Acute Glomerulonephritis Following Systemic Scabies in Two Brothers
Abstract
1. Introduction
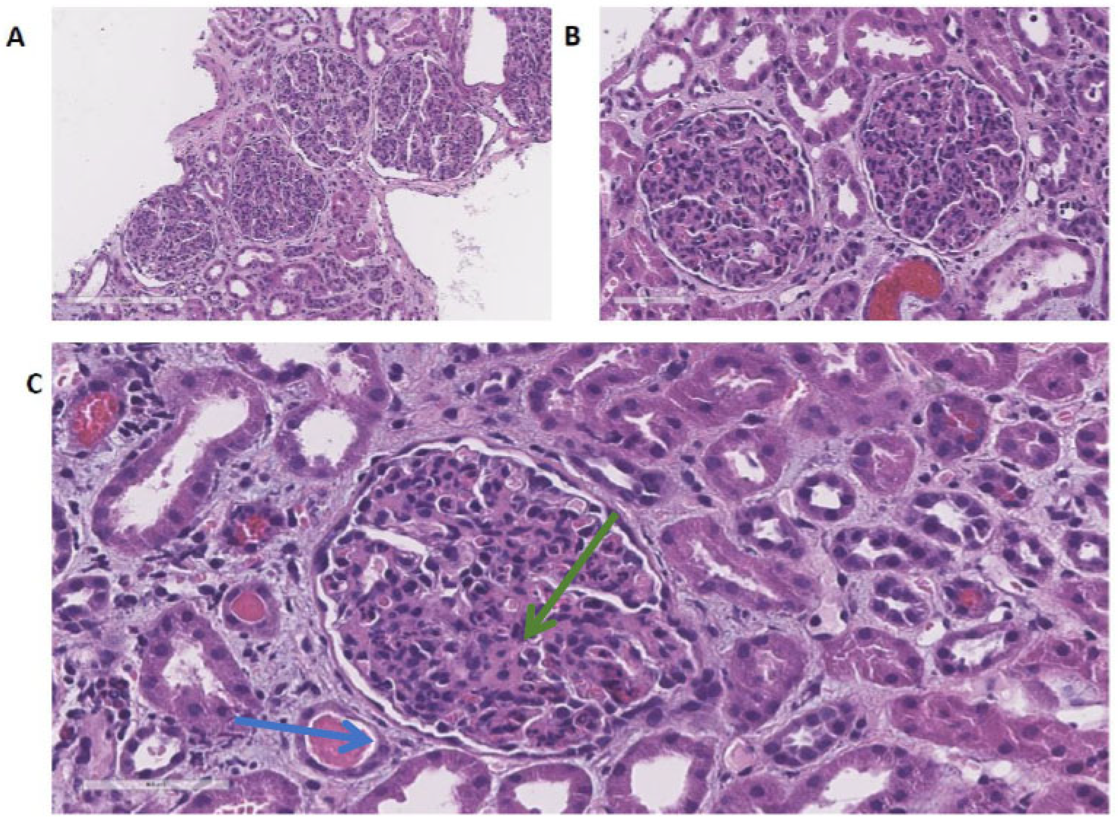
2. Patient Information
3. Follow-Up and Outcomes
4. Discussion
Author Contributions
Funding
Institutional Review Board Statement
Informed Consent Statement
Data Availability Statement
Conflicts of Interest
References
- Dieng, M.T.; Ndiaye, B.; Ndiaye, A.M. Scabies complicated by acute glomerulonephritis in children: 114 cases observed in two years in a pediatric service in Dakar. Dakar Med. 1998, 43, 201–204. [Google Scholar] [PubMed]
- Gear, R.J.; Carter, J.C.; Carapetis, J.R.; Baird, R.; Davis, J.S. Changes in the clinical and epidemiological features of group A streptococcal bacteraemia in Australia’s Northern Territory. Trop. Med. Int. Health 2015, 20, 40–47. [Google Scholar] [CrossRef] [PubMed]
- Rosumeck, S.; Nast, A.; Dressler, C. Ivermectin and permethrin for treating scabies. Cochrane Database Syst. Rev. 2018, 4, CD012994. [Google Scholar] [CrossRef] [PubMed] [PubMed Central]
- Bernigaud, C.; Samarawickrama, G.R.; Jones, M.K.; Gasser, R.B.; Fischer, K. The Challenge of Developing a Single-Dose Treatment for Scabies. Trends Parasitol. 2019, 35, 931–943. [Google Scholar] [CrossRef] [PubMed]
- Lake, S.J.; Phelan, S.L.; Engelman, D.; Sokana, O.; Nasi, T.; Boara, D.; Gorae, C.; Schuster, T.; Grobler, A.C.; Osti, M.H.; et al. Protocol for a cluster-randomised non-inferiority trial of one versus two doses of ivermectin for the control of scabies using a mass drug administration strategy (the RISE study). BMJ Open 2020, 10, e037305. [Google Scholar] [CrossRef] [PubMed] [PubMed Central]
- Hardy, M.; Samuela, J.; Kama, M.; Tuicakau, M.; Romani, L.; Whitfeld, M.J.; King, C.L.; Weil, G.J.; Grobler, A.C.; Robinson, L.J.; et al. The safety of combined triple drug therapy with ivermectin, diethylcarbamazine and albendazole in the neglected tropical diseases co-endemic setting of Fiji: A cluster randomised trial. PLoS Negl. Trop. Dis. 2020, 14, e0008106. [Google Scholar] [CrossRef] [PubMed] [PubMed Central]
- Bernigaud, C.; Fang, F.; Fischer, K.; Lespine, A.; Aho, L.S.; Mullins, A.J.; Tecle, B.; Kelly, A.; Sutra, J.F.; Moreau, F.; et al. Efficacy and Pharmacokinetics Evaluation of a Single Oral Dose of Afoxolaner against Sarcoptes scabiei in the Porcine Scabies Model for Human Infestation. Antimicrob. Agents Chemother. 2018, 62, e02334-17. [Google Scholar] [CrossRef] [PubMed] [PubMed Central]
- Mounsey, K.E.; Bernigaud, C.; Chosidow, O.; McCarthy, J.S. Prospects for Moxidectin as a New Oral Treatment for Human Scabies. PLoS Negl. Trop. Dis. 2016, 10, e0004389. [Google Scholar] [CrossRef] [PubMed] [PubMed Central]
