Management of Advanced Peri-Implantitis by Guided Bone Regeneration in Combination with Trabecular Metal Fixtures, Two Months after Removal of the Failed Implants: Two-Year Results of a Single-Cohort Clinical Study
Abstract
1. Introduction
2. Materials and Methods
2.1. Study Population
2.2. Inclusion Criteria
2.3. Exclusion Criteria
2.4. Surgical Protocol
2.5. Follow-Up
2.6. Outcome Variables
- Implant survival, defined as the presence of the implant supporting a prosthetic restoration and surrounded by healthy soft tissues at the time of examination.
- Implant success, defined as a functional implant with healthy peri-implant tissues and absence of radio transparency around implant sites. According to the current classification [2], three different peri-implant conditions could be identified:
- -
- Peri-implant health, defined as the absence of clinical signs of inflammation, absence of bleeding and/or suppuration on gentle probing, no increase in probing depth compared to previous examinations, and absence of bone loss beyond crestal bone level changes resulting from initial bone remodeling.
- -
- Peri-implant mucositis, defined as the presence of bleeding and/or suppuration on gentle probing with or without increasing probing depth compared to previous examinations and the absence of bone loss beyond crestal bone level changes resulting from initial bone remodeling.
- -
- Peri-implantitis, defined as the presence of bleeding and/or suppuration on gentle probing with or without increasing probing depth compared to previous examinations and the absence of bone loss beyond crestal bone level changes resulting from initial bone remodeling.
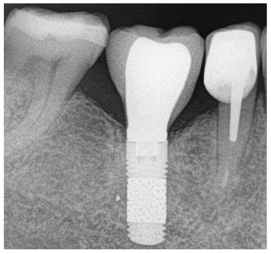
- Bone level changes were evaluated by comparing the measurements at baseline (on the day of prosthesis delivery) with those at follow-up visits. Measurements were obtained with an intraoral radiograph that depicted the vertical distance between the implant shoulder and the most coronal bone contact with the implant surface at mesial and distal sites. All the intraoral radiographs were taken using the parallel technique with an individual tray to ensure reproducibility. Measurements were always performed by the same experienced operator (S.B.) through the software ImageJ version 1.46 (National Institutes of Health, Bethesda, MD, USA), using the known TM implant diameter for calibration. The mesial and distal values were averaged to have a single value per implant.
- Implant stability was assessed through ISQ values (range 0 to 100), measured using magnetic resonance frequency analysis (RFA, OsstellTM Mentor AB, Gothenburg, Sweden) on the day of implant insertion, at the time of prosthesis delivery, and at each scheduled follow-up control. The latter measurements were performed after unscrewing the prosthetic restoration. The transducer was screwed manually, and ISQ measurements were taken both in the mesio-distal (MD) and bucco-lingual/palatal (BL/BP) dimension by keeping the device perpendicular at a distance between 1 and 3 mm and at least 3 mm away from the soft tissues.
- Keratinized mucosa width, probing depth, and bleeding on probing were assessed at each follow-up, following the guidelines of the 2017 World Workshop [3]. Pocket probing around implants was carefully conducted using a calibrated periodontal probe and a light force, to not cause disruption of the implant mucosal seal. Bleeding was only scored as present or absent.
- Any type of biologic and mechanical complication occurring at any time post-surgery.
