Intraocular Biopsy and ImmunoMolecular Pathology for “Unmasking” Intraocular Inflammatory Diseases
Abstract
1. Introduction
2. Aqueous Humor Sampling
2.1. Research in the Field
2.2. Surgical Technique
3. Iris and Ciliary Body Biopsy
3.1. Research in the Field
3.2. Surgical Technique
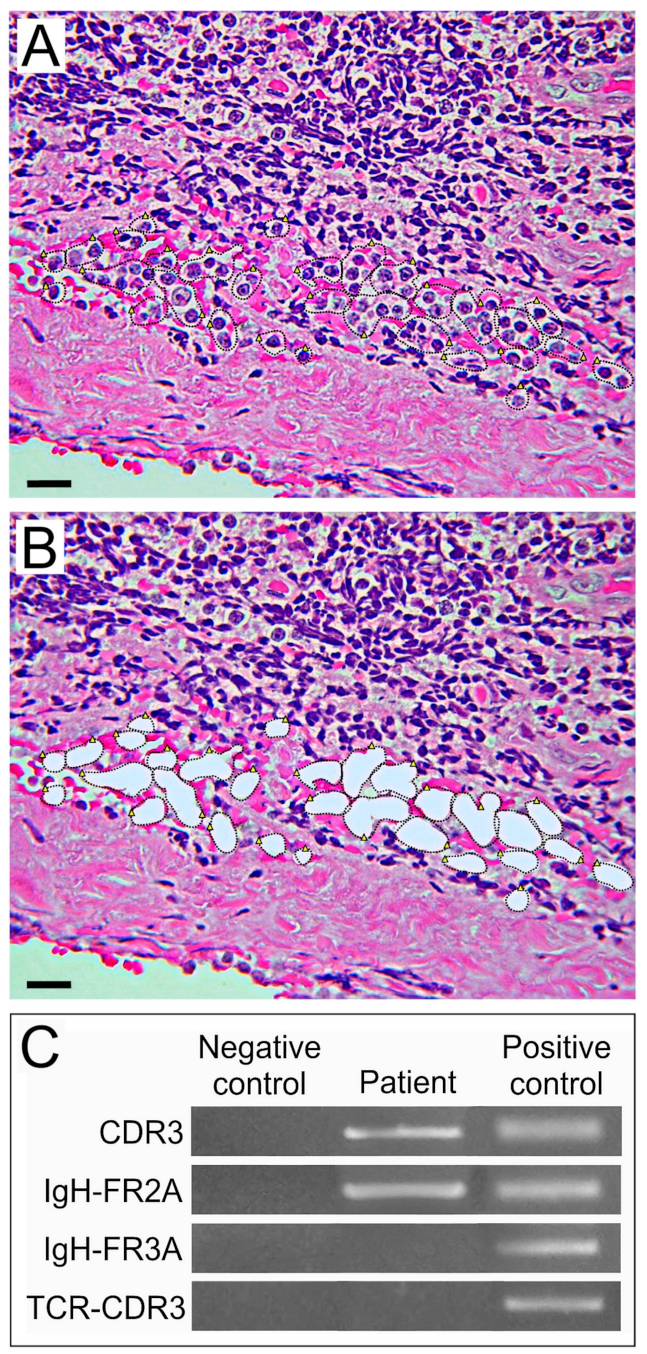
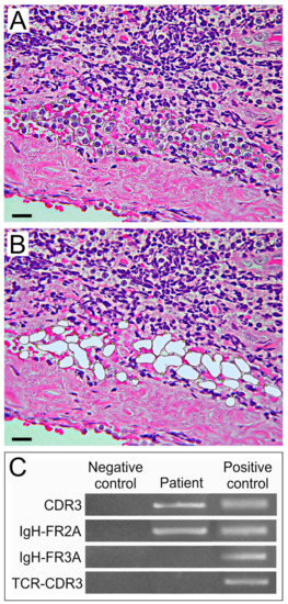
4. Vitreous Biopsy
4.1. Research in the Field
4.2. Surgical Technique
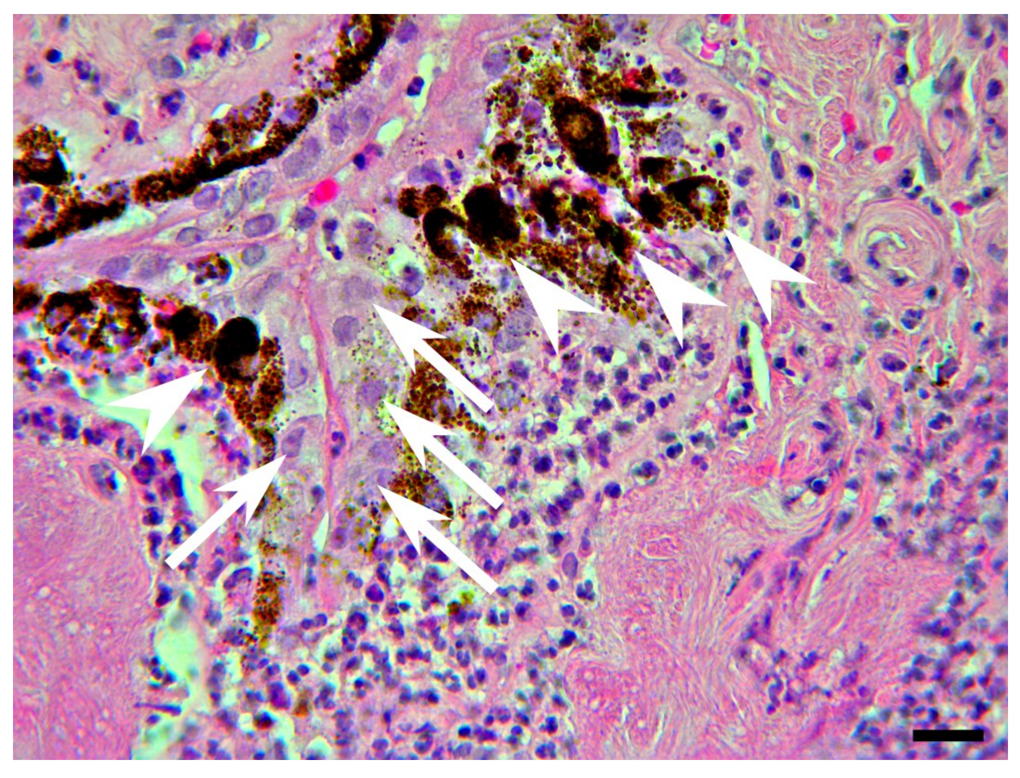
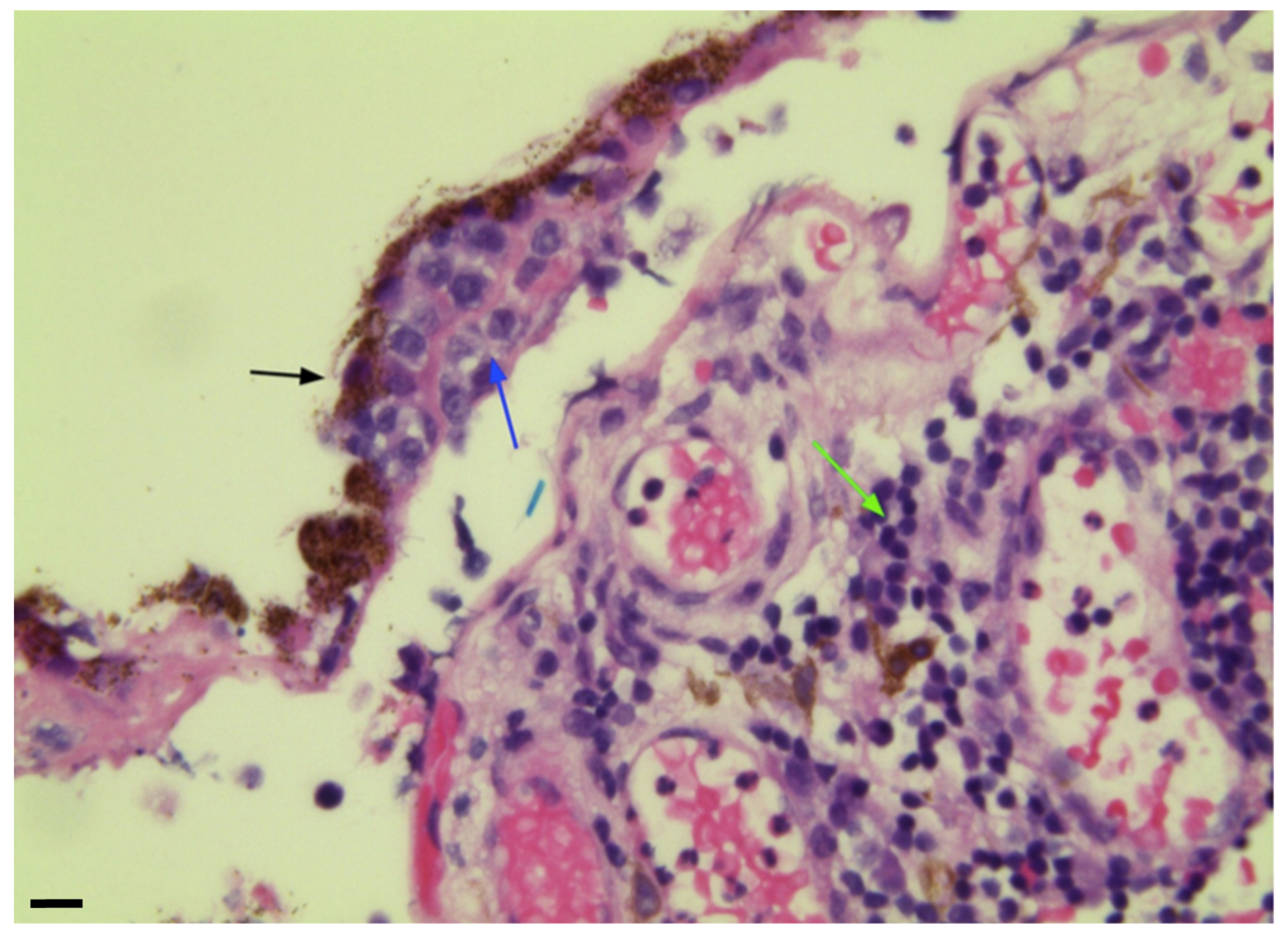
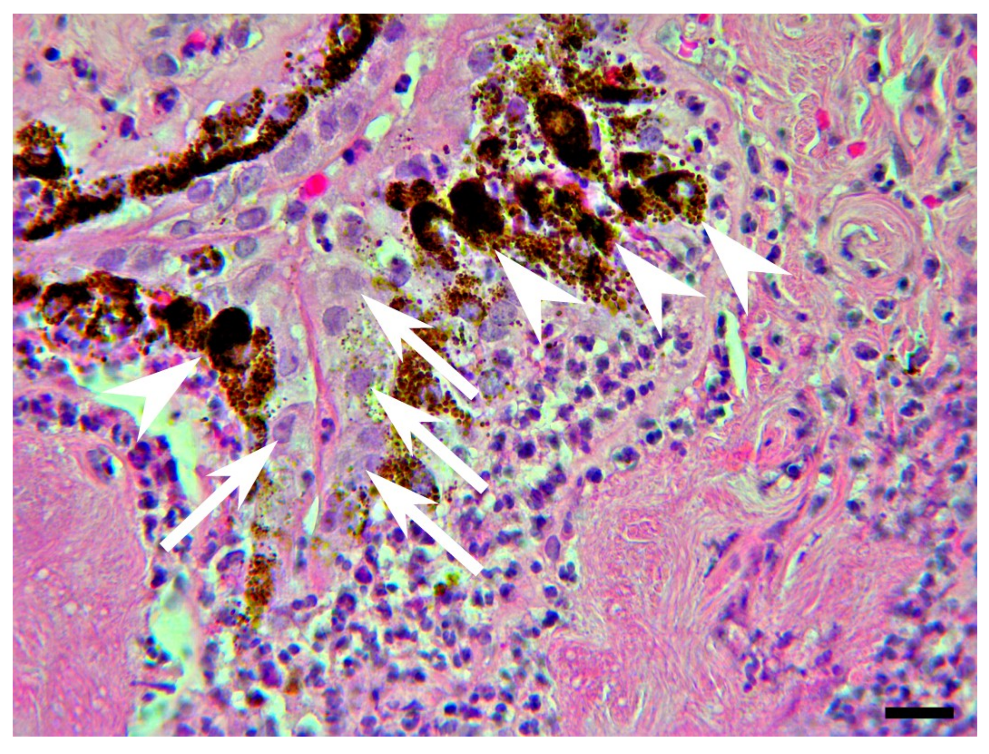
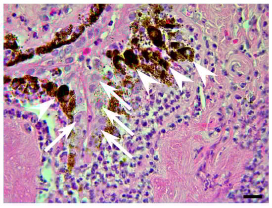
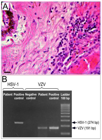
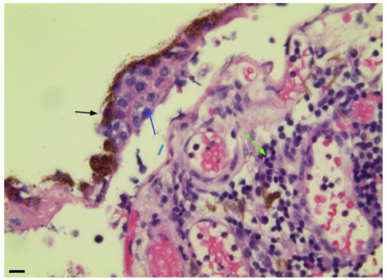
5. Chorioretinal Biopsy
5.1. Research in the Field
5.2. Surgical Technique
6. Conclusions
7. Method of Literature Search
Author Contributions
Funding
Conflicts of Interest
References
- Carnahan, M. Serial paracenteses in the management of acute elevations of intraocular pressure. Ophthalmology 2002, 109, 1604–1606. [Google Scholar] [CrossRef]
- Atebara, N.H.; Brown, G.C.; Cater, J. Efficacy of Anterior Chamber Paracentesis and Carbogen in Treating Acute Nonarteritic Central Retinal Artery Occlusion. Ophthalmology 1995, 102, 2029–2035. [Google Scholar] [CrossRef]
- Benz, M.S.; Albini, T.A.; Holz, E.R.; Lakhanpal, R.R.; Westfall, A.C.; Iyer, M.N.; Carvounis, P.E. Short-term Course of Intraocular Pressure after Intravitreal Injection of Triamcinolone Acetonide. Ophthalmology 2006, 113, 1174–1178. [Google Scholar] [CrossRef] [PubMed]
- Bhoomibunchoo, C.; Ratanapakorn, T.; Sinawat, S.; Sanguansak, T.; Moontawee, K.; Yospaiboon, Y. Infectious endophthalmitis: Review of 420 cases. Clin. Ophthalmol. 2013, 7, 247–252. [Google Scholar] [PubMed]
- De Groot-Mijnes, J.D.; Rothova, A.; Van Loon, A.M.; Schuller, M.; Loon, N.H.T.D.-V.; De Boer, J.H.; Schuurman, R.; Weersink, A.J. Polymerase Chain Reaction and Goldmann-Witmer Coefficient Analysis Are Complimentary for the Diagnosis of Infectious Uveitis. Am. J. Ophthalmol. 2006, 141, 313–318. [Google Scholar] [CrossRef]
- Tran, T.H.C.; Rozenberg, F.; Cassoux, N.; A Rao, N.; LeHoang, P.; Bodaghi, B. Polymerase chain reaction analysis of aqueous humour samples in necrotising retinitis. Br. J. Ophthalmol. 2003, 87, 79–83. [Google Scholar] [CrossRef]
- Jabs, D.A.; Nussenblatt, R.B.; Rosenbaum, J.T. Standardization of uveitis nomenclature for reporting clinical data. Results of the First International Workshop. Am. J. Ophthalmol. 2005, 140, 509–516. [Google Scholar]
- Agrawal, R.V.; Murthy, S.; Sangwan, V.; Biswas, J. Current approach in diagnosis and management of anterior uveitis. Indian J. Ophthalmol. 2010, 58, 11–19. [Google Scholar] [CrossRef]
- Kirsch, L.S.; Arevalo, J.F.; De La Paz, E.C.; Munguia, D.; De Clercq, E.; Freeman, W.R. Intravitreal Cidofovir (HPMPC) Treatment of Cytomegalovirus Retinitis in Patients with Acquired Immune Deficiency Syndrome. Ophthalmology 1995, 15, 365. [Google Scholar]
- Pleyer, U.; Chee, S.-P. Current aspects on the management of viral uveitis in immunocompetent individuals. Clin. Ophthalmol. 2015, 9, 1017–1028. [Google Scholar] [CrossRef]
- Chan, C.-C. Molecular pathology of primary intraocular lymphoma. Trans. Am. Ophthalmol. Soc. 2003, 101, 275–292. [Google Scholar] [CrossRef] [PubMed][Green Version]
- White, V.A.; Gascoyne, R.D.; Paton, K.E. Use of the Polymerase Chain Reaction to Detect B- and T-Cell Gene Rearrangements in Vitreous Specimens From Patients With Intraocular Lymphoma. Arch. Ophthalmol. 1999, 117, 761. [Google Scholar] [CrossRef] [PubMed]
- Chowdhury, U.R.; Madden, B.J.; Charlesworth, M.C.; Fautsch, M.P. Proteome analysis of human aqueous humor. Investig. Opthalmol. Vis. Sci. 2010, 51, 4921–4931. [Google Scholar] [CrossRef] [PubMed]
- Ji, Y.; Rong, X.; Ye, H.; Zhang, K.; Lu, Y. Proteomic analysis of aqueous humor proteins associated with cataract development. Clin. Biochem. 2015, 48, 1304–1309. [Google Scholar] [CrossRef]
- Rath, S.; Mohan, N.; Basu, S. The diagnostic utility of anterior chamber paracentesis for polymerase chain reaction in anterior uveitis. Am. J. Ophthalmol. 2013, 156, 847. [Google Scholar] [CrossRef]
