Overview of Radiological Studies on Visualization of Gubernaculum Tracts of Permanent Teeth
Abstract
:1. Introduction
2. Visualization of GT in Permanent Tooth on CT
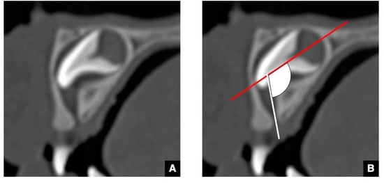
2.1. CT Images of the GT in the Successional Tooth
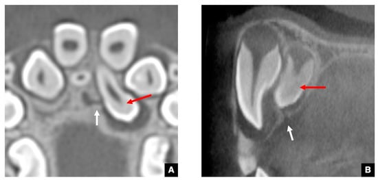
2.2. CT Images of GT in Accessional Tooth
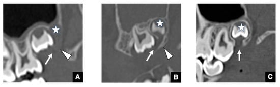
2.3. CT Images of GT in Maxillary Anterior Teeth with Delayed Eruption and Mesiodens
3. Relationship between GT and Odontomas
4. Significance of GTs for Differential Diagnosis between Odontogenic and Non-Odontogenic Masses
5. Recent Radiological Investigations and Future Studies on GTs
6. Conclusions
Author Contributions
Funding
Institutional Review Board Statement
Informed Consent Statement
Data Availability Statement
Conflicts of Interest
References
- Cahill, D.R.; Marks, S.C., Jr. Tooth eruption: Evidence for the central role of the dental follicle. J. Oral Pathol. 1980, 9, 189–200. [Google Scholar] [CrossRef]
- Hodson, J.J. The gubernaculums dentis. Dent. Pract. Dent. Rec. 1971, 21, 423–428. [Google Scholar]
- Carollo, D.A.; Hoffman, R.L.; Brodie, A.G. Histology and function of the dental gubernacular cord. Angle Orthod. 1971, 41, 300–307. [Google Scholar]
- Ferreira, D.C.A.; Fumes, A.C.; Consolaro, A.; Nelson-Filho, P.; de Queiroz, A.M.; De Rossi, A. Gubernacular cord and canal—Do these anatomical structures play a role in dental eruption? RSBO 2013, 10, 167–171. [Google Scholar]
- Gaêta-Araujo, H.; da Silva, M.B.; Tirapelli, C.; Freitas, D.Q.; de Oliveria-Santos, C. Detection of the gubernacular canal and its attachment to the dental follicle may indicate an abnormal eruption status. Angle Orthod. 2019, 89, 781–787. [Google Scholar] [CrossRef] [Green Version]
- Koc, N.; Boyacioglu Dogru, H.; Cagirankaya, L.B.; Dural, S.; van der Stelt, P.F. CBCT assessment of gubernacular canals in relation to eruption disturbance and pathologic condition associated with impacted/unerupted teeth. Oral Surg. Oral Med. Oral Pathol. Oral Radiol. 2019, 127, 175–184. [Google Scholar] [CrossRef]
- Junqueira, R.B.; Verner, F.S.; Campos, C.N.; Devito, K.L.; do Carmo, A.M. Detection of vertical root fractures in the presence of intracanal metallic post: A comparison between periapical radiography and cone-beam computed tomography. J. Endod. 2013, 39, 1620–1624. [Google Scholar] [CrossRef]
- Brisco, J.; Fuller, K.; Lee, N.; Andrew, D. Cone beam computed tomography for imaging orbital trauma—image quality and radiation dose compared with conventional multislice computed tomography. Br. J. Oral Maxillofac. Surg. 2014, 52, 76–80. [Google Scholar] [CrossRef] [PubMed]
- Eskandarloo, A.; Yousefi, F. CBCT findings of periapical cemento-osseous dysplasia: A case report. Imaging Sci. Dent. 2013, 43, 215–218. [Google Scholar] [CrossRef] [PubMed] [Green Version]
