Emerging Role of Balloon Pulmonary Angioplasty in Chronic Thromboembolic Pulmonary Disease—Insights from the 2022 ESC Guidelines
Abstract
:1. Introduction
2. Epidemiology and Pathophysiology of CTEPH
3. History of BPA
4. Patient Management and Selection
5. Procedural Details
5.1. Patient Preparation
5.2. Pretreatment with Targeted Pharmacotherapy
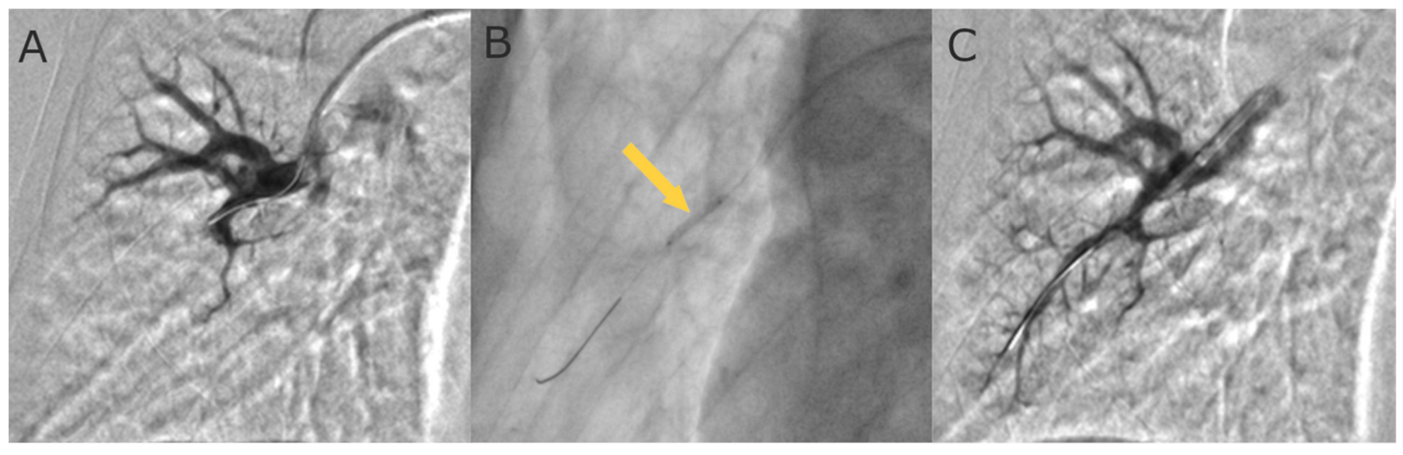
5.3. Technical Aspects
6. Efficacy and Treatment Goals
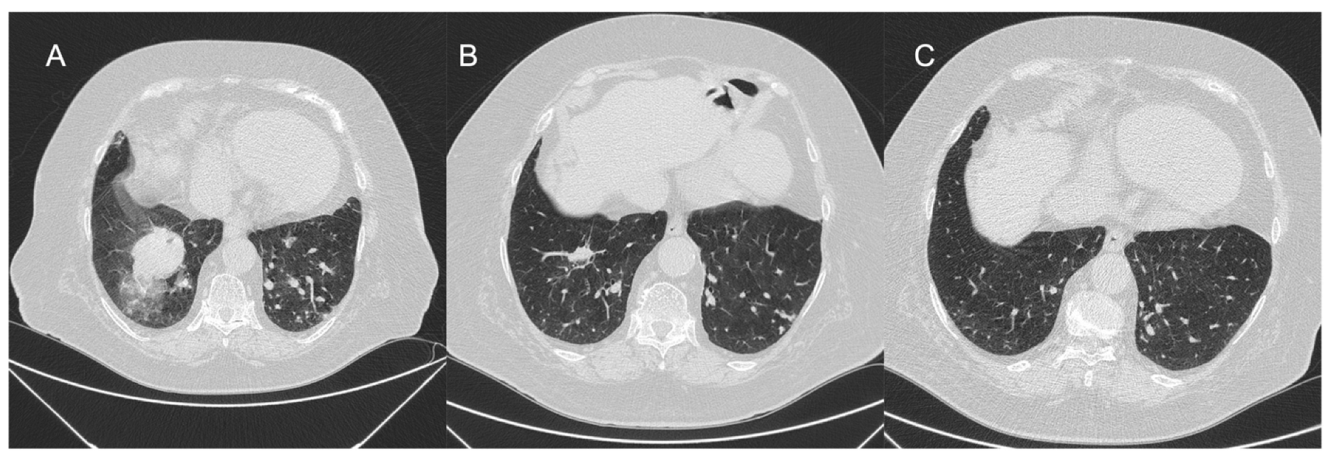
7. Safety
8. Long-Term Prognosis
9. Future Perspectives and Outstanding Issues
10. Conclusions
Author Contributions
Funding
Informed Consent Statement
Data Availability Statement
Acknowledgments
Conflicts of Interest
References
- Humbert, M.; Kovacs, G.; Hoeper, M.M.; Badagliacca, R.; Berger, R.M.F.; Brida, M.; Carlsen, J.; Coats, A.J.S.; Escribano-Subias, P.; Ferrari, P.; et al. 2022 ESC/ERS Guidelines for the diagnosis and treatment of pulmonary hypertension. Eur. Heart J. 2022, 43, 3618–3731. [Google Scholar] [CrossRef] [PubMed]
- Feinstein, J.A.; Goldhaber, S.Z.; Lock, J.E.; Ferndandes, S.M.; Landzberg, M.J. Balloon pulmonary angioplasty for treatment of chronic thromboembolic pulmonary hypertension. Circulation 2001, 103, 10–13. [Google Scholar] [CrossRef] [PubMed]
- Konstantinides, S.V.; Meyer, G. The 2019 ESC Guidelines on the Diagnosis and Management of Acute Pulmonary Embolism. Eur. Heart J. 2019, 40, 3453–3455. [Google Scholar] [CrossRef] [PubMed]
- Pepke-Zaba, J.; Delcroix, M.; Lang, I.; Mayer, E.; Jansa, P.; Ambroz, D.; Treacy, C.; D’Armini, A.M.; Morsolini, M.; Snijder, R.; et al. Chronic thromboembolic pulmonary hypertension (CTEPH): Results from an international prospective registry. Circulation 2011, 124, 1973–1981. [Google Scholar] [CrossRef]
- Bonderman, D.; Wilkens, H.; Wakounig, S.; Schafers, H.J.; Jansa, P.; Lindner, J.; Simkova, I.; Martischnig, A.M.; Dudczak, J.; Sadushi, R.; et al. Risk factors for chronic thromboembolic pulmonary hypertension. Eur. Respir. J. 2009, 33, 325–331. [Google Scholar] [CrossRef]
- Delcroix, M.; Vonk Noordegraaf, A.; Fadel, E.; Lang, I.; Simonneau, G.; Naeije, R. Vascular and right ventricular remodelling in chronic thromboembolic pulmonary hypertension. Eur. Respir. J. 2013, 41, 224–232. [Google Scholar] [CrossRef]
- Voorburg, J.A.; Cats, V.M.; Buis, B.; Bruschke, A.V. Balloon angioplasty in the treatment of pulmonary hypertension caused by pulmonary embolism. Chest 1988, 94, 1249–1253. [Google Scholar] [CrossRef]
- Mizoguchi, H.; Ogawa, A.; Munemasa, M.; Mikouchi, H.; Ito, H.; Matsubara, H. Refined balloon pulmonary angioplasty for inoperable patients with chronic thromboembolic pulmonary hypertension. Circ. Cardiovasc. Interv. 2012, 5, 748–755. [Google Scholar] [CrossRef]
- Kataoka, M.; Inami, T.; Hayashida, K.; Shimura, N.; Ishiguro, H.; Abe, T.; Tamura, Y.; Ando, M.; Fukuda, K.; Yoshino, H.; et al. Percutaneous transluminal pulmonary angioplasty for the treatment of chronic thromboembolic pulmonary hypertension. Circ. Cardiovasc. Interv. 2012, 5, 756–762. [Google Scholar] [CrossRef]
- Ogawa, A.; Satoh, T.; Fukuda, T.; Sugimura, K.; Fukumoto, Y.; Emoto, N.; Yamada, N.; Yao, A.; Ando, M.; Ogino, H.; et al. Balloon Pulmonary Angioplasty for Chronic Thromboembolic Pulmonary Hypertension: Results of a Multicenter Registry. Circ. Cardiovasc. Qual. Outcomes 2017, 10, e004029. [Google Scholar] [CrossRef]
- Olsson, K.M.; Wiedenroth, C.B.; Kamp, J.C.; Breithecker, A.; Fuge, J.; Krombach, G.A.; Haas, M.; Hamm, C.; Kramm, T.; Guth, S.; et al. Balloon pulmonary angioplasty for inoperable patients with chronic thromboembolic pulmonary hypertension: The initial German experience. Eur. Respir. J. 2017, 49, 1602409. [Google Scholar] [CrossRef] [PubMed]
- Brenot, P.; Jais, X.; Taniguchi, Y.; Garcia Alonso, C.; Gerardin, B.; Mussot, S.; Mercier, O.; Fabre, D.; Parent, F.; Jevnikar, M.; et al. French experience of balloon pulmonary angioplasty for chronic thromboembolic pulmonary hypertension. Eur. Respir. J. 2019, 53, 1802095. [Google Scholar] [CrossRef] [PubMed]
- Darocha, S.; Roik, M.; Kopec, G.; Araszkiewicz, A.; Furdal, M.; Lewandowski, M.; Jachec, W.; Grabka, M.; Banaszkiewicz, M.; Pietrasik, A.; et al. Balloon pulmonary angioplasty in chronic thromboembolic pulmonary hypertension: A multicentre registry. EuroIntervention 2022, 17, 1104–1111. [Google Scholar] [CrossRef]
- Madani, M.M. Surgical Treatment of Chronic Thromboembolic Pulmonary Hypertension: Pulmonary Thromboendarterectomy. Methodist Debakey Cardiovasc. J. 2016, 12, 213–218. [Google Scholar] [CrossRef]
- Witowski, J.; Darocha, S.; Kownacki, L.; Pietrasik, A.; Pietura, R.; Banaszkiewicz, M.; Kaminski, J.; Biederman, A.; Torbicki, A.; Kurzyna, M. Augmented reality and three-dimensional printing in percutaneous interventions on pulmonary arteries. Quant. Imaging Med. Surg. 2019, 9, 23–29. [Google Scholar] [CrossRef]
