Advanced Ultrasound Techniques for Neuroimaging in Pediatric Critical Care: A Review
Abstract
1. Introduction
2. Contrast-Enhanced Ultrasound
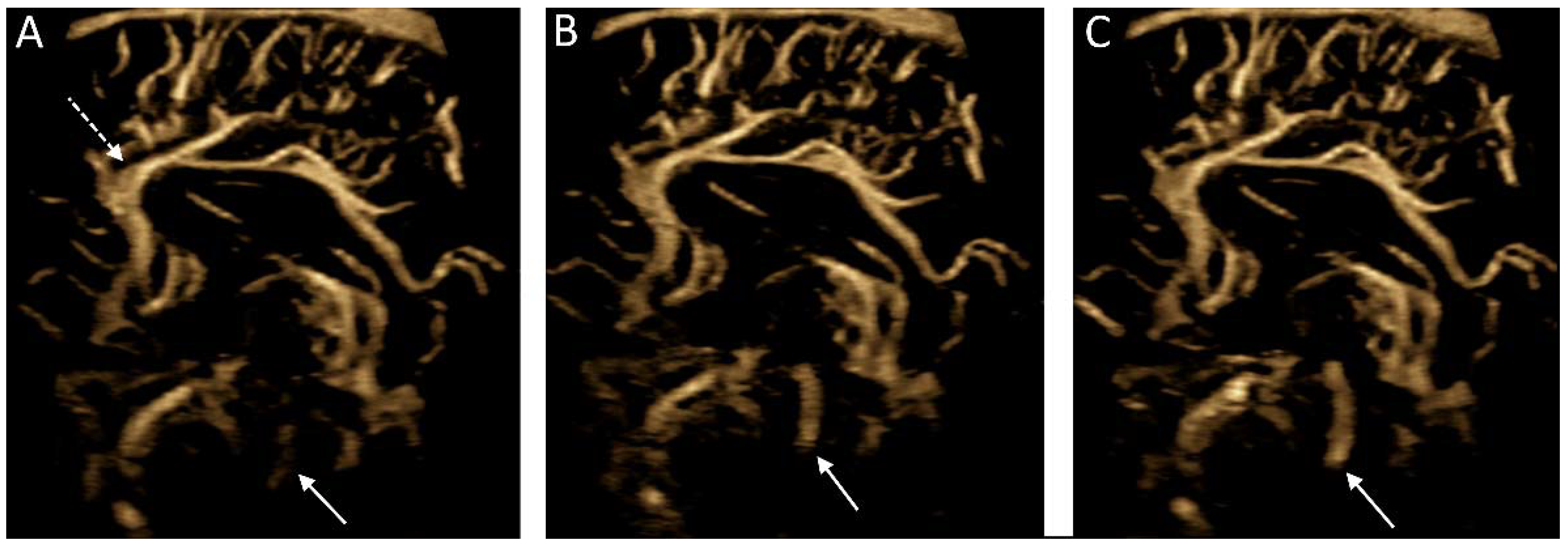
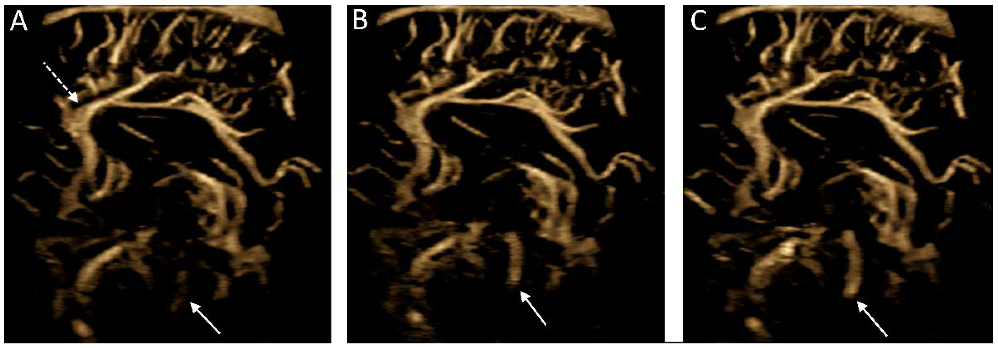
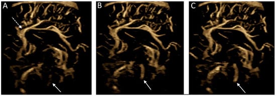
3. Microvascular Imaging
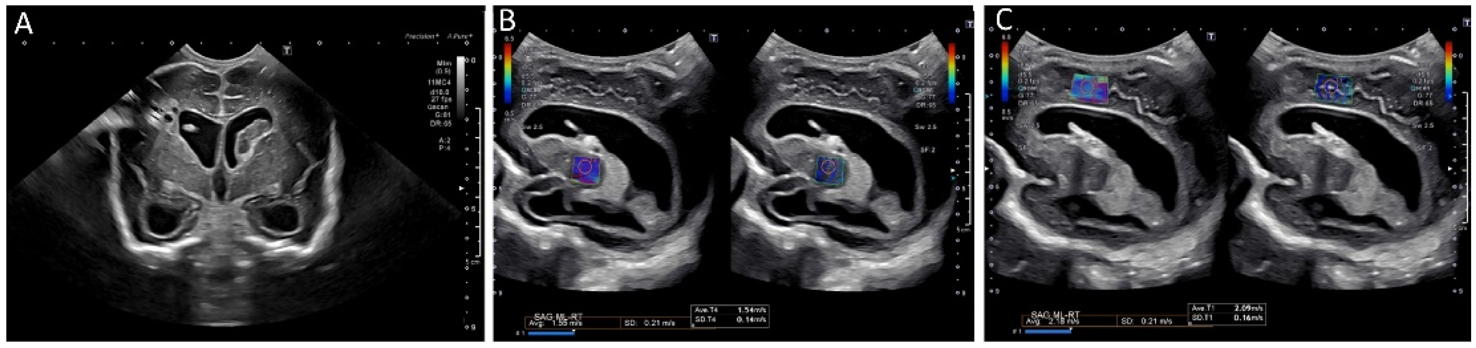
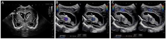
4. Elastography
5. Conclusions
Author Contributions
Funding
Institutional Review Board Statement
Informed Consent Statement
Conflicts of Interest
References
- Vinke, E.J.; Kortenbout, A.J.; Eyding, J.; Slump, C.H.; van der Hoeven, J.G.; de Korte, C.L.; Hoedemaekers, C.W. Potential of Contrast-Enhanced Ultrasound as a Bedside Monitoring Technique in Cerebral Perfusion: A Systematic Review. Ultrasound Med. Biol. 2017, 43, 2751–2757. [Google Scholar] [CrossRef]
- Hwang, M.; Barnewolt, C.E.; Jüngert, J.; Prada, F.; Sridharan, A.; Didier, R.A. Contrast-Enhanced Ultrasound of the Pediatric Brain. Pediatric Radiol. 2021, 51, 2270–2283. [Google Scholar] [CrossRef]
- Hwang, M.; Sridharan, A.; Darge, K.; Riggs, B.; Sehgal, C.; Flibotte, J.; Huisman, T.A.G.M. Novel Quantitative Contrast-Enhanced Ultrasound Detection of Hypoxic Ischemic Injury in Neonates and Infants: Pilot Study 1. J. Ultrasound Med. 2019, 38, 2025–2038. [Google Scholar] [CrossRef]
- Sridharan, A.; Riggs, B.; Darge, K.; Huisman, T.; Hwang, M. The Wash-Out of Contrast-Enhanced Ultrasound for Evaluation of Hypoxic Ischemic Injury in Neonates and Infants: Preliminary Findings. Ultrasound Q. 2021, 1–7. [Google Scholar] [CrossRef]
- Hwang, M.; Riggs, B.J.; Saade-Lemus, S.; Huisman, T.A. Bedside Contrast-Enhanced Ultrasound Diagnosing Cessation of Cerebral Circulation in a Neonate: A Novel Bedside Diagnostic Tool. Neuroradiol. J. 2018, 31, 578–580. [Google Scholar] [CrossRef]
- Eisenbrey, J.R.; Daecher, A.; Kramer, M.R.; Forsberg, F. Effects of Needle and Catheter Size on Commercially Available Ultrasound Contrast Agents. J. Ultrasound Med. 2015, 34, 1961–1968. [Google Scholar] [CrossRef]
- Piskunowicz, M.; Sridharan, A.; Poznick, L.; Mse, E.S.; Hwang, M. Optimization of Mechanical Indices for Clinical Contrast-Enhanced Ultrasound. J. Ultrasound Med. 2021, 40, 1963–1970. [Google Scholar] [CrossRef]
