Isolated Pulmonary Valve Endocarditis Caused by Enterococcus faecalis—Facing the Unpredictable
Abstract
1. Introduction
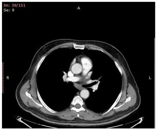
2. The Case
3. Discussion
4. Conclusions
Author Contributions
Funding
Institutional Review Board Statement
Informed Consent Statement
Data Availability Statement
Conflicts of Interest
Abbreviations
| IPE | Isolated pulmonary valve endocarditis |
| IE | Infective endocarditis |
| VRE | Vancomycin resistant E. faecalis |
| IVDU | Intravenous drug use |
| MDR | Multidrug resistance |
| CRP | C-reactive protein |
| BC | Blood cultures |
| GEN | Gentamicin |
| IMI | Imipenem |
| AMP | Ampicillin |
| VAN | Vancomycin |
| TEE | Transesophageal echocardiography |
| ESR | Erythrocyte sedimentation rate |
| RSIE | Right-sided infective endocarditis |
| PBP | Penicillin binding protein |
| Hb | Hemoglobin |
References
- Talha, K.M.; Baddour, L.M.; Thornhill, M.H.; Arshad, V.; Tariq, W.; Tleyjeh, I.M.; Scott, C.G.; Hyun, M.C.; Bailey, K.R.; Anavekar, N.S.; et al. Escalating incidence of infective endocarditis in Europe in the 21st century. Open Heart 2021, 8, e001846. [Google Scholar] [CrossRef] [PubMed]
- Institute for Health Metrics and Evaluation (IHME). Global Burden of Disease Study 2021 (GBD 2021); Institute for Health Metrics and Evaluation (IHME): Seattle, WA, USA, 2024. [Google Scholar]
- Iturriagagoitia, A.; Mistrulli, R.; Gharehdaghi, S.; Shumkova, M.; Spapen, J.; Van Praet, F.; Penicka, M. Pulmonary Valve Endocarditis: Always Look on the (B)right Side! CASE 2024, 8, 390–394. [Google Scholar] [CrossRef] [PubMed]
- Munita, J.M.; Arias, C.A.; Murray, B.E. Enterococcal Endocarditis: Can We Win the War? Curr. Infect. Dis. Rep. 2012, 14, 339–349. [Google Scholar] [CrossRef][Green Version]
- Miró, J.M.; Pericàs, J.M.; Lechuga, A.d.R. A New Era for Treating Enterococcus faecalis Endocarditis. Circulation 2013, 127, 1763–1766. [Google Scholar] [CrossRef]
- Pejin, B.; Kartali, T.; Stanimirović, B.; Karaman, M. Phytol May Inspire New Medicinal Foods for the Treatment of Heart Disease. Asian J. Chem. 2014, 26, 8261–8262. [Google Scholar] [CrossRef]
- Heikens, E.; Singh, K.V.; Jacques-Palaz, K.; Luit-Asbroek, M.v.; Oostdijk, E.; Bonten, M.J.M.; Murray, B.E.; Willems, R.J.L. Contribution of the Enterococcal Surface Protein Esp to Pathogenesis of Enterococcus faecium Endocarditis. Microbes Infect. 2011, 13, 1185–1190. [Google Scholar] [CrossRef]
- Leuck, A.M.; Johnson, J.R.; Dunny, G.M. A Widely Used in Vitro Biofilm Assay Has Questionable Clinical Significance for Enterococcal Endocarditis. PLoS ONE 2014, 9, e107282. [Google Scholar] [CrossRef]
- Adriana Caliman-Sturdza, O. Enteroccocus and Endocarditis. In Enterococcus—Unveiling the Emergence of a Potent Pathogen; IntechOpen Limited: London, UK, 2024. [Google Scholar] [CrossRef]
- Arias, C.A.; Contreras, G.A.; Murray, B.E. Management of multidrug-resistant enterococcal infections. Clin. Microbiol. Infect. 2010, 16, 555–562. [Google Scholar] [CrossRef]
- Habib, G.; Erba, P.A.; Iung, B.; Donal, E.; Cosyns, B.; Laroche, C.; Popescu, B.A.; Prendergast, B.; Tornos, P.; Sadeghpour, A.; et al. Clinical presentation, aetiology and outcome of infective endocarditis. Results of the ESC-EORP EURO-ENDO (European infective endocarditis) registry: A prospective cohort study. Eur. Heart J. 2019, 40, 3222–3232. [Google Scholar] [CrossRef]
