Percutaneous Retrograde Trans-Gluteal Embolization of Type 2 Endoleak Causing Iliac Aneurysm Enlargement after Endovascular Repair: Case Report and Literature Review
Abstract
1. Introduction
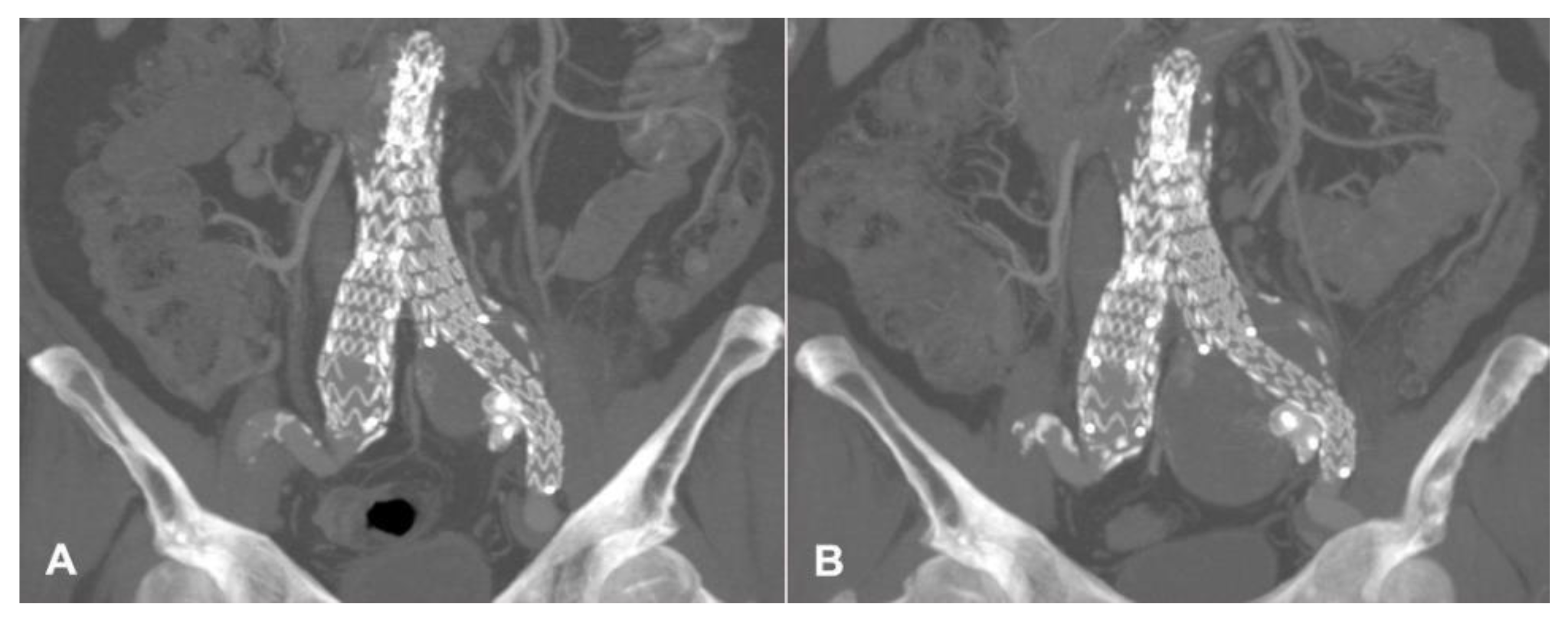
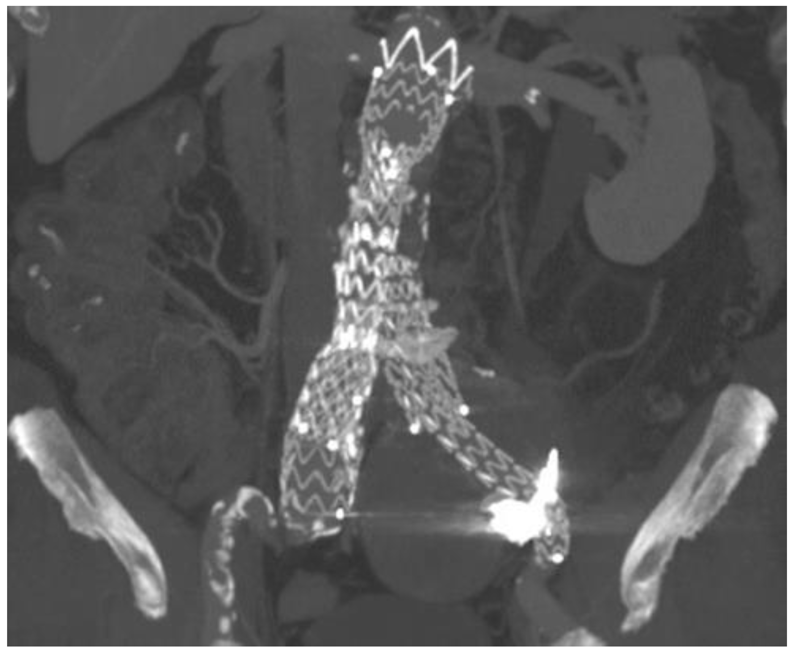
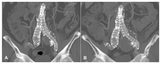
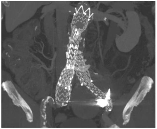
2. Case Presentation
3. Literature Review
3.1. Terms of Search and Inclusion Criteria
3.2. Data Extraction from Included Studies
3.3. Patients’ Characteristics and Technical Aspects
4. Discussion
5. Conclusions
6. Study Limitations and Future Directions
Supplementary Materials
Author Contributions
Funding
Institutional Review Board Statement
Informed Consent Statement
Conflicts of Interest
References
- Lo, R.C.; Buck, D.B.; Herrmann, J.; Hamdan, A.D.; Wyers, M.; Patel, V.I.; Fillinger, M.; Schermerhorn, M.L. Risk factors and consequences of persistent type II endoleaks. J. Vasc. Surg. 2016, 63, 895–901. [Google Scholar] [CrossRef] [PubMed]
- Harada, A.; Morisaki, K.; Kurose, S.; Yoshino, S.; Yamashita, S.; Furuyama, T.; Mori, M. Internal Iliac Artery Aneurysm Ruptures with No Visualized Endoleak 2 Years after Endovascular Repair. Ann. Vasc. Dis. 2022, 15, 45–48. [Google Scholar] [CrossRef] [PubMed] [PubMed Central]
- Xiang, Y.; Chen, X.; Zhao, J.; Huang, B.; Yuan, D.; Yang, Y. Endovascular Treatment Versus Open Surgery for Isolated Iliac Artery Aneurysms: A Systematic Review and Meta-Analysis. Vasc. Endovascular Surg. 2019, 53, 401–407. [Google Scholar] [CrossRef] [PubMed]
- Patel, S.; Chun, J.Y.; Morgan, R. Enlarging aneurysm sac post EVAR—Type V or occult type II Endoleak? CVIR Endovasc. 2023, 6, 4. [Google Scholar] [CrossRef] [PubMed]
- Werner-Gibbings, K.; Rogan, C.; Robinson, D. Novel Treatment of an Enlarging Internal Iliac Artery Aneurysm in Association with a Type 2 Endoleak via Percutaneous Embolisation of the Superior Gluteal Artery through a Posterior Approach. Case Rep. Vasc. Med. 2013, 2013, 861624. [Google Scholar] [CrossRef] [PubMed] [PubMed Central]
- Herskowitz, M.M.; Walsh, J.; Jacobs, D.T. Direct sonographic-guided superior gluteal artery access for treatment of a previously treated expanding internal iliac artery aneurysm. J. Vasc. Surg. 2014, 59, 235–237. [Google Scholar] [CrossRef] [PubMed]
- Parlani, G.; Simonte, G.; Fiorucci, B.; De Rango, P.; Isernia, G.; Fischer, M.J.; Rebonato, A. Bilateral Staged Computed Tomography-Guided Gluteal Artery Puncture for Internal Iliac Embolization in a Patient with Type II Endoleak. Ann. Vasc. Surg. 2016, 36, 293.e5–293.e10. [Google Scholar] [CrossRef] [PubMed]
