Next Article in Journal
Influence of Transperineal Ultrasound on the POP-Q System in the Surgical Indication of Symptomatic Pelvic Organ Prolapse
Previous Article in Journal
Mechanical Mapping of the Common Carotid Artery in Healthy Individuals Aged 2 to 40 Years
 
 
Font Type:
Arial Georgia Verdana
Font Size:
Aa Aa Aa
Line Spacing:
Column Width:
Background:
Article

Relationship of the Iliac Crest Height with Subsidence After Oblique Lateral Interbody Fusion at L4–5: A Quantitative and Categorical Analysis

1
Department of Orthopedic Surgery, Korea University Anam Hospital, Seoul 02855, Republic of Korea
2
College of Medicine, Korea University, Seoul 30019, Republic of Korea
*
Author to whom correspondence should be addressed.
J. Clin. Med. 2024, 13(20), 6223; https://doi.org/10.3390/jcm13206223
Submission received: 30 August 2024 / Revised: 13 October 2024 / Accepted: 16 October 2024 / Published: 18 October 2024
(This article belongs to the Section Clinical Neurology)

Abstract

Background: This study aimed to evaluate the impact of iliac crest height on clinical and radiological outcomes following oblique lateral interbody fusion (OLIF) at the L4–5 level. Methods: Data of patients who underwent single-level OLIF at the L4–5 level for degenerative spinal stenosis were retrospectively analyzed. The patients were categorized into three groups based on their iliac crest height measured relative to the L4 and L5 pedicles. Categorical and quantitative analyses, including univariate and multivariate logistic regressions, were performed to identify subsidence predictors. Clinical outcomes, including visual analog scale scores for back and leg pain, were assessed over a minimum 2-year follow-up. Results: No significant differences in cage obliquity were observed across the iliac crest height groups (axial angles, p = 0.39; coronal angles, p = 0.79). However, subsidence was significantly more common in patients with higher iliac crest heights, particularly at crest level III, where the subsidence rate reached 43% (p = 0.01). Subsidence was predominantly associated with damage to the L5 endplate, which occurred in 83% of subsidence cases at crest level III. A cutoff value of 12 mm for iliac crest height, above which the risk of subsidence significantly increased, was identified (AUC = 0.688, p = 0.042). Conclusions: Iliac crest height is a critical factor for predicting subsidence following OLIF at the L4–5 level. Surgeons should consider alternative strategies and meticulous preoperative planning in patients with an iliac crest height ≥ 12 mm to reduce the risk of adverse outcomes. Further studies are needed to validate these findings and to explore their long-term implications.

1. Introduction

Oblique lateral interbody fusion (OLIF) is a minimally invasive spinal surgical technique that was first introduced by Mayer in 1997 [1,2]. OLIF offers several advantages over traditional posterior lumbar interbody fusion surgery [3]. In particular, OLIF reduces the risk of posterior muscle damage because it avoids damaging the posterior musculature and ligaments [4]. Additionally, OLIF allows for the anterior insertion of large lordotic cages, which can enhance spinal alignment and stability [5,6,7]. The minimally invasive nature of OLIF also contributes to reduced blood loss, a shorter operative time, and faster postoperative recovery, making it an increasingly popular option for lumbar fusion, particularly at the L4–5 level [5,7]. OLIF is performed through a retroperitoneal approach that involves accessing the disc space between the peritoneum and psoas muscle, which provides a direct path while minimizing muscle disruption. This approach reduces the complications associated with muscle retraction and offers a favorable trajectory for cage insertion [5].
However, performing OLIF at the L4–5 level can be challenging, especially in cases where the L4–5 disc space is deep below the high iliac crest [1]. An elevated iliac crest height can obstruct the surgeon’s view through the incision site and limit access to the L4–5 disc space, making it difficult to achieve the proper angle for the procedure. This difficulty is often exacerbated in patients with lumbosacral transitional vertebrae, where anatomical variations often accompanied by a high iliac crest, and deep-seated L4–5 levels can further complicate the surgical approach [8]. Previous studies have emphasized the need for caution when performing OLIF L4–5 procedures when the iliac crest is high; however, these discussions are largely theoretical [2,8,9,10]. Unfortunately, no studies have quantitatively analyzed how varying iliac crest heights specifically impact OLIF outcomes. We hypothesized that issues such as cage obliquity and endplate damage leading to subsidence could be significant concerns owing to their potential adverse effects on the overall success rate of spinal fusion and patient recovery.
Therefore, this study aimed to analyze the clinical and radiological outcomes of OLIF at the L4–5 level in relation to the height of the iliac crest. Specifically, this study compared the incidence of adverse outcomes such as cage obliquity and subsidence across different iliac crest height grades.

2. Materials and Methods

2.1. Study Design and Patients

This cohort study was approved by the institutional review board (IRB no. 2024AN0319; date of approval: 28 June 2024). Patient consent was waived due to the retrospective nature of the study. The study included patients who underwent single-level OLIF surgery at the L4–5 level for degenerative spinal stenosis between March 2019 and April 2022. All operations were performed by our senior author (J.H.Y.). Patients who received surgery for other conditions, such as infection, trauma, or tumors, and those with incomplete medical records were excluded. Only patients who had a minimum follow-up of 2 years, during which both patient questionnaires and radiological evaluations were completed, were included in the study. The remaining patients were categorized into three groups based on the height of the iliac crest relative to the L4 and L5 pedicles, as observed on plain lateral radiographs (Figure 1). The grading system for the iliac crest height was adapted from the method proposed by Song et al., which was validated in a previous study [9]. Groups I, II, and III represented different grades of iliac crest height. For each patient, demographic variables, including age, sex, height, weight, and comorbidities, were recorded.

