A Retrospective Study of the Diagnostic Accuracy of In Vivo Reflectance Confocal Microscopy for Basal Cell Carcinoma Diagnosis and Subtyping
Abstract
1. Introduction
2. Materials and Methods
3. Results
3.1. Participants
3.2. Test Results
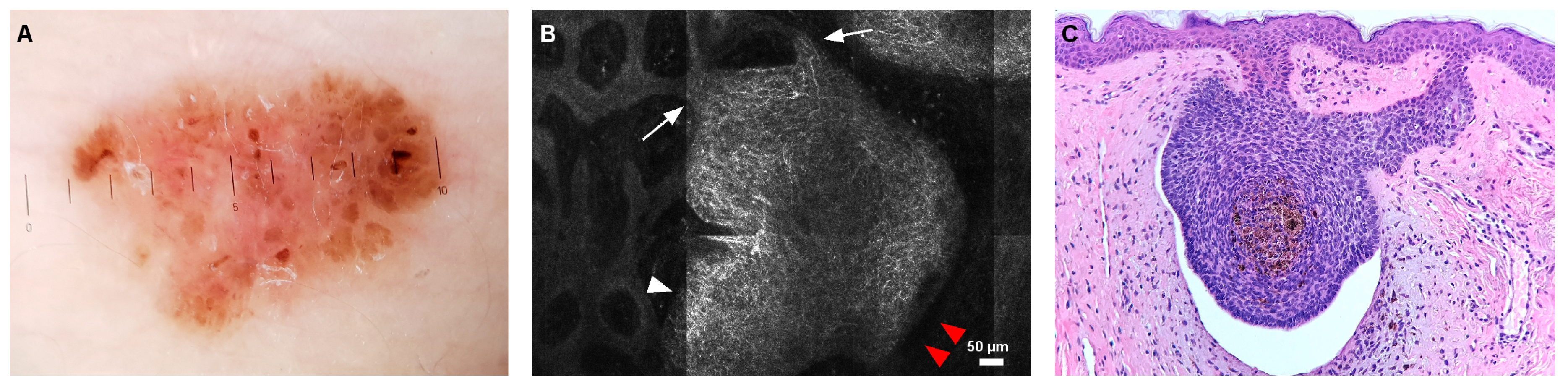
3.2.1. Basal Cell Carcinoma Diagnosis by Preoperative Reflectance Confocal Microscopy
3.2.2. Evaluation of RCM Criteria According to BCC Subtype
3.2.3. Logistic Regression Analysis for RCM Criteria in BCC Subtyping
3.2.4. Intraobserver Agreement
3.2.5. Adverse Events for Index Test and Reference Standard
4. Discussion
5. Conclusions
Author Contributions
Funding
Conflicts of Interest
References
- Lomas, A.; Leonardi-Bee, J.; Bath-Hextall, F. A systematic review of worldwide incidence of nonmelanoma skin cancer. Br. J. Dermatol. 2012, 166, 1069–1080. [Google Scholar] [CrossRef] [PubMed]
- Verkouteren, J.A.C.; Ramdas, K.H.R.; Wakkee, M.; Nijsten, T. Epidemiology of basal cell carcinoma: Scholarly review. Br. J. Dermatol. 2017, 177, 359–372. [Google Scholar] [CrossRef] [PubMed]
- Papagheorghe, L.M.L.; Lupu, M.; Pehoiu, A.G.; Voiculescu, V.M.; Giurcaneanu, C. Basal cell carcinoma—Increasing incidence leads to global health burden. Rom. J. Clin. Exp. Dermatol. 2015, 2, 106–111. [Google Scholar]
- De Vries, E.; Louwman, M.; Bastiaens, M.; de Gruijl, F.; Coebergh, J.W. Rapid and continuous increases in incidence rates of basal cell carcinoma in the southeast netherlands since 1973. J. Investig. Dermatol. 2004, 123, 634–638. [Google Scholar] [CrossRef] [PubMed]
- Christenson, L.J. Incidence of basal cell and squamous cell carcinomas in a population younger than 40 years. JAMA 2005, 294, 681–690. [Google Scholar] [CrossRef]
- Bivens, M.-M.; Bhosle, M.; Balkrishnan, R.; Camacho, F.T.; Feldman, S.R.; Fleischer, A.B. Nonmelanoma skin cancer: Is the incidence really increasing among patients younger than 40? A reexamination using 25 years of US Outpatient data. Dermatol. Surg. 2006, 32, 1473–1479. [Google Scholar] [CrossRef] [PubMed]
- Lo, J.S.; Snow, S.N.; Reizner, G.T.; Mohs, F.E.; Larson, P.O.; Hruza, G.J. Metastatic basal cell carcinoma: Report of twelve cases with a review of the literature. J. Am. Acad. Dermatol. 1991, 24, 715–719. [Google Scholar] [CrossRef]
- Ministerul Sanatatii Romania. Ghid de Diagnostic Si Tratament Pentru Carcinomul Bazocelular. Available online: http://old.ms.ro/documente/1218%20Anexa%205_8724_6606.doc (accessed on 7 March 2019).
