Complications of Surgically Assisted Rapid Maxillary/Palatal Expansion (SARME/SARPE)—A Retrospective Analysis of 185 Cases Treated at a Single Center
Abstract
1. Introduction
2. Materials and Methods
2.1. Patients
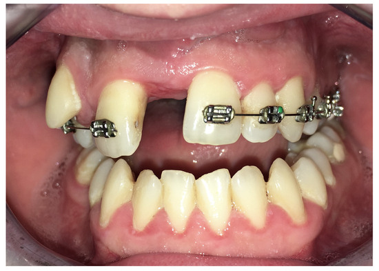
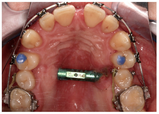
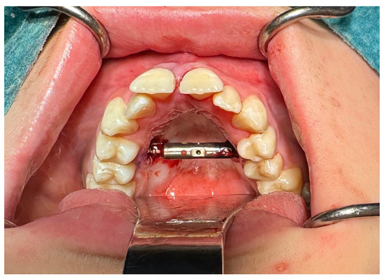
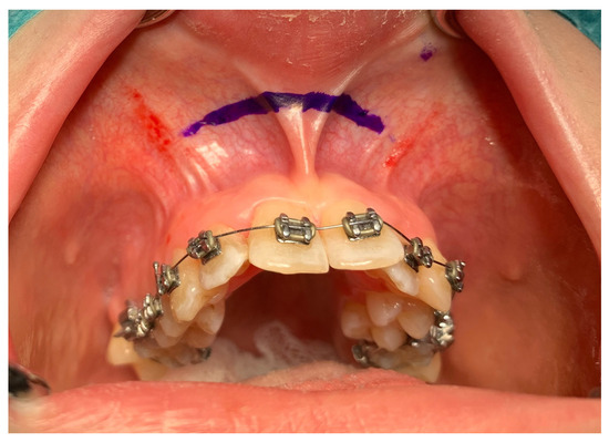
2.2. Protocol of Surgical Treatment and Postoperative Examinations
2.3. Methods of Statistical Analysis
3. Results
4. Discussion
5. Conclusions
Author Contributions
Funding
Institutional Review Board Statement
Informed Consent Statement
Data Availability Statement
Conflicts of Interest
References
- Bays, R.A.; Greco, J.M. Surgically assisted rapid palatal expansion: An outpatient technique with long-term stability. J. Oral Maxillofac. Surg. 1992, 50, 110–113. [Google Scholar] [CrossRef] [PubMed]
- Mommaerts, M.Y. Transpalatal distraction as a method of maxillary expansion. Br. J. Oral Maxillofac. Surg. 1999, 37, 268–272. [Google Scholar] [CrossRef] [PubMed]
- Koudstaal, M.J.; Poort, L.J.; van der Wal, K.G.H.; Wolvius, E.B.; Prahl-Andersen, B.; Schulten, A.J.M. Surgically assisted rapid maxillary expansion (SARME): A review of the literature. Int. J. Oral Maxillofac. Surg. 2005, 34, 709–714. [Google Scholar] [CrossRef] [PubMed]
- Chrcanovic, B.R.; Custódio, A.L.N. Orthodontic or surgically assisted rapid maxillary expansion. Oral Maxillofac. Surg. 2009, 13, 123–137. [Google Scholar] [CrossRef] [PubMed]
- Blæhr, T.L.; Mommaerts, M.Y.; Kjellerup, A.D.; Starch-Jensen, T. Surgically assisted rapid maxillary expansion with bone-borne versus tooth-borne distraction appliances-a systematic review. Int. J. Oral Maxillofac. Surg. 2019, 48, 492–501. [Google Scholar] [CrossRef] [PubMed]
- Lines, P.A. Adult rapid maxillary expansion with corticotomy. Am. J. Orthod. 1975, 67, 44–56. [Google Scholar] [CrossRef] [PubMed]
- Bell, W.H.; Epker, B.N. Surgical-orthodontic expansion of the maxilla. Am. J. Orthod. 1976, 70, 517–528. [Google Scholar] [CrossRef]
