Cardiac Implantable Electronic Device-Related Infective Endocarditis Caused by Bacillus cereus: A Case Report
Abstract
1. Introduction
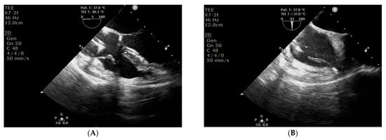
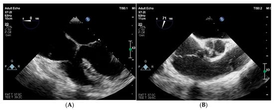
2. Case Presentation
3. Discussion
4. Conclusions
Author Contributions
Funding
Institutional Review Board Statement
Informed Consent Statement
Data Availability Statement
Conflicts of Interest
Abbreviations
| CIED | Cardiac implantable electronic device |
| CIED-IE | Cardiac implantable electronic device-related infective endocarditis |
| CRT-P | Cardiac resynchronization pacemaker |
| ORI-4-CIEDi | ORItavancin as a therapeutic regimen for Cardiac Implantable Electronic Devices infections with multidrug-resistant Gram-positive cocci pilot study |
| TEE | Transoesophageal echocardiography |
| TLE | Transvenous lead extraction |
References
- Young, B.; Tambyah, P.A. Infectious disease trends among immunocompromised hosts. Singap. Med. J. 2012, 53, 223–229. [Google Scholar]
- Goyani, P.; Christodoulou, R.; Vassiliou, E. Immunosenescence: Aging and Immune System Decline. Vaccines 2024, 12, 1314. [Google Scholar] [CrossRef] [PubMed]
- Fishman, J.A. Opportunistic infections—Coming to the limits of immunosuppression? Cold Spring Harb. Perspect. Med. 2013, 3, a015669. [Google Scholar] [CrossRef]
- Allen, V.; Longley, N. Infections in immunosuppressed travelers with autoimmune inflammatory diseases—A narrative review and advice for clinical practice. Rheumatology 2021, 60, 3969–3976. [Google Scholar] [CrossRef] [PubMed]
- Clare, G.; Kempen, J.H.; Pavésio, C. Infectious eye disease in the 21st century—An overview. Eye 2024, 38, 2014–2027. [Google Scholar] [CrossRef]
- Rossi, F.; Santonicola, S.; Amadoro, C.; Marino, L.; Colavita, G. Recent Records on Bacterial Opportunistic Infections via the Dietary Route. Microorganisms 2023, 12, 69. [Google Scholar] [CrossRef] [PubMed]
- Jacheć, W.; Polewczyk, A.; Nowosielecka, D.; Kutarski, A. Clinical profile and outcomes among patients with cardiac implantable electronic device presenting as isolated pocket infection, pocket-related infective endocarditis, or lead-related infective endocarditis. Europace 2025, 27, euaf053. [Google Scholar] [CrossRef] [PubMed]
- Blomström-Lundqvist, C.; Traykov, V.; Erba, P.A.; Burri, H.; Nielsen, J.C.; Bongiorni, M.G.; Poole, J.; Boriani, G.; Costa, R.; Deharo, J.C.; et al. European Heart Rhythm Association (EHRA) international consensus document on how to prevent, diagnose, and treat cardiac implantable electronic device infections-endorsed by the Heart Rhythm Society (HRS), the Asia Pacific Heart Rhythm Society (APHRS), the Latin American Heart Rhythm Society (LAHRS), International Society for Cardiovascular Infectious Diseases (ISCVID) and the European Society of Clinical Microbiology and Infectious Diseases (ESCMID) in collaboration with the European Association for Cardio-Thoracic Surgery (EACTS). Europace 2020, 22, 515–549. [Google Scholar] [CrossRef]
- Hussein, A.A.; Baghdy, Y.; Wazni, O.M.; Brunner, M.P.; Kabbach, G.; Shao, M.; Gordon, S.; Saliba, W.I.; Wilkoff, B.L.; Tarakji, K.G. Microbiology of Cardiac Implantable Electronic Device Infections. JACC Clin. Electrophysiol. 2016, 2, 498–505. [Google Scholar] [CrossRef]
- Łoboda, D.; Swolana, D.; Joniec, M.; Gładysz-Wańha, S.; Gibiński, M.; Simionescu, K.; Piłat, E.; Gołba, K.S.; Wojtyczka, R.D.; Wilczyński, S.; et al. ORItavancin as a therapeutic regimen for Cardiac Implantable Electronic Devices infections with multidrug-resistant Gram-positive cocci (ORI-4-CIEDi) pilot study: Rationale and design. Cardiol. J. 2025; Online ahead of print. [Google Scholar] [CrossRef]