- Trakatelli, M.; Morton, C.A.; Nagore, E.; Ulrich, C.; del Marmol, V.; Peris, K.; Basset-Seguin, N. Guideline on the Treatment of Basal Cell Carcinoma. Available online: https://www.euroderm.org/dam/jcr:d69bdaac-4b86-4cc5-bd41-ba0a5036f96b/Guidelines-on-Basal-Cell-Carcinoma_Update2012_prolonged-until2017.pdf (accessed on 7 March 2019).
- Voiculescu, V.M.; Lisievici, C.V.; Lupu, M.; Vajaitu, C.; Draghici, C.C.; Popa, A.V.; Solomon, I.; Sebe, T.I.; Constantin, M.M.; Caruntu, C. Mediators of inflammation in topical therapy of skin cancers. Mediators Inflamm. 2019, 2019, 15. [Google Scholar] [CrossRef]
- Kelleners-Smeets, N.W.J.; Mosterd, K.; Nelemans, P.J. Treatment of low-risk basal cell carcinoma. J. Investig. Dermatol. 2017, 137, 539–540. [Google Scholar] [CrossRef]
- Tyrrell, J.; Paterson, C.; Curnow, A. Regression analysis of protoporphyrin IX measurements obtained during dermatological photodynamic therapy. Cancers 2019, 11, 72. [Google Scholar] [CrossRef]
- Piccolo, D.; Kostaki, D. Photodynamic therapy activated by intense pulsed light in the treatment of nonmelanoma skin cancer. Biomedicines 2018, 6, 18. [Google Scholar] [CrossRef]
- Spallone, G.; Botti, E.; Costanzo, A. Targeted therapy in nonmelanoma skin cancers. Cancers 2011, 3, 2255–2273. [Google Scholar] [CrossRef] [PubMed]
- Trakatelli, M.; Morton, C.; Nagore, E.; Ulrich, C.; Del Marmol, V.; Peris, K.; Basset-Seguin, N. Update of the european guidelines for basal cell carcinoma management. Eur. J. Dermatol. 2014, 24, 312–329. [Google Scholar] [PubMed]
- Telfer, N.R.; Colver, G.B.; Morton, C.A. Guidelines for the management of basal cell carcinoma. Br. J. Dermatol. 2008, 159, 35–48. [Google Scholar] [CrossRef]
- Kadouch, D.J.; van Haersma de With, A.; Limpens, J.; van der Wal, A.C.; Wolkerstorfer, A.; Bekkenk, M.W.; de Rie, M.A. Is a punch biopsy reliable in subtyping basal cell carcinoma? A systematic review. Br. J. Dermatol. 2016, 175, 401–403. [Google Scholar] [CrossRef] [PubMed]
- Haws, A.L.; Rojano, R.; Tahan, S.R.; Phung, T.L. Accuracy of biopsy sampling for subtyping basal cell carcinoma. J. Am. Acad. Dermatol. 2012, 66, 106–111. [Google Scholar] [CrossRef] [PubMed]
- Paolino, G.; Donati, M.; Didona, D.; Mercuri, S.R.; Cantisani, C. Histology of non-melanoma skin cancers: An update. Biomedicines 2017, 5, 71. [Google Scholar] [CrossRef] [PubMed]
- Fahradyan, A.; Howell, A.C.; Wolfswinkel, E.M.; Tsuha, M.; Sheth, P.; Wong, A.K. Updates on the management of non-melanoma skin cancer (NMSC). Healthcare 2017, 5, 82. [Google Scholar] [CrossRef]
- Hoorens, I.; Vossaert, K.; Ongenae, K.; Brochez, L. Is early detection of basal cell carcinoma worthwhile? Systematic review based on the who criteria for screening. Br. J. Dermatol. 2016, 174, 1258–1265. [Google Scholar] [CrossRef]
