Wilson’s Disease with Autoimmune Hepatitis Manifestation in a Pediatric Patient: A Case Report and Literature Review
Abstract
1. Introduction
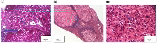
2. Case Presentation
3. Discussions
4. Conclusions
Author Contributions
Funding
Institutional Review Board Statement
Informed Consent Statement
Data Availability Statement
Conflicts of Interest
Abbreviations
| ALT | alanine transaminase |
| AST | aspartate aminotransferase |
| Ca | Calcium |
| Cr | Creatinine |
| ESR | erythrocyte sedimentation rate |
| Hb | Hemoglobin |
| INR | international normalized ration |
| K | potassium |
| MCV | mean cell volume |
| Na | Sodium |
| Pt | prothrombin time |
| PTT | partial thromboplastin time |
| RBC | red blood cell |
| WBC | white blood cel |
| ANA | anti-nuclear antibody |
| AMA | anti-mitochondrial antibody |
| ASMA | anti-smooth muscle antibody |
| Anti-LKM1 | anti-liver kidney microsome type 1 antibody |
| HAV Ab | hepatitis A virus antibody |
| HBs Ag | hepatitis B surface antigen |
| HCV-Ab | hepatitis C virus antibody |
| Ig G | immunoglobulin G |
References
- European Association for Study of Liver. EASL Clinical Practice Guidelines: Wilson’s disease. J. Hepatol. 2012, 56, 671–685. [Google Scholar] [CrossRef]
- Ferenci, P. Diagnosis of Wilson disease. Handb. Clin. Neurol. 2017, 142, 171–180. [Google Scholar]
- Vergani, D.; Mieli-Vergani, G. Cutting edge issues in autoimmune hepatitis. Clin. Rev. Allergy Immunol. 2012, 42, 309–321. [Google Scholar] [CrossRef]
- Della Corte, C.; Sartorelli, M.R.; Sindoni, C.D. Autoimmune hepatitis in children: An overview of the disease focusing on current therapies. Eur. J. Gastroenterol. Hepatol. 2012, 24, 739–746. [Google Scholar] [CrossRef]
- Yener, S.; Akarsu, M.; Karacanci, C.; Sengul, B.; Topalak, O.; Biberoglu, K.; Akpinar, H. Wilson’s disease with coexisting autoimmune hepatitis. J. Gastroenterol. Hepatol. 2004, 19, 114–116. [Google Scholar] [CrossRef]
- Milkiewicz, P.; Saksena, S.; Hubscher, S.G.; Elias, E. Wilson’s disease with superimposed autoimmune features: Report of two cases and review. J. Gastroenterol. Hepatol. 2000, 15, 570–574. [Google Scholar] [CrossRef]
- Roberts, E.A.; Schilsky, M.L.; American Association for Study of Liver Diseases. Diagnosis and treatment of Wilson disease: An update. Hepatology 2008, 47, 2089–2111. [Google Scholar] [CrossRef] [PubMed]
- Mack, C.L.; Adams, D.; Assis, D.N.; Kerkar, N.; Manns, M.P.; Mayo, M.J.; Vierling, J.M.; Alsawas, M.; Murad, M.H.; Czaja, A.J. Diagnosis and management of autoimmune hepatitis in adults and children: 2019 practice guidance and guidelines from the American association for the study of liver diseases. Hepatology 2020, 72, 671–722. [Google Scholar] [CrossRef] [PubMed]
- Beretta-Piccoli, B.T.; Mieli-Vergani, G.; Vergani, D. Autoimmune hepatitis: Serum autoantibodies in clinical practice. Clin. Rev. Allergy Immunol. 2022, 63, 124–137. [Google Scholar] [CrossRef] [PubMed]
- Nicastro, E.; Ranucci, G.; Vajro, P.; Vegnente, A.; Iorio, R. Re-evaluation of the diagnostic criteria for Wilson disease in children with mild liver disease. Hepatology 2010, 52, 1948–1956. [Google Scholar] [CrossRef]
- Kasztelan-Szczerbinska, B.; Cichoz-Lach, H. Wilson’s Disease: An Update on the Diagnostic Workup and Management. J. Clin. Med. 2021, 10, 5097. [Google Scholar] [CrossRef]