2.2. Radiological Measurements

Radiological assessments included a comprehensive evaluation using plain radiography and computed tomography (CT). Lumbar lordosis and L4–5 segmental angles were measured on plain radiographs, and the presence of isthmic spondylolisthesis was assessed. The iliac crest was categorized based on its height on lumbar lateral plane radiographs (I, iliac crest below the L5 pedicle; II, iliac crest between the L4 and L5 pedicles; III, iliac crest above the L4 pedicle). Additionally, the relationship between the iliac crest height and the L4–5 disc level was quantified by measuring the distance from the midpoint of the L4–5 disc to the line connecting the ends of the iliac crest on lumbar AP radiographs.
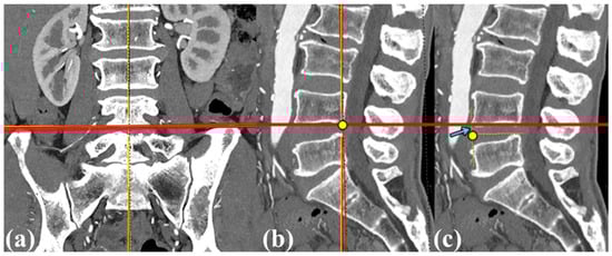
The iliac crest height was also quantitatively assessed on coronal and sagittal CT images using the Picture Archiving and Communication System (PetaVision for Clinics, 3.1; Korea University Anam Hospital, Seoul, Republic of Korea). The assessment process first defined a tangential line touching both iliac crests in the coronal plane (Figure 2a). The red line serves as a reference for subsequent measurements. In Figure 2b,c, the minimum distance between this tangential line and the reference point in the L4–5 disc space was measured (sky blue arrow). To minimize potential rotational errors caused by the patient lying obliquely on the CT table, an axis passing through the ventral edge of the L4–5 disc space was established in the sagittal plane. This axis touches both iliac crests cranially and tangentially. The shortest distance from this line to the center of the ventral edge of the L4–5 disc space was evaluated as the iliac crest height relative to the L4–5 disc space. Additionally, CT scans were used to assess the presence of disc pathology, including the vacuum phenomenon and endplate sclerosis, and to measure both anterior and posterior disc heights.

2.3. Surgical Outcome Assessment

This study evaluated various surgical outcomes following OLIF at the L4–5 disc space. The cage profile used during surgery, including its dimensions and angles, was documented. The occurrence of subsidence was assessed and graded according to the established criteria. The location of subsidence was categorized as L4 endplate, L5 endplate, or both. The study also recorded adverse outcomes, such as vessel injury during surgery. The success of fusion was evaluated using the Bridwell classification system. Postoperative CT was used to measure the cage insertion angles in both the coronal and axial planes. In the axial plane, positive angles were assigned to the cages inserted from the left anterior to the right posterior position (Figure 3a). In the coronal plane, negative angles were assigned to the cages inserted from the left cranial to the right caudal direction (Figure 3b). The postoperative anterior and posterior disc heights were also measured.

2.4. Clinical Outcomes

Clinical outcomes were assessed using several metrics. Back pain and leg pain were evaluated using a visual analog scale (VAS). Functional outcomes were measured using Oswestry Disability Index (ODI) and EuroQol-5 Dimension (Eq5D) scores. These outcomes were recorded preoperatively and at postoperative follow-up at 3 months, 6 months, 1 year, and 2 years.

2.5. Statistical Analyses

Statistical analyses were conducted to identify the predictors of subsidence following OLIF L4–5 procedures. Logistic regression analysis was performed to explore the relationship between the iliac crest height and the likelihood of subsidence. A receiver operating characteristic (ROC) curve analysis was also conducted to determine the cutoff value for iliac crest height that optimally predicts subsidence, and the area under the curve (AUC) and specific cutoff values were reported.

3. Results

3.1. Demographic and Radiographic Characteristics

Table 1 presents the demographic and radiographic characteristics of the patients across the three groups, categorized by iliac crest level. No significant differences in age, sex, height, weight, or the presence of comorbidities such as hypertension, diabetes, smoking, psychotic disease, liver disease, or pulmonary disease were observed among the three groups. However, significant differences in the iliac crest height, measured using plain radiography and CT, were noted among the three groups (p < 0.001). Additionally, the degree of lumbar lordosis significantly varied among the groups (p = 0.016).

3.2. Radiographic Results

Analysis of the iliac crest height, categorized into three groups, demonstrated significant differences in measurements by both plane lumbar anteroposterior (AP) radiography and CT (Table 1 and Figure 4). Specifically, the iliac crest height increased progressively across the groups from crest level I to crest level III, with statistical significance noted on both plain radiography (p < 0.001) and CT (p < 0.001). However, the axial or coronal angles did not significantly differ among the three groups (Figure 5).

