Abstract
Mitral valve annular calcification-related valvular disease is increasingly common due to the rising prevalence of age-related mitral annular calcifications. Mitral annular calcification alters the structure and function of the mitral valve annulus, which in turn causes mitral valve regurgitation, stenosis, or both. As it frequently coexists with comorbid conditions and overlapping symptoms, mitral annular calcification-related valvular disease poses significant diagnostic and therapeutic challenges. For instance, left ventricular diastolic dysfunction hinders the assessment of mitral valvular disease. Detection of mitral annular calcifications and assessment of related mitral valve disease hinge on two-dimensional echocardiography. Comprehensive assessment of mitral annular calcifications and related mitral valve disease may require multidetector computed tomography and three-dimensional echocardiography. Invasive hemodynamic testing with exercise helps identify the cause of symptoms in patients with comorbid conditions, and transcatheter interventions have emerged as a viable therapeutic option for older patients. After an outline of the normal mitral annulus, we examine how mitral annular calcifications lead to mitral valve disease and how to accurately assess mitral regurgitation and stenosis. Lastly, we review surgical and transcatheter approaches to the management of mitral annular calcification-related mitral valve regurgitation, stenosis, or both.
1. Introduction
The prevalence of mitral annular calcification (MAC) and related valvular disease is increasing as the population ages. The prevalence of MAC varies from 5 to 42%. The age of study participants and the imaging modality used for MAC detection account for the wide variance [1,2,3]. Two population-based studies reported a prevalence of 2.2% and 6.6% for MAC-related mitral stenosis (MS) and 11.9% and 9.5% for significant MAC-related mitral regurgitation (MR) [4,5]. Among patients with mitral valve disease (MVD), patients with MAC-related MVD have the lowest survival rates. The one-year survival rate post-diagnosis is 76% in patients with MAC-related MVD and 86% in patients with other MVD [5].
The development of MAC is viewed as a degenerative aging process. However, besides aging, the following mechanisms contribute to the development and progression of MAC [6]:
- Atherosclerotic process: There is a well-established correlation between MAC and vascular diseases, such as coronary artery disease [7,8], carotid artery disease, and strokes [1,2]. Hence, MAC and atherosclerosis may share common mechanisms.
- Calcium phosphate metabolism: A dysregulated calcium phosphate metabolism in patients with chronic kidney disease may result in calcium deposition, contributing to MAC [9].
- Mechanical stress: Increased stress on the mitral annulus, mitral valve (MV), and MV apparatus is often due to left ventricular (LV) hypertrophy (LVH) and elevated LV pressure. Elderly patients with MAC commonly exhibit abnormal LV diastolic function, left atrial enlargement, and compromised left atrium (LA) reservoir strain, thereby highlighting the high prevalence of MAC in patients with heart failure and preserved ejection fraction (HFpEF) [10].
- Inflammation: There is growing evidence linking MAC to inflammatory processes, as illustrated by elevated inflammatory markers in patients with MAC [11]. Imaging with F18-fluorodeoxyglucose (FDG) reveals increased FDG uptake in patients with MAC [12].
Epicardial adipose tissue secretes inflammatory mediators and cytokines [13]. Likely due to heightened inflammation, the thickness of epicardial adipose tissue is an independent predictor of the severity of MAC [14].
2. Mitral Valve Physiology and Mechanisms of Related Mitral Valve Disease
The mitral valve annulus serves as a boundary between the LA and the LV. The mitral annulus has an anterior and posterior segment. The anterior segment connects the aortic root to the anterior leaflet of the mitral valve and thereby forms the aorto-mitral curtain. The anterior and posterior segments act as anchoring points for the respective MV leaflets [15,16].
The annulus possesses a dynamic, non-planar configuration that plays a crucial role in the MV [15,16].
Characteristically, the annulus adopts a saddle-shaped form with distinctive anterior and posterior horns. During the systolic phase of the LV, the annulus moves downward. However, as the downward motion of the posterior horn is greater than that of the anterior horn, the annulus folds along the inter-commissural diameter, bringing the anterior annulus closer to the posterior annulus during LV systole [16] (Figure 1). The differential motion accentuates the saddle shape during LV systole (deepening of the saddle height), thereby promoting valve coaptation and deterring MV regurgitation. Additionally, the differential downward motion minimizes stress on the MV leaflets by reducing the mitral valve area by 20–42%, allowing a more resilient MV to withstand elevated LV systolic pressures [15,16,17].
Figure 1.
Illustration of the mitral valve annulus during diastole and systole demonstrating the increase in the anterior horn saddle height, folding along the inter-commissural diameter, and reduction in mitral valve area during systole. AV: aortic valve.
Moderate-to-severe MAC affects the downward motion of the annulus. Compared to the normal annulus, the anteroposterior (AP) diameter is larger in diastole and decreases less during systole. Furthermore, the annulus flattens during LV systole with a lesser deepening of the saddle height in patients with MAC [18].
The greater abundance of MAC in the posterior annulus than in the anterior annulus [19] is presumably related to the high fat content of the posterior leaflet. MAC can expand to the leaflets, papillary muscle, and LV wall [20].
The following mechanisms underlie MVD development in MAC:
Extension of the posterior annulus calcifications to the posterior leaflet and sub-valvular apparatus resulting in restricted motion of the posterior leaflet and, therefore, lack of coaptation [21] (Figure 2).
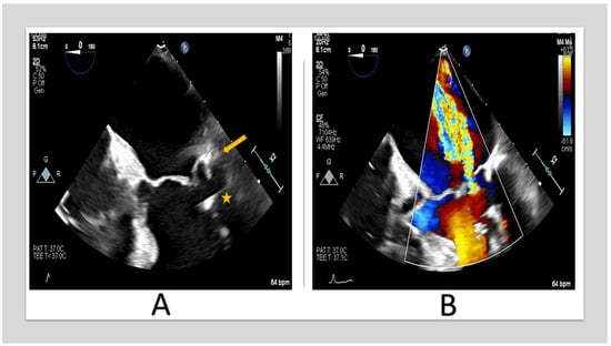
Figure 2.
TEE images of 67-year-old woman with severe MR. (A) shows posterior annulus calcification (arrow) with sub-valvular apparatus extension (star. (B) shows posteriorly directed MR jet due to posterior leaflet restriction. (TEE: transesophageal echocardiography, MR: mitral regurgitation).
Abundant MAC results in impaired dynamic function of the annulus, which is less saddled during LV systole and shows less leaflet coaptation [21].
Sub-valvular calcifications may push the posterior leaflet toward the atrium, causing malcoaptation [16]; additionally, the latter mechanism might increase the tension on calcified chordae and lead to chordal rupture and flail leaflet [20].
On the other hand, MS is primarily due to the annular calcium shelf displacing the valve annulus inward along with calcifications extending toward the base of the leaflets, resulting in inflow obstruction [21] (Figure 3 and Figure 4). Involvement of the anterior annulus is a key contributor to the development of MS [19]. Unlike rheumatic MS (RMS), where the obstruction is at the tip of the leaflets, the obstruction is at the annulus base of the leaflets in degenerative MS. Furthermore, the calcification is non-planar and results in tubular inflow, unlike the funnel shape in RMS [19].
Figure 3.
TTE of 57_year_old woman with end-stage renal disease. (A) shows severe MAC involving the anterior and the posterior annulus with extension to the leaflets and the chordae. (B) shows mitral inflow continuous-wave Doppler with mean gradient of 11 mmHg. (TTE: transthoracic echocardiography, MAC: mitral annular calcification).
