Evaluating Effects of Skin Needling Treatment on Visible Changes and Elasticity of Scars Using High-Frequency Ultrasound, Cutometer®, and Standardized Questionnaire—Six Case Studies
Abstract
1. Introduction
2. Materials and Methods
2.1. Patients
2.2. Skin Needling Procedure
2.3. Patient Observer Scar Assessment Scale (POSAS)
2.4. Assessment of Scar Elasticity
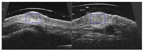
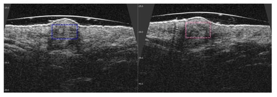
2.5. Assessment of Scar Echogenicity
2.6. Statistical Analysis
3. Results
3.1. POSAS Questionnaire
3.2. Scar Elasticity
3.3. Visible and Ultrasound Changes in Scar Area
4. Discussion
5. Conclusions
Author Contributions
Funding
Institutional Review Board Statement
Informed Consent Statement
Data Availability Statement
Conflicts of Interest
References
- Kwon, S.H.; Padmanabhan, J.; Henn, D.; Chen, K.; Gurtner, G.C. New Drugs for Scar Treatment. In Textbook on Scar Management: State of the Art Management and Emerging Technologies [Internet]; Téot, L., Mustoe, T.A., Middelkoop, E., Gauglitz, G.G., Eds.; Springer: Cham, Switzerland, 2020; Chapter 52. [Google Scholar]
- Ngaage, M.; Agius, M. The Psychology of Scars: A Mini-Review. Psychiatr. Danub. 2018, 30 (Suppl. S7), 633–638. [Google Scholar] [PubMed]
- Amici, J.M.; Taïeb, C.; LeFloc’h, C.; Demessant-Flavigny, A.L.; Seité, S.; Cogrel, O. Prevalence of scars: An international epidemiological survey in adults. J. Eur. Acad. Dermatol. Venereol. 2022, 36, e799. [Google Scholar] [CrossRef] [PubMed]
- Rozenfeld, E.; Sapoznikov Sebakhutu, E.; Krieger, Y.; Kalichman, L. Dry needling for scar treatment. Acupunct. Med. 2020, 38, 435–439. [Google Scholar] [CrossRef] [PubMed]
- Skochdopole, A.; Dibbs, R.P.; Sarrami, S.M.; Dempsey, R.F. Scar Revision. Semin. Plast. Surg. 2023, 35, 130–138. [Google Scholar] [CrossRef]
- Harris, A.G.; Naidoo, C.; Murrell, D.F. Skin needling as a treatment for acne scarring: An up-to-date review of the literature. Int. J. Womens Dermatol. 2015, 1, 77–81. [Google Scholar] [CrossRef]
- Bhargava, S.; Cunha, P.R.; Lee, J.; Kroumpouzos, G. Acne Scarring Management: Systematic Review and Evaluation of the Evidence. Am. J. Clin. Dermatol. 2018, 19, 459–477. [Google Scholar] [CrossRef]
- Park, K.Y.; Kim, H.K.; Kim, S.E.; Kim, B.J.; Kim, M.N. Treatment of striae distensae using needling therapy: A pilot study. Dermatol. Surg. 2012, 38, 1823–1828. [Google Scholar] [CrossRef]
- Trybulski, R.; Kawczynski, A.; Muracki, J.; Lovecchio, N.; Kuzdzał, A. Dry Needling and Acupuncture for Scars—A Systematic Review. J. Clin. Med. 2024, 13, 3994. [Google Scholar] [CrossRef]
- Dunning, J.; Butts, R.; Mourad, F.; Young, I.; Flannagan, S.; Perreault, T. Dry needling: A literature review with implications for clinical practice guidelines. Phys. Ther. Rev. 2014, 19, 252–265. [Google Scholar] [CrossRef]
- Chmielewska, D.; Malá, J.; Opala-Berdzik, A.; Nocuń, M.; Dolibog, P.; Dolibog, P.T.; Stania, M.; Kuszewski, M.; Kobesova, A. Acupuncture and dry needling for physical therapy of scar: A systematic review. BMC Complement. Med. Ther. 2024, 24, 14. [Google Scholar] [CrossRef]