3.3. Surgical Outcomes

The analysis of surgical outcomes among the three groups indicated no significant differences in cage profile parameters, such as cage angle, cage height, postoperative anterior disc height, or postoperative posterior disc height (Table 2). However, subsidence was significantly more common in the crest level III group than in the other groups (p = 0.01). Moreover, the location of subsidence varied significantly among the groups (p = 0.016), with most of the subsidence occurring at the L5 endplate at crest level III. Typical cases of cage subsidence occurring at the L4 and L5 endplates are depicted in Figure 6. These representative images illustrate subsidence at the L5 upper endplate and the L4 lower endplate, highlighting the reduction in disc height, with non-union also observed in some cases (Figure 6a).

3.4. Patient-Reported Outcomes

Table 3 presents a comparison of the patient-reported outcomes across the three groups. Although no significant differences in the VAS scores for back and leg pain, ODI, or Eq5D were observed across most time points, a significant difference in VAS scores for back pain was observed at the 2-year follow-up (p = 0.021), with the crest level III group showing the highest pain scores among the groups.

3.5. Logistic Regression Analysis and ROC Curves

Table 4 summarizes the results of the logistic regression analysis performed to identify the predictors of subsidence in OLIF L4–5 procedures. Univariate analysis identified the cage axial angle (p = 0.03) and cage coronal angle (p = 0.049) as significant predictors of subsidence. Multivariate analysis further highlighted the iliac crest height measured by CT as a significant predictor of subsidence (p = 0.042).
Additionally, the ROC analysis based on the logistic regression results identified the iliac crest height measured by CT as a significant factor associated with subsidence, yielding an AUC of 0.688. The analysis determined a cutoff value of 12 mm, indicating that an iliac crest height >12 mm measured by CT is associated with a higher likelihood of subsidence in L4–5 procedures (Figure 7).

4. Discussion

The core finding of our study was that when analyzing the outcomes of OLIF at the L4–5 level by categorizing patients based on the height of the iliac crest, the subsidence rate was significantly different across height grades. Specifically, although cage insertion obliquity showed no significant differences across the axial and coronal planes (Table 2), suggesting that such technical challenges can potentially be overcome by the surgeon’s skill, the subsidence rate markedly increased with a higher iliac crest height. This finding is particularly relevant because although surgeons may overcome the technical challenge of inserting the cage at an appropriate angle, the structural integrity of the vertebrae may remain compromised in patients with a high iliac crest, leading to a higher incidence of subsidence [1,4,7,8,10]. In crest level III, the subsidence rate was high at 43% (Table 2). Additionally, these subsidence cases were predominantly associated with damage to the L5 endplate, with a subsidence rate of 83% (10 of 12 cases) at crest level III. Thus, the anatomical positioning of the iliac crest may predispose the cage to impact the L5 endplate when inserted in an oblique direction from the anterior cranial to posterior caudal orientation [1,5,7].
Cage obliquity can cause several complications, such as radiculopathy due to the incorrect positioning of a large cage, spillage of the bone substitute placed in the cage, coronal malalignment, and pseudoarthrosis due to an increased gap between the cage and vertebral endplate [1,5,6,7,8]. These concerns highlight the importance of achieving the correct cage placement during OLIF. However, our study demonstrated that the iliac crest height did not directly influence cage obliquity, as evidenced by the lack of significant differences in axial and coronal cage insertion angles among the groups. Additionally, the absence of significant differences in the postoperative segmental angle, lordotic angle, and leg pain VAS further confirmed that obliquity did not vary based on the iliac crest height [5,11]. Given this finding, it would also be valuable to explore whether the relationship between iliac crest height and subsidence persists in other types of lumbar fusion surgeries, such as ALIF and PLIF, where cage obliquity is generally less of a concern. Investigating the influence of iliac crest height on subsidence in these alternative surgical approaches could deepen our understanding of the factors contributing to subsidence beyond the unique challenges presented by OLIF.
In this study, the occurrence of subsidence has significant clinical implications. The patients with subset of foraminal height can exacerbate nerve compression, leading to worsening leg pain as well as contributing to central stenosis [1,12,13]. The clinical significance of these findings underscores the importance of preventing subsidence to avoid these adverse outcomes. Previous studies have suggested that subsidence may be associated with endplate sclerosis, as Modic changes or endplate degeneration can affect the risk of postoperative subsidence [14,15]. However, in our study, no significant correlation between endplate sclerosis and subsidence was observed (p = 0.102), indicating that other factors may play a more prominent role in the development of subsidence in our cohort.
Another notable finding in our study was the correlation between iliac crest height and lumbar lordosis. A high iliac crest level was associated with increased lumbar lordosis (p = 0.016; Table 1). This raises an interesting question regarding the relationship between lumbar lordosis and iliac crest height and whether a higher iliac crest might contribute to greater lordosis, or whether this finding is purely incidental. Further research is needed to explore this association and to understand its implications. However, studies directly investigating this relationship are scarce, suggesting that our findings are among the first to report this association. Lumbar lordosis generally follows the pelvic incidence, and patients with a high pelvic incidence often have an L5–S1 level situated deep within the pelvis [8,16]. This could potentially relate to the distance between the L4–5 level and the iliac crest height, indicating a possible connection between these anatomical factors.
Our study highlights the reliability of combining categorical and quantitative analyses to evaluate the relationship between iliac crest height and OLIF outcomes [17,18,19]. By categorizing patients based on the iliac crest height and by utilizing quantitative measurements from plain lumbar AP radiographs and CT scans, we elucidated how iliac crest height affects surgical outcomes. Our quantitative analysis, particularly the univariate and multivariate logistic regression analyses, identified the iliac crest height measured by CT as the most significant predictor of subsidence (p = 0.042; Table 4). Based on these results, the ROC analysis determined a cutoff value of 12 mm, indicating that an iliac crest height > 12 mm significantly increased the likelihood of subsidence following OLIF at the L4–5 level (Figure 6). This finding aligns with the qualitative observation that crest level III, where the mean iliac crest height was approximately 18 mm, had a notably higher subsidence rate of 43% than the other crest levels. The consistent results from both the grading and quantitative analyses enhance the credibility of our study, as they converge on a reliable and robust conclusion. Given these findings, it is likely that a higher iliac crest height could increase the risk of intraoperative endplate damage, even though no significant differences were observed in cage insertion angles across the groups.
Considering these findings, patients with an iliac crest height ≥ 12 mm, which is classified as crest level III, are at a higher risk for subsidence than patients with a lower iliac crest height. The negative outcomes associated with subsidence, including potential nonunion and the need for revision surgery, emphasize the importance of meticulous preoperative planning in these patients [20]. Surgeons should carefully consider the anatomical challenges posed by a high iliac crest. Moreover, employing alternative strategies such as using a cage that allows for insertion at a more diagonal angle, similar to that used in L5–S1 OLIF, or modifying the surgical approach to minimize the risk of subsidence may be necessary [4,10,11,21].

