Assisting Glaucoma Screening Process Using Feature Excitation and Information Aggregation Techniques in Retinal Fundus Images
Abstract
1. Introduction
- A novel architecture, FEDS-Net, is developed for accurate OC and OD segmentation to assist the existing glaucoma screening procedures. FEDS-Net uses feature excitation and information aggregation (IA) to significantly improve prediction accuracy.
- In FEDS-Net, rapid feature downsampling (RFD) and efficient convolutional depth (ECD) are also introduced for diverse and efficient learning, respectively.
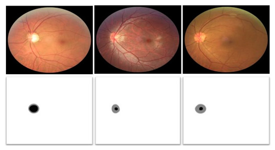
- The proposed architecture is evaluated using three open databases: REFUGE1, Drishti-GS2, and Rim-One-r33. FEDS-Net showed excellent performance compared with state-of-the-art methods. In addition, outperforming results are obtained with a superior computational efficiency having a requirement of only 2.73 million parameters for full training.
2. Related Work
2.1. Methods Based on Handcrafted Features
2.2. Methods Based on Deep Features
3. Material and Methods
3.1. Datasets
3.2. Proposed Method
3.2.1. Overview of the Proposed Method
3.2.2. Explanation of the Proposed Method
3.2.3. Training, Testing, and the Experimental Environment of the Proposed Method
4. Results
4.1. FEDS-Net Evaluation Using REFUGE Database
4.2. FEDS-Net Evaluation Using Drishti-GS Database
4.3. FEDS-Net Evaluation Using Rim-One-r3 Database
5. Discussion
5.1. Assisting the Glaucoma Screening Process
5.2. OC and OD Segmentation for the Diagnosis of Other Diseases
5.3. Demonstrating Learning of the Network using Heat Activation Maps
6. Conclusions
Author Contributions
Funding
Institutional Review Board Statement
Informed Consent Statement
Data Availability Statement
Conflicts of Interest
References
- Troy, J.B. Visual prostheses: Technological and socioeconomic challenges. Engineering 2015, 1, 288–291. [Google Scholar] [CrossRef]
- Shanmugam, P.; Raja, J.; Pitchai, R. An automatic recognition of glaucoma in fundus images using deep learning and random forest classifier. Appl. Soft Comput. 2021, 109, 107512. [Google Scholar] [CrossRef]
- Haider, A.; Arsalan, M.; Choi, J.; Sultan, H.; Park, K.R. Robust segmentation of underwater fish based on multi-level feature accumulation. Front. Mar. Sci. 2022, 9, 1010565. [Google Scholar] [CrossRef]
- Arsalan, M.; Haider, A.; Cho, S.W.; Kim, Y.H.; Park, K.R. Human blastocyst components detection using multiscale aggregation semantic segmentation network for embryonic analysis. Biomedicines 2022, 10, 1717. [Google Scholar] [CrossRef]
- Arsalan, M.; Khan, T.M.; Naqvi, S.S.; Nawaz, M.; Razzak, I. Prompt deep light-weight vessel segmentation network (PLVS-Net). IEEE/ACM Trans. Comput. Biol. Bioinform. 2022, 1–9. [Google Scholar] [CrossRef]
- Dutta, M.K.; Mourya, A.K.; Singh, A.; Parthasarathi, M.; Burget, R.; Riha, K. Glaucoma detection by segmenting the super pixels from fundus colour retinal images. In Proceedings of the International Conference on Medical Imaging, m-Health, and Emerging Communication Systems, Greater Noida, India, 7–8 November 2014; pp. 86–90. [Google Scholar]
- Thompson, A.C.; Jammal, A.A.; Medeiros, F.A. A review of deep learning for screening, diagnosis, and detection of glaucoma progression. Transl. Vis. Sci. Technol. 2020, 9, 42. [Google Scholar] [CrossRef]