- Edwards, S.J.; Mavranezouli, I.; Osei-Assibey, G.; Marceniuk, G.; Wakefield, V.; Karner, C. Vivascope® 1500 and 3000 systems for detecting and monitoring skin lesions: A systematic review and economic evaluation. Health Technol. Assess. 2016, 20, 1–260. [Google Scholar] [CrossRef] [PubMed]
- Zalaudek, I.; Kreusch, J.; Giacomel, J.; Ferrara, G.; Catricala, C.; Argenziano, G. How to diagnose nonpigmented skin tumors: A review of vascular structures seen with dermoscopy: Part II. Nonmelanocytic skin tumors. J. Am. Acad. Dermatol. 2010, 63, 377–386. [Google Scholar] [CrossRef] [PubMed]
- Lallas, A.; Tzellos, T.; Kyrgidis, A.; Apalla, Z.; Zalaudek, I.; Karatolias, A.; Ferrara, G.; Piana, S.; Longo, C.; Moscarella, E.; et al. Accuracy of dermoscopic criteria for discriminating superficial from other subtypes of basal cell carcinoma. J. Am. Acad. Dermatol. 2014, 70, 303–311. [Google Scholar] [CrossRef] [PubMed]
- Rossi, A.M.; Sierra, H.; Rajadhyaksha, M.; Nehal, K. Novel approaches to imaging basal cell carcinoma. Future Oncol. 2015, 11, 3039–3046. [Google Scholar] [CrossRef] [PubMed]
- Giavedoni, P.; Puig, S.; Carrera, C. Noninvasive imaging for nonmelanoma skin cancer. Semin. Cutan. Med. Surg. 2016, 35, 31–41. [Google Scholar] [CrossRef]
- Longo, C.; Zalaudek, I.; Argenziano, G.; Pellacani, G. New directions in dermatopathology: In vivo confocal microscopy in clinical practice. Dermatol. Clin. 2012, 30, 799–814. [Google Scholar] [CrossRef]
- Rajadhyaksha, M.; Grossman, M.; Esterowitz, D.; Webb, R.H.; Rox Anderson, R. In vivo confocal scanning laser microscopy of human skin: Melanin provides strong contrast. J. Investig. Dermatol. 1995, 104, 946–952. [Google Scholar] [CrossRef]
- Diaconeasa, A.; Boda, D.; Neagu, M.; Constantin, C.; Căruntu, C.; Vlădău, L.; Guţu, D. The role of confocal microscopy in the dermato–oncology practice. J. Med. Life 2011, 4, 63–74. [Google Scholar]
- Agozzino, M.; Russo, T.; Ardigo, M.; Piccolo, V.; Mascolo, M.; Staibano, S.; Alfano, R.; Argenziano, G. Challenging facial pigmented lesions: Values and limits of confocal microscopy. Dermatol. Pract. Concept. 2018, 8, 188–190. [Google Scholar] [CrossRef]
- Lupu, M.; Caruntu, C.; Solomon, I.; Popa, A.; Lisievici, C.; Draghici, C.; Papagheorghe, L.; Voiculescu, V.M.; Giurcaneanu, C. The use of in vivo reflectance confocal microscopy and dermoscopy in the preoperative determination of basal cell carcinoma histopathological subtypes. DermatoVenerol. (Buc.) 2017, 62, 7–13. [Google Scholar]
- Lupu, M.; Căruntu, A.; Moraru, L.; Voiculescu, V.M.; Boda, D.; Tănase, C.; Căruntu, C. Non-invasive imaging techniques for early diagnosis of radiation-induced squamous cell carcinoma of the lip. Rom. J. Morphol. Embryol. 2018, 59, 949–953. [Google Scholar]
- Ardigo, M.; Donadio, C.; Vega, H.; Cota, C.; Moscarella, E.; Agozzino, M. Concordance between in vivo reflectance confocal microscopy and optical histology of lymphomatoid papulosis. Skin Res. Technol. 2013, 19, 308–313. [Google Scholar] [CrossRef]