- Hwang, M.; Back, S.J.; Didier, R.A.; Lorenz, N.; Morgan, T.A.; Poznick, L.; Steffgen, L.; Sridharan, A. Pediatric Contrast-Enhanced Ultrasound: Optimization of Techniques and Dosing. Pediatric Radiol. 2020, 51, 2147–2160. [Google Scholar] [CrossRef]
- Darge, K.; Papadopoulou, F.; Ntoulia, A.; Bulas, D.I.; Coley, B.; Fordham, L.; Paltiel, H.J.; McCarville, M.B.; Volberg, F.M.; Cosgrove, D.O.; et al. Safety of Contrast-Enhanced Ultrasound in Children gor Non-Cardiac Applications: A Review by the Society for Pediatric Radiology (SPR) and the International Contrast Ultrasound Society (ICUS). Pediatric Radiol. 2013, 43, 1063–1073. [Google Scholar] [CrossRef]
- Riccabona, M. Application of a Second-Generation US Contrast Agent in Infants and Children—A European Questionnaire-Based Survey. Pediatric Radiol. 2012, 42, 1471–1480. [Google Scholar] [CrossRef]
- Tang, C.; Fang, K.; Guo, Y.; Li, R.; Fan, X.; Chen, P.; Chen, Z.; Liu, Q.; Zou, Y. Safety of Sulfur Hexafluoride Microbubbles in Sonography of Abdominal and Superficial Organs: Retrospective Analysis of 30,222 Cases. J. Ultrasound Med. 2017, 36, 531–538. [Google Scholar] [CrossRef]
- Ntoulia, A.; Anupindi, S.A.; Back, S.J.; Didier, R.A.; Hwang, M.; Johnson, A.M.; McCarville, M.B.; Papadopoulou, F.; Piskunowicz, M.; Sellars, M.E.; et al. Contrast-Enhanced Ultrasound: A Comprehensive Review of Safety in Children. Pediatric Radiol. 2021, 51, 2161–2180. [Google Scholar] [CrossRef]
- Hwang, M.; Zhang, Z.; Kilbaugh, T.J.; Sridharan, A.; Katz, J. Cerebral Microcirculation Mapped by Echo Particle Tracking Velocimetry Quantifies the Intracranial Pressure and Detects Ischemia. Nat. Commun. 2022, in press. [Google Scholar]
- Hwang, M. Introduction to Contrast-Enhanced Ultrasound of the Brain in Neonates and Infants: Current Understanding and Future Potential. Pediatric Radiol. 2018, 49, 254–262. [Google Scholar] [CrossRef]
- de Lange, C.; Brabrand, K.; Emblem, K.E.; Bjornerud, A.; Løberg, E.M.; Saugstad, O.D.; Munkeby, B.H. Cerebral Perfusion in Perinatal Hypoxia and Resuscitation Assessed by Transcranial Contrast-Enhanced Ultrasound and 3 T MRI in Newborn Pigs. Investig. Radiol. 2011, 46, 686–696. [Google Scholar] [CrossRef]
- Kastler, A.; Manzoni, P.; Chapuy, S.; Cattin, F.; Billon-Grand, C.; Aubry, S.; Biondi, A.; Thiriez, G.; Kastler, B. Transfontanellar Contrast Enhanced Ultrasound In Infants: Initial Experience. J. Neuroradiol. 2014, 41, 251–258. [Google Scholar] [CrossRef]
