Prevalence and Underreporting of Crowned Dens Syndrome-Associated Calcifications on Cervical Spine CT in Patients with Neck Pain
Abstract
1. Introduction
2. Materials and Methods
2.1. Study Population
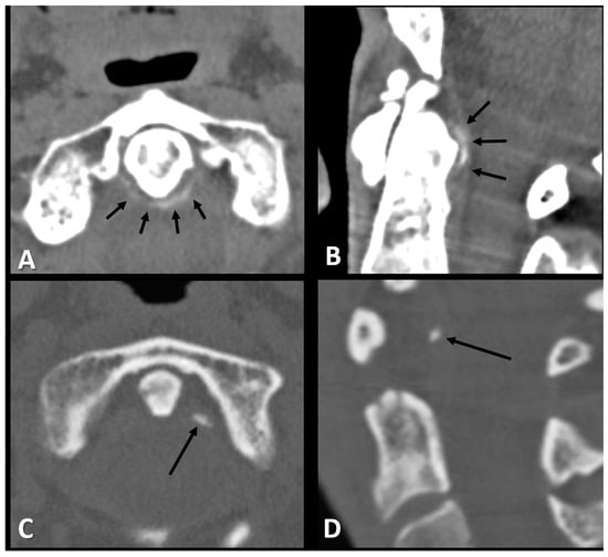
CT Examination and Evaluation
2.2. Data Analysis
3. Results
4. Discussion
5. Conclusions
Author Contributions
Funding
Institutional Review Board Statement
Informed Consent Statement
Data Availability Statement
Conflicts of Interest
References
- Abhishek, A. Calcium pyrophosphate deposition disease: A review of epidemiologic findings. Curr. Opin. Rheumatol. 2016, 28, 133–139. [Google Scholar] [CrossRef]
- Williams, C.J.; Rosenthal, A.K. Pathogenesis of calcium pyrophosphate deposition disease. Best Pract. Res. Clin. Rheumatol. 2021, 35, 101718. [Google Scholar] [CrossRef]
- Campillo-Gimenez, L.; Renaudin, F.; Jalabert, M.; Gras, P.; Gosset, M.; Rey, C.; Sarda, S.; Collet, C.; Cohen-Solal, M.; Combes, C.; et al. Inflammatory potential of four different phases of calcium pyrophosphate relies on NF-κB activation and MAPK pathways. Front. Immunol. 2018, 9, 2248. [Google Scholar] [CrossRef]
- Pascart, T.; Filippou, G.; Lioté, F.; Sirotti, S.; Jauffret, C.; Abhishek, A. Calcium pyrophosphate deposition disease. Lancet Rheumatol. 2024, 6, e791–e804. [Google Scholar] [CrossRef]
- Dieppe, P.A.; Alexander, G.J.; Jones, H.E.; Doherty, M.; Scott, D.G.; Manhire, A.; Watt, I. Pyrophosphate arthropathy: A clinical and radiological study of 105 cases. Ann. Rheum. Dis. 1982, 41, 371–376. [Google Scholar] [CrossRef]
- Nasib, S.M.A.; Alkhudaidy, R.M.M. Overview on Prevalence, Etiology, and Management of Calcium Pyrophosphate Deposition (CPPD) Disease: Review article. Egypt. J. Hosp. Med. 2023, 91, 5036–5044. [Google Scholar] [CrossRef]
- Cowley, S.; McCarthy, G. Diagnosis and Treatment of Calcium Pyrophosphate Deposition (CPPD) Disease: A Review. Open Access Rheumatol. Res. Rev. 2023, 15, 33–41. [Google Scholar] [CrossRef] [PubMed]
- Abhishek, A.; Tedeschi, S.K.; Pascart, T.; Latourte, A.; Dalbeth, N.; Neogi, T.; Fuller, A.; Rosenthal, A.; Becce, F.; Bardin, T.; et al. The 2023 ACR/EULAR Classification Criteria for Calcium Pyrophosphate Deposition Disease. Arthritis Rheumatol. 2023, 75, 1703–1713. [Google Scholar] [CrossRef] [PubMed]
- Sekijima, Y.; Yoshida, T.; Ikeda, S.I. CPPD crystal deposition disease of the cervical spine: A common cause of acute neck pain encountered in the neurology department. J. Neurol. Sci. 2010, 296, 79–82. [Google Scholar] [CrossRef] [PubMed]
- Godfrin-Valnet, M.; Godfrin, G.; Godard, J.; Prati, C.; Toussirot, E.; Michel, F.; Wendling, D. Eighteen cases of crowned dens syndrome: Presentation and diagnosis. Neurochirurgie 2013, 59, 115–120. [Google Scholar] [CrossRef]
- Hamdan, O.; Alajlouni, Y.; Mussa, Q.; Alsawalmeh, A.; Sabbah, Q.; Al-Zou’bi, M.; Abuhamdan, A.; Alnaimat, F. Clinical features and diagnostic challenges in crowned dens syndrome: A systematic review and meta-analysis. Rheumatol. Int. 2025, 45, 124. [Google Scholar] [CrossRef]
- Roverano, S.; Ortiz, A.C.; Ceccato, F.; Paira, S.O. Calcification of the transverse ligament of the atlas in chondrocalcinosis. J. Clin. Rheumatol. 2010, 16, 7–9. [Google Scholar] [CrossRef]
- Aouba, A.; Vuillemin-Bodaghi, V.; Mutschler, C.; De Bandt, M. Crowned dens syndrome misdiagnosed as polymyalgia rheumtica, giant cell arteritis, meningitis or spondylitis: An analysis of eight cases. Rheumatology 2004, 43, 1508–1512. [Google Scholar] [CrossRef] [PubMed]
- Oka, A.; Okazaki, K.; Takeno, A.; Kumanomido, S.; Kusunoki, R.; Sato, S.; Ishihara, S.; Kinoshita, Y.; Nishina, M. Crowned dens syndrome: Report of three cases and a review of the literature. J. Emerg. Med. 2015, 49, e9–e13. [Google Scholar] [CrossRef] [PubMed]
- Altomare, A.; Corrado, A.; Maruotti, N.; Cici, D.; Cantatore, F.P. The role of Interleukin-1 receptor antagonist as a treatment option in calcium pyrophosphate crystal deposition disease. Mol. Biol. Rep. 2021, 48, 4789–4796. [Google Scholar] [CrossRef]
