Type I Collagen from the Skin of Barracuda (Sphyraena sp.) Prepared with Different Organic Acids: Biochemical, Microstructural and Functional Properties
Abstract
:1. Introduction
2. Materials and Methods
2.1. Materials
2.2. Preparation of Acid-Solubilized Collagen (ASC)
2.3. Analyses
2.3.1. Determination of Yield and Hydroxyproline (Hyp) Composition
2.3.2. Color Attributes
2.3.3. Sodium Dodecyl Sulfate-Polyacrylamide Gel Electrophoresis (SDS-PAGE)
2.3.4. Attenuated Total Reflectance–Fourier Transform Infrared Spectroscopy (ATR–FTIR)
2.3.5. Ultraviolet–Visible (UV–vis) Spectra of Acid-Solubilized Collagens
2.3.6. X-ray Diffraction (XRD) Test
2.3.7. Thermostability Analysis
2.3.8. Scanning Electron Microscopy (SEM)
2.3.9. Solubility Profile
2.3.10. Water Absorption Capacity (WAC) and Oil Absorption Capacity (OAC)
2.3.11. Emulsion Ability Index (EAI)
2.4. Statistical Analysis
3. Results and Discussion
3.1. Yield and Hyp Content
3.2. Color Attributes
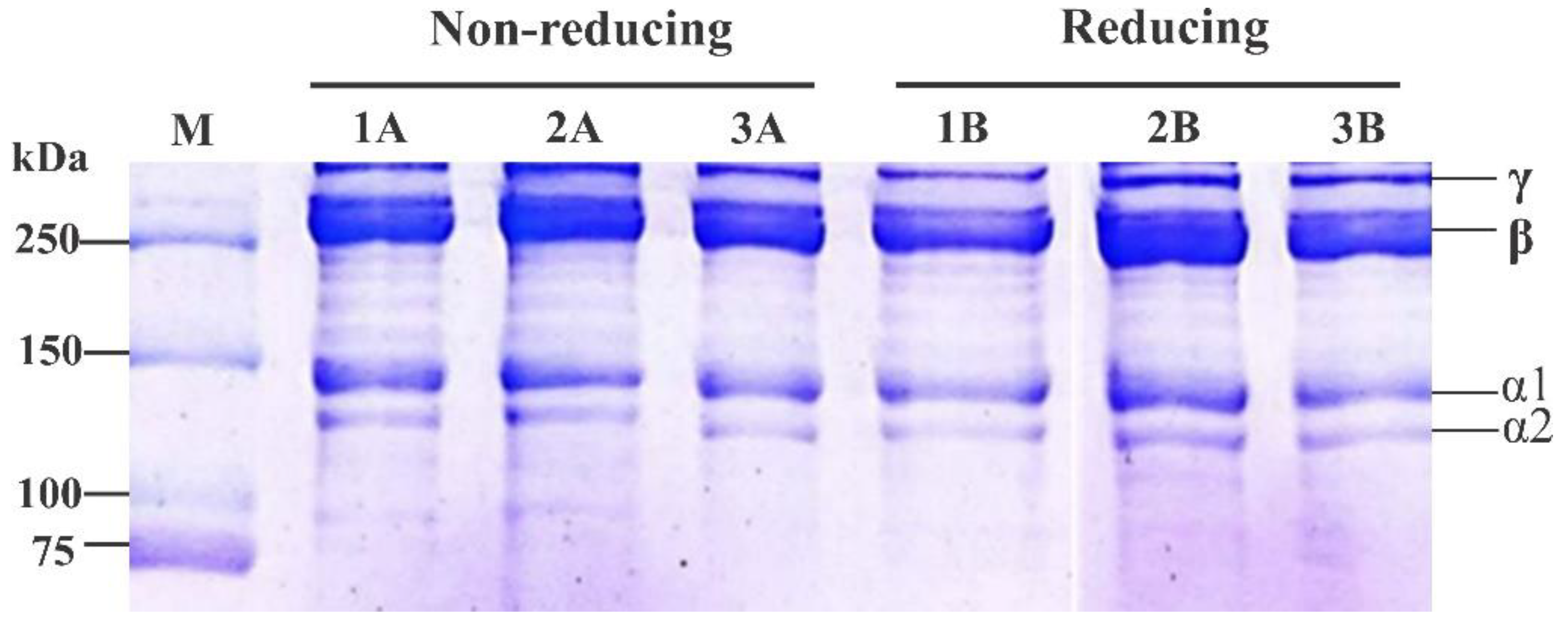
3.3. SDS-PAGE Profile
3.4. UV–vis Absorption
3.5. Attenuated Total Reflection–Fourier Transform Infrared Spectroscopy (ATR–FTIR)
3.6. Evaluation of X-ray Diffraction (XRD)
3.7. Thermal Stability Evaluation
3.8. Microstructure Analysis
3.9. Solubility Profiles
3.10. Water/Oil Absorption Capacities
3.11. Emulsion Property
4. Conclusions
Author Contributions
Funding
Institutional Review Board Statement
Informed Consent Statement
Data Availability Statement
Acknowledgments
Conflicts of Interest
References
- The Department of Fisheries Malaysia. Fisheries Statistic. Available online: https://www.dof.gov.my/index.php/pages/view/82 (accessed on 2 January 2022).
