglutaminase-mediated modification of ovomucoid: Effects on its trypsin inhibitory activity and antigenic properties. Amino Acids 2013, 44, 285–292. [Google Scholar] [CrossRef]
- Jaros, D.; Partschefeld, C.; Henle, T.; Rohm, H. Transglutaminase in dairy products: Chemistry, physics, applications. J. Texture Stud. 2006, 37, 113–155. [Google Scholar] [CrossRef]
- Foroumadi, A.; Saeedi, M. 2-Mercaptoethanol. In Encyclopedia of Toxicology; Wexler, P., Ed.; Academic Press: Amsterdam, The Netherlands, 2014; pp. 201–202. [Google Scholar]
- Wang, Z.; Li, Y.; Jiang, L.; Qi, B.; Zhou, L. Relationship between secondary structure and surface hydrophobicity of soybean protein isolate subjected to heat treatment. J. Chem. 2014, 2014, 475389. [Google Scholar] [CrossRef]
- Feng, X.; Li, C.; Ullah, N.; Cao, J.; Lan, Y.; Ge, W.; Hackman, R.M.; Li, Z.; Chen, L. Susceptibility of whey protein isolate to oxidation and changes in physicochemical, structural, and digestibility characteristics. J. Dairy Sci. 2015, 98, 7602–7613. [Google Scholar] [CrossRef]
- Karimi, M.; Ignasiak, M.T.; Chan, B.; Croft, A.K.; Radom, L.; Schiesser, C.H.; Pattison, D.I.; Davies, M.J. Reactivity of disulfide bonds is markedly affected by structure and environment: Implications for protein modification and stability. Sci. Rep. 2016, 6, 38572. [Google Scholar] [CrossRef]
- Giosafatto, C.V.L.; Rigby, N.M.; Wellner, N.; Ridout, M.; Husband, F.; Mackie, A.R. Microbial transglutaminase-mediated modification of ovalbumin. Food Hydrocoll. 2012, 26, 261–267. [Google Scholar] [CrossRef]
- Bashash, M.; Varidi, M.; Varshosaz, J. Ultrasound-triggered transglutaminase-catalyzed egg white-bovine gelatin composite hydrogel: Physicochemical and rheological studies. Innov. Food Sci. Emerg. Technol. 2022, 76, 102936. [Google Scholar] [CrossRef]
- Van der Plancken, I.; Van Loey, A.; Hendrickx, M.E. Changes in sulfhydryl content of egg white proteins due to heat and pressure treatment. J. Agric. Food Chem. 2005, 53, 5726–5733. [Google Scholar]
- Asgharzadeh, S.; Shareghi, B.; Farhadian, S.; Tirgir, F. Effect of free L-cysteine on the structure and function of α-chymotrypsin. J. Mol. Liq. 2019, 280, 79–86. [Google Scholar] [CrossRef]






| Egg White Sample | H0 1 | SH (μmol/g) 1 |
|---|---|---|
| Egg white without treatment | 14,782.1 ± 817.9 a | 15.3 ± 3.5 a |
| Egg white with 2-ME and thermal pretreatment | 40,756.9 ± 922.7 c | 30.8 ± 1.8 b |
Disclaimer/Publisher’s Note: The statements, opinions and data contained in all publications are solely those of the individual author(s) and contributor(s) and not of MDPI and/or the editor(s). MDPI and/or the editor(s) disclaim responsibility for any injury to people or property resulting from any ideas, methods, instructions or products referred to in the content. |
© 2023 by the authors. Licensee MDPI, Basel, Switzerland. This article is an open access article distributed under the terms and conditions of the Creative Commons Attribution (CC BY) license (https://creativecommons.org/licenses/by/4.0/).
Share and Cite
Chen, C.-C.; Kao, M.-C.; Kuo, M.-I.; Chen, C.-J.; Jao, C.-H.; Lee, Y.; Hsieh, J.-F. Cross-Linking of White Proteins in Soft-Shell Turtle Eggs Using Transglutaminase, Reductant, and Thermal Pretreatment. Processes 2023, 11, 1941. https://doi.org/10.3390/pr11071941
Chen C-C, Kao M-C, Kuo M-I, Chen C-J, Jao C-H, Lee Y, Hsieh J-F. Cross-Linking of White Proteins in Soft-Shell Turtle Eggs Using Transglutaminase, Reductant, and Thermal Pretreatment. Processes. 2023; 11(7):1941. https://doi.org/10.3390/pr11071941
Chicago/Turabian StyleChen, Chun-Chi, Ming-Ching Kao, Meng-I Kuo, Chao-Jung Chen, Cheng-Hsun Jao, Yongcheol Lee, and Jung-Feng Hsieh. 2023. "Cross-Linking of White Proteins in Soft-Shell Turtle Eggs Using Transglutaminase, Reductant, and Thermal Pretreatment" Processes 11, no. 7: 1941. https://doi.org/10.3390/pr11071941
APA StyleChen, C.-C., Kao, M.-C., Kuo, M.-I., Chen, C.-J., Jao, C.-H., Lee, Y., & Hsieh, J.-F. (2023). Cross-Linking of White Proteins in Soft-Shell Turtle Eggs Using Transglutaminase, Reductant, and Thermal Pretreatment. Processes, 11(7), 1941. https://doi.org/10.3390/pr11071941