2.7. Sample Size Calculation
2.8. Statistical Analysis
3. Results
4. Discussion
5. Conclusions
Author Contributions
Funding
Institutional Review Board Statement
Informed Consent Statement
Data Availability Statement
Conflicts of Interest
References
- Albrektsson, T.; Isidor, F. Consensus report of session IV. In Proceedings of the First European Workshop on Periodontology, Warth-Weiningen, Switzerland, 1–4 February 1993; Lang, N.P., Karring, T., Eds.; Quintessence: London, UK, 1994; pp. 365–369. [Google Scholar]
- Berglundh, T.; Armitage, G.; Araujo, M.G.; Avila-Ortiz, G.; Blanco, J.; Camargo, P.M.; Chen, S.; Cochran, D.; Derks, J.; Figuero, E.; et al. Peri-implant diseases and conditions: Consensus report of workgroup 4 of the 2017 World Workshop on the Classification of Periodontal and Peri-Implant Diseases and Conditions. J. Clin. Periodontol. 2018, 45 (Suppl. S20), S286–S291. [Google Scholar] [CrossRef]
- Renvert, S.; Persson, G.R.; Pirih, F.Q.; Camargo, P.M. Peri-implant health, peri-implant mucositis, and peri-implantitis: Case definitions and diagnostic considerations. J. Clin. Periodontol. 2018, 45 (Suppl. S20), S278–S285. [Google Scholar] [CrossRef]
- Schmid, E.; Eick, S.; Sculean, A.; Salvi, G.E. Peri-Implant Diseases: Characteristics of the Microbiota and of the Host Response in Humans—A Narrative Review. Monogr. Oral Sci. 2021, 29, 98–104. [Google Scholar] [PubMed]
- Corrêa, M.G.; Pimentel, S.P.; Ribeiro, F.V.; Cirano, F.R.; Casati, M.Z. Host response and peri-implantitis. Braz. Oral Res. 2019, 33 (Suppl. S1), e066. [Google Scholar] [CrossRef]
- Buranasin, P.; Kominato, H.; Mizutani, K.; Mikami, R.; Saito, N.; Takeda, K.; Iwata, T. Influence of Reactive Oxygen Species on Wound Healing and Tissue Regeneration in Periodontal and Peri-Implant Tissues in Diabetic Patients. Antioxidants 2023, 12, 1787. [Google Scholar] [CrossRef] [PubMed]
- Gasmi Benahmed, A.; Gasmi, A.; Tippairote, T.; Mujawdiya, P.K.; Avdeev, O.; Shanaida, Y.; Bjørklund, G. Metabolic Conditions and Peri-Implantitis. Antibiotics 2023, 12, 65. [Google Scholar] [CrossRef] [PubMed]
- Chun Giok, K.; Menon, R.K. The Microbiome of Peri-Implantitis: A Systematic Review of Next-Generation Sequencing Studies. Antibiotics 2023, 12, 1610. [Google Scholar] [CrossRef] [PubMed]
- Farronato, D.; Azzi, L.; Giboli, L.; Maurino, V.; Tartaglia, G.M.; Farronato, M. Impact of Smoking Habit on Peri-Implant Indicators following Different Therapies: A Systematic Review. Bioengineering 2022, 9, 569. [Google Scholar] [CrossRef] [PubMed]
- Wychowański, P.; Starzynska, A.; Jereczek-Fossa, B.A.; Iwanicka-Grzegorek, E.; Kosewski, P.; Adamska, P.; Wolinski, J. The Effects of Smoking Cigarettes on Immediate Dental Implant Stability—A Prospective Case Series Study. Appl. Sci. 2021, 11, 27. [Google Scholar] [CrossRef]
- Monov, G.; Strbac, G.D.; Baron, M.; Kandler, B.; Watzek, G.; Gruber, R. Soluble RANKL in crevicular fluid of dental implants: A pilot study. Clin. Implant Dent. Relat. Res. 2006, 8, 135–141. [Google Scholar] [CrossRef]
