Tobacco Seed-Based Oral Vaccination against Verocytotoxic O138 Escherichia coli as Alternative Approach to Antibiotics in Weaned Piglets
Abstract
1. Introduction
2. Results
2.1. Zootechnical Performance and Clinical Scores
2.2. Microbiological Analyses
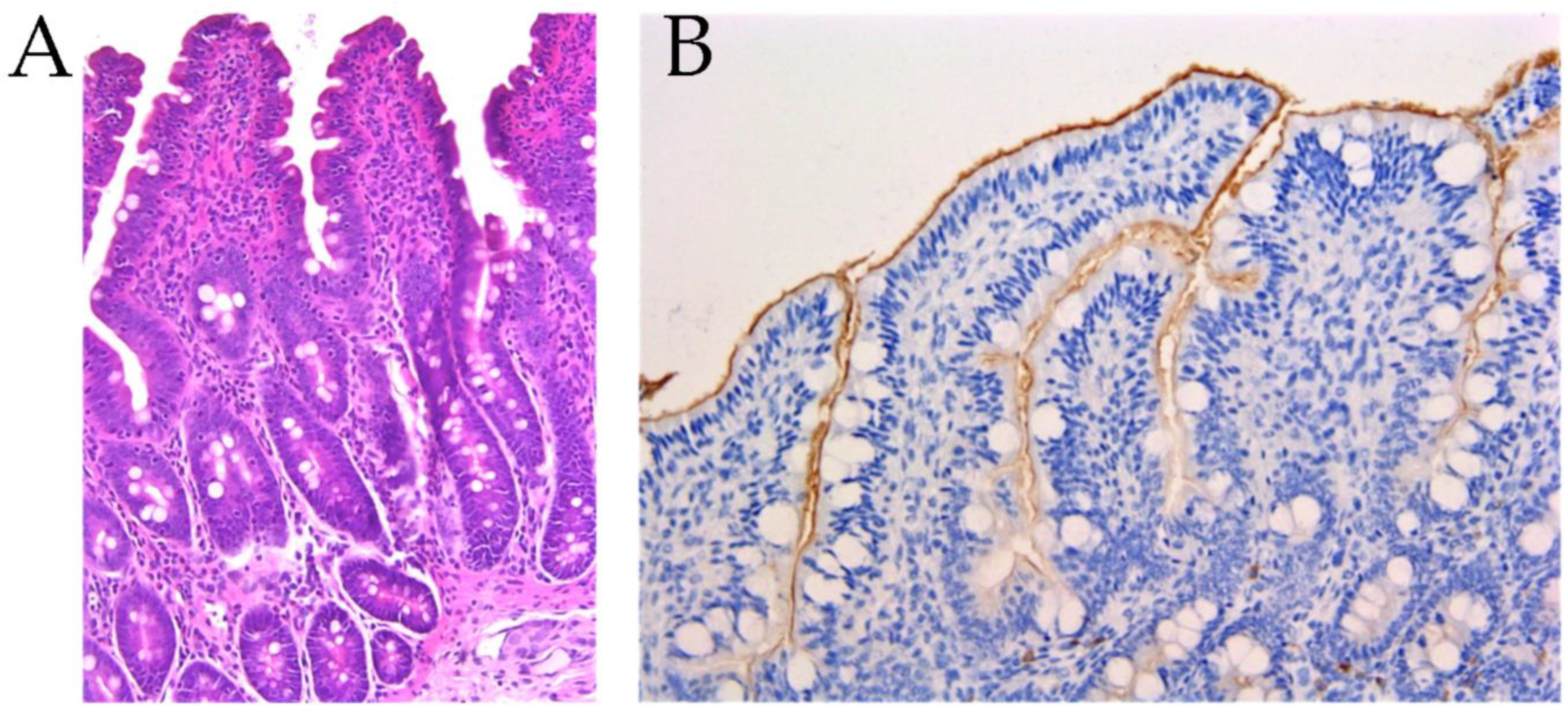
2.3. Histological Evaluations
2.4. Immune Response Parameters
3. Discussion
4. Materials and Methods
4.1. Production and Characterization of Engineered Tobacco Seeds
4.2. Animals and Housing Conditions
4.3. Experimental Design and Treatments
4.4. Challenge
4.5. Zootechnical and Clinical Evaluation and Sampling
4.6. Microbiological Analysis
4.7. Histological Evaluations
4.8. Evaluation of Specific Intestinal Immunoglobulin-A Titer
4.9. Immunoenzymatic Evaluation
4.10. RNA Extraction, Reverse Transcription and Real-Time PCR Assays
4.11. Statistical Analysis
Author Contributions
Funding
Institutional Review Board Statement
Informed Consent Statement
Data Availability Statement
Acknowledgments
Conflicts of Interest
References
- Szczepanik, K.; Furgał-Dierżuk, I.; Gala, Ł.; Świątkiewicz, M. Effects of Hermetia illucens Larvae Meal and Astaxanthin as Feed Additives on Health and Production Indices in Weaned Pigs. Animals 2023, 13, 163. [Google Scholar] [CrossRef]
- Bonetti, A.; Tugnoli, B.; Piva, A.; Grilli, E. Towards Zero Zinc Oxide: Feeding Strategies to Manage Post-Weaning Diarrhea in Piglets. Animals 2021, 11, 642. [Google Scholar] [CrossRef]
- Sun, Y.; Kim, S. Intestinal challenge with enterotoxigenic Escherichia coli in pigs, and nutritional intervention to prevent postweaning diarrhea. Anim. Nutr. 2017, 3, 322–330. [Google Scholar] [CrossRef]
- Vangroenweghe, F.A. 238 Vaccination with an E. coli F4/F18 Vaccine for the Prevention of F4-ETEC Post-weaning Diarrhea Resulted in Reduced Post-weaning Mortality and Antibiotic Use. J. Anim. Sci. 2021, 99, 140. [Google Scholar] [CrossRef]
- Dierick, M.; Ongena, R.; Vanrompay, D.; Devriendt, B.; Cox, E. Lactoferrin Decreases Enterotoxigenic Escherichia coli-Induced Fluid Secretion and Bacterial Adhesion in the Porcine Small Intestine. Pharmaceutics 2022, 14, 1778. [Google Scholar] [CrossRef] [PubMed]
- Shen, J.; Rump, L.; Ju, W.; Shao, J.; Zhao, S.; Brown, E.; Meng, J. Virulence characterization of non-O157 Shiga toxin-producing Escherichia coli isolates from food, humans and animals. Food Microbiol. 2015, 50, 20–27. [Google Scholar] [CrossRef] [PubMed]
- Tan, C.; Tang, X.; Zhang, X.; Ding, Y.; Zhao, Z.; Wu, B.; Cai, X.; Liu, Z.; He, Q.; Chen, H. Serotypes and virulence genes of extraintestinal pathogenic Escherichia coli isolates from diseased pigs in China. Vet. J. 2012, 192, 483–488. [Google Scholar] [CrossRef] [PubMed]
- Johannes, L.; Römer, W. Shiga toxins—From cell biology to biomedical applications. Nat. Rev. Microbiol. 2010, 8, 105–116. [Google Scholar] [CrossRef] [PubMed]
- Nainu, F.; Permana, A.D.; Djide, N.J.N.; Anjani, Q.K.; Utami, R.N.; Rumata, N.R.; Zhang, J.; Emran, T.B.; Simal-Gandara, J. Pharmaceutical Approaches on Antimicrobial Resistance: Prospects and Challenges. Antibiotics 2021, 10, 981. [Google Scholar] [CrossRef]
- Cormican, M.; Hopkins, S.; Jarlier, V.; Reilly, J.; Simonsen, G.; Strauss, R.; Vandenberg, O.; Zabicka, D.; Zarb, P.; Catchpole, M.; et al. ECDC, EFSA and EMA Joint Scientific Opinion on a list of outcome indicators as regards surveillance of antimicrobial resistance and antimicrobial consumption in humans and food-producing animals. Efsa J. 2017, 15, 5017. [Google Scholar] [CrossRef]