- Hwang, M.; De Jong, R.M.; Rt, S.H.; Boss, R.; Riggs, B.; Tekes-Brady, A.; Spevak, M.; Poretti, A.; Soares, B.; Bailey, C.R.; et al. Novel Contrast-Enhanced Ultrasound Evaluation in Neonatal Hypoxic Ischemic Injury: Clinical Application and Future Directions. J. Ultrasound Med. 2017, 36, 2379–2386. [Google Scholar] [CrossRef]
- Koga, M.; Reutens, D.; Wright, P.; Phan, T.; Markus, R.; Pedreira, B.; Fitt, G.; Lim, I.; Donnan, G.A. The Existence and Evolution of Diffusion–Perfusion Mismatched Tissue in White and Gray Matter After Acute Stroke. Stroke 2005, 36, 2132–2137. [Google Scholar] [CrossRef]
- Berner, L.-P.; Cho, T.-H.; Haesebaert, J.; Bouvier, J.; Wiart, M.; Hjort, N.; Mikkelsen, I.K.; Derex, L.; Thomalla, G.; Pedraza, S.; et al. MRI Assessment of Ischemic Lesion Evolution within White and Gray Matter. Cerebrovasc. Dis. 2016, 41, 291–297. [Google Scholar] [CrossRef]
- De Vries, L.S.; Groenendaal, F. Patterns of Neonatal Hypoxic–Ischaemic Brain Injury. Neuroradiology 2010, 52, 555–566. [Google Scholar] [CrossRef]
- Miranda, M.J.; Olofsson, K.; Sidaros, K. Noninvasive Measurements of Regional Cerebral Perfusion in Preterm and Term Neonates by Magnetic Resonance Arterial Spin Labeling. Pediatric Res. 2006, 60, 359–363. [Google Scholar] [CrossRef]
- A Rosenberg, A. Cerebral Blood Flow and O2 Metabolism after Asphyxia in Neonatal Lambs. Pediatric Res. 1986, 20, 778–782. [Google Scholar] [CrossRef]
- Droste, D.W.; Boehm, T.; Ritter, M.A.; Dittrich, R.; Ringelstein, E.B. Benefit of Echocontrast-Enhanced Transcranial Arterial Color-Coded Duplex Ultrasound. Cerebrovasc. Dis. 2005, 20, 332–336. [Google Scholar] [CrossRef]
- Welschehold, S.; Geisel, F.; Beyer, C.; Reuland, A.; Kerz, T. Contrast-Enhanced Transcranial Doppler Ultrasonography in The Diagnosis of Brain Death. J. Neurol. Neurosurg. Psychiatry 2013, 84, 939–940. [Google Scholar] [CrossRef]
- Seidel, G.; Meairs, S. Ultrasound Contrast Agents in Ischemic Stroke. Cerebrovasc. Dis. 2009, 27 (Suppl. S4), 25–39. [Google Scholar] [CrossRef]
- Allendoerfer, J.; Tanislav, C. Diagnostic and Prognostic Value of Contrast-Enhanced Ultrasound in Acute Stroke. Ultraschall Der Med.-Eur. J. Ultrasound 2008, 29, 210–214. [Google Scholar] [CrossRef]
- Meairs, S. Contrast-Enhanced Ultrasound Perfusion Imaging in Acute Stroke Patients. Eur. Neurol. 2008, 59 (Suppl. S1), 17–26. [Google Scholar] [CrossRef]