- Dasgupta, S.; Mukherjee, R.; Dutta, K.; Sen, A. Deep learning based framework for automatic diagnosis of glaucoma based on analysis of focal notching in the optic nerve head. arXiv 2021, arXiv:2112.05748. [Google Scholar]
- Sarathi, M.P.; Dutta, M.K.; Singh, A.; Travieso, C.M. Blood Vessel inpainting based technique for efficient localization and segmentation of optic disc in digital fundus images. Biomed. Signal Process. Control 2016, 25, 108–117. [Google Scholar] [CrossRef]
- Septiarini, A.; Harjoko, A.; Pulungan, R.; Ekantini, R. Automated detection of retinal nerve fiber layer by texture-based analysis for glaucoma evaluation. Healthc. Inf. Res 2018, 24, 335–345. [Google Scholar] [CrossRef]
- Yin, F.; Liu, J.; Ong, S.H.; Sun, Y.; Wong, D.W.K.; Tan, N.M.; Cheung, C.; Baskaran, M.; Aung, T.; Wong, T.Y. Model-based optic nerve head segmentation on retinal fundus images. In Proceedings of the IEEE on International Conference on IEEE Engineering in Medicine and Biology Society, Boston, MA, USA, 30 August–3 September 2011; pp. 2626–2629. [Google Scholar]
- Roychowdhury, S.; Koozekanani, D.D.; Kuchinka, S.N.; Parhi, K.K. Optic disc boundary and vessel origin segmentation of fundus images. IEEE J. Biomed. Health Inform. 2016, 20, 1562–1574. [Google Scholar] [CrossRef]
- Morales, S.; Naranjo, V.; Angulo, J.; Alcañiz, M. Automatic detection of optic disc based on PCA and mathematical morphology. IEEE Trans. Med. Imaging 2013, 32, 786–796. [Google Scholar] [CrossRef] [PubMed]
- Cheng, J.; Liu, J.; Wong, D.W.K.; Yin, F.; Cheung, C.; Baskaran, M.; Aung, T.; Wong, T.Y. Automatic optic disc segmentation with peripapillary atrophy elimination. In Proceedings of the IEEE International Conference on IEEE Engineering in Medicine and Biology Society, Boston, MA, USA, 30 August–3 September 2011; pp. 6224–6227. [Google Scholar]
- Xue, L.-Y.; Lin, J.-W.; Cao, X.-R.; Zheng, S.-H.; Yu, L. Optic disk detection and segmentation for retinal images using saliency model based on clustering. J. Comput. 2018, 29, 66–79. [Google Scholar] [CrossRef]
- Mittapalli, P.S.; Kande, G.B. Segmentation of optic disk and optic cup from digital fundus images for the assessment of glaucoma. Biomed. Signal Process. Control 2016, 24, 34–46. [Google Scholar] [CrossRef]
- Thakur, N.; Juneja, M. Optic disc and optic cup segmentation from retinal images using hybrid approach. Expert Syst. Appl. 2019, 127, 308–322. [Google Scholar] [CrossRef]
- Arsalan, M.; Haider, A.; Choi, J.; Park, K.R. detecting blastocyst components by artificial intelligence for human embryological analysis to improve success rate of in vitro fertilization. J. Pers. Med. 2022, 12, 124. [Google Scholar] [CrossRef]
- Haider, A.; Arsalan, M.; Lee, Y.W.; Park, K.R. Deep features aggregation-based joint segmentation of cytoplasm and nuclei in white blood cells. IEEE J. Biomed. Health Inform. 2022, 26, 3685–3696. [Google Scholar] [CrossRef]
- Arsalan, M.; Haider, A.; Koo, J.H.; Park, K.R. Segmenting retinal vessels using a shallow segmentation network to aid ophthalmic analysis. Mathematics 2022, 10, 1536. [Google Scholar] [CrossRef]
- Hervella, Á.S.; Rouco, J.; Novo, J.; Ortega, M. End-to-end multi-task learning for simultaneous optic disc and cup segmentation and glaucoma classification in eye fundus images. Appl. Soft Comput. 2022, 116, 108347. [Google Scholar] [CrossRef]