- Schilsky, M.L.; Roberts, E.A.; Bronstein, J.M.; Dhawan, A.; Hamilton, J.P.; Rivard, A.M.; Washington, M.K.; Weiss, K.H.; Zimbrean, P.C. A multidisciplinary approach to the diagnosis and management of Wilson disease: Executive summary of the 2022 Practice Guidance on Wilson disease from the American Association for the Study of Liver Disease. Hepatology 2023, 77, 1428–1455. [Google Scholar] [CrossRef] [PubMed]
- Medici, V.; LaSalle, J.M. Genetics and epigenetic factors of Wilson disease. Ann. Transl. Med. 2019, 7, S58. [Google Scholar] [CrossRef]
- Ferenci, P.; Stremmel, W.; Członkowska, A.; Szalay, F.; Viveiros, A.; Stättermayer, A.F.; Bruha, R.; Houwen, R.; Pop, T.L.; Stauber, R.; et al. Age and sex but not ATP7B genotype effectively influence the clinical phenotype of Wilson diseas. Hepatology 2019, 69, 1464–1476. [Google Scholar] [CrossRef]
- Zulkufli, N.S.; Sthaneshwar, P.; Chan, W.K. Calculated parameters for the diagnosis of Wilson disease. Singap. Med. J. 2023, 64, 188–195. [Google Scholar] [CrossRef]
- Muratori, L.; Lohse, A.W.; Lenzi, M. Diagnosis and management of autoimmune hepatitis. Br. Med. J. 2023, 380, e070201. [Google Scholar] [CrossRef]
- Tanaka, A. Autoimmune hepatitis: 2019 update. Gut Liver 2020, 14, 430–438. [Google Scholar] [CrossRef]
- Ferri, P.M.; Ferreira, A.R.; Miranda, D.M.; Simoes, E.S.A.C. Diagnostic criteria for autoimmune hepatitis in children: A challenge for pediatric hepatologists. World J. Gastroenterol. WJG 2012, 19, 4470. [Google Scholar] [CrossRef]
- Janczyk, W.; Bierla, J.B.; Trojanowska, I.; Wierzbicka-Rucinska, A.; Cukrowska, B.; Socha, P. Prevalence and significance of autoantibody seropositivity in children with Wilson’s disease. Diagnostics 2023, 13, 768. [Google Scholar] [CrossRef] [PubMed]
- Czaja, A.J. Autoantibody—Negative autoimmune hepatitis. Dig. Dis. Sci. 2012, 57, 610–624. [Google Scholar] [CrossRef] [PubMed]
- Komori, A. Recent updates on the management of autoimmune hepatitis. Clin. Mol. Hepatol. 2021, 27, 58–69. [Google Scholar] [CrossRef] [PubMed]
- Kohut, T.; Shah, A.; Russo, P.; Panganiban, J. Autoimmune antibodies in children and adolescents with nonalcoholic fatty liver disease. J. Pediatr. Gastroenterol. Nutr. 2022, 75, 264–268. [Google Scholar] [CrossRef]
- Naorniakowska, M.; Woźniak, M.; Pronicki, M.; Grajkowska, W.; Kamińska, D.; Jańczyk, W.; Dądalski, M.M.; Cukrowska, B.; Socha, P. Autoimmune hepatitis, Wilson’s disease, or both? An analysis of challenging cases. Pol. J. Paediatr. 2020, 95, 18–24. [Google Scholar] [CrossRef]
- Shribman, S.; Marjot, T.; Sharif, A.; Vimalesvaran, S.; Ala, A.; Alexander, G.; Dhawan, A.; Dooley, J.; Gillett, G.T.; Kelly, D.; et al. Investigation and management of Wilson’s disease: A practical guide from the British Association for the Study of the Liver. Lancet Gastroenterol. Hepatol. 2022, 7, 560–575. [Google Scholar] [CrossRef]
- Mazumder, W.; Karim, A.B.; Begum, N.; Nurullah; Karmoker, L.F. Wilson’s Disease with Superimposed Autoimmune Features: A Case Report. Ibrahim Card. Med. J. 2015, 5, 72–74. [Google Scholar] [CrossRef]
- Bekyarova, A.I.; Kobakova, I.; Spasova, S. A Rare Case of Untreated Wilson’s Disease in a Teen with Lethal Exit: Morphological Findings from an Autopsy Study. Cureus 2024, 16, e68838. [Google Scholar] [CrossRef] [PubMed]

| Marker | Normal Value | Value | Marker | Normal Value | Value | Marker | Normal Value | Value |
|---|---|---|---|---|---|---|---|---|