- Barracuda. Available online: https://www.fishbase.se/summary/1235 (accessed on 16 November 2022).
- Jaziri, A.A.; Shapawi, R.; Mokhtar, R.A.M.; Noordin, W.N.M.; Huda, N. Tropical Marine Fish Surimi By-products: Utilisation and Potential as Functional Food Application. Food Rev. Int. 2021, 37, 1–26. [Google Scholar] [CrossRef]
- Jaziri, A.A.; Shapawi, R.; Mokhtar, R.A.M.; Noordin, W.N.M.; Huda, N. Chemical Composition of Lizardfish Surimi By-Product: Focus on Macro and Micro-Minerals Contents. Curr. Res. Nutr. Food Sci. J. 2021, 9, 52–61. [Google Scholar] [CrossRef]
- Jaziri, A.A.; Hasanuddin, H.; Shapawi, R.; Mokhtar, R.A.M.; Noordin, W.N.M.; Huda, N. Nutritional Composition and Mineral Analysis of the By-products from Tropical Marine Fish, Purple Spotted Bigeye (Priacanthus tayenus Richardson, 1846) and Barracuda (Sphyraena obtusata Cuvier, 1829). In IOP Conference Series: Earth and Environmental Science; IOP Publishing: Bristol, UK, 2022; Volume 967, p. 12051. [Google Scholar]
- Shoulders, M.D.; Raines, R.T. Collagen structure and stability. Annu. Rev. Biochem. 2009, 78, 929–958. [Google Scholar] [CrossRef] [PubMed]
- Sorushanova, A.; Delgado, L.M.; Wu, Z.; Shologu, N.; Kshirsagar, A.; Raghunath, R.; Mullen, A.M.; Bayon, Y.; Pandit, A.; Raghunath, M.; et al. The Collagen Suprafamily: From Biosynthesis to Advanced Biomaterial Development. Adv. Mater. 2019, 31, e1801651. [Google Scholar] [CrossRef] [PubMed]
- Sionkowska, A.; Adamiak, K.; Musiał, K.; Gadomska, M. Collagen Based Materials in Cosmetic Applications: A Review. Materials 2020, 13, 4217. [Google Scholar] [CrossRef] [PubMed]
- Lim, Y.-S.; Ok, Y.-J.; Hwang, S.-Y.; Kwak, J.-Y.; Yoon, S. Marine Collagen as a Promising Biomaterial for Biomedical Applications. Mar. Drugs 2019, 17, 467. [Google Scholar] [CrossRef]
- Jaziri, A.A.; Shapawi, R.; Mokhtar, R.A.M.; Noordin, W.N.M.; Huda, N. Physicochemical and Microstructural Analyses of Pepsin-Soluble Collagens Derived from Lizardfish (Saurida tumbil Bloch, 1795) Skin, Bone and Scales. Gels 2022, 8, 471. [Google Scholar] [CrossRef]
- Chuaychan, S.; Benjakul, S.; Kishimura, H. Characteristics of Acid- and Pepsin-soluble Collagens from Scale of Seabass (Lates calcarifer). LWT Food Sci. Technol. 2015, 63, 71–76. [Google Scholar] [CrossRef]
- Zhang, X.; Xu, S.; Shen, L.; Li, G. Factors Affecting Thermal Stability of Collagen from the Aspects of Extraction, Processing and Modification. J. Leather Sci. Eng. 2020, 2, 19. [Google Scholar] [CrossRef]
- Oslan, S.N.H.; Shapawi, R.; Mokhtar, R.A.M.; Noordin, W.N.M.; Huda, N. Characterization of Acid- and Pepsin-soluble Collagen Extracted from the Skin of Purple-spotted Bigeye Snapper. Gels 2022, 8, 665. [Google Scholar] [CrossRef]