- Boyles, R.; Fowler, R.; Ramsey, D.; Burrows, E. Effectiveness of trigger point dry needling for multiple body regions: A systematic review. J. Man. Manip. Ther. 2015, 23, 276–292. [Google Scholar] [CrossRef]
- Busche, M.N.; Thraen, A.J.; Gohritz, A.; Rennekampff, H.O.; Vogt, P.M. Burn Scar Evaluation Using the Cutometer® MPA 580 in Comparison to “Patient and Observer Scar Assessment Scale” and “Vancouver Scar Scale”. J. Burn Care Res. 2018, 39, 516–526. [Google Scholar] [CrossRef] [PubMed]
- Verhaegen, P.; van der Wal, M.B.; Middelkoop, E.; van Zuijlen, P.P. Objective scar assessment tools: A clinimetric appraisal. Plast. Reconstr. Surg. 2011, 127, 1561–1570. [Google Scholar] [CrossRef] [PubMed]
- Meikle, B.; Simons, M.; Mahoney, T.; Reddan, T.; Dai, B.; Kimble, R.M.; Tyack, Z. Ultrasound measurement of traumatic scar and skin thickness: A scoping review of evidence across the translational pipeline of research-to-practice. BMJ Open 2024, 14, e078361. [Google Scholar] [CrossRef] [PubMed]
- Draaijers, L.J.; Tempelman, F.R.; Botman, Y.A.; Tuinebreijer, W.E.; Middelkoop, E.; Kreis, R.W.; van Zuijlen, P.P. The patient and observer scar assessment scale: A reliable and feasible tool for scar evaluation. Plast. Reconstr. Surg. 2004, 113, 1960–1965, discussion 1966–1967. [Google Scholar] [CrossRef]
- Ricci, V.; Cocco, G.; Donati, D.; Farì, G.; Chang, K.-V.; Özçakar, L. From Histopathology to High-Resolution Ultrasound Imaging of Skin Scars. Diagnostics 2023, 13, 3629. [Google Scholar] [CrossRef]
- Izzetti, R.; Vitali, S.; Aringhieri, G.; Nisi, M.; Oranges, T.; Dini, V.; Ferro, F.; Baldini, C.; Romanelli, M.; Caramella, D.; et al. Ultra-high frequency ultrasound. a promising diagnostic technique: Review of the literature and single-center experience. Can. Assoc. Radiol. J. 2021, 72, 418–431. [Google Scholar] [CrossRef]
- Malinowska, S.; Jaguś, D.; Woźniak, W.; Mlosek, R.K. Usefulness of high-frequency ultrasound in the monitoring of laser treatment of acne scars. J. Ultrason. 2021, 20, e279–e283. [Google Scholar] [CrossRef]
- Ud-Din, S.; Foden, P.; Stocking, K.; Mazhari, M.; Al-Habba, S.; Baguneid, M.; McGeorge, D.; Bayat, A. Objective assessment of dermal fibrosis in cutaneous scarring. using optical coherence tomography. high-frequency ultrasound and immunohistomorphometry of human skin. Br. J. Dermatol. 2019, 181, 722–732. [Google Scholar] [CrossRef]
- Klimitz, F.J.; Neubauer, H.; Stolle, A.; Ripper, S.; Daeschler, S.C.; Aman, M.; Boecker, A.; Thomas, B.; Kneser, U.; Harhaus, L. Objective Burn Scar Assessment in Clinical Practice Using the Cutometer©: Introduction and Validation of a Standardized Measurement Protocol. J. Burn Care Res. 2023, 44, 95–105. [Google Scholar] [CrossRef]
- Sín, P.; Stupka, I.; Brychta, P. Evaluation and comparison of composite and split-thickness skin grafts using cutometer mpa 580. Ann. Burns Fire Disasters 2010, 23, 208–213. [Google Scholar]
- Draaijers, L.J.; Botman, Y.A.; Tempelman, F.R.; Kreis, R.W.; Middelkoop, E.; van Zuijlen, P.P. Skin elasticity meter or subjective evaluation in scars: A reliability assessment. Burns 2004, 30, 109–114. [Google Scholar] [CrossRef]
- Tao, Y.; Wei, C.; Su, Y.; Hu, B.; Sun, D. Emerging High-Frequency Ultrasound Imaging in Medical Cosmetology. Front. Physiol. 2022, 13, 885922. [Google Scholar] [CrossRef]