- Eyding, J.; Krogias, C.; Schöllhammer, M.; Eyding, D.; Wilkening, W.; Meves, S.; Schröder, A.; Przuntek, H.; Postert, T. Contrast-Enhanced Ultrasonic Parametric Perfusion Imaging Detects Dysfunctional Tissue at Risk in Acute MCA Stroke. J. Cereb. Blood Flow Metab. 2006, 26, 576–582. [Google Scholar] [CrossRef]
- Postert, T.; Braun, B.; Meves, S.; Koöster, O.; Przuntek, H.; Weber, S.; Buüttner, T. Contrast-Enhanced Transcranial Color-Coded Sonography in Acute Hemispheric Brain Infarction. Stroke 1999, 30, 1819–1826. [Google Scholar] [CrossRef][Green Version]
- Krogias, C.; Henneböhl, C.; Geier, B.; Hansen, C.; Hummel, T.; Meves, S.; Lukas, C.; Eyding, J. Transcranial Ultrasound Perfusion Imaging and Perfusion-MRI—A Pilot Study on the Evaluation of Cerebral Perfusion in Severe Carotid Artery Stenosis. Ultrasound Med. Biol. 2010, 36, 1973–1980. [Google Scholar] [CrossRef]
- Knieling, F.; Rüffer, A.; Cesnjevar, R.; Regensburger, A.P.; Purbojo, A.; Dittrich, S.; Münch, F.; Neubert, A.; Meyer, S.; Strobel, D.; et al. Transfontanellar Contrast–Enhanced Ultrasound for Monitoring Brain Perfusion During Neonatal Heart Surgery. Circ. Cardiovasc. Imaging 2020, 13, e010073. [Google Scholar] [CrossRef]
- Hwang, M.; Sridharan, A.; Freeman, C.W.; Viaene, A.N.; Kilbaugh, T.J. Contrast-Enhanced Ultrasound of Brain Perfusion in Cardiopulmonary Resuscitation. Ultrasound Q. 2022, in press. [Google Scholar]
- Freeman, C.W.; Unnikrishnan, S.; Sridharan, A.; Aronowitz, D.; Melchior, R.W.; Slovis, J.C.; Kilbaugh, T.J.; Hwang, M. Contrast-Enhanced Ultrasound in A Porcine Model of Pediatric Extracorporeal Membrane Oxygenation. In Proceedings of the Pendergrass Symposium, Philadelphia, PA, USA, 11 June 2021. [Google Scholar]
- Shin, S.S.; Sridharan, A.; Khaw, K.; Hallowell, T.; Morgan, R.W.; Kilbaugh, T.J.; Hwang, M. Intracranial Pressure and Cerebral Hemodynamic Monitoring after Cardiac Arrest in Pediatric Pigs using Contrast Ultrasound-Derived Parameters. J. Ultrasound Med. 2021, 1–8. [Google Scholar] [CrossRef]
- Gumus, M.; Oommen, K.C.; Squires, J.H. Contrast-Enhanced Ultrasound of the Neonatal Brain. Pediatric Radiol. 2021, 1–10. [Google Scholar] [CrossRef]
