Diagnostic Utility of the “Air Sign” as a Radiological Indicator for Mandibular Body and Angle Fractures
Abstract
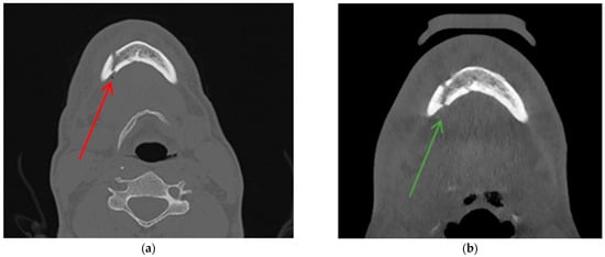
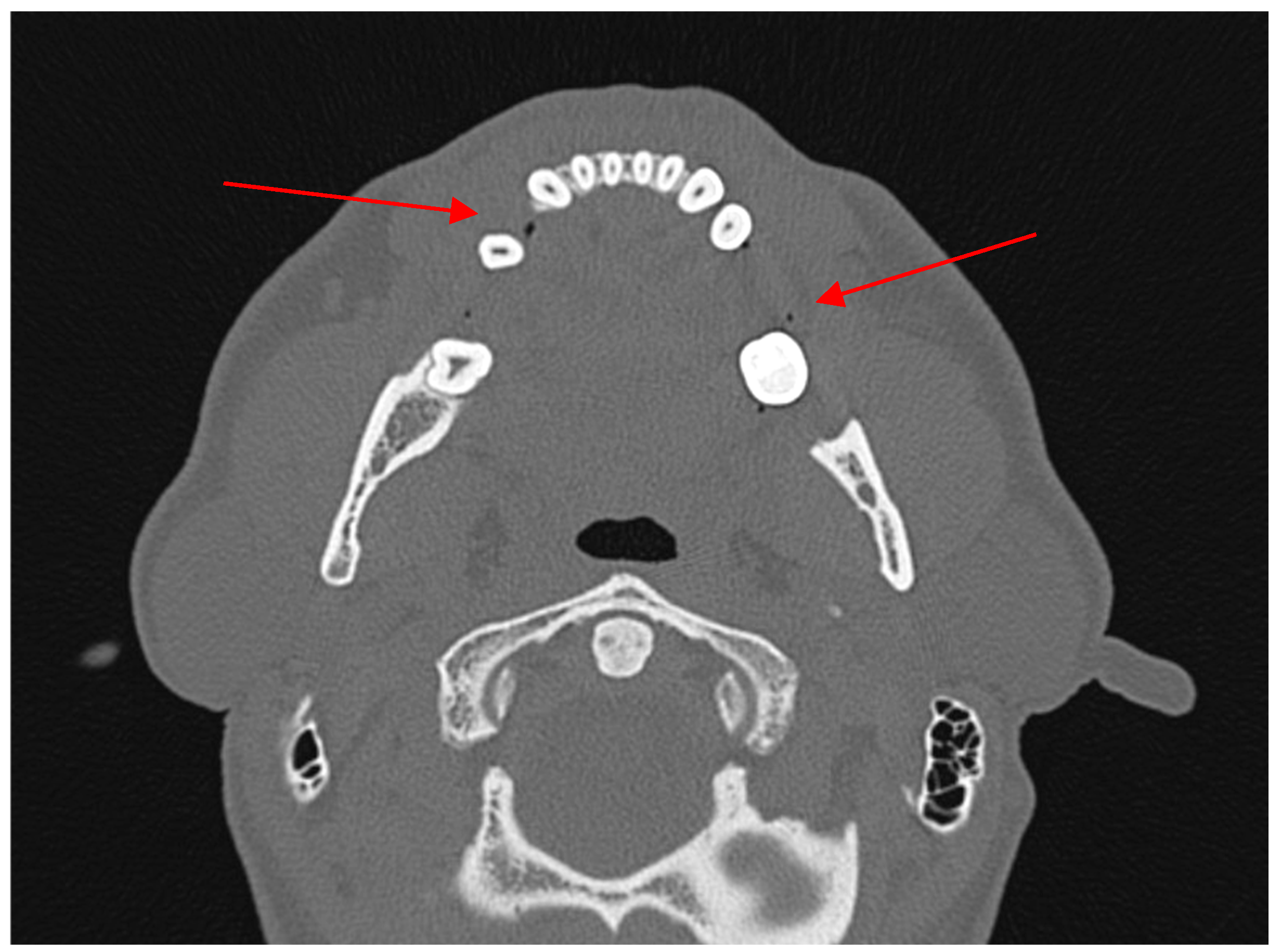
1. Introduction
2. Materials and Methods
2.1. Characteristics of the Study Group
- (1)
- Isolated mandibular fractures or resulting from panfacial fractures;
- (2)
- CT/CBCT performed no later than 2 days after the injury;
- (1)
- Isolated fractures of the upper and middle facial unit;
- (2)
- CT/CBCT performed more than 2 days after the injury;
- (3)
- Incomplete medical data available in hospital’s electronic database.