- Micoli, F.; Bagnoli, F.; Rappuoli, R.; Serruto, D. The role of vaccines in combatting antimicrobial resistance. Nat. Rev. Microbiol. 2021, 19, 287–302. [Google Scholar] [CrossRef] [PubMed]
- Rossi, L.; Dell’Orto, V.; Vagni, S.; Sala, V.; Reggi, S.; Baldi, A. Protective effect of oral administration of transgenic tobacco seeds against verocytotoxic Escherichia coli strain in piglets. Vet. Res. Commun. 2014, 38, 39–49. [Google Scholar] [CrossRef]
- Sohrab, S.S. An edible vaccine development for coronavirus disease 2019: The concept. Clin. Exp. Vaccine Res. 2020, 9, 164. [Google Scholar] [CrossRef]
- Rossi, L.; Pinotti, L.; Agazzi, A.; Dell’Orto, V.; Baldi, A. Plant bioreactors for the antigenic hook-associated flgK protein expression. Ital. J. Anim. Sci. 2014, 13, 2939. [Google Scholar] [CrossRef]
- Rossi, L.; Turin, L.; Alborali, G.L.; Demartini, E.; Filipe, J.F.S.; Riva, F.; Riccaboni, P.; Scanziani, E.; Trevisi, P.; Dall’Ara, P. Translational Approach to Induce and Evaluate Verocytotoxic, E. coli O138 Based Disease in Piglets. Animals 2021, 11, 2415. [Google Scholar] [CrossRef]
- Lee, S.-I.; Ntakiyisumba, E.; Won, G. Systematic review and network meta-analysis to compare vaccine effectiveness against porcine edema disease caused by Shiga toxin-producing Escherichia coli. Sci. Rep. 2022, 12, 6460. [Google Scholar] [CrossRef] [PubMed]
- Dubreuil, J.D. Pig vaccination strategies based on enterotoxigenic Escherichia coli toxins. Braz. J. Microbiol. 2021, 52, 2499–2509. [Google Scholar] [CrossRef]
- Vekemans, J.; Hasso-Agopsowicz, M.; Kang, G.; Hausdorff, W.P.; Fiore, A.; Tayler, E.; Klemm, E.J.; Laxminarayan, R.; Srikantiah, P.; Friede, M. Leveraging vaccines to reduce antibiotic use and prevent antimicrobial resistance: A World Health Organization action framework. Clin. Infect. Dis. 2021, 73, e1011–e1017. [Google Scholar] [CrossRef] [PubMed]
- Coddens, A.; Loos, M.; Vanrompay, D.; Remon, J.P.; Cox, E. Cranberry extract inhibits in vitro adhesion of F4 and F18+ Escherichia coli to pig intestinal epithelium and reduces in vivo excretion of pigs orally challenged with F18+ verotoxigenic E. coli. Vet. Microbiol. 2017, 202, 64–71. [Google Scholar] [CrossRef] [PubMed]
- Cuccato, M.; Scaglione, F.E.; Centelleghe, C.; Divari, S.; Biolatti, B.; Pregel, P.; Cannizzo, F.T. Assessment of Antimicrobial Effects on Broiler Gut Barrier through Histopathology and Immunohistochemistry of Tight-Junction Proteins. Front. Vet. Sci. 2022, 9. [Google Scholar] [CrossRef]
- Karttunen, T.J.; Turunen, S. Lymphonodular Hyperplasia. Textb. Pediatr. Gastroenterol. Hepatol. Nutr. A Compr. Guide Pract. 2022, 9, 443–450. [Google Scholar]
- Shiu, J.; Piazuelo, M.B.; Ding, H.; Czinn, S.J.; Drakes, M.L.; Banerjee, A.; Basappa, N.; Kobayashi, K.S.; Fricke, W.F.; Blanchard, T.G. Gastric LTi cells promote lymphoid follicle formation but are limited by IRAK-M and do not alter microbial growth. Mucosal Immunol. 2015, 8, 1047–1059. [Google Scholar] [CrossRef] [PubMed]
- Li, Y.; Jin, L.; Chen, T. The effects of secretory IgA in the mucosal immune system. BioMed Res. Int. 2020, 2020, 1–6. [Google Scholar] [CrossRef]
- Pasetti, M.F.; Simon, J.K.; Sztein, M.B.; Levine, M.M. Immunology of gut mucosal vaccines. Immunol. Rev. 2011, 239, 125–148. [Google Scholar] [CrossRef]
- Jabif, M.F.; Gumina, E.; Hall, J.W.; Hernandez-Velasco, X.; Layton, S. Evaluation of a Novel Mucosal Administered Subunit Vaccine on Colostrum IgA and Serum IgG in Sows and Control of Enterotoxigenic Escherichia coli in Neonatal and Weanling Piglets: Proof of Concept. Front. Vet. Sci. 2021, 8, 89. [Google Scholar] [CrossRef]
