Expression of MUC-2, MUC-6, NAPE-PLD, IL-6 and IL-13 in Healthy and Metaplastic Bronchial Epithelium
Abstract
1. Introduction
2. Materials and Methods
2.1. Material Characteristics of Subjects
2.2. Immunohistochemical Analysis
2.3. Statistical Analysis
3. Results
3.1. Tissue Routine Examination
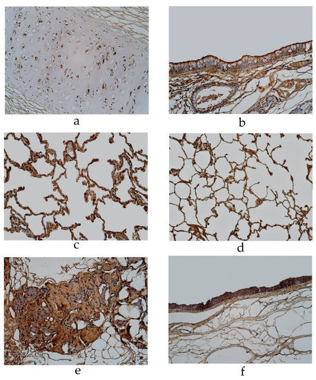
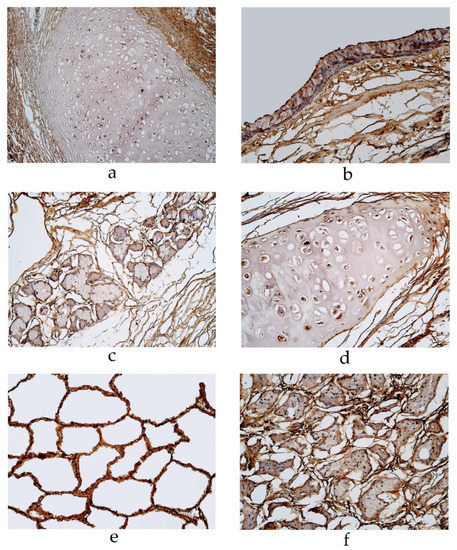
3.2. Immunohistochemical (IMH) Data
3.3. Statistical Analysis
4. Discussion
5. Conclusions
Author Contributions
Funding
Institutional Review Board Statement
Informed Consent Statement
Data Availability Statement
Conflicts of Interest
References
- Chen, Y.; Thai, P.; Zhao, Y.H.; Ho, Y.S.; DeSouza, M.M.; Wu, R. Stimulation of airway mucin gene expression by interleukin (IL)-17 through IL-6 paracrine/autocrine loop. J. Biol. Chem. 2003, 278, 17036–17043. [Google Scholar] [CrossRef] [PubMed]
- Linden, S.K.; Sutton, P.; Karlsson, N.G.; Korolik, V.; McGuckin, M.A. Mucins in the mucosal barrier to infection. Mucosal Immunol. 2008, 1, 183–197. [Google Scholar] [CrossRef] [PubMed]
- Allen, A.; Hutton, D.A.; Pearson, J.P. The MUC2 gene product: A human intestinal mucin. Int. J. Biochem. Cell Biol. 1998, 30, 797–801. [Google Scholar] [CrossRef] [PubMed]
- Porchet, N.; Aubert, J.-P. Les gènes. MUC genes: Mucin or not mucin? That is the question. Med. Sci. 2004, 20, 569–574. [Google Scholar] [CrossRef][Green Version]
- Bartman, A.E.; Buisine, M.-P.; Aubert, J.-P.; Niehans, G.A.; Toribara, N.W.; Kim, Y.S.; Kelly, E.J.; Crabtree, J.E.; Ho, S.B. The MUC6 secretory mucin gene is expressed in a wide variety of epithelial tissues. J. Pathol. 1998, 186, 398–405. [Google Scholar] [CrossRef]
- Thai, P.; Loukoianov, A.; Wachi, S.; Wu, R. Regulation of Airway Mucin Gene Expression. Annu. Rev. Physiol. 2008, 70, 405–429. [Google Scholar] [CrossRef]
- Shankar, V.; Gilmore, M.S.; Sachdev, G.P. Further evidence that the human MUC2 gene transcripts in the intestine and trachea are identical. Biochem. J. 1995, 306, 311–312. [Google Scholar] [CrossRef]
- Dohrman, A.; Miyata, S.; Gallup, M.; Li, J.-D.; Chapelin, C.; Coste, A.; Escudiere, E.; Nadel, J.; Basbaum, C. Mucin gene (MUC 2 and MUC 5AC) upregulation by Gram-positive and Gram-negative bacteria. Biochim. Biophys. Acta Mol. Basis Dis. 1998, 1406, 251–259. [Google Scholar] [CrossRef]
- Li, J.-D.; Dohrman, A.F.; Gallup, M.; Miyata, S.; Gum, J.R.; Kim, Y.S.; Nadel, J.A.; Prince, A.; Basbaum, C.B. Transcriptional activation of mucin by Pseudomonas aeruginosa lipopolysaccharide in the pathogenesis of cystic fibrosis lung disease. Proc. Natl. Acad. Sci. USA 1997, 94, 967–972. [Google Scholar] [CrossRef]
- Enss, M.L.; Cornberg, M.; Wagner, S.; Gebert, A.; Henrichs, M.; Eisenblatter, R.; Beil, W.; Kownatzki, R.; Hedrich, H.J. Proinflammatory cytokines trigger MUC gene expression and mucin release in the intestinal cancer cell line LS180. Inflamm. Res. 2000, 49, 162–169. [Google Scholar] [CrossRef]
- Holgate, S.T. The airway epithelium is central to the pathogenesis of asthma. Allergol. Int. 2008, 57, 1–10. [Google Scholar] [CrossRef] [PubMed]