2.2. Study Design
- Open fractures: located within the body/angle of mandible;
- Closed fractures: located within the ramus, condylar/coronoid process of mandible.
- Body of the mandible + unilateral/bilateral condylar/coronoid process or ramus of the mandible;
- Left/right body/angle of the mandible + contralateral body/angle of the mandible.
2.3. Statistical Classification
- True positive (TP)—diagnosed body/angle fracture + presence of AS in soft tissues.
- 2.
- False positive (FP)—no body/angle fracture + presence of AS in soft tissues.
- 3.
- True negative (TN)—no body/angle fracture + no AS in soft tissues.
- 4.
- False negative (FN)—diagnosed body/angle fracture + no AS in soft tissues.
- -
- Sensitivity = ;
- -
- Specificity = ;
- -
- Positive predictive value (PPV) = ;
- -
- Negative predictive value (NPV) = ;
- -
- False positive rate (FPR) = ;
- -
- False negative rate (FNR) = .
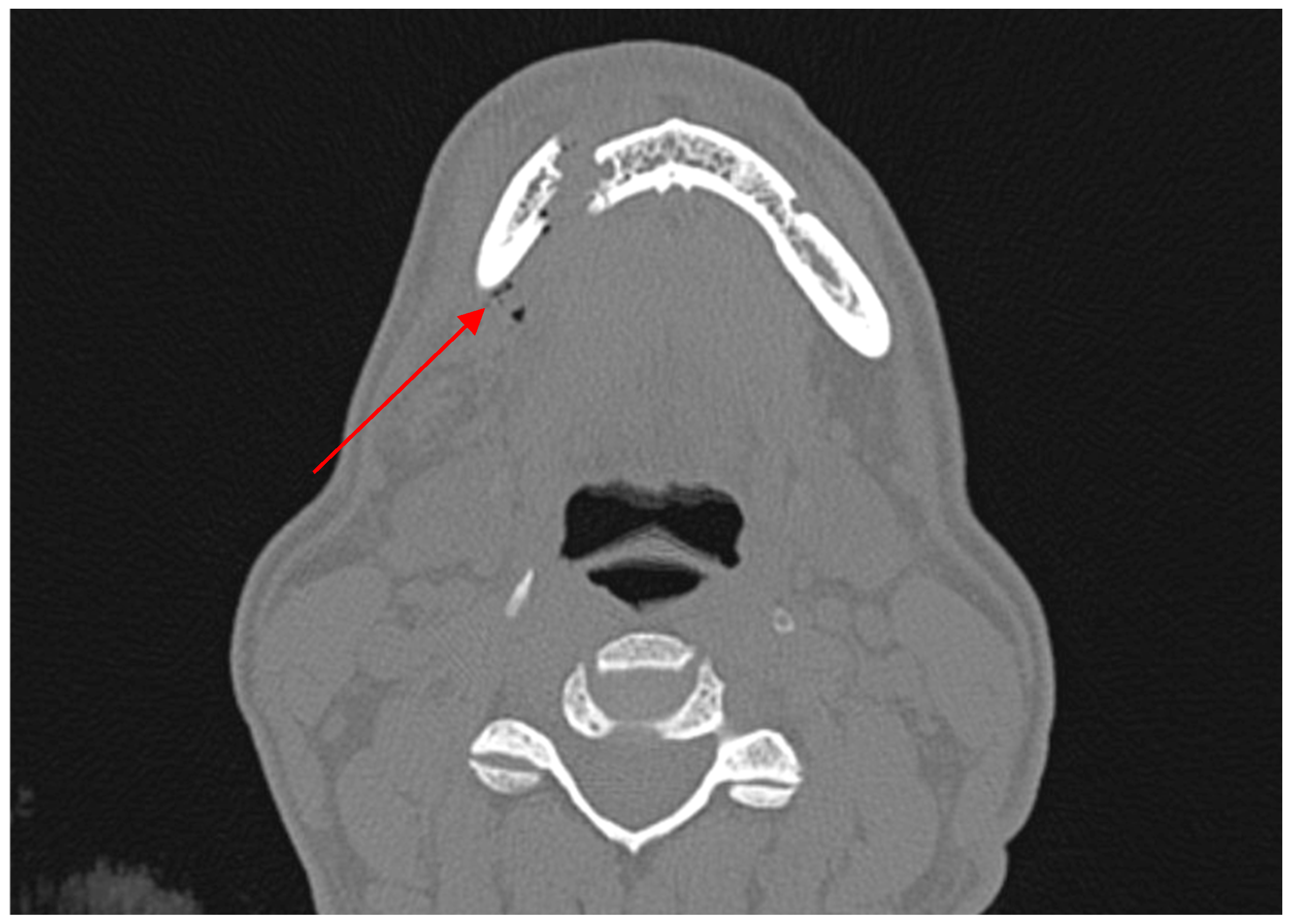
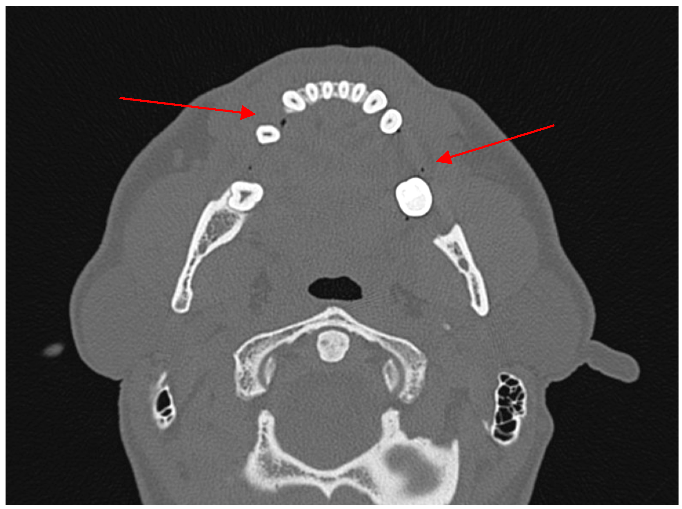
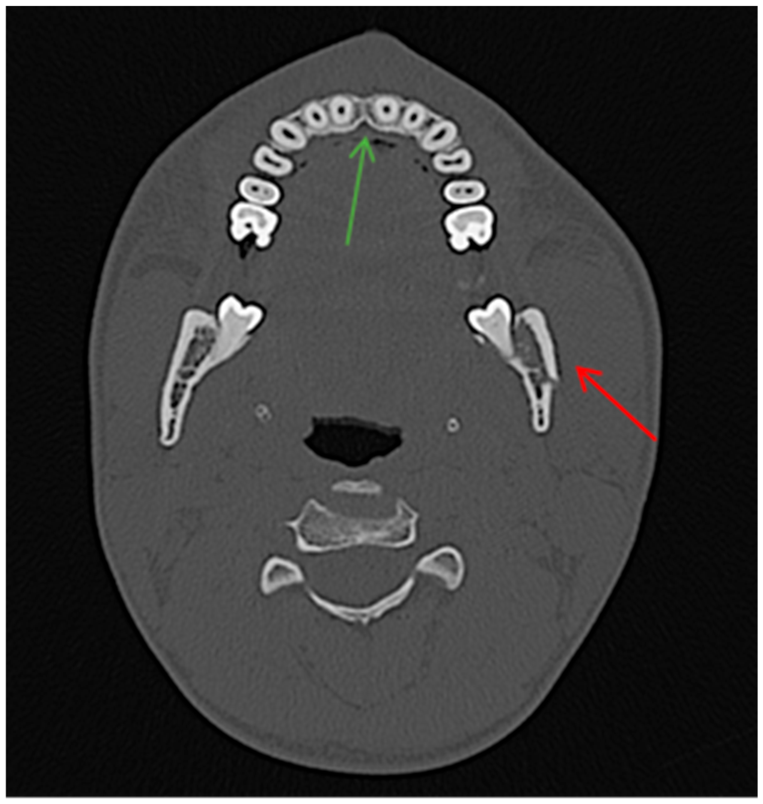
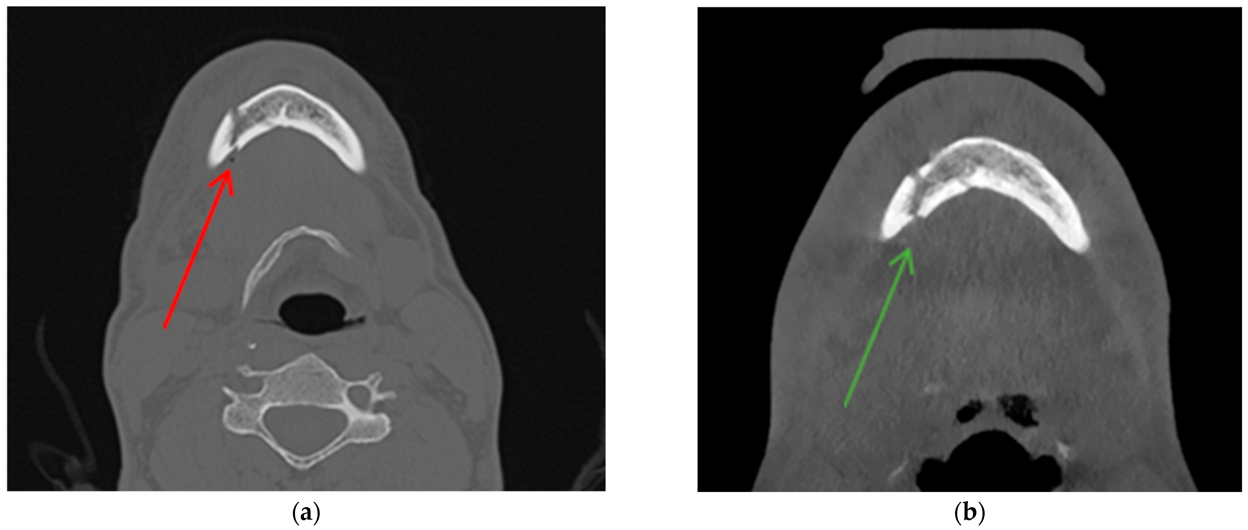
3. Results
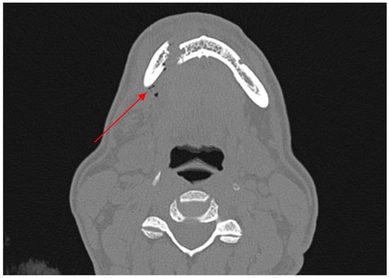
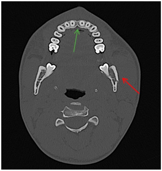
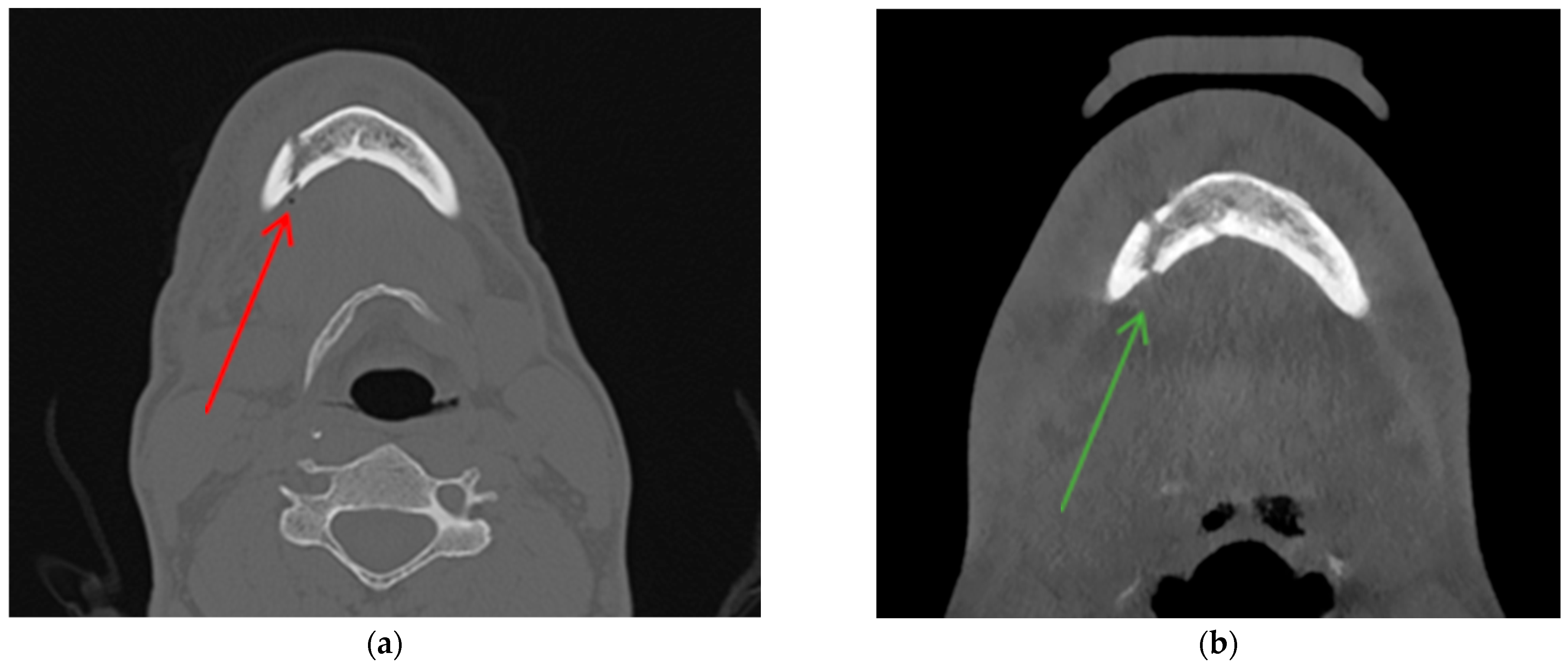
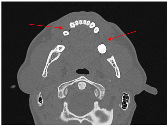
4. Discussion
5. Study Limitations
6. Conclusions
Author Contributions
Funding
Institutional Review Board Statement
Informed Consent Statement
Data Availability Statement
Conflicts of Interest
References
- Morris, C.; Bebeau, N.P.; Brockhoff, H.; Tandon, R.; Tiwana, P. Mandibular fractures: An analysis of the epidemiology and patterns of injury in 4143 fractures. J. Oral Maxillofac. Surg. 2015, 73, 951.e1–951.e12. [Google Scholar] [CrossRef] [PubMed]
- Al-Hassani, A.; Ahmad, K.; El-Menyar, A.; Abutaka, A.; Mekkodathil, A.; Peralta, R.; Al Khalil, M.; Al-Thani, H. Prevalence and Patterns of Maxillofacial Trauma: A Retrospective Descriptive Study. Eur. J. Trauma Emerg. Surg. 2022, 48, 2513–2519. [Google Scholar] [CrossRef] [PubMed]