- Esposito, S.; Blasi, F.; Curtis, N.; Kaplan, S.; Lazzarotto, T.; Meschiari, M.; Mussini, C.; Peghin, M.; Rodrigo, C.; Vena, A.; et al. New Antibiotics for Staphylococcus aureus Infection: An Update from the World Association of Infectious Diseases and Immunological Disorders (WAidid) and the Italian Society of Anti-Infective Therapy (SITA). Antibiotics 2023, 12, 742. [Google Scholar] [CrossRef]
- Ehling-Schulz, M.; Lereclus, D.; Koehler, T.M. The Bacillus cereus Group: Bacillus Species with Pathogenic Potential. Microbiol. Spectr. 2019, 7. [Google Scholar] [CrossRef]
- Carroll, L.M.; Cheng, R.A.; Wiedmann, M.; Kovac, J. Keeping up with the Bacillus cereus group: Taxonomy through the genomics era and beyond. Crit. Rev. Food Sci. Nutr. 2022, 62, 7677–7702. [Google Scholar] [CrossRef] [PubMed]
- Hirao, Y.; Morioka, H.; Agata, T.; Iimura, M.; Taki, S.; Yagi, T. Prolonged Bacillus cereus bacteremia: Case report and literature review. J. Infect. Chemother. 2025, 31, 102736. [Google Scholar] [CrossRef] [PubMed]
- Kotiranta, A.; Lounatmaa, K.; Haapasalo, M. Epidemiology and pathogenesis of Bacillus cereus infections. Microbes Infect. 2000, 2, 189–198. [Google Scholar] [CrossRef]
- Messelhäußer, U.; Ehling-Schulz, M. Bacillus cereus—A Multifaceted Opportunistic Pathogen. Curr. Clin. Microbiol. Rep. 2018, 5, 120–125. [Google Scholar] [CrossRef]
- Jaquette, C.B.; Beuchat, L.R. Survival and growth of psychrotrophic Bacillus cereus in dry and reconstituted infant rice cereal. J. Food Prot. 1998, 61, 1629–1635. [Google Scholar] [CrossRef]
- European Food Safety Authority and European Centre for Disease Prevention and Control (EFSA and ECDC). The European Union One Health 2018 Zoonoses Report. EFSA J. 2019, 17, 5926. [Google Scholar] [CrossRef]
- Glasset, B.; Herbin, S.; Granier, S.A.; Cavalié, L.; Lafeuille, E.; Guérin, C.; Ruimy, R.; Casagrande-Magne, F.; Levast, M.; Chautemps, N.; et al. Bacillus cereus, a serious cause of nosocomial infections: Epidemiologic and genetic survey. PLoS ONE 2018, 13, e0194346. [Google Scholar] [CrossRef]
- Sasano, H.; Yoshizawa, T.; Suzuki, M.; Fukui, Y.; Arakawa, R.; Tamura, N.; Naito, T. A Case of Persistent Bacillus cereus Bacteremia Responding to a Combination of Vancomycin and Gentamicin. Case Rep. Infect. Dis. 2022, 2022, 8725102. [Google Scholar] [CrossRef]
- Avashia, S.B.; Riggins, W.S.; Lindley, C.; Hoffmaster, A.; Drumgoole, R.; Nekomoto, T.; Jackson, P.J.; Hill, K.K.; Williams, K.; Lehman, L.; et al. Fatal pneumonia among metalworkers due to inhalation exposure to Bacillus cereus Containing Bacillus anthracis toxin genes. Clin. Infect. Dis. 2007, 44, 414–416. [Google Scholar] [CrossRef] [PubMed]
- Ikeda, M.; Yagihara, Y.; Tatsuno, K.; Okazaki, M.; Okugawa, S.; Moriya, K. Clinical characteristics and antimicrobial susceptibility of Bacillus cereus blood stream infections. Ann. Clin. Microbiol. Antimicrob. 2015, 14, 43. [Google Scholar] [CrossRef]
- Schaefer, G.; Campbell, W.; Jenks, J.; Beesley, C.; Katsivas, T.; Hoffmaster, A.; Mehta, S.R.; Reed, S. Persistent Bacillus cereus Bacteremia in 3 Persons Who Inject Drugs, San Diego, California, USA. Emerg. Infect. Dis. 2016, 22, 1621–1623. [Google Scholar] [CrossRef] [PubMed]
- Gopinathan, A.; Kumar, A.; Sen, A.C.; Sudha, S.; Varma, P.; Gs, S.; Eapen, M.; Dinesh, K.R. A Case Series and Review of Bacillus cereus Endocarditis from India. Open Microbiol. J. 2018, 12, 28–33. [Google Scholar] [CrossRef] [PubMed]
