RETRACTED: Efficacy of Mesenchymal Stem Cell and Vitamin D in the Treatment of Diabetes Mellitus Induced in a Rat Model: Pancreatic Tissues
Abstract
1. Introduction
2. Materials and Methods
2.1. Chemicals
2.2. Experimental Animals
2.3. STZ-Induced Diabetes in the Rat Model
2.4. Isolation and Culture of Bone Marrow MSCs
2.5. Flow Cytometric Analysis
2.6. Labeling MSCs with PKH26 and Its Detection in Pancreatic Tissue
2.7. Animal Grouping and MSC Transplantation
2.8. Biochemical Determination
2.9. Preparation of Pancreatic Tissue Homogenates and Oxidative Stress/Antioxidant Determination
2.10. RNA Isolation and Quantitative Reverse Transcription-Polymerase Chain Reaction
2.11. Polymerase Chain Reaction (PCR) for Determination of Cytokine
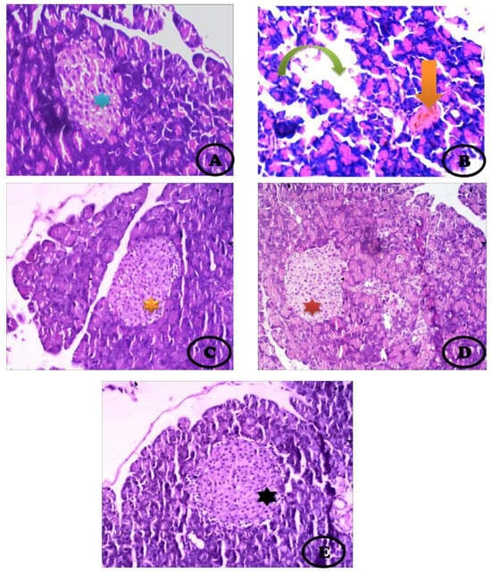
2.12. Histological Analysis of Pancreas
2.13. Single-Cell Gel Electrophoresis (SCGE) (Comet Assay)
2.14. Transmission Electron Microscopic Study
2.15. Statistical Analysis
3. Results
4. Discussion
Author Contributions
Funding
Institutional Review Board Statement
Informed Consent Statement
Data Availability Statement
Conflicts of Interest
References
- Bhansali, A.; Upreti, V.; Khandelwal, N.; Marwaha, N.; Gupta, V.; Sachdeva, N.; Sharma, R.; Saluja, K.; Dutta, P.; Walia, R.; et al. Efficacy of Autologous Bone Marrow–Derived Stem Cell Transplantation in Patients With Type 2 Diabetes Mellitus. Stem Cells Dev. 2009, 18, 1407–1416. [Google Scholar] [CrossRef] [PubMed]
- Ida, H.; Akiyama, T.; Ishiguro, K.; Goparaju, S.K.; Nakatake, Y.; Chikazawa-Nohtomi, N.; Ko, S.B. Establishment of a rapid and foot-print-free protocol for differentiation of human embryonic stem cells into pancreatic endocrine cells with synthetic mRNAs encoding transcription factors. Stem Cell Res. Ther. 2018, 9, 277. [Google Scholar] [CrossRef]
- Xu, X.Q.; Ralph, G.; Set, Y.S.; Thavamalar, B.; Siti, N.B.R.; Shirly, S.; Su, C.T.; Christian, F.; Jennifer, M.; Christine, M.; et al. Chemically defined medium supporting cardiomyocyte differentiation of human embryonic stem cells. Differentiation 2008, 76, 958–970. [Google Scholar] [CrossRef]
- Tingxia, G.; Matthias, H. Stem Cells to Pancreatic β-Cells: New Sources for Diabetes Cell Therapy. Endo. Rev. 2009, 30, 214–227. [Google Scholar]
- Wong, T.Y.; Chang, C.H.; Yu, C.H.; Huang, L.L.H. Hyaluronan keeps mesenchymal stem cells quiescent and maintains the dif-ferentiation potential over time. Aging Cell 2017, 16, 451–460. [Google Scholar] [CrossRef] [PubMed]
- Elzawahry, E.; Salem, M.; Bakry, S.; Rashed, L.; Hussein, A.S. The role of stem cells and vitamin D in the attenuation of liver and kidney functions in STZ-induced diabetic rats: Biochemical study. Int. J. Adv Res. Biol. Sci. 2017, 4, 119–132. [Google Scholar]
- Nakashima, K.; Yokoyama, T.; Yokoo, M.; Urashima, M. Role of vitamin D in diabetes mellitus and chronic kidney disease. World J. Diabetes 2016, 7, 89. [Google Scholar] [CrossRef] [PubMed]
- Izabela Szymczak, P.; Agnieszka, Ś. Analysis of association between vitamin D deficiency and insulin resistance. Nutrients 2019, 11, 794. [Google Scholar] [CrossRef]