Limitations

First, this study had a retrospective design, which may have introduced a selection bias and limited the generalizability of our findings. Second, the sample size, particularly in the high iliac crest height group, was relatively small, which may have affected the statistical power of the analyses. Third, although we identified a significant association between iliac crest height and subsidence, other factors such as bone quality or the specific surgical technique used, which may also play a role, were not fully considered in our analysis. Finally, our follow-up period, which was adequate for assessing short- to mid-term outcomes, may not have fully captured the long-term effects of subsidence on spinal fusion success and overall patient outcomes. Future studies with larger sample sizes, prospective designs, and longer follow-up periods are needed to validate our findings and to further explore the complex interplay between the iliac crest height and OLIF outcomes.

5. Conclusions

The iliac crest height plays a significant role in the outcomes of OLIF at the L4–5 level. Although the iliac crest height does not affect cage obliquity, it is strongly associated with an increased risk of subsidence, particularly in patients with an iliac crest height ≥ 12 mm. These findings underscore the importance of meticulous preoperative planning and the need for alternative surgical strategies to mitigate the risk of subsidence in patients with high iliac crests. Although our study provides valuable insights, further research with larger prospective cohorts is necessary to fully understand the long-term implications of iliac crest height on OLIF outcomes.

Author Contributions

Conceptualization, J.-H.Y.; data curation and formal analysis, H.-R.L. and S.-Y.L.; investigation, K.-J.L.; supervision, J.-H.Y.; writing—original draft, K.-J.L. and H.-R.L.; writing—review and editing, H.-R.L., K.-J.L., S.-Y.L. and J.-H.Y. All authors have read and agreed to the published version of the manuscript.

Funding

This research received no external funding.

Institutional Review Board Statement

This study was conducted according to the guidelines of the Declaration of Helsinki and approved by the institutional review board of Korea University Anam Hospital (IRB no. 2024AN0319; date of approval: 28 June 2024).

Informed Consent Statement

Patient consent was waived due to the retrospective nature of the study.

Data Availability Statement

The data presented in this study are available on request from the corresponding author.

Conflicts of Interest

The authors declare no conflicts of interest.