- Ookawa, K.; Kudo, T.; Aizawa, S.; Saito, H.; Tsuchida, S. Transcriptional activation of the MUC2 gene by p53. J. Biol. Chem. 2002, 277, 48270–48275. [Google Scholar] [CrossRef] [PubMed]
- Voynow, J.A. What does mucin have to do with lung disease? Paediatr. Respir. Rev. 2002, 3, 98–103. [Google Scholar] [CrossRef] [PubMed]
- Rousseau, K.; Byrne, C.; Kim, Y.S.; Gum, J.R.; Swallow, D.M.; Toribara, N.W. The complete genomic organization of the human MUC6 and MUC2 mucin genes. Genomics 2004, 83, 936–939. [Google Scholar] [CrossRef]
- Toribara, N.W.; Roberton, A.M.; Ho, S.B.; Kuo, W.L.; Gum, E.; Hicks, J.W.; Gum, J.R., Jr.; Byrd, J.C.; Siddiki, B.; Kim, Y.S. Human gastric mucin. Identification of a unique species by expression cloning. J. Biol. Chem. 1993, 268, 5879–5885. [Google Scholar] [CrossRef]
- Guillem, P.; Billeret, V.; Buisine, M.P.; Flejou, J.F.; Lecomte-Houcke, M.; Degand, P.; Aubert, J.P.; Triboulet, J.P.; Porchet, N. Mucin gene expression and cell differentiation in human normal, premalignant and malignant esophagus. Int. J. Cancer 2000, 88, 856–861. [Google Scholar] [CrossRef]
- Hamamoto, A.; Abe, Y.; Nishi, M.; Fujimori, S.; Ohnishi, Y.; Yamazaki, H.; Oida, Y.; Miyazaki, N.; Inada, K.; Ueyama, Y.; et al. Aberrant expression of the gastric mucin MUC6 in human pulmonary adenocarcinoma xenografts. Int. J. Oncol. 2005, 26, 891–896. [Google Scholar] [CrossRef]
- Bartman, A.E.; Sanderson, S.J.; Ewing, S.L.; Niehans, G.A.; Wiehr, C.L.; Evans, M.K.; Ho, S.B. Aberrant expression of MUC5AC and MUC6 gastric mucin genes in colorectal polyps. Int. J. Cancer 1999, 80, 210–218. [Google Scholar] [CrossRef]
- Awaya, H.; Takeshima, Y.; Yamasaki, M.; Inai, K. Expression of MUC1, MUC2, MUC5AC, and MUC6 in Atypical Adenomatous Hyperplasia, Bronchioloalveolar Carcinoma, Adenocarcinoma with Mixed Subtypes, and Mucinous Bronchioloalveolar Carcinoma of the Lung. Am. J. Clin. Pathol. 2004, 121, 644–653. [Google Scholar] [CrossRef]
- Morgenstern, S.; Koren, R.; Moss, S.F.; Fraser, G.; Okon, E.; Niv, Y. Does Helicobacter pylori affect gastric mucin expression? Relationship between gastric antral mucin expression and H. pylori colonization. Eur. J. Gastroenterol. Hepatol. 2001, 13, 19–23. [Google Scholar] [CrossRef]
- Park, J.S.; Yeom, J.S.; Seo, J.H.; Lim, J.Y.; Park, C.H.; Woo, H.O.; Jun, J.-S.; Park, J.-H.; Ko, G.-H.; Baik, S.-C.; et al. Immunohistochemical Expressions of MUC 2, MUC 5 AC, and MUC 6 in Normal, H elicobacter pylori Infected and Metaplastic Gastric Mucosa of Children and Adolescents. Helicobacter 2015, 20, 260–268. [Google Scholar] [CrossRef] [PubMed]
- Yang, S.J.; Allahverdian, S.; Saunders, A.D.R.; Liu, E.; Dorscheid, D.R. IL-13 signaling through IL-13 receptor α2 mediates airway epithelial wound repair. FASEB J. 2019, 33, 3746–3757. [Google Scholar] [CrossRef] [PubMed]
- Blackburn, M.R.; Lee, C.G.; Young, H.W.; Zhu, Z.; Chunn, J.L.; Kang, M.J.; Banerjee, S.K.; Elias, J.A. Adenosine mediates IL-13–induced inflammation and remodeling in the lung and interacts in an IL-13–adenosine amplification pathway. J. Clin. Investig. 2003, 112, 332–344. [Google Scholar] [CrossRef] [PubMed]