| WBC | 4–9 × 103 /μL | 5.6 | AST | 17–40 U/L | 454 | Urea | 20–40 mg/dL | 24 |
| RBC | 4.1–5.1 × 106 /μL | 3.2 | ALT | 18–51 U/L | 511 | Cr | 0.3–0.6 mg/dL | 0.5 |
| Hb | 11.5–15 g/dL | 9.4 | Uric acid | 2–5.4 mg/dL | 2.1 | Na | 135–145 meq/L | 136 |
| Platelet | 150–400 × 103/μL | 189 | Bilirubin (total, direct) | 0.1–0.7 mg/dL 0.1–0.2 mg/dL | 2.7 2.1 | K | 4.1–4.9 meq/L | 4.2 |
| Reticulocytes | 2–6% | 2.7% | Alkaline phosphatase | 32–300 U/L | 378 | Ca | 8.8–10.4 mg/dL | 8.9 |
| MCV | 80–100 fL | 92.7 | Glucose | 60–90 mg/dL | 72 | Phosphate | 4.5–7 mg/dL | 4.3 |
| Coombs direct | negative | negative | PT, INR | 11–14 s 0.8–1.2 | 19.2 1.7 | Total protein | 6–8.3 g/dL | 8.2 |
| ESR | ˂12 mm/h | 34 | PTT | 25–32 s | 42 s | Albumin | 3.5–5.2 g/dL | 3.2 |
| Marker | Normal Value | Value | Marker | Normal Value | Value |
|---|---|---|---|---|---|
| Immunoglobulin G | 600–1300 mg/dL | 1273 | Ceruloplasmin | 20.5–43 mg/dL | 11 |
| AMA | ˂1/20 | 1/20 | Serum copper | 67–128 μg/dL | 141 |
| ANA | ˂1/80 | 1/10 | ASMA | ˂1/32 | ˂1/32 |
| HBs Ag | ˂0.9 | 0.2 | Anti-LKM1 | ˂1/40 | 1/20 |
| HAV Ab (IgM) | ˂1 U/L | 0.3 | Alpha 1 antitrypsin | 0.9–2 g/L | 1.3 |
| HCV-Ab Ig M | ˂1 UI/L | 0.09 | 24 h urine copper (1 day after challenge with 2 × 0.5 g D-penicillamine | ˂60 μg/24 h | 980 |
| Total cholesterol | 50–170 mg/dL | 98 | Triglycerides | 44–150 mg/dL | 103 |
Disclaimer/Publisher’s Note: The statements, opinions and data contained in all publications are solely those of the individual author(s) and contributor(s) and not of MDPI and/or the editor(s). MDPI and/or the editor(s) disclaim responsibility for any injury to people or property resulting from any ideas, methods, instructions or products referred to in the content. |
© 2025 by the authors. Licensee MDPI, Basel, Switzerland. This article is an open access article distributed under the terms and conditions of the Creative Commons Attribution (CC BY) license (https://creativecommons.org/licenses/by/4.0/).
Share and Cite
Gimiga, N.; Păduraru, G.; Bozomitu, L.-I.; Ghiga, G.; Pânzaru, M.C.; Butnariu, L.I.; Scurtu, A.M.; Cojocaru, E.; Lupu, V.V.; Trandafir, L.-M. Wilson’s Disease with Autoimmune Hepatitis Manifestation in a Pediatric Patient: A Case Report and Literature Review. J. Clin. Med. 2025, 14, 8798. https://doi.org/10.3390/jcm14248798
Gimiga N, Păduraru G, Bozomitu L-I, Ghiga G, Pânzaru MC, Butnariu LI, Scurtu AM, Cojocaru E, Lupu VV, Trandafir L-M. Wilson’s Disease with Autoimmune Hepatitis Manifestation in a Pediatric Patient: A Case Report and Literature Review. Journal of Clinical Medicine. 2025; 14(24):8798. https://doi.org/10.3390/jcm14248798
Chicago/Turabian StyleGimiga, Nicoleta, Gabriela Păduraru, Laura-Iulia Bozomitu, Gabriela Ghiga, Monica Cristina Pânzaru, Lăcrămioara Ionela Butnariu, Ana Maria Scurtu, Elena Cojocaru, Vasile Valeriu Lupu, and Laura-Mihaela Trandafir. 2025. "Wilson’s Disease with Autoimmune Hepatitis Manifestation in a Pediatric Patient: A Case Report and Literature Review" Journal of Clinical Medicine 14, no. 24: 8798. https://doi.org/10.3390/jcm14248798
APA StyleGimiga, N., Păduraru, G., Bozomitu, L.-I., Ghiga, G., Pânzaru, M. C., Butnariu, L. I., Scurtu, A. M., Cojocaru, E., Lupu, V. V., & Trandafir, L.-M. (2025). Wilson’s Disease with Autoimmune Hepatitis Manifestation in a Pediatric Patient: A Case Report and Literature Review. Journal of Clinical Medicine, 14(24), 8798. https://doi.org/10.3390/jcm14248798