- Ernst, N.; Adolphs, N. Role of distraction osteogenesis in craniomaxillofacial surgery. Innov. Surg. Sci. 2016, 1, 97–103. [Google Scholar] [CrossRef] [PubMed]
- Manekk, R.S.; Gharde, P.; Gattani, R.; Lamture, Y. Surgical Complications and Its Grading: A Literature Review. Cureus 2022, 14, e24963. [Google Scholar] [CrossRef]
- Paley, D. Problems, obstacles, and complications of limb lengthening by the Ilizarov technique. Clin. Orthop. Relat. Res. 1990, 250, 81–104. [Google Scholar] [CrossRef]
- Dindo, D.; Demartines, N.; Clavien, P.A. Classification of surgical complications: A new proposal with evaluation in a cohort of 6336 patients and results of a survey. Ann. Surg. 2004, 240, 205–213. [Google Scholar] [CrossRef] [PubMed]
- Dindo, D.; Clavien, P.A. What Is a Surgical Complication? World J. Surg. 2008, 32, 939–941. [Google Scholar] [CrossRef] [PubMed]
- Chamberland, S. Maxillary expansion in nongrowing patients. Conventional, surgical, or miniscrew-assisted, an update. J. World Fed. Orthod. 2023, 12, 173–183. [Google Scholar] [CrossRef]
- de Azambuja Carvalho, P.H.; Garcia, R.R.; Estrela, C.B.; Filho, V.A.P. Root Fracture as Complication of Surgically Assisted Rapid Maxillary Expansion. J. Craniofac. Surg. 2018, 29, e529–e530. [Google Scholar] [CrossRef] [PubMed]
- Dergin, G.; Aktop, S.; Varol, A.; Ugurlu, F.; Garip, H. Complications related to surgically assisted rapid palatal expansion. Oral Surg. Oral Med. Oral Pathol. Oral Radiol. 2015, 119, 601–607. [Google Scholar] [CrossRef] [PubMed]
- Verlinden, C.R.A.; Gooris, P.G.; Becking, A.G. Complications in transpalatal distraction osteogenesis: A retrospective clinical study. J. Oral Maxillofac. Surg. 2011, 69, 899–905. [Google Scholar] [CrossRef] [PubMed]
- Williams, B.J.D.; Currimbhoy, S.; Silva, A.; O’Ryan, F.S. Complications following surgically assisted rapid palatal expansion: A retrospective cohort study. J. Oral Maxillofac. Surg. 2012, 70, 2394–2402. [Google Scholar] [CrossRef]
