Rapid Identification of HSA Genetically Modified Goats by Combining Recombinase Polymerase Amplification (RPA) with Lateral Flow Dipstick (LFD)
Abstract
:1. Introduction
2. Materials and Methods
2.1. Sample Preparation and DNA Extraction
2.2. RPA Primer Design
2.3. RPA Reaction System Optimization
2.4. Preparation of Antibody-Modified Gold Nanoparticles
2.5. Preparation of Lateral Flow Dipsticks
2.6. Detection of GM Samples with RPA-LFD
3. Results
3.1. Optimization of RPA-LFD Assay
3.2. Specificity of RPA-LFD Assay
3.3. Sensitivity of RPA-LFD
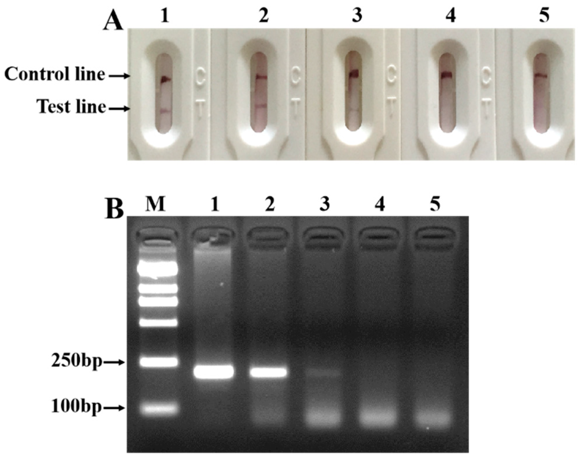
3.4. Application of RPA-MLFD in GM Goats
4. Discussion
5. Conclusions
Author Contributions
Funding
Institutional Review Board Statement
Informed Consent Statement
Data Availability Statement
Conflicts of Interest
Abbreviations
References
- Huang, L.F.; Liu, Y.K.; Lu, C.A.; Hsieh, S.L.; Yu, S.M. Production of human serum albumin by sugar starvation induced promoter and rice cell culture. Transgenic Res. 2005, 14, 569–581. [Google Scholar] [CrossRef] [PubMed]
- Peters, T. The albumin molecule. In All about Albumin: Biochemistry, Genetics and Medical Applications Chapter; Academic Press: Cambridge, MA, USA, 1995; Volume 6, pp. 251–284. [Google Scholar]
- Qian, Q.; You, Z.; Ye, L.; Che, J.; Wang, Y.; Wang, S.; Zhong, B. High-efficiency production of human serum albumin in the posterior silk glands of transgenic silkworms, Bombyx mori L. PLoS ONE 2018, 13, e0191507. [Google Scholar] [CrossRef] [PubMed] [Green Version]
- Chamberland, M.E.; Alter, H.J.; Busch, M.P.; Nemo, G.; Ricketts, M. Emerging infectious disease issues in blood safety. Emerg. Infect. Dis. 2001, 7, 552–553. [Google Scholar] [CrossRef] [PubMed]
- MacLennan, S.; Barbara, J.A.J. Risks and side effects of therapy with plasma and plasma fractions. Best Pract. Res. Clin. Haematol. 2006, 19, 169–189. [Google Scholar] [CrossRef]
- Tao, C.; Zhang, Q.; Feng, N.; Shi, D.; Liu, B. Development of a colloidal gold immunochromatographic strip assay for simple and fast detection of human α-lactalbumin in genetically modified cow milk. J. Dairy Sci. 2016, 99, 1773–1779. [Google Scholar] [CrossRef]
- Luo, Y.; Wang, Y.; Liu, J.; Lan, H.; Shao, M.; Yu, Y.; Quan, F.; Zhang, Y. Production of transgenic cattle highly expressing human serum albumin in milk by phiC31 integrase-mediated gene delivery. Transgenic Res. 2015, 24, 875–883. [Google Scholar] [CrossRef]
- Samiec, M.; Skrzyszowska, M. Transgenic mammalian species, generated by somatic cell cloning, in biomedicine, biopharmaceutical industry and human nutrition/dietetics—Recent achievements. Pol. J. Vet. Sci. 2011, 14, 317–328. [Google Scholar] [CrossRef] [Green Version]
- He, Z.; Lu, R.; Zhang, T.; Jiang, L.; Zhou, M.; Wu, D.; Cheng, Y. A novel recombinant human plasminogen activator: Efficient expression and hereditary stability in transgenic goats and in vitro thrombolytic bioactivity in the milk of transgenic goats. PLoS ONE 2018, 13, e0201788. [Google Scholar] [CrossRef]
- Skrzyszowska, M.; Samiec, M. Generating cloned goats by somatic cell nuclear transfer—Molecular determinants and application to transgenics and biomedicine. Int. J. Mol. Sci. 2021, 22, 7490. [Google Scholar] [CrossRef]