- Pickrell, B.B.; Serebrakian, A.T.; Maricevich, R.S. Mandible Fractures. Semin. Plast. Surg. 2017, 31, 100–107. [Google Scholar] [CrossRef] [PubMed]
- Wilson, I.F.; Lokeh, A.; Benjamin, C.I.; Hilger, P.A.; Hamlar, D.D.; Ondrey, F.G.; Tashjian, J.H.; Thomas, W.; Schubert, W. Prospective comparison of panoramic tomography (zonography) and helical computed tomography in the diagnosis and operative management of mandibular fractures. Plast. Reconstr. Surg. 2001, 107, 1369–1375. [Google Scholar] [CrossRef] [PubMed]
- Naeem, A.; Gemal, H.; Reed, D. Imaging in Traumatic Mandibular Fractures. Quant. Imaging Med. Surg. 2017, 7, 469–479. [Google Scholar] [CrossRef]
- Hung, K.F.; Ai, Q.Y.H.; Wong, L.M.; Yeung, A.W.K.; Li, D.T.S.; Leung, Y.Y. Current Applications of Deep Learning and Radiomics on CT and CBCT for Maxillofacial Diseases. Diagnostics 2022, 13, 110. [Google Scholar] [CrossRef] [PubMed] [PubMed Central]
- Koryczan, P.; Zapała, J.; Gontarz, M.; Wyszyńska-Pawelec, G. Surgical treatment of enophthalmos in children and adolescents with pure orbital blowout fracture. J. Oral Sci. 2021, 63, 129–132. [Google Scholar] [CrossRef]
- Ulano, A.C.; Vedantham, S.; Takhtani, D. Revisiting the Indirect Signs of a Temporal Bone Fracture: Air, Air, Everywhere. Emerg Radiol. 2017, 24, 497–503. [Google Scholar] [CrossRef]
- Gontarz, M.; Bargiel, J.; Gąsiorowski, K.; Marecik, T.; Szczurowski, P.; Zapała, J.; Wyszyńska-Pawelec, G. “Air Sign” in Misdiagnosed Mandibular Fractures Based on CT and CBCT Evaluation. Diagnostics 2024, 14, 362. [Google Scholar] [CrossRef]
- Champy, M.; Lodde, J.P.; Jaeger, J.H.; Wilk, A. Mandibular osteosynthesis according to the Michelet technic. I. Biomechanical bases. Rev. Stomatol. Chir. Maxillofac. 1976, 77, 569–576. (In French) [Google Scholar] [PubMed]
