Lifestyle and Clinical Predictors of Glial Cell Line-Derived Neurotrophic Factor Expression in Lumbosacral Stenosis-Related Ligamentum Flavum Degeneration
Abstract
1. Introduction
2. Materials and Methods
2.1. Characteristics of Study Group Participants
Assessment of Clinical and Lifestyle Variables
2.2. Pain Assessment in Study Group
2.3. Description of Neurosurgical Procedure
2.4. Characteristics of Control Group Participants
2.5. Securing Collected Material for Molecular Testing
2.6. RNA Extraction and Assessment
2.7. Reverse Transcription Quantitative Polymerase Chain Reaction (RT-qPCR)
2.8. Protein Quantification Using Enzyme-Linked Immunosorbent Assay (ELISA) and Western Blotting Test
2.9. Immunohistochemical (IHC) Analysis
2.10. Statistical Analysis
3. Results
3.1. Expression Changes at the mRNA GDNF in Control and Test Samples
3.2. GDNF Protein Concentration by ELISA
3.3. Validation of Protein Downregulation via Western Blot
3.4. Influence of Lifestyle and Clinical Factors on GDNF Expression
3.5. Regression Modeling of Predictors of GDNF Expression
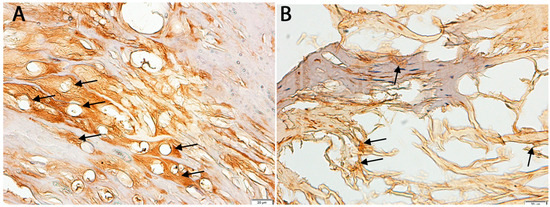
3.6. Immunohistochemical Confirmation of GDNF Expression Patterns
4. Discussion
5. Conclusions
Author Contributions
Funding
Institutional Review Board Statement
Informed Consent Statement
Data Availability Statement
Acknowledgments
Conflicts of Interest
References
- Heo, D.H.; Park, D.Y.; Hong, H.J.; Hong, Y.H.; Chung, H. Indications, Contraindications, and Complications of Biportal Endoscopic Decompressive Surgery for the Treatment of Lumbar Stenosis: A Systematic Review. World Neurosurg. 2022, 168, 411–420. [Google Scholar] [CrossRef] [PubMed]
- Da Costa, R.C.; De Decker, S.; Lewis, M.J.; Volk, H. The Canine Spinal Cord Injury Consortium (CANSORT-SCI). Diagnostic Imaging in Intervertebral Disc Disease. Front. Vet. Sci. 2020, 7, 588338. [Google Scholar] [CrossRef] [PubMed]
- Messiah, S.; Tharian, A.R.; Candido, K.D.; Knezevic, N.N. Neurogenic Claudication: A Review of Current Understanding and Treatment Options. Curr. Pain Headache Rep. 2019, 23, 32. [Google Scholar] [CrossRef] [PubMed]
- Deer, T.; Sayed, D.; Michels, J.; Josephson, Y.; Li, S.; Calodney, A.K. A Review of Lumbar Spinal Stenosis with Intermittent Neurogenic Claudication: Disease and Diagnosis. Pain Med. 2019, 20, S32–S44. [Google Scholar] [CrossRef]
- Houle, M.; O’Shaughnessy, J.; Tétreau, C.; Châtillon, C.-É.; Marchand, A.-A.; Descarreaux, M. Comparison of Walking Variations during Treadmill Walking Test between Neurogenic and Vascular Claudication: A Crossover Study. Chiropr. Man. Ther. 2021, 29, 24. [Google Scholar] [CrossRef]
- Hossain, P.; Kokkinidis, D.G.; Armstrong, E.J. How to Assess a Claudication and When to Intervene. Curr. Cardiol. Rep. 2019, 21, 138. [Google Scholar] [CrossRef]
- Sang, D.; Guo, J.; Meng, H.; Zhang, L.; Sang, H. Global Trends and Hotspots of Minimally Invasive Surgery in Lumbar Spinal Stenosis: A Bibliometric Analysis. J. Pain Res. 2024, 17, 117–132. [Google Scholar] [CrossRef]
