Pyridostigmine Mitigates Methotrexate-Induced Liver Fibrosis in Rats: Association with Changes in BMP-9, SIRT1, and Endoglin Expression
Abstract
1. Introduction
2. Materials and Methods
2.1. Animals
2.2. Experimental Design
2.3. Histopathological Evaluation
2.4. Biochemical Analysis
2.5. Determination of Liver TGF-Beta, SIRT1, BMP-9, and Endoglin Levels
2.6. Determination of Lipid Peroxidation
2.7. Determination of Plasma ALT and Cytokeratin-18 Levels
2.8. Statistical Analysis
3. Results
3.1. Effect of Pyridostigmine on Liver Fibrosis Markers
3.2. Effect of Pyridostigmine on Oxidative Stress Markers
3.3. Effect of Pyridostigmine on SIRT1 Levels
3.4. Effect of Pyridostigmine on Liver Injury Markers
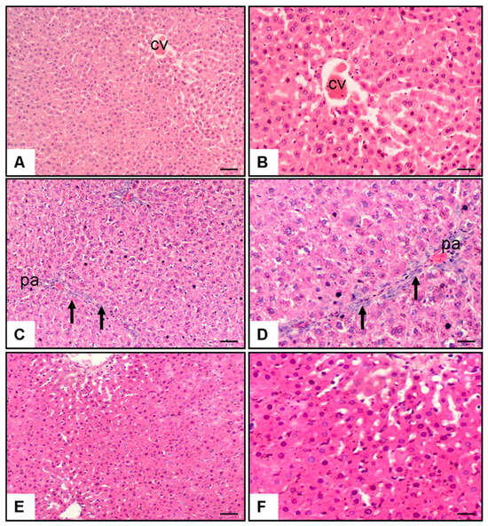
3.5. Effect of Pyridostigmine on Liver Histopathology
4. Discussion
5. Conclusions
Author Contributions
Funding
Institutional Review Board Statement
Informed Consent Statement
Data Availability Statement
Conflicts of Interest
References
- Visser, K.; Van der Heijde, D. Risk and management of liver toxicity during methotrexate treatment in rheumatoid and psoriatic arthritis: A systematic review of the literature. Clin. Exp. Rheumatol. 2009, 27, 1017–1025. [Google Scholar]
- Conway, R.; Low, C.; Coughlan, R.J.; O’Donnell, M.J.; Carey, J.J. Methotrexate and lung disease in rheumatoid arthritis: A meta-analysis of randomized controlled trials. Arthritis Rheumatol. 2014, 66, 803–812. [Google Scholar] [CrossRef]
- Sotoudehmanesh, R.; Anvari, B.; Akhlaghi, M.; Shahraeeni, S.; Kolahdoozan, S. Methotrexate hepatotoxicity in patients with rheumatoid arthritis. Middle East J. Dig. Dis. 2010, 2, 104–109. [Google Scholar] [PubMed]
- Tabassum, H.; Parvez, S.; Pasha, S.T.; Banerjee, B.D.; Raisuddin, S. Protective effect of lipoic acid against methotrexate-induced oxidative stress in liver mitochondria. Food Chem. Toxicol. 2010, 48, 1973–1979. [Google Scholar] [CrossRef] [PubMed]
- Mahmoud, A.M.; Hussein, O.E.; Hozayen, W.G.; Abd el-Twab, S.M. Methotrexate hepatotoxicity is associated with oxidative stress, and down-regulation of PPARγ and Nrf2: Protective effect of 18β-Glycyrrhetinic acid. Chem. Biol. Interact. 2017, 270, 59–72. [Google Scholar] [CrossRef]
- Mukherjee, S.; Ghosh, S.; Choudhury, S.; Adhikary, A.; Manna, K.; Dey, S.; Sa, G.; Das, T.; Chattopadhyay, S. Pomegranate reverses methotrexate-induced oxidative stress and apoptosis in hepatocytes by modulating Nrf2-NF-κB pathways. J. Nutr. Biochem. 2013, 24, 2040–2050. [Google Scholar] [CrossRef] [PubMed]
- Sweilam, S.H.; Ali, D.E.; Atwa, A.M.; Elgindy, A.M.; Mustafa, A.M.; Esmail, M.M.; Alkabbani, M.A.; Senna, M.M.; El-Shiekh, R.A. A First Metabolite Analysis of Norfolk Island Pine Resin and Its Hepatoprotective Potential to Alleviate Methotrexate (MTX)-Induced Hepatic Injury. Pharmaceuticals 2024, 17, 970. [Google Scholar] [CrossRef]
- Abdallah, N.; Amer, M.E.; Amer, M.A.; El-Missiry, M.A.; Othman, A.I. Melatonin mitigated methotrexate-induced hepatotoxicity through interrelated biological processes. Mol. Biol. Rep. 2024, 51, 833. [Google Scholar] [CrossRef]
