Fundus Autofluorescence in Posterior and Panuveitis—An Under-Estimated Imaging Technique: A Review and Case Series
Abstract
1. Introduction
2. Materials and Methods
3. Results
3.1. Non-Infectious Uveitis
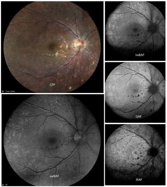
3.1.1. Acute Posterior Multifocal Placoid Pigment Epitheliopathy (APMPPE)

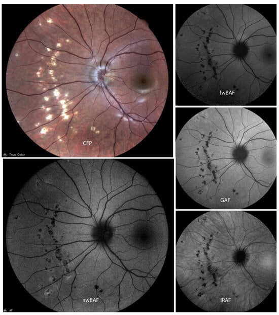
3.1.2. Multiple Evanescent White Dots Syndrome (MEWDS)
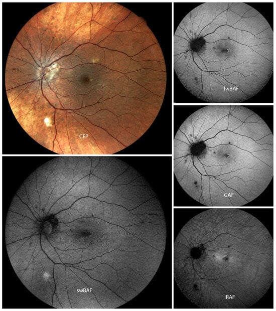
3.1.3. Multifocal Choroiditis and Panuveitis (MCP)
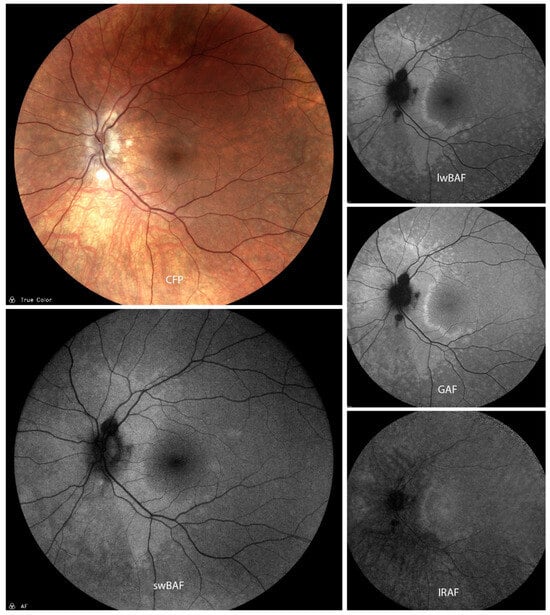
3.1.4. Punctate Inner Choroidopathy (PIC)
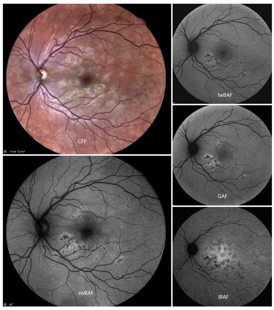
3.1.5. Serpiginous Choroiditis (SC)
3.1.6. Acute Zonal Occult Outer Retinopathy (AZOOR)
3.1.7. Birdshot Chorioretinopathy (BSCR)
3.1.8. Vogt–Koyanagi–Harada (VKH) Disease
3.1.9. Behçet Uveitis
3.1.10. Ocular Sarcoidosis
3.2. Infectious Uveitis
3.2.1. Cytomegalovirus (CMV) Retinitis
3.2.2. Syphilis
3.2.3. Acute Retinal Necrosis (ARN)
3.2.4. Progressive Outer Retinal Necrosis (PORN)
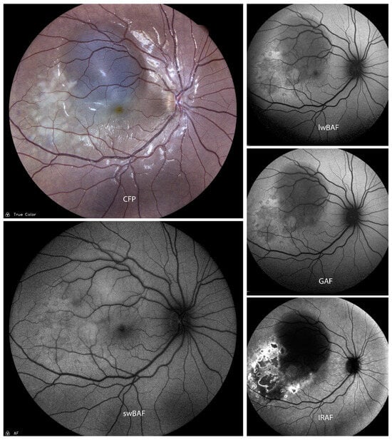
3.2.5. Tuberculosis
3.3. Masquerade Syndromes
3.3.1. Intraocular Lymphoma
3.3.2. Choroidal Melanoma
4. Discussion
Author Contributions
Funding
Conflicts of Interest
References
- Schmitz-Valckenberg, S.; Holz, F.G.; Bird, A.C.; Spaide, R.F. Fundus autofluorescence imaging: Review and perspectives. Retina 2008, 28, 385–409. [Google Scholar] [CrossRef]
- Schmitz-Valckenberg, S.; Pfau, M.; Fleckenstein, M.; Staurenghi, G.; Sparrow, J.R.; Bindewald-Wittich, A.; Spaide, R.F.; Wolf, S.; Sadda, S.R.; Holz, F.G. Fundus autofluorescence imaging. Prog. Retin. Eye Res. 2021, 81, 100893. [Google Scholar] [CrossRef]
- Weiter, J.J.; Delori, F.C.; Wing, G.L.; Fitch, K.A. Retinal pigment epithelial lipofuscin and melanin and choroidal melanin in human eyes. Investig. Ophthalmol. Vis. Sci. 1986, 27, 145–152. [Google Scholar]
- Schweitzer, D.; Schenke, S.; Hammer, M.; Schweitzer, F.; Jentsch, S.; Birckner, E.; Becker, W.; Bergmann, A. Towards metabolic mapping of the human retina. Microsc. Res. Tech. 2007, 70, 410–419. [Google Scholar] [CrossRef]
- Borrelli, E.; Lei, J.; Balasubramanian, S.; Uji, A.; Cozzi, M.; Sarao, V.; Lanzetta, P.; Staurenghi, G.; Sadda, S.R. Green emission fluorophores in eyes with atrophic age-related macular degeneration: A colour fundus autofluorescence pilot study. Br. J. Ophthalmol. 2018, 102, 827–832. [Google Scholar] [CrossRef] [PubMed]
- Wong, E.; Nivison-Smith, L.; Assaad, N.N.; Kalloniatis, M. OCT and Fundus Autofluorescence Enhances Visualization of White Dot Syndromes. Optom. Vis. Sci. Off. Publ. Am. Acad. Optom. 2015, 92, 642–653. [Google Scholar] [CrossRef] [PubMed]
