Skeletal Muscle Quality and Quantity Affect Prognosis after Neoadjuvant Chemotherapy with a Triple Regimen of Docetaxel/Cisplatin/5-FU in Patients with Esophageal Cancer
Abstract
:1. Introduction
2. Materials and Methods
2.1. Study Population
2.2. Neoadjuvant Chemotherapy
2.3. Assessment of Chemotherapy-Related Toxicity and Postoperative Complications
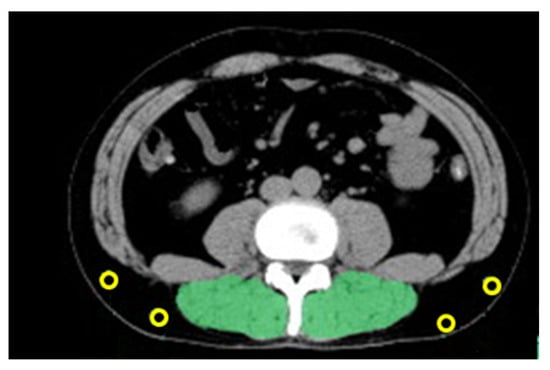
2.4. Measurements of PMI and IMAC
2.5. Patient Data
2.6. Candidates for Factors Associated with Postoperative Survival of NAC-DCF Patients
2.7. Statistical Analysis
3. Results
3.1. Patient and Treatment Characteristics
3.2. Measurement of the PMI and IMAC
3.3. Factors Associated with Postoperative Survival of NAC-DCF Patients
3.4. Overall Survival of All Patients and Those in the High and Low IMAC Groups
4. Discussion
5. Conclusions
Author Contributions
Funding
Institutional Review Board Statement
Informed Consent Statement
Data Availability Statement
Conflicts of Interest
References
- Sung, H.; Ferlay, J.; Siegel, R.L.; Laversanne, M.; Soerjomataram, I.; Jemal, A.; Bray, F. Global Cancer Statistics 2020: GLOBOCAN Estimates of Incidence and Mortality Worldwide for 36 Cancers in 185 Countries. CA Cancer J. Clin. 2021, 71, 209–249. [Google Scholar] [CrossRef] [PubMed]
- Ando, N.; Kato, H.; Igaki, H.; Shinoda, M.; Ozawa, S.; Shimizu, H.; Nakamura, T.; Yabusaki, H.; Aoyama, N.; Kurita, A.; et al. A randomized trial comparing postoperative adjuvant chemotherapy with cisplatin and 5-fluorouracil versus preoperative chemotherapy for localized advanced squamous cell carcinoma of the thoracic esophagus (JCOG9907). Ann. Surg. Oncol. 2012, 19, 68–74. [Google Scholar] [CrossRef] [PubMed]
- Vermorken, J.B.; Remenar, E.; van Herpen, C.; Gorlia, T.; Mesia, R.; Degardin, M.; Stewart, J.S.; Jelic, S.; Betka, J.; Preiss, J.H.; et al. Cisplatin, fluorouracil, and docetaxel in unresectable head and neck cancer. N. Engl. J. Med. 2007, 357, 1695–1704. [Google Scholar] [CrossRef] [PubMed]
- Hara, H.; Tahara, M.; Daiko, H.; Kato, K.; Igaki, H.; Kadowaki, S.; Tanaka, Y.; Hamamoto, Y.; Matsushita, H.; Nagase, M.; et al. Phase II feasibility study of preoperative chemotherapy with docetaxel, cisplatin, and fluorouracil for esophageal squamous cell carcinoma. Cancer Sci. 2013, 104, 1455–1460. [Google Scholar] [CrossRef] [PubMed]
- Yamasaki, M.; Yasuda, T.; Yano, M.; Hirao, M.; Kobayashi, K.; Fujitani, K.; Tamura, S.; Kimura, Y.; Miyata, H.; Motoori, M.; et al. Multicenter randomized phase II study of cisplatin and fluorouracil plus docetaxel (DCF) compared with cisplatin and fluorouracil plus Adriamycin (ACF) as preoperative chemotherapy for resectable esophageal squamous cell carcinoma (OGSG1003). Ann. Oncol. 2017, 28, 116–120. [Google Scholar] [CrossRef] [PubMed]