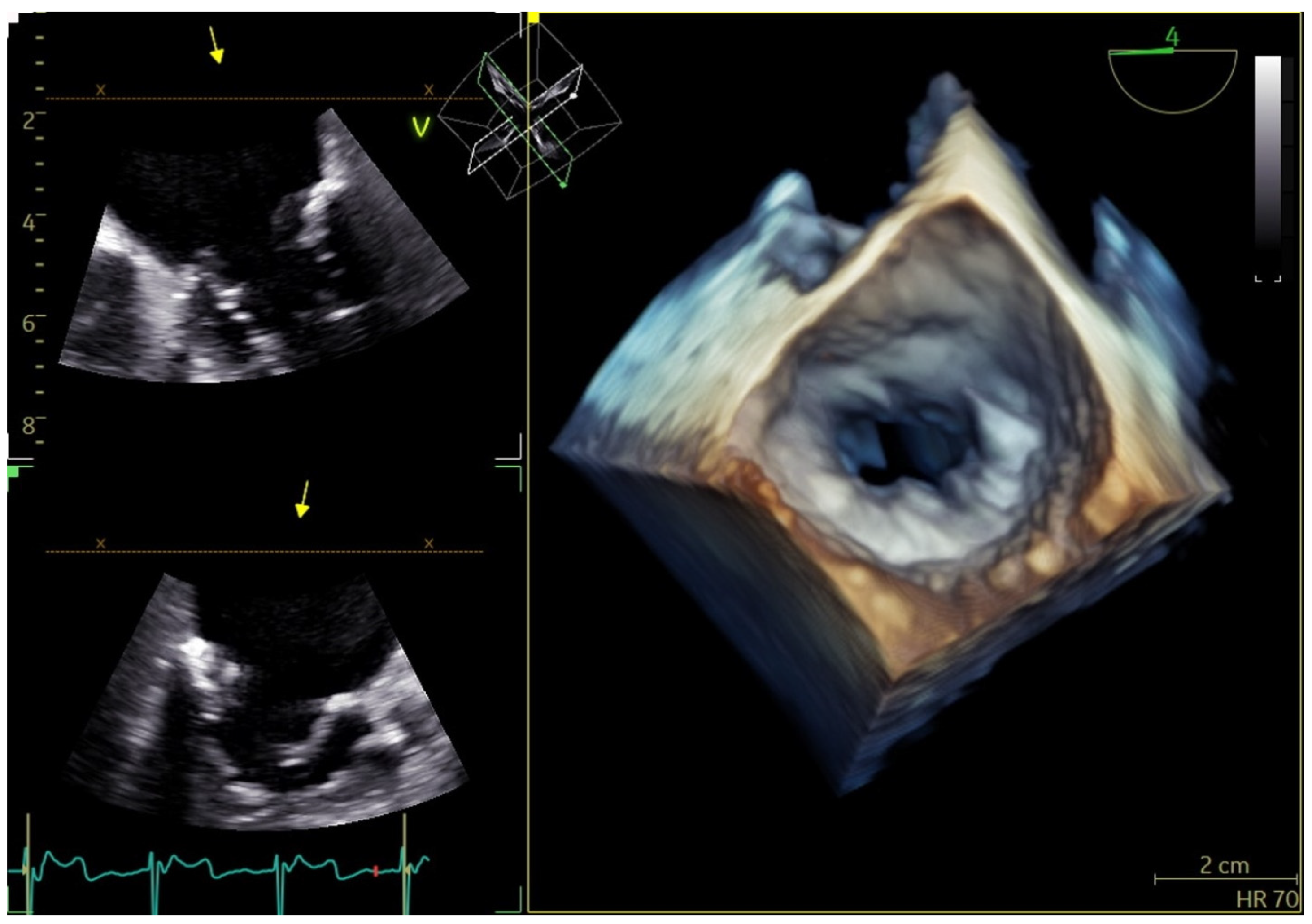
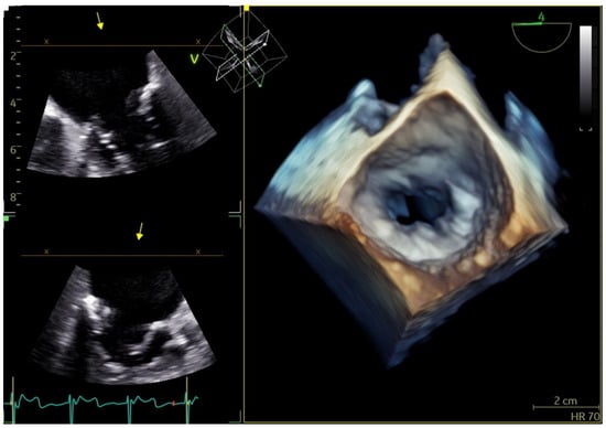
Figure 4.
Three-dimensional TEE: severe MAC involves >270° of the annulus and results in MS due to displacement of the annulus inward. (TEE: transesophageal echocardiography, MAC: mitral annular calcification, MS: mitral stenosis).
2.1. MAC Natural History
Over a 10-year follow-up, 22 and 4% of patients with mild MAC progressed to severe MAC and MAC-related MVD, respectively [22]. Among the patients with moderate MAC, 71 and 23% progressed to severe MAC and MAC-related MVD, respectively [22]. Within 18–36 months of the initial diagnosis, nearly one-third of patients with MAC progress, as evidenced by a rising trans-mitral mean pressure gradient and MAC angle in the parasternal shortaxis view by 2D TTE [23]. Patients with progressive MAC had smaller LV end systolic dimensions and higher ejection fraction, systolic blood pressure and pulse pressure than those with stable MAC [23]. Over a median follow-up of 39.2 months, patients with progressive MAC had worse clinical outcomes than patients with stable MAC [23]. Control of hemodynamic stress and comorbidities may delay progression of MAC.
Rarely, MAC evolves into a caseous form. While the relationship between caseous MAC and MVD remains unclear, it introduces challenges to procedural planning for transcatheter valve interventions, coupled with an increased risk of stroke [24].
2.2. MAC Assessment and Grading
Two-dimensional (2D) echocardiography is the core imaging modality to detail MAC and assess MAC amount and impact on MV function. The thickness of calcifications from the leading edge of the anterior annulus to the trailing edge of the posterior leaflet and the extent of circumferential calcification helps us to appraise the amount of MAC [2,25]. Two-dimensional echocardiography has notable limitations for MAC assessment and grading. It cannot distinguish between fibrosis and calcification, and MAC can cast shadows that obscure underlying structures. Transesophageal echocardiography (TEE), particularly with three-dimensional imaging, offers a superior assessment over transthoracic echocardiography (TTE) due to enhanced visualization [26].
Three-dimensional (3D) TEE is as accurate as multidetector computed tomography (MDCT) in assessing mitral valve geometry [27], but MDCT is superior for MAC assessment [28]. However, 3D TEE with maximum intensity projection enhances calcification evaluation by making the calcified spots more irregular/prominent and providing the echocardiographer with improved insights into calcification characteristics [29,30].
MDCT has a high spatial resolution that enables MAC grading. Offering a superior visualization of MAC, MDCT provides a comprehensive evaluation of MAC and supports a novel grading system based on the circumference and thickness of MAC as well as the involvement of leaflets and trigones (Figure 5) [31]. The novel grading system may predict the risk of valve embolization during transcatheter valve replacement procedures. In fact, the Heart Valve Collaboratory [26] integrated the MDCT score into clinical, echocardiographic, and anatomical data to refine the assessment of patient suitability for potential interventions.