- Swe, P.M.; Christian, L.D.; Lu, H.C.; Sriprakash, K.S.; Fischer, K. Complement inhibition by Sarcoptes scabiei protects Streptococcus pyogenes—An in vitro study to unravel the molecular mechanisms behind the poorly understood predilection of S. pyogenes to infect mite-induced skin lesions. PLoS Negl. Trop. Dis. 2017, 11, e0005437. [Google Scholar] [CrossRef]
- Mika, A.; Reynolds, S.L.; Pickering, D.; McMillan, D.; Sriprakash, K.S.; Kemp, D.J.; Fischer, K. Complement inhibitors from scabies mites promote streptococcal growth—A novel mechanism in infected epidermis? PLoS Negl. Trop. Dis. 2012, 6, e1563. [Google Scholar] [CrossRef]
- Bergstrom, F.C.; Reynolds, S.; Johnstone, M.; Pike, R.N.; Buckle, A.M.; Kemp, D.J.; Fischer, K.; Blom, A.M. Scabies mite inactivated serine protease paralogs inhibit the human complement system. J. Immunol. 2009, 182, 7809–7817. [Google Scholar] [CrossRef] [PubMed]
- Swe, P.M.; Fischer, K. A scabies mite serpin interferes with complement-mediated neutrophil functions and promotes staphylococcal growth. PLoS Negl. Trop. Dis. 2014, 8, e2928. [Google Scholar] [CrossRef] [PubMed]
- Nissenson, A.R.; Baraff, L.J.; Fine, R.N.; Knutson, D.W. Poststreptococcal acute glomerulonephritis: Fact and controversy. Ann. Intern. Med. 1979, 91, 76–86. [Google Scholar] [CrossRef] [PubMed]
- Filleron, A.; Jeziorski, E.; Michon, A.L.; Rodière, M.; Marchandin, H. Current insights in invasive group A streptococcal infections in pediatrics. Eur. J. Pediatr. 2012, 171, 1589–1598. [Google Scholar] [CrossRef] [PubMed]
- Kearns, T.; Evans, C.; Krause, V. Outbreak of acute post streptococcal glomerulonephritis in the Northern Territory—2000. North. Territ. Dis. Control Bull. 2001, 8, 6–14. [Google Scholar]
- Heukelbach, J.; Walton, S.F.; Feldmeier, H. Ectoparasitic infestations. Curr. Infect. Dis. Rep. 2005, 7, 373–380. [Google Scholar] [CrossRef] [PubMed]
- Chaturvedi, S.; Boyd, R.; Krause, V. Acute Post-Streptococcal Glomerulonephritis in the Northern Territory of Australia: A Review of Data from 2009 to 2016 and Comparison with the Literature. Am. J. Trop. Med. Hyg. 2018, 99, 1643–1648. [Google Scholar] [CrossRef] [PubMed] [PubMed Central]
- Dhana, A.; Yen, H.; Okhovat, J.P.; Cho, E.; Keum, N.; Khumalo, N.P. Ivermectin versus permethrin in the treatment of scabies: A systematic review and meta-analysis of randomized controlled trials. J. Am. Acad. Dermatol. 2018, 78, 194–198. [Google Scholar] [CrossRef] [PubMed]
- Salman, M.; Abbas, R.Z.; Mehmood, K.; Hussain, R.; Shah, S.; Faheem, M.; Zaheer, T.; Abbas, A.; Morales, B.; Aneva, I.; et al. Assessment of Avermectins-Induced Toxicity in Animals. Pharmaceuticals 2022, 15, 332. [Google Scholar] [CrossRef] [PubMed] [PubMed Central]
