Genome-Wide Association Studies on Chinese Wheat Cultivars Reveal a Novel Fusarium Crown Rot Resistance Quantitative Trait Locus on Chromosome 3BL
Abstract
1. Introduction
2. Results
2.1. Evaluation of FCR Resistance in 435 Chinese Wheat Germplasms Seedlings
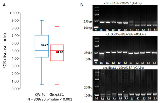
2.2. A Novel FCR-Resistant QTL on the Long Arm of Chromosome 3B Was Identified through GWAS
2.3. Design of CAPS/dCAPS Markers Associated with Qfcr.hebau-3BL
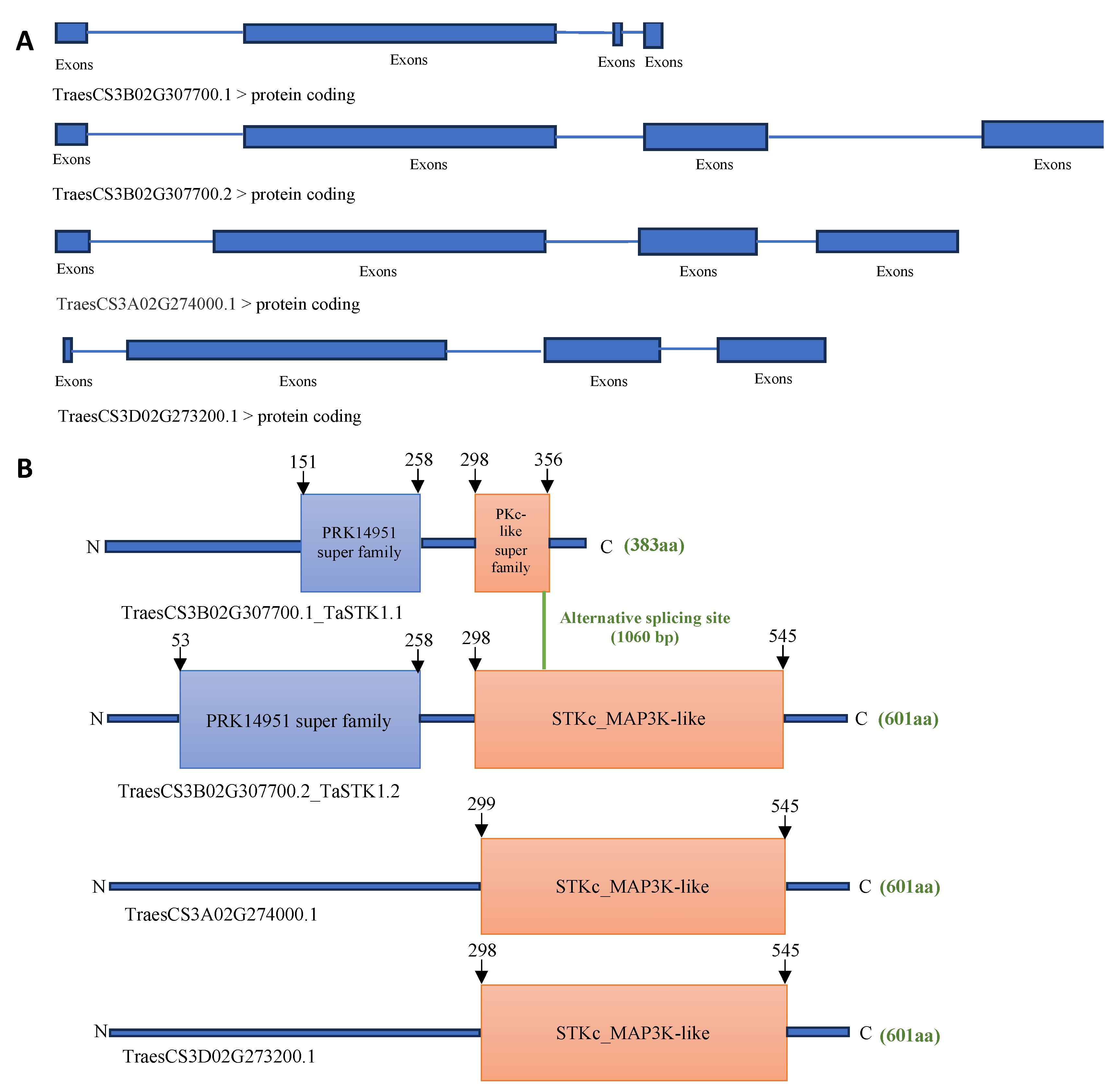
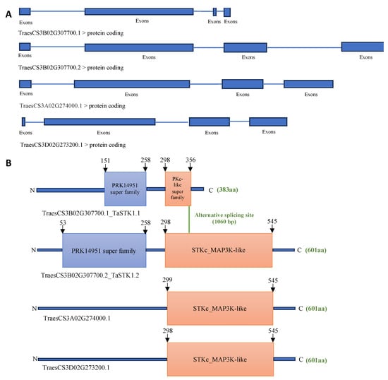
2.4. Prediction of Candidate FCR-Resistant Genes within Qfcr.hebau-3BL
2.5. Opposing Functions of TaSTK1.1 and TaSTK1.2 against Fungal Disease
3. Discussion
4. Materials and Methods
4.1. Wheat Planting and FCR Inoculation
4.2. GWAS Procedure
4.3. Design and Validation of CAPS/dCAPS Markers
4.4. Prediction of Candidate FCR-Resistant Genes
4.5. Transient Expression of GFP-TaSTK1.1 and GFP-TaSTK1.2
5. Conclusions
Supplementary Materials
Author Contributions
Funding
Data Availability Statement
Conflicts of Interest
References
- Zhou, H.; He, X.; Wang, S.; Ma, Q.; Sun, B.; Ding, S.; Chen, L.; Zhang, M.; Li, H. Diversity of the Fusarium pathogens associated with crown rot in the Huanghuai wheat-growing region of China. Environ. Microbiol. 2019, 21, 2740–2754. [Google Scholar] [CrossRef] [PubMed]
- Kazan, K.; Gardiner, D.M. Fusarium crown rot caused by Fusarium pseudograminearum in cereal crops: Recent progress and future prospects. Mol. Plant Pathol. 2018, 19, 1547–1562. [Google Scholar] [CrossRef] [PubMed]
- Wang, J.; Wang, X.; Xu, M.; Feng, G.; Zhang, W.; Yang, X.; Huang, S. Contributions of wheat and maize residues to soil organic carbon under long-term rotation in north China. Sci. Rep. 2015, 5, 11409. [Google Scholar] [CrossRef]
- Peralta, A.L.; Sun, Y.; McDaniel, M.D.; Lennon, J.T. Crop rotational diversity increases disease suppressive capacity of soil microbiomes. Ecosphere 2018, 9, e02235. [Google Scholar] [CrossRef]
- Li, H.B.; Xie, G.Q.; Ma, J.; Liu, G.R.; Wen, S.M.; Ban, T.; Chakraborty, S.; Liu, C.J. Genetic relationships between resistances to Fusarium head blight and crown rot in bread wheat (Triticum aestivum L.). Theor. Appl. Genet. 2010, 121, 941–950. [Google Scholar] [CrossRef] [PubMed]
- Shi, S.; Zhao, J.; Pu, L.; Sun, D.; Han, D.; Li, C.; Feng, X.; Fan, D.; Hu, X. Identification of new sources of resistance to crown rot and Fusarium head blight in Wheat. Plant Dis. 2020, 104, 1979–1985. [Google Scholar] [CrossRef] [PubMed]