- Strbac, G.D.; Monov, G.; Cei, S.; Kandler, B.; Watzek, G.; Gruber, R. Cathepsin K levels in the crevicular fluid of dental implants: A pilot study. J. Clin. Periodontol. 2006, 33, 302–308. [Google Scholar] [CrossRef] [PubMed]
- Duarte, P.M.; De Mendonça, A.C.; Máximo, M.B.; Santos, V.R.; Bastos, M.F.; Nociti Júnior, F.H. Differential cytokine expressions affect the severity of peri-implant disease. Clin. Oral Implant. Res. 2009, 20, 514–520. [Google Scholar] [CrossRef] [PubMed]
- Arikan, F.; Buduneli, N.; Lappin, D.F. C-telopeptide pyridinoline crosslinks of type I collagen, soluble RANKL, and osteoprotegerin levels in crevicular fluid of dental implants with peri-implantitis: A case-control study. Int. J. Oral Maxillofac. Implant. 2011, 26, 282–289. [Google Scholar]
- Javed, F.; Al-Hezaimi, K.; Salameh, Z.; Almas, K.; Romanos, G.E. Proinflammatory cytokines in the crevicular fluid of patients with peri-implantitis. Cytokine 2011, 53, 8–12. [Google Scholar] [CrossRef] [PubMed]
- Rakic, M.; Lekovic, V.; Nikolic-Jakoba, N.; Vojvodic, D.; Petkovic-Curcin, A.; Sanz, M. Bone loss biomarkers associated with peri-implantitis. A cross-sectional study. Clin. Oral Implant. Res. 2013, 24, 1110–1116. [Google Scholar] [CrossRef] [PubMed]
- Zani, S.R.; Moss, K.; Shibli, J.A.; Teixeira, E.R.; De Oliveira Mairink, R.; Onuma, T.; Feres, M.; Teles, R.P. Peri-implant crevicular fluid biomarkers as discriminants of peri-implant health and disease. J. Clin. Periodontol. 2016, 43, 825–832. [Google Scholar] [CrossRef] [PubMed]
- Albrektsson, T.; Canullo, L.; Cochran, D.; De Bruyn, H. “Peri-Implantitis”: A Complication of a Foreign Body or a Man-Made “Disease”. Facts and Fiction. Clin. Implant Dent. Relat. Res. 2016, 18, 840–849. [Google Scholar] [CrossRef]
- Darby, I. Risk factors for periodontitis & peri-implantitis. Periodontology 2000 2022, 90, 9–12. [Google Scholar] [CrossRef]
- Aguirre-Zorzano, L.A.; Estefania-Fresco, R.; Telletxea, O.; Bravo, M. Prevalence of peri-implant inflammatory disease in patients with a history of periodontal disease who receive supportive periodontal therapy. Clin. Oral Implant. Res. 2015, 26, 1338–1344. [Google Scholar] [CrossRef]
- Daubert, D.M.; Weinstein, B.F.; Bordin, S.; Leroux, B.G.; Flemming, T.F. Prevalence and predictive factors for peri-implant disease and implant failure: A cross-sectional analysis. J. Periodontol. 2015, 86, 337–347. [Google Scholar] [CrossRef] [PubMed]
- Konstantinidis, I.K.; Kotsakis, G.A.; Gerdes, S.; Walter, M.H. Cross-sectional study on the prevalence and risk indicators of peri-implant diseases. Eur. J. Oral Implantol. 2015, 8, 75–88. [Google Scholar] [PubMed]
- Dalago, H.R.; Schuldt Filho, G.; Rodrigues, M.A.; Renvert, S.; Bianchini, M.A. Risk indicators for peri-implantitis. A cross-sectional study with 916 implants. Clin. Oral Implant. Res. 2017, 28, 144–150. [Google Scholar] [CrossRef] [PubMed]