References

  1. Kim, Y.H.; Ha, K.Y.; Kim, Y.S.; Kim, K.W.; Rhyu, K.W.; Park, J.B.; Shin, J.H.; Kim, Y.Y.; Lee, J.S.; Park, H.Y.; et al. Lumbar Interbody Fusion and Osteobiologics for Lumbar Fusion. Asian Spine J. 2022, 16, 1022–1033. [Google Scholar] [CrossRef] [PubMed]
  2. Mayer, H.M. A new microsurgical technique for minimally invasive anterior lumbar interbody fusion. Spine 1997, 22, 691–699. discussion 700. [Google Scholar] [CrossRef] [PubMed]
  3. Kwon, J.W.; Moon, S.H.; Park, S.Y.; Park, S.J.; Park, S.R.; Suk, K.S.; Kim, H.S.; Lee, B.H. Lumbar Spinal Stenosis: Review Update 2022. Asian Spine J. 2022, 16, 789–798. [Google Scholar] [CrossRef] [PubMed]
  4. Kim, Y.H.; Ha, K.Y.; Rhyu, K.W.; Park, H.Y.; Cho, C.H.; Kim, H.C.; Lee, H.J.; Kim, S.I. Lumbar Interbody Fusion: Techniques, Pearls and Pitfalls. Asian Spine J. 2020, 14, 730–741. [Google Scholar] [CrossRef] [PubMed]
  5. Jang, C.; Hwang, S.; Jin, T.K.; Shin, H.J.; Cho, B.K. Factors Affecting Cage Obliquity and the Relationship between Cage Obliquity and Radiological Outcomes in Oblique Lateral Interbody Fusion at the L4–L5 Level. J. Korean Neurosurg. Soc. 2023, 66, 703–715. [Google Scholar] [CrossRef]
  6. Champagne, P.O.; Walsh, C.; Diabira, J.; Plante, M.; Wang, Z.; Boubez, G.; Shedid, D. Sagittal Balance Correction Following Lumbar Interbody Fusion: A Comparison of the Three Approaches. Asian Spine J. 2019, 13, 450–458. [Google Scholar] [CrossRef]
  7. Orita, S.; Inage, K.; Furuya, T.; Koda, M.; Aoki, Y.; Kubota, G.; Nakamura, J.; Shiga, Y.; Matsuura, Y.; Maki, S. Oblique lateral interbody fusion (OLIF): Indications and techniques. Oper. Tech. Orthop. 2017, 27, 223–230. [Google Scholar] [CrossRef]
  8. Becker, L.; Adl Amini, D.; Ziegeler, K.; Muellner, M.; Diekhoff, T.; Hughes, A.P.; Pumberger, M. Approach-related anatomical differences in patients with lumbo-sacral transitional vertebrae undergoing lumbar fusion surgery at level L4/5. Arch. Orthop. Trauma. Surg. 2023, 143, 1753–1759. [Google Scholar] [CrossRef]
  9. Song, Q.C.; Zhao, Y.; Li, D.; Zhang, Y.K.; Fan, L.H.; Li, Q.Y.; Duan, D.P.; Shi, Z.B. Percutaneous endoscopic transforaminal discectomy for the treatment of L5-S1 lumbar disc herniation and the influence of iliac crest height on its clinical effects. Exp. Ther. Med. 2021, 22, 866. [Google Scholar] [CrossRef]
  10. Lee, K.Y.; Lee, J.H.; Kang, K.C.; Shin, S.J.; Shin, W.J.; Im, S.K.; Park, J.H. Strategy for obtaining solid fusion at L5-S1 in adult spinal deformity: Risk factor analysis for nonunion at L5-S1. J. Neurosurg. Spine 2020, 33, 323–331. [Google Scholar] [CrossRef]
  11. Lee, H.R.; Cho, J.H.; Lee, D.H.; Seok, S.Y.; Hwang, C.J.; Lee, C.S. Risk Factors for the Aggravation of Sagittal Balance After L5-S1 Posterior Lumbar Interbody Fusion. World Neurosurg. 2023, 175, e653–e661. [Google Scholar] [CrossRef] [PubMed]
  12. Lee, H.R.; Cho, J.H.; Lee, D.H.; Seok, S.Y.; Hwang, C.J.; Lee, C.S. Exploring the impact of mild-to-moderate foraminal stenosis at L5-S1 on clinical outcomes following L4-5 posterior lumbar interbody fusion. Spine J. 2024, 24, 820–830. [Google Scholar] [CrossRef]
  13. Choi, K.C.; Shim, H.K.; Kim, J.S.; Lee, S.H. Does pre-existing L5-S1 degeneration affect outcomes after isolated L4-5 fusion for spondylolisthesis? J. Orthop. Surg. Res. 2015, 10, 39. [Google Scholar] [CrossRef] [PubMed]
  14. Liu, J.; Ding, W.; Yang, D.; Wu, H.; Hao, L.; Hu, Z.; Fan, S.; Zhao, F. Modic Changes (MCs) Associated with Endplate Sclerosis Can Prevent Cage Subsidence in Oblique Lumbar Interbody Fusion (OLIF) Stand-Alone. World Neurosurg. 2020, 138, e160–e168. [Google Scholar] [CrossRef]
  15. Chen, P.Q.; Zeng, Z.Y.; Zhao, X.; Fan, S.Y.; Wu, H.F.; Yu, W.; Zhang, J.Q.; Song, Y.X.; Fan, S.W.; Fang, X.Q.; et al. Application of oblique lateral interbody fusion in the treatment of lumbar intervertebral disc degeneration in patients with Modic change and endplate sclerosis. China J. Orthop. Traumatol. 2023, 36, 29–37. [Google Scholar] [CrossRef]
  16. Schwab, F.; Lafage, V.; Patel, A.; Farcy, J.P. Sagittal plane considerations and the pelvis in the adult patient. Spine 2009, 34, 1828–1833. [Google Scholar] [CrossRef]
  17. Schwab, F.J.; Smith, V.A.; Biserni, M.; Gamez, L.; Farcy, J.P.; Pagala, M. Adult scoliosis: A quantitative radiographic and clinical analysis. Spine 2002, 27, 387–392. [Google Scholar] [CrossRef]
  18. Glassman, S.D.; Berven, S.; Bridwell, K.; Horton, W.; Dimar, J.R. Correlation of radiographic parameters and clinical symptoms in adult scoliosis. Spine 2005, 30, 682–688. [Google Scholar] [CrossRef]
  19. Glassman, S.D.; Bridwell, K.; Dimar, J.R.; Horton, W.; Berven, S.; Schwab, F. The impact of positive sagittal balance in adult spinal deformity. Spine 2005, 30, 2024–2029. [Google Scholar] [CrossRef]
  20. Cho, J.H.; Joo, Y.S.; Lim, C.; Hwang, C.J.; Lee, D.H.; Lee, C.S. Effect of one- or two-level posterior lumbar interbody fusion on global sagittal balance. Spine J. 2017, 17, 1794–1802. [Google Scholar] [CrossRef]
  21. Chang, S.Y.; Kang, D.H.; Cho, S.K. Innovative Developments in Lumbar Interbody Cage Materials and Design: A Comprehensive Narrative Review. Asian Spine J. 2024, 18, 444–457. [Google Scholar] [CrossRef] [PubMed]
Figure 1. Method of categorizing crest levels into three groups based on the relationship between the height of the iliac crest (light blue dotted line) and the L4 and L5 pedicles on lumbar lateral radiographs. The white dotted lines represent the lower edge of the L4 pedicle and the upper edge of the L5 pedicle. I represents the iliac crest height below the upper edge of the L5 pedicle; II indicates the iliac crest height between the lower edge of the L4 pedicle and the upper edge of the L5 pedicle; and III represents the iliac crest height above the lower edge of the L4 pedicle.