- Mahendradas, P.; Maruyama, K.; Mizuuchi, K.; Kawali, A.; Kitaichi, N. Multimodal Imaging in Ocular Sarcoidosis. Ocul. Immunol. Inflamm. 2020, 28, 1205–1211. [Google Scholar] [CrossRef] [PubMed]
- Framme, C.; Sachs, H.G.; Gabler, B.; Roider, J. Fundus autofluorescence in APMPPE in association with lyme disease. Retina 2002, 22, 653–657. [Google Scholar] [CrossRef] [PubMed]
- Papasavvas, I.; Mantovani, A.; Herbort, C.P., Jr. Acute Posterior Multifocal Placoid Pigment Epitheliopathy (APMPPE): A Comprehensive Approach and Case Series: Systemic Corticosteroid Therapy Is Necessary in a Large Proportion of Cases. Medicina 2022, 58, 1070. [Google Scholar] [CrossRef] [PubMed]
- Katagiri, S.; Ohkuma, Y.; Hayashi, T.; Gekka, T.; Tsuneoka, H. Fundus autofluorescence findings of acute posterior multifocal placoid pigment epitheliopathy with chronic thyroiditis and splenectomy. Clin. Exp. Optom. 2015, 98, 186–189. [Google Scholar] [CrossRef] [PubMed]
- Yokoi, K.; Namba, K.; Iwata, D.; Mizuuchi, K.; Hase, K.; Suzuki, K.; Ando, R.; Hirooka, K.; Sekine, N.; Kitaichi, N.; et al. Fundus autofluorescence imaging in acute posterior multifocal placoid pigment epitheliopathy. Am. J. Ophthalmol. Case Rep. 2022, 28, 101732. [Google Scholar] [CrossRef]
- Batioglu, F.; Ozmert, E.; Kurt, R. Fundus autofluorescence and spectral optical coherence tomography findings in a case with acute posterior multifocal placoid pigment epitheliopathy. Ann. Ophthalmol. 2008, 40, 185–189. [Google Scholar]
- Mauschitz, M.M. (Department of Ophthalmology, University Hospital Bonn, Bonn, Germany); Zeller, M. (Department of Ophthalmology, University Hospital Bonn, Bonn, Germany); Sagar, P. (Sankara Academy of Vision, Sankara Eye Hospital Shimoga, Shimoga, India); Biswal, S. (Sankara Academy of Vision, Sankara Eye Hospital Shimoga, Shimoga, India); Guzman, G. (Department of Ophthalmology, University Hospital Bonn, Bonn, Germany); Terheyden, J.H. (Department of Ophthalmology, University Hospital Bonn, Bonn, Germany); Meyer, C.H. (Augenzentrum Grischun, Chur, Switzerland); Holz, F.G. (Department of Ophthalmology, University Hospital Bonn, Bonn, Germany); Heinz, C. (Department of Ophthalmology, St. Franziskus-Hospital Muenster, Muenster, Germany; Department of Ophthalmology, University Duisburg-Essen, Essen, Germany); Pleyer, U. (Department of Ophthalmology, Charité-Universitätsmedizin Berlin, Berlin, Germany; Berlin Institute of Health, Charité-Universitätsmedizin Berlin, Berlin, Germany); et al. Unpublished work. 2024.
- Furino, C.; Boscia, F.; Cardascia, N.; Alessio, G.; Sborgia, C. Fundus autofluorescence and multiple evanescent white dot syndrome. Retina 2009, 29, 60–63. [Google Scholar] [CrossRef] [PubMed]