- Park, A.Y.; Seo, B.K. Up-To-Date Doppler Techniques for Breast Tumor Vascularity: Superb Microvascular Imaging and Contrast-Enhanced Ultrasound. Ultrasonography 2018, 37, 98–106. [Google Scholar] [CrossRef]
- Arger, P.H.; Malkowicz, S.B.; VanArsdalen, K.N.; Sehgal, C.M.; Holzer, A.; Schultz, S.M. Color and Power Doppler Sonography in the Diagnosis Of Prostate Cancer: Comparison between Vascular Density and Total Vascularity. J. Ultrasound Med. 2004, 23, 623–630. [Google Scholar] [CrossRef]
- Sehgal, C.M.; Arger, P.H.; Holzer, A.C.; E Krisch, R. Correlation between Doppler Vascular Density and PSA Response to Radiation Therapy in Patients with Localized Prostate Carcinoma. Acad. Radiol. 2003, 10, 366–372. [Google Scholar] [CrossRef]
- Sultan, L.; Xiong, H.; Zafar, H.M.; Schultz, S.M.; Langer, J.E.; Sehgal, C.M. Vascularity Assessment of Thyroid Nodules by Quantitative Color Doppler Ultrasound. Ultrasound Med. Biol. 2015, 41, 1287–1293. [Google Scholar] [CrossRef]
- Hwang, M.; Hariri, G.; Lyshchik, A.; Hallahan, D.E.; Fleischer, A.C. Correlation of Quantified Contrast-Enhanced Sonography With In Vivo Tumor Response. J. Ultrasound Med. 2010, 29, 597–607. [Google Scholar] [CrossRef]
- Kloth, C.; Eissler, A.; Schmidberger, J.; Gräter, T.; Scheuerle, A.; Kratzer, W.; Pedro, M.T. Quantitative Analysis of Superb Microvascular Imaging versus Color-Coded Doppler Sonography for Preoperative Evaluation of Vascularization of Schwannomas. J. Neurol. Surg. Part A Central Eur. Neurosurg. 2020, 81, 213–219. [Google Scholar] [CrossRef]
- Goeral, K.; Hojreh, A.; Kasprian, G.; Klebermass-Schrehof, K.; Weber, M.; Mitter, C.; Berger, A.; Prayer, D.; Brugger, P.C.; Vergesslich-Rothschild, K.; et al. Microvessel Ultrasound of Neonatal Brain Parenchyma: Feasibility, Reproducibility, and Normal Imaging Features by Superb Microvascular Imaging (SMI). Eur. Radiol. 2019, 29, 2127–2136. [Google Scholar] [CrossRef]
- Barletta, A.; Balbi, M.; Surace, A.; Caroli, A.; Radaelli, S.; Musto, F.; Saruggia, M.; Mangili, G.; Gerevini, S.; Sironi, S. Cerebral Superb Microvascular Imaging in Preterm Neonates: In Vivo Evaluation of Thalamic, Striatal, and Extrastriatal Angioarchitecture. Neuroradiology 2021, 63, 1103–1112. [Google Scholar] [CrossRef]
- Seidel, G.; Roessler, F.; Al-Khaled, M. Microvascular Imaging in Acute Ischemic Stroke. J. Neuroimaging 2013, 23, 166–169. [Google Scholar] [CrossRef]