- Voulgari, P.V.; Venetsanopoulou, A.I.; Drosos, A.A. Recent advances in the therapeutic management of calcium pyrophosphate deposition disease. Front. Med. 2024, 11, 1327715. [Google Scholar] [CrossRef]
- Isono, H.; Kuno, H.; Hozumi, T.; Emoto, K.; Nishiguchi, S.; Sakai, M.; Ito, M.; Kitamura, K.; Hirose, K.; Hiraoka, E.; et al. Crowned dens syndrome: A case series of 72 patients at eight teaching hospitals in Japan. J. Gen. Fam. Med. 2023, 24, 171–177. [Google Scholar] [CrossRef]
- Qin, X.; Hu, X.; Wang, Q.; Zeng, J.; Chen, J. A rare acute neck pain cause that can have misdiagnosis or missed diagnosis-crowned dens syndrome: Description of two cases and a literature analysis. Quant. Imaging Med. Surg. 2021, 11, 4491–4496. [Google Scholar] [CrossRef]
- Hoy, D.G.; Protani, M.; De, R.; Buchbinder, R. The epidemiology of neck pain. Best Pract. Res. Clin. Rheumatol. 2010, 24, 783–792. [Google Scholar] [CrossRef] [PubMed]
- Sano, M.; Yamashita, S.; Aiba, T. The prevalence of calcification around odontoid process and the incidence of crowned dens syndrome in the neurosurgical ward: A single institution’s analysis. Mod. Rheumatol. 2018, 28, 182–187. [Google Scholar] [CrossRef]
- Kobayashi, T.; Miyakoshi, N.; Konno, N.; Ishikawa, Y.; Noguchi, H.; Shimada, Y. Age-related prevalence of periodontoid calcification and its associations with acute cervical pain. Asian Spine J. 2018, 12, 1117. [Google Scholar] [CrossRef]
- Lu, P.L.; Niu, Z.F.; Qiu, C.W.; Hu, X.Y. Odontoid calcification and crowned dens syndrome: Data from a Chinese center. Neurol. Res. 2020, 42, 930–935. [Google Scholar] [CrossRef] [PubMed]
- Filippou, G.; Filippucci, E.; Mandl, P.; Abhishek, A. A critical review of the available evidence on the diagnosis and clinical features of CPPD: Do we really need imaging? Clin. Rheumatol. 2021, 40, 2581–2592. [Google Scholar] [CrossRef] [PubMed]
- Pascart, T.; Latourte, A.; Tedeschi, S.K.; Dalbeth, N.; Neogi, T.; Adinolfi, A.; Arad, U.; Andres, M.; Becce, F.; Bardi, T.; et al. Features Associated With Different Inflammatory Phenotypes of Calcium Pyrophosphate Deposition Disease: Study Using Data From the International American College of Rheumatology/EULAR Calcium Pyrophosphate Deposition Classification Criteria Cohort. Arthritis Rheumatol. 2024, 76, 1780–1788. [Google Scholar] [CrossRef] [PubMed]



Disclaimer/Publisher’s Note: The statements, opinions and data contained in all publications are solely those of the individual author(s) and contributor(s) and not of MDPI and/or the editor(s). MDPI and/or the editor(s) disclaim responsibility for any injury to people or property resulting from any ideas, methods, instructions or products referred to in the content. |
© 2025 by the authors. Licensee MDPI, Basel, Switzerland. This article is an open access article distributed under the terms and conditions of the Creative Commons Attribution (CC BY) license (https://creativecommons.org/licenses/by/4.0/).
Share and Cite
Dor, S.; Eshed, I.; Lidar, M. Prevalence and Underreporting of Crowned Dens Syndrome-Associated Calcifications on Cervical Spine CT in Patients with Neck Pain. J. Clin. Med. 2025, 14, 8954. https://doi.org/10.3390/jcm14248954
Dor S, Eshed I, Lidar M. Prevalence and Underreporting of Crowned Dens Syndrome-Associated Calcifications on Cervical Spine CT in Patients with Neck Pain. Journal of Clinical Medicine. 2025; 14(24):8954. https://doi.org/10.3390/jcm14248954
Chicago/Turabian StyleDor, Shira, Iris Eshed, and Merav Lidar. 2025. "Prevalence and Underreporting of Crowned Dens Syndrome-Associated Calcifications on Cervical Spine CT in Patients with Neck Pain" Journal of Clinical Medicine 14, no. 24: 8954. https://doi.org/10.3390/jcm14248954
APA StyleDor, S., Eshed, I., & Lidar, M. (2025). Prevalence and Underreporting of Crowned Dens Syndrome-Associated Calcifications on Cervical Spine CT in Patients with Neck Pain. Journal of Clinical Medicine, 14(24), 8954. https://doi.org/10.3390/jcm14248954