- Kato, K.; Ito, Y.; Daiko, H.; Ozawa, S.; Ogata, T.; Hara, H.; Kojima, T.; Abe, T.; Bamba, T.; Watanabe, M.; et al. A randomized controlled phase III trial comparing two chemotherapy regimen and chemoradiotherapy regimenas neoadjuvant treatment for locally advanced esophageal cancer, JCOG1109 NExT study. J. Clin. Oncol. 2022, 40, 238. [Google Scholar] [CrossRef]
- Newman, A.B.; Kupelian, V.; Visser, M.; Simonsick, E.M.; Goodpaster, B.H.; Kritchevsky, S.B.; Tylavsky, F.A.; Rubin, S.M.; Harris, T.B. Strength, but not muscle mass, is associated with mortality in the health, aging and body composition study cohort. J. Gerontol. A Biol. Sci. Med. Sci. 2006, 61, 72–77. [Google Scholar] [CrossRef] [PubMed]
- Dumurgier, J.; Elbaz, A.; Ducimetière, P.; Tavernier, B.; Alpérovitch, A.; Tzourio, C. Slow walking speed and cardiovascular death in well functioning older adults: Prospective cohort study. BMJ 2009, 339, b4460. [Google Scholar] [CrossRef]
- Hamaguchi, Y.; Kaido, T.; Okumura, S.; Fujimoto, Y.; Ogawa, K.; Mori, A.; Hammad, A.; Tamai, Y.; Inagaki, N.; Uemoto, S. Impact of quality as well as quantity of skeletal muscle on outcomes after liver transplantation. Liver Transpl. 2014, 20, 1413–1419. [Google Scholar] [CrossRef]
- Xiao, J.; Caan, B.J.; Feliciano, E.M.C.; Meyerhardt, J.A.; Peng, P.D.; Baracos, V.E.; Lee, V.S.; Ely, S.; Gologorsky, R.C.; Weltzien, E.; et al. Association of Low Muscle Mass and Low Muscle Radiodensity With Morbidity and Mortality for Colon Cancer Surgery. JAMA Surg. 2020, 155, 942–949. [Google Scholar] [CrossRef]
- Chen, F.; Chi, J.; Liu, Y.; Fan, L.; Hu, K. Impact of preoperative sarcopenia on postoperative complications and prognosis of gastric cancer resection: A meta-analysis of cohort studies. Arch. Gerontol. Geriatr. 2022, 98, 104534. [Google Scholar] [CrossRef]
- Choi, M.H.; Yoon, S.B. Sarcopenia in pancreatic cancer: Effect on patient outcomes. World J. Gastrointest. Oncol. 2022, 14, 2302–2312. [Google Scholar] [CrossRef] [PubMed]
- Fang, P.; Zhou, J.; Xiao, X.; Yang, Y.; Luan, S.; Liang, Z.; Li, X.; Zhang, H.; Shang, Q.; Zeng, X.; et al. The prognostic value of sarcopenia in oesophageal cancer: A systematic review and meta-analysis. J. Cachex- Sarcopenia Muscle 2022, 14, 3–16. [Google Scholar] [CrossRef] [PubMed]
- Ida, S.; Watanabe, M.; Yoshida, N.; Baba, Y.; Umezaki, N.; Harada, K.; Karashima, R.; Imamura, Y.; Iwagami, S.; Baba, H. Sarcopenia is a Predictor of Postoperative Respiratory Complications in Patients with Esophageal Cancer. Ann. Surg. Oncol. 2015, 22, 4432–4437. [Google Scholar] [CrossRef] [PubMed]
- Makiura, D.; Ono, R.; Inoue, J.; Kashiwa, M.; Oshikiri, T.; Nakamura, T.; Kakeji, Y.; Sakai, Y.; Miura, Y. Preoperative sarcopenia is a predictor of postoperative pulmonary complications in esophageal cancer following esophagectomy: A retrospective cohort study. J. Geriatr. Oncol. 2016, 7, 430–436. [Google Scholar] [CrossRef] [PubMed]