- Naritaka, H.; Ishikawa, M.; Terao, S.; Kojima, A.; Kagami, H.; Inaba, M.; Kato, S. Ultrasonographic Superb Microvascular Imaging for Emergency Surgery of Intracerebral Hemorrhage. J. Clin. Neurosci. 2020, 75, 206–209. [Google Scholar] [CrossRef]
- Ishikawa, M.; Masamoto, K.; Hachiya, R.; Kagami, H.; Inaba, M.; Naritaka, H.; Katoh, S. Neurosurgical Intraoperative Ultrasonography using Contrast Enhanced Superb Microvascular Imaging-Vessel Density and Appearance Time of the Contrast Agent. Br. J. Neurosurg. 2020, 10, 1–10. [Google Scholar] [CrossRef]
- Hwang, M.; Tierradentro-García, L.O.; Kozak, B.L.; Darge, K. Cerebrospinal Fluid Flow Detection in Post-hemorrhagic Hydrocephalus with Novel Microvascular Imaging Modality. J. Ultrasound Med. 2021, 1–5. [Google Scholar] [CrossRef]
- Bailey, C.; Huisman, T.A.; De Jong, R.M.; Hwang, M. Contrast-Enhanced Ultrasound and Elastography Imaging of the Neonatal Brain: A Review. J. Neuroimaging 2017, 27, 437–441. [Google Scholar] [CrossRef]
- Ozturk, A.; Grajo, J.R.; Dhyani, M.; Anthony, B.W.; Samir, A.E. Principles of Ultrasound Elastography. Abdom. Radiol. 2018, 43, 773–785. [Google Scholar] [CrossRef]
- Kim, H.G.; Park, M.S.; Lee, J.-D.; Park, S.Y. Ultrasound Elastography of the Neonatal Brain: Preliminary Study. J. Ultrasound Med. 2017, 36, 1313–1319. [Google Scholar] [CrossRef]
- Iñigo, E.G.; Salvador, R.L.; Escrig, R.; Hervás, D.; Vento, M.; Martí-Bonmatí, L. Quantitative Evaluation of Neonatal Brain Elasticity Using Shear Wave Elastography. J. Ultrasound Med. 2021, 40, 795–804. [Google Scholar] [CrossRef]
- El-Ali, A.M.; Subramanian, S.; Krofchik, L.M.; Kephart, M.C.; Squires, J.H. Feasibility and Reproducibility of Shear Wave Elastography in Pediatric Cranial Ultrasound. Pediatric Radiol. 2020, 50, 990–996. [Google Scholar] [CrossRef]
- Tzschätzsch, H.; Kreft, B.; Braun, J.; Sack, I. Transtemporal Investigation of Brain Parenchyma Elasticity Using 2-D Shear Wave Elastography: Trustworthy? Ultrasound Med. Biol. 2019, 45, 1344–1345. [Google Scholar] [CrossRef]
- Tzschätzsch, H.; Kreft, B.; Schrank, F.; Bergs, J.; Braun, J.; Sack, I. In Vivo Time-Harmonic Ultrasound Elastography of the Human Brain Detects Acute Cerebral Stiffness Changes Induced by Intracranial Pressure Variations. Sci. Rep. 2018, 8, 17888. [Google Scholar] [CrossRef]
