Endoscopic Vacuum-Assisted Closure (E-VAC) in Septic Shock from Perforated Duodenal Ulcers with Abscess Formations
Abstract
1. Introduction
2. Results
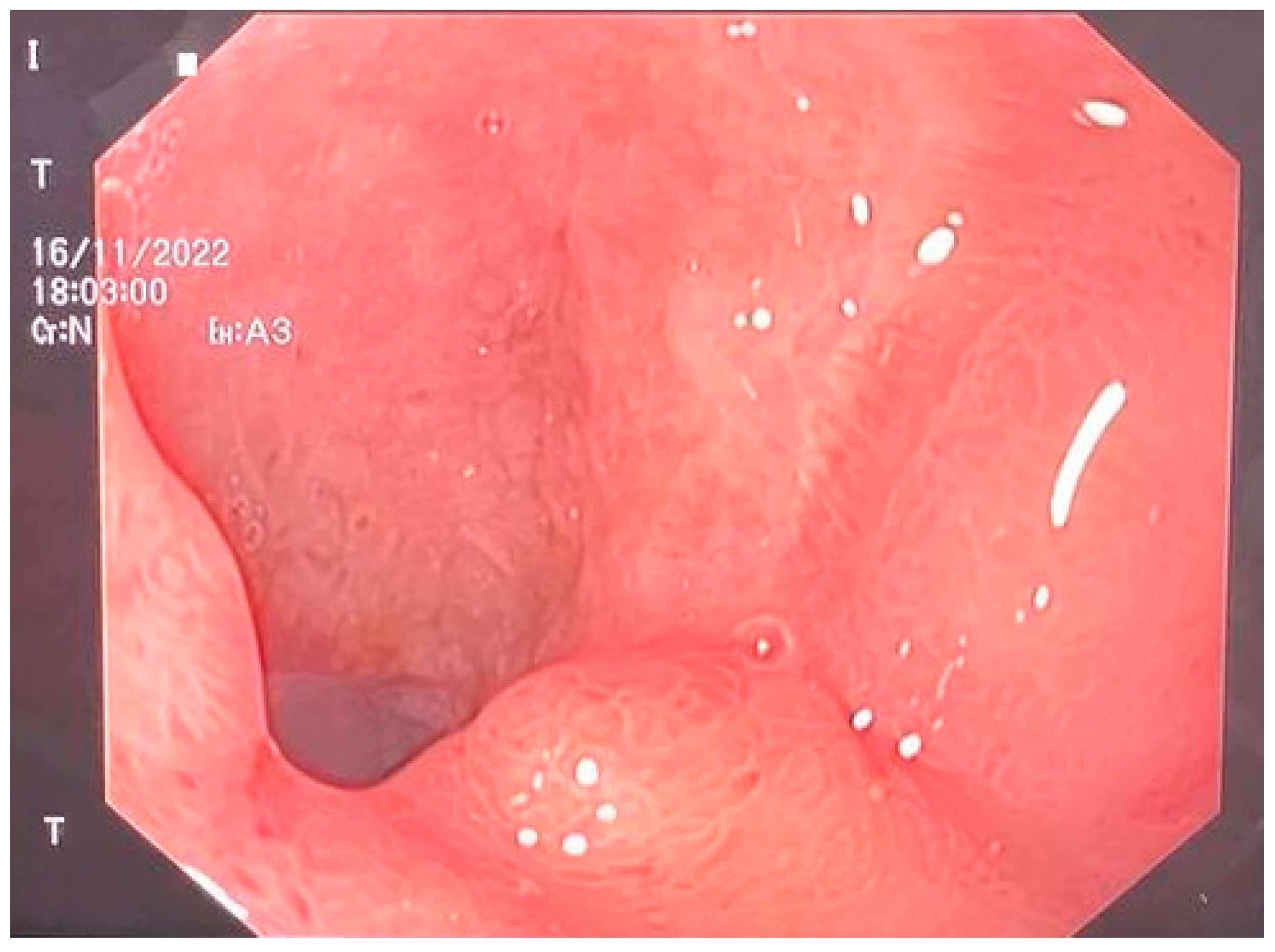
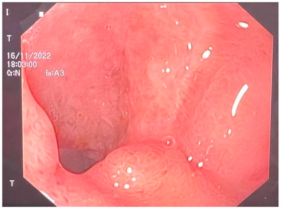
Case Report
3. Discussion
4. Conclusions
Author Contributions
Funding
Institutional Review Board Statement
Informed Consent Statement
Data Availability Statement
Conflicts of Interest
References
- Weledji, E.P. An Overview of Gastroduodenal Perforation. Front. Surg. 2020, 7, 573901. [Google Scholar] [CrossRef]
- Yurttas, C.; Thiel, C.; Wichmann, D.; Horvath, P.; Strohäker, J.; Bongers, M.N.; Schenk, M.; Stüker, D.; Königsrainer, A.; Thiel, K. Retrospective analysis of different therapeutic approaches for retroperitoneal duodenal perforations. Sci. Rep. 2022, 12, 10243. [Google Scholar] [CrossRef] [PubMed]
- Statement on ASA Physical Status Classification System. Available online: https://www.asahq.org/standards-and-practice-parameters/statement-on-asa-physical-status-classification-system (accessed on 15 December 2023).