- Van der Lelij, A.; Ooijman, F.M.; Kijlstra, A.; Rothova, A. Anterior uveitis with sectoral iris atrophy in the absence of keratitis: A distinct clinical entity among herpetic eye diseases. Ophthalmology 2000, 107, 1164–1170. [Google Scholar] [CrossRef]
- Whitley, W.S.J. The basics of uveitis: the fundamental management of this painful condition involves careful patient evaluation and aggressive control of inflammation. Rev. Optom. 2011, 148, 74. Available online: https://go.galegroup.com/ps/anonymous?id=GALE%7CA265895425&sid=googleScholar&v=2.1&it=r&linkaccess=abs&issn=1930160X&p=AONE&sw=w (accessed on 18 October 2019).
- Yamamoto, S.; Pavan-Langston, D.; Kinoshita, S.; Nishida, K.; Shimomura, Y.; Tano, Y. Detecting herpesvirus DNA in uveitis using the polymerase chain reaction. Br. J. Ophthalmol. 1996, 80, 465–468. [Google Scholar] [CrossRef]
- Anwar, Z.; Galor, A.; Albini, T.A.; Miller, D.; Pérez, V.; Davis, J.L. The Diagnostic Utility of Anterior Chamber Paracentesis with Polymerase Chain Reaction in Anterior Uveitis. Am. J. Ophthalmol. 2013, 155, 781–786.e2. [Google Scholar] [CrossRef]
- Fekkar, A.; Bodaghi, B.; Touafek, F.; Le Hoang, P.; Mazier, D.; Paris, L. Comparison of Immunoblotting, Calculation of the Goldmann-Witmer Coefficient, and Real-Time PCR Using Aqueous Humor Samples for Diagnosis of Ocular Toxoplasmosis. J. Clin. Microbiol. 2008, 46, 1965–1967. [Google Scholar] [CrossRef]
- Mochizuki, M.; Sugita, S.; Kamoi, K.; Takase, H. A new era of uveitis: Impact of polymerase chain reaction in intraocular inflammatory diseases. Jpn. J. Ophthalmol. 2017, 61, 1–20. [Google Scholar] [CrossRef] [PubMed]
- Grossniklaus, H.E.; Martin, D.F.; Avery, R.; Shields, J.A.; Shields, C.L.; Kuo, I.C.; Green, R.L.; Rao, N.A. Uveal lymphoid infiltration. Report of four cases and clinicopathologic review. Ophthalmology 1998, 105, 1265–1273. [Google Scholar] [CrossRef]
- O’Keefe, J.S.; Sippy, B.D.; Martin, D.F.; Holden, J.T.; E Grossniklaus, H. Anterior chamber infiltrates associated with systemic lymphoma: Report of two cases and review of the literature. Ophthalmology 2002, 109, 253–257. [Google Scholar] [CrossRef]
- Nelson, C.C.; Hertzberg, B.S.; Klintworth, G.K. A Histopathologic Study of 716 Unselected Eyes in Patients with Cancer at the Time of Death. Am. J. Ophthalmol. 1983, 95, 788–793. [Google Scholar] [CrossRef]
- Chan, C.-C.; Whitcup, S.M.; Solomon, D.; Nussenblatt, R.B. Interleukin-10 in the Vitreous of Patients with Primary Intraocular Lymphoma. Am. J. Ophthalmol. 1995, 120, 671–673. [Google Scholar] [CrossRef]
- Whitcup, S.M.; Stark-Vancs, V.; Wittes, R.E.; Solomon, D.; Podgor, M.J.; Nussenblatt, R.B.; Chan, C.-C. Association of Interleukin 10 in the Vitreous and Cerebrospinal Fluid and Primary Central Nervous System Lymphoma. Arch. Ophthalmol. 1997, 115, 1157. [Google Scholar] [CrossRef] [PubMed]
- Cassoux, N.; Merle-Beral, H.; LeHoang, P.; Herbort, C.; Chan, C.-C. Interleukin-10 and intraocular-central nervous system lymphoma. Ophthalmology 2001, 108, 426–427. [Google Scholar] [CrossRef]
- Bauer, D.; Kasper, M.; Walscheid, K.; Koch, J.M.; Müther, P.S.; Kirchhof, B.; Heiligenhaus, A.; Heinz, C. Multiplex Cytokine Analysis of Aqueous Humor in Juvenile Idiopathic Arthritis-Associated Anterior Uveitis with or Without Secondary Glaucoma. Front. Immunol. 2018, 9, 708. [Google Scholar] [CrossRef]
- Chan, W.-M.; Lai, T.Y.; Chan, K.-P.; Li, H.; Liu, D.T.; Lam, D.S.; Pang, C.-P. Changes in aqueous vascular endothelial growth factor and pigment epithelial-derived factor levels following intravitreal bevacizumab injections for choroidal neovascularization secondary to age-related macular degeneration or pathologic myopia. Retina 2008, 28, 1308–1313. [Google Scholar] [CrossRef]
- Costagliola, C.; Semeraro, F.; Dell’Omo, R.; Romano, M.R.; Russo, A.; Aceto, F.; Mastropasqua, R.; Porcellini, A. Effect of intravitreal ranibizumab injections on aqueous humour concentrations of vascular endothelial growth factor and pigment epithelium-derived factor in patients with myopic choroidal neovascularisation. Br. J. Ophthalmol. 2015, 99, 1004–1008. [Google Scholar] [CrossRef]
- Di Antonio, L.; Toto, L.; Mastropasqua, A.; Brescia, L.; Erroi, E.; Lamolinara, A.; Di Nicola, M.; Mastropasqua, L. Retinal vascular changes and aqueous humor cytokines changes after aflibercept intravitreal injection in treatment-naïve myopic choroidal neovascularization. Sci. Rep. 2018, 8, 15631. [Google Scholar] [CrossRef] [PubMed]