- Jaziri, A.A.; Shapawi, R.; Mokhtar, R.A.M.; Noordin, W.N.M.; Huda, N. Microstructural and Physicochemical Analysis of Collagens from the Skin of Lizardfish (Saurida tumbil Bloch, 1795) Extracted with Different Organic Acids. Molecules 2022, 27, 2452. [Google Scholar] [CrossRef] [PubMed]
- Jaziri, A.A.; Shapawi, R.; Mokhtar, R.A.M.; Noordin, W.N.M.; Huda, N. Biochemical Analysis of Collagens from the Bone of Lizardfish (Saurida tumbil Bloch, 1795) Extracted with Different Acids. PeerJ 2022, 10, e13103. [Google Scholar] [CrossRef] [PubMed]
- Jaziri, A.A.; Shapawi, R.; Mokhtar, R.A.M.; Noordin, W.N.M.; Huda, N. Biochemical and Microstructural Properties of Lizardfish (Saurida tumbil) Scale Collagen Extracted with Various Organic Acids. Gels 2022, 8, 266. [Google Scholar] [CrossRef] [PubMed]
- Prihanto, A.A.; Jaziri, A.A.; Pratomo, M.D.; Putri, S.E.; Fajriati, C.; Nurdiani, R.; Firdaus, M. Characteristics of Collagen from Parrotfish (Chlorurus sordidus), Tiger Grouper (Epinephelus fuscoguttatus) and Pink Ear Emperor (Lethrinus lentjan): Effect of Acetic Acid Concentration and Extraction Time. Online J. Biol. Sci. 2022, 22, 26–35. [Google Scholar] [CrossRef]
- Atef, M.; Ojagh, S.M.; Latifi, A.M.; Esmaeili, M.; Udenigwe, C.C. Biochemical and Structural Characterization of Sturgeon Fish Skin Collagen (Huso huso). J. Food Biochem. 2020, 44, e13256. [Google Scholar] [CrossRef]
- Ahmed, R.; Haq, M.; Chun, B.-S. Characterization of Marine Derived Collagen Extracted from the By-products of Bigeye Tuna (Thunnus obesus). Int. J. Biol. Macromol. 2019, 135, 668–676. [Google Scholar] [CrossRef]
- Chen, J.; Li, J.; Li, Z.; Yi, R.; Shi, S.; Wu, K.; Wu, S. Physicochemical and Functional Properties of Type I Collagens in Red Stingray (Dasyatis akajei) Skin. Mar. Drugs 2019, 17, 558. [Google Scholar] [CrossRef]
- Luo, Q.B.; Chi, C.F.; Yang, F.; Zhao, Y.Q.; Wang, B. Physicochemical Properties of Acid- and Pepsin-soluble Collagens from the Cartilage of Siberian sturgeon. Environ. Sci. Pollut. Res. Int. 2018, 25, 31427–31438. [Google Scholar] [CrossRef]
- Wang, J.; Pei, X.; Liu, H.; Zhou, D. Extraction and Characterization of Acid-soluble and Pepsin-soluble Collagen from Skin of Loach (Misgurnus anguillicaudatus). Int. J. Biol. Macromol. 2018, 106, 544–550. [Google Scholar] [CrossRef]
- Kittiphattanabawon, P.; Sriket, C.; Kishimura, H.; Benjakul, S. Characteristics of Acid and Pepsin Solubilized Collagens from Nile Tilapia (Oreochromis niloticus) scale. Emir. J. Food Agric. 2019, 31, 95–101. [Google Scholar] [CrossRef]
- Hadfi, N.; Sarbon, N. Physicochemical Properties of Silver catfish (Pangasius sp.) Skin Collagen as Influenced by Acetic Acid Concentration. Food Res. 2019, 3, 783–790. [Google Scholar] [CrossRef] [PubMed]
- Thuy, L.T.M.; Okazaki, E.; Osako, K. Isolation and Characterization of Acid-soluble Collagen from the Scales of Marine Fishes from Japan and Vietnam. Food Chem. 2014, 149, 264–270. [Google Scholar] [CrossRef] [PubMed]