- Melkebeek, V.; Goddeeris, B.M.; Cox, E. ETEC vaccination in pigs. Vet. Immunol. Immunopathol. 2013, 152, 37–42. [Google Scholar] [CrossRef] [PubMed]
- Davitt, C.J.; Lavelle, E.C. Delivery strategies to enhance oral vaccination against enteric infections. Adv. Drug Deliv. Rev. 2015, 91, 52–69. [Google Scholar] [CrossRef]
- Hu, C.X.; Xu, Y.X.Y.; Hao, H.N.; Liu, R.D.; Jiang, P.; Long, S.R.; Wang, Z.Q.; Cui, J. Oral vaccination with recombinant Lactobacillus plantarum encoding Trichinella spiralis inorganic pyrophosphatase elicited a protective immunity in BALB/c mice. PLoS Negl. Trop. Dis. 2021, 15, e0009865. [Google Scholar] [CrossRef]
- Rossi, L.; Di Giancamillo, A.; Reggi, S.; Domeneghini, C.; Baldi, A.; Sala, V.; Dell’Orto, V.; Coddens, A.; Cox, E.; Fogher, C. Expression of verocytotoxic Escherichia coli antigens in tobacco seeds and evaluation of gut immunity after oral administration in mouse model. J. Vet. Sci. 2013, 14, 263–270. [Google Scholar] [CrossRef]
- Verdonck, F.; Cox, E.; van Gog, K.; Van der Stede, Y.; Duchateau, L.; Deprez, P.; Goddeeris, B. Different kinetic of antibody responses following infection of newly weaned pigs with an F4 enterotoxigenic Escherichia coli strain or an F18 verotoxigenic Escherichia coli strain. Vaccine 2002, 20, 2995–3004. [Google Scholar] [CrossRef]
- Luise, D.; Lauridsen, C.; Bosi, P.; Trevisi, P. Methodology and application of Escherichia coli F4 and F18 encoding infection models in post-weaning pigs. J. Anim. Sci. Biotechnol. 2019, 10, 53. [Google Scholar] [CrossRef] [PubMed]
- NRC. Nutrient Requirements of Swine, 11th ed.; National Research Council, The National Academies Press: Washington, DC, USA, 2012. [Google Scholar]
- AOAC. Official Methods of Analysis, 21st ed.; Association of Official Analytical Chemists: Washington, DC, USA, 2019. [Google Scholar]
- AOCS. Crude Fiber Analysis in Feeds by Filter Bag Technique., 4th ed.; A.O.C., Ed.; Official Methods and Recommended Practices: Champaign, IL, USA, 2009. [Google Scholar]
- Dell’Anno, M.; Callegari, M.L.; Reggi, S.; Caprarulo, V.; Giromini, C.; Spalletta, A.; Coranelli, S.; Rossi, C.A.S.; Rossi, L. Lactobacillus plantarum and Lactobacillus reuteri as Functional Feed Additives to Prevent Diarrhoea in Weaned Piglets. Animals 2021, 11, 1766. [Google Scholar] [CrossRef] [PubMed]
- Turin, L.; Tribbioli, G.; Invernizzi, P.; Grati, F.; Crema, S.; Laible, G.; Riva, F. Fetal microchimerism in normal and embryo transfer bovine pregnancies. Vet. Res. Commun. 2007, 31, 205–207. [Google Scholar] [CrossRef] [PubMed]




| UC | UT | CC | CT | |
|---|---|---|---|---|
| Epiphora_Σ3 * | 1.33 ± 0.50 ab | 0.50 ± 0.50 a | 2.83 ± 0.35 b | 1.83 ± 0.35 ab |
| Epiphora_Σ9 * | 5.75 ± 1.51 ab | 1.75 ± 1.51 a | 8.38 ± 1.06 b | 4.00 ± 0.06 a |
| Oedema_Σ3 * | 1.17 ± 0.35 ab | 0.33 ± 0.35 a | 2.17 ± 0.25 b | 1.17 ± 0.25 a |
| Oedema_Σ9 * | 3.25 ± 0.74 a | 0.50 ± 0.74 a | 9.63 ± 0.52 b | 1.50 ± 0.52 a |
| Vitality_Σ3 * | 0.00 ± 0.23 a | 0.00 ± 0.23 a | 1.83 ± 0.16 b | 0.25 ± 0.16 a |
| Vitality_Σ9 | 0.00 ± 1.52 | 0.50 ± 1.52 | 4.13 ± 1.07 | 1.00 ± 1.07 |
| Depression_Σ3 * | 0.33 ± 0.27 a | 0.33 ± 0.27 a | 1.33 ± 0.18 b | 0.75 ± 0.18 ab |
| Depression_Σ9 * | 0.25 ± 0.95 a | 0.00 ± 0.95 a | 5.00 ± 0.67 b | 0.63 ± 0.67 a |
| Hair_Σ3 * | 1.50 ± 0.32 ab | 0.50 ± 0.32 a | 1.75 ± 0.23 b | 0.50 ± 0.23 a |
| Hair_Σ9 * | 6.75 ± 1.45 ab | 2.50 ± 1.45 a | 11.50 ± 1.02 b | 4.50 ± 1.02 a |
| Perineal area_Σ3 | 0.67 ± 0.29 | 0.50 ± 0.29 | 0.92 ± 0.21 | 0.42 ± 0.21 |