- Wang, H.; Sun, S.; Ge, W.; Zhao, L.; Hou, B.; Wang, K.; Lyu, Z.; Chen, L.; Xu, S.; Guo, J. Horizontal gene transfer of Fhb7 from fungus underlies Fusarium head blight resistance in wheat. Science 2020, 368, eaba5435. [Google Scholar] [CrossRef]
- Su, J.; Zhao, J.; Zhao, S.; Li, M.; Pang, S.; Kang, Z.; Zhen, W.; Chen, S.; Chen, F.; Wang, X. Genetics of resistance to common root rot (spot blotch), Fusarium crown rot, and sharp eyespot in wheat. Front. Genet. 2021, 12, 699342. [Google Scholar] [CrossRef]
- Xu, X.; Su, Y.; Yang, J.; Li, J.; Gao, Y.; Li, C.; Wang, X.; Gou, L.; Zheng, Z.; Xie, C.; et al. A novel QTL conferring Fusarium crown rot resistance on chromosome 2A in a wheat EMS mutant. Theor. Appl. Genet. 2024, 137, 49. [Google Scholar] [CrossRef]
- Jin, J.; Duan, S.; Qi, Y.; Yan, S.; Li, W.; Li, B.; Xie, C.; Zhen, W.; Ma, J. Identification of a novel genomic region associated with resistance to Fusarium crown rot in wheat. Theor. Appl. Genet. 2020, 133, 2063–2073. [Google Scholar] [CrossRef]
- Lin, Y.; Chen, H.; Yan, N.; Li, C.; Hou, S.; Mou, Y.; Wu, F.; Wang, Z.; Shi, H.; Li, C. Identification and genome-wide association analysis for Fusarium crown rot resistance in wheat. Plant Dis. 2022, 107, 1151–1158. [Google Scholar] [CrossRef] [PubMed]
- Li, J.; Zhai, S.; Xu, X.; Su, Y.; Yu, J.; Gao, Y.; Yang, J.; Zheng, Z.; Li, B.; Sun, Q. Dissecting the genetic basis of Fusarium crown rot resistance in wheat by genome wide association study. Theor. Appl. Genet. 2024, 137, 43. [Google Scholar] [CrossRef]
- Pariyar, S.R.; Erginbas-Orakci, G.; Dadshani, S.; Chijioke, O.B.; Léon, J.; Dababat, A.A.; Grundler, F.M. Dissecting the genetic complexity of Fusarium crown rot resistance in wheat. Sci. Rep. 2020, 10, 3200. [Google Scholar] [CrossRef] [PubMed]
- Su, Z.; Bernardo, A.; Tian, B.; Chen, H.; Wang, S.; Ma, H.; Cai, S.; Liu, D.; Zhang, D.; Li, T. A deletion mutation in TaHRC confers Fhb1 resistance to Fusarium head blight in wheat. Nat. Genet. 2019, 51, 1099–1105. [Google Scholar] [CrossRef] [PubMed]
- Erginbas-Orakci, G.; Sehgal, D.; Sohail, Q.; Ogbonnaya, F.; Dreisigacker, S.; Pariyar, S.R.; Dababat, A.A. Identification of novel quantitative trait loci linked to crown rot resistance in spring wheat. Int. J. Mol. Sci. 2018, 19, 2666. [Google Scholar] [CrossRef]
- Rahman, M.; Davies, P.; Bansal, U.; Pasam, R.; Hayden, M.; Trethowan, R. Marker-assisted recurrent selection improves the crown rot resistance of bread wheat. Mol. Breed. 2020, 40, 28. [Google Scholar] [CrossRef]