- Papaconstantinou, D.; Vretakakou, K.; Paspala, A.; Misiakos, E.P.; Charalampopoulos, A.; Nastos, C.; Patapis, P.; Pikoulis, E. The impact of preoperative sarcopenia on postoperative complications following esophagectomy for esophageal neoplasia: A systematic review and meta-analysis. Dis. Esophagus 2020, 33, doaa002. [Google Scholar] [CrossRef] [PubMed]
- Nakashima, Y.; Saeki, H.; Nakanishi, R.; Sugiyama, M.; Kurashige, J.; Oki, E.; Maehara, Y. Assessment of Sarcopenia as a Predictor of Poor Outcomes After Esophagectomy in Elderly Patients With Esophageal Cancer. Ann. Surg. 2018, 267, 1100–1104. [Google Scholar] [CrossRef] [PubMed]
- Jin, S.B.; Tian, Z.B.; Ding, X.L.; Guo, Y.J.; Mao, T.; Yu, Y.N.; Wang, K.X.; Jing, X. The Impact of Preoperative Sarcopenia on Survival Prognosis in Patients Receiving Neoadjuvant Therapy for Esophageal Cancer: A Systematic Review and Meta-Analysis. Front. Oncol. 2021, 11, 619592. [Google Scholar] [CrossRef] [PubMed]
- Onishi, S.; Tajika, M.; Tanaka, T.; Yamada, K.; Kamiya, T.; Abe, T.; Higaki, E.; Fujieda, H.; Nagao, T.; Inaba, Y.; et al. Effect of Body Composition Change during Neoadjuvant Chemotherapy for Esophageal Squamous Cell Carcinoma. J. Clin. Med. 2022, 11, 508. [Google Scholar] [CrossRef]
- Okumura, S.; Kaido, T.; Hamaguchi, Y.; Fujimoto, Y.; Masui, T.; Mizumoto, M.; Hammad, A.; Mori, A.; Takaori, K.; Uemoto, S. Impact of preoperative quality as well as quantity of skeletal muscle on survival after resection of pancreatic cancer. Surgery 2015, 157, 1088–1098. [Google Scholar] [CrossRef]
- Ishida, T.; Makino, T.; Yamasaki, M.; Yamashita, K.; Tanaka, K.; Saito, T.; Yamamoto, K.; Takahashi, T.; Kurokawa, Y.; Motoori, M.; et al. Quantity and Quality of Skeletal Muscle as an Important Predictor of Clinical Outcomes in Patients with Esophageal Cancer Undergoing Esophagectomy after Neoadjuvant Chemotherapy. Ann. Surg. Oncol. 2021, 28, 7185–7195. [Google Scholar] [CrossRef]
- Ichinohe, D.; Muroya, T.; Akasaka, H.; Hakamada, K. Skeletal muscle mass and quality before preoperative chemotherapy influence postoperative long-term outcomes in esophageal squamous cell carcinoma patients. World J. Gastrointest. Surg. 2023, 15, 621–633. [Google Scholar] [CrossRef] [PubMed]
- Kitagawa, Y.; Uno, T.; Oyama, T.; Kato, K.; Kato, H.; Kawakubo, H.; Kawamura, O.; Kusano, M.; Kuwano, H.; Takeuchi, H.; et al. Esophageal cancer practice guidelines 2017 edited by the Japan Esophageal Society: Part 1. Esophagus 2019, 16, 1–24. [Google Scholar] [CrossRef] [PubMed]
- Dindo, D.; Demartines, N.; Clavien, P.A. Classification of surgical complications: A new proposal with evaluation in a cohort of 6336 patients and results of a survey. Ann. Surg. 2004, 240, 205–213. [Google Scholar] [CrossRef] [PubMed]
- Onodera, T.; Goseki, N.; Kosaki, G. Prognostic nutritional index in gastrointestinal surgery of malnourished cancer patients. Nihon Geka Gakkai Zasshi 1984, 85, 1001–1005. [Google Scholar] [PubMed]