- Cao, J.; Duan, Q.; Liu, X.; Shen, X.; Li, C. Extraction and Physicochemical Characterization of Pepsin Soluble Collagens from Golden Pompano (Trachinotus blochii) Skin and Bone. J. Aquat. Food Prod. Technol. 2019, 28, 837–847. [Google Scholar] [CrossRef]
- Wang, H.; Liang, Y.; Wang, H.; Zhang, H.; Wang, M.; Liu, L. Physical-Chemical Properties of Collagens from Skin, Scale, and Bone of grass carp (Ctenopharyngodon idellus). J. Aquat. Food Prod. Technol. 2014, 23, 264–277. [Google Scholar] [CrossRef]
- Jongjareonrak, A.; Benjakul, S.; Visessanguan, W.; Nagai, T.; Tanaka, M. Isolation and Characterisation of Acid and Pepsin-solubilised Collagens from the Skin of Brownstripe Red Snapper (Lutjanus vitta). Food Chem. 2005, 93, 475–484. [Google Scholar] [CrossRef]
- Bergman, I.; Loxley, R. Two Improved and Simplified Methods for the Spectrophotometric Determination of Hydroxyproline. Anal. Chem. 1963, 35, 1961–1965. [Google Scholar] [CrossRef]
- Huda, N.; Seow, E.K.; Normawati, M.; Aisyah, N.N. Preliminary Study on Physicochemical Properties of Duck Feet Collagen. Int. J. Poult. Sci. 2013, 12, 615–621. [Google Scholar] [CrossRef]
- Laemmli, U.K. Cleavage of Structural Proteins during the Assembly of the Head of Bacteriophage T4. Nature 1970, 227, 680–685. [Google Scholar] [CrossRef]
- Matmaroh, K.; Benjakul, S.; Prodpran, T.; Encarnacion, A.B.; Kishimura, H. Characteristics of Acid Soluble Collagen and Pepsin Soluble Collagen from Scale of Spotted Golden Goatfish (Parupeneus heptacanthus). Food Chem. 2011, 129, 1179–1186. [Google Scholar] [CrossRef]
- Reátegui-Pinedo, N.; Salirrosas, D.; Sánchez-Tuesta, L.; Quiñones, C.; Jáuregui-Rosas, S.R.; Barraza, G.; Cabrera, A.; Ayala-Jara, C.; Martinez, R.M.; Baby, A.R.; et al. Characterization of Collagen from Three Genetic Lines (Gray, Red and F1) of Oreochromis niloticus (tilapia) Skin in Young and Old Adults. Molecules 2022, 27, 1123. [Google Scholar] [CrossRef]
- Lowry, O.H.; Rosebrough, N.J.; Farr, A.L.; Randall, R.J. Protein Measurement with the Folin Phenol Reagent. J. Biol. Chem. 1951, 193, 265–275. [Google Scholar] [CrossRef] [PubMed]
- Tamilmozhi, S.; Veeruraj, A.; Arumugam, M. Isolation and Characterization of Acid and Pepsin-solubilized Collagen from the Skin of Sailfish (Istiophorus platypterus). Food Res. Int. 2013, 54, 1499–1505. [Google Scholar] [CrossRef]
- Li, Z.-R.; Wang, B.; Chi, C.-F.; Zhang, Q.-H.; Gong, Y.-D.; Tang, J.-J.; Luo, H.Y.; Ding, G.-F. Isolation and Characterization of Acid Soluble Collagens and Pepsin Soluble Collagens from the Skin and Bone of Spanish mackerel (Scomberomorous niphonius). Food Hydrocoll. 2013, 31, 103–113. [Google Scholar] [CrossRef]
- Li, L.-Y.; Zhao, Y.-Q.; He, Y.; Chi, C.-F.; Wang, B. Physicochemical and Antioxidant Properties of Acid- and Pepsin-Soluble Collagens from the Scales of Miiuy croaker (Miichthys miiuy). Mar. Drugs 2018, 16, 394. [Google Scholar] [CrossRef] [PubMed]