- Chen, H.; Zhang, Y.; Wang, L.; Li, X.; Liu, J.; Wei, G.; Zhao, K. Unveiling the Impact of BMP9 in Liver Diseases: Insights into Pathogenesis and Therapeutic Potential. Biomolecules 2024, 14, 1013. [Google Scholar] [CrossRef]
- Schoonderwoerd, M.J.; Goumans, M.-J.T.; Hawinkels, L.J. Endoglin: Beyond the endothelium. Biomolecules 2020, 10, 289. [Google Scholar] [CrossRef]
- Schuppan, D.; Ashfaq-Khan, M.; Yang, A.T.; Kim, Y.O. Liver fibrosis: Direct antifibrotic agents and targeted therapies. Matrix Biol. 2018, 68, 435–451. [Google Scholar] [CrossRef] [PubMed]
- Wang, M.; Zhao, J.; Chen, J.; Long, T.; Xu, M.; Luo, T.; Che, Q.; He, Y.; Xu, D. The role of sirtuin1 in liver injury: Molecular mechanisms and novel therapeutic target. PeerJ 2024, 12, e17094. [Google Scholar] [CrossRef]
- Sousa, C.; Mendes, A.F. Monoterpenes as sirtuin-1 activators: Therapeutic potential in aging and related diseases. Biomolecules 2022, 12, 921. [Google Scholar] [CrossRef] [PubMed]
- Zhang, Y.; Kong, F.; Li, N.; Tao, L.; Zhai, J.; Ma, J.; Zhang, S. Potential role of SIRT1 in cell ferroptosis. Front. Cell Dev. Biol. 2025, 13, 1525294. [Google Scholar] [CrossRef]
- Aquilonius, S.-M.; Hartvig, P. Clinical pharmacokinetics of cholinesterase inhibitors. Clin. Pharmacokinet. 1986, 11, 236–249. [Google Scholar] [CrossRef]
- Pohanka, M. Inhibitors of acetylcholinesterase and butyrylcholinesterase meet immunity. Int. J. Mol. Sci. 2014, 15, 9809–9825. [Google Scholar] [CrossRef]
- Hoover, D.B. Cholinergic modulation of the immune system presents new approaches for treating inflammation. Pharmacol. Ther. 2017, 179, 1–16. [Google Scholar] [CrossRef]
- Fujii, T.; Mashimo, M.; Moriwaki, Y.; Misawa, H.; Ono, S.; Horiguchi, K.; Kawashima, K. Physiological functions of the cholinergic system in immune cells. J. Pharmacol. Sci. 2017, 134, 1–21. [Google Scholar] [CrossRef] [PubMed]
- Shin, S.S.; Dixon, C.E. Alterations in cholinergic pathways and therapeutic strategies targeting cholinergic system after traumatic brain injury. J. Neurotrauma 2015, 32, 1429–1440. [Google Scholar] [CrossRef]
- Keever, K.R.; Yakubenko, V.P.; Hoover, D.B. Neuroimmune nexus in the pathophysiology and therapy of inflammatory disorders: Role of α7 nicotinic acetylcholine receptors. Pharmacol. Res. 2023, 191, 106758. [Google Scholar] [CrossRef]
- Taskin, B.; Erdoğan, M.A.; Yiğittürk, G.; Günenç, D.; Erbaş, O. Antifibrotic Effect of Lactulose on a Methotrexate-Induced Liver Injury Model. Gastroenterol. Res. Pract. 2017, 2017, 7942531. [Google Scholar] [CrossRef] [PubMed]
- Peden-Adams, M.M.; Dudley, A.; EuDaly, J.; Allen, C.; Gilkeson, G.; Keil, D. Pyridostigmine bromide (PYR) alters immune function in B6C3F1 mice. Immunopharmacol. Immunotoxicol. 2004, 26, 1–15. [Google Scholar] [CrossRef]
- Levine, B.; Long, R.; Chung, H. Subchronic oral toxicity of pyridostigmine bromide in rats. Biomed. Environ. Sci. 1991, 4, 283–289. [Google Scholar]