- Verquin, M.; Daems, L.; Politis, C. Short-term complications after surgically assisted rapid palatal expansion: A retrospective cohort study. Int. J. Oral Maxillofac. Surg. 2017, 46, 303–308. [Google Scholar] [CrossRef] [PubMed]
- Lanigan, D.T.; Mintz, S.M. Complications of surgically assisted rapid palatal expansion: Review of the literature and report of a case. J. Oral Maxillofac. Surg. 2002, 60, 104–110. [Google Scholar] [CrossRef]
- Pinto, P.X.; Pinto, P.X.; Mommaerts, M.Y.; Wreakes, G.; Jacobs, W.V. Immediate postexpansion changes following the use of the transpalatal distractor. J. Oral Maxillofac. Surg. 2001, 59, 994–1000. [Google Scholar] [CrossRef]
- Hamedi Sangsari, A.; Sadr-Eshkevari, P.; Al-Dam, A.; Friedrich, R.E.; Freymiller, E.; Rashad, A. Surgically Assisted Rapid Palatomaxillary Expansion With or Without Pterygomaxillary Disjunction: A Systematic Review and Meta-Analysis. J. Oral Maxillofac. Surg. 2016, 74, 338–348. [Google Scholar] [CrossRef]
- Möhlhenrich, S.C.; Ernst, K.; Peters, F.; Kniha, K.; Chhatwani, S.; Prescher, A.; Danesh, G.; Hölzle, F.; Modabber, A. Immediate dental and skeletal influence of distractor position on surgically assisted rapid palatal expansion with or without pterygomaxillary disjunction. Int. J. Oral Maxillofac. Surg. 2021, 50, 649–656. [Google Scholar] [CrossRef]
- Matteini, C.; Mommaerts, M.Y. Posterior transpalatal distraction with pterygoid disjunction: A short-term model study. Am. J. Orthod. Dentofac. Orthop. 2001, 120, 498–502. [Google Scholar] [CrossRef]
- Adolphs, N.; Ernst, N.; Menneking, H.; Hoffmeister, B. Transpalatal distraction-state of the art for the individual management of transverse maxillary deficiency—A review of 50 consecutive cases. J. Craniomaxillofac. Surg. 2014, 42, 1669–1674. [Google Scholar] [CrossRef]
- Adolph, N.; Kunz, C.; Pyk, P.; Hammer, B.; Rahn, B. Callus mineralization following distraction osteogenesis of the mandible monitored by scanning acoustic microscopy (SAM). J. Craniomaxillofac. Surg. 2005, 33, 314–317. [Google Scholar] [CrossRef]
