Crohn’s Disease: Radiological Answers to Clinical Questions and Review of the Literature
Abstract
1. Introduction
2. Methods
2.1. Questions
2.2. Search on Medline Electronic Database
3. What Is the Best Technique for the Assessment of Small Bowel CD?
4. Is Imaging a Good Option to Assess Colonic Disease?
5. Which Disease Pattern Is Present: Inflammatory, Fibrotic or Fistulizing?
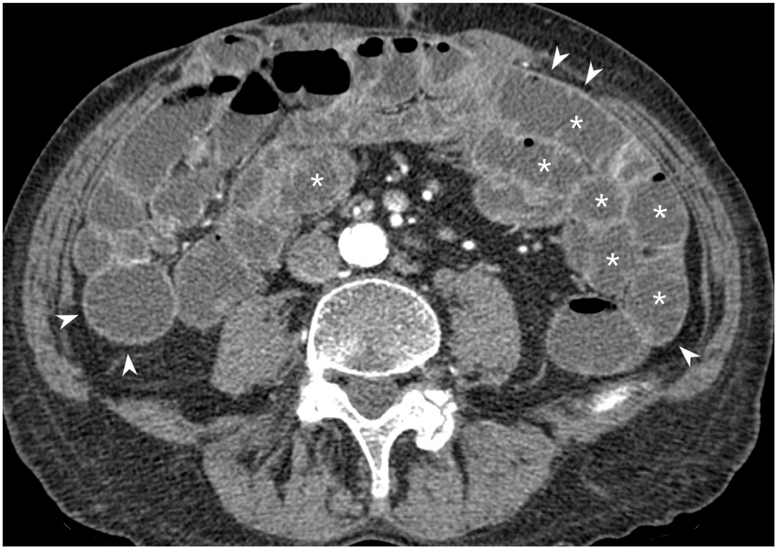
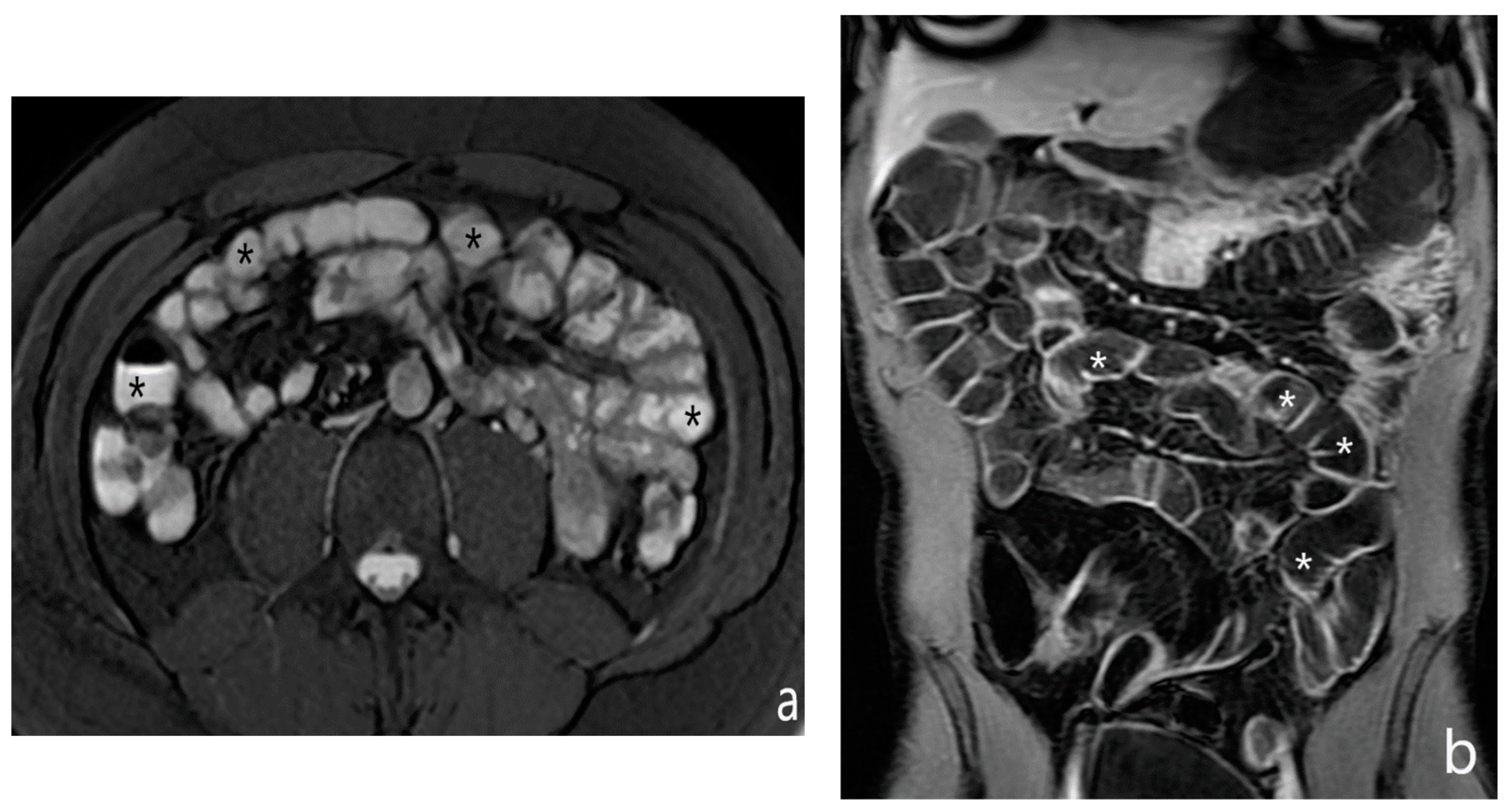
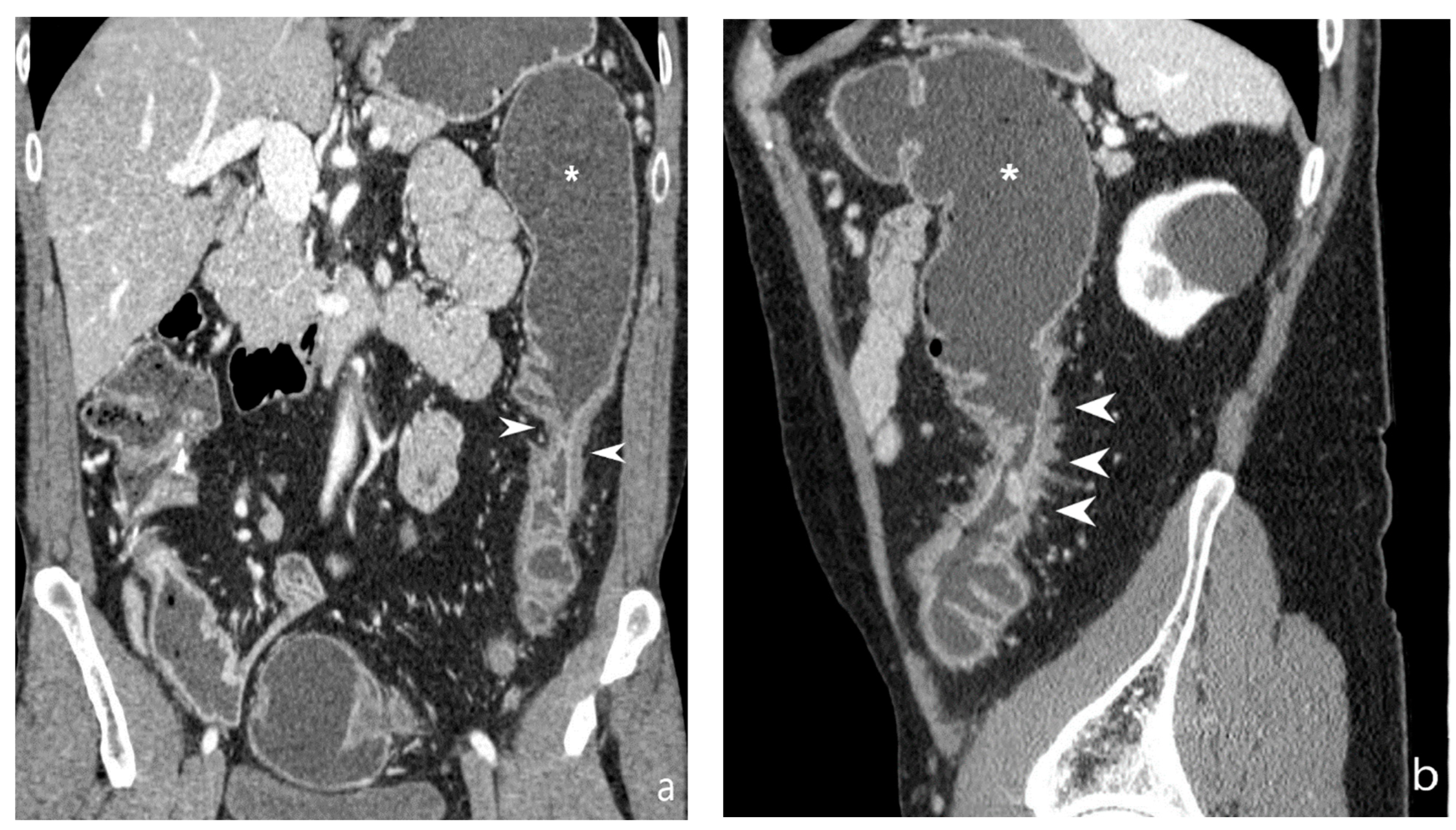
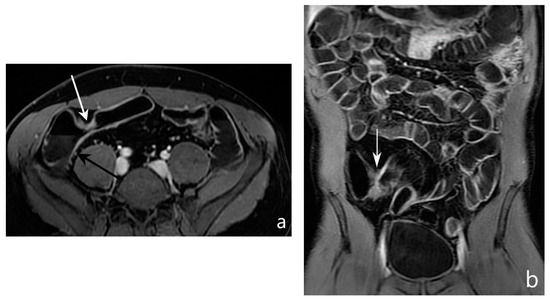
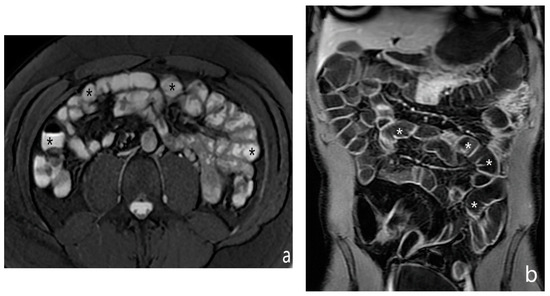
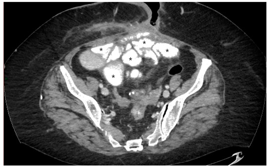
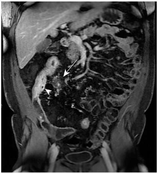
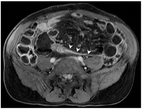
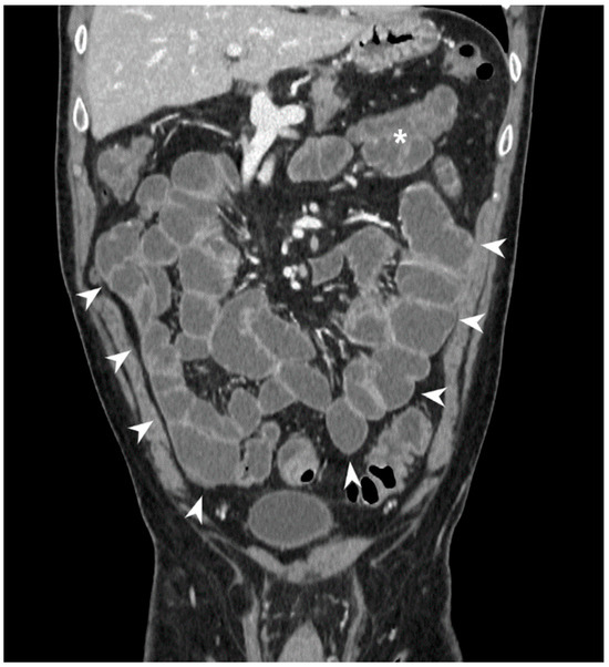
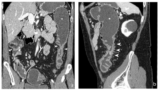
5.1. Active Subtype
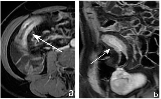
5.2. Fibro-Stenotic Subtype
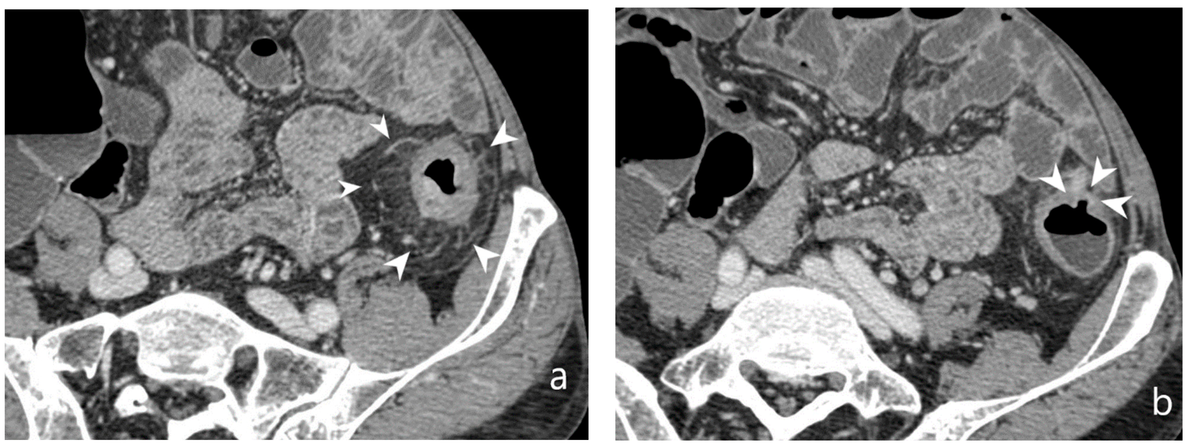
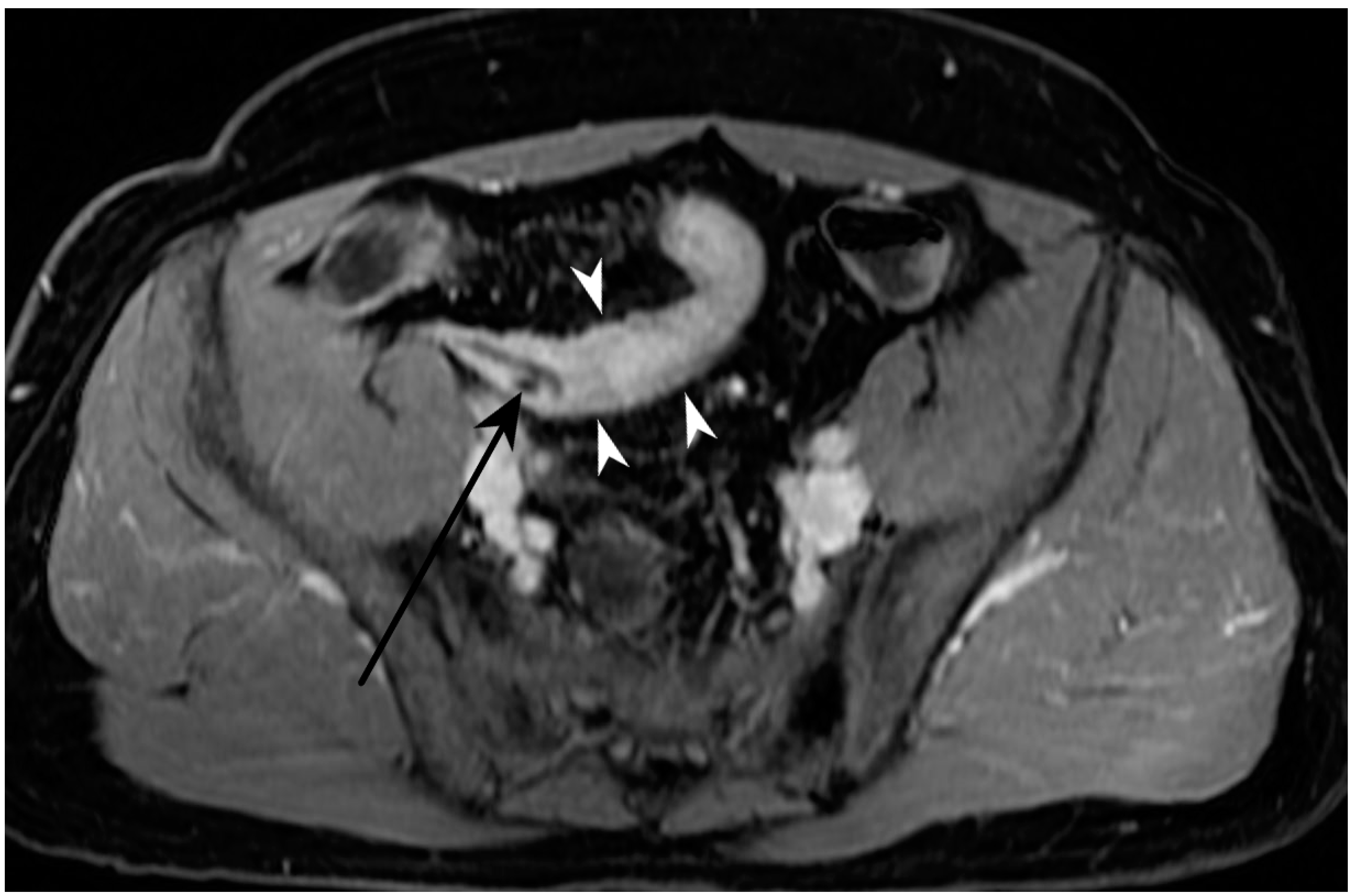
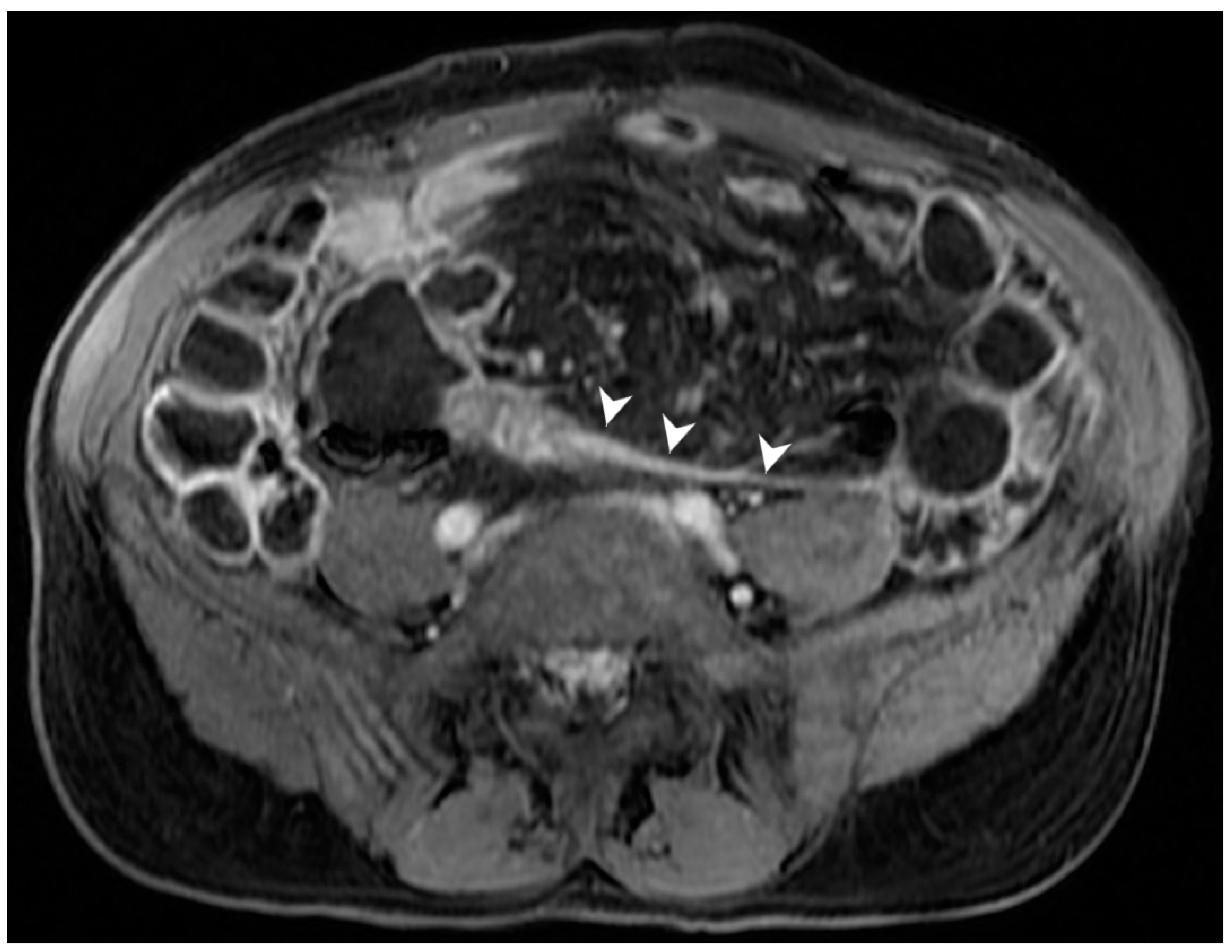
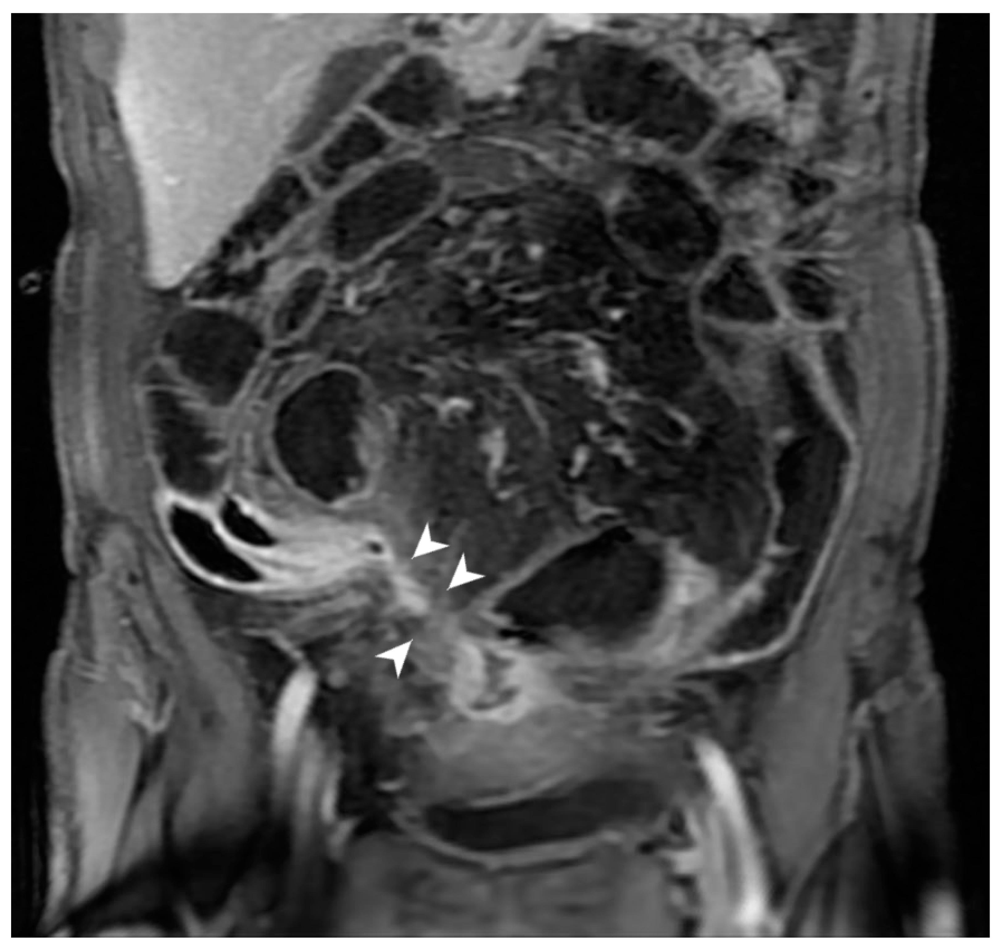
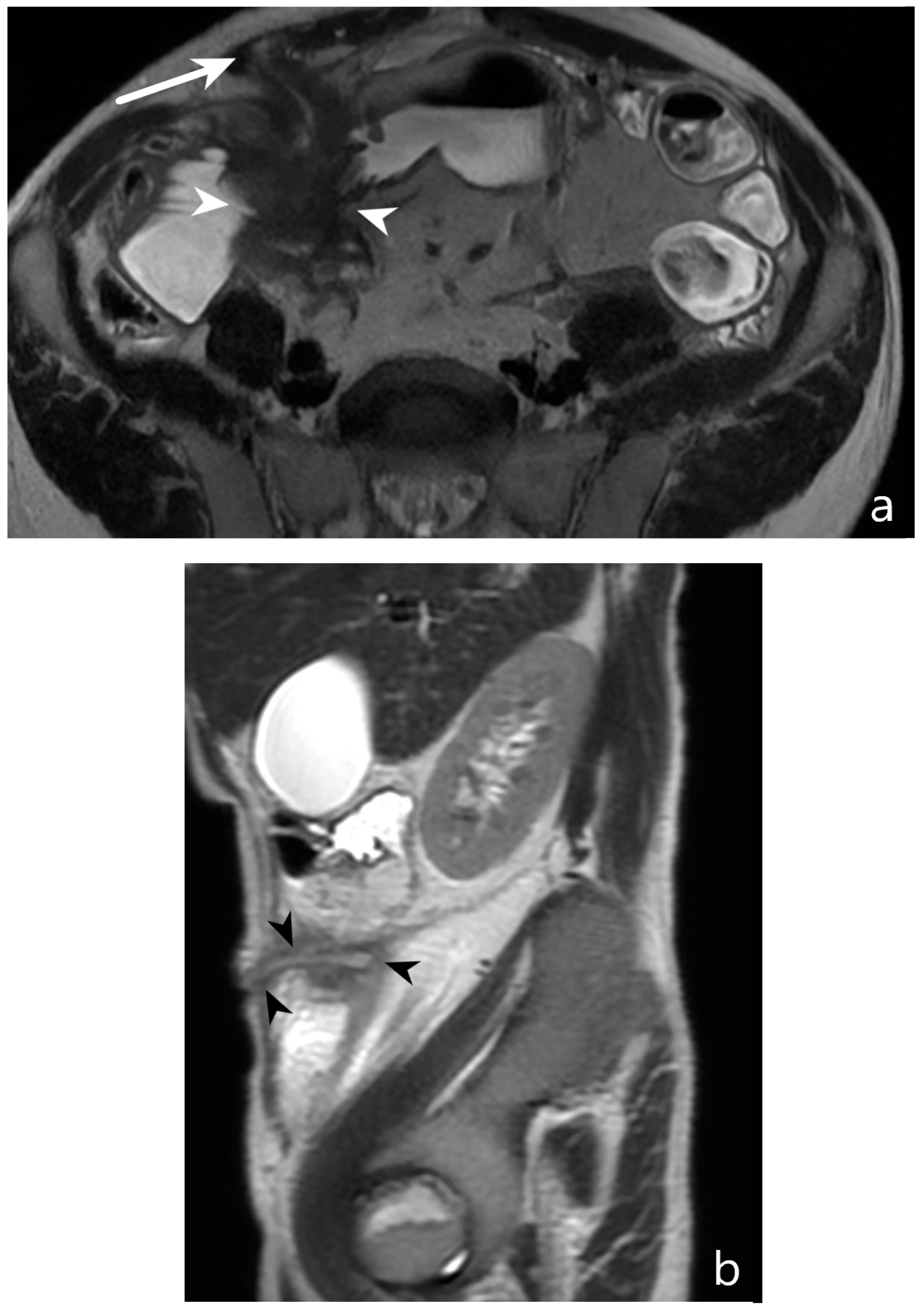
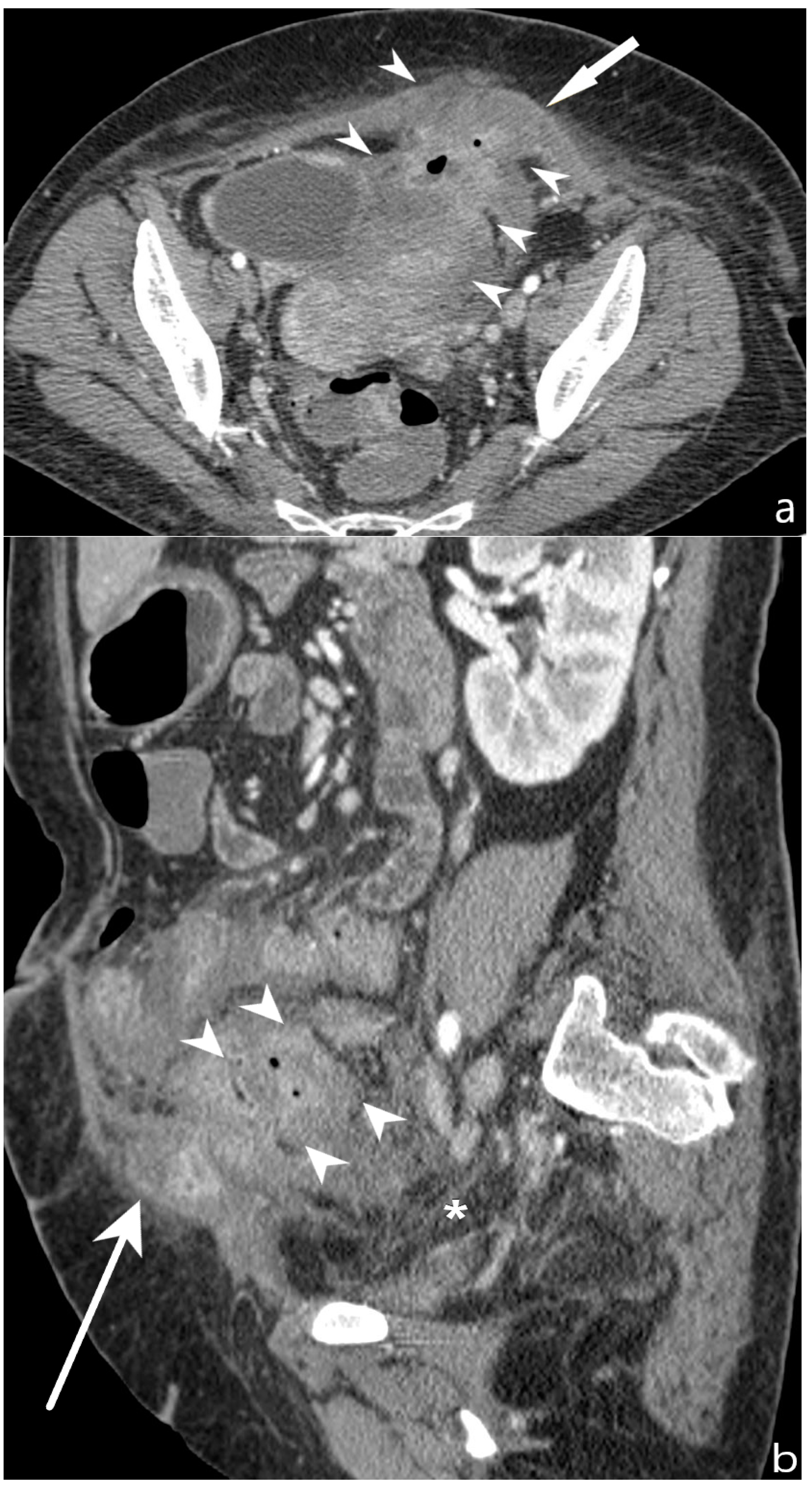
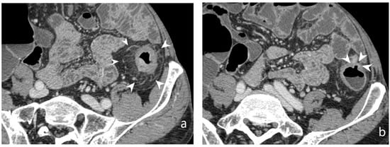
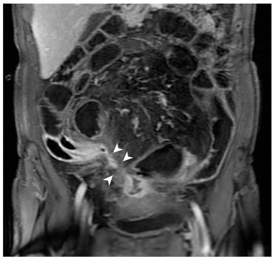
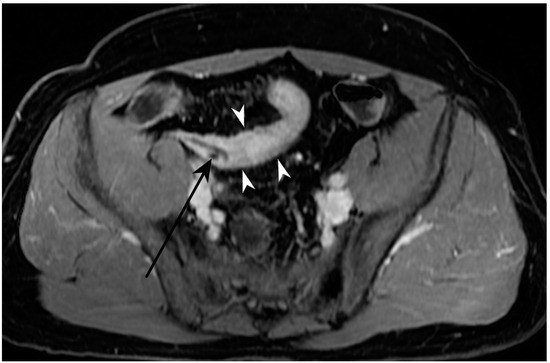
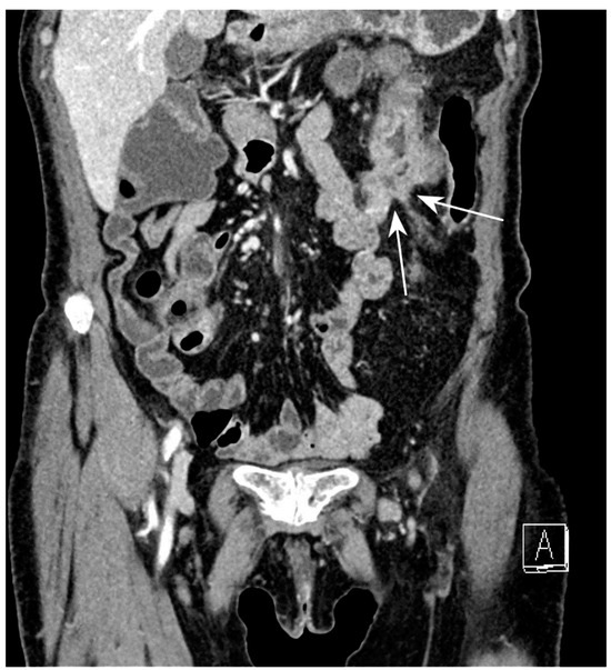
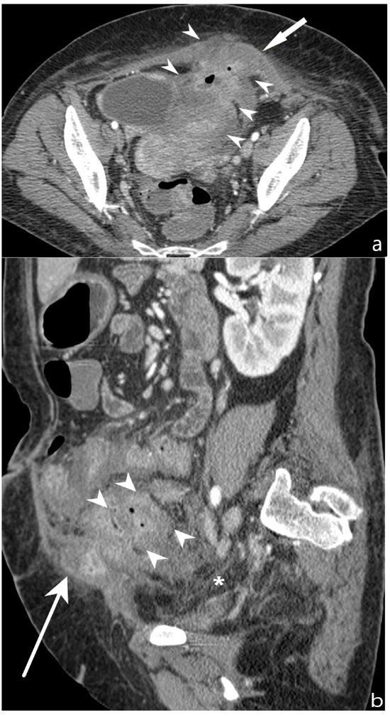
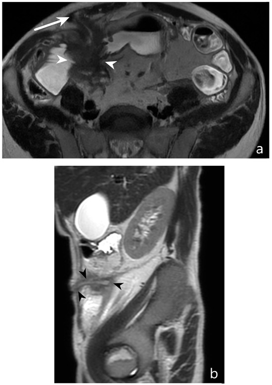
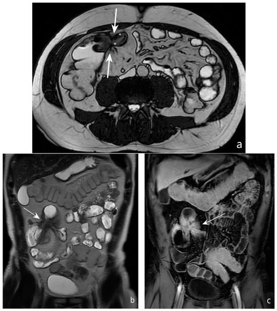
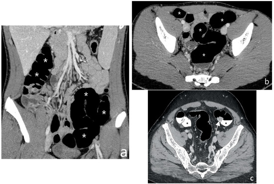
5.3. Fistulising/Perforating Subtype
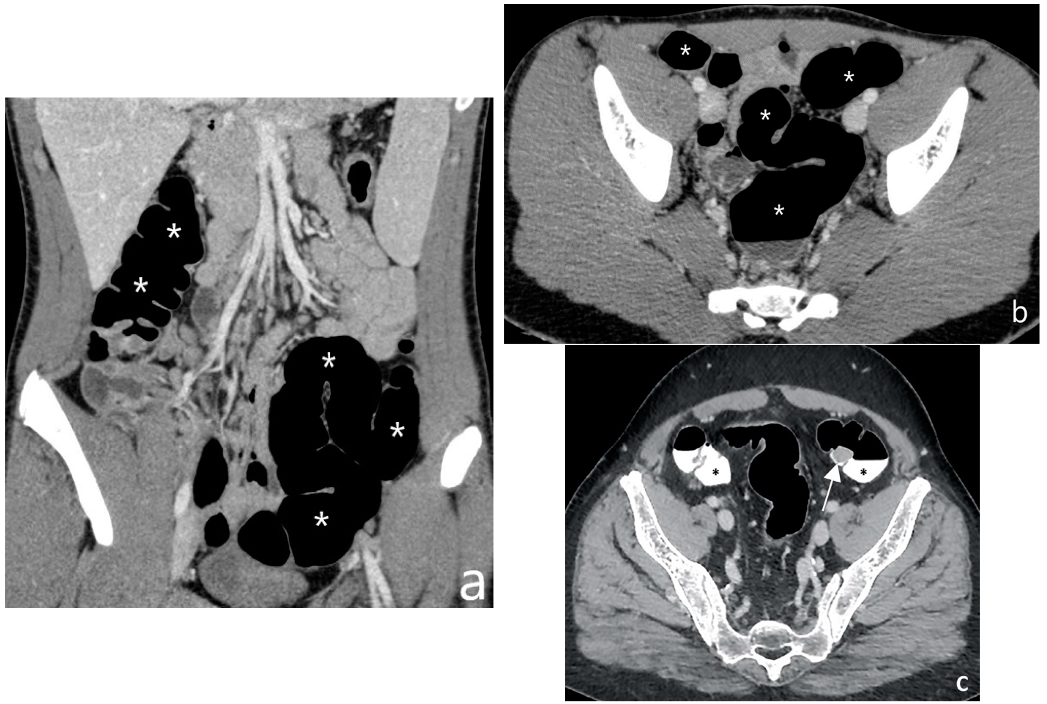
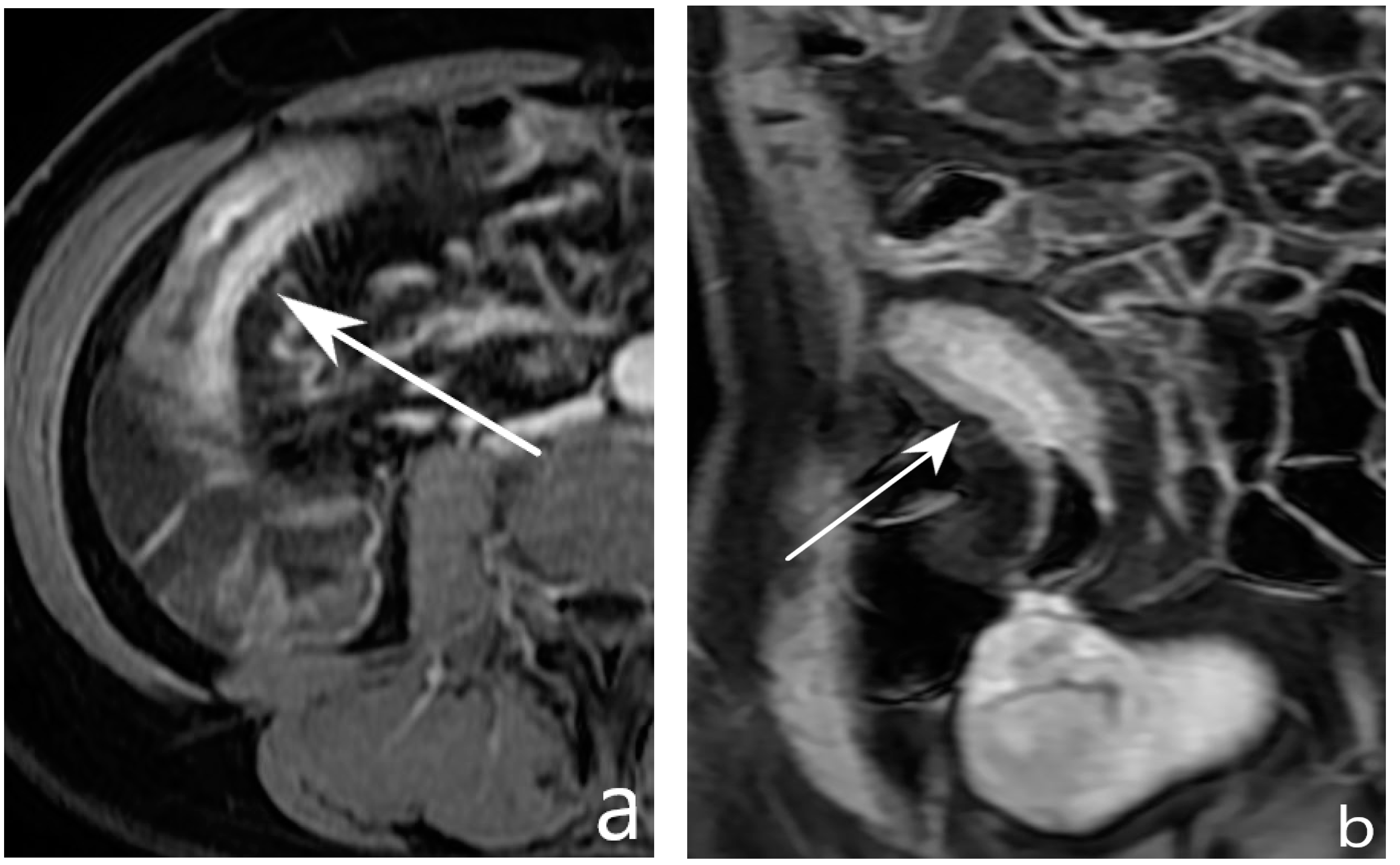
6. Is It Possible to Identify the Presence of Strictures and to Discriminate Inflammatory from Fibrotic Ones?
6.1. Definition of Stricture
6.2. Differentiation between Fibrotic or Inflammatory Stenosis
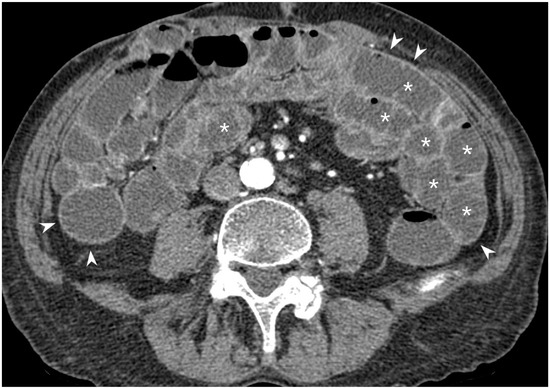
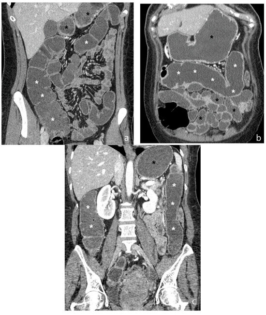
7. How Does Imaging Help Defining Disease Extension and Localization?
8. Can Radiological Imaging Assess Disease Activity?
9. Is It Possible to Assess Post-Operative Recurrence?
10. Conclusions
Author Contributions
Funding
Institutional Review Board Statement
Informed Consent Statement
Data Availability Statement
Conflicts of Interest
References
- Chang, J.T. Pathophysiology of Inflammatory Bowel Diseases. N. Engl. J. Med. 2020, 383, 2652–2664. [Google Scholar] [CrossRef] [PubMed]
- Kaplan, G.G.; Windsor, J.W. The Four Epidemiological Stages in the Global Evolution of Inflammatory Bowel Disease. Nat. Rev. Gastroenterol. Hepatol. 2020, 18, 56–66. [Google Scholar] [CrossRef] [PubMed]
- Le Berre, C.; Honap, S.; Peyrin-Biroulet, L. Ulcerative Colitis. Lancet 2023, 402, 571–584. [Google Scholar] [CrossRef] [PubMed]
- Dolinger, M.; Torres, J.; Vermeire, S. Crohn’s Disease. Lancet 2024, 403, 1177–1191. [Google Scholar] [CrossRef] [PubMed]
- Maaser, C.; Sturm, A.; Vavricka, S.R.; Kucharzik, T.; Fiorino, G.; Annese, V.; Calabrese, E.; Baumgart, D.C.; Bettenworth, D.; Borralho Nunes, P.; et al. ECCO-ESGAR Guideline for Diagnostic Assessment in IBD Part 1: Initial Diagnosis, Monitoring of Known IBD, Detection of Complications. J. Crohns Colitis 2019, 13, 144–164. [Google Scholar] [CrossRef] [PubMed]
- Rieder, F.; Zimmermann, E.M.; Remzi, F.H.; Sandborn, W.J. Crohn’s Disease Complicated by Strictures: A Systematic Review. Gut 2013, 62, 1072–1084. [Google Scholar] [CrossRef] [PubMed]
- Minordi, L.M.; Bevere, A.; Papa, A.; Larosa, L.; Manfredi, R. CT and MRI Evaluations in Crohn’s Complications: A Guide for the Radiologist. Acad. Radiol. 2022, 29, 1206–1227. [Google Scholar] [CrossRef]