Figure 5.
Elements used in the MAC score and their corresponding points. Average annulus calcium thickness (<5 mm = 1 point, 5 to 9.9 mm = 2 points, ≥10 mm = 3 points); calcium distribution in annulus circumference (<180° = 1 point, 180° to 270° = 2, ≥270° = 3); trigone calcification (none = 0, anterolateral = 1, posteromedial = 1); and mitral leaflet calcification (none = 0, anterior = 1, posterior = 1). A severity grade is assigned based on total points accumulated as follows: mild MAC = 3 points or less, moderate MAC = 4 to 6 points, and severe MAC ≥ 7 points. CT = computed tomography; MAC = mitral annular calcification. Reproduced with permission from Guerrero et al [31]., A Cardiac Computed Tomography–Based Score to Categorize Mitral Annular Calcification Severity and Predict Valve Embolization, JACC: Cardiovascular Imaging, Volume 13, Issue 9, September 2020, Pages 1945–1957. Copyright [2020] [American College of Cardiology Foundation].
2.3. MAC-Related Mitral Valve Disease Assessment
While MDCT is superior to 2D echocardiography for grading the amount of MAC, 2D echocardiography is the core imaging modality for assessment of MAC-related MVD. The definition of severe MAC-related MVD includes the presence of moderate-to-severe MR or severe MS (valve area < 1.5 cm2) [21]. The coexistence of MR and MS, which is common, adds complexity to the evaluation of MAC-related MVD [21]. Trans-mitral pressure gradient (TMG) closely correlates with mortality in patients with MAC-related MVD [32,33].
An updated definition of severe MAC-related MVD includes severe MS (valve area < 1.5 cm2), moderate-to-severe MR or TMG > 8–10 mmHg along with the presence of severe stenosis and regurgitation [21].
MAC-related MVD frequently affects elderly patients who have comorbid conditions like HFpEF, hypertension, aortic stenosis (AS), LVH, and depressed LV compliance [34] that lead to LA enlargement, reduced LA compliance, and abnormal LA–LV coupling [35]. Patients with reduced LA compliance and advanced LV diastolic dysfunction have a high LA V wave followed by a steep y descend due to rapid LV filling of a poorly compliant LV (high E wave velocity with short deceleration time on echocardiography) that heightens TMG in the early phase of diastole [34]. Thus, any degree of superimposed degenerative MS accentuates the TMG. In contrast to degenerative MS, the LV compliance is normal in RMS [36]; the y descend is less steep and the TMG closely reflects stenosis in RMS MS [34]. Chiefly, HFpEF may underlie the increased mortality of patients with high TMG and MAC-related MVD.
Ascertaining whether exertional symptoms are due to MAC-related MVD or HFpEF is a clinical challenge. Further, the presence of MAC complicates the assessment of LV diastolic function by 2D echocardiography [37]. By monitoring LV diastolic pressure and LA pressure during exercise, invasive hemodynamic testing may help to determine whether MAC-related MVD or LV diastolic dysfunction is primarily responsible for exertional symptoms in very old patients with HFpEF and MAC [34].
On the other hand, severe MS disproportionately affects women more than men [19,32]. With a lower body surface area and a smaller LV cavity and thereby a lower stroke volume than men, women may have severe MS and low TMG [19].
2.4. MS Assessment
Assessing the severity of MAC-related MS is a significant hurdle due to the lack of reliable measurement methods. The TMG may be misleading, as we discussed in the previous section.
The continuity equation is often used to evaluate MV area. However, it cannot be used in patients with mitral regurgitation (MR) or aortic insufficiency (AI) [38]. The pressure half-time method is validated and shows a strong correlation with MV area, as measured by the Gorlin equation [39] in patients with RMS who have normal left atrial and ventricular compliance. The pressure half-time method can lead to overestimation of MV area in patients with MAC and MAC-related MVD who have depressed LV and LA compliance [40].
The proximal isovelocity surface area (PISA) method is problematic in MAC-related MS. The valve’s tubular geometry hinders the formation of a hemispherical flow convergence region that the PISA method assumes.
Planimetry by 2D echocardiography accurately evaluates the severity of RMS [41], where the mitral valve typically presents as a funnel shape, allowing for precise measurement at the leaflet tips. In contrast, the tubular and non-planar geometry seen in MAC-related MS thwarts the accuracy of planimetry by 2D echocardiography. Planimetry by three-dimensional (3D) echocardiography is as accurate as volumetric assessment of MAC-related MS independent of MR or AI [42] (see Table 1 and Figure 6). In patients with MAC-related MVD, the role of MDCT is limited to MV anatomy and planimetry of MV area.
Table 1.
MAC-related MS assessment methods.
Figure 6.
MVA measurement using 3D TEE planimetry. (MVA: mitral valve area, 3D TEE: three-dimensional transesophageal echocardiography).
2.5. MR Assessment
Shadowing from MAC affects the assessment of MAC-related MR by transthoracic 2D echocardiography. It impairs visualization of the vena contracta and jet area and the accuracy of color Doppler and continuous wave (CW) assessments. Thus, transesophageal 2D echocardiography (TEE) is a superior option in patients with MAC, as its position beyond the area of calcification minimizes the impact of shadowing [38].
However, the quantitative methods for evaluating degenerative MR have their own limitations. The PISA method is a widely recognized method for the measurement of the effective regurgitant orifice area (EROA) and regurgitant volume (Rvol) [43]. In MAC-related MR, where jets are often eccentric, the PISA method does not form a perfect hemisphere and may overestimate the EROA and, subsequently, the Rvol. Furthermore, the use of the continuity equation for MR assessment can be compromised by concurrent AI—a not uncommon finding in patients with aortic valve calcification. The accuracy of the continuity equation also depends on precise measurement of the LV outflow tract (LVOT) diameter, a common source of error.
Three-dimensional echocardiography is a promising tool for the evaluation of MAC-related MR. Specifically, 3D vena contracta area obtained via TEE with 3D color Doppler provides a more accurate appraisal of MAC-related MR severity. A study by Goebel et al. [44] indicates that 3D vena contracta area (see Figure 7) correlates more closely with Rvol than the PISA method. The latter tends to overestimate EROA, leading to a potential misclassification of moderate MR as severe (see Table 2).
Figure 7.
Measurement of vena contracta area by 3D TEE. (3D TEE: three-dimensional transesophageal echocardiography).
Table 2.
MAC-related MR assessment methods.
2.6. MAC and Aortic Stenosis
The frequent occurrence of MAC in patients with calcific AS suggests that MAC and AS share some underlying mechanisms [45]. The prevalence of MAC, severe MAC, and MAC-related MVD in individuals with severe calcific AS who underwent transcatheter aortic valve replacement (TAVR) was 43%, 10%, and 6.8%, respectively [46]. The presence of MAC might increase cardiovascular mortality after TAVR [46]. However, in agreement with Okuno et al. [47], the sole presence of MAC, even in its severe form, did not significantly increase all-cause mortality during the 30-day and 1-year follow-up periods. In contrast, several studies reported that the presence of MAC-related MVD was associated with higher mortality rates at both the 30-day and 1-year marks [46,47,48,49,50,51,52,53].