- Günbay, T.; Akay, M.C.; Günbay, S.; Aras, A.; Koyuncu, B.Ö.; Sezer, B. Transpalatal distraction using bone-borne distractor: Clinical observations and dental and skeletal changes. J. Oral Maxillofac. Surg. 2008, 66, 2503–2514. [Google Scholar] [CrossRef]
- Natu, S.S.; Ali, I.; Alam, S.; Giri, K.Y.; Agarwal, A.; Kulkarni, V.A. The biology of distraction osteogenesis for correction of mandibular and craniomaxillofacial defects: A review. Dent. Res. J. 2014, 11, 16. [Google Scholar]
- Friscia, M.; Sbordone, C.; Petrocelli, M.; Vaira, L.A.; Attanasi, F.; Cassandro, F.M.; Paternoster, M.; Iaconetta, G.; Califano, L. Complications after orthognathic surgery: Our experience on 423 cases. Oral Maxillofac. Surg. 2017, 21, 171–177. [Google Scholar] [CrossRef]
- Zaroni, F.M.; Cavalcante, R.C.; João da Costa, D.; Kluppel, L.E.; Scariot, R.; Rebellato, N.L.B. Complications associated with orthognathic surgery: A retrospective study of 485 cases. J. Craniomaxillofac. Surg. 2019, 47, 1855–1860. [Google Scholar] [CrossRef]
- Lanigan, D.T. Internal carotid artery and ophthalmic injuries. Oral Maxillofac. Surg. Clin. N. Am. 1997, 9, 271–278. [Google Scholar] [CrossRef]
- Lanigan, D.T. Vascular complications associated with orthognathic surgery. Oral Maxillofac. Surg. Clin. N. Am. 1997, 9, 231–250. [Google Scholar] [CrossRef]
- Mehra, P.; Cottrell, D.A.; Caiazzo, A.; Lincoln, R. Life-threatening, delayed epistaxis after surgically assisted rapid palatal expansion: A case report. J. Oral Maxillofac. Surg. 1999, 57, 201–204. [Google Scholar] [CrossRef]
- Nowak, R.; Olejnik, A.; Gerber, H.; Frątczak, R.; Zawiślak, E. Comparison of Tooth- and Bone-Borne Appliances on the Stress Distributions and Displacement Patterns in the Facial Skeleton in Surgically Assisted Rapid Maxillary Expansion—A Finite Element Analysis (FEA) Study. Materials 2021, 14, 1152. [Google Scholar] [CrossRef]
- Kaya, N.; Seker, E.D.; Yücesoy, T. Comparison of the effects of different rapid maxillary expansion techniques on craniofacial structures: A finite element analysis study. Prog. Orthod. 2023, 24, 7. [Google Scholar] [CrossRef]