- Liu, M.; Xianchi, L.I.; Rongerong, S.; Zeng, Y.I.; Shuang, C.; Peiying, Z. Vitamin D nutritional status and the risk for cardiovascu-lar disease (Review). Exper. Therap. Med. 2016, 11, 1189–1193. [Google Scholar] [CrossRef] [PubMed]
- El-Megharbel, S.M.; Hamza, R.Z.; Gobouri, A.A.; Refat, M.S. Synthesis of new antidiabetic agent by complexity between vana-dyl (II) sulfate and vitamin B1: Structural, characterization, anti-DNA damage, structural alterations, and antioxidative damage studies. Appl. Organometal. Chem. 2019, 33, e4892. [Google Scholar] [CrossRef]
- Lisheng, W.; Li, L.; Farbod, S.; Krysta, L.; Chantal, C.; Pablo, M.; Tanya, M.; Anne, R.; Mickie, B. Endothelial and Hematopoietic Cell Fate of Human Embryonic Stem Cells Originates From Primitive Endothelium With Hemangioblastic Properties. Immunity 2004, 21, 31–41. [Google Scholar]
- Alhadlaq, A.; Mao, J.J. Mesenchymal stem cells: Isolation and therapeutics. Stem Cells Dev. 2004, 13, 436–448. [Google Scholar] [CrossRef]
- Rochefort, Y.G.; Vaudin, P.; Bonnet, N.; Pages, J.C.; Domenech, J.; Charbord, P.; Eder, V. Influence of hypoxia on the domicili-ation of mesenchymal stem cells after infusion into rats: Possibilities of targeting pulmonary artery remodeling via cells thera-pies? Resp. Res. 2005, 6, 125. [Google Scholar] [CrossRef]
- Deepa, M.; Bhansali, A.; Anjana, R.M.; Pradeepa, R.; Joshi, S.R.; Joshi, P.P.; Dhandhania, V.K.; Rao, P.V.; Subashini, R.; Unnikrishnan, R.; et al. Knowledge and awareness of diabetes in urban and rural India: The Indian Council of Medical Research India Diabetes Study (Phase I): Indian Council of Medical Research India Diabetes 4. Indian J. Endocrinol. Metab. 2014, 18, 379–385. [Google Scholar] [CrossRef] [PubMed]
- Derakhshanian, H.; Mahmoud, D.; Mohammad, H.J.; Ehsan, A.; Mohammad, R.E.; Abbas, M.; Hoda, N.; Samane, J.; Mahnaz, Z.; Abolghassem, D. Vitamin D suppresses cellular pathways of diabetes complication in liver. Iran. J. Basic Med. Sci. 2019, 22, 690–694. [Google Scholar] [PubMed]
- Carr, T.; Andresen, C.J.; Rudel, L.L. Enzymatic determination of triglyceride, free cholesterol, and total cholesterol in tissue lipid extracts. Clin. Biochem. 1993, 26, 39–42. [Google Scholar] [CrossRef]
- Warnick, G.R.; Benderson, J.; Albers, J.J. Selected methods of clinical chemistry. Am. Assoc. Clin. Chem. 1983, 10, 91–99. [Google Scholar]
- Litwack, G.; Bothwell, J.W.; Williams, J.N.; Elvehjem, C.A. A colorimetric assay for xanthine oxide in rat liver homogenates. J. Biol. Chem. 1953, 200, 303–310. [Google Scholar] [CrossRef]
- Xu, J.; Yuan, X.; Lang, P. Determination of catalase activity and catalase inhibition by ultraviolet spectrophotometry. Chin. Environ. Chem. 1997, 16, 73–76. [Google Scholar]
- Marklund, S.; Marklund, G. Involvement of the superoxide anion radical in the autoxidation of pyrogallol and a convenient assay for superoxide dismutase. Eur. J. Biochem. 1974, 47, 469–474. [Google Scholar] [CrossRef]
- Hafeman, D.G.; Sunde, R.A.; Hoekstra, W.G. Effect of Dietary Selenium on Erythrocyte and Liver Glutathione Peroxidase in the Rat. J. Nutr. 1974, 104, 580–587. [Google Scholar] [CrossRef]