- Donlan, A.N.; Sutherland, T.E.; Marie, C.; Preissner, S.; Bradley, B.T.; Carpenter, R.M.; Sturek, J.M.; Ma, J.Z.; Moreau, G.B.; Donowitz, J.R.; et al. IL-13 is a driver of COVID-19 severity. JCI Insight 2021, 6, e150107. [Google Scholar] [CrossRef] [PubMed]
- Elias, J.A.; Zheng, T.; Lee, C.G.; Homer, R.J.; Chen, Q.; Ma, B.; Blackburn, M.; Zhu, Z. Transgenic modeling of interleukin-13 in the lung. Chest J. 2003, 123, 339S–345S. [Google Scholar] [CrossRef] [PubMed]
- Zhang, H.; Lin, L.; Yang, H.; Zhang, Z.; Yang, X.; Zhang, L.; He, S. Induction of IL-13 production and upregulation of gene expression of protease activated receptors in P815 cells by IL-6. Cytokine 2010, 50, 138–145. [Google Scholar] [CrossRef] [PubMed]
- Yang, M.L.; Wang, C.T.; Yang, S.J.; Leu, C.H.; Chen, S.H.; Wu, C.L.; Shiau, A.L. IL-6 ameliorates acute lung injury in influenza virus infection. Sci. Rep. 2017, 7, 43829. [Google Scholar] [CrossRef]
- Tanaka, T.; Narazaki, M.; Masuda, K.; Kishimoto, T. Regulation of IL-6 in Immunity and Diseases. Adv. Exp. Med. Biol. 2016, 941, 79–88. [Google Scholar] [CrossRef]
- Gaemers, I.C.; Vos, H.L.; Volders, H.H.; van der Valk, S.W.; Hilkens, J. A statresponsive element in the promoter of the episialin/MUC1 gene is involved in its overexpression in carcinoma cells. J. Biol. Chem. 2001, 276, 6191–6199. [Google Scholar] [CrossRef]
- Mihara, M.; Hashizume, M.; Yoshida, H.; Suzuki, M.; Shiina, M. IL-6/IL-6 receptor system and its role in physiological and pathological conditions. Clin. Sci. 2012, 122, 143–159. [Google Scholar] [CrossRef]
- Okamoto, Y.; Morishita, J.; Tsuboi, K.; Tonai, T.; Ueda, N. Molecular Characterization of a Phospholipase D Generating Anandamide and Its Congeners. J. Biol. Chem. 2003, 279, 5298–5305. [Google Scholar] [CrossRef] [PubMed]
- Wang, J.; Okamoto, Y.; Morishita, J.; Tsuboi, K.; Miyatake, A.; Ueda, N. Functional analysis of the purified anandamide-generating phospholipase D as a member of the metallo-beta-lactamase family. J. Biol. Chem. 2006, 281, 12325–12335. [Google Scholar] [CrossRef] [PubMed]
- Kathuria, S.; Gaetani, S.; Fegley, D.; Valiño, F.; Duranti, A.; Tontini, A.; Mor, M.; Tarzia, G.; La Rana, G.; Calignano, A.; et al. Modulation of anxiety through blockade of anandamide hydrolysis. Nat. Med. 2003, 9, 76–81. [Google Scholar] [CrossRef] [PubMed]
- Solorzano, C.; Zhu, C.; Battista, N.; Astarita, G.; Lodola, A.; Rivara, S.; Piomelli, D. Selective N-acylethanolamine-hydrolyzing acid amidase inhibition reveals a key role for endogenous palmitoylethanolamide in inflammation. Proc. Natl. Acad. Sci. USA 2009, 106, 20966–20971. [Google Scholar] [CrossRef] [PubMed]
- Masoodi, M.; Lee, E.; Eiden, M.; Bahlo, A.; Shi, Y.; Ceddia, R.B.; Baccei, C.; Prasit, P.; Spaner, D.E. A role for oleoylethanolamide in chronic lymphocytic leukemia. Leukemia 2014, 28, 1381–1387. [Google Scholar] [CrossRef]
- Wenzel, D.; Matthey, M.; Bindila, L.; Lerner, R.; Lutz, B.; Zimmer, A.; Fleischmann, B.K. Endocannabinoid anandamide mediates hypoxic pulmonary vasoconstriction. Proc. Natl. Acad. Sci. USA 2013, 110, 18710–18715. [Google Scholar] [CrossRef]