- Zhang, L.; Lim, C.P. Intelligent optic disc segmentation using improved particle swarm optimization and evolving ensemble models. Appl. Soft Comput. 2020, 92, 106328. [Google Scholar] [CrossRef]
- Bian, X.; Luo, X.; Wang, C.; Liu, W.; Lin, X. Optic disc and optic cup segmentation based on anatomy guided cascade network. Comput. Methods Programs Biomed. 2020, 197, 105717. [Google Scholar] [CrossRef]
- Al-Bander, B.; Williams, B.M.; Al-Nuaimy, W.; Al-Taee, M.A.; Pratt, H.; Zheng, Y. Dense fully convolutional segmentation of the optic disc and cup in colour fundus for glaucoma diagnosis. Symmetry 2018, 10, 87. [Google Scholar] [CrossRef]
- Sreng, S.; Maneerat, N.; Hamamoto, K.; Win, K.Y. Deep learning for optic disc segmentation and glaucoma diagnosis on retinal images. Appl. Sci. 2020, 10, 4916. [Google Scholar] [CrossRef]
- Wang, S.; Yu, L.; Yang, X.; Fu, C.-W.; Heng, P.-A. Patch-based output space adversarial learning for joint optic disc and cup segmentation. IEEE Trans. Med. Imaging 2019, 38, 2485–2495. [Google Scholar] [CrossRef] [PubMed]
- Son, J.; Park, S.J.; Jung, K.-H. Towards accurate segmentation of retinal vessels and the optic disc in fundoscopic images with generative adversarial networks. J. Digit. Imaging 2019, 32, 499–512. [Google Scholar] [CrossRef]
- Ronneberger, O.; Fischer, P.; Brox, T. U-Net: Convolutional networks for biomedical image segmentation. In Proceedings of the International Conference on Medical Image Computing and Computer-Assisted Intervention, Munich, Germany, 5–9 October 2015; pp. 234–241. [Google Scholar]
- Gao, J.; Jiang, Y.; Zhang, H.; Wang, F. Joint disc and cup segmentation based on recurrent fully convolutional network. PLoS ONE 2020, 15, e0238983. [Google Scholar] [CrossRef]
- Civit-Masot, J.; Luna-Perejón, F.; Corral, J.M.R.; Domínguez-Morales, M.; Morgado-Estévez, A.; Civit, A. A study on the use of edge TPUs for eye fundus image segmentation. Eng. Appl. Artif. Intell. 2021, 104, 104384. [Google Scholar] [CrossRef]
- Sevastopolsky, A. Optic disc and cup segmentation methods for glaucoma detection with modification of U-net convolutional neural network. Pattern Recognit. Image Anal. 2017, 27, 618–624. [Google Scholar] [CrossRef]
- Badrinarayanan, V.; Kendall, A.; Cipolla, R. SegNet: A deep convolutional encoder-decoder architecture for image segmentation. IEEE Trans. Pattern Anal. Mach. Intell. 2017, 39, 2481–2495. [Google Scholar] [CrossRef] [PubMed]
- Hosseinzadeh Kassani, S.; Hosseinzadeh Kassani, P.; Wesolowski, M.J.; Schneider, K.A.; Deters, R. Deep transfer learning based model for colorectal cancer histopathology segmentation: A comparative study of deep pre-trained models. Int. J. Med. Inform. 2022, 159, 104669. [Google Scholar] [CrossRef] [PubMed]
- Kong, C.; Lucey, S. Take it in your stride: Do we need striding in CNNs? arXiv 2017, arXiv:1712.02502. [Google Scholar] [CrossRef]
- Bengani, S.; Jothi, J.A.A.J.; Vadivel, S. Automatic segmentation of optic disc in retinal fundus images using semi-supervised deep learning. Multimed. Tools Appl. 2021, 80, 3443–3468. [Google Scholar] [CrossRef]
- MATLAB R2021a. Available online: https://www.mathworks.com/products/matlab.html (accessed on 5 March 2022).
- GeForce GTX. Available online: https://www.nvidia.com/en-gb/geforce/products/10series/geforce-gtx-1070/ (accessed on 5 March 2022).
