Molecular Variation and Phylogeny of Thymidylate Kinase Genes of Candidatus Phytoplasma ziziphi from Different Resistant and Susceptible Jujube Cultivars in China
Simple Summary
Abstract
1. Introduction
2. Materials and Methods
2.1. Source of Materials and DNA Extraction
2.2. PCR Amplification of Tmk Gene
2.3. Clone-Based and Direct Sequencing of Tmk Gene
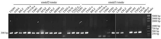
2.4. Selective PCR Amplification of Different Types of Tmk Gene
2.5. Phylogenetic Analysis
3. Results
3.1. Two Sequence Types of Tmk Genes of JWB Phytoplasmas
3.2. Three Types of JWB Phytoplasma Strains Were Divided Based on the Tmk Genes
3.3. Structure and Functional Motifs of TMK Proteins
3.4. Relationships Between Tmk Sequence Types and Jujube Cultivars with Different Resistance Levels from Different Geographic Distributions
3.5. Two Different Evolutionary Pathways of the Tmk Genes of Phytoplasmas Revealed via the Phylogenetic Tree
4. Discussion
5. Conclusions
Supplementary Materials
Author Contributions
Funding
Institutional Review Board Statement
Informed Consent Statement
Data Availability Statement
Conflicts of Interest
References
- Liu, M.; Wang, J.; Wang, L.; Liu, P.; Zhao, J.; Zhao, Z.; Yao, S.; Stănică, F.; Liu, Z.; Wang, L.; et al. The historical and current research progress on jujube—A superfruit for the future. Hortic Res. 2020, 7, 119. [Google Scholar] [CrossRef] [PubMed]
- Wang, R.; Bai, X.; Li, D.; Wang, J.; Huang, W.; Wu, Y.; Zhao, L. Phytoplasma: A plant pathogen that cannot be ignored in agricultural production-Research progress and outlook. Mol. Plant Pathol. 2024, 25, e13437. [Google Scholar] [CrossRef] [PubMed]
- Guo, S.; Gu, L.; Zhang, Y.; Wu, Y.; Tan, B.; Zheng, X.; Ye, X.; Cheng, J.; Wang, W.; Bi, S.; et al. Jujube witches’ broom (‘Zaofeng’) disease: Bacteria that drive the plants crazy. Fruit Res. 2023, 3, 35. [Google Scholar] [CrossRef]
- Bleuven, C.; Landry, C.R. Molecular and cellular bases of adaptation to a changing environment in microorganisms. Proc. R. Soc. B 2016, 283, 20161458. [Google Scholar] [CrossRef] [PubMed]
- Heinrich, K.; Leslie, D.J.; Jonas, K. Modulation of Bacterial Proliferation as a Survival Strategy. Adv. Appl. Microbiol. 2015, 92, 127–171. [Google Scholar] [CrossRef] [PubMed]
- Cui, Q.; Shin, W.S.; Luo, Y.; Tian, J.; Cui, H.; Yin, D. Thymidylate kinase: An old topic brings new perspectives. Curr. Med. Chem. 2013, 20, 1286–1305. [Google Scholar] [CrossRef] [PubMed]
- Chaperon, D.-N. Construction and complementation of in-frame deletions of the essential Escherichia coli thymidylate kinase gene. Appl. Environ. Microbiol. 2006, 72, 1288–1294. [Google Scholar] [CrossRef]
- Ku, C.; Lo, W.-S.; Kuo, C.-H. Horizontal transfer of potential mobile units in phytoplasmas. Mob. Genet. Elem. 2013, 3, e26145. [Google Scholar] [CrossRef][Green Version]
- Tokuda, R.; Iwabuchi, N.; Kitazawa, Y.; Nijo, T.; Suzuki, M.; Maejima, K.; Oshima, K.; Namba, S.; Yamaji, Y. Potential mobile units drive the horizontal transfer of phytoplasma effector phyllogen genes. Front. Genet. 2023, 14, 1132432. [Google Scholar] [CrossRef]
- Cao, Y.; Sun, G.; Zhai, X.; Xu, P.; Ma, L.; Deng, M.; Zhao, Z.; Yang, H.; Dong, Y.; Shang, Z. Genomic insights into the fast growth of paulownias and the formation of Paulownia witches’ broom. Mol. Plant 2021, 14, 1668–1682. [Google Scholar] [CrossRef]
- Xue, C.; Zhang, Y.; Li, H.; Liu, Z.; Gao, W.; Liu, M.; Wang, H.; Liu, P.; Zhao, J. The genome of Candidatus phytoplasma ziziphi provides insights into their biological characteristics. BMC Plant Biol. 2023, 23, 251. [Google Scholar] [CrossRef] [PubMed]