- Lupu, M.; Caruntu, A.; Caruntu, C.; Boda, D.; Moraru, L.; Voiculescu, V.; Bastian, A. Non-invasive imaging of actinic cheilitis and squamous cell carcinoma of the lip. Mol. Clin. Oncol. 2018, 8, 640–646. [Google Scholar] [CrossRef] [PubMed]
- Ghita, M.A.; Caruntu, C.; Rosca, A.E.; Kaleshi, H.; Caruntu, A.; Moraru, L.; Docea, A.O.; Zurac, S.; Boda, D.; Neagu, M. Reflectance confocal microscopy and dermoscopy for in vivo, non-invasive skin imaging of superficial basal cell carcinoma. Oncol. Lett. 2016, 11, 3019–3024. [Google Scholar] [CrossRef] [PubMed]
- Caruntu, C.; Boda, D.; Gutu, D.E.; Caruntu, A. In vivo reflectance confocal microscopy of basal cell carcinoma with cystic degeneration. Rom. J. Morphol. Embryol. 2014, 55, 1437–1441. [Google Scholar]
- Ilie, M.A.; Caruntu, C.; Lupu, M.; Lixandru, D.; Georgescu, S.-R.; Bastian, A.; Constantin, C.; Neagu, M.; Zurac, S.A.; Boda, D. Current and future applications of confocal laser scanning microscopy imaging in skin oncology. Oncol. Lett. 2019. [Google Scholar] [CrossRef]
- Ardigo, M.; Agozzino, M.; Franceschini, C.; Lacarrubba, F. Reflectance confocal microscopy algorithms for inflammatory and hair diseases. Dermatol. Clin. 2016, 34, 487–496. [Google Scholar] [CrossRef]
- Batani, A.; Brănișteanu, D.E.; Ilie, M.A.; Boda, D.; Ianosi, S.; Ianosi, G.; Caruntu, C. Assessment of dermal papillary and microvascular parameters in psoriasis vulgaris using in vivo reflectance confocal microscopy. Exp. Ther. Med. 2018, 15, 1241–1246. [Google Scholar] [CrossRef]
- Fuchs, C.S.K.; Andersen, A.J.B.; Ardigo, M.; Philipsen, P.A.; Haedersdal, M.; Mogensen, M. Acne vulgaris severity graded by in vivo reflectance confocal microscopy and optical coherence tomography. Lasers Surg. Med. 2019, 51, 104–113. [Google Scholar] [CrossRef]
- Caruntu, C.; Boda, D. Evaluation through in vivo reflectance confocal microscopy of the cutaneous neurogenic inflammatory reaction induced by capsaicin in human subjects. J. Biomed. Opt. 2012, 17, 085003. [Google Scholar] [CrossRef]
- Agozzino, M.; Noal, C.; Lacarrubba, F.; Ardigo, M. Monitoring treatment response in psoriasis: Current perspectives on the clinical utility of reflectance confocal microscopy. Psoriasis (Auckland N.Z.) 2017, 7, 27–34. [Google Scholar] [CrossRef] [PubMed]
- Căruntu, C.; Boda, D.; Căruntu, A.; Rotaru, M.; Baderca, F.; Zurac, S. In vivo imaging techniques for psoriatic lesions. Rom. J. Morphol. Embryol. 2014, 55, 1191–1196. [Google Scholar] [PubMed]
- Lacarrubba, F.; Verzi, A.E.; Errichetti, E.; Stinco, G.; Micali, G. Darier disease: Dermoscopy, confocal microscopy, and histologic correlations. J. Am. Acad. Dermatol. 2015, 73, e97–e99. [Google Scholar] [CrossRef] [PubMed]