- Zhang, Q.; Chen, J.Q.; Lin, J.; Yu, Q.H.; Yu, H.Q.; Xu, X.J.; Liu, G.H.; Yang, Q. Production GH transgenic goat improving mammogenesis by somatic cell nuclear transfer. Mol. Biol. Rep. 2014, 41, 4759–4768. [Google Scholar] [CrossRef]
- Zhu, H.; Hu, L.; Liu, J.; Chen, H.; Cui, C.; Song, Y.; Jin, Y.; Zhang, Y. Generation of β-lactoglobulin-modified transgenic goats by homologous recombination. FEBS J. 2016, 283, 4600–4613. [Google Scholar] [CrossRef] [PubMed]
- Baguisi, A.; Behboodi, E.; Melican, D.T.; Pollock, J.S.; Destrempes, M.M.; Cammuso, C.; Williams, J.L.; Nims, S.D.; Porter, C.A.; Midura, P.; et al. Production of goats by somatic cell nuclear transfer. Nat. Biotechnol. 1999, 17, 456–461. [Google Scholar] [CrossRef] [PubMed]
- Yuan, Y.G.; Song, S.Z.; Zhu, M.M.; He, Z.Y.; Lu, R.; Zhang, T.; Mi, F.; Wang, J.Y.; Cheng, Y. Human lactoferrin efficiently targeted into caprine beta-lactoglobulin locus with transcription activator-like effector nucleases. Asian Australas. J. Anim. Sci. 2017, 30, 1175–1182. [Google Scholar] [CrossRef] [PubMed] [Green Version]
- Tao, C.; Zhang, Q.; Zhai, S.; Liu, B. Detection of HbsAg and hATIII genetically modified goats (Caprahircus) by loop-mediated isothermal amplification. Mol. Biol. Rep. 2013, 40, 6177–6182. [Google Scholar] [CrossRef]
- Singh, R.K.; Singh, V.K.; Raghavendrarao, S.; Phanindra, M.L.; Venkat Raman, K.; Solanke, A.U.; Kumar, P.A.; Sharma, T.R. Expression of finger millet EcDehydrin7 in transgenic tobacco confers tolerance to drought stress. Appl. Biochem. Biotechnol. 2015, 177, 207–216. [Google Scholar] [CrossRef]
- Deng, H.; Gao, Z. Bioanalytical applications of isothermal nucleic acid amplification techniques. Anal. Chim. Acta 2015, 853, 30–45. [Google Scholar] [CrossRef]
- Notomi, T.; Mori, Y.; Tomita, N.; Kanda, H. Loop-mediated isothermal amplification (LAMP): Principle, features, and future prospects. J. Microbiol. 2015, 53, 1–5. [Google Scholar] [CrossRef]
- Zhai, S.; Liu, C.; Zhang, Q.; Tao, C.; Liu, B. Detection of two exogenous g enes in transgenic cattle by loop-mediated isothermal amplification. Transgenic Res. 2012, 21, 67–73. [Google Scholar] [CrossRef]
- Piepenburg, O.; Williams, C.H.; Stemple, D.L.; Armes, N.A. DNA detection using recombination proteins. PLoS Biol. 2006, 4, e204. [Google Scholar] [CrossRef]
- Safenkova, I.V.; Ivanov, A.V.; Slutskaya, E.S.; Samokhvalov, A.V.; Zherdev, A.V.; Dzantiev, B.B. Key significance of DNA-target size in lateral flow assay coupled with recombinase polymerase amplification. Anal. Chim. Acta 2020, 1102, 109–118. [Google Scholar] [CrossRef]
- Lobato, I.M.; O’Sullivan, C.K. Recombinase polymerase amplification: Basics, applications and recent advances. TRAC Trends Anal. Chem. 2018, 98, 19–35. [Google Scholar] [CrossRef] [PubMed]
- Santiago-Felipe, S.; Tortajada-Genaro, L.A.; Puchades, R.; Maquieira, A. Recombinase polymerase and enzyme-linked immunosorbent assay as a DNA amplification-detection strategy for food analysis. Anal. Chim. Acta 2014, 811, 81–87. [Google Scholar] [CrossRef] [PubMed]
- Loo, J.F. An aptamer-based bio-barcode assay with isothermal recombinase polymerase amplification for cytochrome-c detection and anti-cancer drug screening. Talanta 2013, 115, 159–165. [Google Scholar] [CrossRef] [PubMed]