- Alin, P.; Danielson, U.H.; Mannervik, B. 4-Hydroxyl-2enals are substrates for glutathione transferase. FEBS Lett 1985, 179, 267–270. [Google Scholar] [CrossRef]
- Ohkawa, H.; Ohishi, N.; Yagi, K. Assay for lipid peroxides in animal tissues by thiobarbituric acid reaction. Anal. Biochem. 1979, 95, 351–358. [Google Scholar] [CrossRef]
- Guan, H.; Yang, K. RNA Isolation and Real-Time Quantitative RT-PCR. In Adipose Tissue Protocols. Methods in Molecular BiologyTM; Yang, K., Ed.; Humana Press: Totowa, NJ, USA, 2008; Volume 456. [Google Scholar]
- Malec, M.; Söderqvist, M.; Sirsjö, A.; MacNamara, B.; Lewin, N.; Sjöberg, J.; Björkholm, M.; Porwit-MacDonald, A. Real-time Polymerase Chain Reaction Determination of Cytokine mRNA Expression Profiles in Hodgkin’s Lymphoma. Haematologica 2000, 89, 679–685. [Google Scholar]
- Nandhakumar, S.; Parasuraman, S.; Shanmugam, M.M.; Rao, K.R.; Chand, P.; Bhat, B.V. Evaluation of DNA damage using single-cell gel electrophoresis (Comet Assay). J. Pharm. Pharm. 2011, 2, 107–111. [Google Scholar] [CrossRef]
- Hayat, M.A. (Ed.) Basic Techniques for Transmission Electron Microscopy, 1st ed.; Macmillan Press: New York, NY, USA, 1986; ISBN 9780123339263 22. [Google Scholar]
- Snedecor, G.W.; Cochran, W.G. Statistical Methods, 6th ed.; Oxford & IBH Co.: Bombay/New Delhi, India, 1967. [Google Scholar]
- Cho, N.; Shaw, J.E.; Karuranga, S.; Huang, Y.; da Rocha Fernandes, J.D.; Ohlrogge, A.W.; Malanda, B. IDF Diabetes Atlas: Global estimates of diabetes prevalence for 2017 and projections for 2045. Diabetes Res. Clin. Pract. 2018, 138, 271–281. [Google Scholar] [CrossRef]
- Daisy, P.; Balasubramanian, K.; Rajalakshmi, M.; Eliza, J.; Selvaraj, J. Insulin mimetic impact of Catechin isolated from Cassia fistula on the glucose oxidation and molecular mechanisms of glucose uptake on Streptozotocin-induced diabetic Wistar rats. Phytomedicine 2010, 17, 28–36. [Google Scholar] [CrossRef]
- Zhang, C.; Shao, M.; Yang, H.; Chen, L.; Yu, L.; Cong, W.; Tian, H.; Zhang, F.; Cheng, P.; Jin, L.; et al. Attenua-tion of Hyperlipidemia- and Diabetes-Induced Early-Stage Apoptosis and Late-Stage Renal Dysfunction via Administration of Fibroblast Growth Factor-21 Is Associated with Suppression of Renal Inflammation. PLoS ONE 2013, 8, e82275. [Google Scholar]
- Knobloch, M. The Role of Lipid Metabolism for Neural Stem Cell Regulation. Brain Plast. 2017, 3, 61–71. [Google Scholar] [CrossRef]
- Wang, J.H.; Keisala, T.; Solakivi, T.; Minasyan, A.; Kalueff, A.V.; Tuohimaa, P. Serum cholesterol and expression of ApoAI, LXR beta and SREBP2 in vitamin D receptor knock-out mice. J. Steroid Biochem. 2009, 113, 222–226. [Google Scholar] [CrossRef]
- Christensen, R.; Lorenzen, J.K.; Svith, C.R.; Bartels, E.; Melanson, E.; Saris, W.; Tremblay, A.; Astrup, A. Effect of calcium from dairy and dietary supplements on faecal fat excretion: A metal analysis of randomized controlled trials. Obes. Rev. 2009, 10, 475–486. [Google Scholar] [CrossRef]