- Nazzaro, G.; Farnetani, F.; Moltrasio, C.; Passoni, E.; Pellacani, G.; Berti, E. Image gallery: Demodex folliculorum longitudinal appearance with reflectance confocal microscopy. Br. J. Dermatol. 2018, 179, e230. [Google Scholar] [CrossRef] [PubMed]
- Ianoși, S.L.; Forsea, A.M.; Lupu, M.; Ilie, M.A.; Zurac, S.; Boda, D.; Ianosi, G.; Neagoe, D.; Tutunaru, C.; Popa, C.M. Role of modern imaging techniques for the in vivo diagnosis of lichen planus. Exp. Ther. Med. 2019, 17, 1052–1060. [Google Scholar] [CrossRef]
- Ilie, M.A.; Caruntu, C.; Lixandru, D.; Tampa, M.; Georgescu, S.R.; Constantin, M.M.; Constantin, C.; Neagu, M.; Zurac, S.A.; Boda, D. In vivo confocal laser scanning microscopy imaging of skin inflammation: Clinical applications and research directions. Exp. Ther. Med. 2019, 17, 1004–1011. [Google Scholar] [CrossRef]
- Ghita, M.A.; Caruntu, C.; Rosca, A.E.; Caruntu, A.; Moraru, L.; Constantin, C.; Neagu, M.; Boda, D. Real-time investigation of skin blood flow changes induced by topical capsaicin. Acta Dermatovenerol. Croat. 2017, 25, 223–227. [Google Scholar]
- Longo, C.; Lallas, A.; Kyrgidis, A.; Rabinovitz, H.; Moscarella, E.; Ciardo, S.; Zalaudek, I.; Oliviero, M.; Losi, A.; Gonzalez, S.; et al. Classifying distinct basal cell carcinoma subtype by means of dermatoscopy and reflectance confocal microscopy. J. Am. Acad. Dermatol. 2014, 71, 716–724. [Google Scholar] [CrossRef]
- Nori, S.; Rius-Díaz, F.; Cuevas, J.; Goldgeier, M.; Jaen, P.; Torres, A.; González, S. Sensitivity and specificity of reflectance-mode confocal microscopy for in vivo diagnosis of basal cell carcinoma: A multicenter study. J. Am. Acad. Dermatol. 2004, 51, 923–930. [Google Scholar] [CrossRef]
- Bossuyt, P.M.; Reitsma, J.B.; Bruns, D.E.; Gatsonis, C.A.; Glasziou, P.P.; Irwig, L.; Lijmer, J.G.; Moher, D.; Rennie, D.; de Vet, H.C.W.; et al. STARD 2015: An updated list of essential items for reporting diagnostic accuracy studies. Radiology 2015, 277, 826–832. [Google Scholar] [CrossRef] [PubMed]
- Shinkins, B.; Thompson, M.; Mallett, S.; Perera, R. Diagnostic accuracy studies: How to report and analyse inconclusive test results. BMJ 2013, 346, f2778. [Google Scholar] [CrossRef] [PubMed]
- Grunau, G.; Linn, S. Detection and diagnostic overall accuracy measures of medical tests. Rambam Maimonides Med. J. 2018, 9, e0027. [Google Scholar] [CrossRef]
- Alberg, A.J.; Park, J.W.; Hager, B.W.; Brock, M.V.; Diener-West, M. The use of “overall accuracy” to evaluate the validity of screening or diagnostic tests. J. Gen. Intern. Med. 2004, 19, 460–465. [Google Scholar] [CrossRef] [PubMed]
- Mokkink, L.B.; Terwee, C.B.; Gibbons, E.; Stratford, P.W.; Alonso, J.; Patrick, D.L.; Knol, D.L.; Bouter, L.M.; de Vet, H.C. Inter-rater agreement and reliability of the cosmin (consensus-based standards for the selection of health status measurement instruments) checklist. BMC Med. Res. Methodol. 2010, 10, 82. [Google Scholar] [CrossRef] [PubMed]