- Monje, A.; Wang, H.-L.; Nart, J. Association of preventive maintenance therapy compliance and peri-implant diseases: A cross-sectional study. J. Periodontol. 2017, 88, 1030–1041. [Google Scholar] [CrossRef]
- Rokn, A.; Aslroosta, H.; Akbari, S.; Najafi, H.; Zayeri, F.; Hashemi, K. Prevalence of peri-implantitis in patients not participating in well-designed supportive periodontal treatments: A cross-sectional study. Clin. Oral Implant. Res. 2017, 28, 314–319. [Google Scholar] [CrossRef] [PubMed]
- Schwarz, F.; Becker, K.; Sahm, N.; Horstkemper, T.; Rousi, K.; Becker, J. The prevalence of peri-implant diseases for two-piece implants with an internal tube-in-tube connection: A cross-sectional analysis of 512 implants. Clin. Oral Implant. Res. 2017, 28, 24–28. [Google Scholar] [CrossRef] [PubMed]
- Derks, J.; Tomasi, C. Peri-implant health and disease. A systematic review of current epidemiology. J. Clin. Periodontol. 2015, 42, S158–S171. [Google Scholar] [CrossRef] [PubMed]
- Roccuzzo, A.; Stähli, A.; Monje, A.; Sculean, A.; Salvi, G.E. Peri-Implantitis: A Clinical Update on Prevalence and Surgical Treatment Outcomes. J. Clin. Med. 2021, 10, 1107. [Google Scholar] [CrossRef]
- Roccuzzo, A.; De Ry, S.; Sculean, A.; Roccuzzo, M.; Salvi, G.E. Current approaches for the non-surgical management of periimplant diseases. Curr. Oral Health Rep. 2020, 7, 274–282. [Google Scholar] [CrossRef]
- Cosgarea, R.; Roccuzzo, A.; Jepsen, K.; Sculean, A.; Jepsen, S.; Salvi, G.E. Efficacy of mechanical/physical approaches for implant surface decontamination in nonsurgical submarginal instrumentation of peri-implantitis. A systematic review. J. Clin. Periodontol. 2023, 50 (Suppl. S26), 188–211. [Google Scholar] [CrossRef]
- Karlsson, K.; Trullenque-Eriksson, A.; Tomasi, C.; Derks, J. Efficacy of access flap and pocket elimination procedures in the management of peri-implantitis: A systematic review and meta-analysis. J. Clin. Periodontol. 2023, 50 (Suppl. S26), 244–284. [Google Scholar] [CrossRef]
- Roccuzzo, A.; Imber, J.C.; Salvi, G.E.; Roccuzzo, M. Peri-implantitis as the consequence of errors in implant therapy. Periodontology 2000 2023, 92, 350–361. [Google Scholar] [CrossRef]
- Montero, E.; Roccuzzo, A.; Molina, A.; Monje, A.; Herrera, D.; Roccuzzo, M. Minimal invasiveness in the reconstructive treatment of peri-implantitis defects. Periodontology 2000 2023, 91, 199–216. [Google Scholar] [CrossRef]
- Heitz-Mayfield, L.J.A.; Mombelli, A. The Therapy of Peri-implantitis: A Systematic Review. Int. J. Oral Maxillofac. Implant. 2014, 29, 325–345. [Google Scholar] [CrossRef]
- Chan, H.L.; Lin, G.H.; Suarez, F.; MacEachern, M.; Wang, H.L. Surgical management of peri-implantitis: A systematic review and meta-analysis of treatment outcomes. J. Periodontol. 2014, 85, 1027–1041. [Google Scholar] [CrossRef] [PubMed]
- Koo, K.T.; Khoury, F.; Keeve, P.L.; Schwarz, F.; Ramanauskaite, A.; Sculean, A.; Romanos, G. Implant Surface Decontamination by Surgical Treatment of Peri-implantitis: A Literature Review. Implant. Dent. 2019, 28, 173–176. [Google Scholar] [CrossRef]