- Slawek-Szmyt, S.; Araszkiewicz, A.; Jankiewicz, S.; Smukowska-Gorynia, A.; Grygier, M.; Janus, M.; Lesiak, M.; Mularek-Kubzdela, T. Association of Electrocardiographic Signs of Right Ventricular Hypertrophy and Clot Localization in Chronic Thromboembolic Pulmonary Hypertension. J. Clin. Med. 2022, 11, 625. [Google Scholar] [CrossRef]
- Madani, M.M.; Auger, W.R.; Pretorius, V.; Sakakibara, N.; Kerr, K.M.; Kim, N.H.; Fedullo, P.F.; Jamieson, S.W. Pulmonary endarterectomy: Recent changes in a single institution’s experience of more than 2700 patients. Ann. Thorac. Surg. 2012, 94, 97–103; discussion 103. [Google Scholar] [CrossRef]
- Delcroix, M.; Lang, I.; Pepke-Zaba, J.; Jansa, P.; D’Armini, A.M.; Snijder, R.; Bresser, P.; Torbicki, A.; Mellemkjaer, S.; Lewczuk, J.; et al. Long-Term Outcome of Patients With Chronic Thromboembolic Pulmonary Hypertension: Results From an International Prospective Registry. Circulation 2016, 133, 859–871. [Google Scholar] [CrossRef]
- Siennicka, A.; Darocha, S.; Banaszkiewicz, M.; Kędzierski, P.; Dobosiewicz, A.; Błaszczak, P.; Peregud-Pogorzelska, M.; Kasprzak, J.D.; Tomaszewski, M.; Mroczek, E.; et al. Treatment of chronic thromboembolic pulmonary hypertension in a multidisciplinary team. Ther. Adv. Respir. Dis. 2019, 13, 1–13. [Google Scholar] [CrossRef]
- Kopec, G.; Dzikowska-Diduch, O.; Mroczek, E.; Mularek-Kubzdela, T.; Chrzanowski, L.; Skoczylas, I.; Tomaszewski, M.; Peregud-Pogorzelska, M.; Karasek, D.; Lewicka, E.; et al. Characteristics and outcomes of patients with chronic thromboembolic pulmonary hypertension in the era of modern therapeutic approaches: Data from the Polish multicenter registry (BNP-PL). Ther. Adv. Chronic Dis. 2021, 12, 1–17. [Google Scholar] [CrossRef] [PubMed]
- Amsallem, M.; Guihaire, J.; Arthur Ataam, J.; Lamrani, L.; Boulate, D.; Mussot, S.; Fabre, D.; Taniguchi, Y.; Haddad, F.; Sitbon, O.; et al. Impact of the initiation of balloon pulmonary angioplasty program on referral of patients with chronic thromboembolic pulmonary hypertension to surgery. J. Heart Lung Transplant. 2018, 37, 1102–1110. [Google Scholar] [CrossRef] [PubMed]
- Nishihara, T.; Shimokawahara, H.; Ogawa, A.; Naito, T.; Une, D.; Mukai, T.; Niiya, H.; Ito, H.; Matsubara, H. Comparison of the safety and efficacy of balloon pulmonary angioplasty in chronic thromboembolic pulmonary hypertension patients with surgically accessible and inaccessible lesions. J. Heart Lung Transplant. 2023, 42, 786–794. [Google Scholar] [CrossRef] [PubMed]
- Darocha, S.; Araszkiewicz, A.; Kurzyna, M.; Banaszkiewicz, M.; Jankiewicz, S.; Dobosiewicz, A.; Slawek-Szmyt, S.; Janus, M.; Grymuza, M.; Pietrasik, A.; et al. Balloon Pulmonary Angioplasty in Technically Operable and Technically Inoperable Chronic Thromboembolic Pulmonary Hypertension. J. Clin. Med. 2021, 10, 1038. [Google Scholar] [CrossRef] [PubMed]
- Cannon, J.E.; Su, L.; Kiely, D.G.; Page, K.; Toshner, M.; Swietlik, E.; Treacy, C.; Ponnaberanam, A.; Condliffe, R.; Sheares, K.; et al. Dynamic Risk Stratification of Patient Long-Term Outcome After Pulmonary Endarterectomy: Results From the United Kingdom National Cohort. Circulation 2016, 133, 1761–1771. [Google Scholar] [CrossRef] [PubMed]
- Palazzini, M.; Saia, F.; Taglieri, N.; Guarino, D.; Rotunno, M.; Galiè, N.; Dardi, F. Balloon pulmonary angioplasty after pulmonary thromboendarterectomy. Ann. Cardiothorac. Surg. 2022, 11, 192–194. [Google Scholar] [CrossRef]
- Araszkiewicz, A.; Darocha, S.; Pietrasik, A.; Pietura, R.; Jankiewicz, S.; Banaszkiewicz, M.; Sławek-Szmyt, S.; Biederman, A.; Mularek-Kubzdela, T.; Lesiak, M.; et al. Balloon pulmonary angioplasty for the treatment of residual or recurrent pulmonary hypertension after pulmonary endarterectomy. Int. J. Cardiol. 2019, 278, 232–237. [Google Scholar] [CrossRef]
- Shimura, N.; Kataoka, M.; Inami, T.; Yanagisawa, R.; Ishiguro, H.; Kawakami, T.; Higuchi, Y.; Ando, M.; Fukuda, K.; Yoshino, H.; et al. Additional percutaneous transluminal pulmonary angioplasty for residual or recurrent pulmonary hypertension after pulmonary endarterectomy. Int. J. Cardiol. 2015, 183, 138–142. [Google Scholar] [CrossRef]
- Inami, T.; Kataoka, M.; Kikuchi, H.; Goda, A.; Satoh, T. Balloon pulmonary angioplasty for symptomatic chronic thromboembolic disease without pulmonary hypertension at rest. Int. J. Cardiol. 2019, 289, 116–118. [Google Scholar] [CrossRef]
- Lang, I.M.; Andreassen, A.K.; Andersen, A.; Bouvaist, H.; Coghlan, G.; Escribano-Subias, P.; Jansa, P.; Kopec, G.; Kurzyna, M.; Matsubara, H.; et al. Balloon pulmonary angioplasty for chronic thromboembolic pulmonary hypertension: A clinical consensus statement of the ESC working group on pulmonary circulation and right ventricular function. Eur. Heart J. 2023, 44, 2659–2671. [Google Scholar] [CrossRef] [PubMed]