MR was expected to improve after TAVR due to a reduction in LV pressure, reverse remodeling that results in a smaller annulus, and LVEF improvement in patients with low-flow, low-gradient AS. However, several studies have shown that MAC-related MR is unlikely to improve after TAVR [52,54,55]. The lack of improvement in MR post-TAVR worsens outcomes post-TAVR [56]
The common coexistence of severe calcific AS and MAC-related MVD begets a challenging multivalvular condition. Typically, patients with calcific AS and MAC-related MVD have elevated surgical and anatomical risks and are less amenable to conventional surgical interventions. Currently, most reports of transcatheter valve interventions target both valves simultaneously [57,58].
2.7. Management
The presence of MAC is surgically challenging. Any amount of MAC increases operative mortality and complications [59]. Patients with MAC-related MVD confront two major risks: elevated surgical risk attributed to very old age and multiple comorbidities and anatomical risk determined by the amount of MAC. Both risks guide the selection of interventions [60].
Surgical techniques can be broadly categorized into two groups: MV surgery with MAC resection and annulus reconstruction and MV surgery without MAC resection [61], also termed as resect vs. respect [62]. The resection technique carries risks of atrioventricular groove dissociation, LV perforation, and injury to the left circumflex artery. Conversely, the respect approach presents increased risk of paravalvular leak due to suboptimal suture anchoring to the calcified annulus and the tendency to use a smaller valve with the risk of valve prosthesis mismatch [61,62].
In a systematic review [63], 15 surgical studies reported wide ranges of mortalities at 30 days, 1 year, and 5 years: 0% to 27.3% (median 6.3%), 0–17% (median 15.8%), and 0–68.6% (median 38.8%), respectively. Variances in mortality rates are likely attributable to broad surgical and anatomical risks that may have been underreported in some studies. Whether the minimally invasive surgical approaches [64,65,66] can benefit patients with MAC-related MR is unclear.
For patients with low surgical risk and anatomically feasible conditions, the surgical option remains the optimal choice for managing degenerative MVD.
For patients with very high surgical or anatomical risk, or both, the transcatheter approach is being considered increasingly often. The first case of human transcatheter mitral valve replacement (TMVR) was reported in 2009 by Cheung et al. [67] using the transapical approach for the valve-in-valve (ViV) TMVR.
Commonly, TMVR is performed using a transfemoral transeptal approach with a balloon-expandable valve (SAPIEN valve from Edwards Lifesciences LLC) originally designed for transcatheter aortic valve replacement (TAVR) [68]. Transapical or direct transatrial approaches have also been used [68].
The median age was 75 years in a systematic review of 13 studies encompassing 354 patients who underwent transseptal or transapical TMVR [63]. The technical success rate for transeptal TMVR was 75%, with LV outflow tract (LVOT) obstruction occurring in 11.2%. The median in-hospital, 30-day, and 1-year mortality rates for TMVR in patients with MAC were 16.7%, 22.7%, and 43%, respectively.
The mean age was 79 years and the New York Heart Association (NYHA) functional class was III-IV in an early cohort of 12 patients who underwent TMVR for MAC-related MVD [69]. In total, 67% of patients had mitral stenosis and 25% had mixed MAC-related MVD. One patient developed LVOT obstruction and later died. Three patients displayed valve migration, one with complete embolization to LA requiring bailout surgery and two with slight valve migration resulting in severe paravalvular leak. Survival rates at 30 days and 1 year were 83% and 57%, respectively, with 9 out of 10 surviving patients reporting improved exercise tolerance at 30 days and 3 out of 4 patients reporting improved symptoms at 1 year.
Although the survival of patients with MAC was initially poor after TMVR, selection and procedural insights have been gained. Patients with a modest amount of MAC are prone to valve embolization and migration due to insufficient calcium for anchoring. Unexpectedly, a sizeable amount of MAC proved favorable for procedural success. Identification of patients prone to LVOT obstruction helped reduce procedural mortality.
The two largest cohorts of TMVR in MAC, the MAC global registry (n = 106) [70] and STS/ACC/TVT registry (n = 100) [71], reported LVOT obstructions in 11.2% and 10% of patients, respectively. Strategies were devised to mitigate LVOT obstruction and reduce procedural mortality. The first strategy, reported in the MITRAL trial [72], involved preemptive alcohol septal ablation 3–4 weeks before TMVR. The strategy was carried out in seven patients who were identified as being at high risk of LVOT obstruction. It was technically successful, and all seven patients survived the 30-day period. The second strategy, tested in a small single-arm trial, included 30 patients with indication for TMVR in MAC or annuloplasty ring. The strategy involved transcatheter intentional laceration of the anterior mitral valve leaflet (LAMPOON) [73] and resulted in an 87% survival rate at 30 days post-op in patients with MAC. The strategy intended to copycat the anterior leaflet resection during surgical MVR. In patients with MAC, TMVR remains a very high-risk intervention that may benefit highly selected patients who failed optimal medical therapy of co-existent conditions like HFpEF and COPD. Further, TMVR should be performed in experienced centers for patients with favorable anatomy.
Experience with transcatheter edge-to-edge repair (TEER) is limited in patients with MAC-related MR, as severe MAC was one of the exclusion criteria in the EVERESTII trial [74]. Nevertheless, TEER appears safe in selected patients with moderate-to-severe MAC [75,76,77,78]. Patients with MAC-related MR and mitral valve area < 4cm2, calcification extending to the margin of the leaflets and coexisting MS are not candidates for TEER [76].
3. Conclusions
The management of MAC-related MVD poses a growing clinical challenge. Determining whether symptoms are mostly due to MVD is an arduous task in patients with coexisting conditions. In some clinical scenarios, invasive hemodynamic assessment with exercise may be the sole method for differentiation. Additionally, grading the severity of the valvular disease presents another challenge, as most echocardiography methods have limitations in assessing MAC-related MVD. Notably, 3D echocardiography, particularly with TEE, stands out as the most accurate means of grading severity.
Most patients with MAC-related MVD have high surgical risks due to the presence of multiple comorbidities coupled with the technical challenges associated with MAC. Consequently, TMVR in MAC has emerged as a viable therapeutic option. However, reducing the risk of LVOT obstruction requires further investigation. Lastly, TEER may be an option for patients with MAC-related MR who are free of MS with mitral valve area > 4 cm2 and margins free of calcification.
Author Contributions
Conceptualization, A.S.M. and T.H.L.J.; methodology, A.S.M. and T.H.L.J.; software, A.S.M.; investigation, A.S.M. and T.H.L.J.; resources, A.S.M. and T.H.L.J.; data curation, A.S.M.; writing—original draft preparation, A.S.M.; writing—review and editing, T.H.L.J.; visualization, A.S.M. and T.H.L.J.; supervision, T.H.L.J. All authors have read and agreed to the published version of the manuscript.
Funding
This research received no external funding.
Conflicts of Interest
The authors declare no conflict of interest.