- Vaskonen, T.; Mervaala, E.; Sumuvuori, V.; Seppänen-Laakso, T.; Karppanen, H. Effects of calcium and plant sterols on serum lipids in obese Zucker rats on a low-fat diet. Brit. J. Nutr. 2002, 87, 239–245. [Google Scholar] [CrossRef]
- Reid, I.R.; Mason, B.; Horne, A.; Ames, R.; Clearwater, J.; Bava, U.; Orr-Walker, B.; Wu, F.; Evans, M.C.; Gamble, G.D. Effects of cal-cium supplementation on serum lipid concentrations in normal older women: A randomized controlled trial. Am. J. Med. 2002, 112, 343–347. [Google Scholar] [CrossRef]
- Ahmed, D.; Sharma, M.; Mukerjee, A.; Ramteke, P.W.; Kumar, V. Improved glycemic control, pancreas protective and hepato-protective effect by traditional poly-herbal formulation “Qurs Tabasheer” in streptozotocin-induced diabetic rats. BMC Complement Altern. Med. 2013, 13, 10–25. [Google Scholar] [CrossRef]
- Park, S.; Kim, D.S.; Kang, S. Vitamin D deficiency impairs glucose-stimulated insulin secretion and increases insulin re-sistance by reducing PPAR-γ expression in nonobese type 2 diabetic rats. J. Nutr. Biochem. 2016, 27, 257–265. [Google Scholar] [CrossRef]
- Jayanarayanan, S.; Anju, T.R.; Smijin, S.; Paulose, C.S. Vitamin D 3 supplementation increases insulin level by regulating al-tered IP3 and AMPA receptor expression in the pancreatic islets of streptozotocin-induced diabetic rat. J. Nutr. Biochem. 2015, 26, 1041–1049. [Google Scholar] [CrossRef] [PubMed]
- Enciso, P.L.; Wang, L.; Kawahara, Y.; Sakamoto, S.; Shimada, S.; Takeichi, Y.; Takayanagi, R.; Nomura, M. Dietary vitamin D 3 improves postprandial hy-perglycemia in aged mice. Biochem. Biophys. Res. Commun. 2015, 461, 165–171. [Google Scholar] [CrossRef] [PubMed]
- Targher, G.; Bertolini, L.; Scala, L.; Cigolini, M.; Zenari, L.; Falezza, G.; Arcaro, G. Associations between serum 25-hydroxyvitamin D3 concentrations and liver histology in patients with non-alcoholic fatty liver disease. Nutr. Metab. Cardiovasc. Dis. 2007, 17, 517–524. [Google Scholar] [CrossRef]
- Schwolfenberg, G. Vitamin D and diabetes: Improvement of glycemic control with vitamin D3 repletion. Can. Fam. Physician 2008, 54, 864–866. [Google Scholar]
- Djouad, F.; Plence, P.; Bony, C.; Tropel, P.; Apparailly, F.; Sany, J.; Noël, D.; Jorgensen, C. Immunosuppressive effect of mesen-chymal stem cells favors tumor growth in allogeneic animals. Blood 2003, 102, 3837–3844. [Google Scholar] [CrossRef] [PubMed]
- Wu, X.; Liu, C.; Xu, K.; Mao, X.; Zhu, J.; Jiang, J.; Cui, D.; Zhang, M.; Xu, Y.; Liu, C. Reversal of hyperglycemia in diabetic rats by portal vein transplantation of islet-like cells generated from bone marrow mesenchymal stem cells. World J. Gastroenterol. 2007, 13, 3342–3349. [Google Scholar] [CrossRef]
- Chandravanshi, B.; Bhonde, R.R. Shielding engineered islets with mesenchymal stem cells enhance survival under hypoxia. J. Cell Biochem. 2017, 118, 2672–2683. [Google Scholar] [CrossRef] [PubMed]
- Si, Y.; Zhao, Y.; Hao, H.; Liu, J.; Guo, Y.; Mu, Y.; Shen, J.; Cheng, Y.; Fu, X.; Han, W. Infusion of Mesenchymal Stem Cells Ameliorates Hyperglycemia in Type 2 Diabetic Rats: Identification of a Novel Role in Improving Insulin Sensitivity. Diabetes 2012, 61, 1616–1625. [Google Scholar] [CrossRef]