- Que, S.K.T.; Grant-Kels, J.M.; Longo, C.; Pellacani, G. Basics of confocal microscopy and the complexity of diagnosing skin tumors. Dermatol. Clin. 2016, 34, 367–375. [Google Scholar] [CrossRef] [PubMed]
- Kyrgidis, A.; Tzellos, T.G.; Vahtsevanos, K.; Triaridis, S. New concepts for basal cell carcinoma. Demographic, clinical, histological risk factors, and biomarkers. A systematic review of evidence regarding risk for tumor development, susceptibility for second primary and recurrence. J. Surg. Res. 2010, 159, 545–556. [Google Scholar] [CrossRef] [PubMed]
- González, S.; Tannous, Z. Real-time, in vivo confocal reflectance microscopy of basal cell carcinoma. J. Am. Acad. Dermatol. 2002, 47, 869–874. [Google Scholar] [CrossRef] [PubMed]
- Agero, A.L.C.; Busam, K.J.; Rajadhyaksha, M.; Patel, Y.; Scope, A.; Benvenuto-Andrade, C.; Gill, M.; Marghoob, A.A.; González, S.; Halpern, A.C. Reflectance confocal microscopy for imaging pigmented basal cell cancers in vivo. In Biomedical Optics, Fort Lauderdale, FL, USA, 19–22 March 2006; OSA publishing: Washington, DC, USA, 2006. [Google Scholar]
- Segura, S.; Puig, S.; Carrera, C.; Palou, J.; Malvehy, J. Dendritic cells in pigmented basal cell carcinoma: A relevant finding by reflectance-mode confocal microscopy. Arch. Dermatol. 2007, 143, 883–886. [Google Scholar] [CrossRef]
- Scope, A.; Mecca, P.S.; Marghoob, A.A. Skinsight lessons in reflectance confocal microscopy: Rapid diagnosis of pigmented basal cell carcinoma. Arch. Dermatol. 2009, 145, 106–107. [Google Scholar] [CrossRef]
- Braga, J.C.T.; Scope, A.; Klaz, I.; Mecca, P.; González, S.; Rabinovitz, H.; Marghoob, A.A. The significance of reflectance confocal microscopy in the assessment of solitary pink skin lesions. J. Am. Acad. Dermatol. 2009, 61, 230–241. [Google Scholar] [CrossRef]
- Segura, S.; Puig, S.; Carrera, C.; Palou, J.; Malvehy, J. Development of a two-step method for the diagnosis of melanoma by reflectance confocal microscopy. J. Am. Acad. Dermatol. 2009, 61, 216–229. [Google Scholar] [CrossRef]
- Ulrich, M.; Roewert-Huber, J.; Gonzalez, S.; Rius-Diaz, F.; Stockfleth, E.; Kanitakis, J. Peritumoral clefting in basal cell carcinoma: Correlation of in vivo reflectance confocal microscopy and routine histology. J. Cutan. Pathol. 2011, 38, 190–195. [Google Scholar] [CrossRef]
- Casari, A.; Pellacani, G.; Seidenari, S.; Cesinaro, A.M.; Beretti, F.; Pepe, P.; Longo, C. Pigmented nodular basal cell carcinomas in differential diagnosis with nodular melanomas: Confocal microscopy as a reliable tool for in vivo histologic diagnosis. J. Skin Cancer 2011, 2011, 406859. [Google Scholar] [CrossRef]
- Peppelman, M.; Wolberink, E.A.W.; Blokx, W.A.M.; van de Kerkhof, P.C.M.; van Erp, P.E.J.; Gerritsen, M.-J.P. In vivo diagnosis of basal cell carcinoma subtype by reflectance confocal microscopy. Dermatology 2013, 227, 255–262. [Google Scholar] [CrossRef]