- Burgstaller, J.M.; Porchet, F.; Steurer, J.; Wertli, M.M. Arguments for the Choice of Surgical Treatments in Patients with Lumbar Spinal Stenosis—A Systematic Appraisal of Randomized Controlled Trials. BMC Musculoskelet. Disord. 2015, 16, 96. [Google Scholar] [CrossRef]
- Lee, B.H.; Moon, S.-H.; Suk, K.-S.; Kim, H.-S.; Yang, J.-H.; Lee, H.-M. Lumbar Spinal Stenosis: Pathophysiology and Treatment Principle: A Narrative Review. Asian Spine J. 2020, 14, 682. [Google Scholar] [CrossRef]
- Byvaltsev, V.A.; Kalinin, A.A.; Hernandez, P.A.; Shepelev, V.V.; Pestryakov, Y.Y.; Aliyev, M.A.; Giers, M.B. Molecular and Genetic Mechanisms of Spinal Stenosis Formation: Systematic Review. Int. J. Mol. Sci. 2022, 23, 13479. [Google Scholar] [CrossRef]
- Boucher, T.J.; Okuse, K.; Bennett, D.L.; Munson, J.B.; Wood, J.N.; McMahon, S.B. Potent Analgesic Effects of GDNF in Neuropathic Pain States. Science 2000, 290, 124–127. [Google Scholar] [CrossRef] [PubMed]
- Liu, Y.; Obata, K.; Yamanaka, H.; Dai, Y.; Fukuoka, T.; Tokunaga, A.; Noguchi, K. Activation of Extracellular Signal-Regulated Protein Kinase in Dorsal Horn Neurons in the Rat Neuropathic Intermittent Claudication Model. Pain 2004, 109, 64–72. [Google Scholar] [CrossRef] [PubMed]
- Barker, P.A.; Mantyh, P.; Arendt-Nielsen, L.; Viktrup, L.; Tive, L. Nerve Growth Factor Signaling and Its Contribution to Pain. J. Pain Res. 2020, 13, 1223. [Google Scholar] [CrossRef]
- Kirkeby, A.; Barker, R.A. Parkinson Disease and Growth Factors—Is GDNF Good Enough? Nat. Rev. Neurol. 2019, 15, 312–314. [Google Scholar] [CrossRef]
- Parekh, P.A.; Garcia, T.X.; Hofmann, M.-C. Regulation of GDNF Expression in Sertoli Cells. Reproduction 2019, 157, R95–R107. [Google Scholar] [CrossRef]
- Donnelly, C.R.; Shah, A.A.; Mistretta, C.M.; Bradley, R.M.; Pierchala, B.A. Biphasic Functions for the GDNF-Ret Signaling Pathway in Chemosensory Neuron Development and Diversification. Proc. Natl. Acad. Sci. USA 2018, 115, E516–E525. [Google Scholar] [CrossRef]
- Popova, N.K.; Naumenko, V.S. Neuronal and Behavioral Plasticity: The Role of Serotonin and BDNF Systems Tandem. Expert Opin. Ther. Targets 2019, 23, 227–239. [Google Scholar] [CrossRef]
- Naumenko, V.S.; Kulikov, A.V.; Kondaurova, E.M.; Tsybko, A.S.; Kulikova, E.A.; Krasnov, I.B.; Shenkman, B.S.; Sychev, V.N.; Bazhenova, E.Y.; Sinyakova, N.A.; et al. Effect of Actual Long-Term Spaceflight on BDNF, TrkB, P75, BAX and BCL-XL Genes Expression in Mouse Brain Regions. Neuroscience 2015, 284, 730–736. [Google Scholar] [CrossRef]
- Salio, C.; Ferrini, F. BDNF and GDNF Expression in Discrete Populations of Nociceptors. Ann. Anat. 2016, 207, 55–61. [Google Scholar] [CrossRef]
- Jung, W.-W.; Kim, H.-S.; Shon, J.-R.; Lee, M.; Lee, S.-H.; Sul, D.; Na, H.S.; Kim, J.H.; Kim, B.-J. Intervertebral Disc Degeneration-Induced Expression of Pain-Related Molecules: Glial Cell-Derived Neurotropic Factor as a Key Factor. J. Neurosurg. Anesth. 2011, 23, 329–334. [Google Scholar] [CrossRef]
- Cintrón-Colón, A.F.; Almeida-Alves, G.; Boynton, A.M.; Spitsbergen, J.M. GDNF Synthesis, Signaling, and Retrograde Transport in Motor Neurons. Cell Tissue Res. 2020, 382, 47–56. [Google Scholar] [CrossRef] [PubMed]
