More Fixation, Better Outcome? Evaluating the Role of Additional Acromioclavicular Ligament Reconstruction in AC Joint Injuries: A Multicenter Analysis
Abstract
1. Introduction
2. Material and Methods
2.1. Patients and Study Design
2.2. Data Collection
2.3. Surgical Procedure
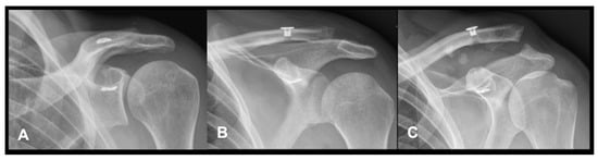
2.4. Radiographic Evaluation
2.5. Statistical Analysis
3. Results
3.1. Study Population
3.2. Patient-Reported Outcome Scores
3.3. Radiographic Evaluation
3.4. Intervention-Specific Outcomes
4. Discussion
5. Limitations
6. Conclusions
Author Contributions
Funding
Institutional Review Board Statement
Informed Consent Statement
Data Availability Statement
Acknowledgments
Conflicts of Interest
References
- Chillemi, C.; Franceschini, V.; Dei Giudici, L.; Alibardi, A.; Salate Santone, F.; Ramos Alday, L.J.; Osimani, M. Epidemiology of isolated acromioclavicular joint dislocation. Emerg. Med. Int. 2013, 2013, 171609. [Google Scholar] [CrossRef]
- Berthold, D.P.; Muench, L.N.; Dyrna, F.; Mazzocca, A.D.; Garvin, P.; Voss, A.; Scheiderer, B.; Siebenlist, S.; Imhoff, A.B.; Beitzel, K. Current concepts in acromioclavicular joint (AC) instability—A proposed treatment algorithm for acute and chronic AC-joint surgery. BMC Musculoskelet. Disord. 2022, 23, 1078. [Google Scholar] [CrossRef]
- Sirin, E.; Aydin, N.; Mert Topkar, O. Acromioclavicular joint injuries: Diagnosis, classification and ligamentoplasty procedures. EFORT Open Rev. 2018, 3, 426–433. [Google Scholar] [CrossRef]
- Beitzel, K.; Cote, M.P.; Apostolakos, J.; Solovyova, O.; Judson, C.H.; Ziegler, C.G.; Edgar, C.M.; Imhoff, A.B.; Arciero, R.A.; Mazzocca, A.D. Current concepts in the treatment of acromioclavicular joint dislocations. Arthrosc. J. Arthrosc. Relat. Surg. Off. Publ. Arthrosc. Assoc. N. Am. Int. Arthrosc. Assoc. 2013, 29, 387–397. [Google Scholar] [CrossRef]
- Fraipont, G.M.; Beyer, R.S.; McGarry, M.H.; Lee, T.Q. Acromioclavicular joint biomechanics: A systematic review. JSES Rev. Rep. Tech. 2024, 4, 668–675. [Google Scholar] [CrossRef]
- Kibler, W.B.; Sciascia, A. Acromioclavicular joint injuries revisited: Pathoanatomy, pathomechanics, and clinical presentation. Shoulder Elb. 2022, 14, 470–480. [Google Scholar] [CrossRef]
- Lindborg, C.M.; Smith, R.D.; Reihl, A.M.; Bacevich, B.M.; Cote, M.; O’Donnell, E.; Mazzocca, A.D.; Hutchinson, I. Current Concepts in Management of Acromioclavicular Joint Injury. J. Clin. Med. 2024, 13, 1413. [Google Scholar] [CrossRef] [PubMed]
- Rockwood, C.A.; Green, D.P. Fractures in Adults; Lippincott-Raven Publishers: Philadelphia, PA, USA, 1996; p. xix-1192. [Google Scholar]
- Niehaus, R.; Schleicher, A.; Elias, A.; Kriechling, P.; Lenz, C.G.; Masanneck, M.; Hodel, S.; Eid, K. Operative vs. conservative treatment of AC-Joint Dislocations Rockwood grade ≥ III-An economical and clinical evaluation. Cost. Eff. Resour. Alloc. 2023, 21, 63. [Google Scholar] [CrossRef] [PubMed]