- Babu, B.; Washburn, B.K.; Miller, S.H.; Poduch, K.; Sarigul, T.; Knox, G.W.; Ochoa-Corona, F.M.; Paret, M.L. A rapid assay for detection of rose rosette virus using reverse transcription-recombinase polymerase amplification using multiple gene targets. J. Virol. Methods 2017, 240, 78–84. [Google Scholar] [CrossRef] [PubMed] [Green Version]
- Londoño, M.A.; Harmon, C.L.; Polston, J.E. Evaluation of recombinase polymerase amplification for detection of begomviruses by plant diagnostic clinics. Virol. J. 2016, 13, 48. [Google Scholar] [CrossRef] [PubMed] [Green Version]
- Li, K.; Luo, Y.; Huang, K.; Yang, Z.; Wan, Y.; Xu, W. Single universal primer recombinase polymerase amplification-based lateral flow biosensor (SUP-RPA-LFB) for multiplex detection of genetically modified maize. Anal. Chim. Acta 2020, 1127, 217–224. [Google Scholar] [CrossRef]
- Li, J.; Macdonald, J. Advances in isothermal amplification: Novel strategies inspired by biological processes. Biosens. Bioelectron. 2015, 64, 196–211. [Google Scholar] [CrossRef]
- Cheng, N.; Shang, Y.; Xu, Y.; Zhang, L.; Luo, Y.; Huang, K.; Xu, W. On-site detection of stacked genetically modified soybean basedon event-specific TM-LAMP and a DNAzyme-lateral flow biosensor. Biosens. Bioelectron. 2017, 91, 408–416. [Google Scholar] [CrossRef]
- Cui, D.; Zhai, S.; Yang, Y.; Wu, Y.; Li, J.; Yan, X.; Shen, P.; Gao, H.; Wu, G. A Label-Free electrochemical impedance genosensor coupled with recombinase polymerase amplification for genetically modified maize detection. Agriculture 2022, 12, 454. [Google Scholar] [CrossRef]
- Gomez-Martinez, J.; Silvy, M.; Chiaroni, J.; Fournier-Wirth, C.; Roubinet, F.; Bailly, P.; Brès., J.C. Multiplex lateral flow assay for rapid visual blood group genotyping. Anal. Chem. 2018, 90, 7502–7509. [Google Scholar] [CrossRef]
- Anfossi, L.; D’Arco, G.; Calderara, M.; Baggian, C.; Giovannoli, C.; Giraudi, G. Development of a quantitative lateral flow immunoassay for the detection of aflatoxins in maize. Food Addit. Contam. Part A 2011, 28, 226–234. [Google Scholar] [CrossRef] [PubMed]
- Gao, W.; Huang, H.; Zhu, P.; Yan, X.; Fan, J.; Jiang, J.; Xu, J. Recombinase polymerase amplification combined with lateral flow dipstick for equipment-free detection of salmonella in shellfish. Bioprocess Biosyst. Eng. 2018, 4, 603–611. [Google Scholar] [CrossRef] [PubMed]
- Nair, G.; Rebolledo, M.; White, A.C.; Jr Crannell, Z.; Richards-Kortum, R.R.; Pinilla, A.E.; Ramírez, J.D.; López, M.C.; Castellanos-Gonzalez, A. Detection of Entamoeba histolytica by Recombinase polymerase amplification. Am. J. Trop. Med. Hyg. 2015, 93, 591–595. [Google Scholar] [CrossRef] [PubMed]
- Zhao, M.; Wang, B.; Xiang, L.; Xiong, C.; Shi, Y.; Wu, L.; Meng, X.; Dongd, G.; Xie, Y.; Sun, W. A novel onsite and visual molecular technique to authenticate saffron (Crocus sativus) and its adulterants based on recombinase polymerase amplification. Food Control 2019, 100, 117121. [Google Scholar] [CrossRef]
- Ebbehoj, K.F.; Thomsen, P.D. Species differentiation of heated meat products by DNA hybridization. Meat Sci. 1991, 30, 221–234. [Google Scholar] [CrossRef]
- Frens, G. Controlled nucleation for regulation of particle-size in monodisperse gold suspensions. Nat. Phys. Sci. 1973, 241, 20–22. [Google Scholar] [CrossRef]
- Fu, M.; Zhang, Q.; Zhou, X.; Liu, B. Recombinase polymerase amplification based multiplex lateral flow dipstick for fast identification of duck ingredient in adulterated beef. Animal 2020, 10, 1765. [Google Scholar] [CrossRef]