- Kawai, K.; Takahashi, M. Intracellular RET Signaling Pathways Activated by GDNF. Cell Tissue Res. 2020, 382, 113–123. [Google Scholar] [CrossRef] [PubMed]
- Chmielarz, P.; Er, Ş.; Konovalova, J.; Bandres, L.; Hlushchuk, I.; Albert, K.; Panhelainen, A.; Luk, K.; Airavaara, M.; Domanskyi, A. GDNF/RET Signaling Pathway Activation Eliminates Lewy Body Pathology in Midbrain Dopamine Neurons. Mov. Disord. 2020, 35, 2279–2289. [Google Scholar] [CrossRef] [PubMed]
- Mendes-Oliveira, J.; Campos, F.L.; Ferreira, S.A.; Tomé, D.; Fonseca, C.P.; Baltazar, G. Endogenous GDNF Is Unable to Halt Dopaminergic Injury Triggered by Microglial Activation. Cells 2023, 13, 74. [Google Scholar] [CrossRef]
- Reich, N.; Hölscher, C. The Neuroprotective Effects of Glucagon-like Peptide 1 in Alzheimer’s and Parkinson’s Disease: An in-Depth Review. Front. Neurosci. 2022, 16, 970925. [Google Scholar] [CrossRef]
- Sobański, D.; Staszkiewicz, R.; Gadzieliński, M.; Stachura, M.K.; Czepko, R.A.; Holiński, M.; Czepko, R.; Garbarek, B.O. A Study of 179 Patients with Degenerative Stenosis of the Lumbosacral Spine to Evaluate Differences in Quality of Life and Disability Outcomes at 12 Months, Between Conservative Treatment and Surgical Decompression. Med. Sci. Monit. 2023, 29, e940213. [Google Scholar] [CrossRef]
- Sobański, D.; Staszkiewicz, R.; Filipowicz, M.; Holiński, M.; Jędrocha, M.; Migdał, M.; Grabarek, B.O. Correction: Evaluation of the Concentration of Selected Elements in the Serum of Patients with Degenerative Stenosis of the Lumbosacral Spine. Biol. Trace Elem. Res. 2024, 202, 5864. [Google Scholar] [CrossRef]
- Sobański, D.; Bogdał, P.; Staszkiewicz, R.; Sobańska, M.; Filipowicz, M.; Czepko, R.A.; Strojny, D.; Grabarek, B.O. Evaluation of Differences in Expression Pattern of Three Isoforms of the Transforming Growth Factor Beta in Patients with Lumbosacral Stenosis. Cell Cycle 2024, 23, 555–572. [Google Scholar] [CrossRef]
- Sobański, D.; Staszkiewicz, R.; Sobańska, M.; Strojny, D.; Grabarek, B.O. Effects of Pain in Lumbosacral Stenosis and Lifestyle-Related Factors on Brain-Derived Neurotrophic Factor Expression Profiles. Mol. Pain 2025, 21, 17448069241309001. [Google Scholar] [CrossRef]
- Shimada, A.; Kawasaki, E.; Abiru, N.; Awata, T.; Oikawa, Y.; Osawa, H.; Kajio, H.; Kozawa, J.; Takahashi, K.; Chujo, D.; et al. New Diagnostic Criteria (2023) for Slowly Progressive Type 1 Diabetes (SPIDDM): Report from Committee on Type 1 Diabetes in Japan Diabetes Society (English Version). Diabetol. Int. 2024, 15, 1–4. [Google Scholar] [CrossRef]
- American Diabetes Association Professional Practice Committee 2. Diagnosis and Classification of Diabetes: Standards of Care in Diabetes-2025. Diabetes Care 2025, 48, S27–S49. [Google Scholar] [CrossRef] [PubMed]
- Rubino, F.; Cummings, D.E.; Eckel, R.H.; Cohen, R.V.; Wilding, J.P.H.; Brown, W.A.; Stanford, F.C.; Batterham, R.L.; Farooqi, I.S.; Farpour-Lambert, N.J.; et al. Definition and Diagnostic Criteria of Clinical Obesity. Lancet Diabetes Endocrinol. 2025, 13, 221–262. [Google Scholar] [CrossRef] [PubMed]