| Perineal area_Σ9 | 1.75 ± 1.14 | 0.75 ± 1.14 | 3.75 ± 0.81 | 1.13 ± 0.81 |
| Faecal score_Σ3 * | 4.33 ± 0.85 ab | 2.83 ± 0.85 ab | 5.33 ± 0.60 b | 3.00 ± 0.60 a |
| Faecal score_Σ9 | 9.00 ± 2.49 | 3.00 ± 2.49 | 11.62 ± 1.76 | 7.13 ± 1.76 |
| Day | Analysis | Parameter | UC | UT | CC | CT |
|---|---|---|---|---|---|---|
| 23 days | Histology | Infiltrates of lymphocytes | 2.00 ± 0.41 | n.d. | 2.00 ± 0.29 | 2.00 ± 0.33 |
| Epithelial regeneration | 0.50 ± 0.35 | n.d. | 0.25 ± 0.25 | 0.00 ± 0.35 | ||
| Fusion of villi | 0.50 ± 0.50 | n.d. | 1.00 ± 0.41 | 1.00 ± 0.41 | ||
| Oedema | 0.50 ± 0.57 | n.d. | 0.25 ± 0.40 | 0.67 ± 0.67 | ||
| T-Atrophy | 0.50 ± 0.52 | 0.50 ± 0.52 | 0.75 ± 0.37 | 1.00 ± 0.42 | ||
| Stroma | 0.50 ± 0.44 | 0.50 ± 0.44 | 0.50 ± 0.31 | 0.67 ± 0.36 | ||
| Follicular hyperplasia | 0.00 ± 0.39 | 0.50 ± 0.39 | 0.50 ± 0.28 | 0.33 ± 0.32 | ||
| Immunohistochemistry | CD3 in epithelium | 4.00 ± 0.44 | 2.00 ± 0.44 | 2.75 ± 0.31 | 3.00 ± 0.36 | |
| CD3 in lamina propria | 4.00 ± 0.39 | 3.50 ± 0.39 | 3.50 ± 0.28 | 2.67 ± 0.32 | ||
| CD20 in epithelium | 0.00 ± 0.00 | 0.00 ± 0.00 | 0.00 ± 0.00 | 0.00 ± 0.00 | ||
| CD20 in lamina propria | 1.00 ± 0.23 | 1.00 ± 0.23 | 1.25 ± 0.16 | 1.00 ± 0.19 | ||
| lba1 in villus | 4.00 ± 0.32 | 4.00 ± 0.32 | 3.75 ± 0.23 | 3.33 ± 0.26 | ||
| lb1 in crypts | 2.00 ± 0.37 | 2.50 ± 0.37 | 2.25 ± 0.26 | 2.33 ± 0.30 | ||
| IgG in luminal surface | 1.00 ± 0.65 | 1.50 ± 0.65 | 0.75 ± 0.46 | 0.33 ± 0.53 | ||
| IgG in villus axis | 1.00 ± 0.23 | 1.00 ± 0.23 | 1.25 ± 0.16 | 1.00 ± 0.19 | ||
| IgG in crypts | 2.50 ± 0.42 | 2.50 ± 0.42 | 1.75 ± 0.29 | 2.33 ± 0.34 | ||
| SIgA luminal surface | 0.50 ± 0.55 | 2.00 ± 0.55 | 0.50 ± 0.39 | 0.67 ± 0.45 | ||
| IgA in villus axis | 0.50 ± 0.27 | 0.50 ± 0.27 | 0.00 ± 0.19 | 0.00 ± 0.22 | ||
| IgA in crypts | 1.00 ± 0.48 | 3.50 ± 0.48 | 1.75 ± 0.34 | 2.00 ± 0.39 | ||
| 29 days | Histology | Infiltrates of lymphocytes * | 1.00 ± 0.27 a | 1.50 ± 0.27 ab | 2.13 ± 0.19 b | 1.60 ± 0.24 ab |
| Epithelial regeneration | 0.25 ± 0.38 | 0.25 ± 0.38 | 1.00 ± 0.27 | 0.17 ± 0.31 | ||
| Fusion of villi | 0.25 ± 0.34 | 1.00 ± 0.34 | 1.00 ± 0.24 | 0.33 ± 0.27 | ||
| Oedema | 0.25 ± 0.20 | 0.25 ± 0.20 | 0.25 ± 0.14 | 0.00 ± 0.16 | ||
| T-Atrophy | 0.75 ± 0.31 | 0.75 ± 0.31 | 0.25 ± 0.22 | 0.13 ± 0.22 | ||
| Stroma | 1.25 ± 0.38 | 0.75 ± 0.38 | 0.50 ± 0.27 | 0.38 ± 0.27 | ||
| Follicular hyperplasia | 0.00 ± 0.17 | 0.25 ± 0.17 | 0.00 ± 0.12 | 0.25 ± 0.12 | ||
| CD3 in epithelium | 2.50 ± 0.31 | 3.50 ± 0.31 | 3.50 ± 0.22 | 2.75 ± 0.22 | ||
| CD3 in lamina propria | 3.00 ± 0.26 | 2.50 ± 0.26 | 3.13 ± 0.18 | 3.25 ± 0.18 | ||
| Immunohistochemistry | CD20 in epithelium | 0.00 ± 0.00 | 0.00 ± 0.00 | 0.00 ± 0.00 | 0.00 ± 0.00 | |
| CD20 in lamina propria | 1.00 ± 0.00 | 1.00 ± 0.00 | 1.00 ± 0.00 | 1.00 ± 0.00 | ||
| lba1 in villus | 3.75 ± 0.23 | 3.75 ± 0.23 | 3.88 ± 0.16 | 3.63 ± 0.16 | ||
| lb1 in crypts | 2.25 ± 0.21 | 2.00 ± 0.21 | 2.38 ± 0.15 | 2.13 ± 0.15 | ||
| IgG in luminal surface | 0.75 ± 0.36 | 0.00 ± 0.36 | 0.25 ± 0.25 | 0.63 ± 0.25 | ||
| IgG in villus axis | 1.00 ± 0.10 | 1.00 ± 0.10 | 1.13 ± 0.07 | 1.00 ± 0.07 | ||
| IgG in crypts | 2.25 ± 0.21 | 2.00 ± 0.21 | 2.50 ± 0.15 | 1.88 ± 0.15 | ||
| SIgA luminal surface | 0.50 ± 0.38 | 0.00 ± 0.38 | 0.38 ± 0.27 | 1.13 ± 0.27 | ||
| IgA in villus axis | 0.00 ± 0.00 | 0.00 ± 0.00 | 0.00 ± 0.00 | 0.00 ± 0.00 | ||
| IgA in crypts | 1.75 ± 0.17 | 2.00 ± 0.17 | 2.25 ± 0.12 | 2.00 ± 0.12 |
| Group | Analysis | Parameter | Day 23 | Day 29 | p-Value |
|---|---|---|---|---|---|
