You are currently viewing a new version of our website. To view the old version click .
Journal of Clinical Medicine
  • This is an early access version, the complete PDF, HTML, and XML versions will be available soon.
  • Systematic Review
  • Open Access

24 December 2025

Bridging Imaging and Pathohistology in Pancreatic Hamartoma: A Systematic Review of the Literature with an Integrated Case Report

,
,
,
,
,
,
,
,
and
1
Department for HBP Surgery, Clinic for Digestive Surgery, University Clinical Centre of Serbia, 11000 Belgrade, Serbia
2
Institute for Medical Statistics and Informatics, Faculty of Medicine University of Belgrade, 11000 Belgrade, Serbia
3
Department of Radiology, Clinical Center of Serbia, 11000 Belgrade, Serbia
4
Institute of Histology and Embryology “Aleksandar Đ. Kostić”, Faculty of Medicine, University of Belgrade, 11000 Belgrade, Serbia
This article belongs to the Special Issue Advances in Diagnosis and Management of Pancreatobiliary Disorders—2nd Edition

Abstract

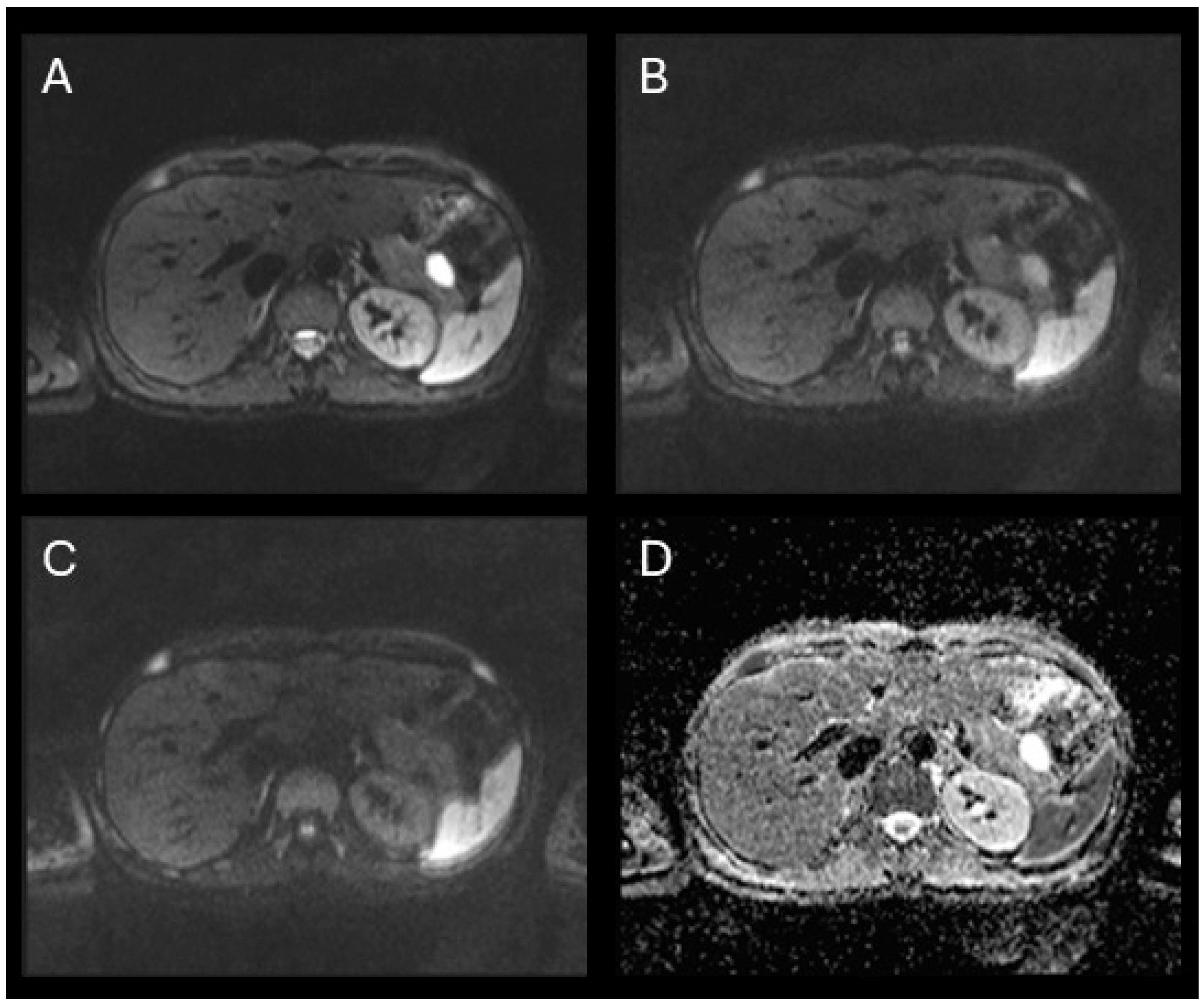
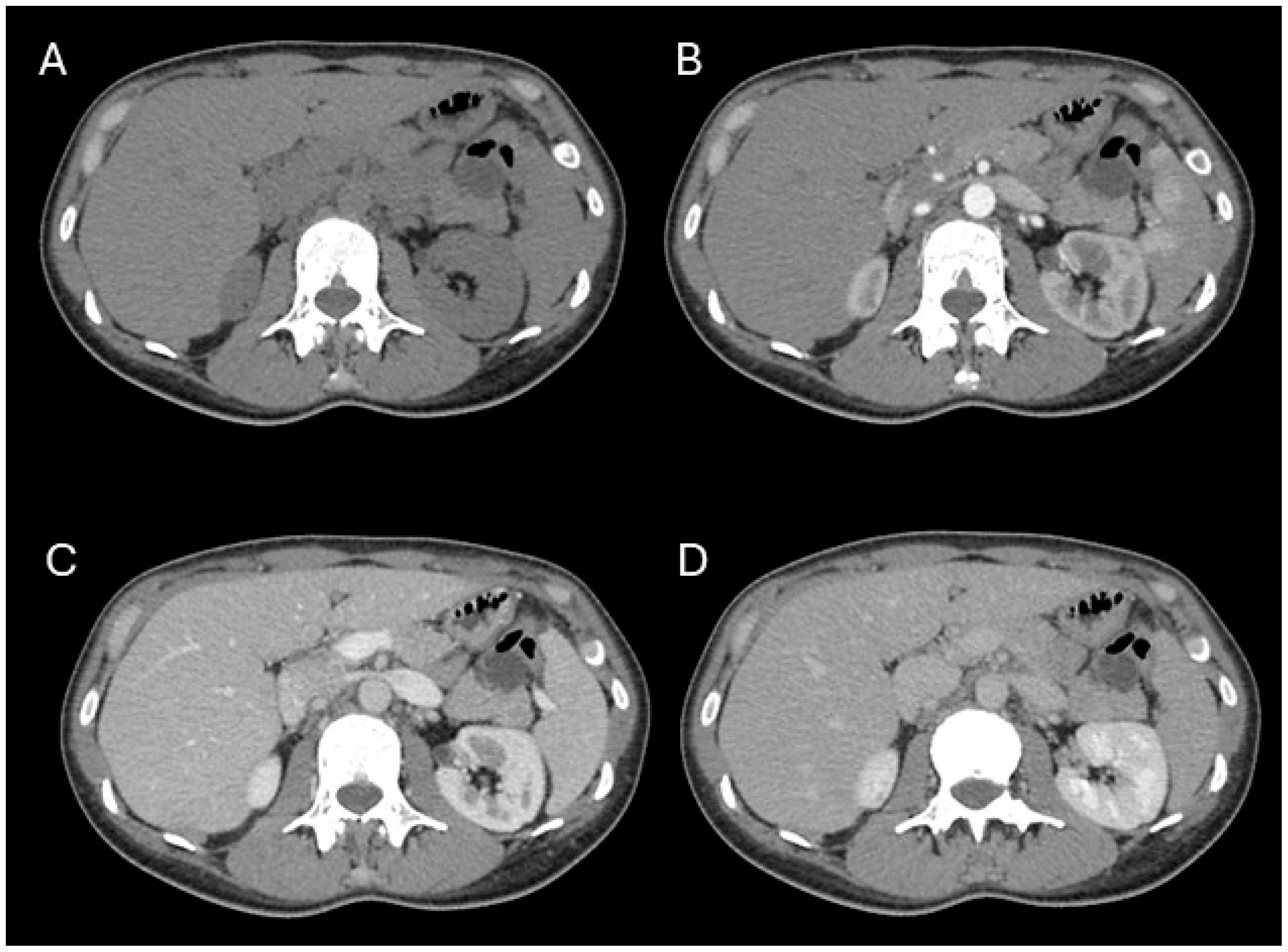
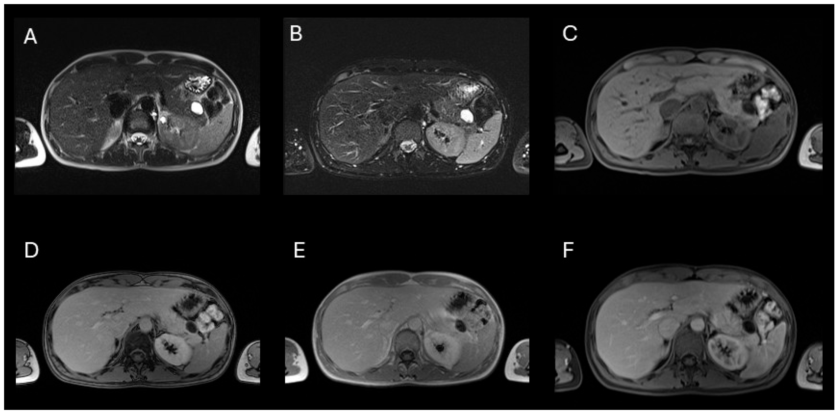
 Background: Pancreatic hamartoma (PH) is an exceptionally rare, benign, mass-forming lesion accounting for less than 1% of all pancreatic tumors. Its rarity and non-neoplastic nature contribute to significant diagnostic challenges, often leading to misclassification as malignant disease. This study presents a case of PH and a systematic review of all reported cases, with emphasis on histopathological and imaging characteristics. Methods: A comprehensive electronic search of PubMed, Scopus, and Web of Science was conducted up to 1 April 2025, to identify eligible case reports and series. Results: We describe a 37-year-old woman with a cystic lesion of the pancreatic tail, ultimately confirmed histologically as a cystic pancreatic hamartoma following distal pancreatectomy with splenectomy, with an uneventful postoperative course. Of 687 screened studies, 51 met the inclusion criteria, comprising 77 cases (68 adults, 9 pediatric). PHs occurred most frequently in males (52.9%), with a mean age of 59.5 ± 12.9 years, and were often asymptomatic (57.4%). The pancreatic head was the most common site (52.9%). On MRI, PHs typically exhibited low T1-weighted and high T2-weighted signal intensity, with no FDG uptake (82%) and moderate or no restriction on DWI, distinguishing them from neuroendocrine tumors (NETs). Histologically, most lesions were solid (64.7%) or solid–cystic (35.3%), with low spindle cell cellularity and absent Langerhans islets. Conclusions: Low T1WI signal and moderate DWI signal are the key features distinguishing PHs from NETs. Incorporating these findings with EUS-FNA and immunohistochemistry can support a provisional diagnosis and help avoid unnecessary radical surgery. 

Article Metrics

Citations

Article Access Statistics

Multiple requests from the same IP address are counted as one view.