- Champy, M.; Lodde, J.P.; Jaeger, J.H.; Wilk, A.; Gerber, J. CMandibular osteosynthesis according to the Michelet technic. II. Presentation of new material. Results. Rev. Stomatol. Chir. Maxillofac. 1976, 77, 577–582. (In French) [Google Scholar] [PubMed]
- Champy, M.; Blez, P. Anatomical Aspects and Biomechanical Considerations for the Body of the Mandible, the Midface, and the Cranium. In Atlas of Craniomaxillofacial Osteosynthesis, 2nd ed.; Haerle, F., Ed.; Georg Thieme Verlag KG: Stuttgart, Germany, 2009; Print ISBN: 9783131164926; Online ISBN: 9783131475718. [Google Scholar] [CrossRef]
- Rudderman, R.H.; Mullen, R.L.; Phillips, J.H. The Biophysics of Mandibular Fractures: An Evolution toward Understanding. Plast. Reconstr. Surg. 2008, 121, 596–607. [Google Scholar] [CrossRef] [PubMed]
- Kidwai, S.M.; Lu, G.N. Mandibular Body Fractures. Facial Plast. Surg. Clin. North Am. 2022, 30, 99–108. [Google Scholar] [CrossRef] [PubMed]
- Ogundare, B.O.; Bonnick, A.; Bayley, N. Pattern of mandibular fractures in an urban major trauma center. J. Oral Maxillofac. Surg. 2003, 61, 713–718. [Google Scholar] [CrossRef] [PubMed]
- Boffano, P.; Kommers, S.C.; Karagozoglu, K.H.; Gallesio, C.; Forouzanfar, T. Mandibular Trauma: A Two-Centre Study. Int. J. Oral Maxillofac. Surg. 2015, 44, 998–1004. [Google Scholar] [CrossRef]
- Giovacchini, F.; Paradiso, D.; Bensi, C.; Belli, S.; Lomurno, G.; Tullio, A. Association between third molar and mandibular angle fracture: A systematic review and meta-analysis. J. Craniomaxillofac. Surg. 2018, 46, 558–565. [Google Scholar] [CrossRef] [PubMed]
- Cleveland, C.N.; Kelly, A.; DeGiovanni, J.; Ong, A.A.; Carr, M.M. Maxillofacial Trauma in Children: Association between Age and Mandibular Fracture Site. Am. J. Otolaryngol. Head Neck Med. Surg. 2021, 42, 102874. [Google Scholar] [CrossRef]