| Unchallenged Control (UC) | Infiltrates of lymphocytes * | 2.00 ± 0.00 | 1.00 ± 0.00 | 0.0504 | |
| Epithelial regeneration | 0.50 ± 0.40 | 0.25 ± 0.28 | 0.7799 | ||
| Fusion of villi | 0.50 ± 0.40 | 0.25 ± 0.28 | 0.7799 | ||
| Histology | Oedema | 0.50 ± 0.40 | 0.25 ± 0.28 | 0.7799 | |
| T-Atrophy | 0.50 ± 0.64 | 0.75 ± 0.45 | 1.0000 | ||
| Stroma | 0.50 ± 0.64 | 1.25 ± 0.45 | 0.4677 | ||
| Follicular hyperplasia | 0.00 ± 0.00 | 0.00 ± 0.00 | - | ||
| CD3 in epithelium | 4.00 ± 0.35 | 2.50 ± 0.25 | 0.0902 | ||
| CD3 in lamina propria * | 4.00 ± 0.00 | 3.00 ± 0.00 | 0.0504 | ||
| CD20 in epithelium | 0.00 ± 0.00 | 0.00 ± 0.00 | - | ||
| CD20 in lamina propria | 1.00 ± 0.00 | 1.00 ± 0.00 | - | ||
| lba1 in villus | 4.00 ± 0.31 | 3.75 ± 0.22 | 0.7237 | ||
| Immunohistochemistry | lb1 in crypts | 2.00 ± 0.31 | 2.25 ± 0.22 | 0.7237 | |
| IgG in luminal surface | 1.00 ± 0.77 | 0.75 ± 0.54 | 1.0000 | ||
| IgG in villus axis | 1.00 ± 0.00 | 1.00 ± 0.00 | - | ||
| IgG in crypts | 2.50 ± 0.42 | 2.25 ± 0.21 | 0.7799 | ||
| SIgA luminal surface | 0.50 ± 0.66 | 0.50 ± 0.47 | 1.0000 | ||
| IgA in villus axis | 0.50 ± 0.25 | 0.00 ± 0.18 | 0.2888 | ||
| IgA in crypts | 1.00 ± 0.59 | 1.75 ± 0.41 | 0.5839 | ||
| Unchalleged Treatment (UT) | Infiltrates of lymphocytes | n.d. | 1.50 ± 0.29 | - | |
| Epithelial regeneration | n.d. | 0.25 ± 0.25 | - | ||
| Fusion of villi | n.d. | 1.00 ± 0.00 | - | ||
| Histology | Oedema | n.d. | 0.25 ± 0.25 | - | |
| T-Atrophy | 0.50 ± 0.64 | 0.75 ± 0.45 | 1.0000 | ||
| Stroma | 0.50 ± 0.64 | 0.75 ± 0.45 | 1.0000 | ||
| Follicular hyperplasia | 0.50 ± 0.39 | 0.25 ± 0.28 | 0.7799 | ||
| CD3 in epithelium | 2.00 ± 0.35 | 3.50 ± 0.25 | 0.0902 | ||
| CD3 in lamina propria | 3.50 ± 0.43 | 2.50 ± 0.31 | 0.2113 | ||
| CD20 in epithelium | 0.00 ± 0.00 | 0.00 ± 0.00 | - | ||
| CD20 in lamina propria | 1.00 ± 0.00 | 1.00 ± 0.00 | - | ||
| lba1 in villus | 4.00 ± 0.31 | 3.75 ± 0.22 | 0.7237 | ||
| Immunohistochemistry | lb1 in crypts | 2.50 ± 0.25 | 2.00 ± 0.18 | 0.2888 | |
| IgG in luminal surface | 1.50 ± 0.25 | 0.00 ± 0.18 | 0.0552 | ||
| IgG in villus axis | 1.00 ± 0.00 | 1.00 ± 0.00 | - | ||
| IgG in crypts | 2.50 ± 0.25 | 2.00 ± 0.18 | 0.2888 | ||
| SIgA luminal surface * | 2.00 ± 0.00 | 0.00 ± 0.00 | 0.0504 | ||
| IgA in villus axis | 0.50 ± 0.25 | 0.00 ± 0.18 | 0.2888 | ||
| IgA in crypts | 3.50 ± 0.25 | 2.00 ± 0.18 | 0.0552 | ||
| Challenged Control (CC) | Infiltrates of lymphocytes | 2.00 ± 0.35 | 2.13 ± 0.25 | 0.8481 | |
| Epithelial regeneration | 0.25 ± 0.47 | 1.00 ± 0.33 | 0.2868 | ||
| Fusion of villi | 1.00 ± 0.54 | 1.00 ± 0.33 | 1.0000 | ||
| Histology | Oedema | 0.25 ± 0.24 | 0.25 ± 0.18 | 1.0000 | |
| T-Atrophy | 0.75 ± 0.24 | 0.25 ± 0.18 | 0.1371 | ||
| Stroma | 0.50 ± 0.35 | 0.50 ± 0.25 | 0.9229 | ||
| Follicular hyperplasia | 0.50 ± 0.16 a | 0.00 ± 0.11 b | 0.0492 | ||
| CD3 in epithelium | 2.75 ± 0.26 | 3.50 ± 0.19 | 0.0658 | ||
| CD3 in lamina propria | 3.50 ± 0.31 | 3.13 ± 0.22 | 0.3835 | ||
| CD20 in epithelium | 0.00 ± 0.00 | 0.00 ± 0.00 | - | ||
| CD20 in lamina propria | 1.25 ± 0.14 | 1.00 ± 0.10 | 0.2159 | ||
| lba1 in villus | 3.75 ± 0.20 | 3.88 ± 0.14 | 0.6941 | ||
| Immunohistochemistry | lb1 in crypts | 2.25 ± 0.26 | 2.38 ± 0.18 | 0.7559 | |
| IgG in luminal surface | 0.75 ± 0.33 | 0.25 ± 0.23 | 0.3583 | ||
| IgG in villus axis | 1.25 ± 0.20 | 1.13 ± 0.14 | 0.6941 | ||
| IgG in crypts | 1.75 ± 0.26 | 2.50 ± 0.19 | 0.0658 | ||
| SIgA luminal surface | 0.50 ± 0.27 | 0.38 ± 0.19 | 0.7662 | ||
| IgA in villus axis | 0.00 ± 0.19 | 0.00 ± 0.00 | - | ||