- Liu, J.; Bátkai, S.; Pacher, P.; Harvey-White, J.; Wagner, J.A.; Cravatt, B.F.; Gao, B.; Kunos, G. Lipopolysaccharide induces anandamide synthesis in macrophages via CD14/MAPK/phosphoinositide 3-kinase/NF-κB independently of platelet-activating factor. J. Biol. Chem. 2003, 278, 45034–45039. [Google Scholar] [CrossRef]
- Zhu, C.; Solorzano, C.; Sahar, S.; Realini, N.; Fung, E.; Sassone-Corsi, P.; Piomelli, D. Proinflammatory stimuli control N-acylphosphatidylethanolamine-specific phospholipase D expression in macrophages. Mol. Pharmacol. 2011, 79, 786–792. [Google Scholar] [CrossRef]
- Karwad, M.A.; Couch, D.G.; Theophilidou, E.; Sarmad, S.; Barrett, D.A.; Larvin, M.; Wright, K.L.; Lund, J.N.; O'Sullivan, S.E. The role of CB1 in intestinal permeability and inflammation. FASEB J. 2017, 31, 3267–3277. [Google Scholar] [CrossRef]
- Ayakannu, T.; Taylor, A.H.; Bari, M.; Mastrangelo, N.; Maccarrone, M.; Konje, J.C. Expression and function of the endocannabinoid modulating enzymes fatty acid amide hydrolase and N-acylphosphatidylethanolamine-specific phospholipase D in endometrial carcinoma. Front. Oncol. 2019, 9, 1363. [Google Scholar] [CrossRef]
- Brown, H.A.; Thomas, P.G.; Lindsley, C.W. Targeting phospholipase D in cancer, infection and neurodegenerative disorders. Nat. Rev. Drug Discov. 2017, 16, 351–367. [Google Scholar] [CrossRef] [PubMed]
- Tobin, G.; Luts, A.; Sundler, F.; Ekström, J. Peptidergic innervation of the major salivary glands of the ferret. Peptides 1990, 11, 863–867. [Google Scholar] [CrossRef] [PubMed]
- Junga, A.; Pilmane, M.; Ābola, Z.; Volrāts, O. The Distribution of Vascular Endothelial Growth Factor (VEGF), Human Beta-Defensin-2 (HBD-2), and Hepatocyte Growth Factor (HGF) in Intra-Abdominal Adhesions in Children under One Year of Age. Sci. World J. 2018, 2018, 1–7. [Google Scholar] [CrossRef] [PubMed]
- Coussens, L.M.; Werb, Z. Inflammation and cancer. Nature 2002, 420, 860–867. [Google Scholar] [CrossRef] [PubMed]
- Pollard, J.W. Tumour-educated macrophages promote tumour progression and metastasis. Nat. Rev. Cancer 2004, 4, 71–78. [Google Scholar] [CrossRef]
- Condeelis, J.; Pollard, J.W. Macrophages: Obligate partners for tumor cell migration, invasion, and metastasis. Cell 2006, 124, 263–266. [Google Scholar] [CrossRef]
- Wang, Q.; Ni, H.; Lan, L.; Wei, X.; Xiang, R.; Wang, Y. Fra-1 protooncogene regulates IL-6 expression in macrophages and promotes the generation of M2d macrophages. Cell Res. 2010, 20, 701–712. [Google Scholar] [CrossRef]
- Voehringer, D.; Reese, T.A.; Huang, X.; Shinkai, K.; Locksley, R.M. Type 2 immunity is controlled by IL-4/IL-13 expression in hematopoietic non-eosinophil cells of the innate immune system. J. Exp. Med. 2006, 203, 1435–1446. [Google Scholar] [CrossRef]
- Zhu, L.; Zhao, Q.; Yang, T.; Ding, W.; Zhao, Y. Cellular metabolism and macrophage functional polarization. Int. Rev. Immunol. 2015, 34, 82–100. [Google Scholar] [CrossRef]