- Veysseyre, F.; Fourcade, C.; Lavigne, J.P.; Sotto, A. Bacillus cereus infection: 57 case patients and a literature review. Med. Mal. Infect. 2015, 45, 436–440. [Google Scholar] [CrossRef]
- Mateos Gaitán, R.; Boix-Palop, L.; Muñoz García, P.; Mestres, C.A.; Marín Arriaza, M.; Pedraz Prieto, Á.; de Alarcón Gonzalez, A.; Gutiérrez Carretero, E.; Hernández Meneses, M.; Goenaga Sánchez, M.Á.; et al. Infective endocarditis in patients with cardiac implantable electronic devices: A nationwide study. Europace 2020, 22, 1062–1070. [Google Scholar] [CrossRef]
- Wang, R.; Li, X.; Wang, Q.; Zhang, Y.; Wang, H. Microbiological Characteristics and Clinical Features of Cardiac Implantable Electronic Device Infections at a Tertiary Hospital in China. Front. Microbiol. 2017, 8, 360. [Google Scholar] [CrossRef]
- Molitor, N.; Graup, V.; Hofer, D.; Rüegg, P.; Avdi, D.; Saguner, A.M.; Breitenstein, A.; Steffel, J. Effect of antibacterial coating on implantable cardiac device-related infection—A real-world analysis from a tertiary referral center. Cardiol. J. 2025, 32, 301–307. [Google Scholar] [CrossRef]
- Rohacek, M.; Erne, P.; Kobza, R.; Pfyffer, G.E.; Frei, R.; Weisser, M. Infection of cardiovascular implantable electronic devices: Detection with sonication, swab cultures, and blood cultures. Pacing Clin. Electrophysiol. 2015, 38, 247–253. [Google Scholar] [CrossRef]
- Barraud, O.; Hidri, N.; Ly, K.; Pichon, N.; Manea, P.; Ploy, M.C.; Garnier, F. Pacemaker-associated Bacillus cereus endocarditis. Diagn. Microbiol. Infect. Dis. 2012, 74, 313–315. [Google Scholar] [CrossRef]
- Abusin, S.; Bhimaraj, A.; Khadra, S. Bacillus cereus Endocarditis in a permanent pacemaker: A case report. Cases J. 2008, 1, 95. [Google Scholar] [CrossRef] [PubMed]
- Delgado, V.; Marsan, N.A.; de Waha, S.; Bonaros, N.; Brida, M.; Burri, H.; Caselli, S.; Doenst, T.; Ederhy, S.; Erba, P.A.; et al. 2023 ESC Guidelines for the management of endocarditis. Eur. Heart J. 2023, 44, 3948–4042. [Google Scholar] [CrossRef] [PubMed]
- Citron, D.M.; Appleman, M.D. In vitro activities of daptomycin, ciprofloxacin, and other antimicrobial agents against the cells and spores of clinical isolates of Bacillus species. J. Clin. Microbiol. 2006, 44, 3814–3818. [Google Scholar] [CrossRef]
- Bottone, E.J. Bacillus cereus, a volatile human pathogen. Clin. Microbiol. Rev. 2010, 23, 382–398. [Google Scholar] [CrossRef] [PubMed]
- Jensen, L.B.; Baloda, S.; Boye, M.; Aarestrup, F.M. Antimicrobial resistance among Pseudomonas spp. and the Bacillus cereus group isolated from Danish agricultural soil. Environ. Int. 2001, 26, 581–587. [Google Scholar] [CrossRef]
- Kiyomizu, K.; Yagi, T.; Yoshida, H.; Minami, R.; Tanimura, A.; Karasuno, T.; Hiraoka, A. Fulminant septicemia of Bacillus cereus resistant to carbapenem in a patient with biphenotypic acute leukemia. J. Infect. Chemother. 2008, 14, 361–367. [Google Scholar] [CrossRef]
- Katsuya, H.; Takata, T.; Ishikawa, T.; Sasaki, H.; Ishitsuka, K.; Takamatsu, Y.; Tamura, K. A patient with acute myeloid leukemia who developed fatal pneumonia caused by carbapenem-resistant Bacillus cereus. J. Infect. Chemother. 2009, 15, 39–41. [Google Scholar] [CrossRef]
- Torkar, K.G.; Bedenić, B. Antimicrobial susceptibility and characterization of metallo-β-lactamases, extended-spectrum β-lactamases, and carbapenemases of Bacillus cereus isolates. Microb. Pathog. 2018, 118, 140–145. [Google Scholar] [CrossRef]
- Meini, M.R.; Llarrull, L.I.; Vila, A.J. Overcoming differences: The catalytic mechanism of metallo-β-lactamases. FEBS Lett. 2015, 589, 3419–3432. [Google Scholar] [CrossRef]
