Ultrasound-Guided Localization of the Refill Port for Intrathecal Infusion Pump Recharge: A Systematic Review
Abstract
1. Introduction
1.1. Background
1.2. Objective
2. Methodology
2.1. Eligibility Criteria
2.2. Information Sources
2.3. Search Strategy
2.4. Data Extraction Process
2.5. Data Collection Process and Collected Data
2.6. Risk of Bias in Individual Studies
3. Results
4. Discussion
5. Conclusions
Author Contributions
Funding
Institutional Review Board Statement
Informed Consent Statement
Data Availability Statement
Acknowledgments
Conflicts of Interest
References
- Puebla Díaz, F. Types of pain and the WHO therapeutic ladder: Iatrogenic pain. Oncology 2005, 28, 33–37. [Google Scholar]
 - Rey-Ares, L.; Bardach, A.; Pichon-Riviere, A.; Augustovski, F.; García Martí, S.; Alcaraz, A.; Ciapponi, A.; López, A. Intrathecal Opioid Infusion Pumps for Chronic Oncological and Non-Oncological Pain; Institute for Clinical Effectiveness and Health Policy (IECS): Buenos Aires, Argentina, 2017; Available online: https://pesquisa.bvsalud.org/portal/resource/pt/biblio-948312 (accessed on 26 March 2022).
 - Narváez Sarmiento, I.M.; Hernández Santos, J.R.; Tenopala Villegas, S.; Jiménez Ramos, A.; Cardona Hurtado, G.; Torres Huerta, J.C. Implantable intrathecal infusion pump in patients with chronic pain: Evaluation of disability and quality of life. Rev. Soc. Esp. Dolor 2010, 17, 268–273. [Google Scholar] [CrossRef]
 - Karri, J.; Singh, M.; Modi, D.J.; Orhurhu, V.; Seale, C.; Saulino, M.; Marathe, A.; Vydra, D.; Hagedorn, J.M.; Bruel, B.; et al. Combination intrathecal drug therapy strategies for pain management. Pain Physician 2021, 24, 549. [Google Scholar] [PubMed]
 - Deer, T.R.; Pope, J.E.; Hanes, M.C.; McDowell, G.C. Intrathecal Therapy for Chronic Pain: A Review of Morphine and Ziconotide as Firstline Options. Pain Med. 2019, 20, 784–798. [Google Scholar] [CrossRef] [PubMed]
 - Grape, S.; El-Boghdadly, K.; Albrecht, E. Management of adverse effects of intrathecal opioids in acute pain. Best Pract. Res. Clin. Anaesthesiol. 2023, 37, 199–207. [Google Scholar] [CrossRef] [PubMed]
 - Hurdle, M.-F.B.; Locketz, A.J.; Smith, J. A technique for ultrasound-guided intrathecal drug-delivery system refills. Am. J. Phys. Med. Rehabil. 2007, 86, 250–251. [Google Scholar] [CrossRef] [PubMed]
 - Shankar, H. Ultrasound-guided localization of difficult-to-access refill port of the intrathecal pump reservoir. Neuromodulation 2009, 12, 215–218. [Google Scholar] [CrossRef] [PubMed]
 - Gofeld, M.; McQueen, C.K. Ultrasound-guided intrathecal pump access and prevention of the pocket fill. Pain Med. 2011, 12, 607–611. [Google Scholar] [CrossRef] [PubMed]
 - Peccora, C.D.; Ross, E.L.; Hanna, G.M. Aberrant intrathecal pump refill: Ultrasound-guided aspiration of a substantial quantity of subcutaneous hydromorphone. Reg. Anesth. Pain Med. 2013, 38, 544–546. [Google Scholar] [CrossRef] [PubMed]