- Ulusan, M.; Erdogan, M.A.; Simsek, O.; Dogan, Z.; Ciftci, B.B.; Atalan, G.; Erbas, O. Baricitinib Mitigates Methotrexate-Induced Liver Fibrosis Model via YAP Pathway. Medicina 2025, 61, 857. [Google Scholar] [CrossRef] [PubMed]
- Richtsfeld, M.; Yasuhara, S.; Fink, H.; Blobner, M.; Martyn, J.J. Prolonged administration of pyridostigmine impairs neuromuscular function with and without down-regulation of acetylcholine receptors. Anesthesiology 2013, 119, 412–421. [Google Scholar] [CrossRef] [PubMed]
- Lobenhofer, E.K.; Boorman, G.A.; Phillips, K.L.; Heinloth, A.N.; Malarkey, D.E.; Blackshear, P.E.; Houle, C.; Hurban, P. Application of visualization tools to the analysis of histopathological data enhances biological insight and interpretation. Toxicol. Pathol. 2006, 34, 921–928. [Google Scholar] [CrossRef]
- Bradford, M.M. A rapid and sensitive method for the quantitation of microgram quantities of protein utilizing the principle of protein-dye binding. Anal. Biochem. 1976, 72, 248–254. [Google Scholar] [CrossRef]
- Lewis, J.H.; Schiff, E. Methotrexate-induced chronic liver injury: Guidelines for detection and prevention. Am. J. Gastroenterol. 1988, 83, 1337–1345. [Google Scholar]
- Kayali, A.; Bora, E.; Acar, H.; Yilmaz, G.; Erbaş, O. Fisetin ameliorates methotrexate induced liver fibrosis. Eur. Rev. Med. Pharmacol. Sci. 2024, 28, 3112–3119. [Google Scholar]
- Alturkistani, H.A.; Abuzinadah, O.A.; Kelany, A.M.; Aziz, G.S.; Alrafiah, A.R. The combined effect of honey and olive oil against methotrexate mediated hepatotoxicity in rats: A biochemical, histological and immunohistological study. Histol. Histopathol. 2019, 34, 1313–1327. [Google Scholar]
- Hadi, S.H.; Al, M.Q.Y.M.A. The role of Juniperus macrocarpa extract as anti-inflammatory and antioxidant on methotrexate-induced acute liver injury in rat model. F1000Research 2025, 14, 131. [Google Scholar] [CrossRef] [PubMed]
- Al-Ghumlas, A.K.; Alhakbany, M.A.; Korish, A.A. Antiapoptotic and anticoagulant effects of camel milk and camel urine in methotrexate-induced hepatotoxicity. CyTA J. Food 2023, 21, 357–365. [Google Scholar] [CrossRef]
- Lee, M.-H.; Hong, I.; Kim, M.; Lee, B.-H.; Kim, J.-H.; Kang, K.-S.; Kim, H.-L.; Yoon, B.-I.; Chung, H.; Kong, G.; et al. Gene expression profiles of murine fatty liver induced by the administration of methotrexate. Toxicology 2008, 249, 75–84. [Google Scholar] [CrossRef]
- Villanueva-Paz, M.; Morán, L.; López-Alcántara, N.; Freixo, C.; Andrade, R.J.; Lucena, M.I.; Cubero, F.J. Oxidative stress in drug-induced liver injury (DILI): From mechanisms to biomarkers for use in clinical practice. Antioxidants 2021, 10, 390. [Google Scholar] [CrossRef]
- Ali, N.; Rashid, S.; Nafees, S.; Hasan, S.K.; Shahid, A.; Majed, F.; Sultana, S. Protective effect of chlorogenic acid against methotrexate induced oxidative stress, inflammation and apoptosis in rat liver: An experimental approach. Chem.-Biol. Interact. 2017, 272, 80–91. [Google Scholar] [CrossRef]