- Wang, J.; Song, L.; Jiao, Q.; Yang, S.; Gao, R.; Lu, X.; Zhou, G. Comparative genome analysis of jujube witches’-broom Phytoplasma, an obligate pathogen that causes jujube witches’-broom disease. BMC Genom. 2018, 19, 689. [Google Scholar] [CrossRef] [PubMed]
- Miyata, S.-I.; Oshima, K.; Kakizawa, S.; Nishigawa, H.; Jung, H.-Y.; Kuboyama, T.; Ugaki, M.; Namba, S. Two different thymidylate kinase gene homologues, including one that has catalytic activity, are encoded in the onion yellows phytoplasma genome. Microbiology 2003, 149, 2243–2250. [Google Scholar] [CrossRef][Green Version]
- Li, B.; Ji, L.; Wu, Y.; Hao, X. Isolation, prokaryotic expression and activity analysis of thymidylate kinase (tmk) gene from phytoplasma of wheat blue dwarf. Acta Microbiol. Sin. 2008, 48, 739–744. [Google Scholar] [CrossRef]
- Song, C.; Hu, J.; Lin, C.; Ren, Z.; Geng, X.; Tian, G. Thymidylate kinase gene polymorphism of two strains of paulownia witches’-broom phytoplasma. Sci. Silvae Sin. 2014, 50, 108–118. [Google Scholar] [CrossRef]
- Tian, Z.; Zhang, Z.; Li, Z.; Shen, Y.; Guo, J. Dynamic of jujube witches’-broom disease and factors of great influence at ecological different regions in China. Sci. Silvae Sin. 2002, 38, 83–91. [Google Scholar] [CrossRef]
- Wen, X.; Guo, X.; Tian, G.; Sun, Z.; Li, Y. Identification of resistances of several jujube cultivars and selected Pozao single trees against jujube witches’-broom disease. Sci. Silvae Sin. 2005, 41, 88–96. [Google Scholar] [CrossRef]
- Wang, H.; Ren, Z.; Pan, Y.; Feng, S.; Lin, C.; Chang, E.; Yu, S.; Tian, G. Determination of individual jujube trees against jujube witches’-broom disease and screening of resistant varieties from the ancient individual jujube trees growing in Beijing. Sci. Silvae Sin. 2018, 54, 124–132. [Google Scholar] [CrossRef]
- Zhang, W.; Yu, S.; Tian, G.; Wang, H.; Ren, Z.; Wang, S.; Kong, D.; Li, Y.; Lin, C. Detection and molecular variation of jujube witches’ broom phytoplasma in resistant jujube scions grafted on diseased root stocks in three jujube Orchards. Sci. Silvae Sin. 2021, 57, 49–58. [Google Scholar] [CrossRef]
- Xu, Q.; Tian, G.; Wang, Z.; Kong, F.; Li, Y.; Wang, H. Molecular detection and variability of jujube witches’-broom phytoplasmas from different cultivars in various regions of China. Acta Microbiol. Sin. 2009, 49, 1510–1519. [Google Scholar] [CrossRef]
- Kumar, S.; Stecher, G.; Tamura, K. MEGA7: Molecular Evolutionary Genetics Analysis Version 7.0 for bigger datasets. Mol. Biol. Evol. 2016, 33, 1870–1874. [Google Scholar] [CrossRef] [PubMed]
- Saitou, N.; Nei, M. The neighor-joining method: A new method for reconstructing phylogenetic tree. Mol. Biol. Evol. 1984, 4, 406–425. [Google Scholar] [CrossRef]
- Felsenstein, J. Confidence limits on phylogenies: An approach using the bootstrap. Evolution 1985, 39, 783–791. [Google Scholar] [CrossRef]
- Nei, M.; Kumar, S. Molecular Evolution and Phylogenetics; Oxford University Press: New York, NY, USA, 2000. [Google Scholar]
- Xie, J.; Chen, Y.; Cai, G.; Cai, R.; Hu, Z.; Wang, H. Tree Visualization By One Table (tvBOT): A web application for visualizing, modifying and annotating phylogenetic trees. Nucleic Acids Res. 2023, 55, W587–W592. [Google Scholar] [CrossRef] [PubMed]
- Kong, D.Z.; Lin, C.L.; Yu, S.S.; Tian, G.Z.; Ma, H.B.; Wang, S.J. Molecular diversity and evolutionary relatedness of paulownia witches’-broom phytoplasma in different geographical distributions in China. Biology 2022, 11, 1611. [Google Scholar] [CrossRef] [PubMed]