- Regenstein, J.; Zhou, P. Collagen and Gelatin from Marine By-products. In Maximising the Value of Marine by-Products, 1st ed.; Shahidi, F., Ed.; Woodhead Publishing Limited: Cambridge, UK; CRC Press LLC: Boca Raton, FL, USA, 2006; pp. 273–303. [Google Scholar]
- Bakar, J.; Hartina, U.M.R.; Hashim, M.D.; Sazili, A.Q. Properties of Collagen from Barramundi (Lates calcarifer) Skin. Int. Food. Res. J. 2013, 20, 835–884. [Google Scholar]
- Liua, W.; Zhanga, Y.; Cuic, N.; Wang, T. Extraction and Characterization of Pepsin-solubilized Collagen from Snakehead (Channa argus) Skin: Effects of Hydrogen Peroxide Pretreatments and Pepsin Hydrolysis Strategies. Process Biochem. 2019, 76, 194–202. [Google Scholar] [CrossRef]
- Sadowska, M.; Kołodziejska, I.; Niecikowska, C. Isolation of Collagen from the Skins of Baltic Cod (Gadus morhua). Food Chem. 2003, 81, 257–262. [Google Scholar] [CrossRef]
- Benjakul, S.; Thiansilakul, Y.; Visessanguan, W.; Roytrakul, S.; Kishimura, H.; Prodpran, T. Extraction and Characterisation of Pepsin Solubilised Collagens from the Skin of Bigeye Snapper (Priacanthus tayenus and Priacanthus macracanthus). J. Sci. Food Agric. 2010, 90, 132–138. [Google Scholar] [CrossRef] [PubMed]
- Wu, Q.-Q.; Li, T.; Wang, B.; Ding, G.-F. Preparation and Characterization of Acid and Pepsin-soluble Collagens from Scales of croceine and redlip croakers. Food Sci. Biotechnol. 2015, 24, 2003–2010. [Google Scholar] [CrossRef]
- Chen, S.; Chen, H.; Xie, Q.; Hong, B.; Chen, J.; Hua, F.; Bai, K.; He, J.; Yi, R.; Wu, H. Rapid Isolation of High Purity Pepsin-soluble Type I Collagen from Scales of Red Drum Fish (Sciaenops ocellatus). Food Hydrocoll. 2016, 52, 468–477. [Google Scholar] [CrossRef]
- Iswariya, S.; Velswamy, P.; Uma, T.S. Isolation and Characterization of Biocompatible Collagen from the Skin of Puffer Fish (Lagocephalus inermis). J. Polym. Environ. 2018, 26, 2086–2095. [Google Scholar] [CrossRef]
- Nikoo, M.; Benjakul, S.; Ocen, D.; Yang, N.; Xu, B.; Zhang, L.; Xu, X. Physical and Chemical Properties of Gelatin from the Skin of Cultured Amur Sturgeon (Acipenser schrenckii). J. Appl. Ichthyol. 2013, 29, 943–950. [Google Scholar] [CrossRef]
- Doyle, B.B.; Bendit, E.G.; Blout, E.R. Infrared Spectroscopy of Collagen and Collagen-like Polypeptides. Biopolymers 1975, 14, 937–957. [Google Scholar] [CrossRef] [PubMed]
- Zhang, F.; Wang, A.; Lijun, S.; He, S.; Shao, L. Preparation and Characterisation of Collagen from Freshwater Fish Scales. Food Nutr. Sci. 2011, 2, 818–823. [Google Scholar] [CrossRef]
- Bae, I.; Osatomi, K.; Yoshida, A.; Osako, K.; Yamaguchi, A.; Hara, K. Biochemical Properties of Acid-soluble Collagens Extracted from the Skins of Underutilised fishes. Food Chem. 2008, 108, 49–54. [Google Scholar] [CrossRef]