- Cheng, P.; Lyu, J.; Huang, Y.; Tang, X. Probability distribution guided optic disc and cup segmentation from fundus images. In Proceedings of the IEEE International Conference in Medicine & Biology Society, Montreal, QC, Canada, 20–24 July 2020; pp. 1976–1979. [Google Scholar]
- Haider, A.; Arsalan, M.; Lee, M.B.; Owais, M.; Mahmood, T.; Sultan, H.; Park, K.R. Artificial Intelligence-based computer-aided diagnosis of glaucoma using retinal fundus images. Expert Syst. Appl. 2022, 207, 117968. [Google Scholar] [CrossRef]
- Sarhan, A.; Al-KhazÁly, A.; Gorner, A.; Swift, A.; Rokne, J.; Alhajj, R.; Crichton, A. Utilizing transfer learning and a customized loss function for optic disc segmentation from retinal images. arXiv 2020, arXiv:2010.00583. [Google Scholar]
- Almubarak, H.; Bazi, Y.; Alajlan, N. Two-stage mask-RCNN approach for detecting and segmenting the optic nerve head, optic disc, and optic cup in fundus images. Appl. Sci. 2020, 10, 3833. [Google Scholar] [CrossRef]
- Zhang, Z.; Fu, H.; Dai, H.; Shen, J.; Pang, Y.; Shao, L. ET-Net: A generic edge-attention guidance network for medical image segmentation. In Proceedings of the Medical Image Computing and Computer Assisted Intervention, Shenzhen, China, 13–17 October 2019; pp. 442–450. [Google Scholar]
- Orlando, J.I.; Fu, H.; Barbosa Breda, J.; van Keer, K.; Bathula, D.R.; Diaz-Pinto, A.; Fang, R.; Heng, P.-A.; Kim, J.; Lee, J.; et al. REFUGE challenge: A unified framework for evaluating automated methods for glaucoma assessment from fundus photographs. Med. Image Anal. 2020, 59, 101570. [Google Scholar] [CrossRef] [PubMed]
- Li, S.; Sui, X.; Luo, X.; Xu, X.; Liu, Y.; Goh, R. Medical image segmentation using squeeze-and-expansion transformers. arXiv 2021, arXiv:2105.09511. [Google Scholar]
- Hervella, Á.S.; Ramos, L.; Rouco, J.; Novo, J.; Ortega, M. Multi-modal self-supervised pre-training for joint optic disc and cup segmentation in eye fundus images. In Proceedings of the IEEE International Conference on Acoustics, Speech and Signal Processing, Barcelona, Spain, 4–9 May 2020; pp. 961–965. [Google Scholar]
- Liu, S.; Hong, J.; Lu, X.; Jia, X.; Lin, Z.; Zhou, Y.; Liu, Y.; Zhang, H. Joint optic disc and cup segmentation using semi-supervised conditional GANs. Comput. Biol. Med. 2019, 115, 103485. [Google Scholar] [CrossRef]
- Yu, S.; Xiao, D.; Frost, S.; Kanagasingam, Y. Robust optic disc and cup segmentation with deep learning for glaucoma detection. Comput. Med. Imaging Graph. 2019, 74, 61–71. [Google Scholar] [CrossRef]
- Chakravarty, A.; Sivaswamy, J. RACE-Net: A recurrent neural network for biomedical image segmentation. IEEE J. Biomed. Health Inform. 2019, 23, 1151–1162. [Google Scholar] [CrossRef]
- Zilly, J.; Buhmann, J.M.; Mahapatra, D. Glaucoma detection using entropy sampling and ensemble learning for automatic optic cup and disc segmentation. Comput. Med. Imaging Graph. 2017, 55, 28–41. [Google Scholar] [CrossRef]
- Chakravarty, A.; Sivaswamy, J. Joint optic disc and cup boundary extraction from monocular fundus images. Comput. Methods Programs Biomed. 2017, 147, 51–61. [Google Scholar] [CrossRef] [PubMed]