- Oda, M.; Kito, S.; Tanaka, T.; Nishida, I.; Awano, S.; Fujita, Y.; Saeki, K.; Matsumoto-Takeda, S.; Wakasugi-Sato, N.; Habu, M.; et al. Prevalence and imaging characteristics of detectable tonsilloliths on 482 pairs of consecutive CT and panoramic radiographs. BMC Oral Health 2013, 13, 54. [Google Scholar] [CrossRef] [PubMed] [Green Version]
- Koenig, L.J. Gubernaculum dentis. In Diagnostic Imaging: Oral and Maxillofacial, 2nd ed.; Koenig, L.J., Ed.; Elsevier: Philadelphia, PA, USA, 2017; pp. 276–277. [Google Scholar]
- Nishida, I.; Oda, M.; Tanaka, T.; Kito, S.; Seta, Y.; Yada, N.; Fujita, Y.; Saeki, K.; Morikawa, K.; Matsumoto-Takeda, S.; et al. Detection and imaging characteristics of the gubernacular tract in children on cone beam and multi-detector CT. Oral Surg. Oral Med. Oral Pathol. Oral Radiol. 2015, 120, e109–e117. [Google Scholar] [CrossRef]
- Oda, M.; Nishida, I.; Miyamoto, I.; Habu, M.; Yoshiga, D.; Kodama, M.; Osawa, K.; Tanaka, T.; Kito, S.; Matsumoto-Takeda, S.; et al. Characteristics of the gubernaculum tracts in mesiodens and maxillary anterior teeth with delayed eruption on MDCT and CBCT. Oral Surg. Oral Med. Oral Pathol. Oral Radiol. 2016, 122, 511–516. [Google Scholar] [CrossRef] [PubMed]
- Oda, M.; Miyamoto, I.; Nishida, I.; Tanaka, T.; Kito, S.; Seta, Y.; Yada, N.; Saeki, K.; Matsumoto-Takeda, S.; Wakasugi-Sato, N.; et al. A spatial association between odontomas and the gubernaculum tracts. Oral Surg. Oral Med. Oral Pathol. Oral Radiol. 2016, 121, 91–95. [Google Scholar] [CrossRef] [PubMed]
- Oda, M.; Nishida, I.; Miyamoto, I.; Saeki, K.; Tanaka, T.; Kito, S.; Yamamoto, N.; Yada, N.; Yoshiga, D.; Matsumoto-Takeda, S.; et al. Significance and usefulness of imaging characteristics of gubernaculum tracts for the diagnosis of odontogenic tumors or cysts. PLoS ONE 2018, 13, e0199285. [Google Scholar] [CrossRef] [Green Version]
- Oda, M.; Nishida, I.; Habu, M.; Takahashi, O.; Tabe, S.; Tsurushima, H.; Otani, T.; Yoshiga, D.; Sago, T.; Tanaka, T.; et al. Imaging peculiarities of gubernaculum tracts in accessional teeth on CT. Clin. Exp. Dent. Res. 2021. [Google Scholar] [CrossRef]
- Caudhry, A.; Sobti, G. Imaging characteristics of gubernacular tract on CBCT-A pictorial review. Oral Radiol. 2020, 37, 355–365. [Google Scholar] [CrossRef] [PubMed]
- Cavalcante, D.S.; Fonteles, C.S.R.; Ribeiro, T.; Kurita, L.M.; Pimenta, A.V.M.; Carvalho, F.S.R.; Costa, F.W.G. Mandibular regional odontodysplasia in an 8-year-old boy showing teeth disorders, gubernaculum tracts, and altered bone fractal pattern. Int. J. Clin. Pediatr. Dent. 2018, 11, 128–134. [Google Scholar] [CrossRef]
- Kamarthi, N.; Gupta, D.; Gotur, S.P. Radiographic demonstration of association of gubernaculum Dentis (Gubernaculum tract) in odontogenic cysts and tumors-A CBCT finding. Indian J. Radiol Imaging 2020, 30, 340–343. [Google Scholar] [CrossRef]
- Nel, C.; Uys, A.; Robinson, L.; van Heerden, W.F.P. Multiple adenomatoid odontogenic tumours associated with eight impacted teeth. Oral Radiol. 2021, 37, 321–327. [Google Scholar] [CrossRef]
- Nanci, A. (Ed.) Physiologic tooth movement: Eruption and shedding. In Ten Cate’s Oral Histology-Development, Structure, and Function, 8th ed.; Elsevier: St. Louis, MI, USA, 2013; pp. 233–252. [Google Scholar]