- Hang, H.; Yuan, S.; Yang, Q.; Yuan, D.; Liu, Q. Multiplex bead array assay of plasma cytokines in type 2 diabetes mellitus with diabetic retinopathy. Mol. Vis. 2014, 20, 1137–1145. [Google Scholar] [PubMed]
- Dong, N.; Xu, B.; Chu, L.; Tang, X. Study of 27 Aqueous Humor Cytokines in Type 2 Diabetic Patients with or without Macular Edema. PLoS ONE 2015, 10, e0125329. [Google Scholar] [CrossRef] [PubMed][Green Version]
- Chen, H.; Zhang, X.; Liao, N.; Wen, F. Assessment of biomarkers using multiplex assays in aqueous humor of patients with diabetic retinopathy. BMC Ophthalmol. 2017, 17, 176. [Google Scholar] [CrossRef]
- Sohn, H.J.; Han, D.H.; Kim, I.T.; Oh, I.K.; Kim, K.H.; Lee, D.Y.; Nam, D.H. Changes in Aqueous Concentrations of Various Cytokines After Intravitreal Triamcinolone Versus Bevacizumab for Diabetic Macular Edema. Am. J. Ophthalmol. 2011, 152, 686–694. [Google Scholar] [CrossRef]
- Hernandez Garfella, M.L.; Palomares Fort, P.; Roman Ivorra, J.A.; Cervera Taulet, E. Aqueous Humor Levels of Different Interleukins 1-beta, 2, 6 and 10, Tumor Necrosis Factor-alpha and Vascular Endothelial Growth Factor in Uveitis Treated with Adalimumab. J. Ophthalmic Vis. Res. 2015, 10, 49–54. [Google Scholar] [CrossRef]
- Agrawal, R.; Iyer, J.; Connolly, J.; Iwata, D.; Teoh, S. Cytokines and Biologics in non-infectious autoimmune uveitis: Bench to Bedside. Indian J. Ophthalmol. 2014, 62, 74–81. [Google Scholar] [CrossRef]
- Cheung, C.M.G.; Durrani, O.M.; I Murray, P. The safety of anterior chamber paracentesis in patients with uveitis. Br. J. Ophthalmol. 2004, 88, 582–583. [Google Scholar] [CrossRef]
- Van Der Lelij, A.; Rothova, A. Diagnostic anterior chamber paracentesis in uveitis: A safe procedure? Br. J. Ophthalmol. 1997, 81, 976–979. [Google Scholar] [CrossRef]
- Hunter, R.S.; Lobo, A.-M. Current Diagnostic Approaches to Infectious Anterior Uveitis. Int. Ophthalmol. Clin. 2011, 51, 145–156. [Google Scholar] [CrossRef]
- Trivedi, D.; Denniston, A.K.; I Murray, P. Safety profile of anterior chamber paracentesis performed at the slit lamp. Clin. Exp. Ophthalmol. 2011, 39, 725–728. [Google Scholar] [CrossRef] [PubMed]
- Kitazawa, K.; Sotozono, C.; Koizumi, N.; Nagata, K.; Inatomi, T.; Sasaki, H.; Kinoshita, S. Safety of anterior chamber paracentesis using a 30-gauge needle integrated with a specially designed disposable pipette. Br. J. Ophthalmol. 2017, 101, 548–550. [Google Scholar] [CrossRef] [PubMed]
- Shields, C.L.; Manquez, M.E.; Ehya, H.; Mashayekhi, A.; Danzig, C.J.; Shields, J.A. Fine-needle aspiration biopsy of iris tumors in 100 consecutive cases: Technique and complications. Ophthalmology 2006, 113, 2080–2086. [Google Scholar] [CrossRef] [PubMed]
- Thompson, J.T.; Parver, L.M.; Enger, C.L.; Mieler, W.F.; Liggett, P.E. Infectious Endophthalmitis after Penetrating Injuries with Retained Intraocular Foreign Bodies. Ophthalmology 1993, 100, 1468–1474. [Google Scholar] [CrossRef]
- Chee, S.P.; Jap, A. Endogenous endophthalmitis. Curr. Opin. Ophthalmol. 2001, 12, 464–470. [Google Scholar] [CrossRef]
- Chen, Y.-J.; Kuo, H.-K.; Wu, P.-C.; Kuo, M.-L.; Tsai, H.-H.; Liu, C.-C.; Chen, C.-H. A 10-year comparison of endogenous endophthalmitis outcomes: An east Asian experience with Klebsiella pneumoniae infection. Retina 2004, 24, 383–390. [Google Scholar] [CrossRef]
- Shrader, S.K.; Band, J.D.; Lauter, C.B.; Murphy, P. The Clinical Spectrum of Endophthalmitis: Incidence, Predisposing Factors, and Features Influencing Outcome. J. Infect. Dis. 1990, 162, 115–120. [Google Scholar] [CrossRef]
- Kernt, M.; A Kampik, A. Endophthalmitis: Pathogenesis, clinical presentation, management, and perspectives. Clin. Ophthalmol. 2010, 4, 121–135. [Google Scholar] [CrossRef]
- Moshari, A.; Cheeseman, E.W.; McLean, I.W. Totally necrotic choroidal and ciliary body melanomas: Associations with prognosis, episcleritis, and scleritis. Am. J. Ophthalmol. 2001, 131, 232–236. [Google Scholar] [CrossRef]
- Herbort, C.P.; A Rao, N.; Mochizuki, M.; Commi, T.M.O.T.S. International Criteria for the Diagnosis of Ocular Sarcoidosis: Results of the First International Workshop on Ocular Sarcoidosis (IWOS). Ocul. Immunol. Inflamm. 2009, 17, 160–169. [Google Scholar] [CrossRef]