- Kishimoto, T. Interleukin-6: From basic science to medicine—40 years in immunology. Annu. Rev. Immunol. 2005, 23, 1–21. [Google Scholar] [CrossRef]
- Finkbeiner, W.E. Physiology and pathology of tracheobronchial glands. Respir. Physiol. 1999, 118, 77–83. [Google Scholar] [CrossRef] [PubMed]
- Kovalenko, S.; Dorofieiev, A. The content of mucin MUC-2,-3 and-4 antigens in the bronchial mucosa membrane of chronic obstructive pulmonary disease patients during acute exacerbation—Initial report. Adv. Respir. Med. 2017, 85, 3–7. [Google Scholar] [CrossRef] [PubMed]
- Bryk, M.; Chwastek, J.; Kostrzewa, M.; Mlost, J.; Pędracka, A.; Starowicz, K. Alterations in anandamide synthesis and degradation during osteoarthritis progression in an animal model. Int. J. Mol. Sci. 2020, 21, 7381. [Google Scholar] [CrossRef] [PubMed]
- Lohova, E.; Vitenberga-Verza, Z.; Kazoka, D.; Pilmane, M. Local Defence System in Healthy Lungs. Clin. Pract. 2021, 11, 728–746. [Google Scholar] [CrossRef]
- Varela-Eirin, M.; Loureiro, J.; Fonseca, E.; Corrochano, S.; Caeiro, J.R.; Collado, M.; Mayan, M.D. Cartilage regeneration and ageing: Targeting cellular plasticity in osteoarthritis. Ageing Res. Rev. 2018, 42, 56–71. [Google Scholar] [CrossRef]
- Feng, J.S.; Yang, Z.; Zhu, Y.Z.; Liu, Z.; Guo, C.C.; Zheng, X.B. Serum IL-17 and IL-6 increased accompany with TGF-β and IL-13 respectively in ulcerative colitis patients. Int. J. Clin. Exp. Med. 2014, 7, 5498–5504. [Google Scholar]
- Allahverdian, S.; Harada, N.; Singhera, G.K.; Knight, D.A.; Dorscheid, D.R. Secretion of IL-13 by airway epithelial cells enhances epithelial repair via HB-EGF. Am. J. Respir. Cell Mol. 2008, 38, 153–160. [Google Scholar] [CrossRef]
- Hayashi, N.; Yoshimoto, T.; Izuhara, K.; Matsui, K.; Tanaka, T.; Nakanishi, K. T helper 1 cells stimulated with ovalbumin and IL-18 induce airway hyperresponsiveness and lung fibrosis by IFN-γ and IL-13 production. Proc. Natl. Acad. Sci. USA 2007, 104, 14765–14770. [Google Scholar] [CrossRef]
- Proboszcz, M.; Paplińska-Goryca, M.; Nejman-Gryz, P.; Górska, K.; Krenke, R. A comparative study of sTREM-1, IL-6 and IL-13 concentration in bronchoalveolar lavage fluid in asthma and COPD: A preliminary study. Adv. Clin. Exp. Med. 2017, 26, 231–236. [Google Scholar] [CrossRef]
- Laoukili, J.; Perret, E.; Willems, T.; Minty, A.; Parthoens, E.; Houcine, O.; Coste, A.; Jorissen, M.; Marano, F.; Caput, D.; et al. IL-13 alters mucociliary differentiation and ciliary beating of human respiratory epithelial cells. J. Clin. Investig. 2001, 108, 1817–1824. [Google Scholar] [CrossRef]
- Mahlios, J.; Zhuang, Y. Contribution of IL-13 to early exocrinopathy in Id3−/− mice. Mol. Immunol. 2011, 49, 227–233. [Google Scholar] [CrossRef] [PubMed][Green Version]
- Steenwinckel, V.; Louahed, J.; Lemaire, M.M.; Sommereyns, C.; Warnier, G.; McKenzie, A.; Brombacher, F.; Van Snick, J.; Renauld, J.C. IL-9 promotes IL-13-dependent paneth cell hyperplasia and up-regulation of innate immunity mediators in intestinal mucosa. J. Immunol. 2009, 182, 4737–4743. [Google Scholar] [CrossRef] [PubMed]