- Derks, J.; Ortiz-Vigón, A.; Guerrero, A.; Donati, M.; Bressan, E.; Ghensi, P.; Schaller, D.; Tomasi, C.; Karlsson, K.; Abrahamsson, I.; et al. Reconstructive surgical therapy of peri-implantitis: A multicenter randomized controlled clinical trial. Clin. Oral Implant. Res. 2022, 33, 921–944. [Google Scholar] [CrossRef] [PubMed]
- Ramanauskaite, A.; Fretwurst, T.; Schwarz, F. Efficacy of alternative or adjunctive measures to conventional non-surgical and surgical treatment of peri-implant mucositis and peri-implantitis: A systematic review and meta-analysis. Int. J. Implant. Dent. 2021, 7, 112. [Google Scholar] [CrossRef]
- Monje, A.; Nart, J. Management and sequelae of dental implant removal. Periodontology 2000 2022, 88, 182–200. [Google Scholar] [CrossRef] [PubMed]
- Bianconi, S.; Bozzoli, P.; Del Fabbro, M. Treatment of postextraction sites with allograft-stabilized dental implants: A clinical case series. Implant. Dent. 2017, 26, 37–45. [Google Scholar] [CrossRef] [PubMed]
- Bianconi, S.; Romanos, G.; Fontanella, F.; Mortellaro, C.; Del Fabbro, M. Early postextraction implants may achieve osseointegration in the absence of primary stability. A pilot study. J. Biol. Regul. Homeost. Agents 2019, 33, 1–12. [Google Scholar] [PubMed]
- Bianconi, S.; Wang, H.-L.; Testori, T.; Fontanella, F.; Del Fabbro, M. Bone modifications around trabecular porous implants inserted with or without primary stability in postextraction sites. A 3-year controlled trial. Int. J. Oral Implantol. 2020, 13, 241–252. [Google Scholar]
- Froum, S.J.; Rosen, P.S. A proposed classification for peri-implantitis. Int. J. Periodontics Restor. Dent. 2012, 32, 533–540. [Google Scholar]
- Baltayan, S.; Pi-Anfruns, J.; Aghaloo, T.; Moy, P.K. The Predictive Value of Resonance Frequency Analysis Measurements in the Surgical Placement and Loading of Endosseous Implants. J. Oral Maxillofac. Surg. 2016, 74, 1145–1152. [Google Scholar] [CrossRef] [PubMed]
- Harris, D.; Horner, K.; Gröndahl, K.; Jacobs, R.; Helmrot, E.; Benic, G.I.; Bornstein, M.M.; Dawood, A.; Quirynen, M. E.A.O. guidelines for the use of diagnostic imaging in implant dentistry 2011. A consensus workshop organized by the European Association for Osseointegration at the Medical University of Warsaw. Clin. Oral Implant. Res. 2012, 23, 1243–1253. [Google Scholar] [CrossRef] [PubMed]
- Schwarz, F.; Jepsen, S.; Obreja, K.; Galarraga-Vinueza, M.E.; Ramanauskaite, A. Surgical therapy of peri-implantitis. Periodontology 2000 2022, 88, 145–181. [Google Scholar] [CrossRef] [PubMed]
- Roccuzzo, M.; Grasso, G.; Dalmasso, P. Keratinized mucosa around implants in partially edentulous posterior mandible: 10-Year results of a prospective comparative study. Clin. Oral Implant. Res. 2016, 27, 491–496. [Google Scholar] [CrossRef]