- Pericas, J.M.; Cervera, C.; del Rio, A.; Moreno, A.; Garcia de la Maria, C.; Almela, M.; Falces, C.; Ninot, S.; Castañeda, X.; Armero, Y.; et al. Changes in the treatment of Enterococcus faecalis infective endocarditis in Spain in the last 15 years: From ampicillin plus gentamicin to ampicillin plus ceftriaxone. Clin. Microbiol. Infect. 2014, 20, O1075–O1083. [Google Scholar] [CrossRef]
- Hayakawa, K.; Marchaim, D.; Palla, M.; Gudur, U.M.; Pulluru, H.; Bathina, P.; Alshabani, K.; Govindavarjhulla, A.; Mallad, A.; Abbadi, D.R.; et al. Epidemiology of vancomycin-resistant Enterococcus faecalis: A case-case-control study. Antimicrob. Agents Chemother. 2013, 57, 49–55. [Google Scholar] [CrossRef] [PubMed]
- McDonald, J.R. Acute infective endocarditis. Infect. Dis. Clin. N. Am. 2009, 23, 643–664. [Google Scholar] [CrossRef] [PubMed]
- Ambrosioni, J.; Hernandez-Meneses, M.; Téllez, A.; Pericàs, J.; Falces, C.; Tolosana, J.; Vidal, B.; Almela, M.; Quintana, E.; Llopis, J. The changing epidemiology of infective endocarditis in the twenty-first century. Curr. Infect. Dis. Rep. 2017, 19, 1–10. [Google Scholar] [CrossRef]
- Bin Abdulhak, A.A.; Baddour, L.M.; Erwin, P.J.; Hoen, B.; Chu, V.H.; Mensah, G.A.; Tleyjeh, I.M. Global and regional burden of infective endocarditis, 1990-2010: A systematic review of the literature. Glob. Heart 2014, 9, 131–143. [Google Scholar] [CrossRef]
- Ambrosioni, J.; Hernández-Meneses, M.; Durante-Mangoni, E.; Tattevin, P.; Olaison, L.; Freiberger, T.; Hurley, J.; Hannan, M.M.; Chu, V.; Hoen, B.; et al. Epidemiological Changes and Improvement in Outcomes of Infective Endocarditis in Europe in the Twenty-First Century: An International Collaboration on Endocarditis (ICE) Prospective Cohort Study (2000–2012). Infect. Dis. Ther. 2023, 12, 1083–1101. [Google Scholar] [CrossRef]
- Musci, T.; Grubitzsch, H. Healthcare-Associated Infective Endocarditis-Surgical Perspectives. J. Clin. Med. 2022, 11, 4957. [Google Scholar] [CrossRef]
- Deng, H.; Ma, Y.; Zhai, H.; Miao, Q. Surgical valve repair of isolated pulmonary valve endocarditis. Interact. CardioVascular Thorac. Surg. 2012, 16, 384–386. [Google Scholar] [CrossRef]
- Zhang, M.-X.; Zhang, W.-M.; Yu, C.; Zhao, B.-W.; Chen, R.; Pan, M.; Wang, B. Isolated pulmonary valve endocarditis with rapid progression: A case report and literature review. J. Cardiothorac. Surg. 2021, 16, 16. [Google Scholar] [CrossRef]
- Nishida, K.; Fukuyama, O.; Nakamura, D.S. Pulmonary valve endocarditis caused by right ventricular outflow obstruction in association with sinus of valsalva aneurysm: A case report. J. Cardiothorac. Surg. 2008, 3, 46. [Google Scholar] [CrossRef]
- Vata, L.; Dumitriu, I.; Gurzu, M.; Slatineanu, S.; Vata, A.; Gurzu, B. Ghrelin effects on local renin angiotensin from pulmonary vessels. Acta Endocrinol. 2010, 3, 395–403. [Google Scholar] [CrossRef]
- Kumar, B.; Singh, A.; Akram, M.; Singh, M. Nature’s balancing act: Infective endocarditis of pulmonary valve with ventricular septal defect in fifth decade; a rare and unusual presentation. J. Cardiol. Cases 2018, 17, 77–79. [Google Scholar] [CrossRef] [PubMed][Green Version]