Figure 1. Method of categorizing crest levels into three groups based on the relationship between the height of the iliac crest (light blue dotted line) and the L4 and L5 pedicles on lumbar lateral radiographs. The white dotted lines represent the lower edge of the L4 pedicle and the upper edge of the L5 pedicle. I represents the iliac crest height below the upper edge of the L5 pedicle; II indicates the iliac crest height between the lower edge of the L4 pedicle and the upper edge of the L5 pedicle; and III represents the iliac crest height above the lower edge of the L4 pedicle.
Jcm 13 06223 g001
Figure 2. Measurement of the distance of the iliac crest in relation to the L4–5 disc space by computed tomography (CT). (a) The thick red line represents the connection between the highest points of both iliac crests in the CT coronal plane, with the midpoint of this line serving as a reference. (b) In the sagittal plane, the midpoint of the coronal plane’s red line is indicated by a yellow dot, which is then projected to create a horizontal red line. (c) The distance between the yellow dot marking the ventral side midpoint of the L4–5 disc space and the horizontal red line is measured as the distance between the iliac crest and the L4–5 disc space (light blue arrow).
Figure 2. Measurement of the distance of the iliac crest in relation to the L4–5 disc space by computed tomography (CT). (a) The thick red line represents the connection between the highest points of both iliac crests in the CT coronal plane, with the midpoint of this line serving as a reference. (b) In the sagittal plane, the midpoint of the coronal plane’s red line is indicated by a yellow dot, which is then projected to create a horizontal red line. (c) The distance between the yellow dot marking the ventral side midpoint of the L4–5 disc space and the horizontal red line is measured as the distance between the iliac crest and the L4–5 disc space (light blue arrow).
Jcm 13 06223 g002
Figure 3. Measurement of cage insertion angles. (a) In the axial plane, the angle (α) formed between the long axis of the disc space and the long axis of the cage, measured using radiographic markers, is defined as the axial plane insertion angle. Positive angles are assigned to cages inserted from the left anterior to the right posterior position. (b) In the coronal plane, the angle (β) formed between the line parallel to the L5 upper endplate and the long axis of the cage, measured using radiographic markers, is defined as the coronal plane insertion angle. Negative angles are assigned to cages inserted from the left cranial to the right caudal direction.
Figure 3. Measurement of cage insertion angles. (a) In the axial plane, the angle (α) formed between the long axis of the disc space and the long axis of the cage, measured using radiographic markers, is defined as the axial plane insertion angle. Positive angles are assigned to cages inserted from the left anterior to the right posterior position. (b) In the coronal plane, the angle (β) formed between the line parallel to the L5 upper endplate and the long axis of the cage, measured using radiographic markers, is defined as the coronal plane insertion angle. Negative angles are assigned to cages inserted from the left cranial to the right caudal direction.
Jcm 13 06223 g003
Figure 4. Quantitative comparison of iliac crest height among the three crest level groups. (a) Distance measured from the highest points of the iliac crest to the midpoint of the L4–5 disc using plain AP radiographs. (b) Distance measured between the iliac crest height and midpoint of the L4–5 disc space by CT. Both measurements showed significant differences across the three groups, with p < 0.001. AP, anteroposterior; CT, computed tomography.
Figure 4. Quantitative comparison of iliac crest height among the three crest level groups. (a) Distance measured from the highest points of the iliac crest to the midpoint of the L4–5 disc using plain AP radiographs. (b) Distance measured between the iliac crest height and midpoint of the L4–5 disc space by CT. Both measurements showed significant differences across the three groups, with p < 0.001. AP, anteroposterior; CT, computed tomography.
Jcm 13 06223 g004
Figure 5. Comparison of cage insertion angles among the three crest level groups in the (a) axial and (b) coronal planes.
Figure 5. Comparison of cage insertion angles among the three crest level groups in the (a) axial and (b) coronal planes.
Jcm 13 06223 g005
Figure 6. Typical cases of postoperative cage subsidence following OLIF at the L4–5 level. (a) Subsidence at the L5 upper endplate (yellow arrow) with a decrease in disc height and air accumulation at the graft site, suggesting non-union (red arrow). (b) Subsidence occurring at the L4 lower endplate (yellow arrow).
Figure 6. Typical cases of postoperative cage subsidence following OLIF at the L4–5 level. (a) Subsidence at the L5 upper endplate (yellow arrow) with a decrease in disc height and air accumulation at the graft site, suggesting non-union (red arrow). (b) Subsidence occurring at the L4 lower endplate (yellow arrow).
Jcm 13 06223 g006
Figure 7. Receiver operating characteristic curve analysis of the relationship between the iliac crest height measured by CT and subsidence. The analysis identified a cutoff value of 12 mm, with an AUC of 0.688 (95% confidence interval: 0.583–0.792), sensitivity of 62.5%, and specificity of 76.8%. CT, computed tomography; AUC, area under the curve; PPV, positive predictive value; NPV, negative predictive value.