- Bovill, W.; Horne, M.; Herde, D.; Davis, M.; Wildermuth, G.; Sutherland, M. Pyramiding QTL increases seedling resistance to crown rot (Fusarium pseudograminearum) of wheat (Triticum aestivum). Theor. Appl. Genet. 2010, 121, 127–136. [Google Scholar] [CrossRef]
- Poole, G.; Smiley, R.; Paulitz, T.; Walker, C.; Carter, A.; See, D.; Garland-Campbell, K. Identification of quantitative trait loci (QTL) for resistance to Fusarium crown rot (Fusarium pseudograminearum) in multiple assay environments in the Pacific Northwestern US. Theor. Appl. Genet. 2012, 125, 91–107. [Google Scholar] [CrossRef]
- Martin, A.; Bovill, W.; Percy, C.; Herde, D.; Fletcher, S.; Kelly, A.; Neate, S.; Sutherland, M. Markers for seedling and adult plant crown rot resistance in four partially resistant bread wheat sources. Theor. Appl. Genet. 2015, 128, 377–385. [Google Scholar] [CrossRef]
- Ma, J.; Li, H.; Zhang, C.; Yang, X.; Liu, Y.; Yan, G.; Liu, C. Identification and validation of a major QTL conferring crown rot resistance in hexaploid wheat. Theor. Appl. Genet. 2010, 120, 1119–1128. [Google Scholar] [CrossRef]
- Zheng, Z.; Ma, J.; Stiller, J.; Zhao, Q.; Feng, Q.; Choulet, F.; Feuillet, C.; Zheng, Y.-L.; Wei, Y.; Han, B. Fine mapping of a large-effect QTL conferring Fusarium crown rot resistance on the long arm of chromosome 3B in hexaploid wheat. BMC Genom. 2015, 16, 850. [Google Scholar] [CrossRef] [PubMed]
- Sun, C.; Dong, Z.; Zhao, L.; Ren, Y.; Zhang, N.; Chen, F. The Wheat 660K SNP array demonstrates great potential for marker-assisted selection in polyploid wheat. Plant Biotechnol. J. 2020, 18, 1354–1360. [Google Scholar] [CrossRef] [PubMed]
- Ma, J.; Stiller, J.; Zhao, Q.; Feng, Q.; Cavanagh, C.; Wang, P.; Gardiner, D.; Choulet, F.; Feuillet, C.; Zheng, Y.-L. Transcriptome and allele specificity associated with a 3BL locus for Fusarium crown rot resistance in bread wheat. PLoS ONE 2014, 9, e113309. [Google Scholar] [CrossRef] [PubMed]
- Consortium, I.W.G.S.; Mayer, K.F.; Rogers, J.; Doležel, J.; Pozniak, C.; Eversole, K.; Feuillet, C.; Gill, B.; Friebe, B.; Lukaszewski, A.J. A chromosome-based draft sequence of the hexaploid bread wheat (Triticum aestivum) genome. Science 2014, 345, 1251788. [Google Scholar]
- Smiley, R.W.; Gourlie, J.A.; Easley, S.A.; Patterson, L.M.; Whittaker, R.G. Crop Damage Estimates for Crown Rot of Wheat and Barley in the Pacific Northwest. Plant Dis. 2005, 89, 595–604. [Google Scholar] [CrossRef] [PubMed]