- Alfwuaires, M.A. Galangin mitigates oxidative stress, inflammation, and apoptosis in a rat model of methotrexate hepatotoxicity. Environ. Sci. Pollut. Res. 2022, 29, 20279–20288. [Google Scholar] [CrossRef] [PubMed]
- Xue, R.; Wu, Q.; Guo, L.; Ye, D.; Cao, Q.; Zhang, M.; Xian, Y.; Chen, M.; Yan, K.; Zheng, J. Pyridostigmine attenuated high-fat-diet induced liver injury by the reduction of mitochondrial damage and oxidative stress via α7nAChR and M3AChR. J. Biochem. Mol. Toxicol. 2024, 38, e23671. [Google Scholar] [CrossRef]
- Bezerra, O.C.; França, C.M.; Rocha, J.A.; Neves, G.A.; Souza, P.R.M.; Teixeira Gomes, M.; Malfitano, C.; Loleiro, T.C.A.; Dourado, P.M.; Llesuy, S.; et al. Cholinergic stimulation improves oxidative stress and inflammation in experimental myocardial infarction. Sci. Rep. 2017, 7, 13687. [Google Scholar] [CrossRef] [PubMed]
- Yang, Y.; Liu, Y.; Wang, Y.; Chao, Y.; Zhang, J.; Jia, Y.; Tie, J.; Hu, D. Regulation of SIRT1 and its roles in inflammation. Front. Immunol. 2022, 13, 831168. [Google Scholar] [CrossRef]
- Üstündağ, H.; Kalindemirtaş, F.D.; Doğanay, S.; Demir, Ö.; Kurt, N.; Huyut, M.T.; Özgeriş, B.; Kariper, İ.A. Enhanced efficacy of resveratrol-loaded silver nanoparticle in attenuating sepsis-induced acute liver injury: Modulation of inflammation, oxidative stress, and SIRT1 activation. Shock 2023, 60, 688–697. [Google Scholar] [CrossRef]
- Ren, R.; Wang, Z.; Wu, M.; Wang, H. Emerging roles of SIRT1 in alcoholic liver disease. Int. J. Biol. Sci. 2020, 16, 3174–3183. [Google Scholar] [CrossRef]
- Ilhan, I.; Asci, H.; Candan, I.A.; Savran, M.; Imeci, O.B.; Sevuk, M.A. Cannabidiol mitigates methotrexate-induced hepatic injury via SIRT-1/p53 signaling and mitochondrial pathways: Reduces oxidative stress and inflammation. Drug Chem. Toxicol. 2025, 48, 210–218. [Google Scholar] [CrossRef]
- Dewidar, B.; Meyer, C.; Dooley, S.; Meindl-Beinker, N. TGF-β in hepatic stellate cell activation and liver fibrogenesis—Updated 2019. Cells 2019, 8, 1419. [Google Scholar] [CrossRef]
- Bi, J.; Ge, S. Potential roles of BMP9 in liver fibrosis. Int. J. Mol. Sci. 2014, 15, 20656–20667. [Google Scholar] [CrossRef] [PubMed]
- Tag, H.M. Hepatoprotective effect of mulberry (Morus nigra) leaves extract against methotrexate-induced hepatotoxicity in male albino rat. BMC Complement. Altern. Med. 2015, 15, 252. [Google Scholar] [CrossRef] [PubMed]
- Lamotte, G.; Low, P.A.; Singer, W. Pyridostigmine in autonomic disorders. In Primer on the Autonomic Nervous System, 4th ed.; Llewellyn-Smith, I.J., Verberne, A.J.M., Eds.; Elsevier: Amsterdam, The Netherlands, 2023; pp. 729–731. [Google Scholar]
- Ulloa, L. The vagus nerve and the nicotinic anti-inflammatory pathway. Nat. Rev. Drug Discov. 2005, 4, 673–684. [Google Scholar] [CrossRef] [PubMed]
- Pavlov, V.A. Cholinergic modulation of inflammation. Int. J. Clin. Exp. Med. 2008, 1, 203–212. [Google Scholar]