- Kannari, L.; Marttila, E.; Toivari, M.; Thorén, H.; Snäll, J. Paediatric Mandibular Fracture—A Diagnostic Challenge? Int. J. Oral Maxillofac. Surg. 2020, 49, 1439–1444. [Google Scholar] [CrossRef]
- Aizenbud, D.; Hazan-Molina, H.; Emodi, O.; Rachmiel, A. The management of mandibular body fractures in young children. Dent. Traumatol. 2009, 25, 565–570. [Google Scholar] [CrossRef] [PubMed]
- Kannari, L.; Marttila, E.; Thorén, H.; Toivari, M.; Snäll, J. Mandibular Fractures in Aged Patients—Challenges in Diagnosis. Dent. Traumatol. 2022, 38, 487–494. [Google Scholar] [CrossRef]
- Rozema, R.; Moumni, M.E.; de Vries, G.T.; Spijkervet, F.K.L.; Verbeek, R.; Kleinbergen, J.Y.J.; Bens, B.W.J.; Doff, M.H.J.; van Minnen, B. A Clinical Decision Aid for Patients with Suspected Midfacial and Mandibular Fractures (the REDUCTION-I Study): A Prospective Multicentre Cohort Study. Eur. J. Trauma Emerg. Surg. 2022, 48, 4243–4254. [Google Scholar] [CrossRef] [PubMed]
- Schwab, R.A.; Genners, K.; Robinson, W.A. Clinical predictors of mandibular fractures. Am. J. Emerg Med. 1998, 16, 304–305. [Google Scholar] [CrossRef] [PubMed]
- Chayra, G.A.; Meador, L.R.; Laskin, D.M. Comparison of panoramic and standard radiographs for the diagnosis of mandibular fractures. J. Oral Maxillofac. Surg. 1986, 44, 677–679. [Google Scholar] [CrossRef] [PubMed]
- Dreizin, D.; Nam, A.J.; Tirada, N.; Levin, M.D.; Stein, D.M.; Bodanapally, U.K.; Mirvis, S.E.; Munera, F. Multidetector CT of Mandibular Fractures, Reductions, and Complications: A Clinically Relevant Primer for the Radiologist. Radiographics 2016, 36, 1539–1564. [Google Scholar] [CrossRef]
- Maloney, P.L.; Lincoln, R.E.; Coyne, C.P. A Protocol for the Management of Compound Mandibular Fractures Based on the Time from Injury to Treatment. J. Oral Maxillofac. Surg. 2001, 59, 879–884. [Google Scholar] [CrossRef]