- Hou, S.; Lin, Y.; Yu, S.; Yan, N.; Chen, H.; Shi, H.; Li, C.; Wang, Z.; Liu, Y. Genome-wide association analysis of Fusarium crown rot resistance in Chinese wheat landraces. Theor. Appl. Genet. 2023, 136, 101. [Google Scholar] [CrossRef]
- Ma, J.; Yan, G.; Liu, C. Development of near-isogenic lines for a major QTL on 3BL conferring Fusarium crown rot resistance in hexaploid wheat. Euphytica 2012, 183, 147–152. [Google Scholar] [CrossRef]
- Kamiyama, Y.; Hirotani, M.; Ishikawa, S.; Minegishi, F.; Katagiri, S.; Rogan, C.J.; Takahashi, F.; Nomoto, M.; Ishikawa, K.; Kodama, Y.; et al. Arabidopsis group C Raf-like protein kinases negatively regulate abscisic acid signaling and are direct substrates of SnRK2. Proc. Natl. Acad. Sci. USA 2021, 118, e2100073118. [Google Scholar] [CrossRef]
- Zhang, M.; Zhang, S. Mitogen-activated protein kinase cascades in plants: A new nomenclature. Trends Plant Sci. 2002, 7, 301–308. [Google Scholar]
- Zhao, C.; Nie, H.; Shen, Q.; Zhang, S.; Lukowitz, W.; Tang, D. EDR1 physically interacts with MKK4/MKK5 and negatively regulates a MAP kinase cascade to modulate plant innate immunity. PLoS Genet. 2014, 10, e1004389. [Google Scholar] [CrossRef]
- Chen, J.; Wang, L.; Yang, Z.; Liu, H.; Chu, C.; Zhang, Z.; Zhang, Q.; Li, X.; Xiao, J.; Wang, S.; et al. The rice Raf-like MAPKKK OsILA1 confers broad-spectrum resistance to bacterial blight by suppressing the OsMAPKK4-OsMAPK6 cascade. J. Integr. Plant Biol. 2021, 63, 1815–1842. [Google Scholar] [CrossRef] [PubMed]
- Duan, L.; Xiao, W.; Xia, F.; Liu, H.; Xiao, J.; Li, X.; Wang, S. Two Different Transcripts of a LAMMER Kinase Gene Play Opposite Roles in Disease Resistance. Plant Physiol. 2016, 172, 1959–1972. [Google Scholar] [CrossRef] [PubMed]
- Zhang, N.; Yuan, S.; Zhang, Q.; Liu, W.; Zhou, Y.; Yang, W. Screening Fungicides for Controlling Wheat Crown Rot Caused by Fusarium pseudograminearum across Hebei Province in China. Agriculture 2022, 12, 1643. [Google Scholar] [CrossRef]
- Li, X.; Liu, C.; Chakraborty, S.; Manners, J.M.; Kazan, K. A Simple Method for the Assessment of Crown Rot Disease Severity in Wheat Seedlings Inoculated with Fusarium pseudograminearum. J. Phytopathol. 2008, 156, 751–754. [Google Scholar] [CrossRef]
- Maguire, T.L.; Collins, G.G.; Sedgley, M. A modified CTAB DNA extraction procedure for plants belonging to the family proteaceae. Plant Mol. Biol. Report. 1994, 12, 106–109. [Google Scholar] [CrossRef]
- Pritchard, J.K.; Stephens, M.; Donnelly, P. Inference of population structure using multilocus genotype data. Genetics 2000, 155, 945–959. [Google Scholar] [CrossRef] [PubMed]