- Braun, S.; Imhoff, A.B.; Martetschlaeger, F. Primary Fixation of Acromioclavicular Joint Disruption. Oper. Tech. Sports Med. 2014, 22, 221–226. [Google Scholar] [CrossRef]
- Beitzel, K.; Mazzocca, A.D.; Bak, K.; Itoi, E.; Kibler, W.B.; Mirzayan, R.; Imhoff, A.B.; Calvo, E.; Arce, G.; Shea, K. ISAKOS upper extremity committee consensus statement on the need for diversification of the Rockwood classification for acromioclavicular joint injuries. Arthrosc. J. Arthrosc. Relat. Surg. Off. Publ. Arthrosc. Assoc. N. Am. Int. Arthrosc. Assoc. 2014, 30, 271–278. [Google Scholar] [CrossRef]
- Haugaard, K.B.; Bak, K.; Ryberg, D.; Muharemovic, O.; Hölmich, P.; Barfod, K.W. The ISAKOS subclassification of Rockwood type III AC joint dislocations in a stable type A and an unstable type B is not clinically relevant. Knee Surg. Sports Traumatol. Arthrosc. 2024, 32, 1821–1829. [Google Scholar] [CrossRef]
- Tingle, M.; Wang, T.; Hoenecke, H.R.J. Current trends in surgical treatment of the acromioclavicular joint injuries in 2023: A review of the literature. JSES Int. 2024, 8, 389–393. [Google Scholar] [CrossRef] [PubMed]
- Dyrna, F.; Imhoff, F.B.; Haller, B.; Braun, S.; Obopilwe, E.; Apostolakos, J.M.; Morikawa, D.; Imhoff, A.B.; Mazzocca, A.D.; Beitzel, K. Primary Stability of an Acromioclavicular Joint Repair Is Affected by the Type of Additional Reconstruction of the Acromioclavicular Capsule. Am. J. Sports Med. 2018, 46, 3471–3479. [Google Scholar] [CrossRef]
- Hislop, P.; Sakata, K.; Ackland, D.C.; Gotmaker, R.; Evans, M.C. Acromioclavicular Joint Stabilization: A Biomechanical Study of Bidirectional Stability and Strength. Orthop. J. Sport. Med. 2019, 7, 2325967119836751. [Google Scholar] [CrossRef] [PubMed]
- Braun, S.; Beitzel, K.; Buchmann, S.; Imhoff, A.B. Arthroscopically Assisted Treatment of Acute Dislocations of the Acromioclavicular Joint. Arthrosc. Tech. 2015, 4, e681–e685. [Google Scholar] [CrossRef]
- Şahin, K.; Ertogrul, R.; Kapıcıoğlu, M.; Erşen, A.; Bilsel, K. Clinical and anatomical outcomes of isolated coracoclavicular fixation after acromioclavicular joint injury: Is it stable enough or is additional horizontal fixation necessary? JSES Int. 2023, 7, 113–120. [Google Scholar] [CrossRef]
- Aliberti, G.M.; Mulcahey, M.K.; Brown, S.M.; O’Brien, M.J. Restoring Horizontal Stability of the Acromioclavicular Joint: Open Acromioclavicular Ligament Reconstruction and Repair with Semitendinosus Allograft. Arthrosc. Tech. 2020, 9, e1619–e1626. [Google Scholar] [CrossRef] [PubMed]
- Li, H.; Wang, C.; Wang, J.; Wu, K.; Hang, D. Restoration of horizontal stability in complete acromioclavicular joint separations: Surgical technique and preliminary results. Eur. J. Med. Res. 2013, 18, 42. [Google Scholar] [CrossRef]
- Baumgarten, K.M.; Chang, P.S. The American Shoulder and Elbow Surgeons score highly correlates with the Simple Shoulder Test. J. Shoulder Elb. Surg. 2021, 30, 707–711. [Google Scholar] [CrossRef]