- Savedboworn, W.; Kittiphattanabawon, P.; Benjakul, S.; Sinthusamran, S.; Kishimura, H. Characteristics of collagen from rohu (Labeo rohita) skin. J. Aquat. Food Prod. Technol. 2017, 26, 248–257. [Google Scholar] [CrossRef]
- Kittiphattanabawon, P.; Benjakul, S.; Visessanguan, W.; Nagai, T.; Tanaka, M. Characterisation of Acid-soluble Collagen from Skin and Bone of Bigeye Snapper (Priacanthus tayenus). Food Chem. 2005, 89, 363–372. [Google Scholar] [CrossRef]
- Schuetz, T.; Richmond, N.; Harmon, M.E.; Schuetz, J.; Castaneda, L.; Slowinska, K. TheMicrostructure of Collagen Type I Gel Cross-linked with Gold Nanoparticles. Colloids Surf. B Biointerfaces 2012, 101, 118–125. [Google Scholar] [CrossRef]
- Bhuimbar, M.V.; Bhagwat, P.K.; Dandge, P.B. Extraction and Characterization of Acid Soluble Collagen from Fish Waste: Development of Collagen-chitosan Blend as Food Packaging Film. J. Environ. Chem. Eng. 2019, 7, 102983. [Google Scholar] [CrossRef]
- Veeruraj, A.; Arumugam, M.; Balasubramanian, T. Isolation and Characterization of Thermostable Collagen from the Marine Eel Fish (Evenchelys macrura). Process Biochem. 2013, 48, 1592–1602. [Google Scholar] [CrossRef]
- Pham, T.T.; Tran, T.T.T.; Ton, N.M.N.; Le, V.V.M. Effects of pH and Salt Concentration on Functional Properties of Pumpkin Seed Protein Fractions. J. Food Process. Preserv. 2016, 41, e13073. [Google Scholar] [CrossRef]
- Abdelaal, H.; Mohamed, H.M.A.; Salah, S.; Elhosany, R. Characteristics and Functional Properties of Collagen Extracted from Nile tilapia (Oreochromis niloticus). Skin. J. Mod. Res. 2021, 3, 36–43. [Google Scholar]
- Chen, L.; Zhao, L.; Yuan, M.; Liu, H. Function Properties of Collagen from the Skin of Amiurus nebulosus. J. Biobased Mater. Bioenergy 2013, 7, 444–448. [Google Scholar] [CrossRef]
- Akram, A.N.; Zhang, C. Extraction of Collagen-II with Pepsin and Ultrasound Treatment from Chicken Sternal Cartilage; Physicochemical and Functional Properties. Ultrason. Sonochem. 2020, 64, 105053. [Google Scholar] [CrossRef] [PubMed]







| Sample | Yield (g/100 g) | Hyp (mg/g) | Color Parameters | ||
|---|---|---|---|---|---|
| L* | a* | b* | |||
| ASBS | 6.77 ± 0.10 c | 82.78 ± 0.19 a | 78.54 ± 4.67 a | −0.05 ± 0.06 b | 0.64 ± 0.56 b |
| LSBS | 10.06 ± 0.50 a | 81.76 ± 0.05 b | 56.88 ± 4.29 b | 0.60 ± 0.16 a | 5.83 ± 1.45 a |
| CSBS | 8.53 ± 0.60 b | 81.97 ± 0.14 b | 54.34 ± 1.95 b | 0.66 ± 0.24 a | 3.78 ± 1.67 a |
| Peak Area (cm−1) | Peak Description | ||
|---|---|---|---|
| ASBS | LSBS | CSBS | |
| 3278.28 | 3277.35 | 3282.94 | Amide A: N–H stretch, coupled with hydrogen bond |
| 2921.38 | 2920.44 | 2921.38 | Amide B: CH2 symmetric and asymmetric stretch |
| 1628.89 | 1628.89 | 1628.89 | Amide I: C=O stretch, coupled with hydrogen bond |
| 1541.29 | 1541.29 | 1541.29 | Amide II: N–H bend coupled with C–N stretch |