- Palmeri, M.L.; Nightingale, K.R. On the Thermal Effects Associated with Radiation Force Imaging of Soft Tissue. IEEE Trans. Ultrason. Ferroelectr. Freq. Control. 2004, 51, 551–565. [Google Scholar] [CrossRef]
- Lalzad, A.; Wong, F.; Schneider, M. Neonatal Cranial Ultrasound: Are Current Safety Guidelines Appropriate? Ultrasound Med. Biol. 2017, 43, 553–560. [Google Scholar] [CrossRef]
- Li, C.; Zhang, C.; Li, J.; Cao, X.; Song, D. An Experimental Study of the Potential Biological Effects Associated with 2-D Shear Wave Elastography on the Neonatal Brain. Ultrasound Med. Biol. 2016, 42, 1551–1559. [Google Scholar] [CrossRef]
- Decampo, D.; Hwang, M. Characterizing the Neonatal Brain with Ultrasound Elastography. Pediatric Neurol. 2018, 86, 19–26. [Google Scholar] [CrossRef]
- Gennisson, J.-L.; Deffieux, T.; Macé, E.; Montaldo, G.; Fink, M.; Tanter, M. Viscoelastic and Anisotropic Mechanical Properties of in vivo Muscle Tissue Assessed by Supersonic Shear Imaging. Ultrasound Med. Biol. 2010, 36, 789–801. [Google Scholar] [CrossRef]
- Ertl, M.; Woeckel, M.; Maurer, C. Differentiation between Ischemic and Hemorrhagic Strokes—A Pilot Study with Transtemporal Investigation of Brain Parenchyma Elasticity Using Ultrasound Shear Wave Elastography. Ultraschall Der Med.-Eur. J. Ultrasound 2021, 42, 75–83. [Google Scholar] [CrossRef]
- Xu, Z.S.; Yao, A.; Chu, S.S.; Paun, M.K.; McClintic, A.M.; Murphy, S.P.; Mourad, P.D. Detection of Mild Traumatic Brain Injury in Rodent Models using Shear Wave Elastography: Preliminary studies. J. Ultrasound Med. 2014, 33, 1763–1771. [Google Scholar] [CrossRef]
- Martin, A.; Macé, E.; Boisgard, R.; Montaldo, G.; Thézé, B.; Tanter, M.; Tavitian, B. Imaging of Perfusion, Angiogenesis, and Tissue Elasticity after Stroke. J. Cereb. Blood Flow Metab. 2012, 32, 1496–1507. [Google Scholar] [CrossRef] [PubMed]
- Xu, Z.S.; Lee, R.J.; Chu, S.S.; Yao, A.; Paun, M.K.; Murphy, S.P.; Mourad, P.D. Evidence of Changes in Brain Tissue Stiffness after Ischemic Stroke Derived from Ultrasound-Based Elastography. J. Ultrasound Med. 2013, 32, 485–494. [Google Scholar] [CrossRef] [PubMed]
- Wang, S.-D.; Liang, S.-Y.; Liao, X.-H.; Deng, X.-F.; Chen, Y.-Y.; Liao, C.-Y.; Wang, L.; Tang, S.; Li, Z.-X. Different Extent of Hypoxic-Ischemic Brain Damage in Newborn Rats: Histopathology, Hemodynamic, Virtual Touch Tissue Quantification and Neurobehavioral Observation. Int. J. Clin. Exp. Pathol. 2015, 8, 12177–12187. [Google Scholar] [PubMed]