- Eyigor, M.; Eyigor, H.; Osma, U.; Yilmaz, M.; Erin, N.; Selcuk, O.T.; Sezer, C.; Gultekin, M.; Koksoy, S. Analysis of serum cytokine levels in larynx squamous cell carcinoma and dysplasia patients. Iran. J. Immunol. 2014, 11, 259–268. [Google Scholar] [PubMed]
- Nagao, M.; Hamilton, J.L.; Kc, R.; Berendsen, A.D.; Duan, X.; Cheong, C.W.; Li, X.; Im, H.J.; Olsen, B.R. Vascular endothelial growth factor in cartilage development and osteoarthritis. Sci. Rep. 2017, 7, 13027. [Google Scholar] [CrossRef]
- Bergeron, C.; Tulic, M.K.; Hamid, Q. Airway remodelling in asthma: From benchside to clinical practice. Can. Respir. J. 2010, 17, e85–e93. [Google Scholar] [CrossRef]
- Hancock, A.; Armstrong, L.; Gama, R.; Millar, A. Production of interleukin 13 by alveolar macrophages from normal and fibrotic lung. Am. J. Resp. Cell Mol. 1998, 18, 60–65. [Google Scholar] [CrossRef]
- Crapster-Pregont, M.; Yeo, J.; Sanchez, R.L.; Kuperman, D.A. Dendritic cells and alveolar macrophages mediate IL-13–induced airway inflammation and chemokine production. J. Allergy Clin. Immunol. 2012, 129, 1621–1627. [Google Scholar] [CrossRef]





| No. | Sex | Age | MUC-2 | MUC-6 | NAPE-PLD | |||||
|---|---|---|---|---|---|---|---|---|---|---|
| G | AM | C | AM | C | G | AE | AM | |||
| Pseudostratified ciliated epithelium | ||||||||||
| 1 | M | 16 | 0 | 0 | 0/+ | 0 | 0 | 0 | 0 | 0 |
| 2 | M | 19 | 0 | 0 | 0/+ | 0 | 0 | 0 | 0 | 0 |
| 3 | M | 19 | 0 | 0 | 0 | 0 | 0 | 0 | 0 | 0 |
| 4 | M | 29 | + | 0/+ | 0 | 0/+ | ++ | 0 | ++ | +/++ |
| 5 | F | 55 | 0 | 0 | 0/+ | 0 | 0 | 0 | 0 | 0 |
| 6 | M | 56 | 0 | + | 0 | + | + | 0 | +/++ | ++ |
| 7 | M | 61 | 0 | 0 | 0 | 0 | 0 | 0 | 0 | 0 |
| 8 | M | 64 | 0 | 0 | 0 | 0 | 0 | 0 | 0 | 0 |
| 9 | F | 85 | 0 | 0 | 0 | 0 | 0 | 0 | 0 | 0 |
| 10 | M | 94 | 0 | + | 0 | + | 0 | 0 | 0 | 0 |
| 11 | M | 94 | 0/+ | 0 | 0/+ | 0 | 0 | +v | 0 | 0 |
| 12 | F | 95 | 0 | 0 | 0 | 0 | 0 | 0 | +/++ | 0 |
| Common mean value: | 0 | 0 | 0 | 0 | 0/+ | 0 | 0/+ | 0/+ | ||
| Stratified squamous epithelium | ||||||||||
| 13 | M | 23 | 0 | + | 0 | + | ++ | 0 | ++ | +/++ |
| 14 | M | 25 | 0 | 0 | 0 | + | 0 | 0 | 0 | 0 |
| 15 | M | 46 | 0/+ | 0 | 0 | 0 | ++ | 0 | 0 | 0 |
| 16 | M | 67 | 0 | 0 | 0/+ | 0 | 0 | 0 | 0 | 0 |
| 17 | M | 86 | 0 | 0 | 0 | 0 | 0 | 0 | 0 | 0 |
| 18 | M | 93 | 0 | 0 | 0 | 0 | 0 | 0 | 0 | 0 |
| Common mean value: | 0 | 0 | 0 | 0/+ | + | 0 | 0/+ | 0 | ||
| Nr. | Sex | Age | IL-6 | IL-13 | ||||||||||
|---|---|---|---|---|---|---|---|---|---|---|---|---|---|---|
| BE | CT | C | G | AE | AM | BE | CT | C | G | AE | AM | |||
| Pseudostratified ciliated epithelium | ||||||||||||||
| 1 | M | 16 | 0/+ | 0 | + | 0 | 0 | 0 | + | 0 | ++ | 0/+ | 0 | 0 |
| 2 | M | 19 | + | 0/+ | ++/+++ | ++ | 0 | 0 | ++ | + | ++/+++ | + | 0 | 0 |
| 3 | M | 19 | 0/+v | 0 | +/++ | 0 | + | 0/+ | + | 0/+ | ++ | + | ++/+++ | ++/+++ |
| 4 | M | 29 | 0 | 0 | 0/+ | 0 | + | 0 | 0 | 0 | ++/+++ | ++ | +/++ | ++ |
| 5 | F | 55 | 0/+ | 0 | + | +/++ | 0 | 0 | 0/+ | 0 | ++/+++ | + | 0 | 0 |
| 6 | M | 56 | + | 0/+ | 0/+ | 0 | + | ++ | + | 0 | ++ | 0/+ | ++/+++ | ++/+++ |