- Kim, S.; Jary, M.; André, T.; Vendrely, V.; Buecher, B.; François, E.; Bidard, F.-C.; Dumont, C.; Samalin, E.; Peiffert, D.; et al. Docetaxel, Cisplatin, and 5-fluorouracil (DCF) chemotherapy in the treatment of metastatic or unresectable locally recurrent anal squamous cell carcinoma: A phase II study of French interdisciplinary GERCOR and FFCD groups (Epitopes-HPV02 study). BMC Cancer 2017, 17, 574. [Google Scholar] [CrossRef] [PubMed]
- Yamasaki, M.; Miyata, H.; Tanaka, K.; Shiraishi, O.; Motoori, M.; Peng, Y.; Yasuda, T.; Yano, M.; Shiozaki, H.; Mori, M.; et al. Multicenter phase I/II study of docetaxel, cisplatin and fluorouracil combination chemotherapy in patients with advanced or recurrent squamous cell carcinoma of the esophagus. Oncology 2011, 80, 307–313. [Google Scholar] [CrossRef] [PubMed]
- Ohnuma, H.; Sato, Y.; Hayasaka, N.; Matsuno, T.; Fujita, C.; Sato, M.; Osuga, T.; Hirakawa, M.; Miyanishi, K.; Sagawa, T.; et al. Neoadjuvant chemotherapy with docetaxel, nedaplatin, and fluorouracil for resectable esophageal cancer: A phase II study. Cancer Sci. 2018, 109, 3554–3563. [Google Scholar] [CrossRef] [PubMed]
- Murimwa, G.Z.; Venkat, P.S.; Jin, W.; Leuthold, S.; Latifi, K.; Almhanna, K.; Pimiento, J.M.; Fontaine, J.-P.; Hoffe, S.E.; Frakes, J.M. Impact of sarcopenia on outcomes of locally advanced esophageal cancer patients treated with neoadjuvant chemoradiation followed by surgery. J. Gastrointest. Oncol. 2017, 8, 808–815. [Google Scholar] [CrossRef]
- Marcus, R.L.; Addison, O.; Kidde, J.P.; Dibble, L.E.; Lastayo, P.C. Skeletal muscle fat infiltration: Impact of age, inactivity, and exercise. J. Nutr. Health Aging 2010, 14, 362–366. [Google Scholar] [CrossRef]
- Ojima, Y.; Harano, M.; Sumitani, D.; Okajima, M. Impact of Preoperative Skeletal Muscle Mass and Quality on the Survival of Elderly Patients after Curative Resection of Colorectal Cancer. J. Anus Rectum Colon 2019, 3, 143–151. [Google Scholar] [CrossRef] [PubMed]
- Matsuda, S.; Kitagawa, Y.; Takemura, R.; Okui, J.; Okamura, A.; Kawakubo, H.; Muto, M.; Kakeji, Y.; Takeuchi, H.; Watanabe, M.; et al. Real-world Evaluation of the Efficacy of Neoadjuvant DCF Over CF in Esophageal Squamous Cell Carcinoma: Propensity Score-matched Analysis From 85 Authorized Institutes for Esophageal Cancer in Japan. Ann. Surg. 2023, 278, e35–e42. [Google Scholar] [CrossRef] [PubMed]
- Dewberry, L.C.; Wingrove, L.J.; Marsh, M.D.; Glode, A.E.; Schefter, T.E.; Leong, S.; Purcell, W.T.; McCarter, M.D. Pilot Prehabilitation Program for Patients With Esophageal Cancer During Neoadjuvant Therapy and Surgery. J. Surg. Res. 2019, 235, 66–72. [Google Scholar] [CrossRef] [PubMed]
- Ikeda, T.; Noma, K.; Maeda, N.; Tanabe, S.; Sakamoto, Y.; Katayama, Y.; Shirakawa, Y.; Fujiwara, T.; Senda, M. Effectiveness of early exercise on reducing skeletal muscle loss during preoperative neoadjuvant chemotherapy for esophageal cancer. Surg. Today 2022, 52, 1143–1152. [Google Scholar] [CrossRef] [PubMed]