- Guitera, P.; Menzies, S.W.; Longo, C.; Cesinaro, A.M.; Scolyer, R.A.; Pellacani, G. In vivo confocal microscopy for diagnosis of melanoma and basal cell carcinoma using a two-step method: Analysis of 710 consecutive clinically equivocal cases. J. Investig. Dermatol. 2012, 132, 2386–2394. [Google Scholar] [CrossRef]
- Kadouch, D.; van Haersma de With, A.; Elshot, Y.; Peppelman, M.; Bekkenk, M.; Wolkerstorfer, A.; Eekhout, I.; Prinsen, C.; de Rie, M. Interrater and intrarater agreement of confocal microscopy imaging in diagnosing and subtyping basal cell carcinoma. J. Eur. Acad. Dermatol. Venereol. 2018, 32, 1278–1283. [Google Scholar] [CrossRef] [PubMed]
- Artstein, R.; Poesio, M. Inter-coder agreement for computational linguistics. Comput. Linguist. 2008, 34, 555–596. [Google Scholar] [CrossRef]
- Borsari, S.; Pampena, R.; Lallas, A.; Kyrgidis, A.; Moscarella, E.; Benati, E.; Raucci, M.; Pellacani, G.; Zalaudek, I.; Argenziano, G.; et al. Clinical indications for use of reflectance confocal microscopy for skin cancer diagnosis. JAMA Dermatol. 2016, 152, 1093–1098. [Google Scholar] [CrossRef] [PubMed]
- Sahu, A.; Yelamos, O.; Iftimia, N.; Cordova, M.; Alessi-Fox, C.; Gill, M.; Maguluri, G.; Dusza, S.W.; Navarrete-Dechent, C.; Gonzalez, S.; et al. Evaluation of a combined reflectance confocal microscopy-optical coherence tomography device for detection and depth assessment of basal cell carcinoma. JAMA Dermatol. 2018, 154, 1175–1183. [Google Scholar] [CrossRef]
- Iftimia, N.; Peterson, G.; Chang, E.W.; Maguluri, G.; Fox, W.; Rajadhyaksha, M. Combined reflectance confocal microscopy-optical coherence tomography for delineation of basal cell carcinoma margins: An ex vivo study. J Biomed. Opt. 2016, 21, 16006. [Google Scholar] [CrossRef]
- Manubens, E.; Barreiro, A.; Bennassar, A.; Podlipnik, S.; Moreno, N.; Iglesias, P.; Malvehy, J.; Puig, S. Fast evaluation and monitoring of ingenol mebutate treatment of multiple basal cell carcinomas by in vivo hand-held reflectance confocal microscopy. J. Eur. Acad. Dermatol. Venereol. 2016, 31, e284–e286. [Google Scholar] [CrossRef]




| BCC 1 Subtype | N (%) |
| Superficial BCC | 24 (23.1) |
| Nodular BCC | 69 (66.3) |
| Aggressive BCC | 11 (10.6) |
| Total = 104 | |
| Non-BCC Lesions | N (%) |
| Bowen’s disease | 3 (2.4) |
| Seborrheic keratosis | 3 (2.4) |
| Actinic keratosis | 4 (3.3) |
| Keratoacanthoma | 2 (1.6) |
| Lichen planus-like keratosis | 2 (1.6) |
| Tubular apocrine adenoma | 1 (0.8) |
| Moderately differentiated SCC 2 | 1 (0.8) |
| Poorly differentiated SCC | 1 (0.8) |
| Poroid hidradenoma | 1 (0.8) |
| Chronic radiation dermatitis | 1 (0.8) |
| Total = 19 | |
| Confocal Criterion, N (%) | BCC 1 Histologic Subtype | ||
|---|---|---|---|
| Nodular (N = 69) | Superficial (N = 24) | Aggressive (N = 11) | |