| 7 | M | 61 | 0/+ | 0 | 0 | 0/+ | 0 | 0 | ++ | 0/+ | 0 | ++ | 0 | 0 |
| 8 | M | 64 | 0 | 0 | ++ | 0 | 0 | 0 | +/++ | 0/+ | +++ | ++ | 0 | 0 |
| 9 | F | 85 | 0 | 0 | 0 | 0 | 0 | 0 | 0 | 0 | + | 0 | 0 | 0 |
| 10 | M | 94 | 0/+ | 0 | ++/+++ | 0/+ | 0/+ | 0 | + | + | +++ | +/++ | ++/+++ | +++ |
| 11 | M | 94 | + | 0 | +/++ | +/++ | 0 | 0 | ++ | 0 | ++/+++ | +/++ | 0 | 0 |
| 12 | F | 95 | 0/+ | 0 | 0 | 0 | ++ | ++ | 0/+ | 0 | 0/+ | + | ++ | ++ |
| Common mean value: | 0/+ | 0 | + | 0/+ | 0/+ | 0/+ | + | 0/+ | ++ | + | + | + | ||
| Stratified squamous epithelium | ||||||||||||||
| 13 | M | 23 | 0/+ | 0 | 0/+ | + | ++/+++ | ++ | ++ | ++ | ++/+++ | 0 | ++/+++ | ++/+++ |
| 14 | M | 25 | 0/+ | 0 | 0/+ | 0/+ | ++ | ++/+++ | +/++ | 0/+ | ++ | 0/+ | 0 | 0 |
| 15 | M | 46 | + | 0 | 0/+ | 0/+ | 0/+ | + | + | 0 | ++ | + | + | 0/+ |
| 16 | M | 67 | + | 0 | +/++ | +/++ | +/++ | ++ | +/++ | 0/+ | ++ | 0/+ | 0 | 0 |
| 17 | M | 86 | 0 | 0 | 0 | 0 | 0 | 0 | 0/+ | 0 | ++ | + | ++/+++ | ++/+++ |
| 18 | M | 93 | 0/+ | 0 | 0/+ | 0 | +/++ | ++ | ++/+++ | 0/+ | ++ | 0 | ++/+++ | ++ |
| Common mean value: | 0/+ | 0 | 0/+ | 0/+ | +/++ | +/++ | +/++ | 0/+ | ++ | 0/+ | +/++ | +/++ | ||
| Detected Factors | Mann-Whitney U | Z-Score | p-Value |
|---|---|---|---|
| IL-6 in alveolar macrophages | 12.5 | −2.447 | 0.024 |
| Marker 1 | Marker 2 | Z-Score | p-Value * |
|---|---|---|---|
| IL-13 in cartilage | MUC-2 in bronchial epithelium | −4.498 | 0.003 |
| MUC-2 in connective tissue | −4.498 | 0.003 | |
| MUC-2 in cartilage | −4.498 | 0.003 | |
| MUC-6 in alveolar epithelium | −4.498 | 0.003 | |
| MUC-2 in alveolar epithelium | −4.498 | 0.003 | |
| MUC-6 in glands | −4.498 | 0.003 | |
| MUC-6 in bronchial epithelium | −4.498 | 0.003 | |
| MUC-6 in connective tissue | −4.498 | 0.003 | |
| NAPE-PLD in bronchial epithelium | −4.498 | 0.003 | |
| NAPE-PLD in connective tissue | −4.498 | 0.003 | |
| NAPE-PLD in glands | −4.185 | 0.012 | |
| IL-6 in connective tissue | −4.023 | 0.025 | |
| MUC-2 in glands | −3.930 | 0.037 |
| Strength of Correlation | Marker 1 | Marker 2 | Rho | p-Value |
|---|---|---|---|---|
| Very Strong Positive Correlation | IL-13 in alveolar epithelium | IL-13 in alveolar macrophages | 0.991 | <0.001 |
| NAPE-PLD in cartilage | NAPE-PLD in alveolar macrophages | 0.983 | <0.001 | |
| Strong Positive Correlation | IL-6 in alveolar epithelium | IL-13 in alveolar epithelium | 0.894 | <0.001 |
| IL-6 in alveolar epithelium | IL-13 in alveolar macrophages | 0.863 | <0.001 | |
| IL-6 in cartilage | IL-13 in cartilage | 0.825 | 0.001 | |
| NAPE-PLD in cartilage | NAPE-PLD in alveolar epithelium | 0.817 | 0.001 | |
| NAPE-PLD in alveolar epithelium | NAPE-PLD in alveolar macrophages | 0.796 | 0.002 | |
| IL-6 in alveolar epithelium | IL-6 in alveolar macrophages | 0.787 | 0.002 | |
| NAPE-PLD in alveolar epithelium | IL-6 in alveolar epithelium | 0.766 | 0.004 | |
| MUC-2 in alveolar macrophages | IL-13 in alveolar macrophages | 0.740 | 0.006 | |
| MUC-6 in alveolar macrophages | IL-13 in alveolar macrophages | 0.740 | 0.006 | |