| 1233.78 | 1236.58 | 1234.71 | Amide III: CH2 wagging of proline |
| Sample | XRD Test | DSC Profile | ||||
|---|---|---|---|---|---|---|
| Peak 1 (Sharp Peak) | Peak 2 (Broad Peak) | |||||
| 2θ | d (nm) | 2θ | d (nm) | Tmax (°C) | ΔH (J/g) | |
| ASBS | 7.48 | 1.18 | 20.02 | 0.44 | 41.29 | 0.13 |
| LSBS | 7.26 | 1.22 | 19.16 | 0.46 | 40.69 | 0.08 |
| CSBS | 7.64 | 1.16 | 19.12 | 0.46 | 40.16 | 0.05 |
| Sample | ASBS | LSBS | CSBS |
|---|---|---|---|
| WAC (mL/g) | 18.50 ± 1.50 a | 16.50 ± 0.50 a | 13.00 ± 1.40 a |
| OAC (mL/g) | 13.00 ± 0.10 a | 6.00 ± 1.00 b | 11.00 ± 0.00 a |
| EAI (pH 4.0) (m2/g) | 206.69 ± 2.19 a | 320.12 ± 4.62 a | 289.82 ± 3.76 a |
| EAI (pH 7.0) (m2/g) | 145.48 ± 2.01 b | 76.46 ± 1.58 b | 68.77 ± 1.42 b |
| EAI (pH 10.0) (m2/g) | 78.57 ± 1.90 c | 49.44 ± 3.98 c | 37.62 ± 2.62 c |
Disclaimer/Publisher’s Note: The statements, opinions and data contained in all publications are solely those of the individual author(s) and contributor(s) and not of MDPI and/or the editor(s). MDPI and/or the editor(s) disclaim responsibility for any injury to people or property resulting from any ideas, methods, instructions or products referred to in the content. |
© 2023 by the authors. Licensee MDPI, Basel, Switzerland. This article is an open access article distributed under the terms and conditions of the Creative Commons Attribution (CC BY) license (https://creativecommons.org/licenses/by/4.0/).
Share and Cite
Matarsim, N.N.; Jaziri, A.A.; Shapawi, R.; Mokhtar, R.A.M.; Noordin, W.N.M.; Huda, N. Type I Collagen from the Skin of Barracuda (Sphyraena sp.) Prepared with Different Organic Acids: Biochemical, Microstructural and Functional Properties. J. Funct. Biomater. 2023, 14, 87. https://doi.org/10.3390/jfb14020087
Matarsim NN, Jaziri AA, Shapawi R, Mokhtar RAM, Noordin WNM, Huda N. Type I Collagen from the Skin of Barracuda (Sphyraena sp.) Prepared with Different Organic Acids: Biochemical, Microstructural and Functional Properties. Journal of Functional Biomaterials. 2023; 14(2):87. https://doi.org/10.3390/jfb14020087
Chicago/Turabian StyleMatarsim, Nur Nadiah, Abdul Aziz Jaziri, Rossita Shapawi, Ruzaidi Azli Mohd Mokhtar, Wan Norhana Md. Noordin, and Nurul Huda. 2023. "Type I Collagen from the Skin of Barracuda (Sphyraena sp.) Prepared with Different Organic Acids: Biochemical, Microstructural and Functional Properties" Journal of Functional Biomaterials 14, no. 2: 87. https://doi.org/10.3390/jfb14020087
APA StyleMatarsim, N. N., Jaziri, A. A., Shapawi, R., Mokhtar, R. A. M., Noordin, W. N. M., & Huda, N. (2023). Type I Collagen from the Skin of Barracuda (Sphyraena sp.) Prepared with Different Organic Acids: Biochemical, Microstructural and Functional Properties. Journal of Functional Biomaterials, 14(2), 87. https://doi.org/10.3390/jfb14020087