- Cureton, S.L.; Cuenin, M. Surgically assisted rapid palatal expansion: Orthodontic preparation for clinical success. Am. J. Orthod. Dentofac. Orthop. 1999, 116, 46–59. [Google Scholar] [CrossRef]
- Beck, B.W.; Harris, E.F. Apical root resorption in orthodontically treated subjects: Analysis of edgewise and light wire mechanics. Am. J. Orthod. Dentofac. Orthop. 1994, 105, 350–361. [Google Scholar] [CrossRef]
- Apajalahti, S.; Peltola, J.S. Apical root resorption after orthodontic treatment—A retrospective study. Eur. J. Orthod. 2007, 29, 408–412. [Google Scholar] [CrossRef]
- Koudstaal, M.J.; Wolvius, E.B.; Schulten, A.J.M.; Hop, W.C.J.; van der Wal, K.G.H. Stability, tipping and relapse of bone-borne versus tooth-borne surgically assisted rapid maxillary expansion; a prospective randomized patient trial. Int. J. Oral Maxillofac. Surg. 2009, 38, 308–315. [Google Scholar] [CrossRef]
- Forst, D.; Nijjar, S.; Khaled, Y.; Lagravere, M.; Flores-Mir, C. Radiographic assessment of external root resorption associated with jackscrew-based maxillary expansion therapies: A systematic review. Eur. J. Orthod. 2014, 36, 576–585. [Google Scholar] [CrossRef]
- Akyalcin, S.; Alexander, S.P.; Silva, R.M.; English, J.D. Evaluation of three-dimensional root surface changes and resorption following rapid maxillary expansion: A cone beam computed tomography investigation. Orthod. Craniofac. Res. 2015, 18 (Suppl. S1), 117–126. [Google Scholar] [CrossRef]
- Ramieri, G.A.; Spada, M.C.; Austa, M.; Bianchi, S.D.; Berrone, S. Transverse maxillary distraction with a bone-anchored appliance: Dento-periodontal effects and clinical and radiological results. Int. J. Oral Maxillofac. Surg. 2005, 34, 357–363. [Google Scholar] [CrossRef]
- Öztürk, M.; Doruk, C.; Özec, I.; Polat, S.; Babacan, H.; Biçakci, A.A. Pulpal blood flow: Effects of corticotomy and midline osteotomy in surgically assisted rapid palatal expansion. J. Cranio-Maxillofac. Surg. 2003, 31, 97–100. [Google Scholar] [CrossRef]
- Seitz, O.; Landes, C.A.; Philipp, D.J.; Sader, R.; Klein, C.M. Reliable surgically assisted rapid palatal expansion by maxillary widening device. J. Craniofac. Surg. 2008, 19, 846–849. [Google Scholar] [CrossRef]