- Jamilloux, Y.; Kodjikian, L.; Broussolle, C.; Seve, P. Sarcoidosis and uveitis. Autoimmun. Rev. 2014, 13, 840–849. [Google Scholar] [CrossRef] [PubMed]
- Velez, G.D.S.; Whitcup, S.M.; Robinson, M.; Nussenblatt, R.; Chan, C.C. Iris Involvement in Primary Intraocular Lymphoma: Report of Two Cases and Review of the Literature. Surv. Ophthalmol. 2000, 44, 518–526. [Google Scholar] [CrossRef]
- Dorecka, M.; Miniewicz-Kurkowska, J.; Michalska-Małecka, K.; Œwiątek, B.; Romaniuk, W. Needle aspiration with surgical excision of an epithelial posttraumatic iris cyst—A case report. Med. Sci. Monit. 2011, 17, CS60–CS62. [Google Scholar] [CrossRef]
- Finger, P.T.; McCormick, S.A.; Lombardo, J.; Tello, C.; Ritch, R. Epithelial Inclusion Cyst of the Iris. Arch. Ophthalmol. 1995, 113, 777. [Google Scholar] [CrossRef] [PubMed]
- Gupta, M.; Puri, P.; Jacques, R.; Rennie, I.G. Fine needle aspiration biopsy: An investigative tool for iris metastasis. Eye 2001, 15, 541–542. [Google Scholar] [CrossRef] [PubMed]
- Mashayekhi, A.; Shields, C.L.; A Shields, J. Iris involvement by lymphoma: A review of 13 cases. Clin. Exp. Ophthalmol. 2013, 41, 19–26. [Google Scholar] [CrossRef]
- Park, C.Y.; Hwang, S.W.; Kim, D.Y.; Huh, H.J.; Oh, J.-H. Anaplastic Large Cell Lymphoma Involving Anterior Segment of the Eye. Korean J. Ophthalmol. 2014, 28, 108–112. [Google Scholar] [CrossRef]
- Berthold, S.; Kottler, U.B.; Frisch, L.; Radner, H.; Pfeiffer, N. [Secondary glaucoma in hyphema, hypopyon, iris prominence and iris hyperemia]. Der Ophthalmologe Zeitschrift der Deutschen Ophthalmologischen Gesellschaft 2005, 102, 290–292. [Google Scholar] [CrossRef]
- Coupland, S.E.; Damato, B. Understanding intraocular lymphomas. Clin. Exp. Ophthalmol. 2008, 36, 564–578. [Google Scholar] [CrossRef]
- Coupland, S.E.; Heimann, H.; Bechrakis, N.E. Primary intraocular lymphoma: A review of the clinical, histopathological and molecular biological features. Graefe’s Arch. Clin. Exp. Ophthalmol. 2004, 242, 901–913. [Google Scholar] [CrossRef]
- Raju, V.K.; Green, W.R. Reticulum cell sarcoma of the uvea. Ann. Ophthalmol. 1982, 14, 555–560. [Google Scholar] [PubMed]
- Smith, J.R.; Pe’er, J.; Belfort, R.N.; Cardoso, F.; Carvajal, R.D.; Carvalho, C.; Coupland, S.E.; Desjardins, L.; Francis, J.H.; Gallie, B.L.; et al. Proceedings of the Association for Research in Vision and Ophthalmology and Champalimaud Foundation Ocular Oncogenesis and Oncology Conference. Transl. Vis. Sci. Technol. 2019, 8, 9. [Google Scholar] [CrossRef]
- Levy-Clarke, G. Human t-cell lymphotropic virus type-1 associated t-cell leukemia/lymphoma masquerading as necrotizing retinal vasculitis. Ophthalmology 2002, 109, 1717–1722. [Google Scholar] [CrossRef]
- Chaput, F.; Amer, R.; Baglivo, E.; Touitou, V.; Kozyreff, A.; Bron, D.; Bodaghi, B.; LeHoang, P.; Bergstrom, C.; Grossniklaus, H.E.; et al. Intraocular T-cell Lymphoma: Clinical Presentation, Diagnosis, Treatment, and Outcome. Ocul. Immunol. Inflamm. 2017, 25, 639–648. [Google Scholar] [CrossRef] [PubMed]
- Mochizuki, M.; Sugita, S.; Kamoi, K. Immunological homeostasis of the eye. Prog. Retin. Eye Res. 2013, 33, 10–27. [Google Scholar] [CrossRef]
- Mai, K.; Chui, J.J.; Di Girolamo, N.; McCluskey, P.J.; Wakefield, D. Role of toll-like receptors in human iris pigment epithelial cells and their response to pathogen-associated molecular patterns. J. Inflamm. 2014, 11, 20. [Google Scholar] [CrossRef] [PubMed]
- Ishida, K.; Panjwani, N.; Cao, Z.; Streilein, J.W. Participation of pigment epithelium in ocular immune privilege. 3. Epithelia cultured from iris, ciliary body, and retina suppress T-cell activation by partially non-overlapping mechanisms. Ocul. Immunol. Inflamm. 2003, 11, 91–105. [Google Scholar] [CrossRef]
- Eide, N.; Walaas, L. Fine-needle aspiration biopsy and other biopsies in suspected intraocular malignant disease: A review. Acta Ophthalmol. 2009, 87, 588–601. [Google Scholar] [CrossRef]
- Finger, P.T.; Latkany, P.; Kurli, M.; Iacob, C. The Finger iridectomy technique: Small incision biopsy of anterior segment tumours. Br. J. Ophthalmol. 2005, 89, 946–949. [Google Scholar] [CrossRef]
- Grossniklaus, H.E. Fine-Needle Aspiration Biopsy of the Iris. Arch. Ophthalmol. 1992, 110, 969. [Google Scholar] [CrossRef]