- Papasavvas, I.; Mantovani, A.; Tugal-Tutkun, I.; Herbort, C.P. Multiple evanescent white dot syndrome (MEWDS): Update on practical appraisal, diagnosis and clinicopathology; a review and an alternative comprehensive perspective. J. Ophthalmic Inflamm. Infect. 2021, 11, 45. [Google Scholar] [CrossRef] [PubMed]
- Zhou, C.X.; Liu, L.M.; Mao, A.L.; Wei, W. The fundus autofluorescence of the multiple evanescent white dot syndrome. Chin. J. Ophthalmol. 2013, 49, 1089–1093. [Google Scholar]
- Battaglia Parodi, M.; Iacono, P.; Falcomata, B.; Bolognesi, G.; Bandello, F. Near-infrared fundus autofluorescence in multiple evanescent white-dot syndrome. Eur. J. Ophthalmol. 2015, 25, 43–46. [Google Scholar] [CrossRef]
- Pichi, F.; Abboud, E.B.; Ghazi, N.G.; Khan, A.O. Fundus autofluorescence imaging in hereditary retinal diseases. Acta Ophthalmol. 2018, 96, e549–e561. [Google Scholar] [CrossRef] [PubMed]
- Hashimoto, H.; Kishi, S. Ultra-wide-field fundus autofluorescence in multiple evanescent white dot syndrome. Am. J. Ophthalmol. 2015, 159, 698–706. [Google Scholar] [CrossRef]
- Zollfrank, C.; Gamulescu, M.A.; Prahs, P.; Helbig, H. Fundus autofluorescence in multiple evanescent white dot syndrome. Ophthalmologe 2013, 110, 54–56. [Google Scholar] [CrossRef]
- Haen, S.P.; Spaide, R.F. Fundus autofluorescence in multifocal choroiditis and panuveitis. Am. J. Ophthalmol. 2008, 145, 847–853. [Google Scholar] [CrossRef]
- Malamos, P.; Masaoutis, P.; Georgalas, I.; Maselos, S.; Andrianopoulos, K.; Koutsandrea, C.; Markomichelakis, N.N. The role of fundus autofluorescence imaging in the study of the course of posterior uveitis disorders. BioMed Res. Int. 2015, 2015, 247469. [Google Scholar] [CrossRef]
- Riaz, K.M.; Jampol, L.M.; Mirza, R.G. Fundus autofluorescence imaging in punctate inner choroidopathy with blind spot enlargement. Ocul. Immunol. Inflamm. 2012, 20, 460–463. [Google Scholar] [CrossRef]
- Kramer, M.; Priel, E. Fundus autofluorescence imaging in multifocal choroiditis: Beyond the spots. Ocul. Immunol. Inflamm. 2014, 22, 349–355. [Google Scholar] [CrossRef] [PubMed]
- Li, M.; Zhang, X.; Wen, F. The Fundus Autofluorescence Spectrum of Punctate Inner Choroidopathy. J. Ophthalmol. 2015, 2015, 202097. [Google Scholar] [CrossRef] [PubMed]
- Carreno, E.; Portero, A.; Herreras, J.M.; Lopez, M.I. Assesment of fundus autofluorescence in serpiginous and serpiginous-like choroidopathy. Eye 2012, 26, 1232–1236. [Google Scholar] [CrossRef]
- Minkus, C.L.; Lavine, J.A.; Lee, J.; Skondra, D.; Goldstein, D.A. Use of Short-wave Blue Fundus Autofluorescence to Detect and Monitor Acute Regional Outer Retinopathy in Punctate Inner Choroidopathy. Ocul. Immunol. Inflamm. 2022, 30, 887–893. [Google Scholar] [CrossRef] [PubMed]