 - Saulino, M.; Gofeld, M. “Sonology” of programmable intrathecal pumps. Neuromodulation 2014, 17, 696–698. [Google Scholar] [CrossRef] [PubMed]
 - Maneyapanda, M.B.; Chang Chien, G.C.; Mattie, R.; Amorapanth, P.; Reger, C.; McCormick, Z.L. Ultrasound guidance for technically challenging intrathecal baclofen pump refill: Three cases and procedure description. Am. J. Phys. Med. Rehabil. 2016, 95, 692–697. [Google Scholar] [CrossRef] [PubMed]
 - Caruso, P.; Mazzon, G.; Sarra, V.M.; Tacconi, L.; Manganotti, P. The use ultrasound guided for refilling intrathecal baclofene pump in complicated clinical cases: A practical approach. J. Clin. Neurosci. 2018, 57, 194–197. [Google Scholar] [CrossRef] [PubMed]
 - García-Eslava, J.S.; Barahona-Correa, J.E.; Moreno, D.A.; Bonilla, A. Usefulness of ultrasound: Intrathecal pump refill in the management of chronic pain. A case report. Colomb. J. Anesthesiol. 2018, 46, 68–71. [Google Scholar] [CrossRef]
 - Pinho, S.; Ferreira, A.; Calado, D.; Hatia, M.; Faria, F. Ultrasound-guided intrathecal baclofen pump refilling method for management of spasticity in a complex clinical case. Cureus 2022, 14, e31537. [Google Scholar] [CrossRef] [PubMed]
 - Maino, P.; van Kuijk, S.M.J.; Perez, R.S.G.M.; Koetsier, E. Refill procedures of intrathecal drug delivery systems with a recessed fill port on the pump surface: A prospective comparison study of ultrasound-guided vs. Blind refill technique. Neuromodulation 2019, 22, 799–804. [Google Scholar] [CrossRef] [PubMed]
 - Matthys, C.; Jacobs, M.; Rossat, J.; Perruchoud, C. Accuracy of template versus ultrasound identification of the reservoir access port of intrathecal drug delivery system. Neuromodulation 2020, 23, 944–948. [Google Scholar] [CrossRef] [PubMed]
 - Singa, R.M.; Buvanendran, A.; McCarthy, R.J. A comparison of refill procedures and patient outcomes following ultrasound-guided and template-guided intrathecal drug delivery systems with recessed ports. Neuromodulation 2020, 23, 938–943. [Google Scholar] [CrossRef] [PubMed]
 - Stone, S.N.; Wei, D.; Reger, C. Ultrasound guidance versus landmark guidance for intrathecal baclofen pump refill: A randomized pilot study. PM&R 2023, 15, 1425–1430. [Google Scholar] [CrossRef] [PubMed]
 


| Database | Search String | 
|---|---|
| Scopus | (ultrasound OR ultrasound-guided) AND (refill OR refill AND port OR pocket AND fill OR pump AND refill) AND (intrathecal OR intrathecal AND pump) | 
| Pubmed | (ultrasound OR ultrasound-guided) AND (refill OR refill port OR pocket fill OR pump refill) AND (intrathecal OR intrathecal pump OR intrathecal pumps) | 
| Scielo | intrathecal AND refill AND ultrasound | 
| Cinahl | intrathecal AND refill AND ultrasound | 
| Cochrane Library | Intrathecal AND refill AND ultrasound | 
| Author | Patient Characteristics | Patient History as a Timeline | Clear Clinical Condition | Clear Diagnostic Tests | Clear Intervention | Clear Post-Intervention Condition | Adverse/Unforeseen Events | Key Lessons | 