- El Maghraby, M.M.; El Maghraby, N.M.; Salama, A.A.; Abdlmonem, A.S.; Authman, E.A.; Abdelmohsen, E.A.; ElTras, M.A.-E.; Barseem, O.N.; Awad, S.R.; Matter, A.A.; et al. Protective effects of vitamin E and grape seed oil against acute hepatorenal ivermectin toxicity in mice: Biochemical and histopathological studies. GSC Biol. Pharm. Sci. 2019, 7, 87–94. [Google Scholar] [CrossRef]
- Richards, R.N. Scabies: Diagnostic and Therapeutic Update. J. Cutan. Med. Surg. 2021, 25, 95–101. [Google Scholar] [CrossRef] [PubMed]
- White, A.V.; Hoy, W.E.; McCredie, D.A. Childhood post-streptococcal glomerulonephritis as a risk factor for chronic renal disease in laterlife. Med. J. Aust. 2001, 174, 492–496. [Google Scholar] [CrossRef] [PubMed]
- Sorger, K.; Gessler, U.; Hübner, F.K.; Köhler, H.; Schulz, W.; Stühlinger, W.; Thoenes, G.H.; Thoenes, W. Subtypes of acute postinfectious glomerulonephritis. Synopsis of clinical and pathological features. Clin. Nephrol. 1982, 17, 114–128. [Google Scholar] [PubMed]
- Wu, M.H.; Li, C.Y.; Pan, H.; Lin, Y.C. The Relationship between Scabies and Stroke: A Population-Based Nationwide Study. Int. J. Environ. Res. Public Health 2019, 16, 3491. [Google Scholar] [CrossRef] [PubMed] [PubMed Central]
- Hay, R.J.; Steer, A.C.; Engelman, D.; Walton, S. Scabies in the developing world—Its prevalence, complications, and management. Clin. Microbiol. Infect. 2012, 18, 313–323. [Google Scholar] [CrossRef] [PubMed]
- Hobson, E.V.; Craven, I.; Blank, S.C. Posterior reversible encephalopathy syndrome: A truly treatable neurologic illness. Perit. Dial. Int. 2012, 32, 590–594. [Google Scholar] [CrossRef] [PubMed]
- Garner, O.; Ramirez, A.; Iardino, A. A case of posterior reversible encephalopathy syndrome associated with sepsis. BMJ Case Rep. 2018, 2018, bcr-2018. [Google Scholar] [CrossRef] [PubMed]
- Fugate, J.E.; Claassen, D.O.; Cloft, H.J.; Kallmes, D.F.; Kozak, O.S.; Rabinstein, A.A. Posterior reversible encephalopathy syndrome: Associated clinical and radiologic findings. Mayo Clin. Proc. 2010, 85, 427–432. [Google Scholar] [CrossRef] [PubMed]
- Fischer, M.; Schmutzhard, E. Posterior reversible encephalopathy syndrome. J. Neurol. 2017, 264, 1608–1616. [Google Scholar] [CrossRef]
- Faille, L.D.; Fieuws, S.; Van Paesschen, W. Clinical predictors and differential diagnosis of posterior reversible encephalopathy syndrome. Acta Neurol. Belg. 2017, 117, 469–475. [Google Scholar] [CrossRef]
- Chowdhary, M.; Kabbani, A.A.; Tobey, D.; Hope, T.D. Posterior reversible encephalopathy syndrome in a woman with focal segmental glomerulosclerosis. Neuropsychiatr. Dis. Treat. 2015, 11, 1111–1114. [Google Scholar] [CrossRef]