- Pohlmann, D.; Pleyer, U.; Joussen, A.M.; Winterhalter, S. Optical coherence tomography angiography in comparison with other multimodal imaging techniques in punctate inner choroidopathy. Br. J. Ophthalmol. 2019, 103, 60–66. [Google Scholar] [CrossRef] [PubMed]
- Klufas, M.A.; O’Hearn, T.; Sarraf, D. Optical coherence tomography angiography and widefield fundus autofluorescence in punctate inner choroidopathy. Retin. Cases Brief Rep. 2015, 9, 323–326. [Google Scholar] [CrossRef] [PubMed]
- Cardillo Piccolino, F.; Grosso, A.; Savini, E. Fundus autofluorescence in serpiginous choroiditis. Graefe's Arch. Clin. Exp. Ophthalmol. 2009, 247, 179–185. [Google Scholar] [CrossRef] [PubMed]
- Arantes, T.E.; Matos, K.; Garcia, C.R.; Silva, T.G.; Sabrosa, A.S.; Muccioli, C. Fundus autofluorescence and spectral domain optical coherence tomography in recurrent serpiginous choroiditis: Case report. Ocul. Immunol. Inflamm. 2011, 19, 39–41. [Google Scholar] [CrossRef]
- Gupta, A.; Biswas, J. Fundus autofluorescence imaging to document evolution, progression and healing pattern of serpiginous choroiditis. Oman J. Ophthalmol. 2014, 7, 100–101. [Google Scholar] [CrossRef]
- Yeh, S.; Forooghian, F.; Faia, L.J.; Weichel, E.D.; Wong, W.T.; Sen, H.N.; Chan-Kai, B.T.; Witherspoon, S.R.; Lauer, A.K.; Chew, E.Y.; et al. Fundus autofluorescence changes in cytomegalovirus retinitis. Retina 2010, 30, 42–50. [Google Scholar] [CrossRef]
- Wang, Q.; Jiang, L.; Yan, W.; Wei, W.; Lai, T.Y.Y. Fundus Autofluorescence Imaging in the Assessment of Acute Zonal Occult Outer Retinopathy. Ophthalmologica 2017, 237, 153–158. [Google Scholar] [CrossRef] [PubMed]
- Marchese, A.; Agarwal, A.; Moretti, A.G.; Handa, S.; Modorati, G.; Querques, G.; Bandello, F.; Gupta, V.; Miserocchi, E. Advances in imaging of uveitis. Ther. Adv. Ophthalmol. 2020, 12, 2515841420917781. [Google Scholar] [CrossRef]
- Fujiwara, T.; Imamura, Y.; Giovinazzo, V.J.; Spaide, R.F. Fundus autofluorescence and optical coherence tomographic findings in acute zonal occult outer retinopathy. Retina 2010, 30, 1206–1216. [Google Scholar] [CrossRef]
- Shifera, A.S.; Pennesi, M.E.; Yang, P.; Lin, P. Ultra-wide-field fundus autofluorescence findings in patients with acute zonal occult outer retinopathy. Retina 2017, 37, 1104–1119. [Google Scholar] [CrossRef] [PubMed]
- Giuliari, G.; Hinkle, D.M.; Foster, C.S. The spectrum of fundus autofluorescence findings in birdshot chorioretinopathy. J. Ophthalmol. 2009, 2009, 567693. [Google Scholar] [CrossRef]
- Koizumi, H.; Pozzoni, M.C.; Spaide, R.F. Fundus autofluorescence in birdshot chorioretinopathy. Ophthalmology 2008, 115, e15–e20. [Google Scholar] [CrossRef]