- Kataoka, M.; Inami, T.; Kawakami, T.; Fukuda, K.; Satoh, T. Balloon Pulmonary Angioplasty (Percutaneous Transluminal Pulmonary Angioplasty) for Chronic Thromboembolic Pulmonary Hypertension: A Japanese Perspective. JACC Cardiovasc. Interv. 2019, 12, 1382–1388. [Google Scholar] [CrossRef]
- Douketis, J.D.; Spyropoulos, A.C.; Kaatz, S.; Becker, R.C.; Caprini, J.A.; Dunn, A.S.; Garcia, D.A.; Jacobson, A.; Jaffer, A.K.; Kong, D.F.; et al. Perioperative Bridging Anticoagulation in Patients with Atrial Fibrillation. N. Engl. J. Med. 2015, 373, 823–833. [Google Scholar] [CrossRef]
- Sadushi-Kolici, R.; Jansa, P.; Kopec, G.; Torbicki, A.; Skoro-Sajer, N.; Campean, I.A.; Halank, M.; Simkova, I.; Karlocai, K.; Steringer-Mascherbauer, R.; et al. Subcutaneous treprostinil for the treatment of severe non-operable chronic thromboembolic pulmonary hypertension (CTREPH): A double-blind, phase 3, randomised controlled trial. Lancet Respir. Med. 2019, 7, 239–248. [Google Scholar] [CrossRef]
- Ghofrani, H.A.; Simonneau, G.; D’Armini, A.M.; Fedullo, P.; Howard, L.S.; Jais, X.; Jenkins, D.P.; Jing, Z.C.; Madani, M.M.; Martin, N.; et al. Macitentan for the treatment of inoperable chronic thromboembolic pulmonary hypertension (MERIT-1): Results from the multicentre, phase 2, randomised, double-blind, placebo-controlled study. Lancet Respir. Med. 2017, 5, 785–794. [Google Scholar] [CrossRef]
- Guth, S.; D’Armini, A.M.; Delcroix, M.; Nakayama, K.; Fadel, E.; Hoole, S.P.; Jenkins, D.P.; Kiely, D.G.; Kim, N.H.; Lang, I.M.; et al. Current strategies for managing chronic thromboembolic pulmonary hypertension: Results of the worldwide prospective CTEPH Registry. ERJ Open Res. 2021, 7, 00850-2020. [Google Scholar] [CrossRef]
- Wiedenroth, C.B.; Ghofrani, H.A.; Adameit, M.S.D.; Breithecker, A.; Haas, M.; Kriechbaum, S.; Rieth, A.; Hamm, C.W.; Mayer, E.; Guth, S.; et al. Sequential treatment with riociguat and balloon pulmonary angioplasty for patients with inoperable chronic thromboembolic pulmonary hypertension. Pulm. Circ. 2018, 8, 1–7. [Google Scholar] [CrossRef]
- Jais, X.; Brenot, P.; Bouvaist, H.; Jevnikar, M.; Canuet, M.; Chabanne, C.; Chaouat, A.; Cottin, V.; De Groote, P.; Favrolt, N.; et al. Balloon pulmonary angioplasty versus riociguat for the treatment of inoperable chronic thromboembolic pulmonary hypertension (RACE): A multicentre, phase 3, open-label, randomised controlled trial and ancillary follow-up study. Lancet Respir. Med. 2022, 10, 961–971. [Google Scholar] [CrossRef] [PubMed]
- Ghofrani, H.A.; Galie, N.; Grimminger, F.; Grunig, E.; Humbert, M.; Jing, Z.C.; Keogh, A.M.; Langleben, D.; Kilama, M.O.; Fritsch, A.; et al. Riociguat for the treatment of pulmonary arterial hypertension. N. Engl. J. Med. 2013, 369, 330–340. [Google Scholar] [CrossRef] [PubMed]
- Ghofrani, H.A.; Schermuly, R.T.; Rose, F.; Wiedemann, R.; Kohstall, M.G.; Kreckel, A.; Olschewski, H.; Weissmann, N.; Enke, B.; Ghofrani, S.; et al. Sildenafil for long-term treatment of nonoperable chronic thromboembolic pulmonary hypertension. Am. J. Respir. Crit. Care Med. 2003, 167, 1139–1141. [Google Scholar] [CrossRef] [PubMed]
- Reichenberger, F.; Voswinckel, R.; Enke, B.; Rutsch, M.; El Fechtali, E.; Schmehl, T.; Olschewski, H.; Schermuly, R.; Weissmann, N.; Ghofrani, H.A.; et al. Long-term treatment with sildenafil in chronic thromboembolic pulmonary hypertension. Eur. Respir. J. 2007, 30, 922–927. [Google Scholar] [CrossRef]
- Suntharalingam, J.; Treacy, C.M.; Doughty, N.J.; Goldsmith, K.; Soon, E.; Toshner, M.R.; Sheares, K.K.; Hughes, R.; Morrell, N.W.; Pepke-Zaba, J. Long-term use of sildenafil in inoperable chronic thromboembolic pulmonary hypertension. Chest 2008, 134, 229–236. [Google Scholar] [CrossRef]
- Hoeper, M.M.; Kramm, T.; Wilkens, H.; Schulze, C.; Schafers, H.J.; Welte, T.; Mayer, E. Bosentan therapy for inoperable chronic thromboembolic pulmonary hypertension. Chest 2005, 128, 2363–2367. [Google Scholar] [CrossRef]
- Bonderman, D.; Nowotny, R.; Skoro-Sajer, N.; Jakowitsch, J.; Adlbrecht, C.; Klepetko, W.; Lang, I.M. Bosentan therapy for inoperable chronic thromboembolic pulmonary hypertension. Chest 2005, 128, 2599–2603. [Google Scholar] [CrossRef] [PubMed]
- Jais, X.; D’Armini, A.M.; Jansa, P.; Torbicki, A.; Delcroix, M.; Ghofrani, H.A.; Hoeper, M.M.; Lang, I.M.; Mayer, E.; Pepke-Zaba, J.; et al. Bosentan for treatment of inoperable chronic thromboembolic pulmonary hypertension: BENEFiT (Bosentan Effects in iNopErable Forms of chronIc Thromboembolic pulmonary hypertension), a randomized, placebo-controlled trial. J. Am. Coll. Cardiol. 2008, 52, 2127–2134. [Google Scholar] [CrossRef] [PubMed]