- Hjermstad, M.J.; Fayers, P.M.; Haugen, D.F.; Caraceni, A.; Hanks, G.W.; Loge, J.H.; Fainsinger, R.; Aass, N.; Kaasa, S.; European Palliative Care Research Collaborative (EPCRC). Studies Comparing Numerical Rating Scales, Verbal Rating Scales, and Visual Analogue Scales for Assessment of Pain Intensity in Adults: A Systematic Literature Review. J. Pain Symptom Manag. 2011, 41, 1073–1093. [Google Scholar] [CrossRef] [PubMed]
- Jensen, M.P.; Karoly, P.; Braver, S. The Measurement of Clinical Pain Intensity: A Comparison of Six Methods. Pain 1986, 27, 117–126. [Google Scholar] [CrossRef]
- Pagani, S.; Maglio, M.; Sicuro, L.; Fini, M.; Giavaresi, G.; Brogini, S. RNA Extraction from Cartilage: Issues, Methods, Tips. Int. J. Mol. Sci. 2023, 24, 2120. [Google Scholar] [CrossRef]
- Leonova, O.N.; Elgaeva, E.E.; Golubeva, T.S.; Peleganchuk, A.V.; Krutko, A.V.; Aulchenko, Y.S.; Tsepilov, Y.A. A Protocol for Recruiting and Analyzing the Disease-Oriented Russian Disc Degeneration Study (RuDDS) Biobank for Functional Omics Studies of Lumbar Disc Degeneration. PLoS ONE 2022, 17, e0267384. Available online: https://journals.plos.org/plosone/article?id=10.1371/journal.pone.0267384 (accessed on 22 August 2024). [CrossRef]
- Ruettger, A.; Neumann, S.; Wiederanders, B.; Huber, R. Comparison of Different Methods for Preparation and Characterization of Total RNA from Cartilage Samples to Uncover Osteoarthritis in Vivo. BMC Res. Notes 2010, 3, 7. [Google Scholar] [CrossRef]
- Staszkiewicz, R.; Gralewski, M.; Gładysz, D.; Bryś, K.; Garczarek, M.; Gadzieliński, M.; Marcol, W.; Sobański, D.; Grabarek, B.O. Evaluation of the Concentration of Growth Associated Protein-43 and Glial Cell-Derived Neurotrophic Factor in Degenerated Intervertebral Discs of the Lumbosacral Region of the Spine. Mol. Pain 2023, 19, 17448069231158287. [Google Scholar] [CrossRef]
- Staszkiewicz, R.; Gładysz, D.; Gralewski, M.; Bryś, K.; Garczarek, M.; Gadzieliński, M.; Marcol, W.; Sobański, D.; Grabarek, B.O. Usefulness of Detecting Brain-Derived Neurotrophic Factor in Intervertebral Disc Degeneration of the Lumbosacral Spine. Med. Sci. Monit. Int. Med. J. Exp. Clin. Res. 2023, 29, e938663-1–e938663-13. [Google Scholar] [CrossRef]
- Schroeder, A.B.; Dobson, E.T.A.; Rueden, C.T.; Tomancak, P.; Jug, F.; Eliceiri, K.W. The ImageJ Ecosystem: Open-source Software for Image Visualization, Processing, and Analysis. Protein Sci. 2021, 30, 234–249. [Google Scholar] [CrossRef]
- Varghese, F.; Bukhari, A.B.; Malhotra, R.; De, A. IHC Profiler: An Open Source Plugin for the Quantitative Evaluation and Automated Scoring of Immunohistochemistry Images of Human Tissue Samples. PLoS ONE 2014, 9, e96801. [Google Scholar] [CrossRef] [PubMed]
- Allan, D.B.; Waddell, G. An Historical Perspective on Low Back Pain and Disability. Acta Orthop. Scand. 1989, 60, 1–23. [Google Scholar] [CrossRef] [PubMed]
- Low Back Pain, a Comprehensive Review: Pathophysiology, Diagnosis, and Treatment—PubMed. Available online: https://pubmed.ncbi.nlm.nih.gov/30854609/ (accessed on 24 August 2024).