- Belley, A.; McKay, G.A.; Arhin, F.F.; Sarmiento, I.; Beaulieu, S.; Fadhil, I.; Parr, T.R., Jr.; Moeck, G. Oritavancin disrupts membrane integrity of Staphylococcus aureus and vancomycin-resistant enterococci to effect rapid bacterial killing. Antimicrob. Agents Chemother. 2010, 54, 5369–5371. [Google Scholar] [CrossRef]
- Rubino, C.M.; Van Wart, S.A.; Bhavnani, S.M.; Ambrose, P.G.; McCollam, J.S.; Forrest, A. Oritavancin population pharmacokinetics in healthy subjects and patients with complicated skin and skin structure infections or bacteremia. Antimicrob. Agents Chemother. 2009, 53, 4422–4428. [Google Scholar] [CrossRef] [PubMed]







| Antibiotic | Interpretation |
|---|---|
| imipenem | S |
| meropenem | S |
| erytromycin | S |
| clindamycin | S |
| ciprofloxacin | I |
| levofloxacin | I |
| vancomycin | S |
| linezolide | S |
| Day of the Treatment | |||||||||||||||
| 27 August 2025 | 28–30 August 2025 | 31 August 2025 | 1 September 2025 | 2 September 2025 | 3 September 2025 | 4 September 2025 | 5–9 September 2025 | 10 September 2025 | 11–14 September 2025 | 15–16 September 2025 | 17 September 2025 | 18–20 September 2025 | 21 September 2025 | 22–25 September 2025 | |
| Antibiotics | |||||||||||||||
| Oritavancin (Tenkasi) * | 1200 mg | 800 mg | 800 mg | 800 mg | |||||||||||
| Gentamicin ** | 320 mg | 280 mg | 280 mg | 280 mg | 280 mg | ||||||||||
| Vancomycin *** | 250 mg | 250 mg | 250 mg | 250 mg | |||||||||||
| Culture | |||||||||||||||
| Blood culture | (—) | (—) | (—) | (—) | |||||||||||
| Culture of the pacemaker bed | (+) | ||||||||||||||
Disclaimer/Publisher’s Note: The statements, opinions and data contained in all publications are solely those of the individual author(s) and contributor(s) and not of MDPI and/or the editor(s). MDPI and/or the editor(s) disclaim responsibility for any injury to people or property resulting from any ideas, methods, instructions or products referred to in the content. |
© 2026 by the authors. Licensee MDPI, Basel, Switzerland. This article is an open access article distributed under the terms and conditions of the Creative Commons Attribution (CC BY) license.
Share and Cite
Swolana, D.; Łoboda, D.; Sarecka-Hujar, B.; Sznajder, R.; Szajerska-Kurasiewicz, A.; Zębik, T.; Gołba, K.S.; Wojtyczka, R.D. Cardiac Implantable Electronic Device-Related Infective Endocarditis Caused by Bacillus cereus: A Case Report. J. Clin. Med. 2026, 15, 344. https://doi.org/10.3390/jcm15010344
Swolana D, Łoboda D, Sarecka-Hujar B, Sznajder R, Szajerska-Kurasiewicz A, Zębik T, Gołba KS, Wojtyczka RD. Cardiac Implantable Electronic Device-Related Infective Endocarditis Caused by Bacillus cereus: A Case Report. Journal of Clinical Medicine. 2026; 15(1):344. https://doi.org/10.3390/jcm15010344
Chicago/Turabian StyleSwolana, Denis, Danuta Łoboda, Beata Sarecka-Hujar, Rafał Sznajder, Anna Szajerska-Kurasiewicz, Tadeusz Zębik, Krzysztof S. Gołba, and Robert D. Wojtyczka. 2026. "Cardiac Implantable Electronic Device-Related Infective Endocarditis Caused by Bacillus cereus: A Case Report" Journal of Clinical Medicine 15, no. 1: 344. https://doi.org/10.3390/jcm15010344
APA StyleSwolana, D., Łoboda, D., Sarecka-Hujar, B., Sznajder, R., Szajerska-Kurasiewicz, A., Zębik, T., Gołba, K. S., & Wojtyczka, R. D. (2026). Cardiac Implantable Electronic Device-Related Infective Endocarditis Caused by Bacillus cereus: A Case Report. Journal of Clinical Medicine, 15(1), 344. https://doi.org/10.3390/jcm15010344