- Derks, J.; Schaller, D.; Håkansson, J.; Wennström, J.L.; Tomasi, C.; Berglundh, T. Effectiveness of implant therapy analyzed in a Swedish population: Prevalence of peri-implantitis. J. Dent. Res. 2016, 95, 43–49. [Google Scholar] [CrossRef]
- Rodrigo, D.; Sanz-Sánchez, I.; Figuero, E.; Llodrá, J.C.; Bravo, M.; Caffesse, R.G.; Vallcorba, N.; Guerrero, A.; Herrera, D. Prevalence and risk indicators of peri-implant diseases in Spain. J. Clin. Periodontol. 2018, 45, 1510–1520. [Google Scholar] [CrossRef]
- Ferrantino, L.; Tironi, F.; Pieroni, S.; Sironi, A.; Simion, M. A clinical and radiographic retrospective study on 223 anodized surface implants with a 5- to 17-year follow-up. Int. J. Periodontics Restor. Dent. 2019, 39, 799–807. [Google Scholar] [CrossRef]
- Pimentel, S.P.; Shiota, R.; Cirano, F.R.; Casarin, R.C.V.; Pecorari, V.G.A.; Casati, M.Z.; Haas, A.N.; Ribeiro, F.V. Occurrence of peri-implant diseases and risk indicators at the patient and implant levels: A multilevel cross-sectional study. J. Periodontol. 2018, 89, 1091–1100. [Google Scholar] [CrossRef]
- Moraschini, V.; Kischinhevsky, I.C.C.; Sartoretto, S.C.; De Almeida Barros Mourão, C.F.; Sculean, A.; Calasans-Maia, M.D.; Shibli, J.A. Does implant location influence the risk of peri-implantitis? Periodontology 2000 2022, 90, 224–235. [Google Scholar] [CrossRef] [PubMed]
- Bencharit, S.; Byrd, W.C.; Altarawneh, S.; Hosseini, B.; Leong, A.; Reside, G.; Morelli, T.; Offenbacher, S. Development and applications of porous tantalum trabecular metal-enhanced titanium dental implants. Clin. Implant. Dent. Relat. Res. 2014, 16, 817–826. [Google Scholar] [CrossRef]
- Kim, D.G.; Huja, S.S.; Tee, B.C.; Larsen, P.E.; Kennedy, K.S.; Chien, H.H.; Lee, J.W.; Wen, H.B. Bone ingrowth and initial stability of titanium and porous tantalum dental implants: A pilot canine study. Implant. Dent. 2013, 22, 399–405. [Google Scholar] [CrossRef]
- Lee, J.W.; Wen, H.B.; Gubbi, P.; Romanos, G.E. New bone formation and trabecular bone microarchitecture of highly porous tantalum compared to titanium implant threads: A pilot canine study. Clin. Oral Implant. Res. 2018, 29, 164–174. [Google Scholar] [CrossRef]
- De Arriba, C.C.; Alobera Gracia, M.A.; Coelho, P.G.; Neiva, R.; Tarnow, D.P.; Del Canto Pingarron, M.; Aguado-Henche, S. Osseoincorporation of porous tantalum trabecular-structured metal: A histologic and histomorphometric study in humans. Int. J. Periodontics Restor. Dent. 2018, 38, 879–885. [Google Scholar] [CrossRef] [PubMed]
- Liu, Y.; Bao, C.; Wismeijer, D.; Wu, G. The physicochemical/biological properties of porous tantalum and the potential surface modification techniques to improve its clinical application in dental implantology. Mater. Sci. Eng. C Mater. Biol. Appl. 2015, 49, 323–329. [Google Scholar] [CrossRef] [PubMed]
- Schlee, M.; Van der Schoor, W.P.; Van der Schoor, A.R.M. Immediate loading of trabecular metal-enhanced titanium dental implants: Interim results from an international proof-of-principle study. Clin. Implant. Dent. Relat. Res. 2015, 17 (Suppl. S1), e308–e320. [Google Scholar] [CrossRef]