- Menon, P.R.; Agarwal, S.; Rees, O. Direct puncture embolisation of the non-coil-embolised internal iliac artery post EVAR—A novel use of the Angio-Seal closure device. CVIR Endovasc. 2018, 1, 6. [Google Scholar] [CrossRef] [PubMed] [PubMed Central]
- Chi, W.K.; Yan, B.P. Direct puncture of superior gluteal artery using a Doppler ultrasound-guided needle to access jailed internal iliac artery aneurysm. J. Vasc. Surg. Cases Innov. Tech. 2018, 5, 12–13. [Google Scholar] [CrossRef] [PubMed] [PubMed Central]
- Kim, Y.J.; Rabei, R.; Connolly, K.; Pallav Kolli, K.; Lehrman, E. Percutaneous approach options for embolization of endoleak after iliac artery aneurysm repair: Stick the sac or stick the gluteal artery. Radiol. Case Rep. 2021, 16, 1447–1450. [Google Scholar] [CrossRef] [PubMed] [PubMed Central]
- Norris, E.; Bronzo, B.; Olorunsola, O. Off Label Use of StarClose for Superior Gluteal Artery Puncture Closure Following Embolisation of an Internal Iliac Artery Type II Endoleak. EJVES Vasc. Forum. 2021, 51, 1–4. [Google Scholar] [CrossRef] [PubMed] [PubMed Central]
- Fukumoto, T.; Ogawa, Y.; Chiba, K.; Nawata, S.; Morikawa, S.; Miyairi, T.; Mimura, H.; Nishimaki, H. Coil Embolization of Recurrent Internal Iliac Artery Aneurysm via the Superior Gluteal Artery. Ann. Vasc. Dis. 2023, 16, 135–138. [Google Scholar] [CrossRef] [PubMed] [PubMed Central]
- Heye, S.; Nevelsteen, A.; Maleux, G. Internal iliac artery coil embolization in the prevention of potential type 2 endoleak after endovascular repair of abdominal aortoiliac and iliac artery aneurysms: Effect of total occlusion versus residual flow. J. Vasc. Interv. Radiol. 2005, 16 Pt 1, 235–239. [Google Scholar] [CrossRef] [PubMed]
- Yasui, K.; Kanazawa, S.; Mimura, H.; Dendo, S.; Hiraki, Y.; Irie, H.; Sano, S. Recanalization 24 months after endovascular repair of a large internal iliac artery aneurysm with use of stent-graft. Acta Med. Okayama 2001, 55, 315–318. [Google Scholar] [CrossRef] [PubMed]
- Millon, A.; Paquet, Y.; Ben Ahmed, S.; Pinel, G.; Rosset, E.; Lermusiaux, P. Midterm outcomes of embolisation of internal iliac artery aneurysms. Eur. J. Vasc. Endovasc. Surg. 2013, 45, 22–27. [Google Scholar] [CrossRef] [PubMed][Green Version]
- Couchet, G.; Pereira, B.; Carrieres, C.; Maumias, T.; Ribal, J.P.; Ben Ahmed, S.; Rosset, E. Predictive Factors for Type II Endoleaks after Treatment of Abdominal Aortic Aneurysm by Conventional Endovascular Aneurysm Repair. Ann. Vasc. Surg. 2015, 29, 1673–1679. [Google Scholar] [CrossRef] [PubMed]