- Minordi, L.M.; Vecchioli, A.; Mirk, P.; Bonomo, L. CT Enterography with Polyethylene Glycol Solution vs CT Enteroclysis in Small Bowel Disease. Br. J. Radiol. 2011, 84, 112–119. [Google Scholar] [CrossRef]
- Pierro, A.; Minordi, L.M.; Larosa, L.; Guerri, G.; Grimaldi, A.; Quinto, F.; Rotondi, F.; Marcellino, A.; Bevere, T.; Basilico, R.; et al. Small Bowel Imaging from Stepchild of Roentgenology to MR Enterography, Part I: Guidance in Performing and Observing Normal and Abnormal Imaging Findings. Life 2023, 13, 1691. [Google Scholar] [CrossRef]
- Schmidt, S.A.; Baumann, J.A.; Stanescu-Siegmund, N.; Froehlich, E.; Brambs, H.J.; Juchems, M.S. Oral Distension Methods for Small Bowel MRI: Comparison of Different Agents to Optimize Bowel Distension. Acta Radiol. 2016, 57, 1460–1467. [Google Scholar] [CrossRef]
- Sinha, R.; Rawat, S. MRI Enterography with Divided Dose Oral Preparation: Effect on Bowel Distension and Diagnostic Quality. Indian J. Radiol. Imaging 2013, 23, 86–91. [Google Scholar] [CrossRef]
- Masselli, G.; Casciani, E.; Polettini, E.; Gualdi, G. Comparison of MR Enteroclysis with MR Enterography and Conventional Enteroclysis in Patients with Crohn’s Disease. Eur. Radiol. 2008, 18, 438–447. [Google Scholar] [CrossRef] [PubMed]
- Schreyer, A.G.; Geissler, A.; Albrich, H.; Schölmerich, J.; Feuerbach, S.; Rogler, G.; Völk, M.; Herfarth, H. Abdominal MRI after Enteroclysis or with Oral Contrast in Patients with Suspected or Proven Crohn’s Disease. Clin. Gastroenterol. Hepatol. 2004, 2, 491–497. [Google Scholar] [CrossRef]
- Negaard, A.; Paulsen, V.; Sandvik, L.; Berstad, A.E.; Borthne, A.; Try, K.; Lygren, I.; Storaas, T.; Klow, N.E. A Prospective Randomized Comparison between Two MRI Studies of the Small Bowel in Crohn’s Disease, the Oral Contrast Method and MR Enteroclysis. Eur. Radiol. 2007, 17, 2294–2301. [Google Scholar] [CrossRef]
- Masselli, G. Small Bowel Imaging: Clinical Applications of the Different Imaging Modalities—A Comprehensive Review. Int. Sch. Res. Not. 2013, 2013, 419542. [Google Scholar] [CrossRef][Green Version]
- Panés, J.; Bouzas, R.; Chaparro, M.; García-Sánchez, V.; Gisbert, J.P.; Martínez De Guereñu, B.; Mendoza, J.L.; Paredes, J.M.; Quiroga, S.; Ripollés, T.; et al. Systematic Review: The Use of Ultrasonography, Computed Tomography and Magnetic Resonance Imaging for the Diagnosis, Assessment of Activity and Abdominal Complications of Crohn’s Disease. Aliment. Pharmacol. Ther. 2011, 34, 125–145. [Google Scholar] [CrossRef] [PubMed]
- Engin, G. Computed Tomography Enteroclysis in the Diagnosis of Intestinal Diseases. J. Comput. Assist. Tomogr. 2008, 32, 9–16. [Google Scholar] [CrossRef]
- Minordi, L.M.; Scaldaferri, F.; Larosa, L.; Marra, R.; Giordano, F.; Laterza, L.; Scoleri, I.; Poscia, A.; Gerardi, V.; Bruno, G.; et al. Comparison between clinical and radiological evaluation before and after medical therapy in patients with Crohn's disease: New prospective roles of CT enterography. Radiol. Med. 2015, 120, 449–457. [Google Scholar] [CrossRef] [PubMed]
- Maglinte, D.D.T.; Sandrasegaran, K.; Lappas, J.C.; Chiorean, M. CT Enteroclysis. Radiology 2007, 245, 661–671. [Google Scholar] [CrossRef]
- Deepak, P.; Axelrad, J.E.; Ananthakrishnan, A.N. The Role of the Radiologist in Determining Disease Severity in Inflammatory Bowel Diseases. Gastrointest. Endosc. Clin. N. Am. 2019, 29, 447–470. [Google Scholar] [CrossRef]
- Pierro, A.; Minordi, L.M.; Larosa, L.; Cipri, C.; Guerri, G.; Quinto, F.; Rotondi, F.; Marcellino, A.; Basilico, R.; Iezzi, R.; et al. Small Bowel Imaging from Stepchild of Roentgenology to MR Enterography, Part II: The Reliable Disclosure of Crohn’s Disease and Non-Inflammatory Small Bowel Disorder Plot through MRI Findings. Life 2023, 13, 1836. [Google Scholar] [CrossRef] [PubMed]