- Dadfar, A.; Edna, T.H. Epidemiology of perforating peptic ulcer: A population-based retrospective study over 40 years. World J. Gastroenterol. 2020, 26, 5302–5313. [Google Scholar] [CrossRef]
- Uhe, I.; Litchinko, A.; Liot, E. Peptic ulcer disease complicated with choledocho-duodenal fistula and gastro-intestinal bleeding: A case report and review of the literature. Front. Surg. 2023, 10, 1206828. [Google Scholar] [CrossRef]
- Coco, D.; Leanza, S. A Review on Treatment of Perforated Peptic Ulcer by Minimally Invasive Techniques. Maedica 2022, 17, 692–698. [Google Scholar] [CrossRef]
- Coccolini, F.; Sartelli, M.; Sawyer, R.; Rasa, K.; Viaggi, B.; Abu-Zidan, F.; Soreide, K.; Hardcastle, T.; Gupta, D.; Bendinelli, C.; et al. Source control in emergency general surgery: WSES, GAIS, SIS-E, SIS-A guidelines. World J. Emerg. Surg. 2023, 18, 41. [Google Scholar] [CrossRef] [PubMed]
- Hu, X.; Grinstaff, M.W. Advances in Hydrogel Adhesives for Gastrointestinal Wound Closure and Repair. Gels 2023, 9, 282. [Google Scholar] [CrossRef] [PubMed]
- Umbu, L.; Harrison, H.; Thomas, D.; Contreras, M.; Darku, K. A case of retroperitoneal abscess secondary to duodenal perforation. J. Surg. Case Rep. 2023, 2023, rjad368. [Google Scholar] [CrossRef]
- Yanamaladoddi, V.R.; Gonuguntla, A.; Vasireddy, A.; Gopal, N.; Janumpalli, K.K.R. An Anterior Abdominal Abscess as the Initial Presentation of a Perforated Duodenal Ulcer: A Case Report. Cureus 2023, 15, e44522. [Google Scholar] [CrossRef]
- Tarasconi, A.; Coccolini, F.; Biffl, W.L.; Tomasoni, M.; Ansaloni, L.; Picetti, E.; Molfino, S.; Shelat, V.; Cimbanassi, S.; Weber, D.G.; et al. Perforated and bleeding peptic ulcer: WSES guidelines. World J. Emerg. Surg. 2020, 15, 3. [Google Scholar] [CrossRef]
- Pines, G.; Bar, I.; Elami, A.; Sapojnikov, S.; Hikri, O.; Ton, D.; Mosenkis, B.; Melzer, E. Modified Endoscopic Vacuum Therapy for Nonhealing Esophageal Anastomotic Leak: Technique Description and Review of Literature. J. Laparo-Endosc. Adv. Surg. Tech. 2018, 28, 1. [Google Scholar] [CrossRef] [PubMed]
- Tulinský, L.; Sengul, D.; Sengul, I.; Hrubovčák, J.; Martínek, L.; Kepičová, M.; Pelikán, A.; Ihnát, P. Laparoscopic Repair Modality of Perforated Peptic Ulcer: Less Is More? Cureus 2022, 14, e30926. [Google Scholar] [CrossRef] [PubMed]
- Yalcin, M.; Oter, S.; Akınoğlu, A. Early post-operative morbidity and mortality predictors in peptic ulcer perforation. Ulus Travma Acil Cerrahi Derg. 2022, 28, 1558–1562. [Google Scholar] [CrossRef] [PubMed]
- Pattynama, L.M.D.; Pouw, R.E.; Henegouwen, M.I.V.B.; Daams, F.; Gisbertz, S.S.; Bergman, J.J.G.H.M.; Eshuis, W.J. Endoscopic vacuum therapy for anastomotic leakage after upper gastrointestinal surgery. Endoscopy 2023, 55, 1019–1025. [Google Scholar] [CrossRef] [PubMed]
- Mandarino, F.V.; Barchi, A.; D’Amico, F.; Fanti, L.; Azzolini, F.; Viale, E.; Esposito, D.; Rosati, R.; Fiorino, G.; Bemelman, W.A.; et al. Endoscopic Vacuum Therapy (EVT) versus Self-Expandable Metal Stent (SEMS) for Anastomotic Leaks after Upper Gastrointestinal Surgery: Systematic Review and Meta-Analysis. Life 2023, 13, 287. [Google Scholar] [CrossRef]