- Shankaranarayana, S.M.; Ram, K.; Mitra, K.; Sivaprakasam, M. Joint optic disc and cup segmentation using fully convolutional and adversarial networks. In Proceedings of the International Workshop on Fetal and Infant Image Analysis, Québec City, QC, Canada, 10 September 2017; pp. 168–176. [Google Scholar]
- Haleem, M.S.; Han, L.; van Hemert, J.; Li, B.; Fleming, A.; Pasquale, L.R.; Song, B.J. A novel adaptive deformable model for automated optic disc and cup segmentation to aid glaucoma diagnosis. J. Med. Syst. 2017, 42, 20. [Google Scholar] [CrossRef] [PubMed]
- Sedai, S.; Roy, P.K.; Mahapatra, D.; Garnavi, R. Segmentation of optic disc and optic cup in retinal fundus images using shape regression. In Proceedings of the International Conference of the IEEE Engineering on Medicine and Biology Society, Orlando, FL, USA, 16–20 August 2016; pp. 3260–3264. [Google Scholar]
- Joshi, G.D.; Sivaswamy, J.; Krishnadas, S.R. Optic disk and cup segmentation from monocular color retinal images for glaucoma assessment. IEEE Trans. Med. Imaging 2011, 30, 1192–1205. [Google Scholar] [CrossRef] [PubMed]
- Sivaswamy, J.; Krishnadas, S.R.; Datt Joshi, G.; Jain, M.; Syed Tabish, A.U. Drishti-GS: Retinal image dataset for optic nerve head (ONH) segmentation. In Proceedings of the IEEE International Symposium on Biomedical Imaging, Beijing, China, 29 April–2 May 2014; pp. 53–56. [Google Scholar]
- Sun, J.-D.; Yao, C.; Liu, J.; Liu, W.; Yu, Z.-K. GNAS-U2Net: A new optic cup and optic disc segmentation architecture with genetic neural architecture search. IEEE Signal Process. Lett. 2022, 29, 697–701. [Google Scholar] [CrossRef]
- Maninis, K.-K.; Pont-Tuset, J.; Arbeláez, P.; Van Gool, L. Deep retinal image understanding. In Proceedings of the Medical Image Computing and Computer-Assisted Intervention, Athens, Greece, 17–21 October 2016; pp. 140–148. [Google Scholar]
- Salehi, S.S.M.; Erdogmus, D.; Gholipour, A. Tversky loss function for image segmentation using 3d fully convolutional deep networks. In Proceedings of the International Workshop on Machine Learning in Medical Imaging, Québec City, QC, Canada, 10 September 2017; pp. 379–387. [Google Scholar]
- Thakur, N.; Juneja, M. Survey on segmentation and classification approaches of optic cup and optic disc for diagnosis of glaucoma. Biomed. Signal Process. Control 2018, 42, 162–189. [Google Scholar] [CrossRef]
- Pathan, S.; Kumar, P.; Pai, R.M.; Bhandary, S.V. Automated segmentation and classifcation of retinal features for glaucoma diagnosis. Biomed. Signal Process. Control 2021, 63, 102244. [Google Scholar] [CrossRef]
- Malik, F.H.; Batool, F.; Rubab, A.; Chaudhary, N.A.; Khan, K.B.; Qureshi, M.A. Retinal disorder as a biomarker for detection of human diseases. In Proceedings of the IEEE International Conference on Multitopic, Bahawalpur, Pakistan, 5–7 November 2020; pp. 1–6. [Google Scholar]
- Vajaranant, T.S.; Hallak, J.; Espeland, M.A.; Pasquale, L.R.; Klein, B.E.; Meuer, S.M.; Rapp, S.R.; Haan, M.N.; Maki, P.M. An association between large optic nerve cupping and cognitive function. Am. J. Ophthalmol. 2019, 206, 40–47. [Google Scholar] [CrossRef]