- Chatu, S.; Subramanian, V.; Pollok, R.C.G. Meta-Analysis: Diagnostic Medical Radiation Exposure in Inflammatory Bowel Disease. Aliment. Pharmacol. Ther. 2012, 35, 529–539. [Google Scholar] [CrossRef] [PubMed]
- Kalra, M.K.; Rizzo, S.M.R.; Novelline, R.A. Reducing Radiation Dose in Emergency Computed Tomography with Automatic Exposure Control Techniques. Emerg. Radiol. 2005, 11, 267–274. [Google Scholar] [CrossRef] [PubMed]
- Kielar, A.Z.; Tao, H.; Thipphavong, S. Modified Small Bowel CT (MBCT) for Evaluating Sub-Acute and Chronic Conditions Affecting the Small Bowel: A Low Radiation-Dose, Unenhanced CT Protocol. Insights Imaging 2011, 2, 539–542. [Google Scholar] [CrossRef] [PubMed][Green Version]
- Craig, O.; O’Neill, S.; O’Neill, F.; McLaughlin, P.; McGarrigle, A.M.; McWilliams, S.; O’Connor, O.; Desmond, A.; Walsh, E.K.; Ryan, M.; et al. Diagnostic Accuracy of Computed Tomography Using Lower Doses of Radiation for Patients With Crohn’s Disease. Clin. Gastroenterol. Hepatol. 2012, 10, 886–892. [Google Scholar] [CrossRef] [PubMed]
- Taylor, S.A.; Avni, F.; Cronin, C.G.; Hoeffel, C.; Kim, S.H.; Laghi, A.; Napolitano, M.; Petit, P.; Rimola, J.; Tolan, D.J.; et al. The First Joint ESGAR/ESPR Consensus Statement on the Technical Performance of Cross-Sectional Small Bowel and Colonic Imaging. Eur. Radiol. 2017, 27, 2570–2582. [Google Scholar] [CrossRef] [PubMed]
- Minordi, L.M.; Scaldaferri, F.; Marra, R.S.; Pecere, S.; Larosa, L.; Poscia, A.; Gasbarrini, A.; Vecchioli, A.; Bonomo, L. Enterography CT without and with Water Enema in Patients with Crohn’s Disease: Results from a Comparative Observational Study in Comparison with Endoscopy. Eur. J. Radiol. 2016, 85, 404–413. [Google Scholar] [CrossRef] [PubMed]
- Ajaj, W.; Veit, P.; Kuehle, C.; Joekel, M.; Lauenstein, T.C.; Herborn, C.U. Digital Subtraction Dark-Lumen MR Colonography: Initial Experience. J. Magn. Reson. Imaging 2005, 21, 841–844. [Google Scholar] [CrossRef]
- Tkalčić, L.; Matana Kaštelan, Z.; Grubešić, T.; Mijandrušić Sinčić, B.; Milić, S.; Miletić, D. MR Enterocolonography in Patients with Crohn’s Disease and Healthy Volunteers—Do We Achieve Diagnostic Bowel Distension? Eur. J. Radiol. 2020, 129, 109100. [Google Scholar] [CrossRef]
- Maglinte, D.D.T.; Heitkamp, D.E.; Howard, T.J.; Kelvin, F.M.; Lappas, J.C. Current Concepts in Imaging of Small Bowel Obstruction. Radiol. Clin. N. Am. 2003, 41, 263–283. [Google Scholar] [CrossRef]
- Rimola, J.; Rodriguez, S.; García-Bosch, O.; Ordás, I.; Ayala, E.; Aceituno, M.; Pellisé, M.; Ayuso, C.; Ricart, E.; Donoso, L.; et al. Magnetic Resonance for Assessment of Disease Activity and Severity in Ileocolonic Crohn’s Disease. Gut 2009, 58, 1113–1120. [Google Scholar] [CrossRef]
- Taylor, S.A.; Punwani, S.; Rodriguez-Justo, M.; Bainbridge, A.; Greenhalgh, R.; De Vita, E.; Forbes, A.; Cohen, R.; Windsor, A.; Obichere, A.; et al. Mural Crohn Disease: Correlation of Dynamic Contrast-Enhanced MR Imaging Findings with Angiogenesis and Inflammation at Histologic Examination—Pilot Study. Radiology 2009, 251, 369–379. [Google Scholar] [CrossRef] [PubMed]
- Bruining, D.H.; Zimmermann, E.M.; Loftus, E.V.; Sandborn, W.J.; Sauer, C.G.; Strong, S.A.; Fletcher, J.G. Consensus Recommendations for Evaluation, Interpretation, and Utilization of Computed Tomography and Magnetic Resonance Enterography in Patients with Small Bowel Crohn’s Disease. Radiology 2018, 286, 776–799. [Google Scholar] [CrossRef]