- Spray, J.R.; Black, C.G.; Morris, H.F.; Ochi, S. The influence of bone thickness on facial marginal bone response: Stage 1 placement through stage 2 uncovering. Ann. Periodontol. 2000, 5, 119–128. [Google Scholar] [CrossRef]
- Nohra, J.; Dagher, M.; Matni, G.; Mokbel, N.; Jobaili, E.; Naaman, N. Effect of primary stability and soft-and hard-tissue thickness on marginal bone loss: A prospective pilot study. Implant. Dent. 2018, 27, 542–546. [Google Scholar] [CrossRef]
- Monje, A.; Chappuis, V.; Monje, F.; Muñoz, F.; Wang, H.-L.; Urban, I.A.; Buser, D. The Critical Peri-implant Buccal Bone Wall Thickness Revisited: An Experimental Study in the Beagle Dog. Int. J. Oral Maxillofac. Implant. 2019, 34, 1328–1336. [Google Scholar] [CrossRef]
- Monje, A.; Roccuzzo, A.; Buser, D.; Wang, H.-L. Influence of buccal bone wall thickness on the peri-implant hard and soft tissue dimensional changes: A systematic review. Clin. Oral Implant. Res. 2023, 34, 157–176. [Google Scholar] [CrossRef] [PubMed]







| Case ID | Site | Defect Depth, mm (Mesial) | Defect Depth, mm (Distal) | Defect Width, mm (Mesio-Distal) | Defect Width, mm (Vestibulo-Palatal/-Lingual) | TM Implant Size, mm * | Insertion Torque, Ncm | ISQ at Placement (MD\VL/P) | ISQ 5 m Healing (MD\VL/P) | ISQ 6 m (MD\VL/P) | ISQ 12 m (MD\VL/P) | ISQ 24 m (MD\VL/P) |
|---|---|---|---|---|---|---|---|---|---|---|---|---|
| 1 | 44 | 7.0 | 8.1 | 9.7 | 6.8 | 30 | 66\68 | 84\84 | 83\81 | 82\83 | 82\83 | |
| 2 | 44 | 10.5 | 10.7 | 13.3 | 10.0 | 20 | 30\32 | 71\72 | 80\83 | 80\83 | 81\82 | |
| 3 | 46 | 8.4 | 9.5 | 10.7 | 5.6 | 25 | 54\53 | 72\67 | 74\72 | 80\82 | 84\83 | |
| 4 | 37 | 7.1 | 5.8 | 7.0 | 8.1 | 35 | 65\67 | 81\80 | 84\84 | 83\84 | 84\85 | |
| 5 | 47 | 6.2 | 6.4 | 10.2 | 9.0 | 30 | 64\64 | 80\80 | 83\84 | 82\83 | 83\84 | |
| 6 | 14 | 11.3 | 10.8 | 9.9 | 9.3 | 20 | 20\20 | 62\61 | 75\78 | 75\78 | 76\78 | |
| 7 | 46 | 12.6 | 13.3 | 12.1 | 13.0 | 25 | 53\52 | 62\73 | 82\83 | 84\84 | 86\82 | |
| 8 | 47 | 10.8 | 9.7 | 12.1 | 13.0 | 35 | 71\71 | 74\74 | 86\85 | 85\86 | 74\74 | |
| 9 | 45 | 15.3 | 13.5 | 8.5 | 8.6 | 25 | 54\55 | 71\70 | 80\80 | 80\80 | 80\82 | |
| 10 | 36 | 10.7 | 11.0 | 8.9 | 9.2 | 30 | 57\58 | 79\78 | 3\82 | 80\82 | 80\85 | |
| 11 | 45 | 10.8 | 11.1 | 7.6 | 8.0 | 25 | 54\56 | 62\62 | 73\74 | 78\78 | 79\80 | |
| 12 | 46 | 6.4 | 5.6 | 9.0 | 8.4 | 30 | 62\64 | 70\70 | 80\80 | 82\83 | 85\85 | |
| 13 | 36 | 8.6 | 7.1 | 10.7 | 8.7 | 20 | 46\51 | 55\55 | 60\62 | 73\74 | 75\76 | |
| 14 | 25 | 7.4 | 7.8 | 9.5 | 9.1 | 25 | 58\58 | 68\69 | 74\74 | 76\76 | 78\79 | |
| 15 | 37 | 6.4 | 7.4 | 9.6 | 9.4 | 30 | 46\50 | 56\58 | 72\79 | 71\83 | 83\82 | |
| 16 | 27 | 6.7 | 7.2 | 8.2 | 8.4 | 20 | 30\32 | 51\58 | 61\63 | 60\60 | 68\65 | |
| 17 | 35 | 7.2 | 6.8 | 7.9 | 8.2 | 30 | 61\60 | 75\76 | 84\85 | 84\85 | 85\85 | |
| 18 | 36 | 10.5 | 9.9 | 9.1 | 7.5 | 30 | 65\64 | 80\82 | 87\87 | 84\84 | 85\85 | |
| 19 | 14 | 8.5 | 8.6 | 9.5 | 9.1 | 30 | 42\44 | 64\64 | 72\75 | 74\75 | 79\79 |