- Saier, T.; Venjakob, A.J.; Minzlaff, P.; Föhr, P.; Lindell, F.; Imhoff, A.B.; Vogt, S.; Braun, S. Value of additional acromioclavicular cerclage for horizontal stability in complete acromioclavicular separation: A biomechanical study. Knee Surg. Sports Traumatol. Arthrosc. 2015, 23, 1498–1505. [Google Scholar] [CrossRef]
- Martetschläger, F.; Horan, M.P.; Warth, R.J.; Millett, P.J. Complications after anatomic fixation and reconstruction of the coracoclavicular ligaments. Am. J. Sports Med. 2013, 41, 2896–2903. [Google Scholar] [CrossRef]
- Chen, R.E.; Gates, S.T.; Vaughan, A.; Santoro, A.; Reddy, Y.; Williams, G.R.; Namdari, S. Complications after operative treatment of high-grade acromioclavicular injuries. J. Shoulder Elb. Surg. 2023, 32, 1972–1980. [Google Scholar] [CrossRef]
- Cheng, H.; Clymer, J.W.; Chen, B.P.-H.; Sadeghirad, B.; Ferko, N.C.; Cameron, C.G.; Hinoul, P. Prolonged operative duration is associated with complications: A systematic review and meta-analysis. J. Surg. Res. 2018, 229, 134–144. [Google Scholar] [CrossRef]
- Daley, B.J.; Cecil, W.; Clarke, P.C.; Cofer, J.B.; Guillamondegui, O.D. How slow is too slow? Correlation of operative time to complications: An analysis from the Tennessee Surgical Quality Collaborative. J. Am. Coll. Surg. 2015, 220, 550–558. [Google Scholar] [CrossRef]
- Thery, C.; Antoni, M.; Dujeux, C.; Eichler, D.; Meyer, N.; Clavert, P. Increased operative time has a negative impact on clinical outcome in arthroscopic rotator cuff repair. Eur. J. Orthop. Surg. Traumatol. 2023, 33, 2865–2871. [Google Scholar] [CrossRef] [PubMed]
- Childers, C.P.; Maggard-Gibbons, M. Understanding Costs of Care in the Operating Room. JAMA Surg. 2018, 153, e176233. [Google Scholar] [CrossRef] [PubMed]
- Ruiz Ibán, M.A.; Moreno Romero, M.S.; Diaz Heredia, J.; Ruiz Díaz, R.; Muriel, A.; López-Alcalde, J. The prevalence of intraarticular associated lesions after acute acromioclavicular joint injuries is 20%. A systematic review and meta-analysis. Knee Surg. Sports Traumatol. Arthrosc. 2021, 29, 2024–2038. [Google Scholar] [CrossRef]
- Mansour, J.; Nassar, J.E.; Estephan, M.; Boulos, K.; Daher, M. Acromioclavicular joint dislocation and concomitant labral lesions: A systematic review. Clin. Shoulder Elb. 2024, 27, 247–253. [Google Scholar] [CrossRef] [PubMed]



| CC | CC + AC | p-Value | |
|---|---|---|---|
| Number (n) | 33 | 22 | - |
| Males:females (n) | 31:2 | 21:1 | 1.000 |
| Age (years), M ± SD | 32.2 ± 10.8 | 35.2 ± 11.3 | 0.331 |
| Right Shoulder, n (%) | 13 (39.4) | 13 (59.1) | 0.152 |
| CC | CC + AC | p-Value | |
|---|---|---|---|
| ASES, M ± SD | 96.3 ± 7.9 | 95.8 ± 8.8 | 0.828 |
| SST, M ± SD | 99.2 ± 3.3 | 96.8 ± 8.2 | 0.210 |
| SANE, M ± SD | 95.3 ± 7.0 | 93.6 ± 12.8 | 0.589 |
| VAS pre-OP, M ± SD | 6.1 ± 2.7 | 6.2 ± 1.1 | 0.846 |
| VAS post-OP, M ± SD | 0.5 ± 1.0 | 1.0 ± 1.5 | 0.129 |
| CC | CC + AC | p-Value | |
|---|---|---|---|
| Rockwood/ISAKOS | - | ||