- Zappa, M.; Stefanescu, C.; Cazals-Hatem, D.; Bretagnol, F.; Deschamps, L.; Attar, A.; Larroque, B.; Tréton, X.; Panis, Y.; Vilgrain, V.; et al. Which Magnetic Resonance Imaging Findings Accurately Evaluate Inflammation in Small Bowel Crohn’s Disease? A Retrospective Comparison with Surgical Pathologic Analysis. Inflamm. Bowel Dis. 2011, 17, 984–993. [Google Scholar] [CrossRef]
- Rodriguez, P.; Mendez, R.; Matute, F.; Hernandez, P.; Mendoza, J.L. Imaging Crohn Disease: MR Enterography. J. Comput. Assist. Tomogr. 2014, 38, 219–227. [Google Scholar] [CrossRef] [PubMed]
- Minordi, L.M.; Larosa, L.; Papa, A.; Cimino, G.; Bevere, A.; Brizi, M.G.; Manfredi, R. A Review of Magnetic Resonance Enterography Classification and Quantitative Evaluation of Active Disease in Patients with Crohn’s Disease. Clin. Imaging 2021, 69, 50–62. [Google Scholar] [CrossRef] [PubMed]
- Bettenworth, D.; Bokemeyer, A.; Baker, M.; Mao, R.; Parker, C.E.; Nguyen, T.; Ma, C.; Panés, J.; Rimola, J.; Fletcher, J.G.; et al. Assessment of Crohn’s Disease-Associated Small Bowel Strictures and Fibrosis on Cross-Sectional Imaging: A Systematic Review. Gut 2019, 68, 1115–1126. [Google Scholar] [CrossRef]
- Chiorean, M.V.; Sandrasegaran, K.; Saxena, R.; Maglinte, D.D.; Nakeeb, A.; Johnson, C.S. Correlation of CT Enteroclysis with Surgical Pathology in Crohn’s Disease. Am. J. Gastroenterol. 2007, 102, 2541–2550. [Google Scholar] [CrossRef]
- Vogel, J.; Da Luz Moreira, A.; Baker, M.; Hammel, J.; Einstein, D.; Stocchi, L.; Fazio, V. CT Enterography for Crohn’s Disease: Accurate Preoperative Diagnostic Imaging. Dis. Colon Rectum 2007, 50, 1761–1769. [Google Scholar] [CrossRef]
- Sinha, R.; Murphy, P.; Sanders, S.; Ramachandran, I.; Hawker, P.; Rawat, S.; Roberts, S. Diagnostic Accuracy of High-Resolution MR Enterography in Crohn’s Disease: Comparison with Surgical and Pathological Specimen. Clin. Radiol. 2013, 68, 917–927. [Google Scholar] [CrossRef]
- Kumar, S.; Hakim, A.; Alexakis, C.; Chhaya, V.; Tzias, D.; Pilcher, J.; Vlahos, J.; Pollok, R. Small Intestinal Contrast Ultrasonography for the Detection of Small Bowel Complications in Crohn’s Disease: Correlation with Intraoperative Findings and Magnetic Resonance Enterography. J. Gastroenterol. Hepatol. 2015, 30, 86–91. [Google Scholar] [CrossRef] [PubMed]
- Guglielmo, F.F.; Anupindi, S.A.; Fletcher, J.G.; Al-Hawary, M.M.; Dillman, J.R.; Grand, D.J.; Bruining, D.H.; Chatterji, M.; Darge, K.; Fidler, J.L.; et al. Small Bowel Crohn Disease at CT and MR Enterography: Imaging Atlas and Glossary of Terms. Radiographics 2020, 40, 354–375. [Google Scholar] [CrossRef] [PubMed]
- Minordi, L.M.; Larosa, L.; Bevere, A.; D’Angelo, F.B.; Pierro, A.; Cilla, S.; Del Ciello, A.; Scaldaferri, F.; Barbaro, B. Imaging of Strictures in Crohn’s Disease. Life 2023, 13, 2283. [Google Scholar] [CrossRef] [PubMed]
- Pous-Serrano, S.; Frasson, M.; Palasí Giménez, R.; Sanchez-Jordá, G.; Pamies-Guilabert, J.; Llavador Ros, M.; Nos Mateu, P.; Garcia-Granero, E. Accuracy of Magnetic Resonance Enterography in the Preoperative Assessment of Patients with Crohn’s Disease of the Small Bowel. Color. Dis. 2017, 19, O126–O133. [Google Scholar] [CrossRef]
- Pellino, G.; Nicolai, E.; Catalano, O.A.; Campione, S.; D’Armiento, F.P.; Salvatore, M.; Cuocolo, A.; Selvaggi, F. PET/MR Versus PET/CT Imaging: Impact on the Clinical Management of Small-Bowel Crohn’s Disease. J. Crohns Colitis 2016, 10, 277–285. [Google Scholar] [CrossRef] [PubMed]