- Jakobsson, M.; Rosenberg, N.A. CLUMPP: A cluster matching and permutation program for dealing with label switching and multimodality in analysis of population structure. Bioinformatics 2007, 23, 1801–1806. [Google Scholar] [CrossRef] [PubMed]
- Lipka, A.E.; Tian, F.; Wang, Q.; Peiffer, J.; Li, M.; Bradbury, P.J.; Gore, M.A.; Buckler, E.S.; Zhang, Z. GAPIT: Genome association and prediction integrated tool. Bioinformatics 2012, 28, 2397–2399. [Google Scholar] [CrossRef]
- Zhang, Z.; Ersoz, E.; Lai, C.Q.; Todhunter, R.J.; Tiwari, H.K.; Gore, M.A.; Bradbury, P.J.; Yu, J.; Arnett, D.K.; Ordovas, J.M.; et al. Mixed linear model approach adapted for genome-wide association studies. Nat. Genet. 2010, 42, 355–360. [Google Scholar] [CrossRef]
- Ma, S.; Wang, M.; Wu, J.; Guo, W.; Chen, Y.; Li, G.; Wang, Y.; Shi, W.; Xia, G.; Fu, D.; et al. WheatOmics: A platform combining multiple omics data to accelerate functional genomics studies in wheat. Mol. Plant 2021, 14, 1965–1968. [Google Scholar] [CrossRef]







| Resistance Level | Range of Disease Index | Name of Wheat Germplasms | 
|---|---|---|
| Resistance (R) | DI < 1.0 | hk1/6/nvsr3/5bez/tvr, Lan 14, Long Jian 127, Lu Mai 21, Ning Mai 15 Hao | 
| Moderate Resistance (MR) | 1.0 < DI < 3.0 | Bai He Shang ZM1709, Zheng Mai 366, Xi Ke Mai 2 Hao, nuwest/4/d887-74/pew/, Shan Nong 20, Xu Mai 29, Hong Ban Mang ZM1685, WGRC10/3/KS93U69/sib/TA2455//KS93U69/4/JAGGER, Lu Mai 14, Lu Mai 1 Hao, Shi Dong 7 Hao, MV Laura, Lu Mai 7 Hao, Rong Mai 3 Hao, Lu Mai 12 Hao, Luo Han 2 Hao, Shi Luan 02-1, mv05-08, Bai Mang Bian Sui ZM1852, kanto 107, Tian 95HF2, Zhong Liang 24, A Bo, Luo Pang Tou ZM5962, Tu Mai ZM1950, Huai Mai 21, Xin Mai 13, Lang Yan 43, Lan 13, Yu Lin Bai ZM1686, Bai Nong 64, Nong Da 211, Ma Zha Tou ZM1756, Yu Mai 53, 98039g5-103, Chuan Yu 16, Lan 17, Lai Yang Qiu ZM1747, aca 801, Naxos (x3), Shi You 20, w014204 | 
| Marker | Chromosome | Physical Position | F Value | p Value | 
|---|---|---|---|---|
| AX-110654128 | 1B | 159389204 | 9.75605 | 7.28 × 10−5 | 
| AX-108804280 | 3B | 456983079 | 9.73002 | 7.49 × 10−5 | 
| AX-110995901 | 3B | 457756000 | 9.59965 | 8.45 × 10−5 | 
| AX-110398550 | 3B | 490095055 | 9.90892 | 6.36 × 10−5 | 
| AX-111713948 | 3B | 490587664 | 9.48509 | 9.43 × 10−5 | 
| AX-109558127 | 3B | 494074512 | 9.97258 | 5.92 × 10−5 | 
| AX-110960287 | 3B | 494078054 | 9.82021 | 6.85 × 10−5 | 
| AX-109494780 | 3B | 494193152 | 17.35716 | 3.79 × 10−5 | 
| AX-109535066 | 3B | 494528567 | 9.54042 | 8.94 × 10−5 | 
