The First Case of Schaumann Bodies in Pediatric Very Early Onset Crohn’s Disease: Case Report and Literature Review
Abstract
1. Introduction
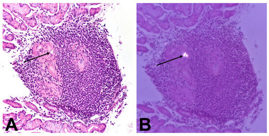
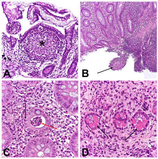
2. Case Report
3. Discussion
4. Conclusions
Author Contributions
Funding
Institutional Review Board Statement
Informed Consent Statement
Data Availability Statement
Acknowledgments
Conflicts of Interest
References
- Pasternak, G.; Chrzanowski, G.; Aebisher, D.; Myśliwiec, A.; Dynarowicz, K.; Bartusik-Aebisher, D.; Sosna, B.; Cieślar, G.; Kawczyk-Krupka, A.; Filip, R. Crohn’s Disease: Basic Characteristics of the Disease, Diagnostic Methods, the Role of Biomarkers, and Analysis of Metalloproteinases: A Review. Life 2023, 13, 2062. [Google Scholar] [CrossRef] [PubMed]
- Wang, R.; Li, Z.; Liu, S.; Zhang, D. Global, regional and national burden of inflammatory bowel disease in 204 countries and territories from 1990 to 2019: A systematic analysis based on the Global Burden of Disease Study 2019. BMJ Open 2023, 13, e065186. [Google Scholar] [CrossRef]
- Gajendran, M.; Loganathan, P.; Catinella, A.P.; Hashash, J.G. A comprehensive review and update on Crohn’s disease. Dis. Mon. 2018, 64, 20–57. [Google Scholar] [CrossRef] [PubMed]
- Liu, Q.; Zhang, X.; Ko, H.M.; Stocker, D.; Ellman, J.; Chen, J.; Hao, Y.; Bhardwaj, S.; Liang, Y.; Cho, J.; et al. Constrictive and Hypertrophic Strictures in Ileal Crohn’s Disease. Clin. Gastroenterol. Hepatol. 2022, 20, e1292–e1304. [Google Scholar] [CrossRef]
- Lawrence, L.S.; Heider, A.; Singer, A.A.M.; Neef, H.C.; Adler, J. Granulomas in Diagnostic Biopsies Associated with High Risk of Crohn’s Complications-But May Be Preventable. Inflamm. Bowel Dis. 2022, 28, 523–530. [Google Scholar] [CrossRef] [PubMed]
- Williams, W.J. The nature and origin of Schaumann bodies. J. Pathol. Bacteriol. 1960, 79, 193–201. [Google Scholar] [CrossRef]
- Williams, W.J. Histology of crohn’s syndrome. Gut 1964, 5, 510–516. [Google Scholar] [CrossRef] [PubMed]
- Rubio, C.A.; Orrego, A.; Nesi, G.; Finkel, Y. Frequency of epithelioid granulomas in colonoscopic biopsy specimens from paediatric and adult patients with Crohn’s colitis. J. Clin. Pathol. 2007, 60, 1268–1272. [Google Scholar] [CrossRef] [PubMed]
- De Matos, V.; Russo, P.A.; Cohen, A.B.; Mamula, P.; Baldassano, R.N.; Piccoli, D.A. Frequency and clinical correlations of granulomas in children with Crohn disease. J. Pediatr. Gastroenterol. Nutr. 2008, 46, 392–398. [Google Scholar] [CrossRef] [PubMed]
- Liu, X.; Huang, Y.; Liu, N.; Duan, X.; Jiang, J.; Chen, M.; Ren, M.; Qiu, Y.; Ye, Z. Schaumann bodies deposited along myenteric plexus of the muscularis propria is a unique histopathological feature of Crohn’s disease. J. Clin. Pathol. 2023, 20, jcp-2023-209271. [Google Scholar] [CrossRef]
- Lorenzi, L.; Bisoffi, Z.; Bortesi, L.; Zamboni, G.; Liut, F.; Villanacci, V. Schaumann bodies in Crohn’s disease: A case report and review of the literature. J. Crohns Colitis. 2012, 6, 800–803. [Google Scholar] [CrossRef] [PubMed]
- Teilum, G. The nature of the double-contoured and stratified intracellular bodies in sarcoidosis (Boeck-Schaumann). Am. J. Pathol. 1949, 25, 85–91. [Google Scholar] [PubMed] [PubMed Central]
- Hilzenrat, N.; Spanier, A.; Lamoureux, E.; Bloom, C.; Sherker, A. Colonic obstruction secondary to sarcoidosis: Nonsurgical diagnosis and management. Gastroenterology 1995, 108, 1556–1559. [Google Scholar] [CrossRef]
- Esmadi, M.; Ahmad, D.S.; Odum, B.; Diaz-Arias, A.; Hammad, H. Sarcoidosis: An extremely rare cause of granulomatous enterocolitis. J. Gastrointest. Liver Dis. 2012, 21, 423–425. [Google Scholar] [PubMed]
- Cai, L.; Chen, Y.; Xiao, S.Y. Clinicopathologic Features of Chronic Intestinal Schistosomiasis and Its Distinction from Crohn Disease. Am. J. Surg. Pathol. 2021, 45, 430–438. [Google Scholar] [CrossRef] [PubMed]




Disclaimer/Publisher’s Note: The statements, opinions and data contained in all publications are solely those of the individual author(s) and contributor(s) and not of MDPI and/or the editor(s). MDPI and/or the editor(s) disclaim responsibility for any injury to people or property resulting from any ideas, methods, instructions or products referred to in the content. |
© 2024 by the authors. Licensee MDPI, Basel, Switzerland. This article is an open access article distributed under the terms and conditions of the Creative Commons Attribution (CC BY) license (https://creativecommons.org/licenses/by/4.0/).
Share and Cite
Jevtić, J.; Đuknić, M.; Popovac, N.; Ristić, N.; Milovanovich, I.; Radusinović, M.; Đordjić, I.; Simić, L.; Nikolić, G.; Životić, M.; et al. The First Case of Schaumann Bodies in Pediatric Very Early Onset Crohn’s Disease: Case Report and Literature Review. Children 2024, 11, 1216. https://doi.org/10.3390/children11101216
Jevtić J, Đuknić M, Popovac N, Ristić N, Milovanovich I, Radusinović M, Đordjić I, Simić L, Nikolić G, Životić M, et al. The First Case of Schaumann Bodies in Pediatric Very Early Onset Crohn’s Disease: Case Report and Literature Review. Children. 2024; 11(10):1216. https://doi.org/10.3390/children11101216
Chicago/Turabian StyleJevtić, Jovan, Miloš Đuknić, Nevena Popovac, Nina Ristić, Ivan Milovanovich, Milica Radusinović, Irena Đordjić, Ljubica Simić, Gorana Nikolić, Maja Životić, and et al. 2024. "The First Case of Schaumann Bodies in Pediatric Very Early Onset Crohn’s Disease: Case Report and Literature Review" Children 11, no. 10: 1216. https://doi.org/10.3390/children11101216
APA StyleJevtić, J., Đuknić, M., Popovac, N., Ristić, N., Milovanovich, I., Radusinović, M., Đordjić, I., Simić, L., Nikolić, G., Životić, M., Mioljević, A., Bogosavljević, N., & Janković, R. (2024). The First Case of Schaumann Bodies in Pediatric Very Early Onset Crohn’s Disease: Case Report and Literature Review. Children, 11(10), 1216. https://doi.org/10.3390/children11101216