- Adler, J.; Punglia, D.R.; Dillman, J.R.; Polydorides, A.D.; Dave, M.; Al-Hawary, M.M.; Platt, J.F.; McKenna, B.J.; Zimmermann, E.M. Computed Tomography Enterography Findings Correlate with Tissue Inflammation, Not Fibrosis in Resected Small Bowel Crohn’s Disease. Inflamm. Bowel Dis. 2012, 18, 849–856. [Google Scholar] [CrossRef] [PubMed]
- Tielbeek, J.A.W.; Ziech, M.L.W.; Li, Z.; Lavini, C.; Bipat, S.; Bemelman, W.A.; Roelofs, J.J.T.H.; Ponsioen, C.Y.; Vos, F.M.; Stoker, J. Evaluation of Conventional, Dynamic Contrast Enhanced and Diffusion Weighted MRI for Quantitative Crohn’s Disease Assessment with Histopathology of Surgical Specimens. Eur. Radiol. 2014, 24, 619–629. [Google Scholar] [CrossRef] [PubMed]
- Rimola, J.; Planell, N.; Rodríguez, S.; Delgado, S.; Ordás, I.; Ramírez-Morros, A.; Ayuso, C.; Aceituno, M.; Ricart, E.; Jauregui-Amezaga, A.; et al. Characterization of Inflammation and Fibrosis in Crohn’s Disease Lesions by Magnetic Resonance Imaging. Am. J. Gastroenterol. 2015, 110, 432–440. [Google Scholar] [CrossRef] [PubMed]
- Wilkens, R.; Hagemann-Madsen, R.H.; Peters, D.A.; Nielsen, A.H.; Nørager, C.B.; Glerup, H.; Krogh, K. Validity of Contrast-Enhanced Ultrasonography and Dynamic Contrast-Enhanced MR Enterography in the Assessment of Transmural Activity and Fibrosis in Crohn’s Disease. J. Crohns Colitis 2018, 12, 48–56. [Google Scholar] [CrossRef]
- Sturm, A.; Maaser, C.; Calabrese, E.; Annese, V.; Fiorino, G.; Kucharzik, T.; Vavricka, S.R.; Verstockt, B.; Van Rheenen, P.; Tolan, D.; et al. Ecco-Esgar Guideline for Diagnostic Assessment in Ibd Part 2: Ibd Scores and General Principles and Technical Aspects. J. Crohns Colitis 2019, 13, 273–284. [Google Scholar] [CrossRef]
- Cicero, G.; Alibrandi, A.; Blandino, A.; Ascenti, V.; Fries, W.; Viola, A.; Mazziotti, S. DWI Ratios: New Indexes for Crohn’s Disease Activity at Magnetic Resonance Enterography? Radiol. Med. 2023, 128, 16–26. [Google Scholar] [CrossRef]
- Glehen, O.; Lifante, J.C.; Vignal, J.; Francois, Y.; Gilly, F.N.; Flourié, B.; Descos, L.; Chung, R.J.H.; Mithieux, F. Small Bowel Length in Crohn’s Disease. Int. J. Color. Dis. 2003, 18, 423–427. [Google Scholar] [CrossRef]
- Shatari, T.; Clark, M.A.; Lee, J.R.; Keighley, M.R.B. Reliability of Radiographic Measurement of Small Intestinal Length. Color. Dis. 2004, 6, 327–329. [Google Scholar] [CrossRef]
- Minordi, L.M.; Larosa, L.; Brizi, M.G.; Armuzzi, A.; Manfredi, R. Length of the Healthy and Pathological Small Intestine in Patients with Crohn’s Disease: Calculations Using Computed Tomography and Magnetic Resonance Enterography. Diagn. Interv. Radiol. 2023, 29, 24–28. [Google Scholar] [CrossRef] [PubMed]
- Sinha, R.; Trivedi, D.; Murphy, P.D.; Fallis, S. Small-Intestinal Length Measurement on MR Enterography: Comparison with in vivo surgical measurement. AJR Am. J. Roentgenol. 2014, 203, W274–W279. [Google Scholar] [CrossRef] [PubMed]
- Wilson, N.A.; Park, H.S.; Lee, K.S.; Barron, L.K.; Warner, B.W. A Novel Approach to Calculating Small Intestine Length Based on Magnetic Resonance Enterography. J. Am. Coll. Surg. 2017, 225, 266–273. [Google Scholar] [CrossRef]
- Brouquet, A.; Rangheard, A.S.; Ifergan, J.; Lazure, T.; Carbonnel, F.; Penna, C.; Benoist, S. The Accuracy of Preoperative Imaging in Measuring the Length of the Ileocolic Segment Affected by Crohn’s Disease: A Prospective Cohort Study. Color. Dis. 2017, 19, 437–445. [Google Scholar] [CrossRef] [PubMed]
- Khanna, R.; Zou, G.; D’Haens, G.; Feagan, B.G.; Sandborn, W.J.; Vandervoort, M.K.; Rolleri, R.L.; Bortey, E.; Paterson, C.; Forbes, W.P.; et al. A Retrospective Analysis: The Development of Patient Reported Outcome Measures for the Assessment of Crohn’s Disease Activity. Aliment. Pharmacol. Ther. 2015, 41, 77–86. [Google Scholar] [CrossRef]