- Delmonico, M.J.; Harris, T.B.; Visser, M.; Park, S.W.; Conroy, M.B.; Velasquez-Mieyer, P.; Boudreau, R.; Manini, T.M.; Nevitt, M.; Newman, A.B.; et al. Longitudinal study of muscle strength, quality, and adipose tissue infiltration. Am. J. Clin. Nutr. 2009, 90, 1579–1585. [Google Scholar] [CrossRef] [PubMed]
- Di Girolamo, F.G.; Situlin, R.; Mazzucco, S.; Valentini, R.; Toigo, G.; Biolo, G. Omega-3 fatty acids and protein metabolism: Enhancement of anabolic interventions for sarcopenia. Curr. Opin. Clin. Nutr. Metab. Care 2014, 17, 145–150. [Google Scholar] [CrossRef] [PubMed]
- Chen, L.K.; Woo, J.; Assantachai, P.; Auyeung, T.W.; Chou, M.Y.; Iijima, K.; Jang, H.C.; Kang, L.; Kim, M.; Kim, S.; et al. Asian Working Group for Sarcopenia: 2019 Consensus Update on Sarcopenia Diagnosis and Treatment. J. Am. Med. Dir. Assoc. 2020, 21, 300–307.e2. [Google Scholar] [CrossRef]




| Variables | |
|---|---|
| Age, median (range) | 65 (45–79) | 
| Sex | |
| Male, n (%) | 84 (84%) | 
| Female, n (%) | 16 (16%) | 
| Body mass index (kg/m2), median (range) | 21.5 (13.8–27.6) | 
| ASA-PS score (1/2-) | 26/74 | 
| PNI, median (range) | 45.9 (33.3–57.6) | 
| Hb (g/dL), median (range) | 11.4 (7.9–14.3) | 
| Location (Ut/Mt/Lt), n | 17/46/37 | 
| Clinical T (1, 2/3), n | 13/87 | 
| Clinical N (1, 2/3), n | 47/53 | 
| Clinical stage (II/III), n | 17/83 | 
| Neutrophil count decreased grade 4, n (%) | 56 (56%) | 
| Operative time, (min), median (range) | 472 (321–848) | 
| Intraoperative bleeding (mL), median (range) | 230 (20–3190) | 
| Surgery-related complications (≧grade 3), n (%) | 37 (37%) | 
| Variables | Male | Female | 
|---|---|---|
| PMI (cm2/m2), median (range) | 6.11 (3.12–11.07) | 3.65 (2.70–6.82) | 
| IMAC, median (range) | −0.426 (−0.968–−0.079) | −0.359 (−0.671–−0.079) | 
| Variables | Categorization | Univariate Analysis | Multivariate Analysis | ||||
|---|---|---|---|---|---|---|---|
| HR | 95% CI | p Value | HR | 95% CI | p Value | ||
| Age | ≧65 | 1.74 | 0.896–3.381 | 0.097 | 1.343 | 0.670–2.691 | 0.406 | 
| Sex | male | 1.125 | 0.436–2.901 | 0.807 | |||
| BMI | <22 | 1.294 | 0.643–2.603 | 0.47 | |||
| PNI | <45 | 1.17 | 0.595–2.302 | 0.649 | |||
| PMI | high | 0.727 | 0.366–1.444 | 0.362 | |||
| IMAC | high | 2.912 | 1.483–5.721 | 0.002 | 2.699 | 1.343–5.424 | 0.005 | 
| ASA-PS | ≧2 | 1.97 | 0.817–4.747 | 0.131 | |||
| cT | III | 2.18 | 0.666–7.139 | 0.198 | |||
| cN | ≧2 | 1.211 | 0.622–2.357 | 0.574 | |||
| Variables | High IMAC (n = 23) | Low IMAC (n = 77) | p Value | 
|---|---|---|---|
| Age, median (range) | 67 (51–79) | 65 (45–79) | 0.065 | 
| Sex | |||
| Male, n (%) | 21 (91%) | 63 (82%) | 0.349 | 
| Female, n (%) | 2 (9%) | 14 (18%) | |
| Body mass index (kg/m2), median (range) | 21.8 (17.3–27.6) | 21.3 (13.8–27.1) | 0.024 | 
| ASA-PS score (1/2-) | 19/4 | 55/22 | 0.417 | 
| PNI, median (range) | 47.0 (33.3–51.6) | 45.8 (35.0–57.6) | 0.67 | 