- Alpert, B.; Kushner, G.M.; Tiwana, P.S. Contemporary Management of Infected Mandibular Fractures. Craniomaxillofac. Trauma Reconstr 2008, 1, 25–29. [Google Scholar] [CrossRef]
- Gordon, P.E.; Lawler, M.E.; Kaban, L.B.; Dodson, T.B. Mandibular Fracture Severity and Patient Health Status Are Associated with Postoperative Inflammatory Complications. J. Oral Maxillofac. Surg. 2011, 69, 2191–2197. [Google Scholar] [CrossRef]
- Nagori, S.A.; Jose, A.; Bhutia, O.; Roychoudhury, A. Undiagnosed mandibular condylar fractures causing temporomandibular joint ankylosis: A problem in northern India. Natl. Med. J. India 2014, 27, 251–255. [Google Scholar] [PubMed]
- Fairbairn, K.J.; Mulligan, M.E.; Murphey, M.D.; Resnik, C.S. Gas bubbles in the hip joint on CT: An indication of recent dislocation. AJR Am. J. Roentgenol. 1995, 164, 931–934. [Google Scholar] [CrossRef] [PubMed]
- Yang, R.F.; Huang, S.M.; Wu, Q.Z.; Ye, F.; Lan, S.H. Clinical Study of Vacuum Phenomenon in Closed Pelvic Fracture. J. Orthop. Surg. Res. 2023, 18, 241. [Google Scholar] [CrossRef]
- Gohil, I.; Vilensky, J.A.; Weber, E.C. Vacuum phenomenon: Clinical relevance. Clin. Anat. 2014, 27, 455–462. [Google Scholar] [CrossRef] [PubMed]
- Buttiens, A.; Simko, M.; Goethem, J. Van Vacuum Phenomenon in the Lumbar Spine: Pilot Study for Accuracy of Magnetic Resonance Imaging. J. Belg. Soc. Radiol. 2023, 107, 83. [Google Scholar] [CrossRef] [PubMed]
- Yanagawa, Y.; Ohsaka, H.; Jitsuiki, K.; Yoshizawa, T.; Takeuchi, I.; Omori, K.; Oode, Y.; Ishikawa, K. Vacuum phenomenon. Emerg. Radiol. 2016, 23, 377–382. [Google Scholar] [CrossRef] [PubMed]
- Betz, B.W.; Wiener, M.D. Air in the temporomandibular joint fossa: CT sign of temporal bone fracture. Radiology 1991, 180, 463–466. [Google Scholar] [CrossRef] [PubMed]