- Ciuntu, B.M.; Zabara, M.; Trifescu, I.; Ionescu, L.; Toma, B.; Georgescu, S.O.; Crumpei, F.; Balan, G.; Timofte, D.; Ionescu, L. Endoscopic Vacuum-Assisted Closure (E-Vac) in Acute Mediastinitis from Postoperative Esophageal Fistula after Transhiatal Diverticulectomy. J. Surg. 2020, 16, 301. [Google Scholar]
- Ciuntu, B.M.; Girleanu, I.; Lunguleac, T.; Vintila, D.; Georgescu, S.O.; Azoicai, D.; Costan, V.V.; Danila, N. Endoscopic vacuum—Assisted closure (E-VAC) in acute mediastinitis from anastomotic leakage after intrathoracic esophageal jejunal anastomosis. Med. Surg. J. 2018, 122, 4. [Google Scholar]
- Abbitt, D.; Barnes, A.L.; Hammad, H.T.; Reveille, R.M.; Jones, E.L. Endoluminal vacuum closure of a duodenal perforation. J. Surg. Case Rep. 2021, 2021, rjab479. [Google Scholar] [CrossRef]
- Kouladouros, K. Applications of endoscopic vacuum therapy in the upper gastrointestinal tract. World J. Gastrointest. Endosc. 2023, 15, 420–433. [Google Scholar] [CrossRef]
- de Moura, D.T.H.; de Moura, B.F.B.H.; Manfredi, M.A.; Hathorn, K.E.; Bazarbashi, A.N.; Ribeiro, I.B.; de Moura, E.G.H.; Thompson, C.C. Role of endoscopic vacuum therapy in the management of gastrointestinal transmural defects. World J. Gastrointest. Endosc. 2019, 11, 329–344. [Google Scholar] [CrossRef]
- Cereatti, F.; Grassia, R.; Drago, A.; Conti, C.B.; Donatelli, G. Endoscopic management of gastrointestinal leaks and fistulae: What option do we have? World J. Gastroenterol. 2020, 26, 4198–4217. [Google Scholar] [CrossRef]
- de Moura, D.T.H.; Hirsch, B.S.; Do Monte Junior, E.S.; McCarty, T.R.; de Medeiros, F.S.; Thompson, C.C.; de Moura, E.G.H. Cost-effective modified endoscopic vacuum therapy for the treatment of gastrointestinal transmural defects: Step-by-step process of manufacturing and its advantages. VideoGIE 2021, 6, 523–528. [Google Scholar] [CrossRef]
- Chevallay, M.; Lorenz, F.; Bichard, P.; Frossard, J.L.; Schmidt, T.; Goeser, T.; Bruns, C.J.; Mönig, S.P.; Chon, S.H. Outcome of endoscopic vacuum therapy for duodenal perforation. Surg. Endosc. 2023, 37, 1846–1853. [Google Scholar] [CrossRef] [PubMed]
- de Moura, D.T.H.; Sachdev, A.H.; Thompson, C.C. Endoscopic Full-Thickness Defects and Closure Techniques. Curr. Treat Options Gastroenterol. 2018, 16, 386–405. [Google Scholar] [CrossRef] [PubMed]
- Singh, R.R.; Nussbaum, J.S.; Kumta, N.A. Endoscopic management of perforations, leaks and fistulas. Transl. Gastroenterol. Hepatol. 2018, 3, 85. [Google Scholar] [CrossRef] [PubMed]
- Staudenmann, D.; Choi, K.K.H.; Kaffes, A.J.; Saxena, P. Current endoscopic closure techniques for the management of gastrointestinal perforations. Ther. Adv. Gastrointest. Endosc. 2022, 15, 26317745221076705. [Google Scholar] [CrossRef] [PubMed]
- Loske, G.; Rucktaeschel, F.; Schorsch, T.; Moenkemueller, K.; Mueller, C.T. Endoscopic negative pressure therapy (ENPT) for duodenal leakage—Novel repair technique using open-pore film (OFD) and polyurethane-foam drainages (OPD). Endosc. Int. Open. 2019, 7, E1424–E1431. [Google Scholar] [CrossRef]