|---|---|---|---|---|---|---|---|---|
| Hurdle et al. [7] | YES | YES | YES | YES | YES | YES | NO | YES | 
| Shankar et al. [8] | YES | YES | YES | YES | YES | YES | NO | YES | 
| Gofeld et al. [9] | NO | NO | YES | YES | YES | NO | NO | YES | 
| Peccora et al. [10] | YES | NO | YES | YES | YES | YES | YES | YES | 
| Saulino et al. [11] | YES | YES | YES | YES | YES | YES | NO | YES | 
| Maneyapanda et al. [12] | YES | YES | YES | YES | YES | YES | NO | YES | 
| Caruso et al. [13] | YES | YES | YES | YES | YES | YES | NO | YES | 
| García Eslava et al. [14] | YES | NO | YES | NO | YES | YES | NO | YES | 
| Pinho et al. [15] | YES | YES | YES | YES | YES | YES | NO | YES | 
| Author | Article | Score | 
|---|---|---|
| Maino et al. [16] | Ease of Fill Port Access During the Ultrasound-Guided vs. the Blind Refill Technique of Intrathecal Drug Delivery Systems With a Raised Septum, a Prospective Comparison Study | 7 | 
| Matthys et al. [17] | Accuracy of Template Versus Ultrasound Identification of the Reservoir Access Port of Intrathecal Drug Delivery System | 5 | 
| Singa et al. [18] | A Comparison of Refill Procedures and Patient Outcomes Following Ultrasound-Guided and Template-Guided Intrathecal Drug Delivery Systems With Recessed Ports  | 7 | 
| Stone et al. [19] | Ultrasound guidance versus landmark guidance for intrathecal baclofen pump refill: A randomized pilot study | 7 | 
| Author | D1 | D2 | D3 | D4 | D5 | Overall | 
|---|---|---|---|---|---|---|
| Maino et al. [16] | ||||||
| Matthys et al. [17] | ||||||
| Singa et al. [18] | ||||||
| Stone et al. [19] | 
| Author/Year | Design/Sample | Objective | Result | Conclusion | 
|---|---|---|---|---|
| Stone et al., 2023 [19] | Randomized controlled trial. 17 patients. Period of 44 months. | To determine the feasibility of using ultrasound in the refill of intrathecal infusion pumps in difficult cases for improving patient satisfaction. | 17 patients underwent 21 refills (12 template-guided and 9 ultrasound-guided). Although not statistically significant, the average time in the experimental group was shorter than the control group (175 s vs. 401 s). No clinical/significant differences were found in pain, patient satisfaction, or the subjective difficulty for the healthcare professional. | The use of ultrasound for refilling can decrease needle-in-skin time, the number of punctures, changes in needle plane, and the need for intervention from other professionals. | 
| Pinho et al., 2022 [15] | 1 case report with 1 patient | To demonstrate that the use of ultrasound in difficult refill cases can simplify the technique and prevent complications. | Ultrasound was used for a refill in a complicated case with difficult access. The indirect method was used (the area was marked by visualizing the refill port) before puncturing. In the end, it was confirmed that there was no fluid in the subcutaneous pocket. | The use of ultrasound is safe and simple for locating the refill port of intrathecal infusion pumps. It can facilitate the procedure and prevent complications. It can be useful for pumps implanted more than 10 mm from the skin. | 