| AX-108760361 | 3B | 494529145 | 10.22797 | 4.64 × 10−5 | 
| AX-109294391 | 3B | 494529808 | 10.09041 | 5.29 × 10−5 | 
| AX-111242526 | 3B | 494705774 | 9.43673 | 9.91 × 10−5 | 
| AX-110998977 | 3B | 494812675 | 10.05171 | 5.49 × 10−5 | 
| AX-109470333 | 3B | 494966841 | 10.21113 | 4.73 × 10−5 | 
| AX-111645949 | 3B | 494984964 | 10.09931 | 5.25 × 10−5 | 
| AX-111121474 | 3B | 495105281 | 9.92331 | 6.23 × 10−5 | 
| AX-111562784 | 3B | 495123078 | 10.20079 | 4.77 × 10−5 | 
| AX-111283740 | 6B | 151370087 | 10.55803 | 3.40 × 10−5 | 
| Disclaimer/Publisher’s Note: The statements, opinions and data contained in all publications are solely those of the individual author(s) and contributor(s) and not of MDPI and/or the editor(s). MDPI and/or the editor(s) disclaim responsibility for any injury to people or property resulting from any ideas, methods, instructions or products referred to in the content. | 
© 2024 by the authors. Licensee MDPI, Basel, Switzerland. This article is an open access article distributed under the terms and conditions of the Creative Commons Attribution (CC BY) license (https://creativecommons.org/licenses/by/4.0/).
Share and Cite
Wang, C.; Sun, M.; Zhang, P.; Ren, X.; Zhao, S.; Li, M.; Ren, Z.; Yuan, M.; Ma, L.; Liu, Z.; et al. Genome-Wide Association Studies on Chinese Wheat Cultivars Reveal a Novel Fusarium Crown Rot Resistance Quantitative Trait Locus on Chromosome 3BL. Plants 2024, 13, 856. https://doi.org/10.3390/plants13060856
Wang C, Sun M, Zhang P, Ren X, Zhao S, Li M, Ren Z, Yuan M, Ma L, Liu Z, et al. Genome-Wide Association Studies on Chinese Wheat Cultivars Reveal a Novel Fusarium Crown Rot Resistance Quantitative Trait Locus on Chromosome 3BL. Plants. 2024; 13(6):856. https://doi.org/10.3390/plants13060856
Chicago/Turabian StyleWang, Chuyuan, Manli Sun, Peipei Zhang, Xiaopeng Ren, Shuqing Zhao, Mengyu Li, Zhuang Ren, Meng Yuan, Linfei Ma, Zihan Liu, and et al. 2024. "Genome-Wide Association Studies on Chinese Wheat Cultivars Reveal a Novel Fusarium Crown Rot Resistance Quantitative Trait Locus on Chromosome 3BL" Plants 13, no. 6: 856. https://doi.org/10.3390/plants13060856
APA StyleWang, C., Sun, M., Zhang, P., Ren, X., Zhao, S., Li, M., Ren, Z., Yuan, M., Ma, L., Liu, Z., Wang, K., Chen, F., Li, Z., & Wang, X. (2024). Genome-Wide Association Studies on Chinese Wheat Cultivars Reveal a Novel Fusarium Crown Rot Resistance Quantitative Trait Locus on Chromosome 3BL. Plants, 13(6), 856. https://doi.org/10.3390/plants13060856
 
        



 
       