- Schulze, K.; Ebert, L.C.; Ruder, T.D.; Fliss, B.; Poschmann, S.A.; Gascho, D.; Thali, M.J.; Flach, P.M. The gas bubble sign-a reliable indicator of laryngeal fractures in hanging on post-mortem CT. Br. J. Radiol. 2018, 91, 20170479. [Google Scholar] [CrossRef] [PubMed] [PubMed Central]
- van Nistelrooij, N.; Schitter, S.; van Lierop, P.; Ghoul, K.E.; König, D.; Hanisch, M.; Tel, A.; Xi, T.; Thiem, D.G.E.; Smeets, R.; et al. Detecting Mandible Fractures in CBCT Scans Using a 3-Stage Neural Network. J. Dent. Res. 2024, 00220345241256618. [Google Scholar] [CrossRef]
- Guermazi, A.; Tannoury, C.; Kompel, A.J.; Murakami, A.M.; Ducarouge, A.; Gillibert, A.; Li, X.; Tournier, A.; Lahoud, Y.; Jarraya, M.; et al. Improving Radiographic Fracture Recognition Performance and Efficiency Using Artificial Intelligence. Radiology 2022, 302, 627–636. [Google Scholar] [CrossRef] [PubMed]






| Parameter | Number/Percent |
|---|---|
| Age | |
| Mean (±SD ¹) | 35.37 (±16.94) |
| Sex | |
| Male | 36 (83.7%) |
| Female | 7 (16.3%) |
| Location of fractures | |
| Isolated fractures of the mandible | 37 (86.1%) |
| Panfacial fractures | 6 (13.9%) |
| Treatment | |
| ORIF ² | 35 (81.4%) |
| Conservative (MMF ³) | 8 (18.6%) |
| Type of fracture | |
| Open | 40 (56%) |
| Closed | 32 (44%) |
| Fracture Type | Number of Fractures | TP Results | TN Results | FP Results | FN Results | Sensitivity (%) | Specificity (%) | Positive Predictive Value (%) | Negative Predictive Value (%) | False Positive Rate (%) | False Negative Rate (%) |
|---|---|---|---|---|---|---|---|---|---|---|---|
| Total | 71 * | 47 * | 18 | 2 | 4 | 92.2% | 90.0% | 95.9% | 81.8% | 10.0% | 7.8% |
| Open fractures | 40 | 24 | 14 | 1 | 1 | 96.0% | 93.3% | 96.0% | 93.3% | 6.6% | 4.0% |
| Closed fractures | 32 | 24 | 4 | 1 | 3 | 88.9% | 80.0% | 96.0% | 57.1% | 20.0% | 11.1% |