- Jack, L.S.; Agarwal, A.; Sepah, Y.J.; Nguyen, Q.D. Spatial agreement between Goldmann visual field defects and fundus autofluorescence in patients with birdshot chorioretinopathy. J. Ophthalmic Inflamm. Infect. 2016, 6, 18. [Google Scholar] [CrossRef]
- Böni, C.; Thorne, J.E.; Spaide, R.F.; Ostheimer, T.A.; Sarraf, D.; Levinson, R.D.; Goldstein, D.A.; Rifkin, L.M.; Vitale, A.T.; Jaffe, G.J.; et al. Fundus Autofluorescence Findings in Eyes with Birdshot Chorioretinitis. Investig. Ophthalmol. Vis. Sci. 2017, 58, 4015–4025. [Google Scholar] [CrossRef] [PubMed]
- Knickelbein, J.E.; Hasan, J.; Nussenblatt, R.B.; Sen, H.N. Delineation of choroidal and retinal lesions in posterior uveitis by multispectral wide-field scanning laser ophthalmoscopy. Retina 2016, 36, 2213–2219. [Google Scholar] [CrossRef]
- Kopplin, L.J.; Munk, M.; Baynham, J.; Rosenbaum, J.T.; Suhler, E.B.; Biggee, K.; Goldstein, D.A.; Lin, P. Association of Fundus Autofluorescence Findings and Outer Retinal Lesions on Optical Coherence Tomography with Visual Acuity in Birdshot Chorioretinopathy. J. Vitreoretin. Dis. 2019, 3, 235–241. [Google Scholar] [CrossRef]
- Wintergerst, M.W.M.; Merten, N.R.; Berger, M.; Dysli, C.; Terheyden, J.H.; Poletti, E.; Holz, F.G.; Schäfer, V.S.; Schmid, M.; Ach, T.; et al. Spectrally resolved autofluorescence imaging in posterior uveitis. Sci. Rep. 2022, 12, 14337. [Google Scholar] [CrossRef]
- Vasconcelos-Santos, D.V.; Sohn, E.H.; Sadda, S.; Rao, N.A. Retinal pigment epithelial changes in chronic Vogt-Koyanagi-Harada disease: Fundus autofluorescence and spectral domain-optical coherence tomography findings. Retina 2010, 30, 33–41. [Google Scholar] [CrossRef]
- Koizumi, H.; Maruyama, K.; Kinoshita, S. Blue light and near-infrared fundus autofluorescence in acute Vogt-Koyanagi-Harada disease. Br. J. Ophthalmol. 2010, 94, 1499–1505. [Google Scholar] [CrossRef]
- Mesquida, M.; Llorenç, V.; Fontenla, J.R.; Navarro, M.J.; Adán, A. Use of ultra-wide-field retinal imaging in the management of active Behçet retinal vasculitis. Retina 2014, 34, 2121–2127. [Google Scholar] [CrossRef]
- Mahendradas, P.; Kawali, A.; Chauhan, S. Ocular Sarcoidosis. In Posterior Uveitis: Advances in Imaging and Treatment; Rao, N.A., Schallhorn, J., Rodger, D.C., Eds.; Springer International Publishing: Cham, Switzerland, 2019; pp. 21–38. [Google Scholar] [CrossRef]
- De Saint Sauveur, G.; Gratiot, C.; Debieb, A.C.; Monnet, D.; Brézin, A.P. Retinal and pre-retinal nodules: A rare manifestation of probable ocular sarcoidosis. Am. J. Ophthalmol. Case Rep. 2022, 26, 101525. [Google Scholar] [CrossRef] [PubMed]
- Tadepalli, S.; Bajgai, P.; Dogra, M.; Singh, S.R.; Sharma, A.; Gupta, V.; Dogra, M.R.; Singh, R. Ultra-Widefield Fundus Autofluorescence in Cytomegalovirus Retinitis. Ocul. Immunol. Inflamm. 2020, 28, 446–452. [Google Scholar] [CrossRef] [PubMed]