| IgA in crypts | 1.75 ± 0.24 | 2.25 ± 0.17 | 0.1461 | ||
| Challenged Treatment (CT) | Infiltrates of lymphocytes | 2.00 ± 0.26 | 1.60 ± 0.20 | 0.3241 | |
| Epithelial regeneration | 0.00 ± 0.26 | 0.17 ± 0.15 | 0.7728 | ||
| Fusion of villi | 1.00 ± 0.25 | 0.33 ± 0.18 | 0.1011 | ||
| Histology | Oedema | 0.67 ± 0.36 | 0.00 ± 0.25 | 0.2386 | |
| T-Atrophy | 1.00 ± 0.33 | 0.13 ± 0.20 | 0.0903 | ||
| Stroma | 0.67 ± 0.31 | 0.38 ± 0.19 | 0.4795 | ||
| Follicular hyperplasia | 0.33 ± 0.28 | 0.25 ± 0.17 | 0.8952 | ||
| CD3 in epithelium | 3.00 ± 0.45 | 2.75 ± 0.28 | 0.7411 | ||
| CD3 in lamina propria | 2.67 ± 0.28 | 3.25 ± 0.17 | 0.1518 | ||
| CD20 in epithelium | 0.00 ± 0.00 | 0.00 ± 0.00 | - | ||
| CD20 in lamina propria | 1.00 ± 0.00 | 1.00 ± 0.00 | - | ||
| lba1 in villus | 3.33 ± 0.31 | 3.63 ± 0.19 | 0.4795 | ||
| Immunohistochemistry | lb1 in crypts | 2.33 ± 0.24 | 2.13 ± 0.15 | 0.5428 | |
| IgG in luminal surface | 0.33 ± 0.49 | 0.63 ± 0.30 | 0.8120 | ||
| IgG in villus axis | 1.00 ± 0.00 | 1.00 ± 0.00 | - | ||
| IgG in crypts | 2.33 ± 0.24 | 1.88 ± 0.15 | 0.1731 | ||
| SIgA luminal surface | 0.67 ± 0.59 | 1.13 ± 0.36 | 0.5197 | ||
| IgA in villus axis | 0.00 ± 0.00 | 0.00 ± 0.00 | - | ||
| IgA in crypts | 2.00 ± 0.00 | 2.00 ± 0.00 | - |
| UC | UT | CC | CT | |
|---|---|---|---|---|
| anti-F18 IgA * | 0.87 ± 0.17 ab | 1.36 ± 0.15 b | 0.65 ± 0.11 a | 1.15 ± 0.15 b |
| anti-VT2IgA | 0.89 ± 0.19 | 1.43 ± 0.11 | 0.89 ± 0.19 | 1.37 ± 0.13 |
| Day | Assay | Parameter | UC | UT | CC | CT |
|---|---|---|---|---|---|---|
| 23 days | Real-Time PCR 1 | MHC-I (lymph nodes) | 13.27 ± 14.20 | 14.66 ± 14.20 | 38.22 ± 10.04 | 34.50 ± 10.04 |
| MHC-II (lymph nodes) | 0.65 ± 0.17 | 1.40 ± 0.17 | 0.46 ± 0.12 | 0.74 ± 0.12 | ||
| IFN-γ (jejunum) | 11.42 ± 45.39 | 7.71 ± 45.39 | 55.67 ± 32.10 | 3.98 ± 32.10 | ||
| IL-1β (jejunum) | 0.57 ± 0.21 | 0.37 ± 0.21 | 0.57 ± 0.15 | 0.42 ± 0.15 | ||
| TLR2 (jejunum) | 0.78 ± 3.28 | 1.37 ± 3.28 | 4.64 ± 2.32 | 0.93 ± 2.32 | ||
| TLR4 (jejunum) | 1.09 ± 0.48 | 0.59 ± 0.48 | 0.96 ± 0.34 | 0.58 ± 0.34 | ||
| ELISA | IgA serum | 0.57 ± 0.12 | 0.52 ± 0.12 | 0.43 ± 0.09 | 0.23 ± 0.09 | |
| IgA scrape | 98.93 ± 12.40 | 100.63 ± 12.40 | 113.30 ± 8.77 | 100.23 ± 8.77 | ||
| CXCL9 scrape | 1.10 ± 0.78 | 2.42 ± 0.78 | 1.24 ± 0.55 | 1.85 ± 0.55 | ||
| TNF-α scrape | 0.34 ± 0.39 | 1.34 ± 0.39 | 0.61 ± 0.27 | 0.89 ± 0.27 | ||
| IL-8 scrape | 1.74 ± 1.29 | 3.84 ± 1.29 | 2.87 ± 0.91 | 2.44 ± 0.91 | ||
| IL-1 scrape | 0.06 ± 0.05 | 0.18 ± 0.05 | 0.09 ± 0.03 | 0.10 ± 0.03 | ||
| 29 days | Real-Time PCR 1 | MHC-I (lymph nodes) | 12.31 ± 25.77 | 24.17 ± 25.77 | 71.11 ± 18.22 | 46.19 ± 18.22 |
| MHC-II (lymph nodes) | 0.76 ± 0.30 | 0.86 ± 0.30 | 0.75 ± 0.21 | 0.82 ± 0.21 | ||
| IFN-γ (jejunum) | 1.31 ± 7.95 | 21.56 ± 7.95 | 5.44 ± 5.62 | 1.74 ± 5.62 | ||
| IL-1β (jejunum) | 0.55 ± 0.58 | 0.47 ± 0.58 | 0.62 ± 0.41 | 1.18 ± 0.41 | ||
| TLR2 (jejunum) | 0.49 ± 6.80 | 18.16 ± 6.80 | 0.75 ± 4.81 | 0.66 ± 4.81 | ||
| TLR4 (jejunum) | 0.43 ± 0.63 | 1.41 ± 0.63 | 0.64 ± 0.45 | 1.11 ± 0.45 | ||
| ELISA | IgA serum | 0.25 ± 0.15 | 0.70 ± 0.15 | 0.26 ± 0.11 | 0.44 ± 0.10 | |
| IgA scrape | 105.96 ± 4.42 | 106.55 ± 4.42 | 99.34 ± 3.12 | 105.95 ± 3.12 | ||
| CXCL9 scrape | 2.20 ± 0.55 | 3.14 ± 0.54 | 2.22 ± 0.39 | 2.07 ± 0.39 | ||
| TNF-α scrape | 0.79 ± 0.38 | 1.65 ± 0.38 | 0.74 ± 0.27 | 0.82 ± 0.27 | ||
| IL_8 scrape | 3.06 ± 0.71 | 4.40 ± 0.71 | 3.43 ± 0.50 | 3.34 ± 0.50 | ||
| IL-1 scrape | 0.11 ± 0.04 | 0.14 ± 0.04 | 0.07 ± 0.03 | 0.11 ± 0.03 |
| Group | Assay | Parameter | Day 23 | Day 29 |