References
- Benjamin, E.J.; Plehn, J.F.; D’Agostino, R.B.; Belanger, A.J.; Comai, K.; Fuller, D.L.; Wolf, P.A.; Levy, D. Mitral annular calcification and the risk of stroke in an elderly cohort. N. Engl. J. Med. 1992, 327, 374–379. [Google Scholar] [CrossRef] [PubMed]
- Barasch, E.; Gottdiener, J.S.; Larsen, E.K.; Chaves, P.H.; Newman, A.B.; Manolio, T.A. Clinical significance of calcification of the fibrous skeleton of the heart and aortosclerosis in community dwelling elderly. The Cardiovascular Health Study (CHS). Am. Heart J. 2006, 151, 39–47. [Google Scholar] [CrossRef] [PubMed]
- Fox, E.; Harkins, D.; Taylor, H.; McMullan, M.; Han, H.; Samdarshi, T.; Garrison, R.; Skelton, T. Epidemiology of mitral annular calcification and its predictive value for coronary events in African Americans: The Jackson Cohort of the Atherosclerotic Risk in Communities Study. Am. Heart J. 2004, 148, 979–984. [Google Scholar] [CrossRef] [PubMed]
- Okura, H.; Nakada, Y.; Nogi, M.; Ishihara, S.; Okamura, A.; Okayama, S.; Watanabe, M.; Kawakami, R.; Saito, Y. Prevalence of mitral annular calcification and its association with mitral valvular disease. Echocardiography 2021, 38, 1907–1912. [Google Scholar] [CrossRef]
- Kato, N.; Guerrero, M.; Padang, R.; Amadio, J.M.; Eleid, M.F.; Scott, C.G.; Lee, A.T.; Pislaru, S.V.; Nkomo, V.T.; Pellikka, P.A. Prevalence and Natural History of Mitral Annulus Calcification and Related Valve Dysfunction. Mayo Clin. Proc. 2022, 97, 1094–1107. [Google Scholar] [CrossRef]
- Abramowitz, Y.; Jilaihawi, H.; Chakravarty, T.; Mack, M.J.; Makkar, R.R. Mitral Annulus Calcification. J. Am. Coll. Cardiol. 2015, 66, 1934–1941. [Google Scholar] [CrossRef]
- Atar, S.; Jeon, D.S.; Luo, H.; Siegel, R.J. Mitral annular calcification: A marker of severe coronary artery disease in patients under 65 years old. Heart 2003, 89, 161–164. [Google Scholar] [CrossRef] [PubMed]
- Adler, Y.; Herz, I.; Vaturi, M.; Fusman, R.; Shohat-Zabarski, R.; Fink, N.; Porter, A.; Shapira, Y.; Assali, A.; Sagie, A. Mitral annular calcium detected by transthoracic echocardiography is a marker for high prevalence and severity of coronary artery disease in patients undergoing coronary angiography. Am. J. Cardiol. 1998, 82, 1183–1186. [Google Scholar] [CrossRef]
- Ribeiro, S.; Ramos, A.; Brandão, A.; Rebelo, J.R.; Guerra, A.; Resina, C.; Vila-Lobos, A.; Carvalho, F.; Remédio, F.; Ribeiro, F. Cardiac valve calcification in haemodialysis patients: Role of calcium-phosphate metabolism. Nephrol. Dial. Transplant. 1998, 13, 2037–2040. [Google Scholar] [CrossRef]
- Olsen, F.J.; Diederichsen, S.Z.; Jørgensen, P.G.; Jensen, M.T.; Dahl, A.; Landler, N.E.; Graff, C.; Brandes, A.; Krieger, D.; Haugan, K.; et al. Potential role of conventional and speckle-tracking echocardiography in the screening of structural and functional cardiac abnormalities in elderly individuals: Baseline echocardiographic findings from the LOOP study. PLoS ONE 2022, 17, e0269475. [Google Scholar] [CrossRef]
- Massera, D.; Kizer, J.R.; Dweck, M.R. Mechanisms of mitral annular calcification. Trends Cardiovasc. Med. 2020, 30, 289–295. [Google Scholar] [CrossRef]
- Massera, D.; Trivieri, M.G.; Andrews, J.P.; Sartori, S.; Abgral, R.; Chapman, A.R.; Jenkins, W.S.; Vesey, A.T.; Doris, M.K.; Pawade, T.A.; et al. Disease Activity in Mitral Annular Calcification. Circ. Cardiovasc. Imaging 2019, 12, e008513. [Google Scholar] [CrossRef]
- Mazurek, T.; Zhang, L.; Zalewski, A.; Mannion, J.D.; Diehl, J.T.; Arafat, H.; Sarov-Blat, L.; O’Brien, S.; Keiper, E.A.; Johnson, A.G.; et al. Human epicardial adipose tissue is a source of inflammatory mediators. Circulation 2003, 108, 2460–2466. [Google Scholar] [CrossRef]
- Argan, O.; Avci, E.; Safak, O.; Yildirim, T. Epicardial Adipose Tissue Predicts Severe Mitral Annular Calcification in Patients Aged ≥ 60 Years. Med. Sci. Monit. 2020, 26, e921553. [Google Scholar] [CrossRef]
- Silbiger, J.J.; Bazaz, R. Contemporary insights into the functional anatomy of the mitral valve. Am. Heart J. 2009, 158, 887–895. [Google Scholar] [CrossRef] [PubMed]
- Silbiger, J.J. Anatomy, mechanics, and pathophysiology of the mitral annulus. Am. Heart J. 2012, 164, 163–176. [Google Scholar] [CrossRef] [PubMed]
- Dal-Bianco, J.P.; Beaudoin, J.; Handschumacher, M.D.; Levine, R.A. Basic mechanisms of mitral regurgitation. Can. J. Cardiol. 2014, 30, 971–981. [Google Scholar] [CrossRef] [PubMed]
- Pressman, G.S.; Movva, R.; Topilsky, Y.; Clavel, M.-A.; Saldanha, J.A.; Watanabe, N.; Enriquez-Sarano, M. Mitral Annular Dynamics in Mitral Annular Calcification: A Three-Dimensional Imaging Study. J. Am. Soc. Echocardiogr. 2015, 28, 786–794. [Google Scholar] [CrossRef] [PubMed]
- Mejean, S.; Bouvier, E.; Bataille, V.; Seknadji, P.; Fourchy, D.; Tabet, J.-Y.; Lairez, O.; Cormier, B. Mitral Annular Calcium and Mitral Stenosis Determined by Multidetector Computed Tomography in Patients Referred for Aortic Stenosis. Am. J. Cardiol. 2016, 118, 1251–1257. [Google Scholar] [CrossRef] [PubMed]
- Carpentier, A.F.; Pellerin, M.; Fuzellier, J.F.; Relland, J.Y. Extensive calcification of the mitral valve anulus: Pathology and surgical management. J. Thorac. Cardiovasc. Surg. 1996, 111, 718–729. [Google Scholar] [CrossRef] [PubMed]
- Churchill, T.W.; Yucel, E.; Deferm, S.; Levine, R.A.; Hung, J.; Bertrand, P.B. Mitral Valve Dysfunction in Patients with Annular Calcification: JACC Review Topic of the Week. J. Am. Coll. Cardiol. 2022, 80, 739–751. [Google Scholar] [CrossRef]
- Willner, N.; Burwash, I.G.; Beauchesne, L.; Chan, V.; Vulesevic, B.; Ascah, K.; Coutinho, T.; Promislow, S.; Stadnick, E.; Chan, K.L.; et al. Natural History of Mitral Annular Calcification and Calcific Mitral Valve Disease. J. Am. Soc. Echocardiogr. 2022, 35, 925–932. [Google Scholar] [CrossRef] [PubMed]