Disclaimer/Publisher’s Note: The statements, opinions and data contained in all publications are solely those of the individual author(s) and contributor(s) and not of MDPI and/or the editor(s). MDPI and/or the editor(s) disclaim responsibility for any injury to people or property resulting from any ideas, methods, instructions or products referred to in the content. |
© 2024 by the authors. Licensee MDPI, Basel, Switzerland. This article is an open access article distributed under the terms and conditions of the Creative Commons Attribution (CC BY) license (https://creativecommons.org/licenses/by/4.0/).
Share and Cite
Michalik, W.; Kuczera, J.; Bargiel, J.; Gąsiorowski, K.; Marecik, T.; Szczurowski, P.; Wyszyńska-Pawelec, G.; Gontarz, M. Diagnostic Utility of the “Air Sign” as a Radiological Indicator for Mandibular Body and Angle Fractures. J. Clin. Med. 2024, 13, 6288. https://doi.org/10.3390/jcm13206288
Michalik W, Kuczera J, Bargiel J, Gąsiorowski K, Marecik T, Szczurowski P, Wyszyńska-Pawelec G, Gontarz M. Diagnostic Utility of the “Air Sign” as a Radiological Indicator for Mandibular Body and Angle Fractures. Journal of Clinical Medicine. 2024; 13(20):6288. https://doi.org/10.3390/jcm13206288
Chicago/Turabian StyleMichalik, Weronika, Joanna Kuczera, Jakub Bargiel, Krzysztof Gąsiorowski, Tomasz Marecik, Paweł Szczurowski, Grażyna Wyszyńska-Pawelec, and Michał Gontarz. 2024. "Diagnostic Utility of the “Air Sign” as a Radiological Indicator for Mandibular Body and Angle Fractures" Journal of Clinical Medicine 13, no. 20: 6288. https://doi.org/10.3390/jcm13206288
APA StyleMichalik, W., Kuczera, J., Bargiel, J., Gąsiorowski, K., Marecik, T., Szczurowski, P., Wyszyńska-Pawelec, G., & Gontarz, M. (2024). Diagnostic Utility of the “Air Sign” as a Radiological Indicator for Mandibular Body and Angle Fractures. Journal of Clinical Medicine, 13(20), 6288. https://doi.org/10.3390/jcm13206288