- Tsuda, M.; Masuda, T.; Kohno, K. Microglial Diversity in Neuropathic Pain. Trends Neurosci. 2023, 46, 597–610. [Google Scholar] [CrossRef]
- Bovonratwet, P.; Kulm, S.; Kolin, D.A.; Song, J.; Morse, K.W.; Cunningham, M.E.; Albert, T.J.; Sandhu, H.S.; Kim, H.J.; Iyer, S. Identification of Novel Genetic Markers for the Risk of Spinal Pathologies: A Genome-Wide Association Study of 2 Biobanks. J. Bone Jt. Surg. Am. 2023, 105, 830–838. [Google Scholar] [CrossRef]
- Guo, Y.; Zhou, Y.; Zhao, H.; Hu, T.; Wu, D. Serum Antioxidant Enzymes in Spinal Stenosis Patients with Lumbar Disc Herniation: Correlation with Degeneration Severity and Spinal Fusion Rate. BMC Musculoskelet. Disord. 2023, 24, 782. [Google Scholar] [CrossRef]
- Baljon, K.J.; Romli, M.H.; Ismail, A.H.; Khuan, L.; Chew, B.H. Effectiveness of Breathing Exercises, Foot Reflexology and Back Massage (BRM) on Labour Pain, Anxiety, Duration, Satisfaction, Stress Hormones and Newborn Outcomes among Primigravidae during the First Stage of Labour in Saudi Arabia: A Study Protocol for a Randomised Controlled Trial. BMJ Open 2020, 10, e033844. [Google Scholar] [CrossRef]
- Wang, Z.; Zhang, M.; Wang, Z.; Guo, Z.; Wang, Z.; Chen, Q. Cyanidin-3-O-Glucoside Attenuates Endothelial Cell Dysfunction by Modulating miR-204-5p/SIRT1-Mediated Inflammation and Apoptosis. Biofactors 2020, 46, 803–812. [Google Scholar] [CrossRef]
- He, Y.; Lin, Y.; He, X.; Li, C.; Lu, Q.; He, J. The Conservative Management for Improving Visual Analog Scale (VAS) Pain Scoring in Greater Trochanteric Pain Syndrome: A Bayesian Analysis. BMC Musculoskelet. Disord. 2023, 24, 423. [Google Scholar] [CrossRef]
- Robinson, C.L.; Phung, A.; Dominguez, M.; Remotti, E.; Ricciardelli, R.; Momah, D.U.; Wahab, S.; Kim, R.S.; Norman, M.; Zhang, E.; et al. Pain Scales: What Are They and What Do They Mean. Curr. Pain Headache Rep. 2024, 28, 11–25. [Google Scholar] [CrossRef]
- Kim, H.S.; Wu, P.H.; Jang, I.-T. Lumbar Degenerative Disease Part 1: Anatomy and Pathophysiology of Intervertebral Discogenic Pain and Radiofrequency Ablation of Basivertebral and Sinuvertebral Nerve Treatment for Chronic Discogenic Back Pain: A Prospective Case Series and Review of Literature. Int. J. Mol. Sci. 2020, 21, 1483. [Google Scholar]
- Pelled, G.; Salas, M.M.; Han, P.; Gill, H.E.; Lautenschlager, K.A.; Lai, T.T.; Shawver, C.M.; Hoch, M.B.; Goff, B.J.; Betts, A.M. Intradiscal Quantitative Chemical Exchange Saturation Transfer MRI Signal Correlates with Discogenic Pain in Human Patients. Sci. Rep. 2021, 11, 19195. [Google Scholar] [CrossRef]
- Sun, K.; Jiang, J.; Wang, Y.; Sun, X.; Zhu, J.; Xu, X.; Sun, J.; Shi, J. The Role of Nerve Fibers and Their Neurotransmitters in Regulating Intervertebral Disc Degeneration. Ageing Res. Rev. 2022, 81, 101733. [Google Scholar] [CrossRef] [PubMed]
- Eggers, R.; de Winter, F.; Tannemaat, M.R.; Malessy, M.J.A.; Verhaagen, J. GDNF Gene Therapy to Repair the Injured Peripheral Nerve. Front. Bioeng. Biotechnol. 2020, 8, 583184. [Google Scholar] [CrossRef] [PubMed]
- Hamblin, M.H.; Lee, J.-P. Neural Stem Cells for Early Ischemic Stroke. Int. J. Mol. Sci. 2021, 22, 7703. [Google Scholar] [CrossRef]