- Fikani, A.; Lermusiaux, P.; Della Schiava, N.; Millon, A. Vasa vasorum associated with endoleak after endovascular repair of abdominal aortic aneurysm. Vasc. Med. 2021, 26, 89–90. [Google Scholar] [CrossRef] [PubMed]
- Dijkstra, M.L.; Zeebregts, C.J.; Verhagen, H.J.; Teijink, J.A.; Power, A.H.; Bockler, D.; Peeters, P.; Riambau, V.; Becquemin, J.-P.; Reijnen, M.M. Incidence, natural course, and outcome of type II endoleaks in infrarenal endovascular aneurysm repair based on the ENGAGE registry data. J. Vasc. Surg. 2020, 71, 780–789. [Google Scholar] [CrossRef] [PubMed]
- Regus, S. Ruptured Isolated Internal Iliac Aneurysm. Eur. J. Vasc. Endovasc. Surg. 2023, 65, 345. [Google Scholar] [CrossRef] [PubMed]
- Wanhainen, A.; Verzini, F.; Van Herzeele, I.; Allaire, E.; Bown, M.; Cohnert, T.; Dick, F.; Van Herwaarden, J.; Karkos, C.; Koelemay, M.; et al. Editor’s Choice e European Society for Vascular Surgery (ESVS) 2019 Clinical Practice Guidelines on the Management of Abdominal Aorto-iliac Artery Aneurysms. Eur. J. Vasc. Endovasc. Surg. 2019, 57, 8–93. [Google Scholar] [CrossRef] [PubMed]
- Dion, Y.M.; Gracia, C.R.; Ben El Kadi, H.H. Totally laparoscopic abdominal aortic aneurysm repair. J. Vasc. Surg. 2001, 33, 181–185. [Google Scholar] [CrossRef] [PubMed]
- Zou, J.; Sun, Y.; Yang, H.; Ma, H.; Jiang, J.; Jiao, Y.; Zhang, X. Laparoscopic ligation of inferior mesenteric artery and internal iliac artery for the treatment of symptomatic type II endoleak after endovascular aneurysm repair. Int. Surg. 2014, 99, 681–683. [Google Scholar] [CrossRef] [PubMed] [PubMed Central]
- Heye, S.; Vaninbroukx, J.; Daenens, K.; Houthoofd, S.; Maleux, G. Embolization of an Internal Iliac Artery Aneurysm after Image-Guided Direct Puncture. Cardiovasc. Interv. Radiol. 2012, 35, 807–814. [Google Scholar] [CrossRef] [PubMed]
- Gemmete, J.J.; Arabi, M.; Cwikiel, W.B. Percutaneous Transosseous Embolization of Internal Iliac Artery Aneurysm Type II Endoleak: Report of Two Cases. Cardiovasc. Intervent Radiol. 2011, 34, S122–S125. [Google Scholar] [CrossRef] [PubMed]
- Coppi, G.; Saitta, G.; Gennai, S.; Lauricella, A.; Silingardi, R. Transealing: A Novel and Simple Technique for Embolization of Type 2 Endoleaks Through Direct Sac Access From the Distal Stent-graft Landing Zone. Eur. J. Vasc. Endovasc. Surg. 2014, 47, 394–401. [Google Scholar] [CrossRef] [PubMed]
- Abderhalden, S.; Rancic, Z.; Lachat, M.L.; Pfammatter, T. Retrograde hypogastric artery embolization to treat iliac artery aneurysms growing after aortoiliac repair. J. Vasc. Interv. Radiol. 2012, 23, 873–877. [Google Scholar] [CrossRef] [PubMed]