- Pe’Er, J.; Blumenthal, E.Z.; Frenkel, S. Punch biopsy of iris lesions: A novel technique for obtaining histology samples. Br. J. Ophthalmol. 2007, 91, 660–662. [Google Scholar] [CrossRef] [PubMed]
- Matthews, B.J.; Mudhar, H.S.; Rennie, I.G. Trans-corneal fine cannula aspiration: Rycroft cannula aspiration technique for sampling iris tumours. Br. J. Ophthalmol. 2012, 96, 329–331. [Google Scholar] [CrossRef] [PubMed]
- E Bechrakis, N.; Foerster, M.H.; Bornfeld, N. Biopsy in indeterminate intraocular tumors. Ophthalmology 2002, 109, 235–242. [Google Scholar] [CrossRef]
- Ghanem, V.C.; Ghanem, E.A.; Ghanem, R.C. Iridectomy of the anterior iris stroma using the vitreocutter during phacoemulsification in patients with iridoschisis. J. Cataract. Refract. Surg. 2003, 29, 2057–2059. [Google Scholar] [CrossRef]
- Gonzales, J.A.; Chan, C.-C. Biopsy techniques and yields in diagnosing primary intraocular lymphoma. Int. Ophthalmol. 2007, 27, 241–250. [Google Scholar] [CrossRef]
- Demirci, H.; Mashayekhi, A.; Shields, C.L.; Eagle, R.C.; Shields, J.A. Iris melanocytoma: Clinical features and natural course in 47 cases. Am. J. Ophthalmol. 2005, 139, 468–475. [Google Scholar] [CrossRef]
- Svozilkova, P.; Heissigerova, J.; Brichova, M.; Kalvodova, B.; Dvorak, J.; Rihova, E. The role of pars plana vitrectomy in the diagnosis and treatment of uveitis. Eur. J. Ophthalmol. 2011, 21, 89–97. [Google Scholar] [CrossRef]
- Lobo, A.; Lightman, S. Vitreous aspiration needle tap in the diagnosis of intraocular inflammation. Ophthalmology 2003, 110, 595–599. [Google Scholar] [CrossRef]
- Davis, J.L.; Miller, D.M.; Ruiz, P. Diagnostic Testing of Vitrectomy Specimens. Am. J. Ophthalmol. 2005, 140, 822–829.e2.77. [Google Scholar] [CrossRef]
- Oahalou, A.; Schellekens, P.A.W.J.F.; De Groot-Mijnes, J.D.; Rothova, A. Diagnostic pars plana vitrectomy and aqueous analyses in patients with uveitis of unknown cause. Retina 2014, 34, 108–114. [Google Scholar] [CrossRef]
- Johnston, R. Retinal and choroidal biopsies are helpful in unclear uveitis of suspected infectious or malignant origin. Ophthalmology 2004, 111, 522–528. [Google Scholar] [CrossRef] [PubMed]
- Jackson, T.L.; Paraskevopoulos, T.; Georgalas, I. Systematic review of 342 cases of endogenous bacterial endophthalmitis. Surv. Ophthalmol. 2014, 59, 627–635. [Google Scholar] [CrossRef] [PubMed]
- Manku, H.; McCluskey, P. Diagnostic vitreous biopsy in patients with uveitis: A useful investigation? Clin. Exp. Ophthalmol. 2005, 33, 604–610. [Google Scholar] [CrossRef] [PubMed]
- Vaziri, K.; Schwartz, S.G.; Kishor, K.; Flynn, H.W., Jr. Endophthalmitis: State of the art. Clin. Ophthalmol. 2015, 9, 95–108. [Google Scholar] [PubMed]
- Results of the Endophthalmitis Vitrectomy Study. A randomized trial of immediate vitrectomy and of intravenous antibiotics for the treatment of postoperative bacterial endophthalmitis. Endophthalmitis Vitrectomy Study Group. Arch. Ophthalmol. 1995, 113, 1479–1496. [Google Scholar] [CrossRef]
- Hwang, C.S.; Yeh, S.; Bergstrom, C.S. Diagnostic vitrectomy for primary intraocular lymphoma: When, why, how? Int. Ophthalmol. Clin. 2014, 54, 155–171. [Google Scholar] [CrossRef]
- Durand, M. Microbiologic Factors and Visual Outcome in the Endophthalmitis Vitrectomy Study. Am. J. Ophthalmol. 1997, 124, 127–128. [Google Scholar] [CrossRef]
- Kanoff, J.; Sobrin, L. New Diagnosis and Treatment Paradigms in Acute Retinal Necrosis. Int. Ophthalmol. Clin. 2011, 51, 25–31. [Google Scholar] [CrossRef]
- Peterson, K.; Gordon, K.B.; Heinemann, M.-H.; DeAngelis, L.M. The clinical spectrum of ocular lymphoma. Cancer 1993, 72, 843–849. [Google Scholar] [CrossRef]
- Bardenstein, D.S. Intraocular Lymphoma. Cancer Control 1998, 5, 317–325. [Google Scholar] [CrossRef]
- Hoffman, P.M.; McKelvie, P.; Hall, A.J.; Stawell, R.J.; Santamaria, J.D. Intraocular lymphoma: A series of 14 patients with clinicopathological features and treatment outcomes. Eye 2003, 17, 513–521. [Google Scholar] [CrossRef] [PubMed]
- Chan, C.-C.; Wallace, D.J. Intraocular Lymphoma: Update on Diagnosis and Management. Cancer Control 2004, 11, 285–295. [Google Scholar] [CrossRef]