| Singa et al., 2020 [18] | Randomized controlled trial. 107 patients. Period of 11 months. | To identify the outcomes obtained with the traditional method vs. ultrasound for refilling. To assess patient preferences. | 192 refills were performed (67 with a template and 125 with ultrasound). 84% of those refilled with ultrasound reported no pain, compared to 67% of those refilled with a template. The median (quartile) duration of the port access procedure was 60 (35 to 109) seconds with the use of a template compared to 90 (66 to 122) seconds following ultrasound use. Most patients prefer the use of ultrasound for refilling. | Patients prefer refilling with ultrasound because they feel it is less painful than the traditional method. They report that ultrasound refills take longer than the traditional (template) method. | 
| Matthys et al., 2020 [17] | Randomized controlled trial. 22 patients. Period of 10 months | To identify situations where the use of ultrasound is more precise than the traditional template method. | 81 refills were performed with ultrasound on 22 patients. No correlation was observed between age, height, weight, body mass, and abdominal perimeter during refilling. Better results with ultrasound for pumps implanted more than 10 mm deep (Spearman rho = 0.697, p < 0.001). | The use of ultrasound increases the safety of refilling for pumps implanted more than 10 mm deep. For devices implanted more superficially (less than 10 mm), the template is as accurate as ultrasound. It is crucial to use the most appropriate method based on the pump’s depth to prevent complications. | 
| Maino et al., 2018 [16] | Randomized controlled trial. 19 patients. Period of 24 months. | To evaluate whether access to the refill port in intrathecal infusion pumps is easier using ultrasound compared to the traditional “blind” method | 111 refills were performed on 19 patients over a 24-month period. They suggest that the blind technique requires fewer attempts than the use of ultrasound (p = 0.018). Ultrasound requires more time for refilling (p = 0.001). There were no significant differences in the number of punctures or perceived pain. | The results lead them to believe that fewer attempts are required with the traditional method than with the use of ultrasound. Ultrasound can be useful in complex cases. | 
| García Eslava et al., 2018 [14] | 1 case report with 1 patient | To demonstrate that the use of ultrasound in refilling intrathecal infusion pumps improves the technique. | Ultrasound was used for a refill on a patient with difficult port access. The number of punctures was reduced, and patient satisfaction was increased | The risks associated with refilling are reduced. The learning time for the technique can be less than 30 min. | 