- Ranjith, M.P.; Rajesh, K.F.; Rajesh, G.; Haridasan, V.; Bastian, C.; Sajeev, C.G.; Krishnan, M.N. Isolated pulmonary valve endocarditis: A case report and review of literature. J. Cardiol. Cases 2013, 8, 161–163. [Google Scholar] [CrossRef] [PubMed]
- Said, M.S.; Tirthani, E.; Lesho, E. Enterococcus Infections; StatPearls Publishing: Treasure Island, FL, USA, 2024. [Google Scholar]
- Bertelloni, F.; Salvadori, C.; Moni, A.; Cerri, D.; Mani, P.; Ebani, V.V. Antimicrobial resistance in Enterococcus spp. isolated from laying hens of backyard poultry floks. Ann. Agric. Environ. Med. 2015, 22, 665–669. [Google Scholar] [CrossRef] [PubMed]
- Delgado, V.; Ajmone Marsan, N.; de Waha, S.; Bonaros, N.; Brida, M.; Burri, H.; Caselli, S.; Doenst, T.; Ederhy, S.; Erba, P.A.; et al. 2023 ESC Guidelines for the management of endocarditis: Developed by the task force on the management of endocarditis of the European Society of Cardiology (ESC) Endorsed by the European Association for Cardio-Thoracic Surgery (EACTS) and the European Association of Nuclear Medicine (EANM). Eur. Heart J. 2023, 44, 3948–4042. [Google Scholar] [CrossRef]
- Koca, Ö.; Er, H.; Çekin, Y. Evaluation of antibiotic susceptibility in enterococci isolated from blood culture samples. J. Med. Palliat. Care 2023, 4, 385–388. [Google Scholar] [CrossRef]
- Seyed Hossein, M.; Hadi, P.-D.; Behnam, M.-G.; Roghayeh, T.; Dadras, M.; Farzad, K.; Mohsen, A. High-level resistance to aminoglycosides and ampicillin among clinical isolates of Enterococcus species in an Iranian referral hospital. Iran. J. Microbiol. 2020, 12, 319–324. [Google Scholar] [CrossRef]
- Gagetti, P.; Bonofiglio, L.; García Gabarrot, G.; Kaufman, S.; Mollerach, M.; Vigliarolo, L.; von Specht, M.; Toresani, I.; Lopardo, H.A. Resistance to β-lactams in enterococci. Rev. Argent. Microbiol. 2019, 51, 179–183. [Google Scholar] [CrossRef]
- Nigo, M.; Munita, J.M.; Arias, C.A.; Murray, B.E. What’s New in the Treatment of Enterococcal Endocarditis? Curr. Infect. Dis. Rep. 2014, 16, 431. [Google Scholar] [CrossRef]
- Peterson, S.C.; Lau, T.T.Y.; Ensom, M.H.H. Combination of Ceftriaxone and Ampicillin for the Treatment of Enterococcal Endocarditis: A Qualitative Systematic Review. Ann. Pharmacother. 2017, 51, 496–503. [Google Scholar] [CrossRef]
- Iung, B.; Doco-Lecompte, T.; Chocron, S.; Strady, C.; Delahaye, F.; Le Moing, V.; Poyart, C.; Alla, F.; Cambau, E.; Tattevin, P.; et al. Cardiac surgery during the acute phase of infective endocarditis: Discrepancies between European Society of Cardiology guidelines and practices. Eur. Heart J. 2015, 37, 840–848. [Google Scholar] [CrossRef]
- Armiñanzas, C.; Fariñas-Alvarez, C.; Zarauza, J.; Muñoz, P.; González Ramallo, V.; Martínez Sellés, M.; Miró Meda, J.M.; Pericás, J.M.; Goenaga, M.Á.; Ojeda Burgos, G.; et al. Role of age and comorbidities in mortality of patients with infective endocarditis. Eur. J. Intern. Med. 2019, 64, 63–71. [Google Scholar] [CrossRef] [PubMed]
- Marx, P.; Kowalczyk, W.; Demircioglu, A.; Brault, G.N.; Wendt, H.; Shehada, S.-E.; Tsagakis, K.; El Gabry, M.; Jakob, H.; Wendt, D. The Fluid Dynamical Performance of the Carpentier-Edwards PERIMOUNT Magna Ease Prosthesis. BioMed Res. Int. 2018, 2018, 5429594. [Google Scholar] [CrossRef]