- Jahnke, K.; Hummel, M.; Korfel, A.; Burmeister, T.; Kiewe, P.; Klasen, H.A.; Müller, H.-H.; Stein, H.; Thiel, E. Detection of Subclinical Systemic Disease in Primary CNS Lymphoma by Polymerase Chain Reaction of the Rearranged Immunoglobulin Heavy-Chain Genes. J. Clin. Oncol. 2006, 24, 4754–4757. [Google Scholar] [CrossRef] [PubMed]
- Boyd, S.D.; Natkunam, Y.; Allen, J.R.; Warnke, R.A. Selective immunophenotyping for diagnosis of B-cell neoplasms: Immunohistochemistry and flow cytometry strategies and results. Appl. Immunohistochem. Mol. Morphol. 2013, 21, 116–131. [Google Scholar] [CrossRef]
- Kase, S.; Namba, K.; Iwata, D.; Mizuuchi, K.; Kitaichi, N.; Tagawa, Y.; Okada-Kanno, H.; Matsuno, Y.; Ishida, S. Diagnostic efficacy of cell block method for vitreoretinal lymphoma. Diagn. Pathol. 2016, 11, 29. [Google Scholar] [CrossRef] [PubMed]
- Kanno-Okada, H.; Takakuwa, E.; Tagawa, Y.; Kase, S.; Hatanaka, K.C.; Namba, K.; Mitsuhashi, T.; Matsuno, Y. Cytopathologic findings of cell block materials from the vitreous: Diagnostic distinction between intraocular lymphoma and non-lymphomatous diseases. Pathol. Int. 2017, 67, 342–349. [Google Scholar] [CrossRef] [PubMed]
- Wolf, L.A.; Reed, G.F.; Buggage, R.R.; Nussenblatt, R.B.; Chan, C.C. Vitreous cytokine levels. Ophthalmology 2003, 110, 1671–1672. [Google Scholar] [CrossRef]
- Sugita, S.; Ogawa, M.; Shimizu, N.; Morio, T.; Ohguro, N.; Nakai, K.; Maruyama, K.; Nagata, K.; Takeda, A.; Usui, Y.; et al. Use of a Comprehensive Polymerase Chain Reaction System for Diagnosis of Ocular Infectious Diseases. Ophthalmology 2013, 120, 1761–1768. [Google Scholar] [CrossRef]
- Shen, D.F.; Zhuang, Z.; LeHoang, P.; Böni, R.; Zheng, S.; Nussenblatt, R.B.; Chan, C.-C. Utility of microdissection and polymerase chain reaction for the detection of immunoglobulin gene rearrangement and translocation in primary intraocular lymphoma. Ophthalmology 1998, 105, 1664–1669. [Google Scholar] [CrossRef]
- Wallace, D.J.; Shen, D.; Reed, G.F.; Miyanaga, M.; Mochizuki, M.; Sen, H.N.; Dahr, S.S.; Buggage, R.R.; Nussenblatt, R.B.; Chan, C.-C. Detection of the bcl-2 t(14;18) translocation and proto-oncogene expression in primary intraocular lymphoma. Investig. Opthalmol. Vis. Sci. 2006, 47, 2750–2756. [Google Scholar] [CrossRef]
- Jahnke, K.; Thiel, E.; E Abrey, L.; A Neuwelt, E.; Korfel, A. Diagnosis and management of primary intraocular lymphoma: An update. Clin. Ophthalmol. 2007, 1, 247–258. [Google Scholar] [PubMed]
- Whitcup, S.M.; De Smet, M.D.; I Rubin, B.; Palestine, A.G.; Martin, D.F.; Burnier, M.; Chan, C.C.; Nussenblatt, R.B. Intraocular lymphoma. Clinical and histopathologic diagnosis. Ophthalmology 1993, 100, 1399–1406. [Google Scholar] [CrossRef]
- Jaffe, E.S.; Harris, N.L.; Stein, H.; Vardiman, J.W. Pathology and Genetics of Tumours of Haematopoietic and Lymphoid Tissues; World Health Organization Classification of Tumours; IARC Press: Lyon, France, 2001. [Google Scholar]
- Rajagopal, R.; Harbour, J.W. Diagnostic testing and treatment choices in primary vitreoretinal lymphoma. Retina 2011, 31, 435–440. [Google Scholar] [CrossRef] [PubMed]
- Mudhar, H.S.; Sheard, R. Diagnostic cellular yield is superior with full pars plana vitrectomy compared with core vitreous biopsy. Eye 2013, 27, 50–55. [Google Scholar] [CrossRef] [PubMed]
- Walia, S.; Clermont, A.C.; Gao, B.-B.; Aiello, L.P.; Feener, E.P. Vitreous proteomics and diabetic retinopathy. Semin. Ophthalmol. 2010, 25, 289–294. [Google Scholar] [CrossRef]
- Skeie, J.M.; Brown, E.N.; Martinez, H.D.; Russell, S.R.; Birkholz, E.S.; Folk, J.C.; Boldt, H.C.; Gehrs, K.M.; Stone, E.M.; Wright, M.E.; et al. Proteomic Analysis of Vitreous Biopsy Techniques. Retina 2012, 32, 2141–2149. [Google Scholar] [CrossRef]
- Char, D.H.; Kemlitz, A.E.; Miller, T. Intraocular biopsy. Ophthalmol. Clin. N. Am. 2005, 18, 177–185. [Google Scholar] [CrossRef]
- Faulkner-Jones, B.E.; Foster, W.J.; Harbour, W.; Smith, M.E.; Davila, R.M. Fine Needle Aspiration Biopsy with Adjunct Immunohistochemistry in Intraocular Tumor Management. Acta Cytol. 2005, 49, 297–308. [Google Scholar] [CrossRef]
- Cohen, V.M.L.; Dinakaran, S.; A Parsons, M.; Rennie, I.G. Transvitreal fine needle aspiration biopsy: The influence of intraocular lesion size on diagnostic biopsy result. Eye 2001, 15, 143–147. [Google Scholar] [CrossRef]