- Skoro-Sajer, N.; Bonderman, D.; Wiesbauer, F.; Harja, E.; Jakowitsch, J.; Klepetko, W.; Kneussl, M.P.; Lang, I.M. Treprostinil for severe inoperable chronic thromboembolic pulmonary hypertension. J. Thromb. Haemost. 2007, 5, 483–489. [Google Scholar] [CrossRef]
- Scelsi, L.; Ghio, S.; Campana, C.; D’Armini, A.M.; Serio, A.; Klersy, C.; Piovella, F.; Vigano, M.; Tavazzi, L. Epoprostenol in chronic thromboembolic pulmonary hypertension with distal lesions. Ital. Heart J. 2004, 5, 618–623. [Google Scholar] [PubMed]
- Cabrol, S.; Souza, R.; Jais, X.; Fadel, E.; Ali, R.H.; Humbert, M.; Dartevelle, P.; Simonneau, G.; Sitbon, O. Intravenous epoprostenol in inoperable chronic thromboembolic pulmonary hypertension. J. Heart Lung Transplant. 2007, 26, 357–362. [Google Scholar] [CrossRef]
- Wiedenroth, C.B.; Liebetrau, C.; Breithecker, A.; Guth, S.; Lautze, H.J.; Ortmann, E.; Arlt, M.; Krombach, G.A.; Bandorski, D.; Hamm, C.W.; et al. Combined pulmonary endarterectomy and balloon pulmonary angioplasty in patients with chronic thromboembolic pulmonary hypertension. J. Heart Lung Transplant. 2016, 35, 591–596. [Google Scholar] [CrossRef]
- Kawakami, T.; Ogawa, A.; Miyaji, K.; Mizoguchi, H.; Shimokawahara, H.; Naito, T.; Oka, T.; Yunoki, K.; Munemasa, M.; Matsubara, H. Novel Angiographic Classification of Each Vascular Lesion in Chronic Thromboembolic Pulmonary Hypertension Based on Selective Angiogram and Results of Balloon Pulmonary Angioplasty. Circ. Cardiovasc. Interv. 2016, 9, e003318. [Google Scholar] [CrossRef]
- Matsubara, H.; Ogawa, A. A long way to go after the initial experience with balloon pulmonary angioplasty. Eur. Respir. J. 2017, 49, 1700718. [Google Scholar] [CrossRef]
- Stępniewski, J.; Magoń, W.; Waligóra, M.; Jonas, K.; Bochenek, M.; Przybylski, R.; Podolec, P.; Kopeć, G. Hemodynamic effects of balloon pulmonary angioplasty for the treatment of total and subtotal pulmonary artery occlusions in inoperable chronic thromboembolic pulmonary hypertension. Int. J. Cardiol. 2022, 361, 71–76. [Google Scholar] [CrossRef]
- Araszkiewicz, A.; Jankiewicz, S.; Łanocha, M.; Janus, M.; Mularek-Kubzdela, T.; Lesiak, M. Optical coherence tomography improves the results of balloon pulmonary angioplasty in inoperable chronic thrombo-embolic pulmonary hypertension. Postępy Kardiol. Interwencyjnej 2017, 13, 180–181. [Google Scholar] [CrossRef]
- Darocha, S.; Pietura, R.; Banaszkiewicz, M.; Pietrasik, A.; Kownacki, Ł.; Torbicki, A.; Kurzyna, M. Balloon Pulmonary Angioplasty with Stent Implantation as a Treatment of Proximal Chronic Thromboembolic Pulmonary Hypertension. Diagnostics 2020, 10, 363. [Google Scholar] [CrossRef] [PubMed]
- Jansa, P.; Heller, S.; Svoboda, M.; Pad’our, M.; Ambrož, D.; Dytrych, V.; Širanec, M.; Kovárník, T.; Felšőci, M.; Hutyra, M.; et al. Balloon Pulmonary Angioplasty in Patients with Chronic Thromboembolic Pulmonary Hypertension: Impact on Clinical and Hemodynamic Parameters, Quality of Life and Risk Profile. J. Clin. Med. 2020, 9, 3608. [Google Scholar] [CrossRef]
- Godinas, L.; Bonne, L.; Budts, W.; Belge, C.; Leys, M.; Delcroix, M.; Maleux, G. Balloon Pulmonary Angioplasty for the Treatment of Nonoperable Chronic Thromboembolic Pulmonary Hypertension: Single-Center Experience with Low Initial Complication Rate. J. Vasc. Interv. Radiol. 2019, 30, 1265–1272. [Google Scholar] [CrossRef]
- Poch, D.S.; Mahmud, E.; Patel, M.; Papamatheakis, D.; Fernandes, T.; Kerr, K.; Yang, J.; Pretorius, V.; Madani, M.M.; Kim, N.H. Patient selection for balloon pulmonary angioplasty: Six-year results from a high volume PTE surgical center. Pulm. Circ. 2022, 12, e12148. [Google Scholar] [CrossRef] [PubMed]
- Chausheva, S.; Naito, A.; Ogawa, A.; Seidl, V.; Winter, M.P.; Sharma, S.; Sadushi-Kolici, R.; Campean, I.A.; Taghavi, S.; Moser, B.; et al. Chronic thromboembolic pulmonary hypertension in Austria and Japan. J. Thorac. Cardiovasc. Surg. 2019, 158, 604–614.e602. [Google Scholar] [CrossRef]
- Ogo, T.; Fukuda, T.; Tsuji, A.; Fukui, S.; Ueda, J.; Sanda, Y.; Morita, Y.; Asano, R.; Konagai, N.; Yasuda, S. Efficacy and safety of balloon pulmonary angioplasty for chronic thromboembolic pulmonary hypertension guided by cone-beam computed tomography and electrocardiogram-gated area detector computed tomography. Eur. J. Radiol. 2017, 89, 270–276. [Google Scholar] [CrossRef] [PubMed]
- Velázquez, M.; Albarrán, A.; Hernández, I.; López-Gude, M.J.; Sarnago, F.; Martín, R.; Arribas, F.; Escribano, P. Balloon Pulmonary Angioplasty for Inoperable Patients With Chronic Thromboembolic Pulmonary Hypertension. Observational Study in a Referral Unit. Rev. Esp. Cardiol. (Engl. Ed.) 2019, 72, 224–232. [Google Scholar] [CrossRef]