Figure 7. Receiver operating characteristic curve analysis of the relationship between the iliac crest height measured by CT and subsidence. The analysis identified a cutoff value of 12 mm, with an AUC of 0.688 (95% confidence interval: 0.583–0.792), sensitivity of 62.5%, and specificity of 76.8%. CT, computed tomography; AUC, area under the curve; PPV, positive predictive value; NPV, negative predictive value.
Jcm 13 06223 g007
Table 1. Demographic and radiographic characteristics of the three groups.
Table 1. Demographic and radiographic characteristics of the three groups.
ParameterCrest Level I
(n = 20)
Crest Level II
(n = 91)
Crest Level III
(n = 28)
p Value
Demographic parameters
   Age (y) 71.6 ± 7.474.0 ± 7.474.8 ± 6.10.078
   Sex, M:F12:824:6710:180.121
   Height (cm)157.2 ± 5.5155.9 ± 7.9157.8 ± 7.50.137
   Weight (kg)62.8 ± 10.361.4 ± 9.563.3 ± 11.010.208
   BMD−1.2 ± 1.8−1.5 ± 1.4−1.4 ± 2.10.752
   HTN, n729110.194
   DM41770.095
   Smoking522150.137
   Psychotic disease2160.266
   Liver disease0380.863
   Pulmonary disease1570.342
Radiographic parameters
   Iliac crest height, mm (plain radiograph)−1.8 ± 2.84.3 ± 5.913.3 ± 4.3<0.001 *
   Iliac crest height, mm (CT)0.1 ± 6.28.4 ± 6.818.2 ± 6.1<0.001 *
   Lumbar lordosis, °23.6 ± 13.134.2 ± 12.337.6 ± 14.40.016 *
   L4−5 segmental angle, °12.0 ± 6.214.0 ± 7.316.2 ± 8.20.348
   Isthmic spondylolisthesis2 (8.3%)6 (6.5%)0 (0.0%)0.339
   Vacuum phenomenon14 (58.3%)70 (76.1%)20 (71.4%)0.223
   Endplate sclerosis11 (55.0%)66 (72.5%)17 (60.7%)0.216
   Preop ADH, mm 7.1 ± 1.17.1 ± 2.98.1 ± 2.90.462
   Preop PDH, mm 4.2 ± 0.94.2 ± 2.13.9 ± 1.90.925
HTN, hypertension; DM, diabetes mellitus; CT, computed tomography; ADH, anterior disc height; PDH, posterior disc height; BMD, bone mineral density. * p < 0.05.
Table 2. Surgical results of the three groups.
Table 2. Surgical results of the three groups.
Crest Level I
(n = 20)
Crest Level II
(n = 91)
Crest Level III
(n = 28)
p Value
Cage profile
   Cage angle6.7 ± 2.46.8 ± 2.17.8 ± 2.80.111
   Cage height10.7 ± 1.011.0 ± 1.211.8 ± 1.70.084
Cage angle (axial) 1.9 ± 5.11.9 ± 3.83.6 ± 4.80.39
Cage angle (coronal)−0.2 ± 2.1−0.4 ± 2.6−0.9 ± 3.10.793
Postop ADH 10.9 ± 2.110.6 ± 1.911.1 ± 1.60.698
Postop PDH6.4 ± 1.77.4 ± 1.76.3 ± 1.50.092
Lumbar lordosis, °26.6 ± 11.335.7 ± 14.136.5 ± 12.40.163
L4–5 segmental angle, °13.6 ± 5.815.2 ± 5.317.0 ± 11.70.472
Subsidence2 (10%)18 (19%)12 (43%)0.01 *
Subsidence location 0.016 *
   L5 endplate2128
   L4 endplate 62
   Both endplates 2
Complete fusion12 (60.0%)48 (57.1%)12 (46.2%)0.556
Bridwell fusion grade2.3 ± 0.92.2 ± 0.72.3 ± 0.60.845
Vessel injury 110.503
Revision 20.124
ADH, anterior disc height; PDH, posterior disc height. * p < 0.05.
Table 3. Comparison of patient-reported outcomes among the three groups.
Table 3. Comparison of patient-reported outcomes among the three groups.
Crest Level I
(n = 20)
Crest Level II
(n = 91)
Crest Level III
(n = 28)
p Value
Back pain VASPreoperative7.4 ± 1.36.3 ± 2.17.4 ± 1.00.085
Postop 3M3.1 ± 2.53.1 ± 1.93.1 ± 1.70.990
Postop 6M2.6 ± 2.02.3 ± 1.62.6 ± 1.50.481
Postop 1Y2.8 ± 1.62.3 ± 1.52.9 ± 1.60.503
Postop 2Y3.0 ± 3.22.4 ± 1.44.6 ± 2.80.021 *
Leg pain VASPreoperative5.9 ± 1.45.4 ± 2.15.3 ± 2.10.531
Postop 3M1.9 ± 1.52.2 ± 1.71.9 ± 1.20.476
Postop 6M2.4 ± 2.01.7 ± 1.41.6 ± 1.10.072
Postop 1Y2.0 ± 1.71.6 ± 1.31.5 ± 1.00.404
Postop 2Y2.6 ± 1.61.9 ± 1.61.8 ± 2.30.449
ODIPreoperative64.0 ± 6.563.9 ± 14.264.9 ± 15.20.972
Postop 3M49.1 ± 10.949.3 ± 11.644.1 ± 17.20.436
Postop 6M43.4 ± 16.835.7 ± 13.334.9 ± 15.30.236
Postop 1Y35.7 ± 17.031.6 ± 13.732.3 ± 15.60.731
Postop 2Y36.5 ± 19.030.6 ± 13.539.5 ± 23.10.438
Eq5DPreoperative15.2 ± 1.715.9 ± 3.216.0 ± 2.10.828
Postop 3M11.8 ± 1.612.0 ± 3.011.1 ± 2.90.697
Postop 6M10.0 ± 2.49.9 ± 2.410.0 ± 2.40.986
Postop 1Y9.5 ± 3.19.3 ± 2.59.6 ± 2.50.932
Postop 2Y10.7 ± 4.79.2 ± 2.811.8 ± 4.50.253
VAS, visual analog scale; ODI, Oswestry Disability Index; Eq5D, EuroQol-5 Dimension. * p < 0.05.
Table 4. Logistic regression analysis for predicting subsidence in OLIF L4–5 procedures.
Table 4. Logistic regression analysis for predicting subsidence in OLIF L4–5 procedures.
Univariate Analysis
BetaSEz Valuep ValueORlclucl
Lumbar lordosis0.02850.02231.280.2021.030.991.08
L4–5 segmental angle−0.00510.0392−0.130.8960.990.921.07
Cage angle−2.9131319.4502−0.010.9930.05
Cage height−0.11790.2281−0.520.6050.890.551.37
Iliac crest height (AP)0.06410.04071.580.1151.070.991.16
Iliac crest height (CT)0.06790.03751.810.071.0711.16
ADH−0.13030.1144−1.140.2550.880.691.09
PDH−0.15650.1648−0.950.3420.860.61.16
Cage axial angle0.16650.07692.170.031.181.031.4
Cage coronal angle−0.230.1168−1.970.0490.790.620.99
Endplate sclerosis0.94610.58441.620.1052.580.848.54
Multivariate analysis
Cage axial angle0.1270.06332.010.0551.141.011.3
Iliac crest height (CT)0.0910.05840.160.042 *1.09311.19
Residual deviance/df = 115.2/126 = 0.91, pseudo-R2 = 0.36 (Nagelkerke)
SE, standard error; OR, odds ratio; lcl, lower confidence interval; ucl, upper confidence interval; AP, plane lumbar anteroposterior radiograph; CT, computed tomography; ADH, anterior disc height; PDH, posterior disc height. * p < 0.05.
Disclaimer/Publisher’s Note: The statements, opinions and data contained in all publications are solely those of the individual author(s) and contributor(s) and not of MDPI and/or the editor(s). MDPI and/or the editor(s) disclaim responsibility for any injury to people or property resulting from any ideas, methods, instructions or products referred to in the content.