- Lee, H.J.; Seo, J.; Gwak, S.; Kim, K.; Cho, I.; Hong, G.; Ha, J.; Shim, C.Y. Risk Factors and Outcomes with Progressive Mitral Annular Calcification. J. Am. Heart Assoc. 2023, 12, e030620. [Google Scholar] [CrossRef]
- Mayr, A.; Muller, S.; Feuchtner, G. The Spectrum of Caseous Mitral Annulus Calcifications. JACC Case Rep. 2021, 3, 104–108. [Google Scholar] [CrossRef] [PubMed]
- Fox, C.S.; Vasan, R.S.; Parise, H.; Levy, D.; O’Donnell, C.J.; D’Agostino, R.B.; Benjamin, E.J. Mitral annular calcification predicts cardiovascular morbidity and mortality: The Framingham Heart Study. Circulation 2003, 107, 1492–1496. [Google Scholar] [CrossRef]
- Guerrero, M.E.; Grayburn, P.; Smith, R.L.; Sorajja, P.; Wang, D.D.; Ahmad, Y.; Blusztein, D.; Cavalcante, J.; Tang, G.H.; Ailawadi, G.; et al. Diagnosis, Classification, and Management Strategies for Mitral Annular Calcification: A Heart Valve Collaboratory Position Statement. JACC Cardiovasc. Interv. 2023, 16, 2195–2210. [Google Scholar] [CrossRef]
- Shanks, M.; Delgado, V.; Ng, A.C.; van der Kley, F.; Schuijf, J.D.; Boersma, E.; van de Veire, N.R.; Nucifora, G.; Bertini, M.; de Roos, A.; et al. Mitral valve morphology assessment: Three-dimensional transesophageal echocardiography versus computed tomography. Ann. Thorac. Surg. 2010, 90, 1922–1929. [Google Scholar] [CrossRef] [PubMed]
- Basman, C.; Ong, C.; Kansara, T.; Kassam, Z.; Wutawunashe, C.; Conroy, J.; Kodra, A.; Trost, B.; Mehla, P.; Pirelli, L.; et al. Utility of Multidetector Computed Tomographic Angiography as an Alternative to Transesophageal Echocardiogram for Preoperative Transcatheter Mitral Valve Repair Planning. J. Cardiovasc. Imaging 2023, 31, 18–23. [Google Scholar] [CrossRef]
- Prandi, F.R.; Anastasius, M.O.; Zhang, L.; Tang, G.H.; Moreno, P.R.; Romeo, F.; Barillà, F.; Sharma, S.; Kini, A.; Lerakis, S. Novel Three-Dimensional Transesophageal Echocardiographic Method for Mapping Mitral Annular Calcifications. J. Am. Soc. Echocardiogr. 2022, 35, 1004–1005. [Google Scholar] [CrossRef]
- Prandi, F.R.; Romeo, F.; Barilla, F.; Sharma, S.; Kini, A.; Lerakis, S. Novel 3D Echocardiographic Technique for Mitral Calcium Mapping. J. Clin. Med. 2023, 12, 1470. [Google Scholar] [CrossRef]
- Guerrero, M.; Wang, D.D.; Pursnani, A.; Eleid, M.; Khalique, O.; Urena, M.; Salinger, M.; Kodali, S.; Kaptzan, T.; Lewis, B.; et al. A Cardiac Computed Tomography-Based Score to Categorize Mitral Annular Calcification Severity and Predict Valve Embolization. JACC Cardiovasc. Imaging 2020, 13, 1945–1957. [Google Scholar] [CrossRef]
- Kato, N.; Padang, R.; Scott, C.G.; Guerrero, M.; Pislaru, S.V.; Pellikka, P.A. The Natural History of Severe Calcific Mitral Stenosis. J. Am. Coll. Cardiol. 2020, 75, 3048–3057. [Google Scholar] [CrossRef] [PubMed]
- Bertrand, P.B.; Churchill, T.W.; Yucel, E.; Namasivayam, M.; Bernard, S.; Nagata, Y.; He, W.; Andrews, C.T.; Picard, M.H.; E Weyman, A.; et al. Prognostic importance of the transmitral pressure gradient in mitral annular calcification with associated mitral valve dysfunction. Eur. Heart J. 2020, 41, 4321–4328. [Google Scholar] [CrossRef] [PubMed]
- Reddy, Y.N.V.; Murgo, J.P.; Nishimura, R.A. Complexity of Defining Severe “Stenosis” from Mitral Annular Calcification. Circulation 2019, 140, 523–525. [Google Scholar] [CrossRef]
- Pezel, T.; Venkatesh, B.A.; De Vasconcellos, H.D.; Kato, Y.; Shabani, M.; Xie, E.; Heckbert, S.R.; Post, W.S.; Shea, S.J.; Allen, N.B.; et al. Left Atrioventricular Coupling Index as a Prognostic Marker of Cardiovascular Events: The MESA Study. Hypertension 2021, 78, 661–671. [Google Scholar] [CrossRef]
- Silbiger, J.J. Mitral Annular Calcification and Calcific Mitral Stenosis: Role of Echocardiography in Hemodynamic Assessment and Management. J. Am. Soc. Echocardiogr. 2021, 34, 923–931. [Google Scholar] [CrossRef]
- Codolosa, J.N.; Koshkelashvili, N.; Alnabelsi, T.; Goykhman, I.; Romero-Corral, A.; Pressman, G.S. Effect of Mitral Annular Calcium on Left Ventricular Diastolic Parameters. Am. J. Cardiol. 2016, 117, 847–852. [Google Scholar] [CrossRef]
- Eleid, M.F.; Foley, T.A.; Said, S.M.; Pislaru, S.V.; Rihal, C.S. Severe Mitral Annular Calcification: Multimodality Imaging for Therapeutic Strategies and Interventions. JACC Cardiovasc. Imaging 2016, 9, 1318–1337. [Google Scholar] [CrossRef] [PubMed]
- Hatle, L.; Angelsen, B.; Tromsdal, A. Noninvasive assessment of atrioventricular pressure half-time by Doppler ultrasound. Circulation 1979, 60, 1096–1104. [Google Scholar] [CrossRef]
- Al-Taweel, A.; Almahmoud, M.F.; Khairandish, Y.; Ahmad, M. Degenerative mitral valve stenosis: Diagnosis and management. Echocardiography 2019, 36, 1901–1909. [Google Scholar] [CrossRef]
- Monteagudo Ruiz, J.M.; Zamorano Gomez, J.L. The Role of 2D and 3D Echo in Mitral Stenosis. J. Cardiovasc. Dev. Dis. 2021, 8, 171. [Google Scholar] [CrossRef]
- Chu, J.W.; Levine, R.A.; Chua, S.; Poh, K.-K.; Morris, E.; Hua, L.; Ton-Nu, T.-T.; Hung, J. Assessing mitral valve area and orifice geometry in calcific mitral stenosis: A new solution by real-time three-dimensional echocardiography. J. Am. Soc. Echocardiogr. 2008, 21, 1006–1009. [Google Scholar] [CrossRef]
- Zoghbi, W.A.; Adams, D.; Bonow, R.O.; Enriquez-Sarano, M.; Foster, E.; Grayburn, P.A.; Hahn, R.T.; Han, Y.; Hung, J.; Lang, R.M.; et al. Recommendations for Noninvasive Evaluation of Native Valvular Regurgitation: A Report from the American Society of Echocardiography Developed in Collaboration with the Society for Cardiovascular Magnetic Resonance. J. Am. Soc. Echocardiogr. 2017, 30, 303–371. [Google Scholar] [CrossRef]
- Goebel, B.; Heck, R.; Hamadanchi, A.; Otto, S.; Doenst, T.; Jung, C.; Lauten, A.; Figulla, H.R.; Schulze, P.C.; Poerner, T.C. Vena contracta area for severity grading in functional and degenerative mitral regurgitation: A transoesophageal 3D colour Doppler analysis in 500 patients. Eur. Heart J. Cardiovasc. Imaging 2018, 19, 639–646. [Google Scholar] [CrossRef]