- van Thor, M.C.J.; Lely, R.J.; Braams, N.J.; Ten Klooster, L.; Beijk, M.A.M.; Heijmen, R.H.; van den Heuvel, D.A.F.; Rensing, B.; Snijder, R.J.; Vonk Noordegraaf, A.; et al. Safety and efficacy of balloon pulmonary angioplasty in chronic thromboembolic pulmonary hypertension in the Netherlands. Neth. Heart J. 2020, 28, 81–88. [Google Scholar] [CrossRef]
- Hoole, S.P.; Coghlan, J.G.; Cannon, J.E.; Taboada, D.; Toshner, M.; Sheares, K.; Fletcher, A.J.; Martinez, G.; Ruggiero, A.; Screaton, N.; et al. Balloon pulmonary angioplasty for inoperable chronic thromboembolic pulmonary hypertension: The UK experience. Open Heart 2020, 7, e001144. [Google Scholar] [CrossRef]
- Gerges, C.; Friewald, R.; Gerges, M.; Shafran, I.; Sadushi-Kolici, R.; Skoro-Sajer, N.; Moser, B.; Taghavi, S.; Klepetko, W.; Lang, I.M. Efficacy and safety of percutaneous pulmonary artery subtotal occlusion and CTO intervention in chronic thromboembolic pulmonary hypertension. Eur. Heart J. 2021, 42, ehab724.1955. [Google Scholar] [CrossRef]
- Karyofyllis, P.; Demerouti, E.; Giannakoulas, G.; Anthi, A.; Arvanitaki, A.; Athanassopoulos, G.; Feloukidis, C.; Iakovou, I.; Kostelidou, T.; Mitrouska, I.; et al. Balloon Pulmonary Angioplasty in Patients with Chronic Thromboembolic Pulmonary Hypertension in Greece: Data from the Hellenic Pulmonary Hypertension Registry. J. Clin. Med. 2022, 11, 2211. [Google Scholar] [CrossRef] [PubMed]
- Wiedenroth, C.B.; Deissner, H.; Adameit, M.S.D.; Kriechbaum, S.D.; Ghofrani, H.A.; Breithecker, A.; Haas, M.; Roller, F.; Rolf, A.; Hamm, C.W.; et al. Complications of balloon pulmonary angioplasty for inoperable chronic thromboembolic pulmonary hypertension: Impact on the outcome. J. Heart Lung Transplant. 2022, 41, 1086–1094. [Google Scholar] [CrossRef] [PubMed]
- Taniguchi, Y.; Miyagawa, K.; Nakayama, K.; Kinutani, H.; Shinke, T.; Okada, K.; Okita, Y.; Hirata, K.I.; Emoto, N. Balloon pulmonary angioplasty: An additional treatment option to improve the prognosis of patients with chronic thromboembolic pulmonary hypertension. EuroIntervention 2014, 10, 518–525. [Google Scholar] [CrossRef]
- Ravnestad, H.; Andersen, R.; Birkeland, S.; Svalebjørg, M.; Lingaas, P.S.; Gude, E.; Gullestad, L.L.; Broch, K.; Andreassen, A.K. Pulmonary Endarterectomy (PEA) vs. Balloon Pulmonary Angioplasty (BPA) in Chronic Thrombo-Embolic Pulmonary Hypertension (CTEPH): Comparison of Improvements in Hemodynamics and Functional Capacity. J. Heart Lung Transplant. 2021, 40, S105. [Google Scholar] [CrossRef]
- Wang, W.; Wen, L.; Song, Z.; Shi, W.; Wang, K.; Huang, W. Balloon pulmonary angioplasty vs. riociguat in patients with inoperable chronic thromboembolic pulmonary hypertension: A systematic review and meta-analysis. Clin. Cardiol. 2019, 42, 741–752. [Google Scholar] [CrossRef]
- Kanar, B.G.; Mutlu, B.; Atas, H.; Akaslan, D.; Yıldızeli, B. Improvements of right ventricular function and hemodynamics after balloon pulmonary angioplasty in patients with chronic thromboembolic pulmonary hypertension. Echocardiography 2019, 36, 2050–2056. [Google Scholar] [CrossRef]
- Darocha, S.; Pietura, R.; Pietrasik, A.; Norwa, J.; Dobosiewicz, A.; Piłka, M.; Florczyk, M.; Biederman, A.; Torbicki, A.; Kurzyna, M. Improvement in Quality of Life and Hemodynamics in Chronic Thromboembolic Pulmonary Hypertension Treated With Balloon Pulmonary Angioplasty. Circ. J. 2017, 81, 552–557. [Google Scholar] [CrossRef]
- Kamimura, Y.; Okumura, N.; Adachi, S.; Shimokata, S.; Tajima, F.; Nakano, Y.; Hirashiki, A.; Murohara, T.; Kondo, T. Usefulness of scoring right ventricular function for assessment of prognostic factors in patients with chronic thromboembolic pulmonary hypertension. Heart Vessel. 2018, 33, 1220–1228. [Google Scholar] [CrossRef]
- Roller, F.C.; Schüssler, A.; Hasse, A.; Kriechbaum, S.; Richter, M.; Guth, S.; Tello, K.; Breithecker, A.; Liebetrau, C.; Hamm, C.W.; et al. Effects of BPA on right ventricular mechanical dysfunction in patients with inoperable CTEPH—A cardiac magnetic resonance study. Eur. J. Radiol. 2022, 147, 110111. [Google Scholar] [CrossRef]
- Piłka, M.; Darocha, S.; Banaszkiewicz, M.; Florczyk, M.; Wieteska, M.; Dobosiewicz, A.; Mańczak, M.; Mańczak, R.; Pietrasik, A.; Pietura, R.; et al. The evolution of electrocardiographic signs of right ventricular overload after balloon pulmonary angioplasty in chronic thromboembolic pulmonary hypertension. Pol. Arch. Intern. Med. 2019, 129, 451–459. [Google Scholar] [CrossRef]
- Andersen, A.; Hansen, J.V.; Dragsbaek, S.J.; Maeng, M.; Andersen, M.J.; Andersen, G.; Mellemjkaer, S.; Ilkjær, L.B.; Nielsen-Kudsk, J.E. Balloon pulmonary angioplasty for patients with chronic thromboembolic pulmonary hypertension previously operated by pulmonary endarterectomy. Pulm. Circ. 2022, 12, e12115. [Google Scholar] [CrossRef]