- Verstraaten, J.; Kuijpers-Jagtman, A.M.; Mommaerts, M.Y.; Bergé, S.J.; Nada, R.M.; Schols, J.G. A systematic review of the effects of bone-borne surgical assisted rapid maxillary expansion. J. Craniomaxillofac. Surg. 2010, 38, 166–174. [Google Scholar] [CrossRef]
- Koudstaal, M.J.; Smeets, J.B.J.; Kleinrensink, G.J.; Schulten, A.J.M.; van der Wal, K.G.H. Relapse and stability of surgically assisted rapid maxillary expansion: An anatomic biomechanical study. J. Oral Maxillofac. Surg. 2009, 67, 10–14. [Google Scholar] [CrossRef]
- Lagravère, M.O.; Carey, J.; Heo, G.; Toogood, R.W.; Major, P.W. Transverse, vertical, and anteroposterior changes from bone-anchored maxillary expansion vs traditional rapid maxillary expansion: A randomized clinical trial. Am. J. Orthod. Dentofac. Orthop. 2010, 137, 304.e1–304.e12. [Google Scholar] [CrossRef]













| Sex | Age Range | p | ||||
|---|---|---|---|---|---|---|
| Age 11–20 (N = 40) | Age 21–30 (N = 97) | Age 31–40 (N = 41) | Age 40+ (N = 7) | Total (N = 185) | ||
| Female | 24 (60.00%) | 43 (44.33%) | 25 (60.98%) | 5 (71.43%) | 97 (52.43%) | p = 0.128 |
| Male | 16 (40.00%) | 54 (55.67%) | 16 (39.02%) | 2 (28.57%) | 88 (47.57%) | |
| Parameter | Group | Duration of Surgery [min] | p | ||||||
|---|---|---|---|---|---|---|---|---|---|
| Mean | SD | Median | Min | Max | Q1 | Q3 | |||
| Skeletal group | I class (N = 38) | 76.32 | 17.19 | 70.0 | 55 | 135 | 65.00 | 83.75 | p = 0.695 |
| II class (N = 68) | 81.57 | 26.85 | 77.5 | 30 | 180 | 63.75 | 95.00 | ||
| III class (N = 79) | 79.56 | 24.42 | 75.0 | 35 | 175 | 65.00 | 92.50 | ||
| Open bite | OB present (N = 39) | 82.95 | 26.00 | 80.0 | 30 | 180 | 67.50 | 90.00 | p = 0.314 |
| OB absent (N = 146) | 78.75 | 23.52 | 75.0 | 35 | 175 | 60.00 | 90.00 | ||
| Asymmetry | Asymmetry present (N = 29) | 72.07 | 24.62 | 70.0 | 35 | 180 | 60.00 | 80.00 | p = 0.015 * |
| Asymmetry absent (N = 156) | 81.04 | 23.76 | 80.0 | 30 | 175 | 65.00 | 95.00 | ||