- Turner, D.; Ricciuto, A.; Lewis, A.; D’Amico, F.; Dhaliwal, J.; Griffiths, A.M.; Bettenworth, D.; Sandborn, W.J.; Sands, B.E.; Reinisch, W.; et al. STRIDE-II: An Update on the Selecting Therapeutic Targets in Inflammatory Bowel Disease (STRIDE) Initiative of the International Organization for the Study of IBD (IOIBD): Determining Therapeutic Goals for Treat-to-Target Strategies in IBD. Gastroenterology 2020, 160, 1570–1583. [Google Scholar] [CrossRef]
- Makanyanga, J.C.; Pendsé, D.; Dikaios, N.; Bloom, S.; McCartney, S.; Helbren, E.; Atkins, E.; Cuthbertson, T.; Punwani, S.; Forbes, A.; et al. Evaluation of Crohn’s Disease Activity: Initial Validation of a Magnetic Resonance Enterography Global Score (MEGS) against Faecal Calprotectin. Eur. Radiol. 2014, 24, 277–287. [Google Scholar] [CrossRef]
- Steward, M.J.; Punwani, S.; Proctor, I.; Adjei-Gyamfi, Y.; Chatterjee, F.; Bloom, S.; Novelli, M.; Halligan, S.; Rodriguez-Justo, M.; Taylor, S.A. Non-Perforating Small Bowel Crohn’s Disease Assessed by MRI Enterography: Derivation and Histopathological Validation of an MR-Based Activity Index. Eur. J. Radiol. 2012, 81, 2080–2088. [Google Scholar] [CrossRef] [PubMed]
- Hordonneau, C.; Buisson, A.; Scanzi, J.; Goutorbe, F.; Pereira, B.; Borderon, C.; Da Ines, D.; Montoriol, P.F.; Garcier, J.M.; Boyer, L.; et al. Diffusion-Weighted Magnetic Resonance Imaging in Ileocolonic Crohn’s Disease: Validation of Quantitative Index of Activity. Am. J. Gastroenterol. 2014, 109, 89–98. [Google Scholar] [CrossRef] [PubMed]
- Rimola, J.; Alvarez-Cofiño, A.; Pérez-Jeldres, T.; Ayuso, C.; Alfaro, I.; Rodríguez, S.; Ricart, E.; Ordás, I.; Panés, J. Comparison of Three Magnetic Resonance Enterography Indices for Grading Activity in Crohn’s Disease. J. Gastroenterol. 2017, 52, 585–593. [Google Scholar] [CrossRef] [PubMed]
- Rimola, J.; Fernandez-Clotet, A.; Capozzi, N.; Caballol, B.; Rodríguez, S.; Gallego, M.; Masamunt, M.C.; Panés, J.; Ricart, E.; Ordás, I. ADC Values for Detecting Bowel Inflammation and Biologic Therapy Response in Patients With Crohn Disease: A Post Hoc Prospective Trial Analysis. AJR Am. J. Roentgenol. 2024, 222, e2329639. [Google Scholar] [CrossRef] [PubMed]
- Pariente, B.; Cosnes, J.; Danese, S.; Sandborn, W.J.; Lewin, M.; Fletcher, J.G.; Chowers, Y.; D’Haens, G.; Feagan, B.G.; Hibi, T.; et al. Development of the Crohn’s Disease Digestive Damage Score, the Lémann Score. Inflamm. Bowel Dis. 2011, 17, 1415. [Google Scholar] [CrossRef] [PubMed]
- Lichtenstein, G.R.; Loftus, E.V.; Isaacs, K.L.; Regueiro, M.D.; Gerson, L.B.; Sands, B.E. ACG Clinical Guideline: Management of Crohn’s Disease in Adults. Am. J. Gastroenterol. 2018, 113, 481–517. [Google Scholar] [CrossRef] [PubMed]
- De Cruz, P.; Kamm, M.A.; Hamilton, A.L.; Ritchie, K.J.; Krejany, E.O.; Gorelik, A.; Liew, D.; Prideaux, L.; Lawrance, I.C.; Andrews, J.M.; et al. Crohn’s Disease Management after Intestinal Resection: A Randomised Trial. Lancet 2015, 385, 1406–1417. [Google Scholar] [CrossRef]
- Schaefer, M.; Laurent, V.; Grandmougin, A.; Vuitton, L.; Bourreille, A.; Luc, A.; Clerc-Urmes, I.; Orry, X.; Frampas, E.; De Billy, M.; et al. A Magnetic Resonance Imaging Index to Predict Crohn’s Disease Postoperative Recurrence: The MONITOR Index. Clin. Gastroenterol. Hepatol. 2022, 20, e1040–e1049. [Google Scholar] [CrossRef]
- Paparo, F.; Revelli, M.; Puppo, C.; Bacigalupo, L.; Garello, I.; Garlaschi, A.; Biscaldi, E.; Rollandi, L.; Binda, G.A.; Rollandi, G.A. Crohn’s Disease Recurrence in Patients with Ileocolic Anastomosis: Value of Computed Tomography Enterography with Water Enema. Eur. J. Radiol. 2013, 82, e434–e440. [Google Scholar] [CrossRef]