- Wiedenroth, C.B.; Olsson, K.M.; Guth, S.; Breithecker, A.; Haas, M.; Kamp, J.C.; Fuge, J.; Hinrichs, J.B.; Roller, F.; Hamm, C.W.; et al. Balloon pulmonary angioplasty for inoperable patients with chronic thromboembolic disease. Pulm. Circ. 2018, 8, 1–6. [Google Scholar] [CrossRef] [PubMed]
- Tanabe, N.; Kawakami, T.; Satoh, T.; Matsubara, H.; Nakanishi, N.; Ogino, H.; Tamura, Y.; Tsujino, I.; Ogawa, A.; Sakao, S.; et al. Balloon pulmonary angioplasty for chronic thromboembolic pulmonary hypertension: A systematic review. Respir. Investig. 2018, 56, 332–341. [Google Scholar] [CrossRef] [PubMed]
- Kim, N.H.; Delcroix, M.; Jais, X.; Madani, M.M.; Matsubara, H.; Mayer, E.; Ogo, T.; Tapson, V.F.; Ghofrani, H.A.; Jenkins, D.P. Chronic thromboembolic pulmonary hypertension. Eur. Respir. J. 2019, 53, 1801915. [Google Scholar] [CrossRef] [PubMed]
- Ejiri, K.; Ogawa, A.; Fujii, S.; Ito, H.; Matsubara, H. Vascular Injury Is a Major Cause of Lung Injury After Balloon Pulmonary Angioplasty in Patients With Chronic Thromboembolic Pulmonary Hypertension. Circ. Cardiovasc. Interv. 2018, 11, e005884. [Google Scholar] [CrossRef] [PubMed]
- Inami, T.; Kataoka, M.; Shimura, N.; Ishiguro, H.; Yanagisawa, R.; Taguchi, H.; Fukuda, K.; Yoshino, H.; Satoh, T. Pulmonary edema predictive scoring index (PEPSI), a new index to predict risk of reperfusion pulmonary edema and improvement of hemodynamics in percutaneous transluminal pulmonary angioplasty. JACC Cardiovasc. Interv. 2013, 6, 725–736. [Google Scholar] [CrossRef] [PubMed]
- Ogawa, A.; Matsubara, H. Balloon Pulmonary Angioplasty: A Treatment Option for Inoperable Patients with Chronic Thromboembolic Pulmonary Hypertension. Front. Cardiovasc. Med. 2015, 2, 4. [Google Scholar] [CrossRef]
- Banaszkiewicz, M.; Pietrasik, A.; Florczyk, M.; Kedzierski, P.; Pilka, M.; Manczak, R.; Kochman, J.; Opolski, G.; Torbicki, A.; Kurzyna, M.; et al. Soluble ST2 as a Biomarker for Early Complications in Patients with Chronic Thromboembolic Pulmonary Hypertension Treated with Balloon Pulmonary Angioplasty. Diagnostics 2021, 11, 133. [Google Scholar] [CrossRef]
- Nagai, T.; Ikeda, N.; Iijima, R.; Hara, H.; Nakamura, M. Impact and safety of balloon pulmonary angioplasty for elderly patients. Pulm. Circ. 2022, 12, e12009. [Google Scholar] [CrossRef]
- Roik, M.; Wretowski, D.; Labyk, A.; Irzyk, K.; Lichodziejewska, B.; Dzikowska-Diduch, O.; Piotrowska-Kownacka, D.; Pruszczyk, P. Refined balloon pulmonary angioplasty-A therapeutic option in very elderly patients with chronic thromboembolic pulmonary hypertension. J. Interv. Cardiol. 2017, 30, 249–255. [Google Scholar] [CrossRef] [PubMed]
- Darocha, S.; Banaszkiewicz, M.; Pietrasik, A.; Siennicka, A.; Piorunek, M.; Grochowska, E.; Piłka, M.; Dobosiewicz, A.; Florczyk, M.; Pietura, R.; et al. Changes in Estimated Glomerular Filtration after Balloon Pulmonary Angioplasty for Chronic Thromboembolic Pulmonary Hypertension. Cardiorenal Med. 2020, 10, 22–31. [Google Scholar] [CrossRef] [PubMed]
- Kriechbaum, S.D.; Wiedenroth, C.B.; Hesse, M.L.; Ajnwojner, R.; Keller, T.; Sebastian Wolter, J.; Haas, M.; Roller, F.C.; Breithecker, A.; Rieth, A.J.; et al. Development of renal function during staged balloon pulmonary angioplasty for inoperable chronic thromboembolic pulmonary hypertension. Scand. J. Clin. Lab. Investig. 2019, 79, 268–275. [Google Scholar] [CrossRef]
- Gosciniak, P.; Larysz, M.; Sagan, L.; Larysz, B.; Syrenicz, A.; Kurzyna, M. Effective Balloon Pulmonary Angioplasty in a Patient with Chronic Thromboembolic Complications after Ventriculoatrial Shunt for Hydrocephalus in von Hippel-Lindau Disease. Medicina 2022, 58, 185. [Google Scholar] [CrossRef] [PubMed]
- Darocha, S.; Kurzyna, P.; Banaszkiewicz-Cyganik, M.; Kędzierski, P.; Florczyk, M.; Pietrasik, A.; Zieliński, D.; Biederman, A.; Torbicki, A.; Kurzyna, M. An unusual case of CTEPH treated by BPA in a patient with a single lung after cancer surgery. Pulm. Circ. 2022, 12, e12064. [Google Scholar] [CrossRef]
- Kanezawa, M.; Naito, T.; Shimokawahara, H.; Ogawa, A.; Matsubara, H. Rescue balloon pulmonary angioplasty for refractory heart failure in chronic thromboembolic pulmonary hypertension complicated with takotsubo cardiomyopathy. J. Cardiol. Cases 2023, 28, 79–82. [Google Scholar] [CrossRef] [PubMed]
- Tabuchi, I.; Ogawa, A.; Shigetoshi, M.; Shimokawahara, H.; Ito, H.; Matsubara, H. Low incidence of restenosis after successful balloon pulmonary angioplasty in patients with chronic thromboembolic pulmonary hypertension. Cardiovasc. Interv. Ther. 2023, 38, 231–240. [Google Scholar] [CrossRef]
- Inami, T.; Kataoka, M.; Yanagisawa, R.; Ishiguro, H.; Shimura, N.; Fukuda, K.; Yoshino, H.; Satoh, T. Long-Term Outcomes After Percutaneous Transluminal Pulmonary Angioplasty for Chronic Thromboembolic Pulmonary Hypertension. Circulation 2016, 134, 2030–2032. [Google Scholar] [CrossRef]