- Zhao, D.; Sha, B.-X.; Zeng, L.-F.; Liang, G.-H.; Huang, H.-T.; Pan, J.-K.; Liu, J.; Zhao, S. Exploring and Analyzing Two Aging Related Genes FPR1 and UCHL1 and Their Potential Molecular Mechanisms in Aggravating Lumbar Disc Herniation. J. Orthop. Surg. Res. 2024, 19, 841. [Google Scholar] [CrossRef] [PubMed]
- Zhu, H.; Ren, J.; Wang, X.; Qin, W.; Xie, Y. Targeting Skeletal Interoception: A Novel Mechanistic Insight into Intervertebral Disc Degeneration and Pain Management. J. Orthop. Surg. Res. 2025, 20, 159. [Google Scholar] [CrossRef]
- Yamada, J.; Akeda, K.; Sano, T.; Iwasaki, T.; Takegami, N.; Sudo, A. Expression of Glial Cell Line-Derived Neurotrophic Factor in the Human Intervertebral Disc. Spine 2020, 45, E768–E775. [Google Scholar] [CrossRef]
- Chen, Z.; Li, X.; Pan, F.; Wu, D.; Li, H. A Retrospective Study: Does Cigarette Smoking Induce Cervical Disc Degeneration? Int. J. Surg. 2018, 53, 269–273. [Google Scholar] [CrossRef]
- Kiraz, M.; Demir, E. Relationship of Lumbar Disc Degeneration with Hemoglobin Value and Smoking. Neurochirurgie 2020, 66, 373–377. [Google Scholar] [CrossRef]
- Liu, C.; Chu, X.; Biao, Y.; Jin, Q.; Zhang, Y.; Gao, Y.; Feng, S.; Ma, J.; Zhang, Y. Association between Lipid-Lowering Agents with Intervertebral Disc Degeneration, Sciatica and Low Back Pain: A Drug-Targeted Mendelian Randomized Study and Cross-Sectional Observation. Lipids Health Dis. 2024, 23, 327. [Google Scholar] [CrossRef]
- Khan, J.S.; Hah, J.M.; Mackey, S.C. Effects of Smoking on Patients with Chronic Pain: A Propensity-Weighted Analysis on the Collaborative Health Outcomes Information Registry. Pain 2019, 160, 2374. [Google Scholar] [CrossRef] [PubMed]
- Veilleux, J.C. The Relationship between Distress Tolerance and Cigarette Smoking: A Systematic Review and Synthesis. Clin. Psychol. Rev. 2019, 71, 78–89. [Google Scholar] [CrossRef] [PubMed]
- Staszkiewicz, R.; Gładysz, D.; Sobański, D.; Bolechała, F.; Golec, E.; Dammermann, W.; Grabarek, B.O. The Impacts of Intervertebral Disc Degeneration of the Spine, Alcohol Consumption, Smoking Tobacco Products, and Glycemic Disorders on the Expression Profiles of Neurotrophins-3 and -4. Biomedicines 2024, 12, 427. [Google Scholar] [CrossRef]
- Özcan-Ekşi, E.E.; Kara, M.; Berikol, G.; Orhun, Ö.; Turgut, V.U.; Ekşi, M.Ş. A New Radiological Index for the Assessment of Higher Body Fat Status and Lumbar Spine Degeneration. Skelet. Radiol. 2022, 51, 1261–1271. [Google Scholar] [CrossRef]
- Lee, S.Y.; Kim, W.; Lee, S.-U.; Choi, K.H. Relationship between Obesity and Lumbar Spine Degeneration: A Cross-Sectional Study from the Fifth Korean National Health and Nutrition Examination Survey, 2010–2012. Metab. Syndr. Relat. Disord. 2019, 17, 60–66. [Google Scholar] [CrossRef]
- Lener, S.; Wipplinger, C.; Hartmann, S.; Thomé, C.; Tschugg, A. The Impact of Obesity and Smoking on Young Individuals Suffering from Lumbar Disc Herniation: A Retrospective Analysis of 97 Cases. Neurosurg. Rev. 2020, 43, 1297–1303. [Google Scholar] [CrossRef]
- Asrih, M.; Wei, S.; Nguyen, T.T.; Yi, H.; Ryu, D.; Gariani, K. Overview of Growth Differentiation Factor 15 in Metabolic Syndrome. J. Cell. Mol. Med. 2023, 27, 1157–1167. [Google Scholar] [CrossRef]
- Wang, Z.; Li, S.; Wang, Y.; Zhang, X.; Chen, L.; Sun, D. GDNF Enhances the Anti-Inflammatory Effect of Human Adipose-Derived Mesenchymal Stem Cell-Based Therapy in Renal Interstitial Fibrosis. Stem Cell Res. 2019, 41, 101605. [Google Scholar] [CrossRef]