- Selvaraju, R.R.; Cogswell, M.; Das, A.; Vedantam, R.; Parikh, D.; Batra, D. Grad-CAM: Visual explanations from deep networks via gradient-based localization. In Proceedings of the IEEE International Conference on Computer Vision, Venice, Italy, 22–29 October 2017; pp. 618–626. [Google Scholar]













| Methods | OC | OD | ||||||||
|---|---|---|---|---|---|---|---|---|---|---|
| AC | S | SPE | DSC | JCI | AC | S | SPE | DSC | JCI | |
| Variational auto-encoder [38] | - | - | - | 88.91 | - | - | - | - | 95.81 | - |
| Patch-based pOSALseg-T [26] | - | - | - | 88.2 | - | - | - | - | 96.0 | - |
| M-Ada [21] | - | - | - | 88.25 | - | - | - | 95.85 | - | |
| SLSR-Net [39] | 99.90 | 94.70 | 99.90 | 89.50 | 81.50 | 99.80 | 96.90 | 99.90 | 96.50 | 93.30 |
| U-Net + VGG16 encoder [40] | - | - | - | - | - | 99.8 | 95.7 | - | 94.0 | 89.0 |
| Mask-RCNN [41] | - | - | - | 85.4 | - | - | - | - | 94.7 | - |
| ET-Net [42] | - | - | - | 89.1 | - | - | - | - | 95.2 | - |
| U-Net [28] | - | - | - | 85.4 | - | - | - | - | 93.0 | - |
| Self-attention [23] | 85.36 | 95.09 | ||||||||
| Team masker [43] | - | - | - | 88.3 | - | - | - | - | 94.6 | - |
| Cascaded network [25] | - | - | - | 88.04 | - | - | - | - | 93.31 | - |
| Team BUCT [43] | - | - | - | 87.2 | - | - | - | - | 95.2 | - |
| Segtran (eff-B4) [44] | - | - | - | 87.2 | - | - | - | - | 96.1 | - |
| Multi-modal approach [45] | - | - | - | - | 79.02 | - | - | - | - | 92.25 |
| Conditional GAN [46] | - | - | - | - | 80.0 | - | - | - | - | 88.4 |
| FEDS-Net (Proposed method) | 99.91 | 90.40 | 99.96 | 89.80 | 82.13 | 99.89 | 96.62 | 99.94 | 96.53 | 93.39 |
| Methods | OC | OD | ||||||||
|---|---|---|---|---|---|---|---|---|---|---|
| AC | S | SPE | DSC | JCI | AC | S | SPE | DSC | JCI | |
| U-Net with VGG16 encoder [40] | - | - | - | - | - | 99.79 | 97.54 | - | 96.5 | 93.1 |
| Mod U-Net [47] | - | - | - | 88.7 | 80.4 | - | - | - | 97.3 | 94.9 |
| RACE-Net [48] | - | - | - | 87.0 | - | - | - | - | 97.0 | - |
| RetinaGAN [27] | - | - | - | - | - | - | - | - | 96.7 | - |
| Entropy sampling [49] | - | - | - | 87.1 | - | - | - | - | 97.3 | - |
| FC-DenseNet [24] | 99.4 | - | - | 82.8 | 71.1 | 99.6 | - | - | 94.9 | 90.4 |
| Depth estimation [50] | - | - | - | 83.0 | - | - | - | - | 97.0 | - |
| FCN and adversarial [51] | - | - | - | 85.0 | 75.0 | - | - | - | - | - |
| Edge smoothing approach [52] | - | - | - | 81.0 | - | - | - | - | 95.0 | - |
| Modified U-Net [31] | - | - | - | 85.0 | - | - | - | - | - | - |
| Shape regression [53] | - | - | - | 85.0 | - | - | - | - | 95.0 | - |
| Multi-Stage framework [54] | - | - | - | 84.0 | - | - | - | - | 97.0 | - |
| Drishti-GS Challenge [55] | - | - | - | 79.0 | - | - | - | - | 96.0 | - |
| Edge TPU [30] | - | - | - | 88.0 | - | - | - | - | 90.0 | - |
| U-Net [28] | 98.1 | 86.5 | 98.3 | 70.2 | 57.8 | 99.2 | 92.8 | 99.4 | 91.3 | 85.8 |
| NAS-U2-Net [56] | - | - | - | 87.69 | - | - | - | - | 96.95 | - |
| FEDS-Net (Proposed method) | 99.66 | 93.28 | 99.81 | 90.40 | 83.38 | 99.86 | 97.64 | 99.94 | 98.01 | 95.99 |