- Lee, R.H.; Seo, M.J.; Reger, R.L.; Spees, J.L.; Pulin, A.A.; Olson, S.D.; Prockop, D.J. Multipotent stromal cells from human marrow home to and promote repair of pancreatic islets and renal glomeruli in diabetic NOD/scid mice. Proc. Natl. Acad. Sci. USA 2006, 103, 17438–17443. [Google Scholar] [CrossRef] [PubMed]
- Refat, M.S.; Hamza, R.Z.; Adam, A.A.; Saad, H.A.; Gobouri, A.A.; Al-Harbi, F.S.; Al-Salmi, F.A.; Altalhi, T.; El-Megharbel, S.M. Quercetin/Zinc complex and stem cells: A new drug therapy to ameliorate glycometabolic control and pulmonary dysfunction in diabetes mellitus: Structural characterization and genetic studies. PLoS ONE 2021, 16, e0246265. [Google Scholar] [CrossRef]
- Forst, T.; Hach, T.; Kunt, T.; Weber, M.M.; Pfützner, A. Molecular effects of C-Peptide in microvascular blood flow regula-tion. Rev. Diabet. Stud. 2009, 6, 159–167. [Google Scholar] [CrossRef] [PubMed]
- Francesca, P.; Adriana, D.B.; Elisabetta, A.C.A.; Graziana, C.; Chiara, P.; Teresa, T.; Giacomina, B.; Lorenzo, L.M.; Maria, G.; Giorgio, M. Vitamin D Promotes MSC Osteogenic Differentiation Stimulating Cell Adhesion and αVβ3 Expression. Stem Cells Int. 2018, 6958713, 9. [Google Scholar]
- Shao, J.; Zhang, W.; Yang, T. Using mesenchymal stem cells as a therapy for bone regeneration and repairing. Biol. Res. 2015, 48, 1–7. [Google Scholar] [CrossRef]
- Altawil, J.H.A.; Abdel-Rahman, M.A.; ElNaggar, M.S.; El-Khayat, Z.A.; Abdel-Daim, M.M. Analgesic, Antipyretic and Anti-Inflammatory Activities of the Egyptian Spitting Cobra, Naja Nubiae Venom. J. Forensic Toxicol. Pharmacol. 2015, 4, 1. [Google Scholar]






| Groups | Parameters | |||
|---|---|---|---|---|
| Blood Glucose (mg/dL) | Insulin (IU/mL) | HbA1c (mmol/mol) | Serum C-Peptide (ng/mL) | |
| Control group | 95.61 ± 4.15 e | 24.76 ± 2.25 ab | 6.12 ± 0.85 d | 4.22 ± 0.49 ab |
| STZ group | 402.27 ± 7.02 a | 4.30 ± 0.25 e | 9.51 ± 1.66 ab | 0.72 ± 0.05 d |
| STZ + stem cell | 180.34 ± 5.03 c | 18.59 ± 1.36 c | 8.98 ± 1.25 b | 2.98 ± 0.77 c |
| STZ + vit. D | 200.05 ± 5.72 b | 15.38 ± 2.15 d | 9.02 ± 1.02 ab | 2.72 ± 0.59 c |
| STZ + stem cell + vit. D | 132.05 ± 5.25 d | 21.65 ± 2.65 b | 7.05 ± 0.59 cd | 3.84 ± 0.43 b |
| Groups | Parameters | ||||
|---|---|---|---|---|---|
| Triglycerides (mg/dL) | Total Cholesterol (mg/dL) | HDL-c (mg/dL) | LDL-c (mg/dL) | vLDL-c (mg/dL) | |
| Control group | 67.32 ± 1.26 e | 113.82 ± 5.04 d | 40.12 ± 4.25 ab | 17.03 ± 2.02 d | 13.46 ± 1.45 e |
| STZ group | 280.16 ± 4.14 a | 320.16 ± 4.27 a | 20.86 ± 1.02 e | 51.31 ± 4.36 a | 27.07 ± 3.02 ab |
| STZ + stem cell | 110.02 ± 6.25 c | 141.58 ± 5.25 c | 35.36 ± 2.14 c | 28.21 ± 2.56 b | 20.60 ± 1.36 c |
| STZ + vit. D | 131.25 ± 5.25 bc | 175.02 ± 6.36 b | 33.46 ± 3.58 d | 29.25 ± 1.36 b | 24.21 ± 1.36 b |
| STZ + stem cell + vit. D | 84.32 ± 5.25 d | 100.34 ± 4.69 e | 38.31 ± 3.69 b | 20.42 ± 1.57 cd | 17.11 ± 1.86 de |
| Groups | Parameters | |
|---|---|---|
| MPO (nmol/min/mL) | XO (U/g) | |