- Oshima, Y.; Wakabayashi, T.; Sato, T.; Ohji, M.; Tano, Y. A 27–Gauge Instrument System for Transconjunctival Sutureless Microincision Vitrectomy Surgery. Ophthalmology 2010, 117, 93–102.e2. [Google Scholar] [CrossRef]
- E Coupland, S.; Coupland, S. The pathologist’s perspective on vitreous opacities. Eye 2008, 22, 1318–1329. [Google Scholar] [CrossRef] [PubMed][Green Version]
- Dalal, M.; Casady, M.; Moriarty, E.; Faia, L.; Nussenblatt, R.; Chan, C.C.; Sen, H.N. Diagnostic procedures in vitreoretinal lymphoma. Ocul. Immunol. Inflamm. 2014, 22, 270–276. [Google Scholar] [CrossRef] [PubMed]
- Gariano, R.F. Vitreous biopsy with air infusion: Safety and Effectiveness. Retina 2000, 20, 422–423. [Google Scholar] [CrossRef] [PubMed]
- Jeroudi, A.; Yeh, S. Diagnostic vitrectomy for infectious uveitis. Int. Ophthalmol. Clin. 2014, 54, 173–197. [Google Scholar] [CrossRef] [PubMed]
- Cursiefen, C.; Holbach, L.M.; Lafaut, B.; Heimann, K.; Kirchner, T.; Naumann, G.O.H. Oculocerebral Non-Hodgkin’s Lymphoma with Uveal InvolvementDevelopment of an Epibulbar Tumor After Vitrectomy. Arch. Ophthalmol. 2000, 118, 1437. [Google Scholar] [CrossRef] [PubMed][Green Version]
- Lim, L.L.; Suhler, E.B.; Rosenbaum, J.T.; Wilson, D.J. The role of choroidal and retinal biopsies in the diagnosis and management of atypical presentations of uveitis. Trans. Am. Ophthalmol. Soc. 2005, 103, 84–92. [Google Scholar] [PubMed]
- Westerfeld, C.; Mukai, S. Retinal and choroidal biopsy. Int. Ophthalmol. Clin. 2009, 49, 145–154. [Google Scholar] [CrossRef]
- Mastropasqua, R.; Thaung, C.; Pavesio, C.; Lightman, S.; Westcott, M.; Okhravi, N.; Aylward, W.; Charteris, D.; Da Cruz, L. The Role of Chorioretinal Biopsy in the Diagnosis of Intraocular Lymphoma. Am. J. Ophthalmol. 2015, 160, 1127–1132. [Google Scholar] [CrossRef]
- Chan, C.-C.; Palestine, A.G.; Davis, J.L.; De Smet, M.D.; McLean, I.W.; Burnier, M.; Drouilhet, J.H.; Nussenblatt, R.B. Role of Chorioretinal Biopsy in Inflammatory Eye Disease. Ophthalmology 1991, 98, 1281–1286. [Google Scholar] [CrossRef]
- Fahim, D.K.; Bucher, R.; Johnson, M.W. The elusive nature of primary intraocular lymphoma. J. Neuro-Ophthalmol. 2005, 25, 33–36. [Google Scholar] [CrossRef]
- Sarafzadeh, S.; Correa, Z.M.; Dhamija, A.; Augsburger, J.J.; Trichopoulos, N. Intraocular lymphoma diagnosed by fine-needle aspiration biopsy. Acta Ophthalmol. 2010, 88, 705–710. [Google Scholar] [CrossRef] [PubMed]
- Coupland, S.E.; Bechrakis, N.E.; Anastassiou, G.; Foerster, A.M.H.; Heiligenhaus, A.; Pleyer, U.; Hummel, M.; Stein, H. Evaluation of vitrectomy specimens and chorioretinal biopsies in the diagnosis of primary intraocular lymphoma in patients with Masquerade syndrome. Graefe’s Arch. Clin. Exp. Ophthalmol. 2003, 241, 860–870. [Google Scholar] [CrossRef] [PubMed]
- Sagoo, M.S.; Mehta, H.; Swampillai, A.J.; Cohen, V.M.; Amin, S.Z.; Plowman, P.N.; Lightman, S. Primary intraocular lymphoma. Surv. Ophthalmol. 2014, 59, 503–516. [Google Scholar] [CrossRef] [PubMed]
- Cassoux, N.; Charlotte, F.; Rao, N.A.; Bodaghi, B.; Merle-Beral, H.; LeHoang, P. CASE REPORT Endoretinal Biopsy in Establishing the Diagnosis of Uveitis: A Clinicopathologic Report of Three Cases. Ocul. Immunol. Inflamm. 2005, 13, 51–55. [Google Scholar] [CrossRef]
- Foulds, W.S.; Lee, W.R.; Roxburgh, S.T.; E Damato, B. Can chorio-retinal biopsy be justified? Trans. Ophthalmol. Soc. UK 1985, 104, 864–868. [Google Scholar]
- Moshfeghi, D. Diagnostic approaches to severe, atypical toxoplasmosis mimicking acute retinal necrosis. Ophthalmology 2004, 111, 716–725. [Google Scholar] [CrossRef]
- Rutzen, A.R.; Ortega-Larrocea, G.; Dugel, P.U.; Chong, L.P.; Lopez, P.F.; Smith, R.E.; Rao, N.A. Clinicopathologic Study of Retinal and Choroidal Biopsies in Intraocular Inflammation. Am. J. Ophthalmol. 1995, 119, 597–611. [Google Scholar] [CrossRef]
- E Sha, B.; A Benson, C.; Deutsch, T.; A Noskin, G.; Murphy, R.L.; Pottage, J.C.; Finn, W.G.; I Roth, S.; A Kessler, H. Pneumocystis carinii choroiditis in patients with AIDS: Clinical features, response to therapy, and outcome. JAIDS J. Acquir. Immune Defic. Syndr. 1992, 5, 1051–1058. [Google Scholar]