- Pérez-Gómez, E.; Del Castillo, G.; Santibáñez, J.F.; López-Novoa, J.M.; Bernabéu, C.; Quintanilla, M. The role of the TGF-β coreceptor endoglin in cancer. Sci. World J. 2010, 10, 2367–2384. [Google Scholar] [CrossRef]

| Control | MTX + Saline | MTX + Pyridostigmine | |
|---|---|---|---|
| Liver TGF-β level (pg/g) | 0.45 ± 0.1 | 2.1 ± 0.2 * | 1.6 ± 0.3 # |
| Liver MDA level (nmol/g tissue) | 27.5 ± 0.3 | 58.1 ± 2.7 ** | 39.7 ± 0.6 # |
| Liver SIRT1 level (pg/mg) | 2.16 ± 0.1 | 0.95 ± 0.08 * | 1.33 ± 0.1 # |
| Liver BMP-9 level (pg/mg) | 0.62 ± 0.2 | 1.5 ± 0.1 ** | 0.8 ± 0.1 ## |
| Liver Endoglin level (pg/mg) | 0.84 ± 0.08 | 1.95 ± 0.1 | 1.12 ± 0.05 # |
| Plasma Cytokeratin-18 level (ng/mL) | 0.9 ± 0.2 | 2.62 ± 0.4 ** | 1.1 ± 0.2 ## |
| Plasma MDA level (nM) | 28.2 ± 0.6 | 136.1 ± 5.3 ** | 91.5 ± 2.2 # |
| Plasma ALT (IU/L) | 19.1 ± 0.4 | 38.7 ± 0.9 * | 27.1 ± 0.5 # |
| Hepatocyte necrosis | 0.1 ± 0.1 | 1.9 ± 0.2 ** | 0.5 ± 0.1 ## |
| Fibrosis | 0.1 ± 0.1 | 1.7 ± 0.1 ** | 0.6 ± 0.1 ## |
| Cellular infiltration | 0.1 ± 0.1 | 1.1 ± 0.2 ** | 0.7 ± 0.1 # |
Disclaimer/Publisher’s Note: The statements, opinions and data contained in all publications are solely those of the individual author(s) and contributor(s) and not of MDPI and/or the editor(s). MDPI and/or the editor(s) disclaim responsibility for any injury to people or property resulting from any ideas, methods, instructions or products referred to in the content. |
© 2025 by the authors. Licensee MDPI, Basel, Switzerland. This article is an open access article distributed under the terms and conditions of the Creative Commons Attribution (CC BY) license (https://creativecommons.org/licenses/by/4.0/).
Share and Cite
Ulusan, M.; Erdogan, M.A.; Simsek, O.; Ustundag, H.; Dogan, Z.; Ciftci, B.B.; Kocamuftuoglu, M.; Orhan, I.; Erbas, O. Pyridostigmine Mitigates Methotrexate-Induced Liver Fibrosis in Rats: Association with Changes in BMP-9, SIRT1, and Endoglin Expression. Biomedicines 2025, 13, 1502. https://doi.org/10.3390/biomedicines13061502
Ulusan M, Erdogan MA, Simsek O, Ustundag H, Dogan Z, Ciftci BB, Kocamuftuoglu M, Orhan I, Erbas O. Pyridostigmine Mitigates Methotrexate-Induced Liver Fibrosis in Rats: Association with Changes in BMP-9, SIRT1, and Endoglin Expression. Biomedicines. 2025; 13(6):1502. https://doi.org/10.3390/biomedicines13061502
Chicago/Turabian StyleUlusan, Mehmet, Mumin Alper Erdogan, Ozkan Simsek, Hilal Ustundag, Zafer Dogan, Bertug Bekir Ciftci, Mesih Kocamuftuoglu, Imdat Orhan, and Oytun Erbas. 2025. "Pyridostigmine Mitigates Methotrexate-Induced Liver Fibrosis in Rats: Association with Changes in BMP-9, SIRT1, and Endoglin Expression" Biomedicines 13, no. 6: 1502. https://doi.org/10.3390/biomedicines13061502
APA StyleUlusan, M., Erdogan, M. A., Simsek, O., Ustundag, H., Dogan, Z., Ciftci, B. B., Kocamuftuoglu, M., Orhan, I., & Erbas, O. (2025). Pyridostigmine Mitigates Methotrexate-Induced Liver Fibrosis in Rats: Association with Changes in BMP-9, SIRT1, and Endoglin Expression. Biomedicines, 13(6), 1502. https://doi.org/10.3390/biomedicines13061502