| Caruso et al., 2018 [13] | Descriptive study of 2 cases with 2 patients | To report experience with the use of ultrasound for baclofen intrathecal infusion pump refills. To describe cases with complications after implant. To suggest a clinical method for ultrasound-guided refilling. | They report that the use of ultrasound increases the safety of the technique by reducing pain and the risk of infection. It improves the precision of the procedure. | The use of ultrasound can improve the intrathecal pump refill technique in difficult cases, although more studies are needed. | 
| Maneyapanda et al., 2016 [12] | 3 case reports with 3 patients | To demonstrate the usefulness of ultrasound for refilling intrathecal infusion pumps in patients with difficult port access. To review the literature on the use of ultrasound for intrathecal infusion pump refills. | They present 3 cases of intrathecal infusion pump refills with ultrasound. They review the literature on possible complications derived from the technique. | The use of ultrasound is expected to prevent some complications of refilling. | 
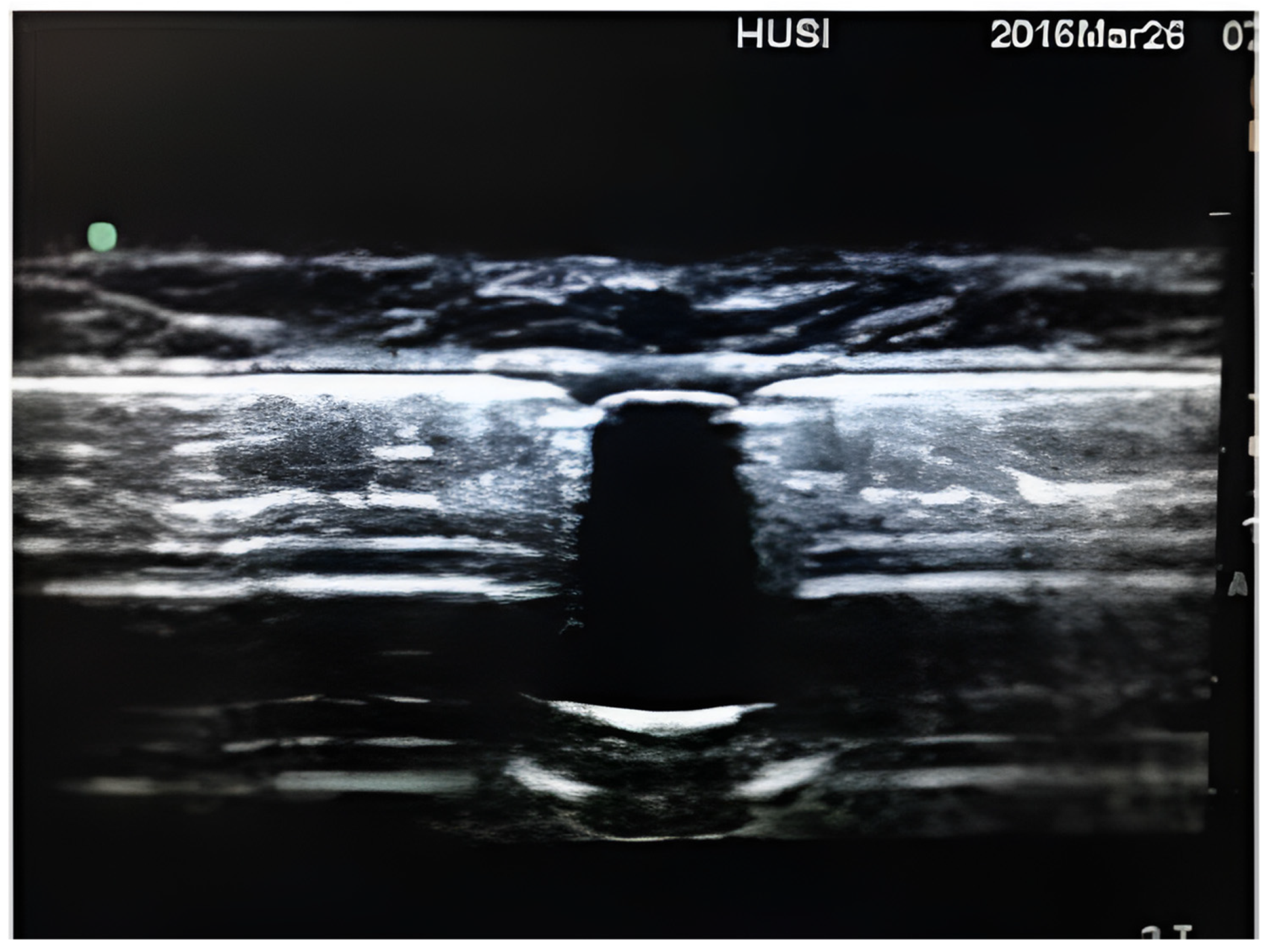
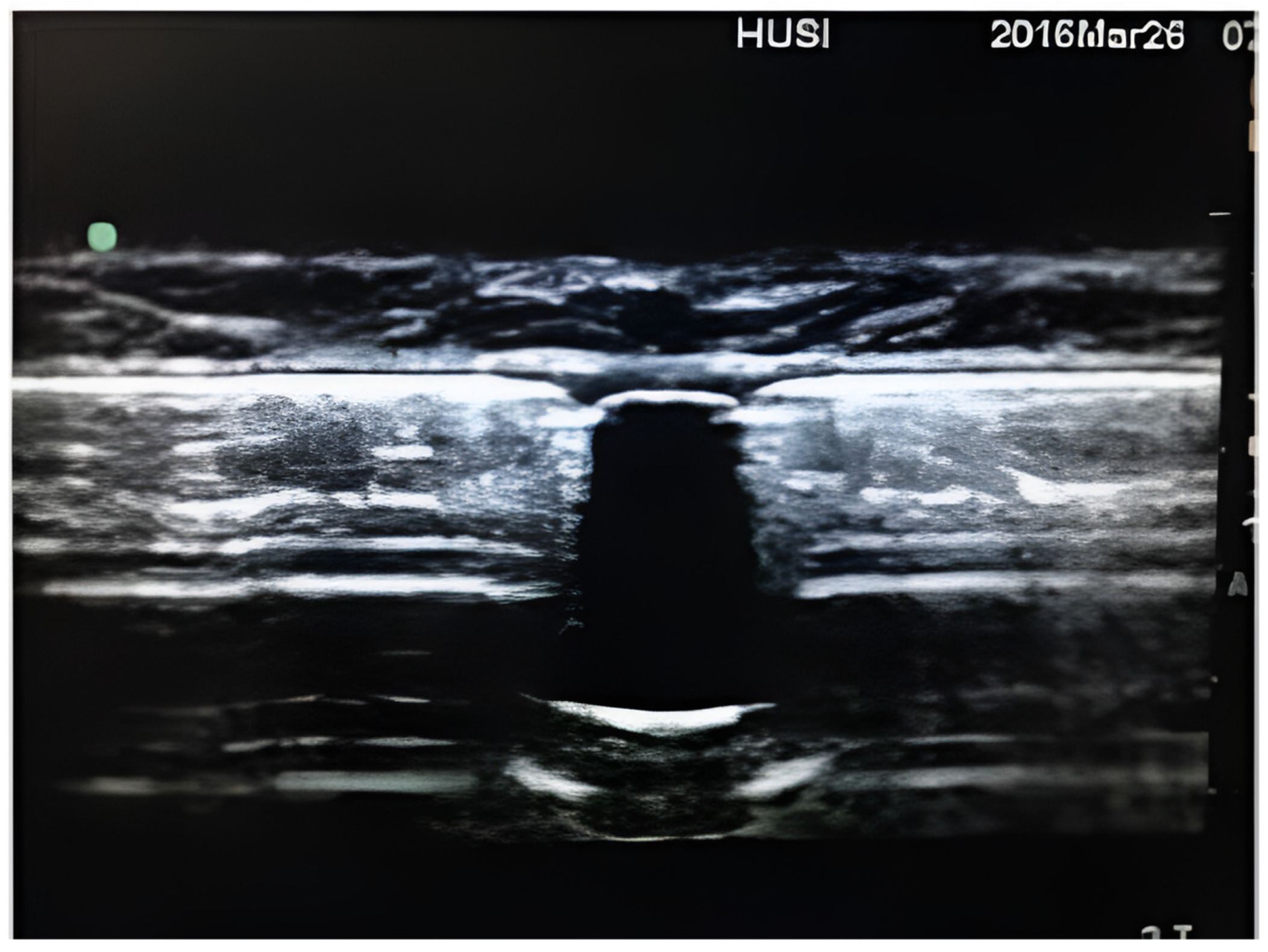
| Saulino et al., 2014 [11] | Descriptive study of intrathecal infusion pumps | To demonstrate the unique sonographic characteristics of intrathecal infusion pumps. | Intrathecal infusion pumps were analyzed outside the human body. They describe the sonographic characteristics of the pumps, highlighting that the refill port is anechoic, in contrast to the pump’s surface, which is hyperechoic. | The programmable intrathecal infusion systems have a unique sonographic appearance that could be used for refilling them. | 
| Peccora et al.,  2013 [10]  | 1 case report with 1 patient | To describe how ultrasound can help detect extravasation in the subcutaneous pocket. | The use of ultrasound for the detection of extravasation (outside the infusion pump) in a patient is explained. | Ultrasound could be used as a rapid and effective means of detecting extravasation in the subcutaneous pocket of intrathecal infusion pumps. | 
| Gofeld et al., 2011 [9] | Preclinical feasibility study. 1 case report with 1 patient (cadaver). | To describe the methodology for real-time ultrasound-guided refill of intrathecal infusion pumps. | The learning curve for inexperienced users indicates low complexity of the technique. The predictive value of the needle is 100%. | The use of ultrasound for refilling intrathecal pumps is feasible and safe, and it can improve their care and maintenance. Complications such as subcutaneous injections can be prevented. | 