- Dabil, H.; Boley, M.L.; Schmitz, T.M.; Van Gelder, R.N. Validation of a diagnostic multiplex polymerase chain reaction assay for infectious posterior uveitis. Arch. Ophthalmol. 2001, 119, 1315. [Google Scholar] [CrossRef]
- Clarke, B.; Williamson, T.H.; Gini, G.; Gupta, B.; Williamson, T. Management of bacterial postoperative endophthalmitis and the role of vitrectomy. Surv. Ophthalmol. 2018, 63, 677–693. [Google Scholar] [CrossRef]
- Choi, J.Y.; Kafkala, C.; Foster, C.S. Primary Intraocular Lymphoma: A Review. Semin. Ophthalmol. 2006, 21, 125–133. [Google Scholar] [CrossRef] [PubMed]
- Cole, C.J.; Kwan, A.S.; Aylward, G.W.; Laidlaw, D.A.H. A new technique of combined retinal and choroidal biopsy. Br. J. Ophthalmol. 2008, 92, 1357–1360. [Google Scholar] [CrossRef] [PubMed]
- Gündüz, K.; A Shields, J.; Shields, C.L.; Eagle, R.C.; Diniz, W.; Mercado, G.; Chang, W. Transscleral choroidal biopsy in the diagnosis of choroidal lymphoma. Surv. Ophthalmol. 1999, 43, 551–555. [Google Scholar] [CrossRef]
- Levy-Clarke, G.A.; Byrnes, G.A.; Buggage, R.R.; Shen, D.F.; Filie, A.C.; Caruso, R.C.; Nussenblatt, R.B.; Chan, C. Primary intraocular lymphoma diagnosed by fine needle aspiration biopsy of a subretinal lesion. Retina 2001, 21, 281–284. [Google Scholar] [CrossRef] [PubMed]
- Rao, M. Primary intraocular lymphoma diagnosed by fine needle aspiration biopsy of a subretinal lesion. Retina 2002, 22, 512–513. [Google Scholar] [CrossRef] [PubMed]
- Araujo, I.; Coupland, S.E. Primary Vitreoretinal Lymphoma—A Review. Asia-Pac. J. Ophthalmol. 2017, 6, 283–289. [Google Scholar]
- Doan, T.; Wilson, M.R.; Crawford, E.D.; Chow, E.D.; Khan, L.M.; Knopp, K.A.; O’Donovan, B.D.; Xia, D.; Hacker, J.K.; Stewart, J.M.; et al. Illuminating uveitis: Metagenomic deep sequencing identifies common and rare pathogens. Genome Med. 2016, 8, 90. [Google Scholar] [CrossRef]
- Gonzales, J.; Doan, T.; Shantha, J.G.; Bloomer, M.; Wilson, M.R.; DeRisi, J.L.; Acharya, N. Metagenomic deep sequencing of aqueous fluid detects intraocular lymphomas. Br. J. Ophthalmol. 2018, 102, 6–8. [Google Scholar] [CrossRef]
- Martin, D.F.; Chan, C.C.; De Smet, M.D.; Palestine, A.G.; Davis, J.L.; Whitcup, S.M.; Burnier, M.N.; Nussenblatt, R.B. The role of chorioretinal biopsy in the management of posterior uveitis. Ophthalmology 1993, 100, 705–714. [Google Scholar] [CrossRef]
- A Peyman, G.; Juarez, C.P.; Raichand, M. Full-thickness eye-wall biopsy: Long-term results in 9 patients. Br. J. Ophthalmol. 1981, 65, 723–726. [Google Scholar] [CrossRef]
- Freeman, W.R.; Wiley, C.A.; Gross, J.G.; Thomas, E.L.; Rao, N.A.; Liggett, P.E. Endoretinal biopsy in immunosuppressed and healthy patients with retinitis. Indications, utility, and techniques. Ophthalmology 1989, 96, 1559–1565. [Google Scholar] [CrossRef]
- Kvanta, A.; Seregard, S.; Kopp, E.D.; All-Ericsson, C.; Landau, I.; Berglin, L. Choroidal Biopsies for Intraocular Tumors of Indeterminate Origin. Am. J. Ophthalmol. 2005, 140, 1002–1006. [Google Scholar] [CrossRef] [PubMed]








© 2019 by the authors. Licensee MDPI, Basel, Switzerland. This article is an open access article distributed under the terms and conditions of the Creative Commons Attribution (CC BY) license (http://creativecommons.org/licenses/by/4.0/).
Share and Cite
Mastropasqua, R.; Di Carlo, E.; Sorrentino, C.; Mariotti, C.; da Cruz, L. Intraocular Biopsy and ImmunoMolecular Pathology for “Unmasking” Intraocular Inflammatory Diseases. J. Clin. Med. 2019, 8, 1733. https://doi.org/10.3390/jcm8101733
Mastropasqua R, Di Carlo E, Sorrentino C, Mariotti C, da Cruz L. Intraocular Biopsy and ImmunoMolecular Pathology for “Unmasking” Intraocular Inflammatory Diseases. Journal of Clinical Medicine. 2019; 8(10):1733. https://doi.org/10.3390/jcm8101733
Chicago/Turabian StyleMastropasqua, Rodolfo, Emma Di Carlo, Carlo Sorrentino, Cesare Mariotti, and Lyndon da Cruz. 2019. "Intraocular Biopsy and ImmunoMolecular Pathology for “Unmasking” Intraocular Inflammatory Diseases" Journal of Clinical Medicine 8, no. 10: 1733. https://doi.org/10.3390/jcm8101733
APA StyleMastropasqua, R., Di Carlo, E., Sorrentino, C., Mariotti, C., & da Cruz, L. (2019). Intraocular Biopsy and ImmunoMolecular Pathology for “Unmasking” Intraocular Inflammatory Diseases. Journal of Clinical Medicine, 8(10), 1733. https://doi.org/10.3390/jcm8101733