- Conway, J.A.; Ince, S.; Black, S.; Kramer, E.R. GDNF/RET Signaling in Dopamine Neurons in Vivo. Cell Tissue Res. 2020, 382, 135–146. [Google Scholar] [CrossRef]
- Zhang, X.-L.; Sun, Q.; Quan, Z.-S.; Wu, L.; Liu, Z.-M.; Xia, Y.-Q.; Wang, Q.-Y.; Zhang, Y.; Zhu, J.-X. Dopamine Regulates Colonic Glial Cell-Derived Neurotrophic Factor Secretion through Cholinergic Dependent and Independent Pathways. Br. J. Pharmacol. 2024, 181, 413–428. [Google Scholar] [CrossRef]



| Inclusion Criteria | Exclusion Criteria |
|---|---|
| Confirmation of degenerative stenosis of the lumbosacral spine in imaging studies | Exclusion of degenerative stenosis of the lumbosacral spine on imaging studies |
| Caucasian race | Race other than Caucasian |
| Age ≥18 and ≤80 years | Age <18 or >80 years |
| No serious contraindications to surgical or internal medicine treatment | Serious contraindications to surgical or internal medicine treatment |
| Not taking anticoagulants or discontinuing as recommended after consultation | Taking anticoagulants and inability to discontinue them safely |
| Ineffective conservative treatment for ≥6 months | Effective conservative treatment |
| Presence of neurological symptoms (e.g., radiculopathy, claudication) | History of previous surgical treatment at the lumbosacral spine level |
| No intake of vitamin and mineral preparations registered as medication in the last 6 months | Intake of vitamin and mineral preparations registered as medication in the last 6 months |
| No history of decompensated hormonal disorders | Presence of unbalanced hormonal disorders |
| No gastrointestinal disorders | Gastrointestinal disorders, including malabsorption syndromes |
| Not pregnant | Pregnant |
| Not lactating | Lactating |
| Not menstruating at the time of surgery (outside of bleeding phase or immediately after) | Menstruating during or immediately after bleeding phase |
| Inclusion Criteria | Exclusion Criteria |
|---|---|
| Provided informed, voluntary consent | Lack of informed, voluntary consent |
| Age ≥18 and <80 years | Age <18 or ≥80 years |
| No history or current diagnosis of neoplastic diseases | Current or past neoplastic diseases |
| No history of degenerative spine disease or spinal trauma, particularly in the L/S region | Presence or history of degenerative spinal disease and/or spinal trauma, especially in the L/S region |
| No use of vitamin or mineral supplements registered as medicinal products in past 6 months | Use of vitamin or mineral supplements registered as medicinal products within the past 6 months |
| No history of hormonal disorders | Presence of unbalanced hormonal disorders |
| No history of gastrointestinal disorders, including malabsorption | History of gastrointestinal disorders, including malabsorption |
| Not pregnant | Pregnant |
| Not lactating | Lactating |
| In a phase of the menstrual cycle outside of active bleeding or immediately post-bleeding | Experiencing menstrual bleeding or within the immediate post-bleeding phase |
| Comparison | mRNA | Student’s t-Test 1 or ANOVA 2 (Study Group) | Protein | Student’s t-Test 1 or ANOVA 2 (Control Group) | |
|---|---|---|---|---|---|
| Gender | Female (n = 46) | 0.95 ± 0.09 | 0.987 1 | 1.27 ± 0.19 | 0.432 1 |
| Male (n = 50) | 0.99 ± 0.02 | 1.19 ± 0.21 | |||