- Costa, G.; Fransvea, P.; Lepre, L.; Liotta, G.; Mazzoni, G.; Biloslavo, A.; Bianchi, V.; Occhionorelli, S.; Costa, A.; FACS on behalf of the IGo-GIPS study group; et al. Perforated peptic ulcer (PPU) treatment: An Italian nationwide propensity score-matched cohort study investigating laparoscopic vs open approach. Surg. Endosc. 2023, 37, 5137–5149. [Google Scholar] [CrossRef]
- Ding, W.; Jian, M.; Xu, R.J. The impact of standardized perioperative care management on improving outcomes in patients with peptic ulcer disease. Medicine 2023, 102, e33769. [Google Scholar] [CrossRef]
- Alhalabi, M.M. Mortality and risk factors associated with peptic ulcer bleeding among adult inpatients of Damascus Hospital, Syria: A cross-sectional study. Medicine 2023, 102, e33699. [Google Scholar] [CrossRef]
- Liu, J.; Zhou, S.; Wang, S.; Xue, X. Analysis of risk factors for duodenal leak after repair of a duodenal perforation. BMC Surg. 2023, 23, 116. [Google Scholar] [CrossRef] [PubMed]





Disclaimer/Publisher’s Note: The statements, opinions and data contained in all publications are solely those of the individual author(s) and contributor(s) and not of MDPI and/or the editor(s). MDPI and/or the editor(s) disclaim responsibility for any injury to people or property resulting from any ideas, methods, instructions or products referred to in the content. |
© 2024 by the authors. Licensee MDPI, Basel, Switzerland. This article is an open access article distributed under the terms and conditions of the Creative Commons Attribution (CC BY) license (https://creativecommons.org/licenses/by/4.0/).
Share and Cite
Ciuntu, B.M.; Tanevski, A.; Buescu, D.O.; Lutenco, V.; Mihailov, R.; Ciuntu, M.S.; Zuzu, M.M.; Vintila, D.; Zabara, M.; Trofin, A.; et al. Endoscopic Vacuum-Assisted Closure (E-VAC) in Septic Shock from Perforated Duodenal Ulcers with Abscess Formations. J. Clin. Med. 2024, 13, 470. https://doi.org/10.3390/jcm13020470
Ciuntu BM, Tanevski A, Buescu DO, Lutenco V, Mihailov R, Ciuntu MS, Zuzu MM, Vintila D, Zabara M, Trofin A, et al. Endoscopic Vacuum-Assisted Closure (E-VAC) in Septic Shock from Perforated Duodenal Ulcers with Abscess Formations. Journal of Clinical Medicine. 2024; 13(2):470. https://doi.org/10.3390/jcm13020470
Chicago/Turabian StyleCiuntu, Bogdan Mihnea, Adelina Tanevski, David Ovidiu Buescu, Valerii Lutenco, Raul Mihailov, Madalina Stefana Ciuntu, Mihai Marius Zuzu, Dan Vintila, Mihai Zabara, Ana Trofin, and et al. 2024. "Endoscopic Vacuum-Assisted Closure (E-VAC) in Septic Shock from Perforated Duodenal Ulcers with Abscess Formations" Journal of Clinical Medicine 13, no. 2: 470. https://doi.org/10.3390/jcm13020470
APA StyleCiuntu, B. M., Tanevski, A., Buescu, D. O., Lutenco, V., Mihailov, R., Ciuntu, M. S., Zuzu, M. M., Vintila, D., Zabara, M., Trofin, A., Cadar, R., Nastase, A., Lupascu Ursulescu, C., & Lupascu, C. D. (2024). Endoscopic Vacuum-Assisted Closure (E-VAC) in Septic Shock from Perforated Duodenal Ulcers with Abscess Formations. Journal of Clinical Medicine, 13(2), 470. https://doi.org/10.3390/jcm13020470