- Marwah, N. (Ed.) Developmental aspects of dentition: Tooth eruption and shedding. In Textbook of Pediatric Dentistry, 4th ed.; Jaypee Brothers Medical Publishers: New Delhi, India, 2019; pp. 141–151. [Google Scholar]
- Noffke, C.E.; Chabikuli, N.J.; Nzima, N. Impaired tooth eruption: A review. SADJ 2005, 60, 422, 424–425. [Google Scholar]
- Suri, L.; Gagari, E.; Vastardis, H. Delayed tooth eruption: Pathogenesis, diagnosis, and treatment. A literature review. Am. J. Orthod. Dentofac. Orthop. 2004, 126, 432–445. [Google Scholar] [CrossRef] [PubMed]
- Toller, P. Origin and growth of cysts of the jaws. Ann. R. Coll. Surg. Engl. 1967, 40, 306–336. [Google Scholar]
- Ide, F.; Mishima, K.; Kikuchi, K.; Horie, N.; Yamachika, S.; Satomura, K.; Shimoyama, T.; Sakashita, H.; Saito, I.; Kusama, K. Development and growth of adenomaroid odontogenic tumor related to formation and eruption of teeth. Head Neck Pathol. 2011, 5, 123–132. [Google Scholar] [CrossRef] [PubMed] [Green Version]
- Philipsen, H.P.; Khonhkhunthiang, P.; Reichrt, P.A. The adenomatoid odontogenic tumour: An update of selected issues. J. Oral Pathol. Med. 2016, 45, 394–398. [Google Scholar] [CrossRef] [PubMed]







Publisher’s Note: MDPI stays neutral with regard to jurisdictional claims in published maps and institutional affiliations. |
© 2021 by the authors. Licensee MDPI, Basel, Switzerland. This article is an open access article distributed under the terms and conditions of the Creative Commons Attribution (CC BY) license (https://creativecommons.org/licenses/by/4.0/).
Share and Cite
Oda, M.; Nishida, I.; Habu, M.; Takahashi, O.; Tsurushima, H.; Otani, T.; Yoshiga, D.; Saeki, K.; Tanaka, T.; Wakasugi-Sato, N.; et al. Overview of Radiological Studies on Visualization of Gubernaculum Tracts of Permanent Teeth. J. Clin. Med. 2021, 10, 3051. https://doi.org/10.3390/jcm10143051
Oda M, Nishida I, Habu M, Takahashi O, Tsurushima H, Otani T, Yoshiga D, Saeki K, Tanaka T, Wakasugi-Sato N, et al. Overview of Radiological Studies on Visualization of Gubernaculum Tracts of Permanent Teeth. Journal of Clinical Medicine. 2021; 10(14):3051. https://doi.org/10.3390/jcm10143051
Chicago/Turabian StyleOda, Masafumi, Ikuko Nishida, Manabu Habu, Osamu Takahashi, Hiroki Tsurushima, Taishi Otani, Daigo Yoshiga, Katsura Saeki, Tatsurou Tanaka, Nao Wakasugi-Sato, and et al. 2021. "Overview of Radiological Studies on Visualization of Gubernaculum Tracts of Permanent Teeth" Journal of Clinical Medicine 10, no. 14: 3051. https://doi.org/10.3390/jcm10143051
APA StyleOda, M., Nishida, I., Habu, M., Takahashi, O., Tsurushima, H., Otani, T., Yoshiga, D., Saeki, K., Tanaka, T., Wakasugi-Sato, N., Matsumoto-Takeda, S., Nagasaki, Y., Miyamoto, I., Kito, S., Sasaguri, M., & Morimoto, Y. (2021). Overview of Radiological Studies on Visualization of Gubernaculum Tracts of Permanent Teeth. Journal of Clinical Medicine, 10(14), 3051. https://doi.org/10.3390/jcm10143051