| BMI (kg/m2) | Normal (n = 40) | 1 | 0.048 2 | 1 | 0.032 2 |
| Overweight (n = 32) | 0.99 ±0.10 | 1.06 ±0.33 | |||
| Obesity (n = 24) | 0.91± 0.05 | 1.01± 0.24 | |||
| Diabetes | No (n = 46) | 0.92 ± 0.11 | 0.765 1 | 1.17 ± 0.21 | 0.042 1 |
| Yes (n = 40) | 1.02 ± 0.12 | 1.29 ± 0.32 | |||
| Smoking | No (n = 34) | 1.09 ± 0.21 | 0.0412 1 | 1.41 ± 0.21 | 0.039 1 |
| Yes (n = 62) | 0.85 ± 0.11 | 1.04 ± 0.18 | |||
| Drinking alcohol | No (n = 11) | 0.98 ± 0.04 | 0.253 1 | 1.02 ± 0.12 | 0.045 1 |
| Yes (n = 85) | 0.96 ± 0.02 | 1.43 ± 0.12 | |||
| Characteristic | Expression Level | Linear Regression | Multiple Regression | |||
|---|---|---|---|---|---|---|
| r | R2 | p-Value | Coefficient | p-Value | ||
| Gender | mRNA | 0.18 | 0.03 | 0.432 | ||
| Protein | 0.21 | 0.04 | 0.312 | |||
| BMI (kg/m2) | mRNA | 0.19 | 0.04 | 0.617 | ||
| Protein | 0.61 | 0.37 | 0.042 | 0.176 | 0.023 | |
| Diabetes | mRNA | 0.23 | 0.05 | |||
| Protein | 0.71 | 0.50 | 0.001 | 0.5456 | 0.012 | |
| Smoking | mRNA | 0.23 | 0.05 | 0.512 | ||
| Protein | 0.71 | 0.50 | 0.012 | 0.312 | 0.038 | |
| Drinking alcohol | mRNA | 0.19 | 0.04 | 0.871 | ||
| Protein | 0.91 | 0.83 | <0.0001 | 0.421 | <0.0001 | |
Disclaimer/Publisher’s Note: The statements, opinions and data contained in all publications are solely those of the individual author(s) and contributor(s) and not of MDPI and/or the editor(s). MDPI and/or the editor(s) disclaim responsibility for any injury to people or property resulting from any ideas, methods, instructions or products referred to in the content. |
© 2025 by the authors. Licensee MDPI, Basel, Switzerland. This article is an open access article distributed under the terms and conditions of the Creative Commons Attribution (CC BY) license (https://creativecommons.org/licenses/by/4.0/).
Share and Cite
Sobański, D.; Sobańska, M.; Staszkiewicz, R.; Strojny, D.; Dammermann, W.; Gogol, P.; Wieczorek-Olcha, W.; Chwalba, A.; Grabarek, B.O. Lifestyle and Clinical Predictors of Glial Cell Line-Derived Neurotrophic Factor Expression in Lumbosacral Stenosis-Related Ligamentum Flavum Degeneration. Biomedicines 2025, 13, 1530. https://doi.org/10.3390/biomedicines13071530
Sobański D, Sobańska M, Staszkiewicz R, Strojny D, Dammermann W, Gogol P, Wieczorek-Olcha W, Chwalba A, Grabarek BO. Lifestyle and Clinical Predictors of Glial Cell Line-Derived Neurotrophic Factor Expression in Lumbosacral Stenosis-Related Ligamentum Flavum Degeneration. Biomedicines. 2025; 13(7):1530. https://doi.org/10.3390/biomedicines13071530
Chicago/Turabian StyleSobański, Dawid, Małgorzata Sobańska, Rafał Staszkiewicz, Damian Strojny, Werner Dammermann, Paweł Gogol, Weronika Wieczorek-Olcha, Artur Chwalba, and Beniamin Oskar Grabarek. 2025. "Lifestyle and Clinical Predictors of Glial Cell Line-Derived Neurotrophic Factor Expression in Lumbosacral Stenosis-Related Ligamentum Flavum Degeneration" Biomedicines 13, no. 7: 1530. https://doi.org/10.3390/biomedicines13071530
APA StyleSobański, D., Sobańska, M., Staszkiewicz, R., Strojny, D., Dammermann, W., Gogol, P., Wieczorek-Olcha, W., Chwalba, A., & Grabarek, B. O. (2025). Lifestyle and Clinical Predictors of Glial Cell Line-Derived Neurotrophic Factor Expression in Lumbosacral Stenosis-Related Ligamentum Flavum Degeneration. Biomedicines, 13(7), 1530. https://doi.org/10.3390/biomedicines13071530