- Vergilio, M.M.; Monteiro, E.; Silva, S.A.; Jales, R.M.; Leonardi, G.R. High-frequency ultrasound as a scientific tool for skin imaging analysis. Exp. Dermatol. 2021, 30, 897–910. [Google Scholar] [CrossRef]
- Kim, J.D.; Oh, S.J.; Kim, S.G.; Ahn, S.V.; Jang, Y.J.; Yang, B.S.; Jeong, J.Y.; Kim, K.J. Ultrasonographic findings of re-epithelialized skin after partial-thickness burns. Burns Trauma 2018, 6, 21. [Google Scholar] [CrossRef]
- Lee, H.J.; Jang, Y.J. Recent Understandings of Biology. Prophylaxis and Treatment Strategies for Hypertrophic Scars and Keloids. Int. J. Mol. Sci. 2018, 19, 711. [Google Scholar] [CrossRef]
- Kurup, S.; Travis, T.E.; Shafy, R.A.E.; Shupp, J.W.; Carney, B.C. Treatment of burn hypertrophic scar with fractional ablative laser-assisted drug delivery can decrease levels of hyperpigmentation. Lasers Surg. Med. 2023, 55, 471–479. [Google Scholar] [CrossRef]
- Oley, M.H.; Oley, M.C.; Kepel, B.J.; Manginstar, C.; Rawung, R.; Langi, F.L.F.G.; Barends, D.; Aling, D.M.R.; Wagiu, A.M.J.; Faruk, M. Post-skin incision scar tissue assessment using patient and observer scar assessment scales: A randomised controlled trial. Ann. Med. Surg. 2021, 71, 103006. [Google Scholar] [CrossRef] [PubMed]
- ElAshwah, A.; Fahmy, N.; Dessoky, N.; Al-Mahalawy, H. Transcervical Submandibular Approach: A Patient and Observer Scar Objective Score Appraisal. Alex. Dent. J. 2023, 48, 101–108. [Google Scholar] [CrossRef]
- Kim, H.J.; Lim, C.W.; Lee, J.H.; Park, H.B.; Suh, Y.; Cho, Y.H.; Choi, T.Y.; Hwang, E.S.; Cho, D.K. Gender-based differences in the relationship between fatty liver disease and atherosclerosis. Cardiovasc. J. Afr. 2016, 27, 281–286. [Google Scholar] [CrossRef] [PubMed][Green Version]
- Nedelec, B.; Couture, M.A.; Calva, V.; Poulin, C.; Chouinard, A.; Shashoua, D.; Gauthier, N.; Correa, J.A.; de Oliveira, A.; Mazer, B.; et al. Randomized controlled trial of the immediate and long-term effect of massage on adult postburn scar. Burns 2019, 45, 128–139. [Google Scholar] [CrossRef] [PubMed]
- Lubczyńska, A.; Garncarczyk, A.; Wcisło-Dziadecka, D. Effectiveness of various methods of manual scar therapy. Skin Res. Technol. 2023, 29, e13272. [Google Scholar] [CrossRef] [PubMed]
- Sano, H.; Hokazono, Y.; Ogawa, R. Distensibility and Gross Elasticity of the Skin at Various Body Sites and Association with Pathological Scarring: A Case Study. J. Clin. Aesthet. Dermatol. 2018, 11, 15–18. [Google Scholar] [PubMed]
- Satpathy, G.; Kumar, I.; Matah, M.; Verma, A. Comparative accuracy of magnetic resonance morphometry and sonography in assessment of post-cesarean uterine scar. Indian J. Radiol. Imaging 2018, 28, 169–174. [Google Scholar] [CrossRef]
- Sun, C.; Lim, D. Trichloroacetic Acid Paint for Boxcar and Polymorphic Acne Scars. Dermatol. Surg. 2022, 48, 214–218. [Google Scholar] [CrossRef]
- Kauvar, A.N.B.; Kubicki, S.L.; Suggs, A.K.; Friedman, P.M. Laser Therapy of Traumatic and Surgical Scars and an Algorithm for Their Treatment. Lasers Surg. Med. 2020, 52, 125–136. [Google Scholar] [CrossRef]