- Yashiro, S.; Nishijima, T.; Yamamoto, Y.; Sekine, Y.; Yoshida-Hata, N.; Iida, T.; Oka, S. Spectral domain optical coherence tomography and fundus autofluorescence findings in cytomegalovirus retinitis in HIV-infected patients. Jpn. J. Ophthalmol. 2018, 62, 373–389. [Google Scholar] [CrossRef] [PubMed]
- Saleh, M.G.; Campbell, J.P.; Yang, P.; Lin, P. Ultra-Wide-Field Fundus Autofluorescence and Spectral-Domain Optical Coherence Tomography Findings in Syphilitic Outer Retinitis. Ophthalmic Surg. Lasers Imaging Retin. 2017, 48, 208–215. [Google Scholar] [CrossRef] [PubMed]
- Ward, T.S.; Reddy, A.K. Fundus autofluorescence in the diagnosis and monitoring of acute retinal necrosis. J. Ophthalmic Inflamm. Infect. 2015, 5, 19. [Google Scholar] [CrossRef][Green Version]
- Yeh, S.; Wong, W.T.; Weichel, E.D.; Lew, J.C.; Chew, E.Y.; Nussenblatt, R.B. Fundus Autofluorescence and OCT in the Management of Progressive Outer Retinal Necrosis. Ophthalmic Surg. Lasers Imaging 2010, 41, 1–4. [Google Scholar] [CrossRef] [PubMed]
- Gupta, A.; Bansal, R.; Gupta, V.; Sharma, A. Fundus autofluorescence in serpiginouslike choroiditis. Retina 2012, 32, 814–825. [Google Scholar] [CrossRef] [PubMed]
- Bansal, R.; Kulkarni, P.; Gupta, A.; Gupta, V.; Dogra, M.R. High-resolution spectral domain optical coherence tomography and fundus autofluorescence correlation in tubercular serpiginouslike choroiditis. J. Ophthalmic Inflamm. Infect. 2011, 1, 157–163. [Google Scholar] [CrossRef] [PubMed]
- Mishra, S.B.; Saoji, K.; Pathengay, A. Dual lesion margins on fundus autofluorescence associated with paradoxical worsening following treatment for tubercular serpiginous-like choroiditis. Indian J. Ophthalmol. 2020, 68, 536–538. [Google Scholar] [CrossRef] [PubMed]
- Casady, M.; Faia, L.; Nazemzadeh, M.; Nussenblatt, R.; Chan, C.C.; Sen, H.N. Fundus autofluorescence patterns in primary intraocular lymphoma. Retina 2014, 34, 366–372. [Google Scholar] [CrossRef] [PubMed]
- Egawa, M.; Mitamura, Y.; Hayashi, Y.; Semba, K.; Naito, T. Changes of fundus autofluorescence and spectral-domain optical coherence tomographic findings after treatment of primary intraocular lymphoma. J. Ophthalmic Inflamm. Infect. 2014, 4, 7. [Google Scholar] [CrossRef] [PubMed]
- Pantanelli, S.M.; Li, Z.; Fariss, R.; Mahesh, S.P.; Liu, B.; Nussenblatt, R.B. Differentiation of malignant B-lymphoma cells from normal and activated T-cell populations by their intrinsic autofluorescence. Cancer Res. 2009, 69, 4911–4917. [Google Scholar] [CrossRef] [PubMed]
- Lavinsky, D.; Belfort, R.N.; Navajas, E.; Torres, V.; Martins, M.C.; Belfort, R., Jr. Fundus autofluorescence of choroidal nevus and melanoma. Br. J. Ophthalmol. 2007, 91, 1299–1302. [Google Scholar] [CrossRef]