- Strother, R.; Wong, H.; Miller, N.E. Posterior Reversible Encephalopathy Syndrome Secondary to Hypertensive Encephalopathy Brought on by a MAO Inhibitor: A Case Report. J. Prim. Care Community Health 2019, 10, 2150132719869539. [Google Scholar] [CrossRef]
- Spencer, D. PRES-ing for Answers About Long-Term Seizure Risk in Patients with Posterior Reversible Encephalopathy Syndrome. Epilepsy Curr. 2015, 15, 317–318. [Google Scholar] [CrossRef]






| Brother A. | Brother M. | Reference | |||
|---|---|---|---|---|---|
| 1 Day of Admission | 4 Weeks Follow-Up | 1 Day of Admission | 4 Weeks Follow-Up | ||
| ASLO | 387 | 279 | 438 | 411 | 0–200 U/L |
| C3 | <0.15 | 1.10 | <0.15 | 1.11 | 0.9–1.8 g/L |
| C4 | 0.22 | 0.39 | 0.03 | 0.4 | 0.1–0.4 g/L |
| Creatinine | 59 | 41 | 65 | 42 | 46–70 µmol/L |
| eGFR | 82 | 118 | 72.55 | 120 | >90 mL/min |
| Hematuria | +++ | negative | +++ | +++ | No traces |
| Urinary sodium | 164 | - | 110 | - | 30–300 mmol/L |
| Proteinuria | 752 | 128 | 1182 | 290 | <150 mg |
| Urea | 7.2 | 4.04 | 21.19 | 4.16 | 1.4–8.3 mmol/L |
Disclaimer/Publisher’s Note: The statements, opinions and data contained in all publications are solely those of the individual author(s) and contributor(s) and not of MDPI and/or the editor(s). MDPI and/or the editor(s) disclaim responsibility for any injury to people or property resulting from any ideas, methods, instructions or products referred to in the content. |
© 2024 by the authors. Licensee MDPI, Basel, Switzerland. This article is an open access article distributed under the terms and conditions of the Creative Commons Attribution (CC BY) license (https://creativecommons.org/licenses/by/4.0/).
Share and Cite
Chisavu, F.; Gafencu, M.; Steflea, R.M.; Vaduva, A.; Izvernariu, F.; Stroescu, R.F. Acute Glomerulonephritis Following Systemic Scabies in Two Brothers. Children 2024, 11, 981. https://doi.org/10.3390/children11080981
Chisavu F, Gafencu M, Steflea RM, Vaduva A, Izvernariu F, Stroescu RF. Acute Glomerulonephritis Following Systemic Scabies in Two Brothers. Children. 2024; 11(8):981. https://doi.org/10.3390/children11080981
Chicago/Turabian StyleChisavu, Flavia, Mihai Gafencu, Ruxandra Maria Steflea, Adrian Vaduva, Floriana Izvernariu, and Ramona Florina Stroescu. 2024. "Acute Glomerulonephritis Following Systemic Scabies in Two Brothers" Children 11, no. 8: 981. https://doi.org/10.3390/children11080981
APA StyleChisavu, F., Gafencu, M., Steflea, R. M., Vaduva, A., Izvernariu, F., & Stroescu, R. F. (2024). Acute Glomerulonephritis Following Systemic Scabies in Two Brothers. Children, 11(8), 981. https://doi.org/10.3390/children11080981