| MUC-2 in alveolar macrophages | NAPE-PLD in alveolar macrophages | 0.732 | 0.007 | |
| MUC-6 in alveolar macrophages | NAPE-PLD in alveolar macrophages | 0.732 | 0.007 | |
| MUC-2 in alveolar macrophages | NAPE-PLD in cartilage | 0.711 | 0.009 | |
| MUC-6 in alveolar macrophages | NAPE-PLD in cartilage | 0.711 | 0.009 | |
| IL-6 in alveolar macrophages | IL-13 in alveolar epithelium | 0.704 | 0.011 | |
| Moderate Positive Correlation | MUC-2 in alveolar macrophages | IL-13 in alveolar epithelium | 0.684 | 0.014 |
| MUC-6 in alveolar macrophages | IL-13 in alveolar epithelium | 0.684 | 0.014 | |
| IL-6 in cartilage | IL-13 in connective tissue | 0.640 | 0.025 | |
| IL-6 in bronchial epithelium | IL-6 in connective tissue | 0.632 | 0.027 | |
| MUC-6 in cartilage | IL-6 in glands | 0.631 | 0.028 | |
| IL-6 in alveolar macrophages | IL-13 in alveolar macrophages | 0.608 | 0.036 | |
| MUC-2 in glands | NAPE-PLD in glands | 0.604 | 0.037 | |
| IL-6 in bronchial epithelium | IL-13 in bronchial epithelium | 0.580 | 0.048 |
| Strength of Correlation | Marker 1 | Marker 2 | Rho | p-Value |
|---|---|---|---|---|
| Very Strong Positive Correlation | IL-13 in alveolar epithelium | IL-13 in alveolar macrophages | 0.953 | 0.003 |
| IL-6 in alveolar epithelium | IL-13 in connective tissue | 0.939 | 0.005 | |
| Strong Positive Correlation | MUC-6 in alveolar macrophages | IL-6 in alveolar epithelium | 0.840 | 0.036 |
| IL-6 in alveolar epithelium | IL-6 in alveolar macrophages | 0.832 | 0.040 | |
| IL-6 in bronchial epithelium | IL-6 in cartilage | 0.822 | 0.045 | |
| IL-13 in bronchial epithelium | IL-13 in connective tissue | 0.814 | 0.049 |
Disclaimer/Publisher’s Note: The statements, opinions and data contained in all publications are solely those of the individual author(s) and contributor(s) and not of MDPI and/or the editor(s). MDPI and/or the editor(s) disclaim responsibility for any injury to people or property resulting from any ideas, methods, instructions or products referred to in the content. |
© 2022 by the authors. Licensee MDPI, Basel, Switzerland. This article is an open access article distributed under the terms and conditions of the Creative Commons Attribution (CC BY) license (https://creativecommons.org/licenses/by/4.0/).
Share and Cite
Lohova, E.; Pilmane, M. Expression of MUC-2, MUC-6, NAPE-PLD, IL-6 and IL-13 in Healthy and Metaplastic Bronchial Epithelium. Diseases 2023, 11, 5. https://doi.org/10.3390/diseases11010005
Lohova E, Pilmane M. Expression of MUC-2, MUC-6, NAPE-PLD, IL-6 and IL-13 in Healthy and Metaplastic Bronchial Epithelium. Diseases. 2023; 11(1):5. https://doi.org/10.3390/diseases11010005
Chicago/Turabian StyleLohova, Elizabeta, and Mara Pilmane. 2023. "Expression of MUC-2, MUC-6, NAPE-PLD, IL-6 and IL-13 in Healthy and Metaplastic Bronchial Epithelium" Diseases 11, no. 1: 5. https://doi.org/10.3390/diseases11010005
APA StyleLohova, E., & Pilmane, M. (2023). Expression of MUC-2, MUC-6, NAPE-PLD, IL-6 and IL-13 in Healthy and Metaplastic Bronchial Epithelium. Diseases, 11(1), 5. https://doi.org/10.3390/diseases11010005