| ISQ Pos | ISQ T0 | ISQ 6 Months | ISQ 12 Months | ISQ 24 Months | |
|---|---|---|---|---|---|
| Mean value ± SD | 53.08 ± 13.65 | 69.74 ± 9.01 | 78.00 ± 7.29 | 79.37 ± 5.89 | 80.55 ± 4.73 |
| Median (95% CI) | 55 (46.50, 59.66) | 70 (65.39, 74.08) | 80 (74.48, 81.52) | 81 (76.53, 82.21) | 82.5 (78.27, 82.83) |
| p-value * | 1.16 × 10−6 | 2 × 10−8 | 4 × 10−9 | 1 × 10−8 | |
| p-value ** | 1.16 × 10−6 | 8.53 × 10−7 | 0.12 | 0.17 |
| MBL T0, mm | MBL 6 Months, mm | MBL 12 Months, mm | MBL 24 Months, mm | |
|---|---|---|---|---|
| Mean value ± SD | −0.10 ± 0.16 | −0.21 ± 0.37 | −0.40 ± 0.38 | −0.51 ± 0.42 |
| Median (95% CI) | 0 (−0.19, −0.02) | 0 (−0.40, −0.01) | −0.3 (−0.60, −0.21) | −0.4 (−0.73, −0.29) |
| Mean change ± SD | −0.10 ± 0.29 | −0.30 ± 0.31 | −0.41 ± 0.38 | |
| p-value * | 0.0731 | 0.0016 | 0.0013 | |
| p-value ** | 0.0731 | 0.0042 | 0.014 |
Disclaimer/Publisher’s Note: The statements, opinions and data contained in all publications are solely those of the individual author(s) and contributor(s) and not of MDPI and/or the editor(s). MDPI and/or the editor(s) disclaim responsibility for any injury to people or property resulting from any ideas, methods, instructions or products referred to in the content. |
© 2024 by the authors. Licensee MDPI, Basel, Switzerland. This article is an open access article distributed under the terms and conditions of the Creative Commons Attribution (CC BY) license (https://creativecommons.org/licenses/by/4.0/).
Share and Cite
Bianconi, S.; Romanos, G.; Testori, T.; Del Fabbro, M. Management of Advanced Peri-Implantitis by Guided Bone Regeneration in Combination with Trabecular Metal Fixtures, Two Months after Removal of the Failed Implants: Two-Year Results of a Single-Cohort Clinical Study. J. Clin. Med. 2024, 13, 713. https://doi.org/10.3390/jcm13030713
Bianconi S, Romanos G, Testori T, Del Fabbro M. Management of Advanced Peri-Implantitis by Guided Bone Regeneration in Combination with Trabecular Metal Fixtures, Two Months after Removal of the Failed Implants: Two-Year Results of a Single-Cohort Clinical Study. Journal of Clinical Medicine. 2024; 13(3):713. https://doi.org/10.3390/jcm13030713
Chicago/Turabian StyleBianconi, Stefano, Georgios Romanos, Tiziano Testori, and Massimo Del Fabbro. 2024. "Management of Advanced Peri-Implantitis by Guided Bone Regeneration in Combination with Trabecular Metal Fixtures, Two Months after Removal of the Failed Implants: Two-Year Results of a Single-Cohort Clinical Study" Journal of Clinical Medicine 13, no. 3: 713. https://doi.org/10.3390/jcm13030713
APA StyleBianconi, S., Romanos, G., Testori, T., & Del Fabbro, M. (2024). Management of Advanced Peri-Implantitis by Guided Bone Regeneration in Combination with Trabecular Metal Fixtures, Two Months after Removal of the Failed Implants: Two-Year Results of a Single-Cohort Clinical Study. Journal of Clinical Medicine, 13(3), 713. https://doi.org/10.3390/jcm13030713