- Magishi, K.; Izumi, Y.; Tanaka, K.; Shimizu, N.; Uchida, D. Surgical access of the gluteal artery to embolize a previously excluded, expanding internal iliac artery aneurysm. J. Vasc. Surg. 2007, 45, 387–390. [Google Scholar] [CrossRef] [PubMed]
- Torsello, G.B.; Klenk, E.; Kasprzak, B.; Umscheid, T. Rupture of abdominal aortic aneurysm previously treated by endovascular stentgraft. J. Vasc. Surg. 1998, 28, 184–187. [Google Scholar] [CrossRef] [PubMed]
- Flohr, T.R.; Snow, R.; Aziz, F. The fate of endoleaks after endovascular aneurysm repair and the impact of oral anticoagulation on their persistence. J. Vasc. Surg. 2021, 74, 1183–1192. [Google Scholar] [CrossRef] [PubMed]
- Cantisani, V.; Di Leo, N.; David, E.; Clevert, D.A. Role of CEUS in Vascular Pathology. Ultraschall Der Med. Eur. J. Ultrasound 2021, 42, 348–366. (In English) [Google Scholar] [CrossRef] [PubMed]
- Illuminati, G.; Nardi, P.; Fresilli, D.; Sorrenti, S.; Lauro, A.; Pizzardi, G.; Ruggeri, M.; Ulisse, S.; Cantisani, V.; D’Andrea, V. Fully Ultrasound-Assisted Endovascular Aneurysm Repair: Preliminary Report. Ann. Vasc. Surg. 2022, 84, 55–60. [Google Scholar] [CrossRef] [PubMed]



| Author, Year | SGA Access | Embolization Technique | Hemostasis | Complication | Follow-Up |
|---|---|---|---|---|---|
| Patel, 2023 [4] | DUS guided, 4Fr sheath 18G needle | Sac and feeding vessels embolization with microcoils | Manual compression | None | NA |
| Werner-Gibbings, 2013 [5] | CT guided, 17G needle, sheathless | Feeding vessels embolization with coils and sac embolization with liquid embolic agent | Manual compression | None | Not specified, stable sac |
| Herskowitz, 2014 [6] | Fluoroscopic + DUS guided, 21 G needle, 5Fr sheath | Feeding vessels embolization with coils + sac embolization with coils and thrombin | Embolization of the SGA with coil + manual compression | None | 6-month CT scan, sac regression |
| Parlani, 2016 [7] | CT guided, 21 G needle, sheathless | Sac embolization with coils | Manual compression | None | 3-month CT scan, stable sac |
| CT guided, 21 G needle, sheathless | Sac embolization with coils | Manual compression | None | 3-month CT scan, stable sac | |
| Menon, 2018 [8] | DUS guided, Not specified | Feeding vessels embolization with coils | Angio-Seal | None | 1-month CT scan, stable sac |
| Chi, 2018 [9] | Fluoroscopic + DUS guided, 18 G needle, 5Fr sheath | Sac embolization with coils and glue | Manual compression | None | CT scan, stable sac |
| Kim, 2021 [10] | CT + DUS guided, 21G needle, 3Fr sheath | Feeding vessels embolization with coils + sac embolization with coils and liquid embolic agent | Manual compression | Thigh and buttock mild claudication | 1-month CT scan, stable sac |