- Nobari, N.N.; Tabavar, A.; Sadeghi, S.; Dehghani, A.; Kalantari, Y.; Ghassemi, M.; Atefi, N.; Goodarzi, A. A systematic review of the comparison between needling (RF-needling. meso-needling. and micro-needling) and ablative fractional lasers (CO2. erbium YAG) in the treatment of atrophic and hypertrophic scars. Lasers Med. Sci. 2023, 38, 67. [Google Scholar] [CrossRef] [PubMed]
- Clementi, A.; Cannarozzo, G.; Guarino, L.; Zappia, E.; Cassalia, F.; Alma, A.; Sannino, M.; Longo, C.; Nisticò, S.P. Sequential Fractional CO2 and 1540/1570 nm Lasers: A Narrative Review of Preclinical and Clinical Evidence. J. Clin. Med. 2025, 14, 3867. [Google Scholar] [CrossRef]
- Lin, T.R.; Chou, F.H.; Wang, H.H.; Wang, R.H. Effects of scar massage on burn scars: A systematic review and meta-analysis. J. Clin. Nurs. 2023, 32, 3144–3154. [Google Scholar] [CrossRef]
- Villani, A.; Carmela Annunziata, M.; Antonietta Luciano, M.; Fabbrocini, G. Skin needling for the treatment of acne scarring: A comprehensive review. J. Cosmet. Dermatol. 2020, 19, 2174–2181. [Google Scholar] [CrossRef]
- Lew, J.; Kim, J.; Nair, P. Comparison of dry needling and trigger point manual therapy in patients with neck and upper back myofascial pain syndrome: A systematic review and meta-analysis. J. Man. Manip. Ther. 2021, 29, 136–146. [Google Scholar] [CrossRef]
- Alam, M.; Han, S.; Pongprutthipan, M.; Disphanurat, W.; Kakar, R.; Nodzenski, M.; Pace, N.; Kim, N.; Yoo, S.; Veledar, E.; et al. Efficacy of a needling device for the treatment of acne scars: A randomized clinical trial. JAMA Dermatol. 2014, 150, 844–849. [Google Scholar] [CrossRef]















| R-Parameter | Absolute Parameter | Definition |
|---|---|---|
| R0 | =Uf | Maximum skin deformation [mm] |
| R1 | =Uf Ua | Difference max. deformation/final retraction |
| R2 | =Ua/Uf | Rational retraction/max. deformation |
| R3 | =last max. amplitude | If repeated circles of negative pressure/release are applied |
| R4 | =last min. amplitude | If repeated circles of negative pressure/release are applied |
| R5 | =Ur/Ue | Ration immediate retraction/immediate deformation |
| R6 | =Uv/Ue | Rationale deformation/immediate deformation |
| R7 | =Ur/Uf | Ratio immediate retraction/maximum deformation |
| R8 | =Ua | Final retraction [mm] |
| Patient Number | Age | Scar Type | Location | Time Since Injury | Previous Treatment |
|---|---|---|---|---|---|
| P1 | 30 | Post-traumatic | Dorsal side of hand | 1.5 years | None |
| P2 | 56 | Post-surgical | Chest | 5 years | None |
| P3 | 37 | Post-surgical | Lower abdomen | 1.5 years | None |
| P4 | 34 | Post-surgical | Neck | 2.5 years | None |
| P5 | 49 | Post-surgical | Lower abdomen | 42 years | Physiotherapeutic mobilization |
| P6 | 35 | Post-burn | Chest | 32 years | None |
| POSAS Patient Scale Results | ||||||||||||||
|---|---|---|---|---|---|---|---|---|---|---|---|---|---|---|
| Category | P1 | P2 | P3 | P4 | P5 | P6 | Mean Score | |||||||
| Before | After | Before | After | Before | After | Before | After | Before | After | Before | After | Before | After | |
| Pain | 1 | 1 | 3 | 1 | 3 | 1 | 1 | 1 | 1 | 1 | 4 | 1 | 2.2 | 1.0 |
| Itchiness | 3 | 3 | 2 | 1 | 8 | 2 | 1 | 1 | 1 | 1 | 2 | 2 | 2.8 | 1.7 |
| Color | 10 | 5 | 7 | 3 | 9 | 3 | 10 | 7 | 3 | 1 | 5 | 4 | 7.3 | 3.8 |
| Stiffness | 8 | 2 | 4 | 2 | 9 | 3 | 10 | 5 | 10 | 8 | 8 | 4 | 8.2 | 4.0 |