- Thanassoulis, G.; Campbell, C.Y.; Owens, D.S.; Smith, J.G.; Smith, A.V.; Peloso, G.M.; Kerr, K.F.; Pechlivanis, S.; Budoff, M.J.; Harris, T.B.; et al. Genetic associations with valvular calcification and aortic stenosis. N. Engl. J. Med. 2013, 368, 503–512. [Google Scholar] [CrossRef]
- Ahmad, S.; Yousaf, A.; Ghumman, G.M.; Dvalishvili, M.; Ahsan, M.J.; Dilibe, A.; Reis, H.L.; Qavi, A.H.; Szerlip, M.; Goldsweig, A.M. Outcomes of transcatheter aortic valve replacement in patients with mitral annular calcification and concomitant mitral valve dysfunction: A systematic review and meta-analysis. Cardiovasc. Revasc Med. 2023. [Google Scholar] [CrossRef]
- Okuno, T.; Asami, M.; Khan, F.; Praz, F.; Heg, D.; Lanz, J.; Kassar, M.; Khalique, O.K.; Gräni, C.; Brugger, N.; et al. Does isolated mitral annular calcification in the absence of mitral valve disease affect clinical outcomes after transcatheter aortic valve replacement? Eur. Heart J. Cardiovasc. Imaging 2020, 21, 522–532. [Google Scholar] [CrossRef]
- Mesnier, J.; Urena, M.; Chong-Nguyen, C.; Fischer, Q.; Kikoïne, J.; Carrasco, J.L.; Terzian, Z.; Brochet, E.; Iung, B.; Himbert, D. Impact of Mitral Annular Calcium and Mitral Stenosis on Outcomes after Transcatheter Aortic Valve Implantation. Am. J. Cardiol. 2021, 155, 103–112. [Google Scholar] [CrossRef]
- Bartel, T.; Muller, S. Concomitant mitral stenosis may be associated with low flow: What it means and how it potentially impacts on transcatheter aortic valve replacement. Eur. Heart J. 2019, 40, 1352–1354. [Google Scholar] [CrossRef]
- Joseph, L.; Bashir, M.; Xiang, Q.; Yerokun, B.A.; Matsouaka, R.A.; Vemulapalli, S.; Kapadia, S.; Cigarroa, J.E.; Zahr, F. Prevalence and Outcomes of Mitral Stenosis in Patients Undergoing Transcatheter Aortic Valve Replacement: Findings from the Society of Thoracic Surgeons/American College of Cardiology Transcatheter Valve Therapies Registry. JACC Cardiovasc. Interv. 2018, 11, 693–702. [Google Scholar] [CrossRef]
- Schaefer, A.; Sarwari, H.; Schofer, N.; Schneeberger, Y.; Westermann, D.; Schoen, G.; Blankenberg, S.; Reichenspurner, H.; Schäfer, U.; Conradi, L. TAVI in Patients with Mitral Annular Calcification and/or Mitral Stenosis. Thorac. Cardiovasc. Surg. 2021, 69, 428–436. [Google Scholar] [CrossRef]
- Bedogni, F.; Latib, A.; De Marco, F.; Agnifili, M.; Oreglia, J.; Pizzocri, S.; Latini, R.A.; Lanotte, S.; Petronio, A.S.; De Carlo, M.; et al. Interplay between mitral regurgitation and transcatheter aortic valve replacement with the CoreValve Revalving System: A multicenter registry. Circulation 2013, 128, 2145–2153. [Google Scholar] [CrossRef]
- Takagi, H.; Umemoto, T.; All-Literature Investigation of Cardiovascular Evidence Group. Coexisting Mitral Regurgitation Impairs Survival after Transcatheter Aortic Valve Implantation. Ann. Thorac. Surg. 2015, 100, 2270–2276. [Google Scholar] [CrossRef]
- Cortés, C.; Amat-Santos, I.J.; Nombela-Franco, L.; Muñoz-Garcia, A.J.; Gutiérrez-Ibanes, E.; Hernandez, J.M.D.L.T.; Córdoba-Soriano, J.G.; Jimenez-Quevedo, P.; Hernández-García, J.M.; Gonzalez-Mansilla, A.; et al. Mitral Regurgitation After Transcatheter Aortic Valve Replacement: Prognosis, Imaging Predictors, and Potential Management. JACC Cardiovasc. Interv. 2016, 9, 1603–1614. [Google Scholar] [CrossRef]
- Durst, R.; Avelar, E.; Mccarty, D.; Poh, K.-K.; Friera, L.F.; Llano, M.F.; Chu, J.; Anumandla, A.K.R.; Rodriguez, L.L.; Mack, M.J.; et al. Outcome and improvement predictors of mitral regurgitation after transcatheter aortic valve implantation. J. Heart Valve Dis. 2011, 20, 272–281. [Google Scholar]
- Ferruzzi, G.J.; Silverio, A.; Giordano, A.; Corcione, N.; Bellino, M.; Attisano, T.; Baldi, C.; Morello, A.; Biondi-Zoccai, G.; Citro, R.; et al. Prognostic Impact of Mitral Regurgitation before and after Transcatheter Aortic Valve Replacement in Patients with Severe Low-Flow, Low-Gradient Aortic Stenosis. J. Am. Heart Assoc. 2023, 12, e029553. [Google Scholar] [CrossRef]
- Zientara, A.; Duncan, A.; Heng, E.L.; Quarto, C. Concomitant Transapical Aortic/Mitral Transcatheter Valve Replacement for Severe Aortic Stenosis and Mitral Annular Calcification. JACC Case Rep. 2023, 24, 102025. [Google Scholar] [CrossRef]
- Reed, G.W.; Kapadia, S.R. Residual Mitral Regurgitation after Transcatheter Aortic Valve Replacement: An Important Target for Intervention. J. Am. Heart Assoc. 2023, 12, e031400. [Google Scholar] [CrossRef] [PubMed]
- Kaneko, T.; Hirji, S.; Percy, E.; Aranki, S.; McGurk, S.; Body, S.; Heydarpour, M.; Mallidi, H.; Singh, S.; Pelletier, M.; et al. Characterizing Risks Associated with Mitral Annular Calcification in Mitral Valve Replacement. Ann. Thorac. Surg. 2019, 108, 1761–1767. [Google Scholar] [CrossRef] [PubMed]
- Pizano, A.; Hirji, S.A.; Nguyen, T.C. Severe Mitral Annular Calcification and Mitral Valve Surgery: An Algorithmic Approach to Management. Semin. Thorac. Cardiovasc. Surg. Winter 2020, 32, 630–634. [Google Scholar] [CrossRef] [PubMed]
- Baudo, M.; Petruccelli, R.D.; Muneretto, C. Mitral valve surgery with extensive annular calcification: Review of surgical techniques and postoperative complications. J. Cardiovasc. Med. 2022, 23, 285–289. [Google Scholar] [CrossRef]
- Bedeir, K.; Kaneko, T.; Aranki, S. Current and evolving strategies in the management of severe mitral annular calcification. J. Thorac. Cardiovasc. Surg. 2019, 157, 555–566. [Google Scholar] [CrossRef]
- Alexis, S.L.; Malik, A.H.; El-Eshmawi, A.; George, I.; Sengupta, A.; Kodali, S.K.; Hahn, R.T.; Khalique, O.K.; Zaid, S.; Guerrero, M.; et al. Surgical and Transcatheter Mitral Valve Replacement in Mitral Annular Calcification: A Systematic Review. J. Am. Heart Assoc. 2021, 10, e018514. [Google Scholar] [CrossRef]