- Cennamo, G.; Romano, M.R.; Velotti, N.; Breve, M.A.; de Crecchio, G.; Cennamo, G. Fundus autofluorescence of choroidal nevi and melanoma. Acta Ophthalmol. 2018, 96, e102–e104. [Google Scholar] [CrossRef]
- Bindewald-Wittich, A.; Swenshon, T.; Carasco, E.; Dreyhaupt, J.; Willerding, G.D. Blue-Light Fundus Autofluorescence Imaging following Ruthenium-106 Brachytherapy for Choroidal Melanoma. Ophthalmologica 2020, 243, 303–315. [Google Scholar] [CrossRef]
- Bindewald-Wittich, A.; Holz, F.G.; Ach, T.; Fiorentzis, M.; Bechrakis, N.E.; Willerding, G.D. Fundus Autofluorescence Imaging in Patients with Choroidal Melanoma. Cancers 2022, 14, 1809. [Google Scholar] [CrossRef]
- Denniston, A.K.; Keane, P.A.; Srivastava, S.K. Biomarkers and Surrogate Endpoints in Uveitis: The Impact of Quantitative Imaging. Investig. Ophthalmol. Vis. Sci. 2017, 58, Bio131–Bio140. [Google Scholar] [CrossRef]
- Wintergerst, M.W.M.; Liu, X.; Terheyden, J.H.; Pohlmann, D.; Li, J.Q.; Montesano, G.; Ometto, G.; Holz, F.G.; Crabb, D.P.; Pleyer, U.; et al. Structural Endpoints and Outcome Measures in Uveitis. Ophthalmologica 2021, 244, 465–479. [Google Scholar] [CrossRef] [PubMed]
- Chhablani, J.K. Autofluorescence in posterior uveitis. Indian J. Ophthalmol. 2010, 58, 443. [Google Scholar] [CrossRef] [PubMed]
- Yeh, S.; Forooghian, F.; Wong, W.T.; Faia, L.J.; Cukras, C.; Lew, J.C.; Wroblewski, K.; Weichel, E.D.; Meyerle, C.B.; Sen, H.N.; et al. Fundus autofluorescence imaging of the white dot syndromes. Arch. Ophthalmol. 2010, 128, 46–56. [Google Scholar] [CrossRef]
- Durrani, K.; Foster, C.S. Fundus autofluorescence imaging in posterior uveitis. Semin. Ophthalmol. 2012, 27, 228–235. [Google Scholar] [CrossRef]
- Meleth, A.D.; Sen, H.N. Use of fundus autofluorescence in the diagnosis and management of uveitis. Int. Ophthalmol. Clin. 2012, 52, 45–54. [Google Scholar] [CrossRef]
- Reznicek, L.; Kernt, M.; Seidensticker, F.; Stumpf, C.; Thurau, S.; Kampik, A.; Neubauer, A. Autofluorescence in posterior uveitis. Ophthalmology 2012, 119, 1712–1713.e1713. [Google Scholar] [CrossRef]
- Reznicek, L.; Seidensticker, F.; Stumpf, C.; Kampik, A.; Thurau, S.; Kernt, M.; Neubauer, A. Systematic analysis of wide-field fundus autofluorescence (FAF) imaging in posterior uveitis. Curr. Eye Res. 2014, 39, 164–171. [Google Scholar] [CrossRef] [PubMed]
- Roesel, M.; Henschel, A.; Heinz, C.; Dietzel, M.; Spital, G.; Heiligenhaus, A. Fundus autofluorescence and spectral domain optical coherence tomography in uveitic macular edema. Graefe's Arch. Clin. Exp. Ophthalmol. 2009, 247, 1685–1689. [Google Scholar] [CrossRef] [PubMed]
- Pohlmann, D.; Pleyer, U.; Heinz, C. Imaging in Uveitis. Klin. Monatsblatter Augenheilkd. 2020, 237, 577–584. [Google Scholar] [CrossRef]