| III, n (%) | 7 (21.2) | 1 (4.5) | 0.020 |
| IIIa, n | 1/7 | 0/1 | |
| IIIb, n | 6/7 | 1/1 | |
| IV, n (%) | 15 (45.5) | 12 (54.5) | |
| V, n (%) | 4 (12.1) | 8 (36.4) | |
| VI, n (%) | 0 (0.0) | 0 (0.0) | |
| Vertical stability | - | ||
| stable, n (%) | 20 (74.1) | 14 (73.7) | 0.597 |
| subluxation, n (%) | 6 (22.2) | 3 (15.8) | |
| dislocation, n (%) | 1 (3.7) | 2 (10.5) | |
| CC-Loosening ratio, (%) Md | 24.7 (n = 27) | 32.6 (n = 19) | 0.830 |
| AC-Loosening ratio, (%) Md | 72.6 (n = 27) | 106.5 (n = 19) | 0.567 |
| CC | CC + AC | p-Value | |
|---|---|---|---|
| Duration of surgery, min M ± SD | 80.2 ± 23.2 | 90.6 ± 24.8 | 0.119 |
| Time to surgery, (days), M ± SD | 11.2 ± 5.4 | 10.0 ± 3.5 | 0.378 |
| Concomitant procedure, n (%) | 0 (0) | 4 (18.2) | 0.021 |
| Complications, n (%) | 2 (6.1) | 3 (13.6) | 0.379 |
| Chronic instability, n (%) | 3 (5.2%) | - | |
Disclaimer/Publisher’s Note: The statements, opinions and data contained in all publications are solely those of the individual author(s) and contributor(s) and not of MDPI and/or the editor(s). MDPI and/or the editor(s) disclaim responsibility for any injury to people or property resulting from any ideas, methods, instructions or products referred to in the content. |
© 2025 by the authors. Licensee MDPI, Basel, Switzerland. This article is an open access article distributed under the terms and conditions of the Creative Commons Attribution (CC BY) license (https://creativecommons.org/licenses/by/4.0/).
Share and Cite
Wollner, G.; Luisi, S.; Hruska, F.; Pengg, F.; Koenig, F.R.M.; Timmel, G.; Osti, M.; Bach, C.; Haider, T. More Fixation, Better Outcome? Evaluating the Role of Additional Acromioclavicular Ligament Reconstruction in AC Joint Injuries: A Multicenter Analysis. J. Clin. Med. 2025, 14, 8679. https://doi.org/10.3390/jcm14248679
Wollner G, Luisi S, Hruska F, Pengg F, Koenig FRM, Timmel G, Osti M, Bach C, Haider T. More Fixation, Better Outcome? Evaluating the Role of Additional Acromioclavicular Ligament Reconstruction in AC Joint Injuries: A Multicenter Analysis. Journal of Clinical Medicine. 2025; 14(24):8679. https://doi.org/10.3390/jcm14248679
Chicago/Turabian StyleWollner, Gregor, Samuel Luisi, Florian Hruska, Florian Pengg, Felix R. M. Koenig, Gustav Timmel, Michael Osti, Christian Bach, and Thomas Haider. 2025. "More Fixation, Better Outcome? Evaluating the Role of Additional Acromioclavicular Ligament Reconstruction in AC Joint Injuries: A Multicenter Analysis" Journal of Clinical Medicine 14, no. 24: 8679. https://doi.org/10.3390/jcm14248679
APA StyleWollner, G., Luisi, S., Hruska, F., Pengg, F., Koenig, F. R. M., Timmel, G., Osti, M., Bach, C., & Haider, T. (2025). More Fixation, Better Outcome? Evaluating the Role of Additional Acromioclavicular Ligament Reconstruction in AC Joint Injuries: A Multicenter Analysis. Journal of Clinical Medicine, 14(24), 8679. https://doi.org/10.3390/jcm14248679