|---|---|---|---|---|
| Unchallenged Control (UC) | Real-Time PCR 1 | MHC-I (lymph nodes) | 13.27 ± 10.64 | 12.31 ± 7.53 |
| MHC-II (lymph nodes) | 0.65 ± 0.45 | 0.76 ± 0.32 | ||
| IFN-γ (jejunum) | 11.42 ± 5.18 | 1.31 ± 3.66 | ||
| IL-1β (jejunum) | 0.57 ± 0.25 | 0.55 ± 0.17 | ||
| TLR2 (jejunum) | 0.78 ± 0.16 | 0.49 ± 0.11 | ||
| TLR4 (jejunum) | 1.09 ± 0.37 | 0.43 ± 0.30 | ||
| ELISA | IgA serum | 0.57 ± 0.06 | 0.25 ± 0.44 | |
| IgA scrape | 98.93 ± 4.16 | 105.96 ± 2.94 | ||
| CXCL9 scrape | 1.10 ± 0.36 | 2.20 ± 0.26 | ||
| TNF-α scrape | 0.34 ± 0.10 | 0.79 ± 0.07 | ||
| IL-8 scrape | 1.74 ± 0.72 | 3.06 ± 0.51 | ||
| IL-1 scrape | 0.06 ± 0.03 | 0.11 ± 0.02 | ||
| Uchallenged Treatment (UT) | Real-Time PCR 1 | MHC-I (lymph nodes) | 14.66 ± 19.62 | 24.17 ± 13.17 |
| MHC-II (lymph nodes) | 1.40 ± 0.53 | 0.86 ± 0.38 | ||
| IFN-γ (jejunum) | 7.71 ± 22.25 | 21.56 ± 15.74 | ||
| IL-1β (jejunum) | 0.37 ± 0.21 | 0.47 ± 0.15 | ||
| TLR2 (jejunum) | 1.37 ± 21.48 | 18.16 ± 15.19 | ||
| TLR4 (jejunum) | 0.59 ± 1.57 | 1.41 ± 0.82 | ||
| ELISA | IgA serum | 0.52 ± 0.26 | 0.70 ± 0.19 | |
| IgA scrape | 100.63 ± 2.89 | 106.55 ± 2.04 | ||
| CXCL9 scrape | 2.42 ± 0.72 | 3.14 ± 0.51 | ||
| TNF-α scrape | 1.34 ± 1.02 | 1.65 ± 0.72 | ||
| IL-8 scrape | 3.84 ± 1.10 | 4.40 ± 0.78 | ||
| IL-1 scrape | 0.18 ± 0.07 | 0.14 ± 0.05 | ||
| Challenged Control (CC) | Real-Time PCR 1 | MHC-I (lymph nodes) | 38.22 ± 30.11 | 71.11 ± 21.29 |
| MHC-II (lymph nodes) | 0.46 ± 0.17 | 0.75 ± 0.12 | ||
| IFN-γ (jejunum) | 55.67 ± 29.06 | 5.44 ± 20.55 | ||
| IL-1β (jejunum) | 0.57 ± 0.17 | 0.62 ± 0.12 | ||
| TLR2 (jejunum) | 4.64 ± 2.09 | 0.75 ± 1.48 | ||
| TLR4 (jejunum) | 0.96 ± 0.32 | 0.64 ± 0.23 | ||
| ELISA | IgA serum | 0.43 ± 0.10 | 0.26 ± 0.08 | |
| IgA scrape | 113.30 ± 7.88 | 99.34 ± 5.57 | ||
| CXCL9 scrape | 1.24 ± 0.62 | 2.22 ± 0.44 | ||
| TNF-α scrape | 0.61 ± 0.23 | 0.74 ± 0.16 | ||
| IL-8 scrape | 2.87 ± 0.75 | 3.43 ± 0.53 | ||
| IL-1 scrape | 0.09 ± 0.03 | 0.07 ± 0.02 | ||
| Challegned Treatment (CT) | Real-Time PCR 1 | MHC-I (lymph nodes) | 34.50 ± 20.08 | 46.19 ± 14.20 |
| MHC-II (lymph nodes) | 0.74 ± 0.25 | 0.82 ± 0.18 | ||
| IFN-γ (jejunum) | 3.98 ± 1.32 | 1.74 ± 0.93 | ||
| IL-1β (jejunum) | 0.42 ± 0.80 | 1.18 ± 0.56 | ||
| TLR2 (jejunum) | 0.93 ± 2.29 | 0.66 ± 0.21 | ||
| TLR4 (jejunum) | 0.58 ± 0.70 | 1.11 ± 0.50 | ||
| ELISA | IgA serum | 0.23 ± 0.15 | 0.44 ± 0.11 | |
| IgA scrape | 100.23 ± 5.77 | 105.95 ± 4.08 | ||
| CXCL9 scrape | 1.85 ± 0.58 | 2.07 ± 0.41 | ||
| TNF-α scrape | 0.89 ± 0.28 | 0.82 ± 0.20 | ||
| IL-8 scrape | 2.44 ± 0.88 | 3.34 ± 0.62 | ||
| IL-1 scrape | 0.10 ± 0.05 | 0.11 ± 0.03 |
| Gene | Oligonucleotide Sequences | PCR Product Size (bp) | |
|---|---|---|---|
| F18 adhesive fimbriae | 313 F | 5′ GGATCCATGAAAAGACTAGTGTTTATTTCTTTTGA | 519 |
| 314 R | 3′ CGAATGCGCCAATGAATGTTCATTCTCGAG | ||
| VT2e-B subunit | 307 F | 5′ GGATCCATGAAGAAGATGTTTATAGCGG | 270 |
| 308 R | 3′ AACGGGTCCACTTCAAATTGATTCTCGAG | ||
| NOS terminator | 118 F | 5′ GCATGACGTTATTTATGAGATGGG | 118 |
| 118 R | 3′ GACACCGCGCGCGATAATTTATCC |
| Ingredient, % as Fed | Basal Diet | High Protein Diet |
|---|---|---|
| Barley | 22.80 | 16.19 |
| Wheat flakes | 16.80 | 11.93 |
| Wheat meal | 13.40 | 9.51 |
| Maize flakes | 11.20 | 7.95 |
| Barley flakes | 7.26 | 5.15 |
| Soy protein concentrate | 7.00 | 4.97 |
| Soybean meal | - | 2.80 |
| Whey | 5.56 | 3.95 |
| Maize meal | 5.20 | 3.69 |
| Fish meal (herring) | 3.97 | 2.82 |
| Monohydrate dextrose | 3.71 | 2.63 |
| Spray-dried plasma | 2.71 | 1.92 |