- Andersen, M.T.; Liefting, L.W.; Havukkala, I.; Beever, R.E. Comparison of the complete genome sequence of two closely related isolates of ‘Candidatus Phytoplasma australiense’ reveals genome plasticity. BMC Genom. 2013, 14, 529. Available online: https://bmcgenomics.biomedcentral.com/counter/pdf/10.1186/1471-2164-14-529.pdf (accessed on 22 September 2024). [CrossRef]
- Chung, W.-C.; Chen, L.-L.; Lo, W.-S.; Lin, C.-P.; Kuo, C.-H. Comparative analysis of the peanut witches’-broom phytoplasma genome reveals horizontal transfer of potential mobile units and effectors. PLoS ONE 2013, 8, e62770. [Google Scholar] [CrossRef]
- Polz, M.F.; Alm, E.J.; Hanage, W.P. Horizontal gene transfer and the evolution of bacterial and archaeal population structure. Trends Genet. 2013, 29, 170–175. [Google Scholar] [CrossRef]
- Li, Y.; Zhou, X.; Zhao, K.; Liu, J.; Chen, G.; Zhang, Y.; Ma, J.; Sun, N.; Li, X. Cultivation and morphology of jujube (Ziziphus Jujuba Mill.) in the Qi River Basin of Northern China during the Neolithic Period. Sci. Rep. 2024, 14, 2305. [Google Scholar] [CrossRef]
- Wang, X.; Wang, X.; Huo, L.; Yong, M. Investigation on the incidence of jujube witches’ broom of wild jujube in Hebei province. J. Hebei Agr. Sci. 2022, 26, 69–74. [Google Scholar]
- Jin, K.; Gao, Z. Hishimonus chinesis that fed on jujube tree infected with MLOs, caused paulownia withes’-broom disease. For. Sci. Technol. 1984, 9, 22–24. [Google Scholar]
- He, F.; Wu, H.; Chen, Z.; Dai, Y. Molecular detection and genetic differentiation of several phytoplasmas (MLOs). Acta Phytopathol. Sin. 1996, 26, 251–255. [Google Scholar] [CrossRef]
- Sun, X.; Mou, H.; Li, T.; Tian, Q.; Zhao, W. Mixed Infection of Two Groups (16SrI & V) of Phytoplasmas in a Single Jujube Tree in China. J. Phytopathol. 2013, 161, 661–665. [Google Scholar] [CrossRef]





Disclaimer/Publisher’s Note: The statements, opinions and data contained in all publications are solely those of the individual author(s) and contributor(s) and not of MDPI and/or the editor(s). MDPI and/or the editor(s) disclaim responsibility for any injury to people or property resulting from any ideas, methods, instructions or products referred to in the content. |
© 2024 by the authors. Licensee MDPI, Basel, Switzerland. This article is an open access article distributed under the terms and conditions of the Creative Commons Attribution (CC BY) license (https://creativecommons.org/licenses/by/4.0/).
Share and Cite
Song, C.-S.; Xu, Q.-C.; Wan, C.-P.; Kong, D.-Z.; Lin, C.-L.; Yu, S.-S. Molecular Variation and Phylogeny of Thymidylate Kinase Genes of Candidatus Phytoplasma ziziphi from Different Resistant and Susceptible Jujube Cultivars in China. Biology 2024, 13, 886. https://doi.org/10.3390/biology13110886
Song C-S, Xu Q-C, Wan C-P, Kong D-Z, Lin C-L, Yu S-S. Molecular Variation and Phylogeny of Thymidylate Kinase Genes of Candidatus Phytoplasma ziziphi from Different Resistant and Susceptible Jujube Cultivars in China. Biology. 2024; 13(11):886. https://doi.org/10.3390/biology13110886
Chicago/Turabian StyleSong, Chuan-Sheng, Qi-Cong Xu, Cui-Ping Wan, De-Zhi Kong, Cai-Li Lin, and Shao-Shuai Yu. 2024. "Molecular Variation and Phylogeny of Thymidylate Kinase Genes of Candidatus Phytoplasma ziziphi from Different Resistant and Susceptible Jujube Cultivars in China" Biology 13, no. 11: 886. https://doi.org/10.3390/biology13110886
APA StyleSong, C.-S., Xu, Q.-C., Wan, C.-P., Kong, D.-Z., Lin, C.-L., & Yu, S.-S. (2024). Molecular Variation and Phylogeny of Thymidylate Kinase Genes of Candidatus Phytoplasma ziziphi from Different Resistant and Susceptible Jujube Cultivars in China. Biology, 13(11), 886. https://doi.org/10.3390/biology13110886