- Deb, R.; Sengar, G.S.; Singh, U.; Kumar, S.; Raja, T.V.; Alex, R.; Alyethodi, R.R.; Prakash, B. LAMP assay for rapid diagnosis of cow DNA in goat milk and meat samples. Iran. J. Vet. Res. 2017, 18, 134–137. [Google Scholar]
- Rott, M.E.; Lawrence, T.S.; Wall, E.M.; Green, M.J. Detection and quantification of roundup ready soy in foods by conventional and real-time polymerase chain reaction. J. Agric. Food Chem. 2004, 52, 5223–5232. [Google Scholar] [CrossRef]
- Košir, A.B.; Spilsberg, B.; Holst-Jensen, A.; Žel, J.; Dobnik, D. Development and inter-laboratory assessment of droplet digital PCR assays for multiplex quantification of 15 genetically modified soybean lines. Sci. Rep. 2017, 9, 8601. [Google Scholar] [CrossRef] [Green Version]
- Berdal, K.G.; Holst-Jensen, A. Event-specific qualitative and quantitative PCR detection of the the practical detection and quantification limits in GMO analyses. Eur. Food Res. Technol. 2001, 213, 432–438. [Google Scholar] [CrossRef]
- Guan, X.; Guo, J.; Shen, P.; Yang, L.; Zhang, D. Visual and rapid detection of two genetically modified soybean events using loop-mediated isothermal amplification method. Food Anal. Methods 2010, 3, 313–320. [Google Scholar] [CrossRef]





| Primer Name | Sequence (5′–3′) |
|---|---|
| Biotin-F | Biotin-CAAGAAGGCATCCTGATTACTCTGTCGTGC |
| FITC-R | FITC-TGTAACGAACTAATAGCGCATTCTGGAATT |
| Analytical Method | Instrument (Thermal Cycler) | Time for Detection a | Suitability for On-Site Testing | Reference |
|---|---|---|---|---|
| Conventional PCR | Need | About 2 h | Unsuitable | [40] |
| ddPCR | Need | >3 h | Unsuitable | [41] |
| Real-time PCR | Need | >2.5 h | Unsuitable | [42] |
| LAMP | No need | About 2 h | Suitable | [43] |
| RPA-LFD | No need | About 30 min | Suitable | This study |
Publisher’s Note: MDPI stays neutral with regard to jurisdictional claims in published maps and institutional affiliations. |
© 2022 by the authors. Licensee MDPI, Basel, Switzerland. This article is an open access article distributed under the terms and conditions of the Creative Commons Attribution (CC BY) license (https://creativecommons.org/licenses/by/4.0/).
Share and Cite
Su, Q.; Guan, K.; Zhou, X.; Zhou, Y.; Liu, B. Rapid Identification of HSA Genetically Modified Goats by Combining Recombinase Polymerase Amplification (RPA) with Lateral Flow Dipstick (LFD). Agriculture 2022, 12, 927. https://doi.org/10.3390/agriculture12070927
Su Q, Guan K, Zhou X, Zhou Y, Liu B. Rapid Identification of HSA Genetically Modified Goats by Combining Recombinase Polymerase Amplification (RPA) with Lateral Flow Dipstick (LFD). Agriculture. 2022; 12(7):927. https://doi.org/10.3390/agriculture12070927
Chicago/Turabian StyleSu, Qiuju, Kaifeng Guan, Xiang Zhou, Yang Zhou, and Bang Liu. 2022. "Rapid Identification of HSA Genetically Modified Goats by Combining Recombinase Polymerase Amplification (RPA) with Lateral Flow Dipstick (LFD)" Agriculture 12, no. 7: 927. https://doi.org/10.3390/agriculture12070927
APA StyleSu, Q., Guan, K., Zhou, X., Zhou, Y., & Liu, B. (2022). Rapid Identification of HSA Genetically Modified Goats by Combining Recombinase Polymerase Amplification (RPA) with Lateral Flow Dipstick (LFD). Agriculture, 12(7), 927. https://doi.org/10.3390/agriculture12070927