| Non-Infectious | Infectious | Masquerade Syndromes |
|---|---|---|
| Acute posterior multifocal placoid pigment epitheliopathy (APMPPE) | Cytomegalovirus retinitis (CMV) | Intraocular lymphoma |
| Mulitple evanescent white dot syndrome (MEWDS) | Syphilis | Choroidal melanoma |
| Multifocal choroiditis and panuveitis (MCP) | Tuberculosis | |
| Punctate inner choroidopathy (PIC) | Acute retinal necrosis (ARN) | |
| Serpiginous choroiditis | Progressive outer retinal necrosis (PORN) | |
| Acute zonal occult outer retinopathy (AZOOR) | ||
| Birdshot chorioretinopathy | ||
| Vogt–Koyanagi–Harada (VKH) disease | ||
| Behçet Uveitis | ||
| Ocular Sarcoidosis |
Disclaimer/Publisher’s Note: The statements, opinions and data contained in all publications are solely those of the individual author(s) and contributor(s) and not of MDPI and/or the editor(s). MDPI and/or the editor(s) disclaim responsibility for any injury to people or property resulting from any ideas, methods, instructions or products referred to in the content. |
© 2024 by the authors. Licensee MDPI, Basel, Switzerland. This article is an open access article distributed under the terms and conditions of the Creative Commons Attribution (CC BY) license (https://creativecommons.org/licenses/by/4.0/).
Share and Cite
Mauschitz, M.M.; Zeller, M.; Sagar, P.; Biswal, S.; Guzman, G.; Terheyden, J.H.; Meyer, C.H.; Holz, F.G.; Heinz, C.; Pleyer, U.; et al. Fundus Autofluorescence in Posterior and Panuveitis—An Under-Estimated Imaging Technique: A Review and Case Series. Biomolecules 2024, 14, 515. https://doi.org/10.3390/biom14050515
Mauschitz MM, Zeller M, Sagar P, Biswal S, Guzman G, Terheyden JH, Meyer CH, Holz FG, Heinz C, Pleyer U, et al. Fundus Autofluorescence in Posterior and Panuveitis—An Under-Estimated Imaging Technique: A Review and Case Series. Biomolecules. 2024; 14(5):515. https://doi.org/10.3390/biom14050515
Chicago/Turabian StyleMauschitz, Matthias M., Markus Zeller, Pradeep Sagar, Suchitra Biswal, Gabriela Guzman, Jan H. Terheyden, Carsten H. Meyer, Frank G. Holz, Carsten Heinz, Uwe Pleyer, and et al. 2024. "Fundus Autofluorescence in Posterior and Panuveitis—An Under-Estimated Imaging Technique: A Review and Case Series" Biomolecules 14, no. 5: 515. https://doi.org/10.3390/biom14050515
APA StyleMauschitz, M. M., Zeller, M., Sagar, P., Biswal, S., Guzman, G., Terheyden, J. H., Meyer, C. H., Holz, F. G., Heinz, C., Pleyer, U., Finger, R. P., & Wintergerst, M. W. M. (2024). Fundus Autofluorescence in Posterior and Panuveitis—An Under-Estimated Imaging Technique: A Review and Case Series. Biomolecules, 14(5), 515. https://doi.org/10.3390/biom14050515