- Choi, I.Y.; Park, S.H.; Park, S.H.; Yu, C.S.; Yoon, Y.S.; Lee, J.L.; Ye, B.D.; Kim, A.Y.; Yang, S.K. CT Enterography for Surveillance of Anastomotic Recurrence within 12 Months of Bowel Resection in Patients with Crohn’s Disease: An Observational Study Using an 8-Year Registry. Korean J. Radiol. 2017, 18, 906–914. [Google Scholar] [CrossRef]
- Djelouah, M.; Marical, V.; Kanagaratnam, L.; Kianmanesh, R.; Biron, A.; Cadiot, G.; Hoeffel, C. Diagnosis of Postoperative Recurrence of Crohn Disease with MR-Enterography: Value of Diffusion-Weighted Imaging. Diagn. Interv. Imaging 2021, 102, 743–751. [Google Scholar] [CrossRef] [PubMed]
- Baillet, P.; Cadiot, G.; Goutte, M.; Goutorbe, F.; Brixi, H.; Hoeffel, C.; Allimant, C.; Reymond, M.; Obritin-Guilhen, H.; Magnin, B.; et al. Faecal Calprotectin and Magnetic Resonance Imaging in Detecting Crohn’s Disease Endoscopic Postoperative Recurrence. World J. Gastroenterol. 2018, 24, 641. [Google Scholar] [CrossRef] [PubMed]
- Koilakou, S.; Sailer, J.; Peloschek, P.; Ferlitsch, A.; Vogelsang, H.; Miehsler, W.; Fletcher, J.; Turetschek, K.; Schima, W.; Reinisch, W. Endoscopy and MR Enteroclysis: Equivalent Tools in Predicting Clinical Recurrence in Patients with Crohn’s Disease after Ileocolic Resection. Inflamm. Bowel Dis. 2010, 16, 198–203. [Google Scholar] [CrossRef] [PubMed]
- Chavoshi, M.; Zamani, S.; Kolahdoozan, S.; Radmard, A.R. Diagnostic Value of MR and CT Enterography in Post-Operative Recurrence of Crohn’s Disease: A Systematic Review and Meta-Analysis. Abdom. Radiol. 2024, 1–12. [Google Scholar] [CrossRef] [PubMed]




















| Oral Contrast Agents | Advantages | Disadvantage |
|---|---|---|
| Water | Well tolerated, biphasic properties in MRI | Rapid absorption |
| PEG | Better distension than water and MC | The least tolerated of all agents due to diarrhoea |
| MC | Better tolerated than PEG | Lower distension than PEG and dilute barium sulphate |
| dilute barium sulphate | Good distension | Mild side effects (gas and diarrhoea) |
| Oil emulsions | Grater viscosity than water | Little tolerated |
| (a) | ||
| MEGS Score (Score from 0 to 3) | CDMI Score (Score from 0 to 3) | |
| Mural thickness of small bowel | 0: <3 mm 1: >3–5 mm 2: >5–7 mm 3: >7 mm | 0: <3 mm 1: >3–5 mm 2: >5–7 mm 3: >7 mm |
| Mural T2 signal compared to normal bowel wall | 0: Equivalent to normal bowel wall 1: Minor increase in signal on fat-saturated images 2: Moderate increase in signal. 3: Marked increase in signal | 0: Equivalent to normal bowel wall 1: Minor increase in signal on fat-saturated images 2: Moderate increase in signal. 3: Marked increase in signal |
| Perimural T2 signal | 0: Equivalent to normal mesentery 1: Increase in mesenteric signal but no fluid 2: Small fluid rim (≤2 mm) 3: Larger fluid rim (>2 mm) | 0: Equivalent to normal mesentery 1: Increase in mesenteric signal but no fluid 2: Small fluid rim (≤2 mm) 3: Larger fluid rim (>2 mm |
| T1 enhancement compared with nearest vessels | 0: Equivalent to normal bowel wall 1: Minor enhancement of the bowel wall 2: Moderate enhancement but somewhat less than the nearby vascular structures 3: Moderate enhancement similar to the nearby vascular structures | 0: Equivalent to normal bowel wall 1: Minor enhancement of the bowel wall 2: Moderate enhancement but somewhat less than the nearby vascular structures 3: Moderate enhancement similar to the nearby vascular structures |