- Aoki, T.; Sugimura, K.; Tatebe, S.; Miura, M.; Yamamoto, S.; Yaoita, N.; Suzuki, H.; Sato, H.; Kozu, K.; Konno, R.; et al. Comprehensive evaluation of the effectiveness and safety of balloon pulmonary angioplasty for inoperable chronic thrombo-embolic pulmonary hypertension: Long-term effects and procedure-related complications. Eur. Heart J. 2017, 38, 3152–3159. [Google Scholar] [CrossRef]





| Agent | First Author, Year | Study Type | Population [n] | Outcomes |
|---|---|---|---|---|
| Riociguat | Ghofrani [37] 2013 | RCT riociguat vs. placebo | inoperable CTEPH or persistent CTEPH after PEA [174 riociguat, 88 placebo] | 6mWT distance increased by 46 m PVR reduced by 246 dyn mPAP decreased by 5 mmHg NT-proBNP level decreased by 444 pg/mL |
| Jaïs [36] 2022 | RCT riociguat vs. BPA | inoperable CTEPH and PVR more than 320 dyn [53 riociguat, 52 BPA] | PVR reduction and WHO FC improvement was more pronounced in BPA group CI increased more in riociguat group | |
| Sildenafil | Ghofrani [38] 2003 | open-label pilot trial without control group | inoperable CTEPH and deterioration over 3 months [12 sildenafil] | PVR reduced by 574 dyn 6mWT distance increased by 54 m mPAP decreased by 7.7 mmHg |
| Reichenberger [39] 2007 | open-label trial without control group | inoperable CTEPH [104 sildenafil] | 6mWT distance increased by 51 m PVR reduced by 104 dyn | |
| Suntharalingam [40] 2008 | RCT sildenafil vs. placebo | inoperable CTEPH or persistent CTEPH after PEA [9 sildenafil, 10 placebo] | WHO FC improved in 44% cases more than one PVR decreased by 197 dyn | |
| Bosentan | Hoeper [41] 2005 | open-label pilot trial without control group | inoperable CTEPH or persistent CTEPH after PEA [19 bosentan] | PVR reduced by 313 dyn 6mWT distance increased by 73 m mPAP decreased by 6 mmHg NT-proBNP level decreased by 716 pg/mL |
| Bonderman [42] 2005 | case series | inoperable CTEPH [16 bosentan] | WHO FC improved by one in 69% cases 6mWT distance increased by 92 m NT-proBNP level decreased by 1610 pg/mL | |
| Jaïs [43] 2008 | RCT bosentan vs. placebo | inoperable CTEPH or persistent CTEPH after PEA [77 bosentan, 80 placebo] | PVR decreased by 193 dyn no significant differences in WHO FC | |
| Macitentan | Ghofrani [33] 2017 | RCT macitentan vs. placebo | inoperable CTEPH [40 macitentan, 40 placebo] | PVR decreased by 16% NT-proBNP level decreased by 1610 pg/mL 6mWT distance increased by 34 m |
| Treprostinil (s.c.) | Skoro-Sajer [44] 2007 | prospective uncontrolled observational cohort study | inoperable CTEPH or persistent CTEPH after PEA [25 treprostinil] | 6mWT distance increased by 105 m WHO FC improved in 52% cases PVR decreased by 116 dyn |
| Sadushi-Kolici [32] 2019 | RCT high-dose vs. low-dose treprostinil | inoperable CTEPH or persistent CTEPH after PEA [45 high-dose, 46 low-dose] | 6mWT distance increased by 53 m WHO FC improved in 51% cases NT-proBNP level decreased by 157 pg/mL PVR decreased by 214 dyn | |
| Epoprostenol (i.v.) | Scelsi [45] 2004 | retrospective study | inoperable CTEPH [11 epoprostenol] | WHO FC improved in 55% cases 6mWT distance increased by 99 m clinical signs of right heart failure resolute in 45% cases |
| Cabrol [46] 2007 | retrospective study | inoperable CTEPH or persistent CTEPH after PEA [27 epoprostenol] | WHO FC improved in 39% cases 6mWT distance increased by 66 m mPAP decreased by 4 mmHg |
| Initial Stage—“Air Strike” | Optimisation Stage |
|---|---|
| Use of 2.5 mm dimension balloon catheter | Balloon catheter diameter adjustment 1:1 to vessels using IVUS |
| Only one inflation for one lesion, without optimisation | Multiple inflations from distal to proximal segment of the vessels, optimising hemodynamic effects |
| As a priority: BPA in the vessels of the lower lobe and maximum available lesions in one lung | Staged treatment of all lesions; in any location in both lungs |
| No treatment for type C (subtotal occlusion) and D (total occlusion) lesions | Attempt of treatment type C (subtotal occlusion) and D lesions (total occlusion) |
| As standard: 2 BPA sessions, with a treatment target of <40 mmHg mPAP followed by an optimisation stage | About four to five sessions until treatment goals are achieved |
| First Author, Year | Patients [n] | Mean PAP [mmHg] | PVR [Wood Units] | ||||
|---|---|---|---|---|---|---|---|
| Pre-BPA | Post-BPA | p-Value | Pre-BPA | Post-BPA | p-Value | ||
| Ogawa, 2017 [10] | 308 | 43.2 ± 11.0 | 24.3 ± 6.4 | <0.001 | 10.67 ± 5.63 | 4.49 ± 2.78 | <0.001 |
| Ogo, 2017 [57] | 80 | 42 ± 11 | 25 ± 6 | <0.01 | 11 ± 5.3 | 5.1 ± 2.3 | <0.01 |
| Olsson, 2017 [11] | 56 | 40 ± 12 | 33 ± 11 | <0.001 | 7.39 ± 3.575 | 5.5 ± 3.49 | <0.001 |
| Brenot, 2019 [12] | 154 | 43.9 ± 9.5 | 31.6 ± 9.0 | <0.001 | 7.55 ± 2.82 | 4.11 ± 2.21 | <0.001 |
| Velázquez, 2019 [58] | 43 | 49.5 ± 12 | 37.8 ± 9 | <0.001 | 10.1 ± 4.9 | 5.6 ± 2.2 | <0.001 |