| Control group | 15.10 ± 1.26 d | 17.45 ± 1.45 e |
| STZ group | 29.56 ± 1.31 a | 35.25 ± 1.36 a |
| STZ + stem cell | 18.49 ± 1.34 c | 25.17 ± 1.55 b |
| STZ + vit. D | 20.44 ± 1.25 b | 22.31 ± 1.65 c |
| STZ + stem cell + vit. D | 18.46 ± 2.08 c | 19.27 ± 2.52 de |
| Groups | Parameters (U/g) | ||||
|---|---|---|---|---|---|
| CAT | SOD | MDA | GRx | GST | |
| Control group | 1.48 ± 0.12 a | 22.45 ± 1.15 ab | 2.35 ± 0.28 e | 30.05 ± 1.55 ab | 20.35 ± 0.52 ab |
| STZ group | 0.47 ± 0.11 d | 5.12 ± 1.15 e | 39.17 ± 1.96 a | 7.16 ± 1.15 e | 4.35 ± 0.48 e |
| STZ + stem cell | 1.12 ± 0.32 bc | 16.91 ± 1.48 c | 20.40 ± 1.47 c | 24.25 ± 1.17 c | 12.72 ± 1.35 cd |
| STZ + vit. D | 1.0 ± 0.67 c | 12.64 ± 2.18 d | 25.42 ± 1.02 bc | 20.85 ± 1.12 d | 10.87 ± 0.49 d |
| STZ + stem cell + vit. D | 1.40 ± 0.53 a | 20.17 ± 1.15 b | 8.36 ± 1.46 d | 28.39 ± 1.81 b | 16.72 ± 0.67 b |
| Gene | Primer Sequence | Accession No. | Length (bp) |
|---|---|---|---|
| IL-6 | Forward: 5′-TCCTACCCCAACTTCCAATGCTC-3′ Reverse: 5′-TTGGATGGTCTTGGTCCTTAGCC-3′ | E02522 | 79 (Marek et al., 2010) |
| TNF-α | Forward: 5AAATGGGCTCCCTCTCATCAGTTC-3′ Reverse: 5′-TCTGCTTGGTGGTTTGCTACGAC-3′ | X66539 | 111 (Marek et al., 2010) |
| Il-1β | Forward: 5′-CACCTCTCAAGCAGAGCACAG-3′ Reverse: 5′-GGGTTCCATGGTGAAGTCAAC-3′ | M98820 | 79 (Marek et al., 2010) |
| Groups | IL-6 mRNA | TNF-α mRNA | Il-1β mRNA |
|---|---|---|---|
| Control group | 0.45 a | 0.54 a | 0.35 a |
| STZ group | 5.5 d | 6.54 d | 8.02 d |
| STZ + stem cell | 1.85 b,c | 2.14 b,c | 4.25 b,c |
| STZ + Vit. D | 1.97 c | 2.31 c | 4.54 c |
| STZ + stem cell + Vit. D | 0.64 a | 0.77 a | 0.62 a |
Publisher’s Note: MDPI stays neutral with regard to jurisdictional claims in published maps and institutional affiliations. |
© 2021 by the authors. Licensee MDPI, Basel, Switzerland. This article is an open access article distributed under the terms and conditions of the Creative Commons Attribution (CC BY) license (http://creativecommons.org/licenses/by/4.0/).
Share and Cite
Hamza, R.Z.; Al-Eisa, R.A.; El-Shenawy, N.S. RETRACTED: Efficacy of Mesenchymal Stem Cell and Vitamin D in the Treatment of Diabetes Mellitus Induced in a Rat Model: Pancreatic Tissues. Coatings 2021, 11, 317. https://doi.org/10.3390/coatings11030317
Hamza RZ, Al-Eisa RA, El-Shenawy NS. RETRACTED: Efficacy of Mesenchymal Stem Cell and Vitamin D in the Treatment of Diabetes Mellitus Induced in a Rat Model: Pancreatic Tissues. Coatings. 2021; 11(3):317. https://doi.org/10.3390/coatings11030317
Chicago/Turabian StyleHamza, Reham Z., Rasha A. Al-Eisa, and Nahla S. El-Shenawy. 2021. "RETRACTED: Efficacy of Mesenchymal Stem Cell and Vitamin D in the Treatment of Diabetes Mellitus Induced in a Rat Model: Pancreatic Tissues" Coatings 11, no. 3: 317. https://doi.org/10.3390/coatings11030317
APA StyleHamza, R. Z., Al-Eisa, R. A., & El-Shenawy, N. S. (2021). RETRACTED: Efficacy of Mesenchymal Stem Cell and Vitamin D in the Treatment of Diabetes Mellitus Induced in a Rat Model: Pancreatic Tissues. Coatings, 11(3), 317. https://doi.org/10.3390/coatings11030317