| Methods | OC | OD | ||||||||
|---|---|---|---|---|---|---|---|---|---|---|
| AC | S | SPE | DSC | JCI | AC | S | SPE | DSC | JCI | |
| Patch-based pOSALseg-T [26] | - | - | - | 85.6 | - | - | - | - | 96.8 | - |
| DRIU [57] | - | - | - | - | - | - | - | - | 95.5 | - |
| U-Net with modification [31] | - | - | - | - | - | - | - | - | 95.0 | - |
| RetinaGAN [27] | - | - | - | - | - | - | - | - | 95.5 | - |
| Entropy sampling [49] | - | - | - | 82.4 | - | - | - | - | 94.2 | - |
| Auto-encoder [58] | - | - | - | - | - | 99.45 | 87.30 | 99.81 | 90.2 | 88.24 |
| Edge TPU [30] | - | - | - | 84.0 | - | - | - | - | 85.0 | - |
| FEDS-Net (Proposed method) | 99.60 | 87.67 | 99.80 | 86.20 | 76.20 | 99.73 | 96.97 | 99.86 | 97.01 | 94.13 |
| Methods | Number of Parameters (Million) | DSC (%) | |
|---|---|---|---|
| OC | OD | ||
| Team masker [43] | 1224 | 88.3 | 94.6 |
| Mask-RCNN [41] | 127 | 85.4 | 94.7 |
| Segtran (eff-B4) [44] | 93.1 | 87.2 | 96.1 |
| pOSAL (Xception) [26] | 41.3 | 88.5 | 95.3 |
| U-Net [28] | 31.03 | 85.4 | 93.0 |
| U-Net with VGG16 encoder [40] | 16.8 | - | 94.0 |
| pOSAL (MobileNetV2) [26] | 5.8 | 88.5 | 95.6 |
| FEDS-Net (Proposed) | 2.73 | 89.80 | 96.53 |
| Sr. | Dataset | Inference Time (Seconds) |
|---|---|---|
| 1 | REFUGE | 0.11 |
| 2 | Rim-One-r3 | 0.091 |
| 3 | Drishti-GS | 0.097 |
Disclaimer/Publisher’s Note: The statements, opinions and data contained in all publications are solely those of the individual author(s) and contributor(s) and not of MDPI and/or the editor(s). MDPI and/or the editor(s) disclaim responsibility for any injury to people or property resulting from any ideas, methods, instructions or products referred to in the content. |
© 2023 by the authors. Licensee MDPI, Basel, Switzerland. This article is an open access article distributed under the terms and conditions of the Creative Commons Attribution (CC BY) license (https://creativecommons.org/licenses/by/4.0/).
Share and Cite
Raza, A.; Adnan, S.; Ishaq, M.; Kim, H.S.; Naqvi, R.A.; Lee, S.-W. Assisting Glaucoma Screening Process Using Feature Excitation and Information Aggregation Techniques in Retinal Fundus Images. Mathematics 2023, 11, 257. https://doi.org/10.3390/math11020257
Raza A, Adnan S, Ishaq M, Kim HS, Naqvi RA, Lee S-W. Assisting Glaucoma Screening Process Using Feature Excitation and Information Aggregation Techniques in Retinal Fundus Images. Mathematics. 2023; 11(2):257. https://doi.org/10.3390/math11020257
Chicago/Turabian StyleRaza, Ali, Sharjeel Adnan, Muhammad Ishaq, Hyung Seok Kim, Rizwan Ali Naqvi, and Seung-Won Lee. 2023. "Assisting Glaucoma Screening Process Using Feature Excitation and Information Aggregation Techniques in Retinal Fundus Images" Mathematics 11, no. 2: 257. https://doi.org/10.3390/math11020257
APA StyleRaza, A., Adnan, S., Ishaq, M., Kim, H. S., Naqvi, R. A., & Lee, S.-W. (2023). Assisting Glaucoma Screening Process Using Feature Excitation and Information Aggregation Techniques in Retinal Fundus Images. Mathematics, 11(2), 257. https://doi.org/10.3390/math11020257