| van Thor, 2020 [59] | 38 | 39.5 ± 11.6 | 30.6 ± 8.2 | <0.001 | 6.1 ± 4.7 | 3.3 ± 2.0 | <0.001 |
| Hoole, 2020 [60] | 30 | 44.7 ± 11.0 | 34.4 ± 8.3 | <0.001 | 8.29 ± 3.5 | 5.45 ± 2.45 | <0.001 |
| Jansa, 2020 [53] | 25 | 39.7 ± 11.1 | −7.4 ± 6.9 (absolute diff.) 1 | <0.001 | 6.6 ± 3.0 | −2.2 ± 1.6 (absolute diff.) 1 | <0.001 |
| Gerges, 2021 [61] | 45 | 38.8 ± 10.7 | 25.5 ± 5.2 | <0.001 | 6.2 ± 2.9 | 3.5 ± 1.7 | <0.001 |
| Darocha, 2021 [23] | 70 | 48.6 ± 10 | 31.3 ± 8.6 | <0.001 | 8.675 ± 3.7 | 4.1625 ± 2.025 | <0.001 |
| Karyofyllis, 2022 [62] | 15 | 47.8 ± 13.5 | 26.4 ± 7.6 | <0.001 | 10.0 ± 5.0 | 3.7 ± 2.8 | <0.001 |
| Wiedenroth, 2022 [63] | 142 | 39.7 ± 11.2 | 28 (23–35) (median (IQR)) | <0.001 | 6.6 (4.1–8.7) (median (IQR)) | 3.6 (2.6–5) (median (IQR)) | <0.001 |
| Darocha, 2022 [13] | 156 | 45.1 ± 10.7 | 30.1 ± 10.2 | <0.001 | 8.025 ± 4.26 | 4.05 ± 2.31 | <0.001 |
| First Author, Year | Patients [n] | 6MWD [m] | NT-proBNP [pg/mL] | NYHA-FC(I-II) | |||||
|---|---|---|---|---|---|---|---|---|---|
| Pre-BPA | Post-BPA | p-Value | Pre-BPA | Post-BPA | p-Value | Pre-BPA | Post-BPA | ||
| Ogawa, 2017 [10] | 308 | 318 ± 122 | 401 ± 104 | <0.001 | 239 ± 334 | 43 ± 76 | <0.001 | 3 (median) | 2 (median) |
| Ogo, 2017 [57] | 80 | 372 ± 124 | 470 ± 99 | <0.01 | 227 ± 282 | 48 ± 57 | <0.01 | NR | NR |
| Olsson, 2017 [11] | 56 | 358 ± 108 | 391 ± 108 | 0.001 | 504 (233–1676) | 242 (109–555) | 0.002 | 16% | 88% |
| Brenot, 2019 [12] | 154 | 396 ± 120 | 441 ± 104 | <0.001 | NR | NR | - | NR | NR |
| Velázquez, 2019 [58] | 43 | 394 ± 112 | 468 ± 103 | 0.001 | 1233 ± 1327 | 255 ± 318 | <0.001 | 12% | 88% |
| van Thor, 2020 [59] | 55 | 374 ± 124 | 422 ± 125 | 0.007 | 195 (96–1812) | 154 (71–387) | 0.075 | 63% | 90% |
| Hoole, 2020 [60] | 30 | 366 ± 107 | 440 ± 94 | <0.001 | 442 (168–1607) | 202 (105–447) | <0.001 | 20% | 87% |
| Jansa, 2020 [53] | 25 | 369 ± 116 | 54 ± 48 (absolute diff.) 1 | <0.001 | 1107 ± 1458 | −535 (949.4) (absolute diff.) 1 | 0.011 | NR | NR |
| Gerges, 2021 [61] | 45 | NR | NR | <0.001 | 579 (182–1385) | 198 (70–429) | <0.001 | 16% | 91% |
| Darocha, 2021 [23] | 70 | 365 ± 142 | 433 ± 120 | <0.001 | 1307 (510–3294) | 206 (83–531) | <0.001 | 20% | 77% |
| Karyofyllis, 2022 [62] | 15 | NR | NR | - | 925 ± 1238 | 231 ± 327 | 0.012 | 20% | 80% |
| Wiedenroth, 2022 [63] | 142 | 396 ± 109 | 440 ± 111 | 0.002 | 573 (132–1664) | 109 (64–317) | <0.001 | 2.8% | 91% |
| Darocha, 2022 [13] | 156 | 341 ± 129 | 423 ± 136 | <0.001 | 2275 (385–2675) | 628 (85–533) | <0.001 | 2.94 ± 0.50 | 1.91 ± 0.64 |
Disclaimer/Publisher’s Note: The statements, opinions and data contained in all publications are solely those of the individual author(s) and contributor(s) and not of MDPI and/or the editor(s). MDPI and/or the editor(s) disclaim responsibility for any injury to people or property resulting from any ideas, methods, instructions or products referred to in the content. |
© 2023 by the authors. Licensee MDPI, Basel, Switzerland. This article is an open access article distributed under the terms and conditions of the Creative Commons Attribution (CC BY) license (https://creativecommons.org/licenses/by/4.0/).
Share and Cite
Banaszkiewicz, M.; Kurzyna, P.; Kubikowska, N.; Mucha, M.; Rudnik, A.; Gąsecka, A.; Pietrasik, A.; Grabowski, M.; Jaguszewski, M.J.; Kasprzyk, P.; et al. Emerging Role of Balloon Pulmonary Angioplasty in Chronic Thromboembolic Pulmonary Disease—Insights from the 2022 ESC Guidelines. J. Clin. Med. 2023, 12, 5336. https://doi.org/10.3390/jcm12165336
Banaszkiewicz M, Kurzyna P, Kubikowska N, Mucha M, Rudnik A, Gąsecka A, Pietrasik A, Grabowski M, Jaguszewski MJ, Kasprzyk P, et al. Emerging Role of Balloon Pulmonary Angioplasty in Chronic Thromboembolic Pulmonary Disease—Insights from the 2022 ESC Guidelines. Journal of Clinical Medicine. 2023; 12(16):5336. https://doi.org/10.3390/jcm12165336
Chicago/Turabian StyleBanaszkiewicz, Marta, Paweł Kurzyna, Nina Kubikowska, Magda Mucha, Aleksander Rudnik, Aleksandra Gąsecka, Arkadiusz Pietrasik, Marcin Grabowski, Miłosz J. Jaguszewski, Piotr Kasprzyk, and et al. 2023. "Emerging Role of Balloon Pulmonary Angioplasty in Chronic Thromboembolic Pulmonary Disease—Insights from the 2022 ESC Guidelines" Journal of Clinical Medicine 12, no. 16: 5336. https://doi.org/10.3390/jcm12165336
APA StyleBanaszkiewicz, M., Kurzyna, P., Kubikowska, N., Mucha, M., Rudnik, A., Gąsecka, A., Pietrasik, A., Grabowski, M., Jaguszewski, M. J., Kasprzyk, P., Kędzierski, P., Ciećwierz, D., Żuk, G., Szwed, P., Piłka, M., Florczyk, M., Kurzyna, M., & Darocha, S. (2023). Emerging Role of Balloon Pulmonary Angioplasty in Chronic Thromboembolic Pulmonary Disease—Insights from the 2022 ESC Guidelines. Journal of Clinical Medicine, 12(16), 5336. https://doi.org/10.3390/jcm12165336