- Akowuah, E.F.; Maier, R.H.; Hancock, H.C.; Kharatikoopaei, E.; Vale, L.; Fernandez-Garcia, C.; Ogundimu, E.; Wagnild, J.; Mathias, A.; Walmsley, Z.; et al. Minithoracotomy vs Conventional Sternotomy for Mitral Valve Repair: A Randomized Clinical Trial. JAMA 2023, 329, 1957–1966. [Google Scholar] [CrossRef] [PubMed]
- Piperata, A.; Busuttil, O.; D’ostrevy, N.; Jansens, J.-L.; Taymoor, S.; Cuko, B.; Modine, T.; Pernot, M.; Labrousse, L. Starting A New Robotic Surgery Program for Mitral Valve Repair. Lessons Learned from the First Nine Months. J. Clin. Med. 2021, 10, 5439. [Google Scholar] [CrossRef] [PubMed]
- Kiefer, P.; Meier, S.; Noack, T.; Borger, M.A.; Ender, J.; Hoyer, A.; Mohr, F.W.; Seeburger, J. Good 5-Year Durability of Transapical Beating Heart Off-Pump Mitral Valve Repair with Neochordae. Ann. Thorac. Surg. 2018, 106, 440–445. [Google Scholar] [CrossRef] [PubMed]
- Cheung, A.; Webb, J.G.; Wong, D.R.; Ye, J.; Masson, J.-B.; Carere, R.G.; Lichtenstein, S.V. Transapical transcatheter mitral valve-in-valve implantation in a human. Ann. Thorac. Surg. 2009, 87, e18–e20. [Google Scholar] [CrossRef] [PubMed]
- Agrawal, A.; Reardon, M.J.; Goel, S.S. Transcatheter Mitral Valve Replacement in Patients with Mitral Annular Calcification: A Review. Heart Int. 2023, 17, 19–26. [Google Scholar] [CrossRef] [PubMed]
- Eleid, M.F.; Whisenant, B.K.; Cabalka, A.K.; Williams, M.R.; Nejjari, M.; Attias, D.; Fam, N.; Amoroso, N.; Foley, T.A.; Pollak, P.M.; et al. Early Outcomes of Percutaneous Transvenous Transseptal Transcatheter Valve Implantation in Failed Bioprosthetic Mitral Valves, Ring Annuloplasty, and Severe Mitral Annular Calcification. JACC Cardiovasc. Interv. 2017, 10, 1932–1942. [Google Scholar] [CrossRef] [PubMed]
- Guerrero, M.; Urena, M.; Himbert, D.; Wang, D.D.; Eleid, M.; Kodali, S.; George, I.; Chakravarty, T.; Mathur, M.; Holzhey, D.; et al. 1-Year Outcomes of Transcatheter Mitral Valve Replacement in Patients with Severe Mitral Annular Calcification. J. Am. Coll. Cardiol. 2018, 71, 1841–1853. [Google Scholar] [CrossRef]
- Guerrero, M.; Vemulapalli, S.; Xiang, Q.; Wang, D.D.; Eleid, M.; Cabalka, A.K.; Sandhu, G.; Salinger, M.; Russell, H.; Greenbaum, A.; et al. Thirty-Day Outcomes of Transcatheter Mitral Valve Replacement for Degenerated Mitral Bioprostheses (Valve-in-Valve), Failed Surgical Rings (Valve-in-Ring), and Native Valve with Severe Mitral Annular Calcification (Valve-in-Mitral Annular Calcification) in the United States: Data from the Society of Thoracic Surgeons/American College of Cardiology/Transcatheter Valve Therapy Registry. Circ. Cardiovasc. Interv. 2020, 13, e008425. [Google Scholar] [CrossRef]
- Guerrero, M.; Wang, D.D.; Eleid, M.F.; Pursnani, A.; Salinger, M.; Russell, H.M.; Kodali, S.K.; George, I.; Bapat, V.N.; Dangas, G.D.; et al. Prospective Study of TMVR Using Balloon-Expandable Aortic Transcatheter Valves in MAC: MITRAL Trial 1-Year Outcomes. JACC Cardiovasc. Interv. 2021, 14, 830–845. [Google Scholar] [CrossRef]
- Khan, J.M.; Babaliaros, V.C.; Greenbaum, A.B.; Foerst, J.R.; Yazdani, S.; McCabe, J.M.; Paone, G.; Eng, M.H.; Leshnower, B.G.; Gleason, P.T.; et al. Anterior Leaflet Laceration to Prevent Ventricular Outflow Tract Obstruction during Transcatheter Mitral Valve Replacement. J. Am. Coll. Cardiol. 2019, 73, 2521–2534. [Google Scholar] [CrossRef] [PubMed]
- Mauri, L.; Garg, P.; Massaro, J.M.; Foster, E.; Glower, D.; Mehoudar, P.; Powell, F.; Komtebedde, J.; McDermott, E.; Feldman, T. The EVEREST II Trial: Design and rationale for a randomized study of the evalve mitraclip system compared with mitral valve surgery for mitral regurgitation. Am. Heart J. 2010, 160, 23–29. [Google Scholar] [CrossRef] [PubMed]
- Cheng, R.; Tat, E.; Siegel, R.; Arsanjani, R.; Hussaini, A.; Makar, M.; Mizutani, Y.; Trento, A.; Kar, S. Mitral annular calcification is not associated with decreased procedural success, durability of repair, or left ventricular remodelling in percutaneous edge-to-edge repair of mitral regurgitation. EuroIntervention 2016, 12, 1176–1184. [Google Scholar] [CrossRef] [PubMed]
- Fernández-Peregrina, E.; Pascual, I.; Freixa, X.; Tirado-Conte, G.; Estévez-Loureiro, R.; Carrasco-Chinchilla, F.; Benito-González, T.; Asmarats, L.; Sanchís, L.; Jiménez-Quevedo, P.; et al. Transcatheter edge-to-edge mitral valve repair in patients with mitral annulus calcification. EuroIntervention 2022, 17, 1300–1309. [Google Scholar] [CrossRef] [PubMed]
- Hatab, T.; Chaaya, R.G.B.; Zaid, S.; Wessly, P.; Satish, P.; Villanueva, V.; Faza, N.; Little, S.H.; Atkins, M.D.; Reardon, M.J.; et al. Feasibility and Outcomes of Mitral Transcatheter Edge-To-Edge Repair in Patients with Variable Degrees of Mitral Annular Calcification. J. Am. Heart Assoc. 2023, 12, e031118. [Google Scholar] [CrossRef] [PubMed]
- Shechter, A.; Lee, M.; Kaewkes, D.; Patel, V.; Koren, O.; Chakravarty, T.; Koseki, K.; Nagasaka, T.; Skaf, S.; Makar, M.; et al. Implications of Mitral Annular Calcification on Outcomes Following Mitral Transcatheter Edge-to-Edge Repair. Circ. Cardiovasc. Interv. 2024, e013424. [Google Scholar] [CrossRef] [PubMed]
Disclaimer/Publisher’s Note: The statements, opinions and data contained in all publications are solely those of the individual author(s) and contributor(s) and not of MDPI and/or the editor(s). MDPI and/or the editor(s) disclaim responsibility for any injury to people or property resulting from any ideas, methods, instructions or products referred to in the content. |
© 2024 by the authors. Licensee MDPI, Basel, Switzerland. This article is an open access article distributed under the terms and conditions of the Creative Commons Attribution (CC BY) license (https://creativecommons.org/licenses/by/4.0/).