- Tsui, S.; Rosenbloom, M.; Abel, J.; Swanson, J.; Haverich, A.; Zacharias, J.; Schorlemmer, G.; Cohen, G.; Moulton, M.; Lange, R. Eight-year outcomes of aortic valve replacement with the Carpentier-Edwards PERIMOUNT Magna Ease valve. J. Card. Surg. 2022, 37, 4999–5010. [Google Scholar] [CrossRef] [PubMed]
- Stubeda, H.; Aliter, H.; Gainer, R.A.; Theriault, C.; Doucette, S.; Hirsch, G.M. Six-year follow-up of aortic valve reoperation rates: Carpentier-Edwards Perimount versus St. Jude Medical Trifecta. J. Card. Surg. 2020, 35, 3347–3353. [Google Scholar] [CrossRef]
- Benedetto, U.; Spadaccio, C.; Gentile, F.; Moon, M.R.; Nappi, F. A narrative review of early surgery versus conventional treatment for infective endocarditis: Do we have an answer? Ann. Transl. Med. 2020, 8, 1626. [Google Scholar] [CrossRef]
- Kang, D.-H. Timing of surgery in infective endocarditis. Heart 2015, 101, 1786. [Google Scholar] [CrossRef]
- Mack, M.J.; Lancellotti, P. Early Surgery in Infective Endocarditis. J. Am. Coll. Cardiol. 2020, 76, 41–42. [Google Scholar] [CrossRef]
- Marques, A.; Cruz, I.; Caldeira, D.; Alegria, S.; Gomes, A.C.; Broa, A.L.; João, I.; Pereira, H. Risk Factors for In-Hospital Mortality in Infective Endocarditis. Arq. Bras. Cardiol. 2020, 114, 1–8. [Google Scholar] [CrossRef]




| Antibiotic Tested | Susceptibility | MIC Breakpoints (mg/L) | ||
|---|---|---|---|---|
| First Isolate | Second Isolate | First Isolate | Second Isolate | |
| Ampicillin | S | R | ND * | 16 |
| Gentamicin | LR | HR | 128 | 512 |
| Vancomycin | S | R | 1 | 16 |
| Linezolid | S | S | 2 | 2 |
Disclaimer/Publisher’s Note: The statements, opinions and data contained in all publications are solely those of the individual author(s) and contributor(s) and not of MDPI and/or the editor(s). MDPI and/or the editor(s) disclaim responsibility for any injury to people or property resulting from any ideas, methods, instructions or products referred to in the content. |
© 2025 by the authors. Licensee MDPI, Basel, Switzerland. This article is an open access article distributed under the terms and conditions of the Creative Commons Attribution (CC BY) license (https://creativecommons.org/licenses/by/4.0/).
Share and Cite
Vâţă, A.; Loghin, I.I.; Miftode, R.Ș.; Crişu, D.; Luca, C.M.; Vasilescu, A.M.; Onofrei, I.M.; Parângă, T.; Miftode, I.-L. Isolated Pulmonary Valve Endocarditis Caused by Enterococcus faecalis—Facing the Unpredictable. Antibiotics 2025, 14, 220. https://doi.org/10.3390/antibiotics14030220
Vâţă A, Loghin II, Miftode RȘ, Crişu D, Luca CM, Vasilescu AM, Onofrei IM, Parângă T, Miftode I-L. Isolated Pulmonary Valve Endocarditis Caused by Enterococcus faecalis—Facing the Unpredictable. Antibiotics. 2025; 14(3):220. https://doi.org/10.3390/antibiotics14030220
Chicago/Turabian StyleVâţă, Andrei, Isabela Ioana Loghin, Radu Ștefan Miftode, Daniela Crişu, Cătălina Mihaela Luca, Alin Mihai Vasilescu, Ioana Maria Onofrei, Tudorița Parângă, and Ionela-Larisa Miftode. 2025. "Isolated Pulmonary Valve Endocarditis Caused by Enterococcus faecalis—Facing the Unpredictable" Antibiotics 14, no. 3: 220. https://doi.org/10.3390/antibiotics14030220
APA StyleVâţă, A., Loghin, I. I., Miftode, R. Ș., Crişu, D., Luca, C. M., Vasilescu, A. M., Onofrei, I. M., Parângă, T., & Miftode, I.-L. (2025). Isolated Pulmonary Valve Endocarditis Caused by Enterococcus faecalis—Facing the Unpredictable. Antibiotics, 14(3), 220. https://doi.org/10.3390/antibiotics14030220