| Norris, 2021 [11] | Fluoroscopic guided, 22G needle, 6Fr sheath | Sac embolization with coils, a liquid embolic agent, and a plug | StarClose | None | 6-month CT scan, stable sac |
| Fukumoto, 2023 [12] | Percutaneous, DUS guided, 18G needle, 17G happycath | Feeding vessels + sac embolization with coils | Embolization of the SGA with coils | None | 6-month MRI, stable sac |
| Present case | Angiographic + DUS guided, 18G needle, sheathless | Sac embolization with coils and a liquid embolic agent | Manual compression | None | 12-month CT scan, stable sac |
Disclaimer/Publisher’s Note: The statements, opinions and data contained in all publications are solely those of the individual author(s) and contributor(s) and not of MDPI and/or the editor(s). MDPI and/or the editor(s) disclaim responsibility for any injury to people or property resulting from any ideas, methods, instructions or products referred to in the content. |
© 2024 by the authors. Licensee MDPI, Basel, Switzerland. This article is an open access article distributed under the terms and conditions of the Creative Commons Attribution (CC BY) license (https://creativecommons.org/licenses/by/4.0/).
Share and Cite
Esposito, A.; Pasqua, R.; Menna, D.; Giordano, A.N.; Illuminati, G.; D’Andrea, V. Percutaneous Retrograde Trans-Gluteal Embolization of Type 2 Endoleak Causing Iliac Aneurysm Enlargement after Endovascular Repair: Case Report and Literature Review. J. Clin. Med. 2024, 13, 2909. https://doi.org/10.3390/jcm13102909
Esposito A, Pasqua R, Menna D, Giordano AN, Illuminati G, D’Andrea V. Percutaneous Retrograde Trans-Gluteal Embolization of Type 2 Endoleak Causing Iliac Aneurysm Enlargement after Endovascular Repair: Case Report and Literature Review. Journal of Clinical Medicine. 2024; 13(10):2909. https://doi.org/10.3390/jcm13102909
Chicago/Turabian StyleEsposito, Andrea, Rocco Pasqua, Danilo Menna, Antonio Nicola Giordano, Giulio Illuminati, and Vito D’Andrea. 2024. "Percutaneous Retrograde Trans-Gluteal Embolization of Type 2 Endoleak Causing Iliac Aneurysm Enlargement after Endovascular Repair: Case Report and Literature Review" Journal of Clinical Medicine 13, no. 10: 2909. https://doi.org/10.3390/jcm13102909
APA StyleEsposito, A., Pasqua, R., Menna, D., Giordano, A. N., Illuminati, G., & D’Andrea, V. (2024). Percutaneous Retrograde Trans-Gluteal Embolization of Type 2 Endoleak Causing Iliac Aneurysm Enlargement after Endovascular Repair: Case Report and Literature Review. Journal of Clinical Medicine, 13(10), 2909. https://doi.org/10.3390/jcm13102909