| Thickness | 8 | 2 | 4 | 2 | 8 | 3 | 10 | 7 | 10 | 10 | 10 | 3 | 8.3 | 4.5 |
| Irregularity | 7 | 3 | 8 | 4 | 8 | 3 | 10 | 7 | 10 | 9 | 10 | 4 | 8.8 | 5.0 |
| Overall | 10 | 3 | 8 | 4 | 8 | 4 | 10 | 7 | 10 | 9 | 9 | 5 | 9.2 | 5.3 |
| TOTAL | 47 | 19 | 36 | 17 | 53 | 19 | 52 | 35 | 45 | 39 | 48 | 23 | 46.8 | 25.3 |
| POSAS Observer Scale Results | ||||||||||||||
| Category | P1 | P2 | P3 | P4 | P5 | P6 | Mean Score | |||||||
| Before | After | Before | After | Before | After | Before | After | Before | After | Before | After | Before | After | |
| Vascularity | 8 | 6 | 5 | 4 | 8 | 5 | 10 | 8 | 1 | 1 | 4 | 3 | 6.0 | 4.5 |
| Pigmentation | 7 | 5 | 4 | 4 | 6 | 4 | 7 | 4 | 3 | 2 | 7 | 4 | 5.7 | 3.8 |
| Thickness | 5 | 3 | 5 | 2 | 5 | 4 | 7 | 5 | 5 | 4 | 4 | 2 | 5.2 | 3.3 |
| Relief | 7 | 3 | 4 | 2 | 7 | 5 | 6 | 5 | 5 | 4 | 6 | 3 | 5.8 | 3.7 |
| Pliability | 5 | 3 | 5 | 3 | 8 | 6 | 5 | 4 | 8 | 7 | 8 | 3 | 6.5 | 4.3 |
| Surface area | 3 | 2 | 6 | 3 | 8 | 5 | 9 | 6 | 3 | 3 | 6 | 3 | 5.8 | 3.7 |
| Overall | 6 | 4 | 6 | 3 | 7 | 5 | 7 | 5 | 7 | 6 | 8 | 4 | 6.8 | 4.5 |
| TOTAL | 41 | 26 | 35 | 21 | 49 | 34 | 51 | 37 | 32 | 27 | 43 | 22 | 41.8 | 27.8 |
Disclaimer/Publisher’s Note: The statements, opinions and data contained in all publications are solely those of the individual author(s) and contributor(s) and not of MDPI and/or the editor(s). MDPI and/or the editor(s) disclaim responsibility for any injury to people or property resulting from any ideas, methods, instructions or products referred to in the content. |
© 2025 by the authors. Licensee MDPI, Basel, Switzerland. This article is an open access article distributed under the terms and conditions of the Creative Commons Attribution (CC BY) license (https://creativecommons.org/licenses/by/4.0/).
Share and Cite
Wacewicz-Muczyńska, M.; Chojnacka, D.; Redlarska, B.; Kołodziejczak, A. Evaluating Effects of Skin Needling Treatment on Visible Changes and Elasticity of Scars Using High-Frequency Ultrasound, Cutometer®, and Standardized Questionnaire—Six Case Studies. J. Clin. Med. 2025, 14, 5553. https://doi.org/10.3390/jcm14155553
Wacewicz-Muczyńska M, Chojnacka D, Redlarska B, Kołodziejczak A. Evaluating Effects of Skin Needling Treatment on Visible Changes and Elasticity of Scars Using High-Frequency Ultrasound, Cutometer®, and Standardized Questionnaire—Six Case Studies. Journal of Clinical Medicine. 2025; 14(15):5553. https://doi.org/10.3390/jcm14155553
Chicago/Turabian StyleWacewicz-Muczyńska, Marta, Dominika Chojnacka, Bogumiła Redlarska, and Anna Kołodziejczak. 2025. "Evaluating Effects of Skin Needling Treatment on Visible Changes and Elasticity of Scars Using High-Frequency Ultrasound, Cutometer®, and Standardized Questionnaire—Six Case Studies" Journal of Clinical Medicine 14, no. 15: 5553. https://doi.org/10.3390/jcm14155553
APA StyleWacewicz-Muczyńska, M., Chojnacka, D., Redlarska, B., & Kołodziejczak, A. (2025). Evaluating Effects of Skin Needling Treatment on Visible Changes and Elasticity of Scars Using High-Frequency Ultrasound, Cutometer®, and Standardized Questionnaire—Six Case Studies. Journal of Clinical Medicine, 14(15), 5553. https://doi.org/10.3390/jcm14155553