| Keratinocyte atypia | 49 (71) | 17 (70.8) | 10 (90.9) |
| Epidermal streaming | 21 (30.4) | 9 (37.5) | 5 (45.5) |
| Ulceration | 24 (34.8) | 5 (20.8) | 4 (36.4) |
| Cords connected to the epidermis | 3 (4.3) | 13 (54.2) | 2 (18.2) |
| Small tumor islands | 25 (36.2) | 3 (12.5) | 6 (54.5) |
| Big tumor islands | 52 (75.4) | 8 (33.3) | 4 (36.4) |
| Hyporefractile silhouettes | 21 (30.4) | 1 (4.2) | 7 (63.6) |
| Peripheral palisading | 42 (60.9) | 19 (79.2) | 7 (63.6) |
| Clefting | 34 (49.3) | 11 (45.8) | 7 (63.6) |
| Increased vascularization | 52 (75.4) | 8 (33.3) | 4 (36.4) |
| Onion-like structures | 22 (31.9) | 3 (12.5) | 5 (45.5) |
| Peritumoral collagen bundles | 32 (46.4) | 0 (0) | 4 (36.4) |
| Inflammation | 58 (84.1) | 19 (79.2) | 9 (81.8) |
| Dendritic structures inside tumor islands | 35 (50.7) | 14 (58.3) | 4 (36.4) |
| p Value | OR 1 | 95% CI 2 for OR | |
|---|---|---|---|
| Nodular | |||
| Collagen surrounding tumor islands | 0.014 | 11.454 | 1.636–80.188 |
| Increased vascularization | 0.04 | 4.359 | 1.071–17.730 |
| Cords connected to the epidermis | 0.008 | 0.096 | 0.017–0.543 |
| Superficial | |||
| Cords connected to the epidermis | 0.017 | 6.794 | 1.399–32.991 |
| Aggressive | |||
| Hyporefractile silhouettes | 0.01 | 16.92 | 1.915–149.499 |
| Big tumor islands | 0.048 | 0.227 | 0.052–0.988 |
© 2019 by the authors. Licensee MDPI, Basel, Switzerland. This article is an open access article distributed under the terms and conditions of the Creative Commons Attribution (CC BY) license (http://creativecommons.org/licenses/by/4.0/).
Share and Cite
Lupu, M.; Popa, I.M.; Voiculescu, V.M.; Boda, D.; Caruntu, C.; Zurac, S.; Giurcaneanu, C. A Retrospective Study of the Diagnostic Accuracy of In Vivo Reflectance Confocal Microscopy for Basal Cell Carcinoma Diagnosis and Subtyping. J. Clin. Med. 2019, 8, 449. https://doi.org/10.3390/jcm8040449
Lupu M, Popa IM, Voiculescu VM, Boda D, Caruntu C, Zurac S, Giurcaneanu C. A Retrospective Study of the Diagnostic Accuracy of In Vivo Reflectance Confocal Microscopy for Basal Cell Carcinoma Diagnosis and Subtyping. Journal of Clinical Medicine. 2019; 8(4):449. https://doi.org/10.3390/jcm8040449
Chicago/Turabian StyleLupu, Mihai, Iris Maria Popa, Vlad Mihai Voiculescu, Daniel Boda, Constantin Caruntu, Sabina Zurac, and Calin Giurcaneanu. 2019. "A Retrospective Study of the Diagnostic Accuracy of In Vivo Reflectance Confocal Microscopy for Basal Cell Carcinoma Diagnosis and Subtyping" Journal of Clinical Medicine 8, no. 4: 449. https://doi.org/10.3390/jcm8040449
APA StyleLupu, M., Popa, I. M., Voiculescu, V. M., Boda, D., Caruntu, C., Zurac, S., & Giurcaneanu, C. (2019). A Retrospective Study of the Diagnostic Accuracy of In Vivo Reflectance Confocal Microscopy for Basal Cell Carcinoma Diagnosis and Subtyping. Journal of Clinical Medicine, 8(4), 449. https://doi.org/10.3390/jcm8040449