Share and Cite

MDPI and ACS Style

Yang, J.-H.; Lee, K.-J.; Lee, S.-Y.; Lee, H.-R. Relationship of the Iliac Crest Height with Subsidence After Oblique Lateral Interbody Fusion at L4–5: A Quantitative and Categorical Analysis. J. Clin. Med. 2024, 13, 6223. https://doi.org/10.3390/jcm13206223

AMA Style

Yang J-H, Lee K-J, Lee S-Y, Lee H-R. Relationship of the Iliac Crest Height with Subsidence After Oblique Lateral Interbody Fusion at L4–5: A Quantitative and Categorical Analysis. Journal of Clinical Medicine. 2024; 13(20):6223. https://doi.org/10.3390/jcm13206223

Chicago/Turabian Style

Yang, Jae-Hyuk, Kun-Joon Lee, Seung-Yup Lee, and Hyung-Rae Lee. 2024. "Relationship of the Iliac Crest Height with Subsidence After Oblique Lateral Interbody Fusion at L4–5: A Quantitative and Categorical Analysis" Journal of Clinical Medicine 13, no. 20: 6223. https://doi.org/10.3390/jcm13206223

APA Style

Yang, J.-H., Lee, K.-J., Lee, S.-Y., & Lee, H.-R. (2024). Relationship of the Iliac Crest Height with Subsidence After Oblique Lateral Interbody Fusion at L4–5: A Quantitative and Categorical Analysis. Journal of Clinical Medicine, 13(20), 6223. https://doi.org/10.3390/jcm13206223

Note that from the first issue of 2016, this journal uses article numbers instead of page numbers. See further details here.

Article Metrics

Back to TopTop