| Mural enhancement pattern | 0: Not available or homogeneous 1: Mucosal 2: Layered | 0: Not available 1: Homogeneous 2: Mucosal 3: Layered |
| Haustral loss | 0: None 1: <1/3 segment 2: 1/3 to 2/3 segment 3: >2/3 segment | |
| Multiplication factor per segment Length of disease segment | 0–5 cm × 1 5–15 cm × 1.5 >15 cm × 2 | |
| Additional score for extramural features | 0–5 | 3 nodes greater than 1 cm |
| Lymph nodes (short diameter 1 cm or more) | Absent, present | 0: absent 1: Cluster less than 1 cm 2: 1 node greater than 1 cm 3: 3 nodes greater than 1 cm |
| Engorged vasa recta | Absent, present | Absent, present |
| Abscess | Absent, present | |
| Fistulae | Absent, present | |
| Other | Lymph node enhancement compared to nearest vessel; Less than nearby vascular structure; Equivalent or greater to nearby vascular structure | |
| (b) | ||
| MARIA Score | Clermont Index | |
| Bowel mural thickness | >3 mm | >3 mm |
| Presence of mucosal ulcers (deep grooves in the mucosa) | No, yes | No, yes |
| Presence of wall oedema (hyperintensity on T2-weighted images of the bowel mural layers relative to the signal of the psoas muscle) | No, yes | No, yes |
| Wall signal intensity (WSI) | WSI was calculated in the areas with the predominant thickening and corresponded to the average of three WSI measurements | Not evaluated |
| Relative contrast enhancement (RCE) | RCE = ((WSI post-gadolinium − WSI pre-gadolinium)/(WSI pre-gadolinium)) × 100 × (standard deviation-SD noise pre-gadolinium/SD noise post-gadolinium). | Not evaluated |
| Fistulas, abscesses, enlarged (>8 mm) regional mesenteric lymph nodes, and fibrofatty proliferation. | Not evaluated | No, yes |
| DWI hyperintensity | Not evaluated | No, yes |
Disclaimer/Publisher’s Note: The statements, opinions and data contained in all publications are solely those of the individual author(s) and contributor(s) and not of MDPI and/or the editor(s). MDPI and/or the editor(s) disclaim responsibility for any injury to people or property resulting from any ideas, methods, instructions or products referred to in the content. |
© 2024 by the authors. Licensee MDPI, Basel, Switzerland. This article is an open access article distributed under the terms and conditions of the Creative Commons Attribution (CC BY) license (https://creativecommons.org/licenses/by/4.0/).
Share and Cite
Minordi, L.M.; D’Angelo, F.B.; Privitera, G.; Papa, A.; Larosa, L.; Laterza, L.; Scaldaferri, F.; Barbaro, B.; Carbone, L.; Pugliese, D. Crohn’s Disease: Radiological Answers to Clinical Questions and Review of the Literature. J. Clin. Med. 2024, 13, 4145. https://doi.org/10.3390/jcm13144145
Minordi LM, D’Angelo FB, Privitera G, Papa A, Larosa L, Laterza L, Scaldaferri F, Barbaro B, Carbone L, Pugliese D. Crohn’s Disease: Radiological Answers to Clinical Questions and Review of the Literature. Journal of Clinical Medicine. 2024; 13(14):4145. https://doi.org/10.3390/jcm13144145
Chicago/Turabian StyleMinordi, Laura Maria, Francesca Bice D’Angelo, Giuseppe Privitera, Alfredo Papa, Luigi Larosa, Lucrezia Laterza, Franco Scaldaferri, Brunella Barbaro, Luigi Carbone, and Daniela Pugliese. 2024. "Crohn’s Disease: Radiological Answers to Clinical Questions and Review of the Literature" Journal of Clinical Medicine 13, no. 14: 4145. https://doi.org/10.3390/jcm13144145
APA StyleMinordi, L. M., D’Angelo, F. B., Privitera, G., Papa, A., Larosa, L., Laterza, L., Scaldaferri, F., Barbaro, B., Carbone, L., & Pugliese, D. (2024). Crohn’s Disease: Radiological Answers to Clinical Questions and Review of the Literature. Journal of Clinical Medicine, 13(14), 4145. https://doi.org/10.3390/jcm13144145