| Hb (g/dL), median (range) | 11.5 (8.9–13.7) | 11.4 (7.9–14.3) | 0.993 | 
| Location (Ut/Mt/Lt), n | 4/10/9 | 13/36/28 | 0.96 | 
| Clinical T (1, 2/3), n | 3/20 | 10/67 | 1 | 
| Clinical N (1, 2/3), n | 14/9 | 33/44 | 0.157 | 
| Clinical stage (II/III), n | 4/19 | 13/64 | 1 | 
| Neutrophil count decreased grade 4, n (%) | 12 (52%) | 44 (57%) | 0.811 | 
| Operative time, (min), median (range) | 452 (353–848) | 477 (321–682) | 0.534 | 
| Intraoperative bleeding, (mL), median (range) | 250 (80–3190) | 220 (20–1370) | 0.555 | 
| Surgery-related complications (≧grade3), n (%) | 10 (43%) | 27 (35%) | 0.472 | 
| Two or more surgery-related complications (≧grade3), n (%) | 5 (22%) | 4 (5%) | 0.028 | 
| Disclaimer/Publisher’s Note: The statements, opinions and data contained in all publications are solely those of the individual author(s) and contributor(s) and not of MDPI and/or the editor(s). MDPI and/or the editor(s) disclaim responsibility for any injury to people or property resulting from any ideas, methods, instructions or products referred to in the content. | 
© 2023 by the authors. Licensee MDPI, Basel, Switzerland. This article is an open access article distributed under the terms and conditions of the Creative Commons Attribution (CC BY) license (https://creativecommons.org/licenses/by/4.0/).
Share and Cite
Ito, N.; Tajika, M.; Tanaka, T.; Yamada, K.; Takagi, A.; Onishi, S.; Abe, T.; Higaki, E.; Fujieda, H.; Inaba, Y.; et al. Skeletal Muscle Quality and Quantity Affect Prognosis after Neoadjuvant Chemotherapy with a Triple Regimen of Docetaxel/Cisplatin/5-FU in Patients with Esophageal Cancer. J. Clin. Med. 2023, 12, 6738. https://doi.org/10.3390/jcm12216738
Ito N, Tajika M, Tanaka T, Yamada K, Takagi A, Onishi S, Abe T, Higaki E, Fujieda H, Inaba Y, et al. Skeletal Muscle Quality and Quantity Affect Prognosis after Neoadjuvant Chemotherapy with a Triple Regimen of Docetaxel/Cisplatin/5-FU in Patients with Esophageal Cancer. Journal of Clinical Medicine. 2023; 12(21):6738. https://doi.org/10.3390/jcm12216738
Chicago/Turabian StyleIto, Nobuhito, Masahiro Tajika, Tsutomu Tanaka, Keisaku Yamada, Akihiro Takagi, Sachiyo Onishi, Tetsuya Abe, Eiji Higaki, Hironori Fujieda, Yoshitaka Inaba, and et al. 2023. "Skeletal Muscle Quality and Quantity Affect Prognosis after Neoadjuvant Chemotherapy with a Triple Regimen of Docetaxel/Cisplatin/5-FU in Patients with Esophageal Cancer" Journal of Clinical Medicine 12, no. 21: 6738. https://doi.org/10.3390/jcm12216738
APA StyleIto, N., Tajika, M., Tanaka, T., Yamada, K., Takagi, A., Onishi, S., Abe, T., Higaki, E., Fujieda, H., Inaba, Y., Muro, K., Kawashima, H., & Niwa, Y. (2023). Skeletal Muscle Quality and Quantity Affect Prognosis after Neoadjuvant Chemotherapy with a Triple Regimen of Docetaxel/Cisplatin/5-FU in Patients with Esophageal Cancer. Journal of Clinical Medicine, 12(21), 6738. https://doi.org/10.3390/jcm12216738
 
        

 
       