| Coconut oil | 2.70 | 1.92 |
| Soybean oil | 1.60 | 1.14 |
| Dicalcium phosphate | 0.52 | 0.37 |
| Calcium carbonate | 0.11 | 0.08 |
| Sodium butyrate 30% 1 | 0.22 | 0.16 |
| L-Lys | 0.67 | 0.48 |
| DL-Met | 0.32 | 0.23 |
| L-Thr | 0.30 | 0.22 |
| L-Trp | 0.12 | 0.09 |
| Vitamin/mineral premix 2 | 0.33 | 0.23 |
| Vitamin E 50% | 0.01 | 0.01 |
| Additives: phytase 3, xylanase 4, Acidifiers 5, feed flavours | 1.66 | 1.18 |
| Calculated composition | ||
| Dry matter | 90.33 | 88.50 |
| CP | 17.80 | 25.42 |
| EE | 5.87 | 4.57 |
| CF | 2.19 | 3.20 |
| Ash | 4.46 | 5.17 |
| Starch + sugar | 51.51 | 38.88 |
| Lysin | 1.48 | 1.73 |
| NE Mcal/kg | 2.60 | 3.56 |
| Gene | Oligonucleotide Sequence (5′ to 3′) | Accession Number (GenBank) | PCR Product Size (bp) |
|---|---|---|---|
| TLR-2, F | GACACCGCCATCCTCATTCT | GU138028 | 130 |
| TLR-2, R | CTTCCCGCTGCGTCTCAT | ||
| TLR-4, F | GCCTTTCTCTCCTGCCTGAG | AB188301 | 83 |
| TLR-4, R | AGCTCCATGCATTGGTAACTAATG | ||
| IFN-γ, F | GCCAGGCGCCCTTTTTTA | NM_213948 | 121 |
| IFN-γ, R | CTCTCCTCTTTCCAATTCTTCAAAAT | ||
| IL1-β, F | ACGGTGACAACAATAATGACCTGT | NM_214055 | 81 |
| IL1-β, R | CAAGGTCCAGGTTTTGGGTG | ||
| MHC-I, F | CGCACAGACTTTCCGAGTG | AF464005 | 109 |
| MHC-I, R | GTCTGGTCCCAAGTAGCAG | ||
| MHC-II, F | CAAGCACTGGGAGTTTGAAG | DQ883222 | 125 |
| MHC-II, R | ACACCCTTGATGATGAGGAC | ||
| β-actin, F | CTCCTTCCTGGGCATGGAG | DQ452569 | 148 |
| β-actin, R | GAGTTGAAGGTGGTCTCGTGG |
Disclaimer/Publisher’s Note: The statements, opinions and data contained in all publications are solely those of the individual author(s) and contributor(s) and not of MDPI and/or the editor(s). MDPI and/or the editor(s) disclaim responsibility for any injury to people or property resulting from any ideas, methods, instructions or products referred to in the content. |
© 2023 by the authors. Licensee MDPI, Basel, Switzerland. This article is an open access article distributed under the terms and conditions of the Creative Commons Attribution (CC BY) license (https://creativecommons.org/licenses/by/4.0/).
Share and Cite
Rossi, L.; Dell’Anno, M.; Turin, L.; Reggi, S.; Lombardi, A.; Alborali, G.L.; Filipe, J.; Riva, F.; Riccaboni, P.; Scanziani, E.; et al. Tobacco Seed-Based Oral Vaccination against Verocytotoxic O138 Escherichia coli as Alternative Approach to Antibiotics in Weaned Piglets. Antibiotics 2023, 12, 715. https://doi.org/10.3390/antibiotics12040715
Rossi L, Dell’Anno M, Turin L, Reggi S, Lombardi A, Alborali GL, Filipe J, Riva F, Riccaboni P, Scanziani E, et al. Tobacco Seed-Based Oral Vaccination against Verocytotoxic O138 Escherichia coli as Alternative Approach to Antibiotics in Weaned Piglets. Antibiotics. 2023; 12(4):715. https://doi.org/10.3390/antibiotics12040715
Chicago/Turabian StyleRossi, Luciana, Matteo Dell’Anno, Lauretta Turin, Serena Reggi, Angela Lombardi, Giovanni Loris Alborali, Joel Filipe, Federica Riva, Pietro Riccaboni, Eugenio Scanziani, and et al. 2023. "Tobacco Seed-Based Oral Vaccination against Verocytotoxic O138 Escherichia coli as Alternative Approach to Antibiotics in Weaned Piglets" Antibiotics 12, no. 4: 715. https://doi.org/10.3390/antibiotics12040715
APA StyleRossi, L., Dell’Anno, M., Turin, L., Reggi, S., Lombardi, A., Alborali, G. L., Filipe, J., Riva, F., Riccaboni, P., Scanziani, E., Dall’Ara, P., Demartini, E., & Baldi, A. (2023). Tobacco Seed-Based Oral Vaccination against Verocytotoxic O138 Escherichia coli as Alternative Approach to Antibiotics in Weaned Piglets. Antibiotics, 12(4), 715. https://doi.org/10.3390/antibiotics12040715