| Shankar et al., 2009 [8] | 1 case report of 1 patient | To demonstrate that the use of ultrasound can assist in detecting the refill port in difficult cases. | The patient presented with a seroma, making access to the refill port difficult. Ultrasound was used, which facilitated the performance of the technique. | This is a successful demonstration of the use of ultrasound for detecting the refill port in a difficult case. It avoids multiple punctures and possible complications. It proves to be a safe technique in complex cases. | 
| Hurdle et al., 2007 [7] | 1 case report with 1 patient | To demonstrate that the use of ultrasound for refilling intrathecal infusion pumps can facilitate access and prevent complications. | A case of a person with difficult access to the refill port due to degenerative kyphoscoliosis and increased body mass was studied. | The use of ultrasound proves to be a simple and effective technique. There are no reliable data on the reduction in time spent on refilling. | 
Disclaimer/Publisher’s Note: The statements, opinions and data contained in all publications are solely those of the individual author(s) and contributor(s) and not of MDPI and/or the editor(s). MDPI and/or the editor(s) disclaim responsibility for any injury to people or property resulting from any ideas, methods, instructions or products referred to in the content.  | 
© 2025 by the authors. Licensee MDPI, Basel, Switzerland. This article is an open access article distributed under the terms and conditions of the Creative Commons Attribution (CC BY) license (https://creativecommons.org/licenses/by/4.0/).
Share and Cite
Lechuga Carrasco, B.; Cordero Tous, N.; Reinoso-Cobo, A.; Cortés-Martín, J.; Sánchez-García, J.C.; Rodríguez-Blanque, R.; Gálvez Mateos, R. Ultrasound-Guided Localization of the Refill Port for Intrathecal Infusion Pump Recharge: A Systematic Review. J. Clin. Med. 2025, 14, 7178. https://doi.org/10.3390/jcm14207178
Lechuga Carrasco B, Cordero Tous N, Reinoso-Cobo A, Cortés-Martín J, Sánchez-García JC, Rodríguez-Blanque R, Gálvez Mateos R. Ultrasound-Guided Localization of the Refill Port for Intrathecal Infusion Pump Recharge: A Systematic Review. Journal of Clinical Medicine. 2025; 14(20):7178. https://doi.org/10.3390/jcm14207178
Chicago/Turabian StyleLechuga Carrasco, Beatriz, Nicolás Cordero Tous, Andrés Reinoso-Cobo, Jonathan Cortés-Martín, Juan Carlos Sánchez-García, Raquel Rodríguez-Blanque, and Rafael Gálvez Mateos. 2025. "Ultrasound-Guided Localization of the Refill Port for Intrathecal Infusion Pump Recharge: A Systematic Review" Journal of Clinical Medicine 14, no. 20: 7178. https://doi.org/10.3390/jcm14207178
APA StyleLechuga Carrasco, B., Cordero Tous, N., Reinoso-Cobo, A., Cortés-Martín, J., Sánchez-García, J. C., Rodríguez-Blanque, R., & Gálvez Mateos, R. (2025). Ultrasound-Guided Localization of the Refill Port for Intrathecal Infusion Pump Recharge: A Systematic Review. Journal of Clinical Medicine, 14(20), 7178. https://doi.org/10.3390/jcm14207178
        