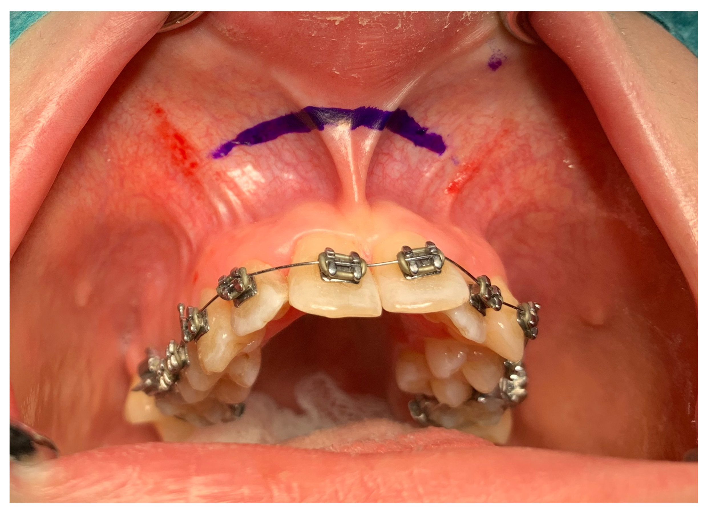
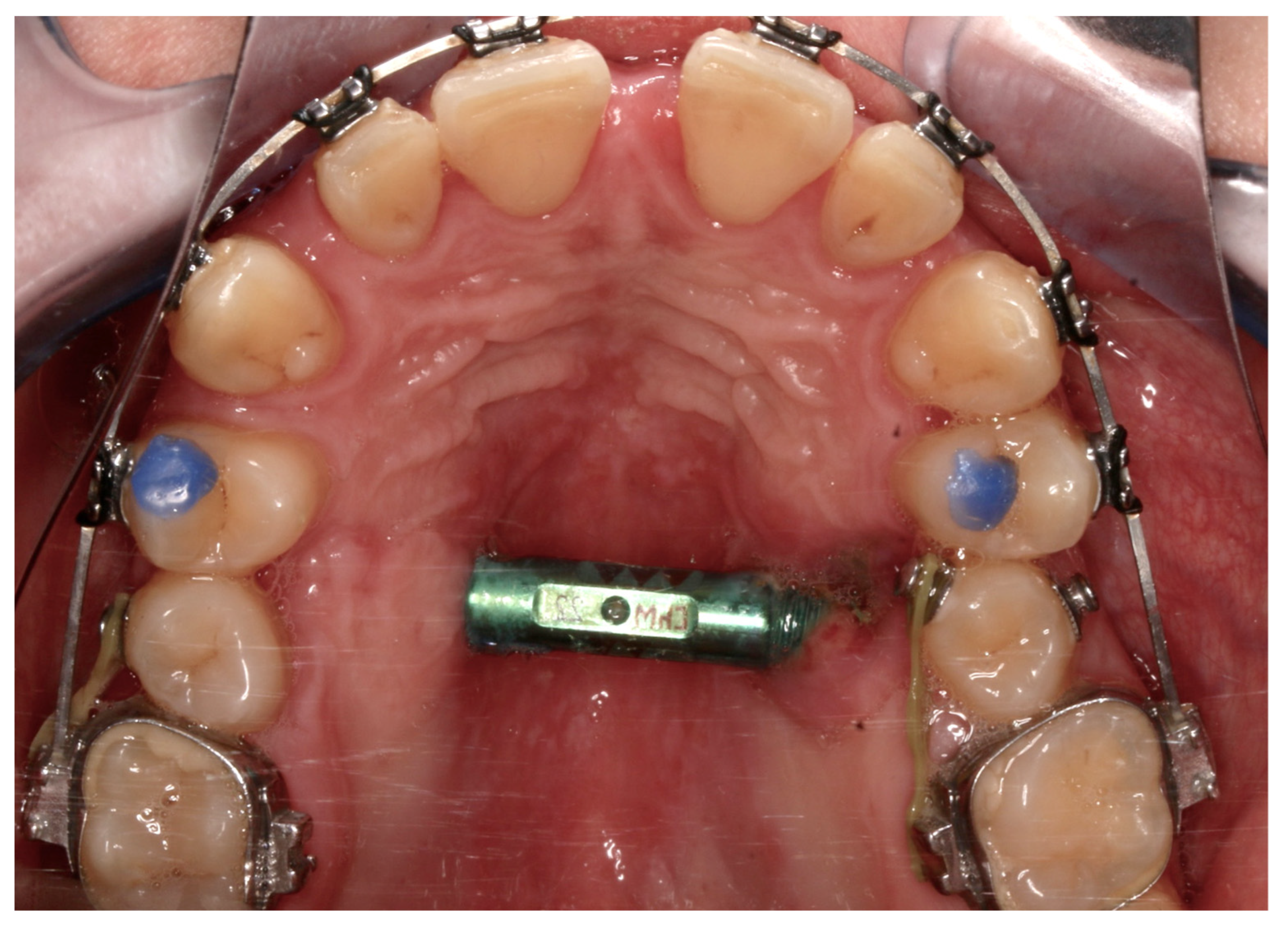
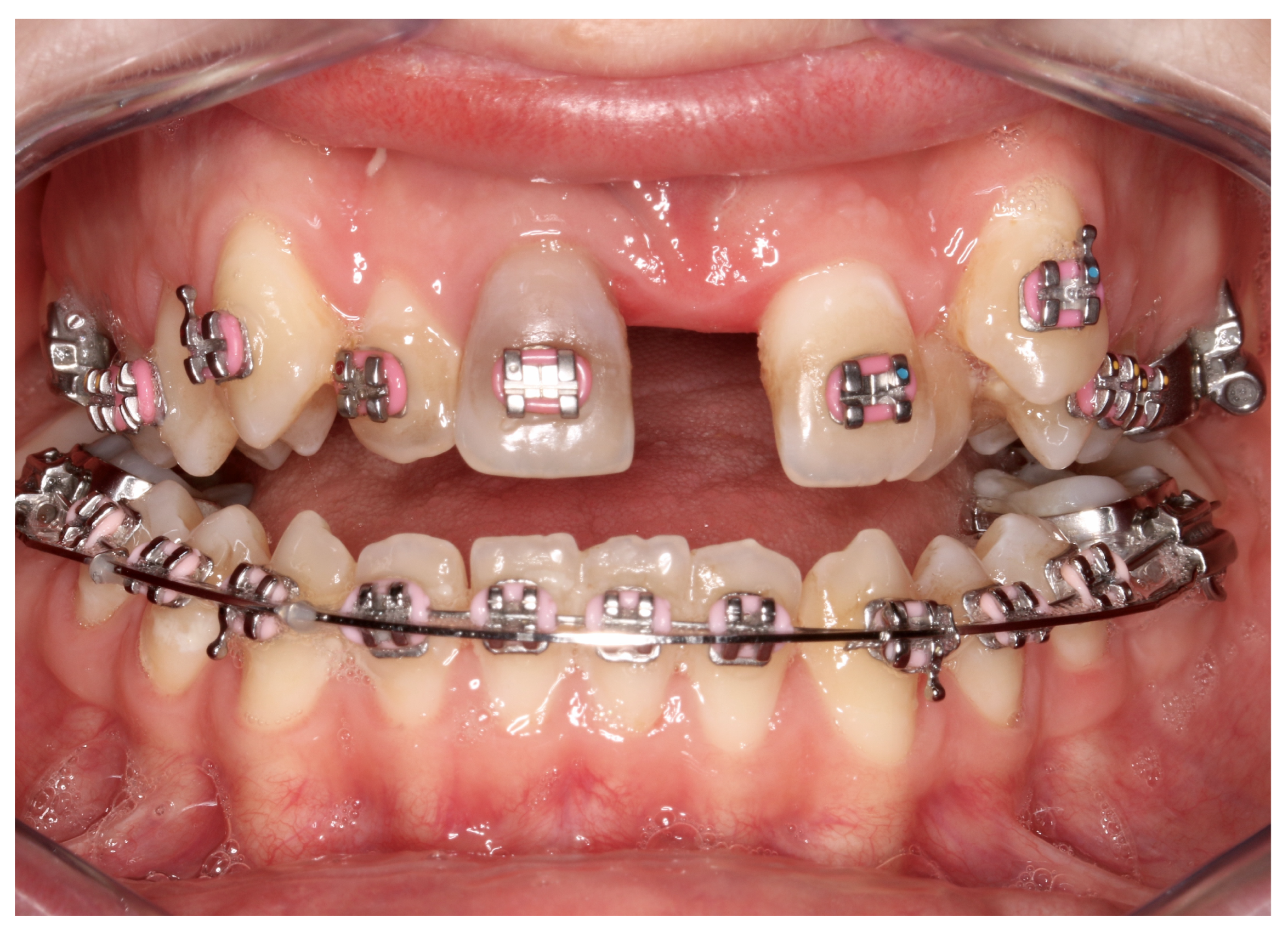
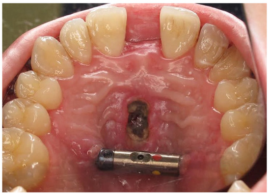
| Early Complications/up to 3 Weeks after Surgery | Late Complications/ > 3 Weeks after Surgery |
|---|---|
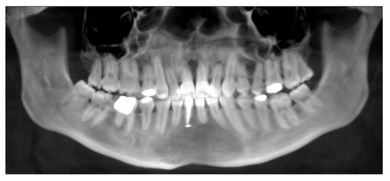
| No possibility of distraction—1 case | Maxillary incisor root resorption—2 cases |
| Palatal mucosal necrosis—2 cases | Bone loss/lack of adhesion in the distraction gap—5 cases |
| Perforation of the maxillary alveolar process caused by the distractor—1 case | Maxillary incisor necrosis—2 cases |
| Asymmetric distraction—5 cases | |
| 9 cases (4.86%) | 9 cases (4.86%) |
| Parameter | Group | Complications | p | |
|---|---|---|---|---|
| Present | Absent | |||
| Age range | Age 11–20 (N = 40) | 3 (7.50%) | 37 (92.50%) | p = 0.91 |
| Age 21–30 (N = 97) | 10 (10.31%) | 87 (89.69%) | ||
| Age 31–40 (N = 41) | 3 (7.32%) | 38 (92.68%) | ||
| Age 40+ (N = 7) | 0 (0.00%) | 7 (100.00%) | ||
| Sex | Female (N = 97) | 6 (6.19%) | 91 (93.81%) | p = 0.322 |
| Male (N = 88) | 10 (11.36%) | 78 (88.64%) | ||
| Skeletal group | I class (N = 38) | 0 (0.00%) | 38 (100.00%) | p = 0.023 * |
| II class (N = 68) | 10 (14.71%) | 58 (85.29%) | ||
| III class (N = 79) | 6 (7.59%) | 73 (92.41%) | ||
| Open bite | OB present (N = 39) | 7 (17.95%) | 32 (82.05%) | p = 0.047 * |
| OB absent (N = 146) | 9 (6.16%) | 137 (93.84%) | ||
| Asymmetry | Asymmetry present (N = 29) | 2 (6.90%) | 27 (93.10%) | p = 1 |
| Asymmetry absent (N = 156) | 14 (8.97%) | 142 (91.03%) | ||
| PMJ separation | PMJ separation (N = 60) | 6 (10.00%) | 54 (90.00%) | p = 0.862 |
| No PMJ separation (N = 125) | 10 (8.00%) | 115 (92.00%) | ||
| Distractor | T 14 (N = 22) | 4 (18.18%) | 18 (81.82%) | p = 0.06 |
| T 16 (N = 53) | 3 (5.66%) | 50 (94.34%) | ||
| T 18 (N = 48) | 6 (12.50%) | 42 (87.50%) | ||
| T 20 (N = 46) | 1 (2.17%) | 45 (97.83%) | ||
| Hyrax (N = 8) | 0 (0.00%) | 8 (100.00%) | ||
| ChM20 (N = 2) | 0 (0.00%) | 2 (100.00%) | ||
| ChM23 (N = 6) | 2 (33.33%) | 4 (66.67%) | ||