- Dirrichs, T.; Meiser, N.; Panek, A.; Trepels-Kottek, S.; Orlikowsky, T.; Kuhl, C.K.; Schrading, S. Transcranial Shear Wave Elastography of Neonatal and Infant Brains for Quantitative Evaluation of Increased Intracranial Pressure. Investig. Radiol. 2019, 54, 719–727. [Google Scholar] [CrossRef] [PubMed]
- Chan, H.W.; Uff, C.; Chakraborty, A.; Dorward, N.; Bamber, J.C. Clinical Application of Shear Wave Elastography for Assisting Brain Tumor Resection. Front. Oncol. 2021, 11, 112. [Google Scholar] [CrossRef] [PubMed]
- Chauvet, D.; Imbault, M.; Capelle, L.; Demene, C.; Mossad, M.; Karachi, C.; Boch, A.-L.; Gennisson, J.-L.; Tanter, M. In Vivo Measurement of Brain Tumor Elasticity Using Intraoperative Shear Wave Elastography. Ultraschall Der Med.-Eur. J. Ultrasound 2015, 37, 584–590. [Google Scholar] [CrossRef]
- Chan, H.W.; Pressler, R.; Uff, C.; Gunny, R.; Piers, K.S.; Cross, H.; Bamber, J.; Dorward, N.; Harkness, W.; Chakraborty, A. A Novel Technique of Detecting MRI-Negative Lesion in Focal Symptomatic Epilepsy: Intraoperative Shear Wave Elastography. Epilepsia 2014, 55, e30–e33. [Google Scholar] [CrossRef]








Publisher’s Note: MDPI stays neutral with regard to jurisdictional claims in published maps and institutional affiliations. |
© 2022 by the authors. Licensee MDPI, Basel, Switzerland. This article is an open access article distributed under the terms and conditions of the Creative Commons Attribution (CC BY) license (https://creativecommons.org/licenses/by/4.0/).
Share and Cite
Freeman, C.W.; Hwang, M. Advanced Ultrasound Techniques for Neuroimaging in Pediatric Critical Care: A Review. Children 2022, 9, 170. https://doi.org/10.3390/children9020170
Freeman CW, Hwang M. Advanced Ultrasound Techniques for Neuroimaging in Pediatric Critical Care: A Review. Children. 2022; 9(2):170. https://doi.org/10.3390/children9020170
Chicago/Turabian StyleFreeman, Colbey W., and Misun Hwang. 2022. "Advanced Ultrasound Techniques for Neuroimaging in Pediatric Critical Care: A Review" Children 9, no. 2: 170. https://doi.org/10.3390/children9020170
APA StyleFreeman, C. W., & Hwang, M. (2022). Advanced Ultrasound Techniques for Neuroimaging in Pediatric Critical Care: A Review. Children, 9(2), 170. https://doi.org/10.3390/children9020170