| Duration of surgery | ≤60 min (N = 43) | 3 (6.98%) | 40 (93.02%) | p = 0.31 |
| 60–120 min (N = 133) | 11 (8.27%) | 122 (91.73%) | ||
| >120 min (N = 9) | 2 (22.22%) | 7 (77.78%) | ||
Disclaimer/Publisher’s Note: The statements, opinions and data contained in all publications are solely those of the individual author(s) and contributor(s) and not of MDPI and/or the editor(s). MDPI and/or the editor(s) disclaim responsibility for any injury to people or property resulting from any ideas, methods, instructions or products referred to in the content. |
© 2024 by the authors. Licensee MDPI, Basel, Switzerland. This article is an open access article distributed under the terms and conditions of the Creative Commons Attribution (CC BY) license (https://creativecommons.org/licenses/by/4.0/).
Share and Cite
Nowak, R.; Przywitowski, S.; Golusiński, P.; Olejnik, A.; Zawiślak, E. Complications of Surgically Assisted Rapid Maxillary/Palatal Expansion (SARME/SARPE)—A Retrospective Analysis of 185 Cases Treated at a Single Center. J. Clin. Med. 2024, 13, 2053. https://doi.org/10.3390/jcm13072053
Nowak R, Przywitowski S, Golusiński P, Olejnik A, Zawiślak E. Complications of Surgically Assisted Rapid Maxillary/Palatal Expansion (SARME/SARPE)—A Retrospective Analysis of 185 Cases Treated at a Single Center. Journal of Clinical Medicine. 2024; 13(7):2053. https://doi.org/10.3390/jcm13072053
Chicago/Turabian StyleNowak, Rafał, Szymon Przywitowski, Paweł Golusiński, Anna Olejnik, and Ewa Zawiślak. 2024. "Complications of Surgically Assisted Rapid Maxillary/Palatal Expansion (SARME/SARPE)—A Retrospective Analysis of 185 Cases Treated at a Single Center" Journal of Clinical Medicine 13, no. 7: 2053. https://doi.org/10.3390/jcm13072053
APA StyleNowak, R., Przywitowski, S., Golusiński, P., Olejnik, A., & Zawiślak, E. (2024). Complications of Surgically Assisted Rapid Maxillary/Palatal Expansion (SARME/SARPE)—A Retrospective Analysis of 185 Cases Treated at a Single Center. Journal of Clinical Medicine, 13(7), 2053. https://doi.org/10.3390/jcm13072053

